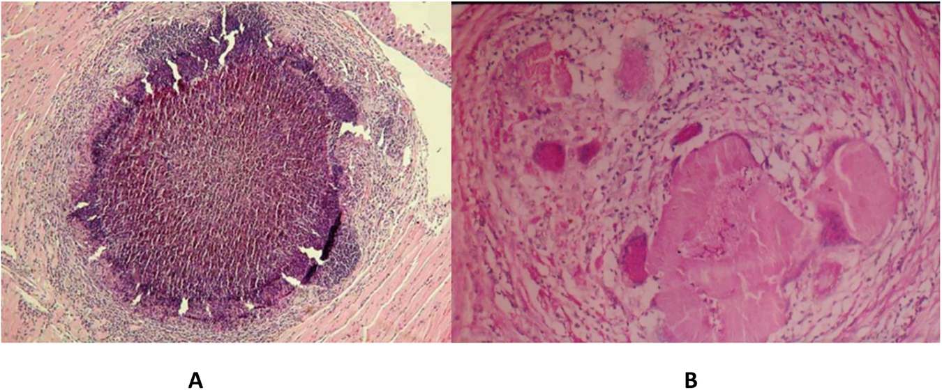
Fig. 5: Type I tissue reaction surrounding a Madurella mycetomatis grain and 4 Type II tissue reaction surrounding a Streptomyces somaliensis grain.
From: The contribution of mycetoma grains to suboptimal disease management

A Type I tissue reaction surrounding a Madurella mycetomatis grain. Stained with H&E X40. B Type II tissue reaction surrounding a Streptomyces somaliensis grain 9, composed of multinucleated giant cells adherent to the grain. Stained with H&E X40.