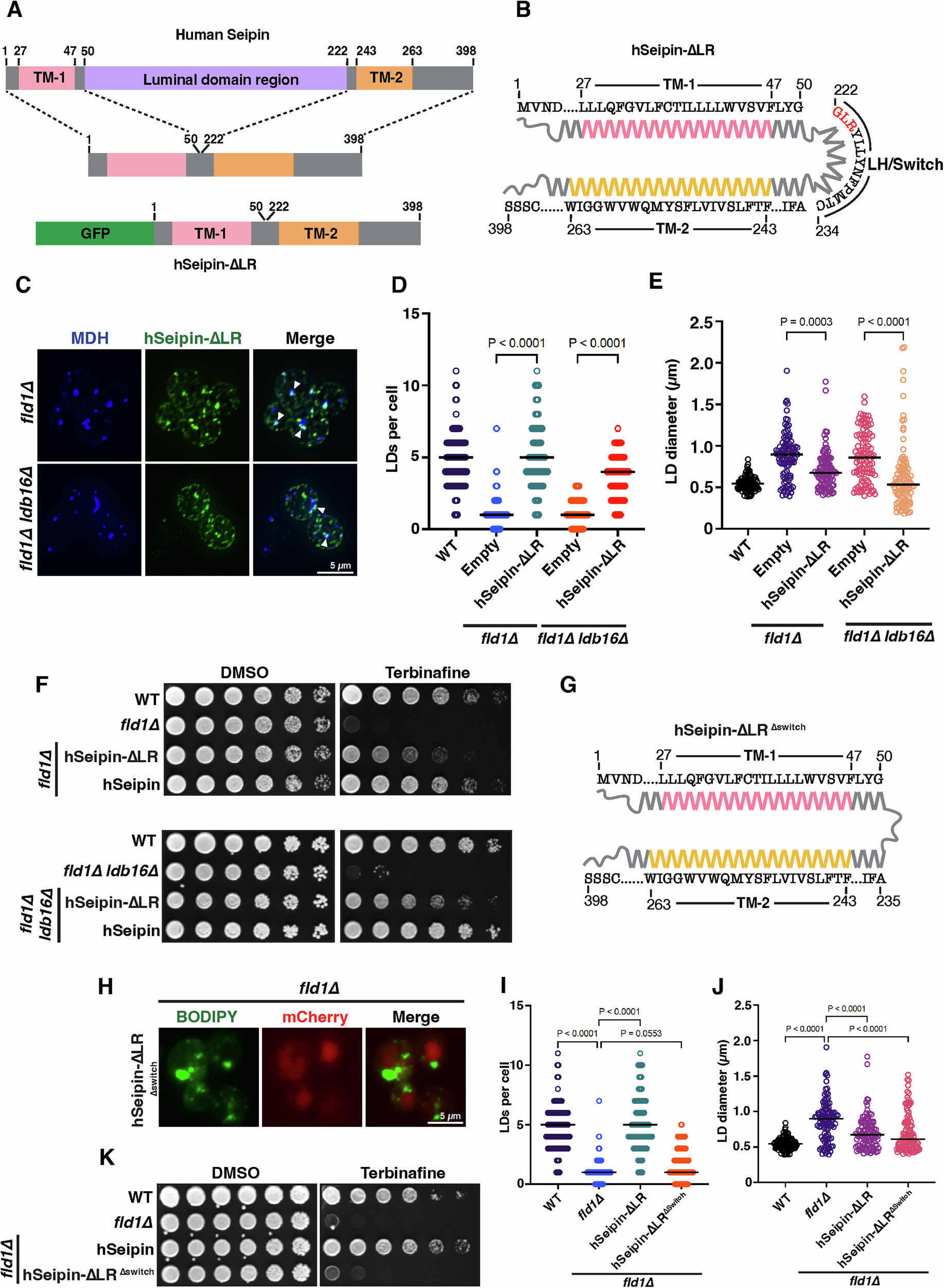
Fig. 8: Truncated hSeipin functionally restores the defect of fld1∆ ldb16∆ double mutants.

A, B Cartoon depicting generation of hSeipin-∆LR. Illustration showing the hSeipin-∆LR lacking the luminal domain region and fused to GFP at N-terminus (A). Position of the two TM segments and a short, conserved LH/switch region connecting the two TM-regions (B) (C) hSeipin-∆LR localizes into puncta that associates with LDs. Yeast fld1∆ and fld1∆ ldb16∆ cells expressing GFP-hSeipin-∆LR on a plasmid were grown in selective media, stained with LD dye, MDH and visualized by fluorescence microscopy. White arrowheads depict puncta of hSeipin-∆LR that colocalizes with LD. Representative image shown from three independent experiments. Scale bars: 5 µm. D, E Quantification of LD number (D) and size distribution (E) in cells of the indicated genotypes. Data represent mean ± s.d. and were analysed with one-way ANOVA and Tukey’s multiple comparisons. n = 100 cells. F hSeipin-∆LR can functionally restore growth sensitivity of yeast mutants in the presence of terbinafine. Yeast fld1∆ and fld1∆ ldb16∆ double mutants expressing either GFP-hSeipin-∆LR or GFP-hSeipin were grown in SC media, diluted and spotted onto YPD plates containing either DMSO or terbinafine. Representative image shown from three independent experiments. G Generation of hSeipin-∆LR∆switch. Cartoon depicting hSeipin-∆LR devoid of LH/switch region. H hSeipin-∆LR∆switch fails to rescue fld1∆ mutant phenotype. Yeast fld1∆ cells expressing hSeipin-∆LR∆switch was grown in SC media, stained with BODIPY, and imaged by fluorescence microscopy (H). Representative image shown from three independent experiments. Scale bar: 5 µm. I, J Quantification of LD number (I) and size distribution (J) in cells of the indicated genotypes. Data represent mean ± s.d. and were analysed with two-way ANOVA and Tukey’s multiple comparisons. n = 100 cells. K Absence of switch region renders hSeipin-∆LR nonfunctional. Yeast fld1∆ mutants expressing either hSeipin or hSeipin-∆LR∆switch was cultivated in SC media, serially diluted and spotted onto plates with or without terbinafine. Representative image shown from three independent experiments. Source data are provided as a Source Data file.