Abstract
Chondrocytes differentiated from mesenchymal stem cells play a role in determining skeletal patterns by ossification. However, the mechanism by which maintenance DNA methylation in chondrocytes regulates differentiation and skeletal formation is unclear. In the Musculoskeletal Knowledge Portal, Dnmt1 is significantly associated with Height. Long bones in Dnmt1-deficient (Dnmt1ΔPrx1) mouse limbs are significantly shortened due to decreased chondrocyte proliferation and accelerated differentiation. Integrated analysis of RNA-Seq and MBD-Seq reveals that reduced DNA methylation in Dnmt1ΔPrx1 chondrocytes leads to increased expression of genes related to energy metabolism and to ossification. Metabolomic analyses confirm that Dnmt1ΔPrx1 chondrocytes had increased levels of nearly all energy metabolites. These results indicate that Dnmt1-mediated maintenance of DNA methylation governs chondrocyte differentiation by regulating energy metabolism through both gene expression and modulation of metabolite supplies. Taken together, this study suggests that appropriate DNA methylation status in chondrocytes can orchestrate growth plate mineralization and subsequently determine bone length.
Introduction
Chondrocytes are involved in the formation of cartilage and play a pivotal role in the development of the skeletal system. The formation of skeletal elements, including long bones, occurs through endochondral ossification when mesenchymal stem cells differentiate into chondrocytes that then form an anlage of cartilage. The cartilage anlage serves as a scaffold for bone formation. Chondrocytes within the cartilage matrix secrete extracellular matrix components, including collagen and proteoglycans. As chondrocytes mature and undergo hypertrophy, they begin to mineralize the surrounding matrix. Ultimately, the hypertrophic cartilage is replaced by bone tissue, which contributes to longitudinal bone growth. This chondrocyte differentiation process is essential for the development, growth, and maintenance of the skeletal system1.
Epigenetics involves the regulation of gene expression without altering the genomic DNA sequence. During cell differentiation, epigenetic modifications such as DNA methylation, histone modifications, and chromatin remodeling dynamically regulate the accessibility of transcriptional machinery to gene loci2. Epigenetic mechanisms play a crucial role in cell differentiation and development. In particular, DNA methylation maintenance is an epigenome-supporting system that reconstructs histone modifications and chromatin structure in post-mitotic cells through inheritance of DNA methylation3. The DNA methylation maintenance system comprises two key molecules: Ubiquitin-like containing PHD and RING finger domains 1 (Uhrf1) and DNA methyl transferase 1 (Dnmt1). During DNA replication, Uhrf1 recognizes hemimethylated DNA and recruits Dnmt1, which methylates the replicated DNA strand. DNA methylation in the vicinity of the transcription start site is known to suppress gene expression4.
As we previously reported, Uhrf1 regulates limb growth through control of gene expression5. Uhrf1 has various domains and diverse functions, including maintaining DNA methylation as well as de novo methylation and genomic DNA stability6,7. However, the relationship between bone growth and mechanisms of Dnmt1, the main DNA methyltransferase involved in DNA methylation maintenance, remained unclear. Dnmt1 was previously reported to be involved in knee osteoarthritis (OA) and mineralization of periodontal ligament cells and mesenchymal cells8,9,10,11, but the function of Dnmt1 in skeletal formation, particularly in chondrocytes, is also unclear. Here, we show that Dnmt1 regulates not only gene expression but also energy metabolism, which is involved in the mineralization of cartilage and the consequent determination of bone length.
Results
Lack of growth of long bones in Dnmt1 ΔPrx1 mice after birth
To elucidate the role of Dnmt1 in the skeletal system, we first used the Musculoskeletal Knowledge Portal (MSK-KP) to assess the gene-level association of single-nucleotide polymorphisms in the DNMT1 gene locus. The most significant correlation was with Height (P value < 4.2e−35; Fig. 1A). Therefore, we generated mice with conditional knockout of Dnmt1 that was specific to limb mesenchymal cells (Dnmt1ΔPrx1) by crossing Prrx1-Cre mice with Dnmt1 floxed mice and analyzing the effects of Dnmt1 knockout on skeletal formation. Skeletal preparations from neonatal control (Dnmt1flox) mice and Dnmt1ΔPrx1 mice showed that both genotypes had mineralized bone and cartilage tissue in the limbs (Fig. 1B). However, the joints of Dnmt1ΔPrx1 mice had a poorly formed cartilage matrix at 1 week after birth (Fig. 1C). Shortening of long bones in Dnmt1ΔPrx1 mice was observed from birth, and these differences became more pronounced during the first several weeks of life (Supplementary Fig. 1A). Since sex differences in bone length were not observed at the relatively mature age of 6 weeks (Supplementary Fig. 1B), we used both male and female mice together to analyze the function of Dnmt1 in sex-independent skeletal development. The percentage of bone length in Dnmt1ΔPrx1 mice relative to Dnmt1flox mice decreased with age (1 week old, 62.4% (Fig. 1D); 2 weeks old, 60.6% (Supplementary Fig. 1C); 3 weeks old, 52.9% (Supplementary Fig. 1D); 6 weeks old, 37.4–42.4% (Fig. 1E, F, S1B)). When the mice were 16 weeks old the bone length of Dnmt1ΔPrx1 mice was less than half (44.7%) that of Dnmt1flox mice (Supplementary Fig. 1E). Thus, the long bones of Dnmt1ΔPrx1 mice showed little elongation, and the differences in bone length became more pronounced as the mice aged. These differences persisted into adulthood. These data indicated that Dnmt1 plays a more important role in longitudinal bone growth in the postnatal than the embryonic developmental stage.
A Gene-level association of single-nucleotide polymorphisms in the DNMT1 gene locus obtained from the Musculoskeletal Knowledge Portal (MSK-KP). -log10(p) values from two-sided MAGMA gene analysis (FDR corrected). B Skeletal preparations (Alcian Blue/Alizarin Red) of neonatal Dnmt1flox (left) and Dnmt1ΔPrx1 (right) mice. C Higher magnification images of skeletal preparations of forelimbs (upper panels) and hindlimbs (lower panels). D Length of tibiae from 1-week-old Dnmt1flox (n = 7) and Dnmt1ΔPrx1(n = 7) mice. E µCT images of tibiae from 6-week-old Dnmt1flox and Dnmt1ΔPrx1 mice. F Length of tibiae from 6-week-old Dnmt1flox (n = 15) and Dnmt1ΔPrx1(n = 13) mice. B, C, E Representative data from at least three individual mice are shown. D, F Data are mean ± s.d. Significance of mean differences was assessed using unpaired two-sided t-tests. Source data are provided as a Source Data file.
Prrx1-Cre mice express Cre recombinase from limb mesenchymal cells that differentiate into osteoblasts and chondrocytes. To confirm whether long bone phenotype differences seen in Dnmt1ΔPrx1 mice are derived from osteoblasts or chondrocytes, we generated osteoblast- and chondrocyte-specific Dnmt1-deficient mice using Osx-Cre and Col2a1-Cre mice, respectively. The Osx-cre; Dnmt1 flox/flox mice survived to adulthood. However, the number of Col2a1-Cre; Dnmt1 flox/flox mice that survived to adulthood was substantially lower and the birth rates of these mice were very low and did not follow Mendel’s laws (Supplementary Fig. 1F). Osx-Cre; Dnmt1 flox/flox mice showed no difference in bone length compared to Cre-controls (Supplementary Fig. 1G), whereas Col2a1-Cre; Dnmt1 flox/flox mice showed significant shortening (67.1%) compared to Col2a1-Cre; Dnmt1 flox/+ mice (Supplementary Fig. 1H). These results strongly suggest that the skeletal phenotype of Dnmt1ΔPrx1 mice has a chondrocyte origin. As mentioned above, Col2a1-cre; Dnmt1 flox/flox mice are challenging to analyze due to their low survival rates. As such, subsequent analyses involved Dnmt1ΔPrx1 mice.
Accelerated differentiation in Dnmt1 ΔPrx1 growth plates
Growth plate cartilage is important for longitudinal bone elongation. Here, we performed histological analyses to determine whether Dnmt1 is expressed in growth plate cartilage. Immunohistochemical staining revealed that expression of both Dnmt1 and Uhrf1 localized to chondrocytes in the proliferative zone, where bromodeoxyuridine (BrdU)-positive cells of control Dnmt1flox mice are seen. In contrast, Dnmt1ΔPrx1 mice had significantly lower Uhrf1 expression relative to Dnmt1flox mice, and essentially no Dnmt1 expression (Fig. 2A–D). These results indicate that Dnmt1 functions mainly in the proliferative chondrocytes of growth plate cartilage and that Prrx1-Cre-mediated conditional knockout effectively reduced Dnmt1 expression in the limbs. Safranin O/Fast green staining of cartilage tissue revealed that the proliferative cartilage area in the proximal tibia was significantly smaller in Dnmt1ΔPrx1 mice compared to Dnmt1flox mice at 1 week of age (Fig. 2E, F). The population of BrdU-positive cells in growth plate cartilage was significantly lower in Dnmt1ΔPrx1 mice than in control Dnmt1flox mice (Supplementary Fig. 2A, B), while the hypertrophic cartilage area and mineralized area were significantly wider (Fig. 2E, F, G). At 6 weeks of age, Dnmt1ΔPrx1 mice exhibited a loss of growth plates and trabecular bones, and a marked delay in the formation of secondary ossification centers in the proximal tibia (Fig. 2H, I). The control Dnmt1flox mice had slow progression of growth plate calcification, and sequential μCT images did not exhibit trabecular bone until the mice were 6 weeks old (Supplementary Fig. 3A, upper panel). On the other hand, Dnmt1ΔPrx1 mice had significant calcification of both growth plates and trabecular bones beginning as early as 1 week of age, and calcified trabecular structures had disappeared when the mice were 6 weeks old (Supplementary Fig. 3A, lower panel). Trabecular bone formation is dependent on proper osteoclast/chondroclast and osteoblast function. As such, we carried out immunohistochemical staining for osteoclast and osteoblast markers using tibiae from 2-week-old mice. The area of Osterix (Osx)-positive staining did not differ between Dnmt1flox mice and Dnmt1ΔPrx1 mice, but the area of Cathepsin K (Ctsk)-positive osteoclasts was significantly larger in Dnmt1ΔPrx1 mice compared to Dnmt1flox mice (Supplementary Fig. 3B, C). Due to the increased percentage of osteoclasts in Dnmt1ΔPrx1 mice, we stained for receptor activator of NFκB ligand (Rankl), an inducer of osteoclastogenesis, and Osteoprotegerin (Opg), its decoy receptor of Rankl. In the vicinity of primary trabecular bone in Dnmt1ΔPrx1 mice, expression of both Rankl and Opg appeared to be increased compared to Dnmt1flox mice, but much of the Rankl in Dnmt1ΔPrx1 mice did not co-localize with Opg (Supplementary Fig. 3D). These results indicated that Rankl secretion near primary trabecular bone was increased in Dnmt1ΔPrx1 mice with advanced chondrocyte differentiation, followed by enhancement of osteoclastogenesis. In general, bone elongation is maintained by a balance between the proliferative and hypertrophic cartilage zones. These findings suggest that Dnmt1ΔPrx1 mice have a disruption in the balance of cartilage proliferation as well as differentiation/calcification and its resorption that causes bone length shortening and loss of growth plates.
A Immunohistochemistry for DAPI (Blue), Dnmt1 (Red) and Uhrf1 (Green) in the proliferative zone (PZ) of the proximal tibial growth plate from 1-week-old Dnmt1flox (top row) and Dnmt1ΔPrx1(bottom row) mice. B Quantification of Dnmt1 and Uhrf1 expression in the PZ of growth plate chondrocytes from Dnmt1flox (n = 6) and Dnmt1ΔPrx1(n = 6) mice. C, D Immunohistochemistry of DAPI (Blue), BrdU (Red) and (C) Dnmt1 or (D) Uhrf1 (Green) in proximal tibiae from 1-week-old mice. E Safranin O/Fast green staining of proximal tibiae from 1-week-old mice; right panels show a higher magnification of the boxed areas in the left panels, showing the PZ and Hypertrophic zone (HZ) in growth plate cartilage. F Quantification of the area of PZ and HZ in growth plate cartilage layers in proximal tibiae from Dnmt1flox (n = 7) and Dnmt1ΔPrx1 (n = 7) mice in (E). G Von Kossa staining of proximal tibiae from 1-week-old mice. H Safranin O/Fast green staining of proximal tibiae from 6-week-old mice. I µCT images of tibiae from 6-week-old mice. A, C–E, G–I Representative data from at least three individual mice are shown. All data are mean ± s.d. Significance of mean differences was assessed using unpaired two-sided t-tests. Source data are provided as a Source Data file.
Dnmt1 deficiency enhanced chondrocyte mineralization
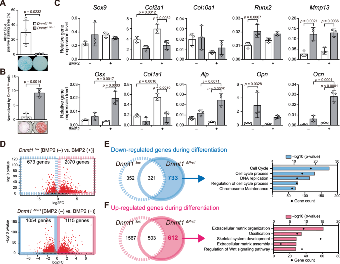
To investigate the molecular basis for the Dnmt1ΔPrx1 phenotype, we evaluated the differentiation and proliferation of primary cultured chondrocytes obtained from neonatal Dnmt1flox and Dnmt1ΔPrx1 mice. Primary cultured chondrocytes were used for monolayer cultures (Fig. 3 and Supplementary Fig. 4) and micromass cultures (Supplementary Fig. 5). Gene expression levels of Dnmt1 in Dnmt1ΔPrx1 chondrocytes were significantly lower regardless of the presence or absence of Bone morphogenetic protein 2 (BMP2) (Supplementary Fig. 4A). Levels of Dnmt1 protein were also significantly lower (Supplementary Fig. 4B, C) in Dnmt1ΔPrx1 chondrocytes relative to Dnmt1flox chondrocytes. Along with the Dnmt1 deficiency, gene expression levels of Uhrf1 and Ten-eleven translocation (Tet1/2/3) DNA demethylases were also decreased in Dnmt1ΔPrx1 mice (Supplementary Fig. 4A). Proliferation of chondrocytes derived from Dnmt1ΔPrx1 mice was significantly slower than that for Dnmt1flox chondrocytes (Supplementary Fig. 4D, E). Moreover, Alcian Blue staining indicated a notable reduction in cartilage matrix synthesis in Dnmt1ΔPrx1 chondrocytes (Fig. 3A). On the other hand, consistent with in vivo observations (Fig. 2G), mineralization was accelerated in Dnmt1ΔPrx1 chondrocytes (Fig. 3B). These in vitro results support the in vivo findings that Dnmt1 regulates both cell proliferation and differentiation. To verify chondrocyte differentiation at the cellular level, real-time RT-PCR was performed using primary cultured chondrocytes that were or were not stimulated with BMP2. In Dnmt1ΔPrx1 chondrocytes, gene expression levels of Col2a1, a marker of early chondrocyte differentiation, were significantly decreased, and gene expression of late markers such as Runt-related transcription factor 2 (Runx2) and Matrix metalloproteinase-13 (Mmp13) was significantly increased before BMP2 treatment. Genes related to osteoblast differentiation and calcification, such as Osterix (Osx), Alkaline phosphatase (Alp), Osteopontin (Opn), and Osteocalcin (Ocn), were also significantly increased in Dnmt1ΔPrx1 chondrocytes (Fig. 3C). Since cartilage calcification is known to be accompanied by apoptosis, we performed TUNEL staining12,13,14. As previously reported, hypercalcification in Dnmt1ΔPrx1 chondrocytes was accompanied by an increased population of apoptotic cells (Supplementary Fig. 4F, G). Micromass culture showed expression levels of genes related to DNA methylation maintenance that were similar to those in monolayer cultures (Supplementary Fig. 5A). Although the gene and protein expression levels of the early chondrogenic differentiation marker Col2a1 were reduced in Dnmt1ΔPrx1 (Supplementary Fig. 5A–C), the late marker genes Runx2 and Mmp13 were similar between Dnmt1flox and Dnmt1ΔPrx1 in micromass cultured chondrocytes (Supplementary Fig. 5A). Expression levels of genes related to osteoblast differentiation and calcification showed similar trends to those seen for monolayer cultures (Supplementary Fig. 5A). In particular, Ocn expression levels were enhanced in Dnmt1ΔPrx1 chondrocytes, even at the protein level (Supplementary Fig. 5B, C). Reflecting these results, reduced cartilage matrix production capacity and increased calcification were also observed in micromass-cultured Dnmt1ΔPrx1 chondrocytes by Alcian blue, toluidine blue, and alizarin red staining (Supplementary Fig. 5D–F). These data suggested that Dnmt1 deficiency in primary cultured chondrocytes, regardless of the culture method, was associated with dysregulated proliferation, differentiation, and mineralization, which correspond to the deficiencies in long bone formation seen for Dnmt1ΔPrx1 mice.
A Alcian Blue staining for quantitative evaluation of cartilage matrix synthesis activity in primary cultured chondrocytes obtained from Dnmt1flox (n = 4) and Dnmt1ΔPrx1 (n = 3) mice. B Alizarin Red staining for quantitative analysis of mineralization activity of primary cultured chondrocytes obtained from Dnmt1flox (n = 3) and Dnmt1ΔPrx1 (n = 3) mice. C Expression levels of genes related to chondrogenesis, mineralization and osteoblast differentiation in Dnmt1flox (n = 3) and Dnmt1ΔPrx1 (n = 3) chondrocytes with and without BMP2 treatment. D Volcano plots of RNA-Seq data from Dnmt1flox (upper panel) and Dnmt1ΔPrx1 (lower panel) chondrocytes with and without BMP2 treatment. The plots were generated automatically using RaNA-seq, and the vertical axis displays the P values prior to adjustment. E Left panel: Venn diagram of genes that had downregulated expression during differentiation of Dnmt1flox (Light blue dashed line) and Dnmt1ΔPrx1 (Light blue solid line) chondrocytes. Right panel: Enrichment analysis of specific downregulated genes (733 genes) during differentiation of Dnmt1ΔPrx1chondrocytes shows increased expression of genes associated with the cell cycle. F Left panel: Venn diagram of genes that were upregulated during differentiation of Dnmt1flox (Pink dashed line) and Dnmt1ΔPrx1 (Pink solid line) chondrocytes. Right panel: Enrichment analysis of Dnmt1ΔPrx1-specific upregulated genes (612 genes) during differentiation of Dnmt1ΔPrx1chondrocytes shows increased expression of genes associated with the extracellular matrix. A–C Data are mean ± s.d. Significance of mean differences was assessed using unpaired t-tests or Tukey’s post hoc tests with two-tailed P values. E, F Enrichment analysis P values were calculated with Metascape. Source data are provided as a Source Data file.
Dnmt1 regulates genes for proliferation and chondrogenesis
To identify mechanisms that may cause the observed phenotypes, we next comprehensively explored the gene expression profile of Dnmt1-deficient chondrocytes by RNA-Seq using primary cultured chondrocytes that were or were not treated with BMP2. To verify that gene expression profiles were altered by Dnmt1 deficiency during chondrocyte differentiation, we first compared the expression of genes that had significant decreases or increases in expression in the presence of BMP2 treatment for each mouse genotype. BMP2 treatment downregulated the expression levels of 673 and 1054 genes in Dnmt1flox and in Dnmt1ΔPrx1 chondrocytes, respectively (Fig. 3D). Among these, expression of 733 genes was specifically decreased by Dnmt1 deficiency. Enrichment analysis of these 733 genes revealed an enrichment in genes related to cell cycle (Fig. 3E). Upregulated expression in the presence of BMP2 treatment was seen for 2070 and 1115 genes in Dnmt1flox and Dnmt1ΔPrx1 chondrocytes, respectively (Fig. 3D). Of these, expression of 612 genes was specifically increased by Dnmt1 deficiency, and enrichment analysis revealed genes involved in ossification and skeletal system development (Fig. 3F). These results further corroborate the phenotypes observed in vivo and in vitro and suggest that Dnmt1 comprehensively orchestrates gene expression profiles associated with chondrocyte proliferation and differentiation.
Dnmt1 directly regulates energy metabolism-related genes
DNA methylation is a repressor of gene expression, and thus loss of Dnmt1 would be expected to decrease DNA methylation levels and increase gene expression. Therefore, to identify genes directly regulated by Dnmt1, we focused on those genes that were more highly expressed in Dnmt1ΔPrx1 chondrocytes than in Dnmt1flox chondrocytes before and after induction of differentiation by BMP2. A principal component analysis (PCA) to compare Dnmt1flox and Dnmt1ΔPrx1 chondrocytes in the presence or absence of BMP2 showed disparate gene expression profiles for cells from Dnmt1flox and Dnmt1ΔPrx1 mice (Supplementary Fig. 6A, B). Subsequent expression analyses visualized by volcano plots showed upregulated expression of multiple genes in Dnmt1ΔPrx1 chondrocytes compared to Dnmt1flox, regardless of BMP2 treatment (Fig. 4A, B). However, it is presumed that a significant number of genes were upregulated due to indirect factors. Thus, to clarify genome-wide changes in DNA methylation status associated with Dnmt1 deficiency and to comprehensively analyze transcriptional regulation by DNA methylation, we next isolated methylated DNA from primary cultured chondrocytes obtained from Dnmt1flox and Dnmt1ΔPrx1mice without BMP2 treatment. The methylated DNA was then subjected to next-generation sequencing (MBD-seq). The amount of methylated DNA collected using methyl CpG binding domain protein 2 (MBD2) beads was significantly lower for Dnmt1ΔPrx1 chondrocytes than for Dnmt1flox chondrocytes (Fig. 4C) and the peak count frequency of the transcription start site (TSS) region of methylated DNA was also significantly lower in Dnmt1ΔPrx1 chondrocytes (Fig. 4D). This result is consistent with the finding that Dnmt1ΔPrx1 chondrocytes had a higher number of upregulated genes than downregulated genes compared to the control Dnmt1flox chondrocytes (Fig. 4A, B). To ascertain the loci of Dnmt1-mediated methylated DNA, we performed MACS2 peak calling using Dnmt1flox chondrocytes as the treatment and Dnmt1ΔPrx1 chondrocytes as the control. Genes with a peak within 10 kb upstream of the TSS were then extracted as genes having DNA methylation that was regulated in a Dnmt1-dependent manner. These analyses identified 14,751 gene loci that were targets of Dnmt1-mediated methylation (Fig. 4E). Combining this result with the RNA-Seq data, we investigated the upregulated genes in Dnmt1ΔPrx1 chondrocytes that overlapped with methylated DNA peaks associated with Dnmt1 activity in chondrocytes that were and were not treated with BMP2 to identify genes that are direct targets of Dnmt1 methylation. To extract genes more closely related to DNA hypomethylation, RNA-Seq data were compared to Dnmt1flox with a focus on genes that were significantly upregulated in Dnmt1ΔPrx1 chondrocytes with log2 fold change (FC) ≥ 1 and gene expression levels in Dnmt1flox chondrocytes that were higher than the median value. After this selection, 512 and 875 genes had upregulated expression before and after BMP2 treatment, respectively (Fig. 4A, B). Next, we searched for genes that were commonly identified across the 14,751 genes extracted by MBD-Seq and the 512 and 875 genes identified by RNA-seq. We found 123 upregulated genes with Dnmt1-mediated peaks within 10 kb of the TSS (Fig. 4E). These genes are upregulated in response to the loss of Dnmt1, which leads to a reduction in DNA methylation. To investigate the functions and pathways associated with these 123 genes, we performed gene enrichment analysis. The results revealed that these genes are significantly enriched in pathways related to the immune system, calcification, and catabolic processes (Fig. 4F). Furthermore, all of the RNA-Seq results included Nocturnin (Noct), Solute carrier family 38 member 6 (Slc38a6), RAB3 GTPase activating protein catalytic subunit 1 (Rab3gap1), and Sirtuin 5 (Sirt5), which are all reported to be involved in energy metabolism (Fig. 4G)15,16,17,18,19,20. Noct is phosphatase which catalyzes the conversion of NADP+ to NAD+ and of NADPH to NADH. Slc38a6 is a glutamate transporter and is highly expressed in neurons. Rab3gap1 works as GTPase-activator, and Sirt5 is a deacetylase that works in an NAD-dependent manner and is localized to mitochondria. These genes showed very high log2 FC values of 4-8 or higher in Dnmt1ΔPrx1 compared to Dnmt1flox chondrocytes (Fig. 4H). Indeed, the magnitude of the methylated DNA peaks around the TSS of these genes was reduced in Dnmt1ΔPrx1 chondrocytes (Fig. 4I). These results suggest that Dnmt1-mediated methylation directly regulates the expression of genes involved in energy metabolism.
A, B Volcano plot for RNA-seq data (A) without and (B) with BMP2 differentiation stimulus. The plots were generated automatically using RaNA-seq. The tables show the number of differentially expressed genes. Red dots correspond to genes that had significant differential expression (Padj <0.05) between Dnmt1ΔPrx1 chondrocytes and Dnmt1flox chondrocytes. C Percentage of MBD2-mediated enrichment in methylated DNA in 1 µg total DNA from Dnmt1flox (n = 6) and Dnmt1ΔPrx1 (n = 6) chondrocytes. Data is mean ± s.d. Significance of mean differences was assessed using unpaired two-sided t-tests. D Peak count frequency of MBD-Seq. E Venn diagram highlights the number of genes with increased expression accompanying decreases in methylated DNA due to Dnmt1 deficiency. F Enrichment analysis of genes (n = 123) having increased expression that accompanied decreases in methylated DNA due to Dnmt1 deficiency, with P values calculated using Metascape. G Schematic diagram of genes related to energy metabolism. H log2 fold-change of in vitro and in vivo RNA-seq data for energy metabolism-related genes shown in (G). I Methylated DNA signals for selected genes as illustrated with the Integrative Genome Viewer (IGV). Source data are provided as a Source Data file.
Genes related to chondrocyte differentiation and energy metabolism were also upregulated in Dnmt1 ΔPrx1 cartilage
Next, to confirm that the results obtained in vitro are consistent with those obtained in vivo, RNA-Seq was performed using cartilage obtained from the knee joints of P5 mice. According to a PCA, gene expression profiles differed between Dnmt1flox and Dnmt1ΔPrx1 even in vivo (Supplementary Fig. 6C). A volcano plot showed that the number of genes that were significantly upregulated in Dnmt1ΔPrx1 was greater than the number of genes with downregulated expression, which is also consistent with the trend seen in vitro (Supplementary Fig. 6D). In vivo RNA-Seq also showed that expression of Noct, Slc38a6, Rab3gap1, and Sirt5 was significantly and dramatically increased in Dnmt1ΔPrx1 relative to Dnmt1flox (Fig. 4H).
The log2 FC values for Dnmt1ΔPrx1 were compared to those for Dnmt1flox to generate a heatmap for each relevant marker. Results for in vitro and in vivo experiments both demonstrated an increase in the expression of genes associated with calcification, including Pthlh, Osx, and Ocn, as well as genes related to osteoclast differentiation, such as Csf1, and genes related to oxidative phosphorylation (Supplementary Fig. 6E). These in vivo findings suggest that Dnmt1 plays a comprehensive role in regulating normal cartilage differentiation and energy metabolism, again supporting the in vitro data.
Dnmt1 regulates calcification via energy metabolism
We next explored whether the loss of Dnmt1 affects the energy metabolism of chondrocytes. First, glutamine uptake and mitochondrial metabolism were measured to assess the TCA cycle. Glutamine uptake was downregulated in Dnmt1ΔPrx1 chondrocytes compared to Dnmt1flox chondrocytes (Fig. 5A), whereas mitochondrial metabolism was markedly elevated in Dnmt1ΔPrx1 chondrocytes (Fig. 5B). Enhanced mitochondrial metabolism was also observed in Dnmt1flox chondrocytes treated with two types of siDnmt1 (Supplementary Fig. 7A). Both siRNAs used in this mitochondrial metabolism assay sufficiently suppressed Dnmt1 expression (Supplementary Fig. 7B). Meanwhile, in BMSCs, mitochondrial metabolism did not differ between Dnmt1flox and Dnmt1ΔPrx1 (Supplementary Fig. 7C). These results support a critical function for Dnmt1 in chondrocytes, but not in BMSCs. Meanwhile, glucose uptake was unaffected by Dnmt1ΔPrx1 (Supplementary Fig. 7D), but glycolysis activity was enhanced (Supplementary Fig. 7E). LC/MS was next carried out to measure changes in metabolites associated with bioenergetic pathways. Levels of almost all major energy metabolites involved in both the TCA cycle and glycolysis, including coenzymes, were increased in Dnmt1ΔPrx1 chondrocytes compared to Dnmt1flox chondrocytes (Fig. 5C, S7F). Among them, levels of S-adenosyl-methionine (SAM) and 2-ketoglutarate (2KG) were higher in Dnmt1ΔPrx1 chondrocytes than in control Dnmt1flox chondrocytes. SAM is a well-known substrate for DNA methylation, while 2KG is a substrate for demethylation of methyl groups. The increased levels of SAM and 2KG observed in Dnmt1ΔPrx1 chondrocytes are considered to be due to the following factors; The loss of Dnmt1 reduced the consumption of SAM, which is required for DNA methylation, leading to an accumulation of intracellular SAM. Additionally, the global reduction in DNA methylation likely decreased the demand for DNA demethylation, thereby reducing the consumption of 2KG, a key substrate for demethylation, and resulting in increased intracellular 2KG levels. In particular, 2KG is important for the TCA cycle, and is a representative energy metabolite that had increased levels in Dnmt1ΔPrx1 chondrocytes. These findings suggest that the imbalance between the demand and supply of methylation-related substrates may contribute to the upregulation of intracellular energy metabolism.
A Glutamine uptake by Dnmt1flox (n = 3) and Dnmt1ΔPrx1 (n = 3) chondrocytes. B Left panel: Oxygen consumption rate (OCR) assessed after addition of oligomycin, carbonyl cyanide 4- (trifluoromethoxy) phenylhydrazone (FCCP), and antimycin A/rotenone (AA/ROT) at the indicated times. Right panel: Basal respiration, ATP production and maximal respiration measured for Dnmt1flox (n = 3) and Dnmt1ΔPrx1 (n = 3) chondrocytes. C Relative quantification of energy metabolites by metabolome analysis of Dnmt1flox (n = 7) and Dnmt1ΔPrx1 (n = 9) chondrocytes. D Calcification activity in primary cultured chondrocytes in the presence or absence of glucose, glutamine, and pyruvate as evaluated by Alizarin Red staining of Dnmt1flox (n = 5) and Dnmt1ΔPrx1 (n = 5) chondrocytes. E Calcification activity in Dnmt1flox and Dnmt1ΔPrx1 micromass cultured chondrocytes in the presence of energy metabolism inhibitors (CB839: Glutaminase inhibitor (n = 4), Oligomycin: ATP synthesis inhibitor (n = 4)) as evaluated by Alizarin Red staining. F µCT images of Dnmt1ΔPrx1 tibia treated with DMSO or CB839. The yellow dashed line indicates the area around the primary trabecular bone analyzed by µCT. Representative data from at least three individual mice are shown. Quantitative analysis of (G) trabecular and (H) cortical bone parameters by μCT in DMSO (n = 6) or CB839 (n = 6) treatment. All data are mean ± s.d. Significance of mean differences was assessed using unpaired t-tests or Tukey’s post hoc tests with two-tailed P values. Source data are provided as a Source Data file.
Enhanced energy metabolism is required for cell differentiation and mineralization21,22,23,24. Here, we examined whether enhanced mineralization seen in Dnmt1ΔPrx1 chondrocytes can be suppressed by removing glucose, glutamine, and pyruvate from the culture medium. As expected, essentially no calcification in Dnmt1flox chondrocytes was observed in the absence of glucose, glutamine, and pyruvate, but slight calcification levels did persist in Dnmt1ΔPrx1 chondrocytes (Fig. 5D), suggesting that aberrant energy metabolism pathways may be engaged in Dnmt1ΔPrx1 chondrocytes. Furthermore, treatment with TCA cycle inhibitors, such as glutaminase (CB839) or ATP synthesis (Oligomycin) inhibitors, suppressed the abnormally enhanced energy metabolism (Supplementary Fig. 7G) and mineralization (Fig. 5E, S7H) seen in Dnmt1ΔPrx1 chondrocytes to a similar extent as Dnmt1flox.
To confirm whether this suppression of energy metabolism also inhibits calcification in vivo, Dnmt1ΔPrx1 mice were treated with CB839 daily for 2 weeks beginning immediately after birth. In CB839-treated Dnmt1ΔPrx1 mice, µCT analysis of the region around the primary trabecular bone of the proximal tibia showed a reduction in trabecular bone volume compared to DMSO-treated Dnmt1ΔPrx1 mice (Fig. 5F). Quantitative analysis of the μCT imaging revealed that the bone mineral density (BMD) of primary trabecular bone was significantly decreased in the CB839-treated Dnmt1ΔPrx1 mice compared to the control, DMSO-treated Dnmt1ΔPrx1 mice. The number of trabecular bones was also decreased and the spacing between them was increased in Dnmt1ΔPrx1 mice (Fig. 5G). On the other hand, no difference in cortical parameters was observed between the two groups (Fig. 5H). These results strongly support a role for Dnmt1 activity at both a transcriptional and metabolic level that regulates chondrocyte energy metabolism and in turn cartilage calcification.
DNMT1 deficiency accelerates energy metabolism and differentiation in human chondrocytes
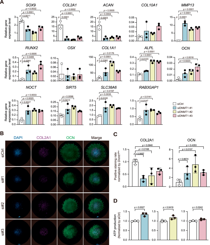
Finally, to determine whether the mechanisms defined in mice could be applicable to humans, we performed similar analyses using human chondrocytes. Human chondrocytes used in these studies were isolated from knee articular cartilage that was removed and discarded during surgical procedures. First, the gene expression levels were suppressed by siRNA against DNMT1, with knockdown efficiency confirmed by RT-qPCR. DNMT1 gene expression levels decreased in chondrocytes treated with three different types of siRNA against DNMT1compared to chondrocytes treated with siControl (Supplementary Fig. 8A). Meanwhile, gene expression levels of UHRF1, DNMT3a and DNMT3b were significantly increased in siDNMT1-treated chondrocytes compared to siControl-treated chondrocytes, suggesting that these genes may compensate for the decrease in DNMT1 (Supplementary Fig. 8A). Expression of marker genes for the early stage of chondrocyte differentiation including SOX9, COL2A1 and ACAN was downregulated whereas expression of marker genes for the late stage of chondrocyte differentiation, such as RUNX2, COL10A1 and MMP13, was upregulated in siDNMT1 chondrocytes compared to siControl chondrocytes (Fig. 6A). Genes related to osteoblastic differentiation like COL1A1, ALPL and OCN were also upregulated in siDNMT1-treated chondrocytes. In fact, a decrease in COL2A1 and an increase in OCN were observed at the protein level in siDNMT1-treated human chondrocytes as well as in Dnmt1ΔPrx1 chondrocytes (Fig. 6B, C). DNA methylation levels were also reduced in siDNMT1-treated human chondrocytes compared to the siControl (Supplementary Fig. 8B). Accordingly, gene expression levels of NOCT, SIRT5, SLC38A6 and RAB3GAP1 were upregulated in siDNMT1-treated human chondrocytes as well as Dnmt1ΔPrx1 chondrocytes (Fig. 6A). Moreover, mitochondrial activity in siDNMT1-treated chondrocytes was significantly increased compared to siControl chondrocytes (Fig. 6D). The cell proliferation rate of human chondrocytes was also reduced by siDNMT1 treatment (Supplementary Fig. 8C). These results demonstrated that DNMT1-deficient human chondrocytes exhibited similar characteristics to those of Dnmt1ΔPrx1 chondrocytes and strongly suggest that DNMT1 plays essential roles in both proliferation and differentiation of chondrocytes through the regulation of energy metabolism.
A RT-qPCR to determine expression levels of genes related to energy metabolism and chondrocyte differentiation in human-derived chondrocytes after BMP2 differentiation stimulus (each siRNA-treated cells n = 3). B Immunocytochemical staining for nuclear DNA (DAPI, Blue), COL2A1 (Magenta) and OCN (Green) in micromass cultures of human-derived chondrocytes after BMP2 differentiation stimulus. Representative data from at least three individual mice are shown. C Quantitative analysis of COL2A1 and OCN positive staining area in immunocytochemical staining (each siRNA-treated cells n = 3). D ATP production calculated from OCR (each siRNA-treated cells n = 3). All data are mean ± s.d. Significance of mean differences was assessed using unpaired t-tests or Dunnett’s multiple comparisons test with two-tailed P values. Source data are provided as a Source Data file.
Discussion
In this study, Dnmt1 deficiency in limb mesenchymal cells resulted in long bone shortening (Fig. 1 B–F, Supplementary Fig. 1A–E) with decreased growth plate chondrocyte proliferation and enhancement of ossification (Fig. 2G, Supplementary Fig. 3A). Dnmt1 plays a crucial role in the maintenance of DNA methylation, one of the most well-known epigenetic modifications. DNA methylation induces structural changes in chromatin and accumulation of methylation that, in turn, contributes to the regulation of transcription3. Establishment of unique gene expression patterns during cell proliferation and differentiation is attributed to DNA methylation, and inhibition of DNA methylation leads to abnormal development25,26.
Here, RNA-Seq analysis of Dnmt1-deficient chondrocytes and cartilage tissues revealed decreased cell proliferation and cartilage matrix production, in addition to enhanced ossification (Fig. 3D–F, Supplementary Fig. 6E). The cartilage matrix is reported to be diminished in chondrocytes treated with 5Aza, which inhibits DNA methylation27. DNMT1 activation affects osteogenic differentiation that negatively regulates mineralization10,11. In particular, expression levels of Osx and Ocn, which are reported to be important for chondrocyte calcification as well as osteoblasts28,29,30,31, were significantly increased in both cells and tissues from Dnmt1ΔPrx1 cartilage. Taken together with the observed phenotypes of postnatal arrest of long bone growth in Dnmt1-deficient mice, we conclude that Dnmt1 plays a role to regulate longitudinal growth of long bones in part by controlling mineralization of postnatal growth plate chondrocytes.
However, based on the results of previous reports, how and when Dnmt1 acts on bone length elongation was unclear. Prrx1-Cre-positive cells can differentiate into various cell types, including chondrocytes and osteoblast progenitors. Therefore, to confirm the cell type-specific phenotype, we used Col2a1-Cre and Osx-Cre mice for specific deletion of Dnmt1 in chondrocytes and osteoblasts, respectively. Osx-Cre Dnmt1-deficient mice had no difference in long bone length compared to control mice, but Col2-Cre Dnmt1-deficient mice had decreased bone length (Supplementary Fig. 1G, H). These findings suggested that maintenance of DNA methylation is required to maintain Col2a1-positive early-stage chondrocyte characteristics and that demethylation of DNA may be required for calcification. In addition, Dnmt1 expression decreases and, conversely, expression of Tet genes increases with chondrocyte differentiation (Fig. 2A, Supplementary Fig. 4A). These results could indicate that a regulatory mechanism for proper gene expression mediated by appropriate DNA methylation, such as that seen in DNA methylation maintenance in proliferating chondrocytes and demethylation of DNA in hypertrophic chondrocytes, is essential for bone elongation and development.
In addition to shortened bone length, Dnmt1ΔPrx1 mice exhibited a phenotype of growth plate loss as they grew (Fig. 2H, I). Increased expression of Rankl and accelerated osteoclastogenesis with chondrocyte differentiation together with a lack of Dnmt1 did not affect osteoblasts (Supplementary Fig. 3B–D), which is consistent with previous reports showing that chondrocytes regulate osteoclastogenesis by secreting Rankl and Opg32,33,34. These findings suggested that the phenotype of trabecular bone and growth plate loss is entirely due to chondrocyte abnormalities in growth plates. Taken together, shortening of bone length in Dnmt1ΔPrx1 mice is caused by suppression of chondrocyte proliferation and accelerated differentiation/calcification in the growth plate, and that the abnormally differentiated cartilage promotes osteoclastogenesis that results in loss of trabecular bone and growth plates.
Dnmt1ΔPrx1 mice also exhibited greater shortening of bone length compared to mice with limb mesenchymal cell-specific Uhrf1 knockout5. This difference could indicate that mechanisms for maintenance of DNA methylation involving Dnmt1 have a larger role in limb development than the multi-functional Uhrf1. However, the mechanism by which Dnmt1 regulates mineralization in chondrocytes remained unclear. To elucidate the detailed molecular mechanism of Dnmt1 in chondrocyte mineralization here we carried out an integrated RNA-Seq and MBD-Seq analysis. Genome-wide integrated analysis indicated that Dnmt1 regulated not only expression of genes involved in ossification, but also that of genes related to energy metabolism (Fig. 4F–I). Indeed, calcification was enhanced (Fig. 3B). Levels of nearly all major energy metabolites, including ATP, that are required for mineralization, in addition to expression of SAM and 2KG, associated with DNA methylation, were also increased in Dnmt1ΔPrx1 chondrocytes (Fig. 5C). These results were similar to those for Dnmt1-deficient human articular chondrocytes in which expression of genes related to energy metabolism and ATP production was upregulated (Fig. 6D). ATP is essential for cell survival, proliferation, and differentiation. In chondrocytes in particular, ATP is a substrate for pyrophosphate (PPi) feeding and inorganic phosphate (Pi) synthesis to produce hydroxyapatite35. Previously, transgenic mice overexpressing Ankylosis (Ank), a key regulator of physiological mineralization that regulates the Pi/PPi balance, had shortened spines and enhanced mineralization36. A primary molecular mechanism for ATP production is the TCA cycle, which involves both 2KG and SAM. During the TCA cycle, SAM is converted to SAH, which eventually leads to the formation of succinyl CoA and pyruvate that further feed back into the cycle37. 2KG also functions as a substrate for DNA demethylation mediated by TET family proteins, which promote DNA demethylation by converting 5-methylcytosine (5mC) to 5-hydroxymethylcytosine (5hmC)4. In Dnmt1ΔPrx1 chondrocytes, DNA methylation is reduced genome-wide and concurrently, the demand for DNA demethylation is reduced, leading to accumulation of 2KG. This accumulation of 2KG decreases collagen synthesis via upregulation of collagen prolyl hydroxylases and enhances ossification that leads to shortening of long bones24. Previous reports indicated that proper amounts of TCA cycle intermediates are vital for the development and homeostasis of cartilage and bone22.
Meanwhile, mitochondrial transcription factor A (Tfam), a nuclear DNA-encoded protein, is needed to maintain mtDNA. Disruption of Tfam in chondrocytes causes severe ATP depletion via decreased mtDNA that results in suppressed chondrocyte mineralization with long bone shortening38. Mice deficient in both Tfam/Hif1a had improved chondrocyte mineralization and bone length through upregulated production of metabolites involved in the TCA cycle13. Abnormal glutamine metabolism associated with the Hif1a-induced 2KG stabilization pathway promotes mineralization, accompanied by increased apoptosis that impairs bone growth23,39,40. However, the mechanisms associated with the regulation and control of energy metabolism and energy supply in cartilage, an avascular tissue, during chondrocyte differentiation were not clear. In this study, we discovered a comprehensive intracellular energy metabolism regulation mechanism, in which Dnmt1-mediated DNA methylation controls energy metabolism by regulating expression of genes related to energy metabolism and restricting intracellular consumption of SAM and 2KG associated with DNA demethylation.
This study has some limitations. This study did not identify de novo methylation of DNA in chondrocytes, the relationship between maintenance methylation and demethylation, or the role of Dnmt1 in articular cartilage. Increased expression of Dnmt1 has been associated with the progression of OA9,41, while abnormalities related to energy metabolism are involved in OA onset42. Questions concerning the role of Dnmt1 activity in human and mouse chondrocytes remain to be addressed, such as how Dnmt1 expression is regulated during differentiation and whether Dnmt1-mediated changes in energy metabolism are relevant to other age-related pathologies, including OA. Thus, the relationship between DNA methylation and cartilage diseases requires clarification.
In conclusion, our findings revealed that Dnmt1-mediated maintenance of appropriate DNA methylation during differentiation governs bone elongation and development by altering energy metabolism through the regulation of expression of genes related to chondrocyte differentiation, as well as of genes related to the supply of metabolites that in turn control chondrocyte differentiation/mineralization (Supplementary Fig. 9).
Methods
Ethical regulations
This study was approved as described below and involved the use of both animal and human samples. All animals were maintained and used according to the experimental protocol approved by the Animal Experiment Committee in Ehime University, Japan. Experiments involving human samples were approved by the IRB of Ehime University. All patients provided informed written consent to participate in the study. No financial or other compensation was provided to participants. Due to ethical restrictions, the human samples used in this study are not available for sharing.
Animals
Dnmt1 flox mice were kindly provided by Prof. Rudolf Jaenisch. Dnmt1 flox mice were crossed with Prrx1-Cre mice [B6.Cg-Tg(Prrx1-cre)1Cjt/J, Jackson Laboratory] to generate Prrx1-Cre; Dnmt1flox/flox (Dnmt1Δprx1) mice. Littermate Dnmt1 flox (Dnmt1flox) mice were used as a control. Additionally, to confirm whether the phenotype is derived from chondrocytes, we generated chondrocyte- and osteoblast-specific Dnmt1-deficient mice using Col2a1-Cre (MGI ID: MGI 2671895) kindly provided by Prof. Gérard Karsenty43, and Sp7 (Osx)-Cre-EGFP (MGI ID: MGI 3689350) mice obtained from Jackson Laboratory. Both male and female mice were used to identify molecules regulated by Dnmt1 that are not sex dependent. All mice were housed in a specific pathogen-free facility under climate-controlled conditions with a 12-h light/dark cycle and were provided with water and standard diet (MF, Oriental Yeast, Japan) ad libitum. To inhibit energy metabolism, Dnmt1ΔPrx1 mice were treated intraperitoneally daily with CB839 (10 µg/g, glutaminase inhibitor, Selleckchem, Cat. #S7655) for 2 weeks beginning immediately after birth.
Skeletal preparation
Neonates were skinned, eviscerated, and fixed in 100% ethanol for 24 hours before transfer to 100% acetone for 24 hours. Skeletal samples were stained with 0.015% Alcian Blue followed by 0.005% Alizarin Red and 0.05% glacial acid dissolved in 70% ethanol for 4–7 days before sequential clearance in 1% KOH with glycerol. Cartilage and mineralized bone were stained blue and red, respectively.
Bone length calculation and images
Long bones were harvested and fixed with 4% paraformaldehyde (PFA) overnight at 4 °C and soaked in 70% ethanol. Bone length was calculated using ImageJ from images taken with a soft X-ray device (Sofron)44,45 or an Electronic Caliper. A Scanco Medical μCT35 system (SCANCO Medical) was used for microcomputed tomography (µCT).
Histological analysis
Mice were euthanized and the tibiae and femurs were harvested. The collected tissue was fixed with 4% PFA overnight at 4 °C, followed by decalcification with EDTA. For in vivo BrdU uptake assays, 100 mg/kg BrdU (Abcam: ab142567) was injected intraperitoneally 24 hours before sampling. Long bone samples were embedded in paraffin after dehydration, and 5-7 μm-thick paraffin sections were cut with a microtome (RM2255, Leica Biosystems). Sections were stained with von Kossa, Safranin O/Fast green, and also used for immunohistochemistry (IHC). For IHC, deparaffinized sections were incubated in 2.5% hyaluronidase (Sigma-Aldrich, Cat. #H3506) solution for 30 min at room temperature before boiling for 45 min at 90 °C in 0.05% citraconic acid solution (ImmunoSaver; Wako, Cat. #097-06192) to retrieve antigens. After blocking for 60 minutes at room temperature in PBS containing 1% bovine serum albumin (BSA) and 0.02 % Triton, the sections were incubated overnight at 4 °C with primary antibodies against Dnmt1 (1:50, CST, Cat. #D63A6), Uhrf1 (1:50, Santa Cruz, Cat. #sc-373750), BrdU (1:250, abcam, Cat. #ab6326), Sp7 (1:1000, abcam, Cat. #ab209484), Ctsk (1:50, Santa Cruz, Cat. #sc-48353), Opg (1:100, Bioss, Cat. #bs-0431R) or Rankl (1:100, Santa Cruz, Cat. #sc-377079). The sections were washed again with PBS, and signals were visualized after incubating with secondary antibodies for 60 min at room temperature followed by the addition of TrueVIEW (Vector Laboratories, Cat. #SP-8400) to suppress autofluorescence. The area of proliferative and hypertrophic cartilage was measured using ImageJ according to the cell morphology in regions of interest (ROI) in the tibia.
Isolation of mouse chondrocytes
For isolation of primary chondrocytes, knee cartilage was harvested from postnatal day 3-5 mice and treated with 3 mg/mL collagenase D (Roche, Cat. #11088866001) in DMEM (Gibco, Cat. #10569010) supplemented with 1% antibiotic-antimycotic solution (Gibco, Cat. #15240062) for 90 minutes. The connective tissue was then thoroughly removed by washing, and the tissue was incubated overnight with fresh medium containing collagenase. Cells were cultured in DMEM supplemented with 10% fetal bovine serum (FBS, Nichirei Biosciences, Cat. #173012) and 1% antibiotic/antimycotic solution (Gibco, Cat. #15240062) at 37 °C and 5% CO2.
Isolation of mouse bone marrow stromal cells (BMSCs)
For isolation of BMSCs, bone marrow was collected from long bones and suspended in MEM-α supplemented with 10% FBS and 1% antibiotic-antimycotic solution. Bone marrow cells were filtered with a 70 µm cell strainer (Corning, Cat. #352350) and cultured at 37 °C for 48 hours in an incubator with 5% CO2. At the end of the incubation, non-adherent cells were removed, and the culture dishes were carefully washed with PBS to avoid detaching adherent cells, which were used as BMSCs.
Isolation of human chondrocytes
Human articular specimens were obtained from patients with OA who underwent knee joint replacement surgery at the Ehime University Hospital. Both male and female samples were used to identify molecules regulated by Dnmt1 that are not sex-dependent. To obtain chondrocytes, articular cartilage tissues were minced and treated with 0.1% trypsin solution and incubated for 30 min at 37 °C with shaking. The connective tissue was then thoroughly removed by washing, followed by treatment with fresh medium containing 3 mg/mL collagenase D for 2–3 hour at 37 °C with shaking. The supernatant was discarded carefully, and fresh medium containing 3 mg/mL collagenase D was added before incubation for overnight at 37 °C. Isolated cells were filtered with a 40 μm cell strainer (Corning, Cat. #352340) and seeded in culture dishes at 37 °C in a humidified atmosphere of 5% CO2.
Monolayer culture
To induce differentiation, cells were seeded at confluence, cultured with 100 ng/mL BMP2 (Osteopharma, Cat. #CK-B2 or BioLegend, Cat. #767306), 50 μg/mL ascorbic acid, and 10 mM β-glycerophosphate, and stained with Alcian Blue and Alizarin Red. To inhibit energy metabolism, cells were incubated with 10 μM CB839 (glutaminase inhibitor, Selleckchem, Cat. # S7655) and 1 μM oligomycin (ATP synthesis inhibitor, Adipogen, Cat. # AG-CN2-0517).
Micromass cultures
Micromass cultures were also used to analyze matrix deposition and calcification. To assess chondrogenic differentiation, cells were resuspended in medium at a concentration of 1.5 × 105 cells/10 µL and seeded as micromasses. Cells were allowed to attach for 2 hours at 37 °C, after which 500 µL of differentiation medium supplemented with 100 ng/mL BMP2, 50 μg/mL ascorbic acid, and 10 mM β-glycerophosphate was added to the wells. Differentiated cells were stained with Alcian Blue, Toluidine Blue, and Alizarin Red. To inhibit energy metabolism, cells were incubated with 10 μM CB839 and 1 μM oligomycin.
siRNA experiments using mouse and human chondrocytes
siRNA targeting mouse Dnmt1, human DNMT1, and scrambled siRNA as a negative control were purchased from Thermo Fisher Scientific (siRNA IDs: s65071 [siDnmt1 #1], s65073 [siDnmt1 #2], s4215 [siDNMT1 #1], s4216 [siDNMT1 #2], s4217 [siDNMT1 #3]). siRNAs were transfected into mouse or human chondrocytes using Lipofectamine™ RNAiMAX Transfection Reagent (Thermo Fisher Scientific, Cat. #13778150). After treatment with siRNA for 1 week, cells were analyzed in cell counting, cellular metabolism, and immunocytochemistry assays, as well as for measurement of chondrocyte differentiation marker gene expression. In addition to the siRNA period described above, total RNA was extracted after an additional 3 weeks of treatment with siRNA in the presence of 100 ng/mL BMP2, 50 μg/mL ascorbic acid, and 10 mM β-glycerophosphate. For the cell counting assay, the same number of chondrocytes were seeded before siRNA treatment, and the cell number was determined 1 week after siRNA treatment for the calculation of the proliferation rate.
Immunocytochemistry
Primary cultured chondrocytes were seeded onto chamber slides (Lab-Tek, Cat. #177445PK) at a density of 1 × 104 cells per well. For BrdU incorporation assays, the medium was replaced with medium containing 10 μM BrdU. The cells were fixed with 4% PFA for 5 minutes at room temperature and then permeabilized with 0.5% Triton in PBS for 10 minutes. Non-specific binding was blocked by incubating cells with 1% BSA and 0.02% Triton in PBS for 1 hour at room temperature. Cells were then incubated overnight at 4 °C with primary antibodies against target proteins (Dnmt1 (1:300), BrdU (1:250), Col2a1 (1:200, Santa Cruz, Cat. #sc-7764,) or Osteocalcin (1:200, Proteintech, Cat. #16157-1-AP)) that were diluted in blocking buffer. After washing with PBS, cells were incubated with fluorophore-conjugated secondary antibodies for 1 hour at room temperature in the dark. To detect apoptotic cells, TUNEL staining was performed (Roche, Cat. #11684817910). After permeabilization, cells were reacted with fluorescein-conjugated terminal deoxynucleotidyl transferase for 60 minutes at 37 °C according to the manufacturer’s instructions. Nuclei were counterstained with 4’,6-diamidino-2-phenylindole (DAPI) for 5 minutes. Finally, coverslips were mounted onto glass slides using mounting medium and sealed with nail polish. Immunofluorescence images were acquired using a fluorescence microscope.
Real-time RT-PCR
Total RNA was extracted using Isogene (Nippon Gene, Cat. #319-90211) and an RNeasy spin column kit (QIAGEN, Cat. #74106), and then treated with DNase I (QIAGEN, Cat. #79254). cDNA was synthesized from the total RNA using PrimeScript RT Master Mix (Takara Bio, Cat. #RR036), and real-time RT-PCR was performed using TB-Green Premix Ex Taq II (Takara Bio, Cat. #RR820) with Thermal Cycler Dice (Takara Bio) according to the manufacturer’s instructions. Gene expression levels were normalized using the housekeeping gene Gapdh. Primers were purchased from Thermo Fisher Scientific, and sequences are listed in Supplementary Data 1.
RNA-Seq analysis
Primary cultured chondrocytes that were and were not treated with BMP2 for 3 days were used for RNA-Seq. Total RNA was extracted using RNeasy spin column kit and the quality verified using an Agilent 2100 Bioanalyzer. RNA-Seq analysis was carried out as described below, in accordance with methods reported in previous studies5,46. RNA-seq libraries were prepared using an NEBNext Ultra II Directional RNA Library Prep Kit (New England Biolabs, Cat. #E7760) according to the manufacturer’s instructions and subsequently validated for an average size of about 370 bp using a 2100 Bioanalyzer and an Agilent DNA1000 kit. Sequencing of paired-end reads (150 bp) was performed with a NovaSeq 6000 S4 Reagent Kit on a NovaSeq 6000 (Illumina).
Cartilage tissues were obtained from mice on postnatal day 5, and total RNA was extracted using an RNeasy spin column kit. The RNA integrity value was verified using the Agilent 2100 Bioanalyzer. RNA-seq was performed with an Illumina NextSeq 500 instrument, with a read configuration of 75 bp for single reads; 3 million reads were generated per sample.
Sequence data were analyzed by RaNA-Seq47. The RNA-Seq data set was deposited in the Gene Expression Omnibus (GEO) under accession number GSE270640.
Enrichment of methylated DNA
Methylated DNA was enriched by MBD2-mediated precipitation and subjected to next-generation sequencing as follows. Extracted DNA from chondrocytes was sonicated with a Covaris sonicator (M&S Instruments) to obtain approximately 300 bp fragments. MBD2-mediated enrichment of methylated DNA was performed using an EpiXplore Methylated DNA Enrichment Kit (Takara Bio, Cat. #631963) according to the manufacturer’s instructions. The amount of enriched methylated DNA from 1 μg total DNA was measured using a Quantus Fluorometer (Promega).
MBD-Seq analysis
MBD-Seq was performed on enriched methylated DNA following established protocols, as described below, to analyze methylated DNA regions genome-wide5,46. Libraries for MBD-Seq analysis were prepared using a NEBNext Ultra II DNA Library Prep Kit for Illumina (New England Biolabs, Cat. #E7645) according to the manufacturer’s instructions and validated for an average size of about 550–600 bp using a High Sensitivity DNA Assay kit. Sequencing of paired-end reads (150 bp) was performed using a NovaSeq 6000 S4 Reagent Kit (Illumina, Cat. #20028312) with a NovaSeq 6000 (Illumina) and mapped on the mouse genome (mm10) using Galaxy48. The MBD-Seq data set was deposited in the GEO under accession number GSE270641.
Analysis of sequencing data
Using RNA-Seq results, differentially expressed genes that exhibited more than two-fold increased or decreased expression levels in Dnmt1ΔPrx1 mice relative to Dnmt1flox mice were extracted. Gene Ontology analyses were performed on the extracted genes using MetaScape49. For MBD-Seq, peak calling was performed by MACS2, and integrative analyses were carried out using Galaxy48.
Glucose and glutamine uptake assay
Primary cultured chondrocytes were seeded at 2 × 104 cells/well in 96-well plates the day before measurement. Glucose and glutamine concentrations in the medium were measured using a Glucose Assay Kit-WST (DOJINDO, Cat. #G264) and Glutamine Assay Kit-WST (DOJINDO, Cat. #G268), respectively, and uptake was calculated according to the manufacturer’s instructions. Absorbance at 450 nm was measured using a Multiskan SkyHigh Microplate Spectrophotometer (Thermo Fisher).
Cellular metabolism assay
Metabolic flux was measured using a Seahorse XFp Flux Analyzer (Seahorse Bioscience). Primary cultured chondrocytes BMSCs were seeded at a density of 3 × 104 cells per well into an 8-well Seahorse culture plate (Seahorse Bioscience, Cat. #103022-100) one day before the start of the assay. Energy metabolism inhibitors were added at the same time as the cells were seeded. For OCR analysis, cells were cultured for 1 hour in DMEM (Seahorse Bioscience, Cat. #103575-100) supplemented with 10 mM glucose (Seahorse Bioscience, Cat#103577-100), 1 mM pyruvate (Seahorse Bioscience, Cat. #103578-100) and 2 mM glutamine (Seahorse Bioscience, Cat. #103579-100) and equilibrated at 37 °C in a CO2-free atmosphere. Following three basal measurements, 2 μM oligomycin, 0.25 μM carbonyl cyanide 4-(trifluoromethoxy) phenylhydrazone (FCCP), and 0.5 μM antimycin A/rotenone (Seahorse Bioscience, Cat. #103010-100) were sequentially injected into the plate. For analysis of the ECAR, cells were cultured for 1 hour in DMEM supplemented with 2 mM glutamine and equilibrated at 37 °C in a CO2-free atmosphere. After two basal measurements, 10 mM glucose and 2 μM oligomycin were sequentially injected. The analysis data was calculated using Wave Desktop software (Seahorse Bioscience).
Metabolome analysis by mass spectrometry
For metabolome analysis, primary cultured chondrocytes obtained from Dnmt1flox mice (n = 7) and Dnmt1ΔPrx1 mice (n = 9) were seeded in culture dishes without BMP2 treatment. Samples for mass spectrometry were prepared as described below, following previously published protocols50. The cells were washed with cold PBS, quenched with cold methanol, and collected by scraping. Internal standards (10-camphorsulfonic acid, 1500 pmol; piperazine-1,4-bis (2-ethanesulfonic acid), 1500 pmol; methionine sulfone, 300 pmol; lidocaine, 300 pmol; 2-bromohypoxanthine, 300 pmol) were added to quenched MeOH samples. Samples were vortexed for 1 min and sonicated for 5 min at room temperature. Samples were centrifuged at 16,000 × g at 4 °C for 5 min, and 400 μL of the supernatant was transferred in clean tubes. To this, CHCl₃ and H₂O were added (MeOH:CHCl₃:H₂O = 5:5:4), followed by centrifugation. The upper aqueous layer (500 μL) was collected and dried using a centrifugal evaporator. Samples were reconstituted in 50 µL water prior to hydrophilic metabolome analysis (i.e. anionic polar metabolites, cationic polar metabolites, acyl-CoAs, and acyl-carnitines).
Anionic polar metabolites were analyzed via ion chromatography (Dionex ICS-5000 + HPIC system, Thermo Fisher Scientific) with a Dionex IonPac AG11-HC-4 μm guard column (2 mm i.d × 50 mm, 4 μm particle size, Thermo Fisher Scientific) and a Dionex IonPac AS11-HC-4 μm column (2 mm i.d × 250 mm, 4 μm particle size, Thermo Fisher Scientific) coupled to a Q Exactive mass spectrometer (Thermo Fisher Scientific) (IC/MS). The flow rate was 0.3 mL/min and the injection volume was 5 µL. Column oven temperature was set at 30 °C. To assist the desolvation for better electrospray, a make-up pump delivering 1 mM ammonium acetate in methanol at 0.1 mL/min was used. Elution was performed using a potassium hydroxide (KOH) gradient. The gradient conditions are follows: started with an initial 10 mM KOH, increased to 100 mM at 24 min, held 100 mM for 3 min, followed by a decrease to 10 mM within 0.1 min, and held for 7.9 min to re-equilibrate the column. The Q Exactive MS was operated in positive and negative electrospray ionization modes with the following parameters: sheath gas flow rate 50arb, auxiliary gas flow rate 10arb, electrospray voltage of 4.0 kV in the positive ion mode and −3.0 kV in the negative ion mode, capillary temperature 250 °C, S-lens RF level 60, heater temperature 400 °C. Full MS scans were acquired at a resolution of 70,000, AGC target of 3 × 106, maximum injection time of 200 ms, and scan range of m/z 70-1050.
Cationic polar metabolites were analyzed via liquid chromatography (LC) ((Nexera X2 UHPLC system, Shimadzu) with a Discovery HS F5 column (2.1 mm i.d × 150 mm, 3 μm particle size, Sigma-Aldrich) coupled to a Q Exactive instrument (PFPP-LC/MS). The flow rate was 0.25 mL/min and the injection volume was 2 µL. Column oven temperature was set at 40 °C. Solvent A was 0.1% formic acid in water, and solvent B was acetonitrile. The gradient conditions are follows: started with an initial 0% B held for 5 min, increased to 40% B at 15 min, increased to 100% B within 0.1 min, held 100% B for 2.9 min, followed by a decrease to 0% B within 0.1 min, and held for 6.9 min to re-equilibrate the column. The Q Exactive MS was operated in positive and negative electrospray ionization modes with the following parameters: sheath gas flow rate, 50arb; auxiliary gas flow rate, 10arb; electrospray voltage of 4.0 kV in the positive ion mode and −3.0 kV in the negative ion mode; capillary temperature, 250 °C; S-lens RF level, 60; heater temperature, 400 °C. Full MS scans were acquired at a resolution of 70,000, AGC target of 1 × 106, maximum injection time of 200 ms in the positive ion mode and 100 msec in the negative ion mode, and scan range of m/z 70-1050.
Acyl-CoAs and acyl-carnitines were analyzed using LC (Nexera X2 UHPLC system) with an Inert Sustain C18 column (2.1 mm i.d × 150 mm, 3 μm particle size, GL Sciences) coupled to a Q Exactive instrument (C18-LC/MS). The flow rate was 0.3 mL/min and the injection volume was 2 µL. Column oven temperature was set at 40 °C. Solvent A was 5 mM ammonium acetate in water, and solvent B was acetonitrile. The gradient conditions are follows: started with an initial 0% B, increased to 95% B at 13 min, held 95% B for 7.0 min, followed by a decrease to 2% B within 0.1 min, and held for 4.9 min to re-equilibrate the column. MS parameters for acyl-CoAs are follows: sheath gas flow rate, 50arb; auxiliary gas flow rate10arb; spray voltage, 4.0 kV; capillary temperature, 250 °C; S-lens RF level, 60; heater temperature, 400 °C. Full MS scans in positive ion mode were acquired at a resolution of 70,000, AGC target of 3 × 106, maximum injection time of 400 ms, and scan range of m/z 700–1200. MS parameters for acyl-carnitines are follows: sheath gas flow rate, 50arb; auxiliary gas flow rate 10arb; spray voltage, 3.0 kV; capillary temperature, 250 °C; S-lens level, 60; heater temperature, 400 °C. Full MS scans in positive ion mode were acquired at a resolution of 70,000, AGC target of 1 × 106, maximum injection time of 100 ms, and scan range of m/z 100-1500.
Data analysis was performed using Reyfics Cascade software (ver. 1.1.2). Identification of hydrophilic metabolites acquired using the three analytical platforms was accomplished by comparing retention time, MS and MS/MS spectra of the samples with those of authentic standards under identical conditions using an in-house library.
Statistical analysis
Statistical analyses were performed using GraphPad Prism 10. Two-tailed unpaired Student’s t-tests were used to compare two groups, and one-way ANOVA followed by Tukey’s or Dunnett’s multiple comparisons test was applied as appropriate. For all graphs, data are represented as the mean ± SD. Statistical significance was accepted when P values were less than 0.05. The sample sizes were determined empirically based on our previous experience and review of similar experiments in the literature. The number of animals utilized is detailed in the corresponding figure legends.
Reporting summary
Further information on research design is available in the Nature Portfolio Reporting Summary linked to this article.
Data availability
The raw data that support the experimental findings are included as Source Data provided with this paper. Raw RNA-Seq and MBD-Seq data have been deposited in GEO under accession numbers GSE270640 and GSE270641, respectively. Apart from the data included in the Source Data file, the metabolomic data cannot be made publicly available at this time because they are related to other ongoing experiments. Researchers requiring further access may contact us with a detailed description of the intended use. Source data are provided with this paper.
References
Kronenberg, H. M. Developmental regulation of the growth plate. Nature 423, 332–336 (2003).
Bernstein, B. E., Meissner, A. & Lander, E. S. The mammalian epigenome. Cell 128, 669–681 (2007).
Almouzni G., Cedar H. Maintenance of epigenetic information. Cold Spring. Harb. Perspect. Biol. 8, https://doi.org/10.1101/cshperspect.a019372 (2016).
Greenberg, M. V. C. & Bourc’his, D. The diverse roles of DNA methylation in mammalian development and disease. Nat. Rev. Mol. Cell Biol. 20, 590–607 (2019).
Yamashita M. et al. Uhrf1 is indispensable for normal limb growth by regulating chondrocyte differentiation through specific gene expression. Development 145, https://doi.org/10.1242/dev.157412 (2018).
Mancini, M., Magnani, E., Macchi, F. & Bonapace, I. M. The multi-functionality of UHRF1: epigenome maintenance and preservation of genome integrity. Nucleic Acids Res. 49, 6053–6068 (2021).
Yamaguchi, K. et al. Non-canonical functions of UHRF1 maintain DNA methylation homeostasis in cancer cells. Nat. Commun. 15, 2960 (2024).
Zhang, Y. et al. Triclocarban triggers osteoarthritis via DNMT1-mediated epigenetic modification and suppression of COL2A in cartilage tissues. J. Hazard. Mater. 447, 130747 (2023).
Iijima, H. et al. Age-related matrix stiffening epigenetically regulates alpha-Klotho expression and compromises chondrocyte integrity. Nat. Commun. 14, 18 (2023).
Tao C. et al. DNMT1 is a negative regulator of osteogenesis. Biol. Open 11, https://doi.org/10.1242/bio.058534 (2022).
Assis, R. I. F. et al. DNMT1 inhibitor restores RUNX2 Expression and mineralization in periodontal ligament cells. DNA Cell Biol. 40, 662–674 (2021).
Warren, A. et al. The NAD salvage pathway in mesenchymal cells is indispensable for skeletal development in mice. Nat. Commun. 14, 3616 (2023).
Yao, Q. et al. Suppressing mitochondrial respiration is critical for Hypoxia tolerance in the fetal growth plate. Dev. Cell 49, 748–763. e747 (2019).
Provot, S. & Schipani, E. Molecular mechanisms of endochondral bone development. Biochem. Biophys. Res Commun. 328, 658–665 (2005).
Gandasi N. R. et al. Glutamine Uptake via SNAT6 and Caveolin regulates glutamine-glutamate cycle. Int. J. Mol. Sci. 22, https://doi.org/10.3390/ijms22031167 (2021).
Zhu S. et al. Sirt5 deficiency causes post-translational protein malonylation and dysregulated cellular metabolism in chondrocytes under obesity conditions. Cartilage, https://doi.org/10.1101/2020.11.30.404103 (2020).
Onder, Y. et al. The Circadian Protein Nocturnin regulates metabolic adaptation in brown Adipose tissue. iScience 19, 83–92 (2019).
Estrella, M. A. et al. The metabolites NADP(+) and NADPH are the targets of the circadian protein Nocturnin (Curled). Nat. Commun. 10, 2367 (2019).
Kumar, S. & Lombard, D. B. Functions of the sirtuin deacylase SIRT5 in normal physiology and pathobiology. Crit. Rev. Biochem. Mol. Biol. 53, 311–334 (2018).
Fukui, K. et al. Isolation and characterization of a GTPase activating protein specific for the Rab3 subfamily of small G proteins. J. Biol. Chem. 272, 4655–4658 (1997).
Devignes, C. S., Carmeliet, G. & Stegen, S. Amino acid metabolism in skeletal cells. Bone Rep. 17, 101620 (2022).
Suzuki A., Minamide M., Iwaya C., Ogata K., Iwata J. Role of metabolism in bone development and homeostasis. Int. J. Mol. Sci. 21, https://doi.org/10.3390/ijms21238992 (2020).
Stegen, S. et al. Glutamine metabolism controls chondrocyte identity and function. Dev. Cell 53, 530–544.e538 (2020).
Stegen, S. et al. HIF-1alpha metabolically controls collagen synthesis and modification in chondrocytes. Nature 565, 511–515 (2019).
Lui, J. C. Growth disorders caused by variants in epigenetic regulators: progress and prospects. Front Endocrinol. 15, 1327378 (2024).
Walewska, A., Janucik, A., Tynecka, M., Moniuszko, M. & Eljaszewicz, A. Mesenchymal stem cells under epigenetic control - the role of epigenetic machinery in fate decision and functional properties. Cell Death Dis. 14, 720 (2023).
Perez-Maldonado, M. A., Gonzalez-Gonzalez, X. A., Chimal-Monroy, J. & Marin-Llera, J. C. Influence of DNA-methylation at multiple stages of limb chondrogenesis. Dev. Biol. 512, 1–10 (2024).
Yu X. F. et al. Novel function of Osteocalcin in Chondrocyte differentiation and endochondral ossification revealed on a CRISPR/Cas9 bglap-bglap2 deficiency mouse model. Int. J. Mol. Sci. 25, https://doi.org/10.3390/ijms25189945 (2024).
Nishimura, R. et al. Osterix regulates calcification and degradation of chondrogenic matrices through matrix metalloproteinase 13 (MMP13) expression in association with transcription factor Runx2 during endochondral ossification. J. Biol. Chem. 287, 33179–33190 (2012).
Xing, W., Godwin, C., Pourteymoor, S. & Mohan, S. Conditional disruption of the osterix gene in chondrocytes during early postnatal growth impairs secondary ossification in the mouse tibial epiphysis. Bone Res. 7, 24 (2019).
Oh, J. H., Park, S. Y., de Crombrugghe, B. & Kim, J. E. Chondrocyte-specific ablation of Osterix leads to impaired endochondral ossification. Biochem. Biophys. Res. Commun. 418, 634–640 (2012).
Rashid, H., Smith, C. M., Convers, V., Clark, K. & Javed, A. Runx2 deletion in hypertrophic chondrocytes impairs osteoclast mediated bone resorption. Bone 181, 117014 (2024).
Wang, B., Jin, H., Shu, B., Mira, R. R. & Chen, D. Chondrocytes-specific expression of Osteoprotegerin modulates osteoclast formation in metaphyseal bone. Sci. Rep. 5, 13667 (2015).
Usui, M. et al. Murine and chicken chondrocytes regulate osteoclastogenesis by producing RANKL in response to BMP2. J. Bone Min. Res. 23, 314–325 (2008).
Ryan, L. M., Kurup, I. V., Derfus, B. A. & Kushnaryov, V. M. ATP-induced chondrocalcinosis. Arthritis Rheum. 35, 1520–1525 (1992).
Ohnishi, T. et al. Loss of function mutation in Ank causes aberrant mineralization and acquisition of osteoblast-like-phenotype by the cells of the intervertebral disc. Cell Death Dis. 14, 447 (2023).
Amanda, F. C. L. Mitochondrial metabolism and DNA methylation: a review of the interaction between two genomes. Clin. Epigenet. 12, 182 (2020).
Yoshioka, H. et al. Deletion of Tfam in Prx1-Cre expressing limb mesenchyme results in spontaneous bone fractures. J. Bone Min. Metab. 40, 839–852 (2022).
Stegen, S. et al. HIF-1alpha promotes Glutamine-mediated Redox Homeostasis and glycogen-dependent bioenergetics to support postimplantation bone cell survival. Cell Metab. 23, 265–279 (2016).
Hirata, M. et al. Mutant IDH is sufficient to initiate enchondromatosis in mice. Proc. Natl. Acad. Sci. USA 112, 2829–2834 (2015).
Zhu, X. et al. PPARgamma preservation via promoter demethylation alleviates osteoarthritis in mice. Ann. Rheum. Dis. 78, 1420–1429 (2019).
Zheng, L., Zhang, Z., Sheng, P. & Mobasheri, A. The role of metabolism in chondrocyte dysfunction and the progression of osteoarthritis. Ageing Res. Rev. 66, 101249 (2021).
Terpstra, L. et al. Reduced chondrocyte proliferation and chondrodysplasia in mice lacking the integrin-linked kinase in chondrocytes. J. Cell Biol. 162, 139–148 (2003).
Schneider, C. A., Rasband, W. S. & Eliceiri, K. W. NIH Image to ImageJ: 25 years of image analysis. Nat. Methods 9, 671–675 (2012).
Schindelin, J. et al. Fiji: an open-source platform for biological-image analysis. Nat. Methods 9, 676–682 (2012).
Saeki N. et al. Epigenetic regulator UHRF1 orchestrates proinflammatory gene expression in rheumatoid arthritis in a suppressive manner. J. Clin. Invest. 132, https://doi.org/10.1172/JCI150533 (2022).
Prieto C., Barrios D. RaNA-Seq: Interactive RNA-Seq analysis from FASTQ files to functional analysis. Bioinformatics, https://doi.org/10.1093/bioinformatics/btz854 (2019).
Afgan, E. et al. The Galaxy platform for accessible, reproducible and collaborative biomedical analyses: 2018 update. Nucleic Acids Res. 46, W537–W544 (2018).
Zhou, Y. et al. Metascape provides a biologist-oriented resource for the analysis of systems-level datasets. Nat. Commun. 10, 1523 (2019).
Bligh, E. G. & Dyer, W. J. A rapid method of total lipid extraction and purification. Can. J. Biochem. Physiol. 37, 911–917 (1959).
Acknowledgements
We thank the staff at the Division of Medical Research Support, the Advanced Research Support Center (ADRES) and the members of the Division of Integrative Pathophysiology, Proteo-Science Center (PROS), Ehime University, for their technical assistance and helpful support. We would like to express our profound gratitude to Yuka Sato and Mami Chosei of the Division of Integrative Pathophysiology, PROS and Kaori Tanaka of the Medical Institute of Bioregulation, Kyushu University, for their cooperation. This study was supported in part by the Japan Society for the Promotion of Science (JSPS) KAKENHI Grant Number JP20K18066 and JP24K19584 (to YY) as well as JP23689066, JP15H04961, JP19H03786 and JP22H03203 (to YI). This study was also supported in part by a grant from the Research Support Project for Life Science and Drug Discovery (Basis for Supporting Innovative Drug Discovery and Life Science Research (BINDS)) from AMED (Grant Number JP24ama121055). This work was performed as part of the MEXT Cooperative Research Project Program, Medical Research Center Initiative for High-Depth Omics, and CURE: JPMXP1323015486 for the Medical Institute of Bioregulation, Kyushu University.
Author information
Authors and Affiliations
Contributions
Y.Y. and Y. Imai planned the study and designed the experiments. M.T., Y. Izumi and T.B. performed mass spectrometry analyses and T.K. and M.T. collected and provided human samples. Y.Y. performed all experiments and subsequent analyses with support and advice from the co-authors. Y.Y. and Y. Imai wrote the manuscript with input from the co-authors. In particular, T.B. provided valuable advice regarding mass spectrometry analyses, while M.T. provided valuable advice regarding experiments involving human samples.
Corresponding author
Ethics declarations
Competing interests
The authors declare no competing interests.
Peer review
Peer review information
Nature Communications thanks Guo-Xin Ni, Noriaki Ono, and the other anonymous reviewer(s) for their contribution to the peer review of this work. A peer review file is available.
Additional information
Publisher’s note Springer Nature remains neutral with regard to jurisdictional claims in published maps and institutional affiliations.
Supplementary information
Source data
Rights and permissions
Open Access This article is licensed under a Creative Commons Attribution-NonCommercial-NoDerivatives 4.0 International License, which permits any non-commercial use, sharing, distribution and reproduction in any medium or format, as long as you give appropriate credit to the original author(s) and the source, provide a link to the Creative Commons licence, and indicate if you modified the licensed material. You do not have permission under this licence to share adapted material derived from this article or parts of it. The images or other third party material in this article are included in the article’s Creative Commons licence, unless indicated otherwise in a credit line to the material. If material is not included in the article’s Creative Commons licence and your intended use is not permitted by statutory regulation or exceeds the permitted use, you will need to obtain permission directly from the copyright holder. To view a copy of this licence, visit http://creativecommons.org/licenses/by-nc-nd/4.0/.
About this article
Cite this article
Yanagihara, Y., Takahashi, M., Izumi, Y. et al. Dnmt1 determines bone length by regulating energy metabolism of growth plate chondrocytes. Nat Commun 16, 9492 (2025). https://doi.org/10.1038/s41467-025-65145-9
Received:
Accepted:
Published:
Version of record:
DOI: https://doi.org/10.1038/s41467-025-65145-9





