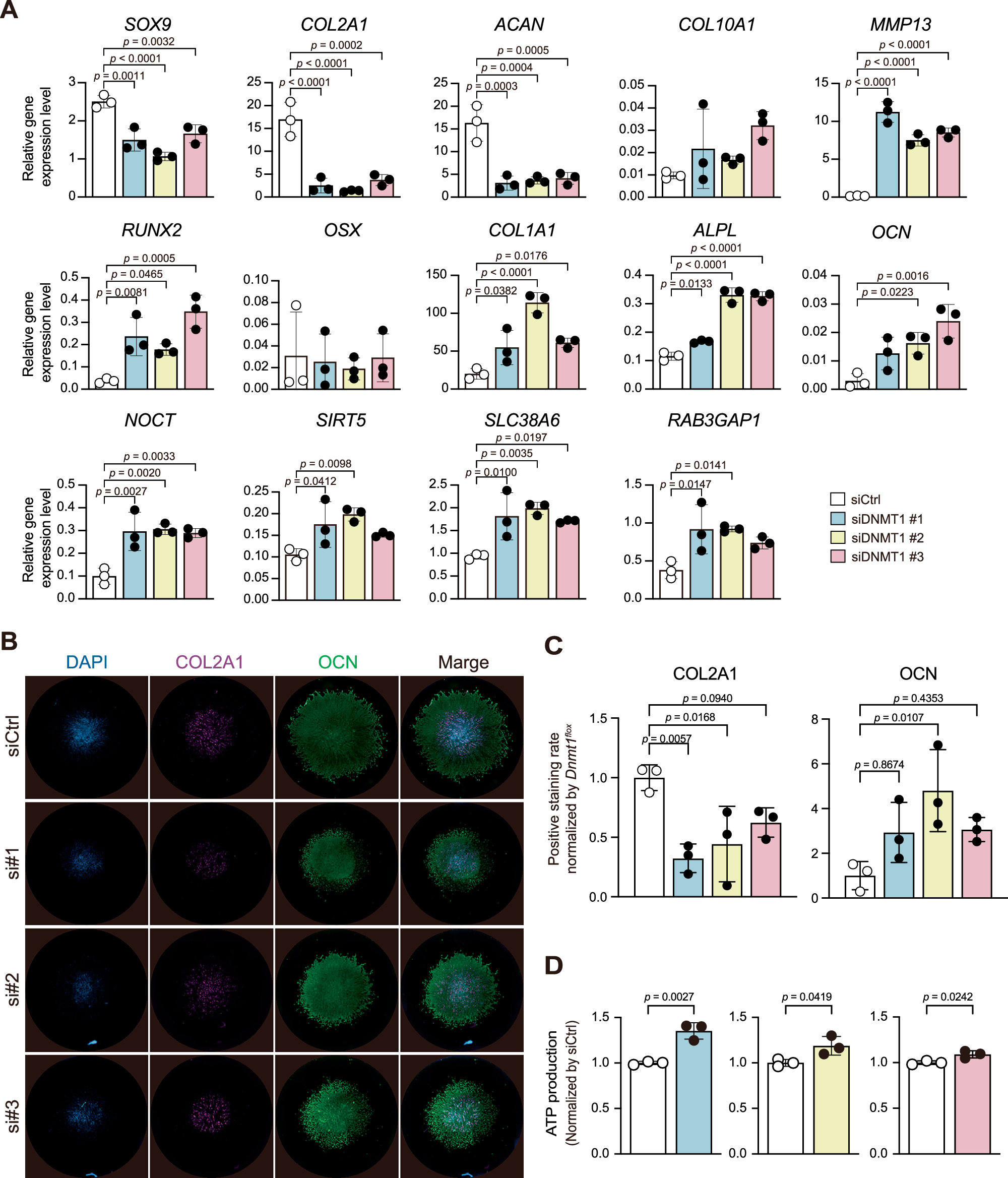
Fig. 6: Accelerated ATP production and differentiation in human chondrocytes with DNMT1 deficiency.
From: Dnmt1 determines bone length by regulating energy metabolism of growth plate chondrocytes

A RT-qPCR to determine expression levels of genes related to energy metabolism and chondrocyte differentiation in human-derived chondrocytes after BMP2 differentiation stimulus (each siRNA-treated cells n = 3). B Immunocytochemical staining for nuclear DNA (DAPI, Blue), COL2A1 (Magenta) and OCN (Green) in micromass cultures of human-derived chondrocytes after BMP2 differentiation stimulus. Representative data from at least three individual mice are shown. C Quantitative analysis of COL2A1 and OCN positive staining area in immunocytochemical staining (each siRNA-treated cells n = 3). D ATP production calculated from OCR (each siRNA-treated cells n = 3). All data are mean ± s.d. Significance of mean differences was assessed using unpaired t-tests or Dunnett’s multiple comparisons test with two-tailed P values. Source data are provided as a Source Data file.