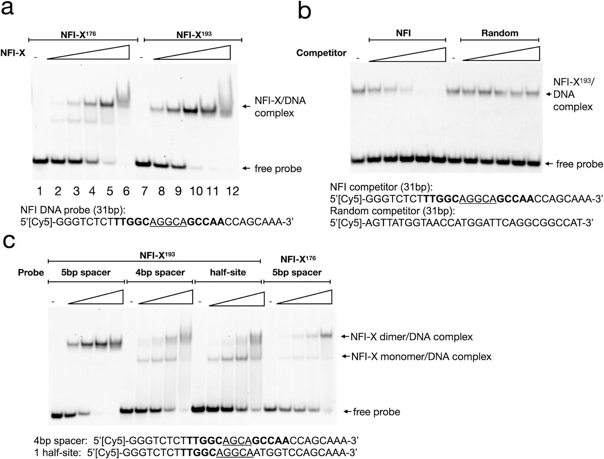
Fig. 1: NFI-X binding to DNA.

a Dose-response electrophoretic mobility shift assay (EMSA) experiments were carried out with NFI-X176 (Lanes 2 to 6) and NFI-X193 (Lanes 8–12), at increasing protein concentrations (20 nM, 40 nM, 80 nM, 160 and 320 nM) and 20 nM of Cy5-labeled 31 bp dsDNA probe (sequence shown), presenting the NFI consensus sequence (bold font) and a 5 bp spacer (underlined). Bands corresponding to the free probe or the NFI-X/DNA complex are indicated. Lanes 1 and 7 represent the control reactions in the absence of protein addition. b Competition EMSA experiments to demonstrate NFI binding site specificity by the NFI-X DNA-binding domain (DBD). NFI-X193 (20 nM) was incubated with the probe (20 nM) alone (−) or in the presence of increasing concentrations (0.5X, 1X, 2.5X, 5X, and 25X with respect to the DNA probe) of unlabelled 31 bp NFI competitor or unlabelled 31 bp random sequence, as described in the Methods. c EMSA experiments to demonstrate the requirement for a 5 bp spacer and to illustrate binding as a dimer. NFI-X193 was incubated in the presence of the Cy5-labeled 31 bp dsDNA probe containing a palindromic 5 bp spacer consensus site (first panel) as a positive control, a 4 bp spacer (second panel) palindromic site, or a 31 bp dsDNA probe containing one half site (third panel). In all panels, protein concentrations were 1X, 2X, 4X, and 8X the probe concentration (20 nM). Reactions in the absence of protein are indicated (-). The 4 bp spacer and half-site probe sequences are shown below, with the NFI consensus sequence (bold font) and spacer regions (underlined). For comparison, EMSA experiments of NFI-X176 bound to the 5 bp spacer probe are shown to illustrate the formation of a complex of one monomer bound to one half site in this C-terminally-truncated construct (last panel). All EMSAs were performed at least three times in independent experiments, and the gels shown represent a typical result.