Abstract
A defining feature of mycetoma is the presence of grains, which are dense, compact structures composed of the causative bacterial or fungal microorganisms. These grains define clinical resistance to treatment, and the likelihood of chronicity. Understanding the molecular mechanisms underlying grain development are critical for enhancing treatment efficacy; however, important questions remain about the underlying genetic, biochemical, and structural pathways. In this Review, we discuss what is known about mycetoma grain formation, with a focus on Madurella mycetomatis, and the need for multi-disciplinary approaches to aid their clinical management and treatment.
Similar content being viewed by others
Background
Mycetoma is a serious, neglected tropical disease (NTD) that primarily affects impoverished and remote communities in tropical and subtropical regions, but it is also reported worldwide1,2,3,4. It is a chronic granulomatous inflammatory condition that causes extensive tissue damage, leading to severe distortions and incapacities5,6. The disease is aetiologically classified into two distinct forms: actinomycetoma, caused by filamentous aerobic bacteria (actinomycetes), and eumycetoma, caused by fungi (eumycetes)1,4. Without prompt diagnosis and appropriate treatment, mycetoma can lead to severe morbidity and may be life-threatening7,8. The impact of the disease goes beyond individual patients, burdening communities and overwhelming local healthcare systems, particularly in endemic regions9,10. Additionally, existing mycetoma diagnostic tools and treatment modalities are often insufficient, expensive, and accompanied by significant side effects, making disease management even more challenging11,12.
Clinical presentation
Mycetoma presents with a consistent pattern, regardless of the causative organism, and the cause remains an enigma13. A triad of a painless subcutaneous mass, multiple sinus tracts, and grains containing serous, serosanguinous, or purulent discharge is the disease pathognomic characteristic2. Mycetoma may not always present with the classic triad; in some cases, only one or two of these signs may be observed. During the active phase of the disease, these sinuses may discharge grains that vary in colour, size and consistency depending on the specific causative microorganisms involved2. These grains may appear black in cases caused by Madurella mycetomatis, white in infection due to Actinomadura madurae, red in cases associated with Actinomadura pelletierii, or yellow in those caused by Streptomyces somaliensis2,11,13,14. The size and consistency of these grains can also vary, and their morphological characteristics may assist in making a clinical diagnosis13.
The mycetoma chronic inflammatory granuloma typically spreads along fascial planes, affecting not only the skin but also deeper tissues and bones15,16,17,18,19. As the disease progresses, it can lead to significant tissue damage and bone destruction, resulting in multiple bone cavities and deformities20,21,22. It is interesting to note that tendons and nerves are generally spared from direct involvement, and the cause is a paradox2. In eumycetoma, lesions tend to grow slowly and remain encapsulated for extended periods2. In contrast, actinomycetoma is often more aggressive and destructive, with bone involvement occurring at an earlier stage2,23,24. In a small percentage of cases (1–3%), mycetoma can spread to regional lymph nodes, particularly in instances of actinomycetoma25. Regional lymphadenopathy is a common feature of mycetoma, resulting from the lymphatic spread of the disease, secondary bacterial infections, or local immune reactions to the mycetoma13,25,26 (Fig. 1).
Inoculation route and disease onset
Infection initiates when traumatic injury breaches the skin barrier, introducing pathogenic elements into subcutaneous tissue. Common mechanisms include punctures by thorns, sharp splinters or minor lacerations during daily activities1,2. Such injuries often appear minor, healing rapidly without immediate symptoms, thereby allowing patients to overlook the initial exposure, and hence, the disease incubation period is unknown4,27. The inoculated microorganisms evade early immune detection, exploiting the trauma-induced tissue damage to establish infection. Over time, they proliferate, forming characteristic granulomatous lesions and grains, which incite chronic inflammation, fibrosis, and progressive tissue destruction28,29.
Causative microorganisms environmental reservoirs
The primary causative organisms are ubiquitously distributed in the environment in their environmental niches14,30,31,32,33. Molecular studies have detected their DNA in soil, plant material (e.g. thorns, Acacia spines), animal dung, and even in the structural components of dwellings in endemic areas14,30,31,32,33,34,35. These findings highlight the pervasive exposure risk associated with normal daily activities, particularly in agrarian communities.
However, isolating viable cultures from environmental samples has proven challenging, likely due to factors such as microbial dormancy, non-culturable states, or competition with faster-growing contaminants36.
Few earlier investigations successfully cultured Madurella mycetomatis from soil and anthills32,33,34,35, suggesting that specific microenvironments, such as termite mounds with stable humidity and organic matter, as well as different plants, may favour fungal proliferation and serve as potential vectors. Nevertheless, the absence of sequencing confirmation in these studies leaves room for uncertainty regarding species specificity, emphasising the need for molecular validation in future research.
Host-pathogen dynamics
The transition from environmental saprophyte to invasive pathogen remains poorly understood. Hypotheses suggest that microbial adaptations, such as melanin production, hydrolytic enzyme secretion or other host and microbial factors, may enhance survival under host immune pressure32,37. Additionally, the slow progression of mycetoma, often spanning years before clinical presentation, implies a balance between pathogen persistence and subclinical immune containment38. Further research is needed to elucidate the molecular mechanisms driving this transition and the role of host factors, including genetic susceptibility and immunocompetence, in disease outcomes39.
The mycetoma grains
When the fungal pathogen penetrates into the subcutaneous tissue, it begins a complex process of organisation that ultimately results in the formation of a dense, consolidated structure known as a grain37. The precise duration required for grain formation within the human host remains unknown, primarily because subclinical cases of mycetoma, where the infection remains asymptomatic, have never been documented. Nonetheless, current understanding suggests that all grains typically originate within a single lesion from a single fungal or bacterial isolate that has been introduced into the subcutaneous tissue40. This indicates that the initial inoculation leads to localised microorganisms proliferation, which gradually coalesces into a mature grain over time. The formation of grains is considered a hallmark feature of mycetoma, setting it apart from other infectious processes1,41.
Eumycetoma grains
The majority of causative agents responsible for eumycetoma produce either black or white grains; however, there are few reports on yellow and green grains due to Pleurostoma ochraceum and Aspergillus flavus, respectively1,42. These variations in grain colouration are not merely superficial but are tied closely to the fungal species’ metabolic processes and pigment production43.
Histologically, grains exhibit distinctive features that can be used to identify the causative species. Black grains derive their colouration primarily from melanin, a high-molecular-weight pigment that is attached to extracellular proteins within the grain43,44,45,46. The fungus Madurella mycetomatis synthesises this melanin via multiple biochemical pathways, including the DHN (dihydroxynaphthalene), DOPA (dihydroxyphenylalanine), and pyomelanin pathways43,44,45,46. The presence of melanin contributes not only to the colouration but also to the pathogen’s resistance to host immune defences, environmental stresses and antifungals1,44,45,46.
The eumycetoma grains caused by different species often share morphological similarities, making species differentiation challenging solely based on histological appearance47. For instance, grains from the different Falciformispora species causing eumycetoma are indistinguishable from each other and resemble those of T. grisea or M. romeroi48,49,50,51. These grains generally feature hyphae embedded in a black, cement-like substance at their periphery, while the central regions of the grains tend to contain a loosely organised network of hyphae that are non-pigmented51. Similarly, grains of T. grisea display comparable blackish-brown cement at the edges, with hyphae in the core being weakly pigmented52. Hence, more molecular or genetic techniques are needed to establish the diagnosis.
M. mycetomatis grains
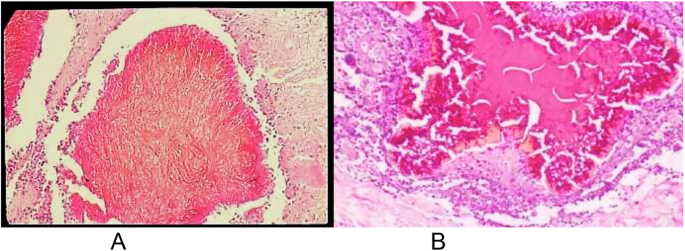
M. mycetomatis is the most common causative agent of eumycetoma in the Sudan. In clinical material, the grains in the tissue are numerous and black. In stained sections, the grain is rounded, oval or trilobed. It has a more compact cortex, which is dark brown in colour due to pigment produced by the organism, and a lighter medulla. In some grains, the division between the cortex and the medulla is not evident. The grain filaments are usually embedded in a hard brown cement matrix37,53,54,55 (Fig. 2).
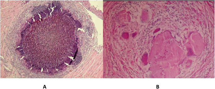
Two main morphological types of grains are identified. The filamentous, which is the commonest type, consists of brown septate and branched hyphae that may be slightly more swollen towards the periphery. In the cortex, the filaments are arranged radially, while in the medulla, they tend to run in multiple directions. Round or oval cells, 7–15 μm in diameter, are seen, particularly in the periphery. The second type of grain is the vesicular one. It is less common than the filamentous and is composed of unusually large cells that look like vesicles. Both types of grain can be found in the same lesion. Grains that are partially vesicular and partially filamentous are not uncommonly seen47 (Fig. 3A, B).
The surface of the grain may be scalloped, giving the periphery a hob-nail appearance and a brightly eosinophilic layer of fibrin–like material that sometimes covers the grain. This layer is of host origin and contains fibrin, immunoglobulins and complement. A similar phenomenon is observed around parasites, known as the Hoepple phenomenon38. Occasionally, a thin layer of haematoxophilic granular material is found on the surface of the grain. This material is Feulgen positive and is derived from the nuclei of disintegrating inflammatory cells surrounding the grains38.
At the microscopic level, the cement material is found throughout the grain, surrounding and embedding the hyphal elements38,56,57,58. This cement comprises regions of amorphous, electron-dense substances as well as membrane-bound vesicular inclusions. The collagen fibres within the grain exhibit signs of disintegration, with cross-striations breaking down and fibres swelling, phenomena indicative of tissue degradation and remodelling1,59,60,61. Instead of the typical branched appearance, collagen appears honeycombed, reflecting extensive structural alteration. Notably, analyses of the cement material reveal that it contains host-derived DNA and proteins alongside fungal components. Remarkably, approximately 99.3% of the DNA and proteins identified within these grains are of human origin, with only a tiny fraction (0.069%) originating from the fungus itself1,62. This underscores the significant host tissue response and incorporation into the grain structure.
Within the grains, the concentrations of Zinc, Copper, Calcium, Iron, Lead, Cobalt and Nickel were determined by Atomic Absorption Spectrophotometer37. The zinc, copper, and calcium concentrations in the grains were four, six, and sixteen-fold higher than in normal tissue, respectively. The other metals were found in the same concentrations as in normal tissue. Calcium was located in the vicinity of the melanin grains37. The M. Mycetomatis grains appeared to consist of lipid, protein and melanin. The melanin is located on the hyphal wall in thick layers. From this study, it can be concluded that grains contain melanin, heavy metals, proteins, and lipids, which contribute to the formation of the grain cement matrix. These elements appear to contribute to the organism’s pathogenicity and may impede the penetration of various antifungal agents37. This complex matrix plays a crucial role in the structural integrity of the grain, acting as a barrier that shields the fungal hyphae from immune responses and antifungal agents.
Within the fungal hyphae themselves, numerous concentric layers of cell wall material are often observed, suggesting intra-hyphal growth and cellular activity that contribute to the maturation and stability of the grain38. Ultrastructurally, the hyphal elements are spherical to elongated and are embedded in the grain matrix. The hyphae are septate, and the cytoplasm may be densely ribosomal or disorganised. Some hyphae appear empty, being devoid of cytoplasm38. Cytoplasmic organelles, such as nuclei and mitochondria, are not usually visible. Intra-hyphal re-growth is sometimes seen. The hyphal wall is often markedly thickened. This feature may be involved in the transformation of the fungus to the pathogenic state38. The pigmented substance surrounding the hyphae consists of amorphous electron-dense material and vesicles. The nature of the pigment is not known with certainty. Histologically, it resembles melanin, and it may be a fungal product. Sclerosis and melanisation of the host tissue are, in some manner, responsible for the formation of the cement substance38 (Fig. 4).
Grains and the host tissue reactions
The inflammatory cellular reaction around the grain is variable. There are three types of tissue reactions38,63. In type I, there is a zone of neutrophils in the vicinity of the grain. These are sometimes found within the grain substance, causing its disintegration. Some histocytes may also be seen among the neutrophils, but they are more numerous outside the neutrophil zone. Some of the histocytes have a foamy cytoplasm and give a positive reaction for fat, and they stain positive for the CD68 antigen. Capillaries, which are sometimes abundant, surround the neutrophil-histiocyte zone, and a layer of fibrin occasionally surrounds them. Lymphocytes, plasma cells, fibroblasts and some macrophages are usually seen in this vascular zone. The lymphocytes and plasma cells increase in number towards the investing fibrous tissue in the periphery of the lesion (Fig. 5A).
In Type II reactions, the neutrophils largely disappear and are replaced by histiocytes and multinucleated giant cells. Some of the latter contain fragments of grain or pigmented cement substance without any hyphae. The macrophages may contain a black pigment derived from the grain. At this stage, the grain itself is usually small and fragmented. This type of histocytes/giant cell reaction follows the earlier neutrophil response, which causes fragmentation of the grain (Fig. 5B).
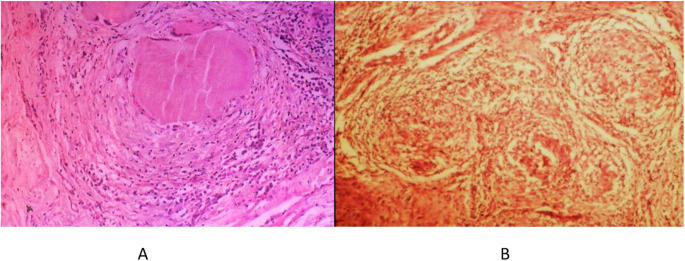
In the third type of reaction (Type III), the grain material has largely or completely disappeared, leaving a compact epithelioid granuloma with or without Langerhans giant cells. This, however, is an uncommon reaction and represents spontaneous regression in some grains (Fig. 6B). The three types of tissue reaction may be found in the same lesion. It is unknown whether spontaneous regression of all mycetoma lesions ever occurs. The unique feature of M. mycetomatis is the formation of a capsule around the lesion, and the lesion grows by expansile growth in the tissue planes38.
Ultrastructural studies of the host reaction show neutrophils adherent to the grain. The cytoplasm of the neutrophil is stretched over the grain, and the neutrophil granules are concentrated in the part of the cytoplasm adjacent to the grain. This is an immune adherence, which is mediated by immunoglobulins and is an example of antibody-dependent cell-mediated cytotoxicity. Immunoglobulin and complement can be demonstrated in the grain38 (Fig. 7A).
Grains mycetoma studies in experimental animals
Understanding the formation of mycetoma grains is crucial, yet the early stages of grain development within humans remain poorly understood. In clinical cases, the grains observed are typically mature, and data on the biological processes involved, such as host tissue responses, immune interactions, and tissue-specific factors, are limited. Due to these challenges, researchers rely on in vivo animal models to investigate the mechanisms underlying grain formation51,54,62.
Since mycetoma grains cannot be cultivated in vitro, studying their development necessitates the use of specialised animal models64,65,66,67. These models, primarily involving larvae of Galleria mellonella, goats and various laboratory mice51,54,62,65, serve as valuable tools because they enable controlled studies of infection dynamics, fungal proliferation, and grain development within a living host that mimics certain aspects of human disease. Although Galleria mellonella larvae provide a practical in vivo model for investigating mycetoma grain formation, they exhibit certain limitations. A primary disadvantage is that the insect’s immune system markedly differs from that of mammals, potentially influencing the interaction between the fungus and the host, as well as the formation of grains. The absence of a sophisticated immune response in G. mellonella, in contrast to mammals, may result in an oversimplified understanding of the disease process, potentially affecting the applicability of findings to human infections54,68.
However, it is important to note that only a limited number of eumycetoma fungal species have been successfully studied using these in vivo models. These include Madurella mycetomatis, Falciformispora senegalensis, Scedosporium boydii, Exophiala jeanselmei, and Fusarium falciforme44,51,54,62,69,70,71,72. The models have provided critical insights into grain development, structural characteristics, and interactions with host tissues.
The use of Galleria mellonella larvae offers particular advantages, including ease of handling, cost-effectiveness, and suitability for high-throughput studies54. This invertebrate model has proven valuable for observing grain formation and assessing pathogenicity, although it may not fully replicate all aspects of human infection54.
A key observation across all these animal models is that the grains formed within host tissues closely resemble those observed in human cases, both histologically and structurally54. They exhibit similar pigmentation, hyphal arrangements, and characteristic cement-like patterns. This morphological and structural similarity validates these models as relevant tools for understanding the pathogenesis of eumycetoma, evaluating potential treatments, and studying host-pathogen interactions in a controlled environment. Given the current inability to replicate grain formation in vitro, these models are indispensable for advancing knowledge, developing more effective diagnostic methods, and formulating therapeutic strategies.
Eumycetoma grains formation stages
Based on comprehensive transcriptomic and proteomic analyses conducted at various time points during Madurella mycetomatis grain formation in Galleria mellonella, researchers have established a detailed model that elucidates the stages of fungal grain development within the host1,62. This model delineates the process of grain formation into four distinct, sequential stages, each characterised by specific host-pathogen interactions, fungal responses, and structural changes within the developing grain1,62.
Stage 1: pathogen entry and initial recognition
The process begins when the microorganism (fungal spores or hyphal fragments) enters the host body, typically through traumatic inoculation into the subcutaneous tissue. Upon entry, the host immune system recognises the pathogen via the Pattern Recognition Receptors (PRRs) expressed on haemocytes and other immune cells. These PRRs detect conserved molecular patterns present on the fungal cell wall, such as β-glucans and mannans, initiating the host’s innate immune response. In response, M. mycetomatis reacts by upregulating vesicle transport mechanisms, which facilitate the secretion of materials necessary for constructing an extracellular matrix (ECM). The fungus actively produces cell wall components and adhesion proteins that enable it to attach firmly to host cells and tissues, anchoring itself within the tissue environment.
Stage 2: immune activation and early fungal defence
Following recognition, host haemocytes, analogous to mammalian neutrophils, cluster around the fungal elements, forming an initial barrier. These haemocytes cross-link through cell surface molecules, creating a localised immune response aimed at containing the infection. During this stage, the fungus secretes zincophores and siderophores, specialised metal-chelating molecules, to sequester essential nutrients such as zinc and iron from the host environment, which are vital for fungal growth and survival. This nutrient acquisition strategy enables the fungus to sustain itself within the host tissues despite the immune defences1,62.
Stage 3: haemocyte degranulation and antimicrobial response
As the immune response intensifies, haemocytes undergo degranulation, releasing Reactive Oxygen Species (ROS) and a variety of antimicrobial peptides designed to kill or inhibit the fungi. The production of ROS, while effective against pathogens, also causes collateral tissue damage and contributes to the inflammatory environment around the developing grain. To counteract the host’s attack, M. mycetomatis responds by producing melanin that accumulates around the hyphae, forming a protective capsule that shields the fungus from immune mediators and oxidative stress. This melanin layer acts as a physical barrier, promoting the stability and maturation of the grain1,46,62.
Stage 4: grain maturation and immune evasion
By this stage, the immune system’s haemocytes are largely absent from within the grain structure, suggesting that the fungus has successfully killed or repelled the immune cells and established a protected niche. Histological evidence from the Galleria mellonella model shows that no haemocytes are present inside the mature grain, indicating that M. mycetomatis effectively evades immune clearance through its melanin capsule and other immune evasion strategies. The mature grain is characterised by densely packed hyphae embedded within a cement-like extracellular matrix, surrounded by a capsule of immune cells that attempt, but ultimately fail, to contain or eradicate the infection1,62.
Actinomycetoma grains
The composition of actinomycetoma grains is a complex interplay between pathogenic bacteria, host immune responses, and tissue components. This intricate mixture contributes to the persistent, granulomatous pathology characteristic of actinomycetoma, influencing diagnostic, therapeutic, and prognostic considerations. The grains are a key diagnostic hallmark of actinomycetoma. Their identification through histopathology, cytology, or direct microscopy is crucial for differentiating actinomycetoma from eumycetoma and for distinguishing between the various causative types of actinomycetoma73,74,75. Furthermore, the composition and morphology of these grains can also influence treatment strategies76.
Actinomycetoma gains formation
The formation of grains in actinomycetoma involves complex interactions between the pathogenic bacteria and host tissue responses77. When the causative bacteria invade subcutaneous tissues, they tend to aggregate and produce extracellular matrix components that facilitate the formation of dense, organised colonies. These colonies develop into grains, which are essentially microcolonies encased in a matrix of bacterial and host-derived materials. Host immune responses, including the recruitment of neutrophils and macrophages, contribute to the encapsulation process, leading to the development of characteristic grains38,63,78,79,80.
Actinomycetoma grains morphology
Actinomycetoma grains exhibit characteristic morphological and microscopic structures that depend on the specific causative microorganisms. They may be spherical or oval in shape, with sizes ranging from a few hundred micrometres to several millimetres. Their colouration can vary between white, yellow, and red, and their consistency ranges from soft to firm or hard1,2.
Under microscopy, grains exhibit a dense core composed of intertwined bacterial filaments, often arranged in radiating or tangled patterns. The internal bacterial filaments are often septate and branching, characteristic of actinomycetes. Histologically, the grains are surrounded by a capsule of granulomatous tissue, which may contain neutrophils, macrophages, and fibrous tissue38,63.
Actinomycetoma grains composition
The structural complexity of actinomycetoma grains reflects their multifaceted biological and pathological nature. Their primary constituents include bacterial filaments, extracellular matrix components, host-derived materials, and pigmented bacterial colonies or metabolites. Each component plays a crucial role in the formation, stability, and pathogenicity of the grains81.
Bacterial filaments
At the core of the grains are densely packed, filamentous bacteria, predominantly species such as Nocardia brasiliensis and Streptomyces spp., among others. These bacteria exhibit filamentous, branching, and septate structures that intertwine to form a dense, woven network. Under microscopy, these filaments are often seen radiating from the centre of the grain, giving it a characteristic appearance. The bacterial filaments are responsible for the pathogenicity of the disease, as they invade host tissues and resist immune clearance. Their metabolic activity leads to tissue destruction and the production of enzymes that facilitate further invasion82.
Extracellular matrix
The extracellular matrix (ECM) is a vital component that provides cohesion and structural integrity to the grain. It is composed of polysaccharides, and these are carbohydrate polymers, such as dextrans and other exopolysaccharides, which help in binding bacterial filaments together and forming a protective scaffold. Additionally, proteins, including bacterial surface proteins and host-derived fibrous proteins, contribute to the structural framework. The extracellular DNA (eDNA) that is released from lysed bacteria and host cells also acts as a structural component that stabilises the matrix and facilitates biofilm formation. The ECM not only maintains the physical integrity of the grain but also protects bacteria from host immune defences and antimicrobial agents, contributing to the chronicity of actinomycetoma83.
Host-derived materials
The grains are not composed solely of bacteria but also of host immune cells, and tissue debris is incorporated into the structure, resulting in a heterogeneous composition. These include immune cells such as neutrophils, macrophages, and giant cells that are recruited to the site of infection. Some immune cells may become entrapped within the grain, contributing to the granulomatous response. The necrotic tissue debris, which is the dying host cells and necrotic tissue fragments, is often trapped within the grain, adding to its density and complexity. Furthermore, the fibrous tissue components, which include collagen fibres and other extracellular matrix proteins from the host tissue, are incorporated, which can contribute to the firmness and encapsulation of the grain. This mixture of bacterial and host components reflects the host’s immune response, which attempts to contain the infection but often contributes to the persistent, granulomatous nature of the lesion29,84,85,86,87,88.
Pigments and metabolites
Some grains exhibit pigmentation due to bacterial metabolic products or pigmented bacterial colonies. For example, Nocardia species may produce yellowish or orange pigments, influencing the colour of the grains. Secondary metabolites, such as antibiotics, enzymes, or other bioactive compounds, produced by bacteria can accumulate within the grain, thereby impacting its chemical profile. These pigments and metabolites can sometimes aid in identifying the causative organism during microscopic, culture-based diagnosis ot chemical test and may influence the clinical appearance of the lesion89.
Streptomyces somaliensis grains
The grains are yellow in colour and hard in consistency. During surgery, it may be difficult to distinguish the grains from fat, which makes radical excision of the lesion difficult2. This is especially so since the lesion is not encapsulated (Fig. 7B). In histological sections, the grain is rounded to oval, dense and homogenous73,90,91. Characteristically, marks of the microtome knife are seen in the grain in the form of parallel cracks. The grain stains a light purple or pink colour in haematoxylin and eosin-stained sections. The grain size varies from 30 to 200 μm. Hyphal elements embedded in cement can be visualised by Gram stain73,90,91 (Fig. 6A).
The grain is surrounded by an intense neutrophil polymorphonuclear leucocyte infiltrate (Type 1). Outside this zone, there is a vascular layer containing macrophages, lymphocytes, plasma cells and giant cells. The giant cells usually contain fragments of the grain. Some macrophages have a foamy cytoplasm. It looks as though the fragmentation of the grain induced by neutrophils is less severe than in M. mycetomatis. This may be due to the more compact and hard grains of S. somaliensis. Small grains surrounded by macrophages and giant cells are occasionally seen (Type 11), but pure epithelioid granuloma (Type 111) apparently does not occur38,77. Giant cells containing viable actinomycetes are believed to aid the spread of the organism in the tissue and to the regional lymph nodes. Despite the invasive nature of S. somaliensis and other actinomycetes, tendons and nerves are resistant to invasion.
Ultrastructurally, the grain consists of a heterogeneous and amorphous matrix arranged in an irregular and reticulate structure surrounding electron-lucent areas between 1 and 5 μm. In some of these spaces, bacterial filaments are found. The organisms are typically unicellular and coccoid, with an electron-dense cell wall73.
Actinomadura pelletierii grains
The grains in clinical material are tiny and red in colour91. In histopathological section, the grain is rounded, oval or semilunar. It stains a purple colour, and compact hyphae give it the appearance of ‘Iron filings’. The periphery of the grain has a narrow, deeply eosinophilic band91. The grain is usually surrounded by a zone of neutrophils, which causes fragmentation of the grain. The other layers are similar to those seen in S. somaliensis, but the giant cells are less conspicuous (Fig. 8A).
A Two fragments of Actinomadura pelliterii grain surrounded by multiple neutrophils (Type I reaction). Stained with H&E X40. B Actinomadura madurae grain. Note the variegated pattern and fragmentation. The periphery of the grain is dense, homogeneous, and deep purple, while the centre is less dense and even appears hollow. Stained with H&E X40.
The ultrastructure of the grain is quite distinctive. The hyphae are septate, compact without cement substance, and under low magnification, they have a starry sky appearance because of the vacuoles in the hyphae. These are probably fixation artefacts. Neutrophils adhere to the grain, degranulate, and phagocytose grain material, which is then destroyed, and this process is frequently observed63.
Actinomadura madurae grains
Macroscopically, the grains are yellow or white. They are difficult to distinguish from the surrounding fat92. Histologically, the large grains have a characteristic variegated pattern. The periphery of the grain is dense, homogeneous, and deep purple, while the centre is less dense and even appears hollow. Not infrequently, the grain fragments into geometric fragments. The periphery shows a brightly eosinophilic material forming clubs. This material contains immunoglobulins. Smaller grains are more homogeneous and are difficult to distinguish from Actinomadura pelletierii. However, even the small grains of Actinomadura madurae have a more deeply stained purple fringe, which is not seen in Actinomadura pelletierii. The inflammatory reaction is similar to that of Actinomadura pelletierii63,91 (Fig. 8B).
Nocardia species grains
Nocardia grains are typically small, yellowish, or white and may vary in size from a few millimetres to larger nodules93. Microscopically, the grains consist of tangled, filamentous, branching bacteria that form compact colonies. The bacteria within the grains are surrounded by an amorphous matrix composed of host-derived material, such as fibrin, inflammatory exudate, and necrotic tissue. Under the microscope, they are filamentous, branching bacteria93. They are gram-positive. Nocardia species are weakly acid-fast due to the presence of mycolic acids in their cell wall, which helps differentiate them from other bacteria94,95,96. They have a granular appearance due to the dense bacterial colonies that form them. The host tissue reactions are in accordance with other mycetoma-causative microorganisms.
Conclusion
It is evident that mycetoma grains serve a crucial function in safeguarding the causative microorganisms against various host defence mechanisms, including immune responses, antimicrobial agents, and other therapeutic interventions. These grains not only shield the pathogens but also significantly contribute to the challenges faced in achieving optimal patient management outcomes and disease chronicity. Despite their importance, our current understanding of the processes involved in grain formation and development remains limited and incomplete. To advance our knowledge, there is an urgent need for comprehensive scientific research that focuses on elucidating the mechanisms underlying tissue reactions, the protective properties of grains, and the overall pathogenesis of the disease.
Expanding research efforts should incorporate cutting-edge techniques such as genetic analysis, molecular biology, bioinformatics, and artificial intelligence. These innovative approaches hold great promise for discovering novel treatment modalities, enhancing diagnostic accuracy, and facilitating early disease detection and treatment. Early diagnosis is particularly critical in reducing disease burden and enhancing treatment success rates.
Furthermore, since mycetoma continues to be classified as a neglected and underserved disease, increased awareness and support from the global health community, scientific researchers, and policymakers are essential. Bridging the significant knowledge gaps in understanding the disease’s pathogenesis, optimising management strategies, and implementing effective prevention measures requires a concerted and sustained effort. Only through collaborative initiatives and increased investment can we hope to improve outcomes for patients affected by this debilitating condition and ultimately reduce its global impact.
References
Van de Sande, W. W. J. & Fahal, A. H. An updated list of eumycetoma causative agents and their differences in grain formation and treatment response. Clin. Microbiol. Rev. 37, e0003423 (2024).
Fahal, A. H. Mycetoma: a thorn in the flesh. Trans. R. Soc. Trop. Med. Hyg. 98, 3–11 (2004).
Zijlstra, E. E., van de Sande, W. W. & Fahal, A. H. Mycetoma: a long journey from neglect. PLoS Negl. Trop. Dis. 10, e0004244 (2016).
Zijlstra, E. E. et al. Mycetoma: a unique neglected tropical disease. Lancet Infect. Dis. 16, 100–112 (2016).
Abbas, M. et al. The disabling consequences of Mycetoma. PLoS Negl. Trop. Dis. 12, e0007019 (2018).
Ahmed, A. A. et al. Management of mycetoma: major challenge in tropical mycoses with limited international recognition. Curr. Opin. Infect. Dis. 20, 146–151 (2007).
Zein, H. A., Fahal, A. H., Mahgoub, S. E., El Hassan, T. A. & Abdel-Rahman, M. E. Predictors of cure, amputation and follow-up dropout among patients with mycetoma seen at the Mycetoma Research Centre, University of Khartoum, Sudan. Trans. R. Soc. Trop. Med. Hyg. 106, 639–644 (2012).
Mohamed, N. A. & Fahal, A. H. Mycetoma pulmonary secondaries from a gluteal eumycetoma: an unusual presentation. PLoS Negl. Trop. Dis. 10, e0004945 (2016).
Bakhiet, S. M. et al. A holistic approach to the mycetoma management. PLoS Negl. Trop. Dis. 12, e0006391 (2018).
Fahal, A. et al. A new model for management of mycetoma in the Sudan. PLoS Negl. Trop. Dis. 8, e3271 (2014).
Ahmed, A. A., van de Sande, W. & Fahal, A. H. Mycetoma laboratory diagnosis: review article. PLoS Negl. Trop. Dis. 11, e0005638 (2017).
Van de Sande, W. W. et al. The mycetoma knowledge gap: identification of research priorities. PLoS Negl. Trop. Dis. 8, e2667 (2014).
Fahal, A. H., Suliman, S. H. & Hay, R. Mycetoma: the spectrum of clinical presentation. Trop. Med. Infect. Dis. 3, 97 (2018).
Ahmed, A. et al. Environmental occurrence of Madurella mycetomatis, the major agent of human eumycetoma in Sudan. J. Clin. Microbiol. 40, 1031–1036 (2002).
Bafghi, M. F. et al. Nocardia isolation from clinical samples with the paraffin baiting technique. Germs 5, 12–16 (2015).
Badali, H. et al. Biodiversity of the genus Cladophialophora. Stud. Mycol. 61, 175–191 (2008).
Boiron, P. et al. Nocardia, nocardiosis and mycetoma. Med. Mycol. 36, 26–37 (1998).
Bonifaz, A. et al. Thoracic actinomycetoma: a retrospective clinical-epidemiological study of 64 cases. Trans. R. Soc. Trop. Med. Hyg. 115, 337–339 (2021).
Bonifaz, A., Tirado-Sanchez, A., Vazquez-Gonzalez, D., Araiza, J. & Hernandez-Castro, R. Actinomycetoma by Actinomadura madurae: clinical characteristics and treatment of 47 cases. Indian Dermatol. Online J. 12, 285–289 (2021).
Abd Bagi, M. E. et al. Pathological fractures in mycetoma. Trans. R. Soc. Trop. Med. Hyg. 97, 582–584 (2003).
Abd El Bagi, M. E. New radiographic classification of bone involvement in pedal mycetoma. Am. J. Roentgenol. 180, 665–668 (2003).
Abd El-Bagi, M. E. & Fahal, A. H. Mycetoma revisited. Incidence of various radiographic signs. Saudi Med. J. 30, 529–533 (2009).
Hay, R. J., Mahgoub, E. S., Leon, G., al-Sogair, S. & Welsh, O. Mycetoma. J. Med. Vet. Mycol. 30 (Suppl 1), 41–49 (1992).
Welsh, O., Vera-Cabrera, L. & Salinas-Carmona, M. C. Mycetoma. Clin. Dermatol. 25, 195–202 (2007).
El Hassan, A. M. & Mahgoub, E. S. Lymph node involvement in mycetoma. Trans. R. Soc. Trop. Med. Hyg. 66, 165–169 (1972).
Ezaldeen, E. A., Ahmed, E. S. & Fahal, A. H. Massive complicated secondary inguinal mycetoma: a case series. Trans. R. Soc. Trop. Med. Hyg. 115, 420–425 (2021).
Adam, S. A. Y. et al. Eumycetoma with pulmonary dissemination an unusual complication: case series and literature review. PLoS Negl. Trop. Dis. 16, e0010867 (2022).
Almaguer-Chavez, J. A. et al. Decrease of virulence for BALB/c mice produced by continuous subculturing of Nocardia brasiliensis. BMC Infect. Dis. 11, 290 (2011).
Vera-Cabrera, L. et al. Host defenses in subcutaneous mycoses. Clin. Dermatol. 30, 382–388 (2012).
Fahal, A. H. & Bakhiet, S. M. Mycetoma and the environment. PLoS Negl. Trop. Dis. 17, e0011736 (2023).
Samy, A. M., van de Sande, W. W., Fahal, A. H. & Peterson, A. T. Mapping the potential risk of mycetoma infection in Sudan and South Sudan using ecological niche modeling. PLoS Negl. Trop. Dis. 8, e3250 (2014).
Santona, A. et al. Metagenomics of black grains: new highlights in the understanding of eumycetoma. Trans. R. Soc. Trop. Med. Hyg. 115, 307–314 (2021).
Santona, A. et al. Metagenomic detection of eumycetoma causative agents from households of patients residing in two Sudanese endemic villages in White Nile State. PLoS Negl. Trop. Dis. 16, e0010385 (2022).
Hashizume, H. et al. Environmental detection of eumycetoma pathogens using multiplex real-time PCR for soil DNA in Sennar State, Sudan. Trop. Med. Health 51, 71 (2023).
Hashizume, H. et al. Detection of multiple mycetoma pathogens using fungal metabarcoding analysis of soil DNA in an endemic area of Sudan. PLoS Negl. Trop. Dis. 16, e0010274 (2022).
Kapinusova, G., Lopez Marin, M. A. & Uhlik, O. Reaching unreachables: Obstacles and successes of microbial cultivation and their reasons. Front. Microbiol. 14, 1089630 (2023).
Ibrahim, A. I., El Hassan, A. M., Fahal, A. & van de Sande, W. W. A histopathological exploration of the Madurella mycetomatis grain. PLoS ONE 8, e57774 (2013).
Fahal, A. H., el Toum, E. A., El Hassan, A. M., Mahgoub, E. S. & Gumaa, S. A. The host tissue reaction to Madurella mycetomatis: new classification. J. Med. Vet. Mycol. 33, 15–17 (1995).
Ali, R. S., Newport, M. J., Bakhiet, S. M., Ibrahim, M. E. & Fahal, A. H. Host genetic susceptibility to mycetoma. PLoS Negl. Trop. Dis. 14, e0008053 (2020).
Nyuykonge, B. et al. Madurella mycetomatis grains within a eumycetoma lesion are clonal. Med. Mycol. 60, myac051 (2022).
Fahal, A. H., Shaheen, S. & Jones, D. H. The orthopaedic aspects of mycetoma. Bone Jt. J. 96-B, 420–425 (2014).
Mhmoud, N. A. et al. Pleurostomophora ochracea, a novel agent of human eumycetoma with yellow grains. J. Clin. Microbiol. 50, 2987–2994 (2012).
Lim, W., Parel, F., de Hoog, S., Verbon, A. & van de Sande, W. W. J. Melanin production in coelomycetous agents of black grain eumycetoma. Trans. R. Soc. Trop. Med. Hyg. 115, 324–327 (2021).
Lim, W. et al. Inhibiting DHN- and DOPA-melanin biosynthesis pathway increased the therapeutic value of itraconazole in Madurella mycetomatis infected Galleria mellonella. Med. Mycol. 60, myac003 (2022).
Nyuykonge, B., Croughs, P. D., Fahal, A. H., Verbon, A. & van de Sande, W. W. J. Correction for Nyuykonge et al., “Pyomelanin Secretion in Madurella mycetomatis Interferes with Spectrophotometric Endpoint Reading Using the Sensititre YeastOne alamarBlue Assay but Not with Visual Endpoint Reading”. Antimicrob. Agents Chemother. 64, e01848-20 (2020).
Van de Sande, W. W. et al. Melanin biosynthesis in Madurella mycetomatis and its effect on susceptibility to itraconazole and ketoconazole. Microbes Infect. 9, 1114–1123 (2007).
Chouhan, S. S. & Agarwal, S. Histological diagnosis of mycetoma: a clinicopathological study of 24 cases. Indian J. Med. Res. 57, 71–77 (1969).
Mahgoub, E. S. Mycetomas caused by Curvularia lunata, Madurella grisea, Aspergillus nidulans, and Nocardia brasiliensis in Sudan. Sabouraudia 11, 179–182 (1973).
Vilela, R. et al. A case of eumycetoma due to Madurella grisea in northern Brazil. Mycopathologia 158, 415–418 (2004).
Cerar, D., Malallah, Y. M., Howard, S. J., Bowyer, P. & Denning, D. W. Isolation, identification and susceptibility of Pyrenochaeta romeroi in a case of eumycetoma of the foot in the UK. Int. J. Antimicrob. Agents 34, 617–618 (2009).
Ma, J., Konings, M., Verbon, A. & van de Sande, W. W. J. A Falciformispora senegalensis grain model in Galleria mellonella larvae. Med. Mycol. 61, myad070 (2023).
Ahmed, S. A. et al. Nigrograna mackinnonii, Not Trematosphaeria grisea (syn., Madurella grisea), Is the Main Agent of Black Grain Eumycetoma in Latin America. J. Clin. Microbiol. 56, e01723-17 (2018).
Ahmed, A., van de Sande, W., Verbrugh, H., Fahal, A. & van Belkum, A. Madurella mycetomatis strains from mycetoma lesions in Sudanese patients are clonal. J. Clin. Microbiol. 41, 4537–4541 (2003).
Kloezen, W., van Helvert-van Poppel, M., Fahal, A. H. & van de Sande, W. W. A Madurella mycetomatis Grain Model in Galleria mellonella Larvae. PLoS Negl. Trop. Dis. 9, e0003926 (2015).
De Hoog, G. S., Adelmann, D., Ahmed, A. O. & van Belkum, A. Phylogeny and typification of Madurella mycetomatis, with a comparison of other agents of eumycetoma. Mycoses 47, 121–130 (2004).
Siddig, E. E. et al. The first case of Fusarium falciforme Eumycetoma in Sudan and an extensive literature review about treatment worldwide. J. Fungi 9, 730 (2023).
Badarol Hisham, N., Abdul Rhani, S., Mohd Ali, R. & Masri, S. N. Fusarium falciforme eumycetoma: a diagnostic challenge of a neglected tropical disease. BMJ Case Rep. 17, e258657 (2024).
Cortez, K. J. et al. Infections caused by Scedosporium spp. Clin. Microbiol. Rev. 21, 157–197 (2008).
Findlay, G. H. & Vismer, H. F. Black grain mycetoma. A study of the chemistry, formation and significance of the tissue grain in Madurella mycetomi infection. Br. J. Dermatol. 91, 297–303 (1974).
Findlay, G. H. & Vismer, H. F. Black grain mycetoma. Atomic absorption and spark source mass spectrophotometry of the tissue grain in Madurella mycetomi infection. Br. J. Dermatol. 97, 497–499 (1977).
Findlay, G. H., Vismer, H. F. & Kiebenberg, N. W. Black grain mycetoma: the ultrastructure of Madurella mycetomi. Mycopathologia 67, 51–54 (1979).
Sheehan, G. et al. Proteomic analysis of the processes leading to Madurella mycetomatis grain formation in Galleria mellonella larvae. PLoS Negl. Trop. Dis. 14, e0008190 (2020).
Fahal, A. H., el Toum, E. A., el Hassan, A. M., Mahgoub, E. S. & Gumaa, S. A. A preliminary study on the ultrastructure of Actinomadura pelletieri and its host tissue reaction. J. Med. Vet. Mycol. 32, 343–348 (1994).
Ahmed, A. O. et al. A murine model of Madurella mycetomatis eumycetoma. FEMS Immunol. Med. Microbiol. 37, 29–36 (2003).
Gumaa, S. A. & Abu-Samra, M. T. Experimental mycetoma infection in the goat. J. Comp. Pathol. 91, 341–346 (1981).
Gonzalez-Ochoa, A. [Experimental production of mycetoma by Nocardia braziliensis in the mouse]. Gac. Med. Mex. 99, 773–781 (1969).
Harun, A., Serena, C., Gilgado, F., Chen, S. C. & Meyer, W. Scedosporium aurantiacum is as virulent as S. prolificans, and shows strain-specific virulence differences, in a mouse model. Med. Mycol. 48, S45–S51 (2010).
Giammarino, A., Bellucci, N. & Angiolella, L. Galleria mellonella as a model for the study of fungal pathogens: advantages and disadvantages. Pathogens 13, 233 (2024).
Eadie, K., Parel, F., Helvert-van Poppel, M., Fahal, A. & van de Sande, W. Combining two antifungal agents does not enhance survival of Galleria mellonella larvae infected with Madurella mycetomatis. Trop. Med. Int. Health 22, 696–702 (2017).
Granato, M. Q. et al. Silver(I) and copper(II) complexes of 1,10-phenanthroline-5,6-dione against Phialophora verrucosa: a focus on the interaction with human macrophages and Galleria mellonella Larvae. Front. Microbiol. 12, 641258 (2021).
Kloezen, W. et al. Amphotericin B and terbinafine but not the azoles prolong survival in Galleria mellonella larvae infected with Madurella mycetomatis. Med. Mycol. 56, 469–478 (2018).
Paziani, M. H. et al. Antimicrobial photodynamic therapy with phenothiazinium photosensitizers in non-vertebrate model Galleria mellonella infected with Fusarium keratoplasticum and Fusarium moniliforme. Photodiagnosis Photodyn. Ther. 25, 197–203 (2019).
Nasher, M., Wethered, D., Hay, R. J., Mahgoub, E. S. & Gumaa, S. A. The ultrastructure of actinomycetoma grains caused by Streptomyces somaliensis. Am. J. Trop. Med. Hyg. 37, 174–179 (1987).
Siddig, E. E. et al. Human actinomycetoma caused by Actinomadura mexicana in Sudan: the first report. Trans. R. Soc. Trop. Med. Hyg. 115, 406–410 (2021).
Sindhuphak, W., Macdonald, E. & Head, E. Actinomycetoma caused by Nocardiopsis dassonvillei. Arch. Dermatol. 121, 1332–1334 (1985).
Bonifaz, A. et al. Actinomycetoma by Actinomadura madurae. Clinical and therapeutic characteristics of 18 cases with two treatment modalities. J. Dermatolog. Treat. 33, 954–958 (2022).
El Hassan, A. M., Fahal, A. H., Ahmed, A. O., Ismail, A. & Veress, B. The immunopathology of actinomycetoma lesions caused by Streptomyces somaliensis. Trans. R. Soc. Trop. Med. Hyg. 95, 89–92 (2001).
Salinas-Carmona, M. C. Anti-Nocardia brasiliensis antibodies in patients with actinomycetoma and their clinical usefulness. Gac. Med. Mex. 137, 1–8 (2001).
Salinas-Carmona, M. C. et al. Inducible nitric oxide synthase blockade with aminoguanidine, protects mice infected with Nocardia brasiliensis from actinomycetoma development. PLoS Negl. Trop. Dis. 14, e0008775 (2020).
Salinas-Carmona, M. C., Torres-Lopez, E., Ramos, A. I., Licon-Trillo, A. & Gonzalez-Spencer, D. Immune response to Nocardia brasiliensis antigens in an experimental model of actinomycetoma in BALB/c mice. Infect. Immun. 67, 2428–2432 (1999).
Tielen, P. et al. Extracellular enzymes affect biofilm formation of mucoid Pseudomonas aeruginosa. Microbiology 156, 2239–2252 (2010).
Rodriguez Mdel, C., Torres, J. A. & Zlotnik, H. Investigation of the temporal humoral immune response in a murine model of actinomycetoma. P R. Health Sci. J. 15, 91–95 (1996).
Kular, J. K., Basu, S. & Sharma, R. I. The extracellular matrix: Structure, composition, age-related differences, tools for analysis and applications for tissue engineering. J. Tissue Eng. 5, 2041731414557112 (2014).
Castro-Matteotti, B. et al. Immune response to Nocardia brasiliensis extracellular antigens in patients with mycetoma. Mycopathologia 165, 127–134 (2008).
Gonzalez-Suarez, M. L., Salinas-Carmona, M. C. & Perez-Rivera, I. IgM but not IgG monoclonal anti-Nocardia brasiliensis antibodies confer protection against experimental actinomycetoma in BALB/c mice. FEMS Immunol. Med. Microbiol. 57, 17–24 (2009).
Meester, I., Rosas-Taraco, A. G. & Salinas-Carmona, M. C. Nocardia brasiliensis induces formation of foamy macrophages and dendritic cells in vitro and in vivo. PLoS ONE 9, e100064 (2014).
Salinas-Carmona, M. C. & Torres-Lopez, E. Role of passive humoral immunity in experimental mycetoma by Nocardia brasiliensis. Ann. N. Y. Acad. Sci. 797, 263–265 (1996).
Vazquez-Marmolejo, A. V. et al. Nitric oxide determines the development of actinomycetoma by Nocardia brasiliensis in eNOS knockout C57BL/6 mice. FEMS Microbiol. Lett. 368, fnab048 (2021).
Wethered, D. B., Markey, M. A., Hay, R. J., Mahgoub, E. S. & Gumaa, S. A. Humoral immune responses to mycetoma organisms: characterization of specific antibodies by the use of enzyme-linked immunosorbent assay and immunoblotting. Trans. R. Soc. Trop. Med. Hyg. 82, 918–923 (1988).
Ajello, L. & Basom, W. C. A Mexican case of mycetoma caused by Streptomyces somaliensis. Dermatol. Int. 7, 17–22 (1968).
Kamalam, A. & Thambiah, A. S. A clinico-pathological study of actinomycotic mycetomas caused by Actinomadura madurae and Actinomadura pelletierii. Mycopathologia 97, 151–163 (1987).
Venugopal, P. V. & Venugopal, T. V. Actinomadura madurae mycetomas. Australas. J. Dermatol. 31, 33–36 (1990).
Dockx, P. The ultrastructure of the elementary lesion of actinomycotic mycetoma by Nocardia asteroides. Arch. Belg. Dermatol. Syphiligr. 28, 301–313 (1972).
Licon-Trillo, A., Angeles Castro-Corona, M. & Salinas-Carmona, M. C. Immunogenicity and biophysical properties of a Nocardia brasiliensis protease involved in pathogenesis of mycetoma. FEMS Immunol. Med. Microbiol. 37, 37–44 (2003).
Macotela-Ruiz, E. & Gonzalez-Angulo, A. Electron microscopic studies on granules of Nocardia brasiliensis in man. Sabouraudia 5, 92–98 (1966).
Van Gelderen de Komaid, A. Physiological and pathogenic characteristics of Nocardia brasiliensis isolated from human mycetomas. Mycopathologia 105, 111–116 (1989).
Author information
Authors and Affiliations
Contributions
A.H.F. conceptualised the study. A.H.F., A.O.A., L.E.H. and A.A.S. contributed equally to the literature review, analysis, writing, and critical revision of this review article. A.H.F., A.O.A., L.E.H. and A.A.S. approved the final version of the manuscript for submission.
Corresponding author
Ethics declarations
Competing interests
The authors declare no competing interests.
Peer review
Peer review information
Nature Communications thanks Dallas Smith for their contribution to the peer review of this work.
Additional information
Publisher’s note Springer Nature remains neutral with regard to jurisdictional claims in published maps and institutional affiliations.
Rights and permissions
Open Access This article is licensed under a Creative Commons Attribution-NonCommercial-NoDerivatives 4.0 International License, which permits any non-commercial use, sharing, distribution and reproduction in any medium or format, as long as you give appropriate credit to the original author(s) and the source, provide a link to the Creative Commons licence, and indicate if you modified the licensed material. You do not have permission under this licence to share adapted material derived from this article or parts of it. The images or other third party material in this article are included in the article’s Creative Commons licence, unless indicated otherwise in a credit line to the material. If material is not included in the article’s Creative Commons licence and your intended use is not permitted by statutory regulation or exceeds the permitted use, you will need to obtain permission directly from the copyright holder. To view a copy of this licence, visit http://creativecommons.org/licenses/by-nc-nd/4.0/.
About this article
Cite this article
Hassan Fahal, A., Ahmed, A.O., El Hassan, L. et al. The contribution of mycetoma grains to suboptimal disease management. Nat Commun 16, 9855 (2025). https://doi.org/10.1038/s41467-025-64908-8
Received:
Accepted:
Published:
Version of record:
DOI: https://doi.org/10.1038/s41467-025-64908-8










