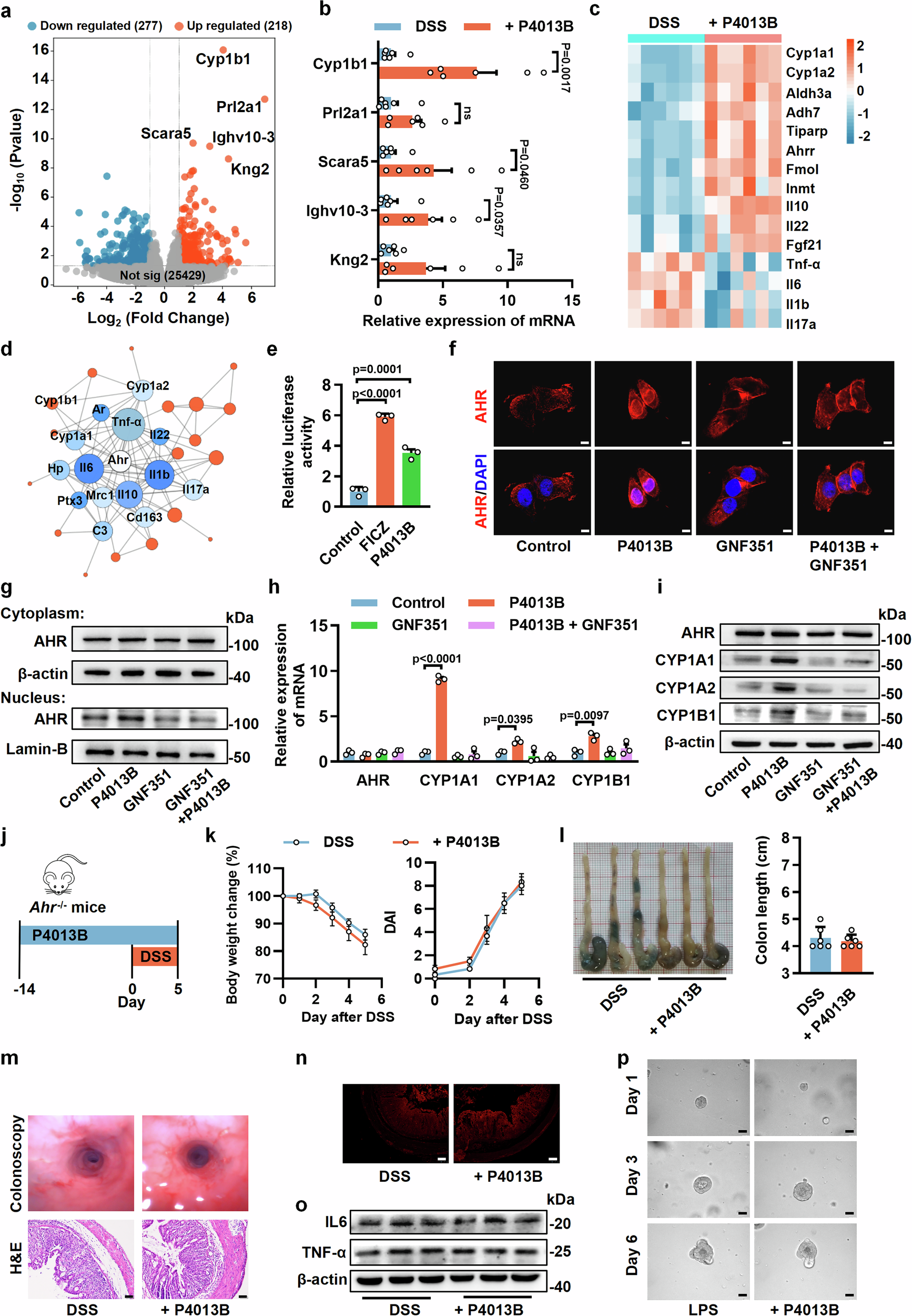
Fig. 3: P4013B protects against colitis dependent on AHR activation.

a Volcano plot of all detected genes in the colons of mice with DSS-induced colitis with or without P4013B colonization. b qPCR analysis of the top five significantly upregulated genes with significant statistical differences. c qPCR analysis of AHR target genes. Colored bars indicate standardized log2 expression intensities. Red and blue represent upregulation and downregulation, respectively. d Protein-protein interaction (PPI) network of DEGs and AHR. Node size is proportional to node degree. Node color reflects differential expression levels. e Agonistic effect of P4013B fermentation broth (5%) and AHR agonist FICZ determined by luciferase reporter assays using HEK293T cells transfected with AHR and CYP1A1 promoter plasmids. f–i NCM460 cells were incubated with P4013B fermentation broth (5%) in the absence or presence of AHR antagonists GNF351 (1 μM). f Immunofluorescence analysis of nuclear translocation of AHR. Scale bars, 10 μm. g AHR levels in the cytoplasm and nucleus. h qPCR analysis of AHR target genes. i Protein expression levels of AHR target genes. Statistics: two-tailed Student’s t test (b); one-way ANOVA with Dunnett’s test(e); one-way ANOVA with Tukey’s test (h). The data represent the means ± SEM, n = 3 biological replicates in (b, e, h). j Ahr-/- mice were administered 3% DSS in drinking water for 7 days to induce acute colitis after colonization without or with P4013B for two weeks. k Body weight change and DAI after 3% DSS induction. l Gross morphology and length of colons. m Colonoscopy and H&E-staining of colons. Scale bars, 50 μm. n Immunofluorescence analysis of colonic ZO-1. o Western blot analysis of TNF-α and IL6 in colons. p Representative images of organoid formation. Colonic crypts from Ahr-/- mice were isolated and cultured for 6 days in the absence or presence of LPS (5 μg/mL) or P4013B fermentation broth (5%). Scale bars, 50 μm. Statistics: two-tailed Student’s t test (k, l). The data represent the means ± SEM, n = 6 biological replicates in (k, l). Source data are provided as a Source Data file.