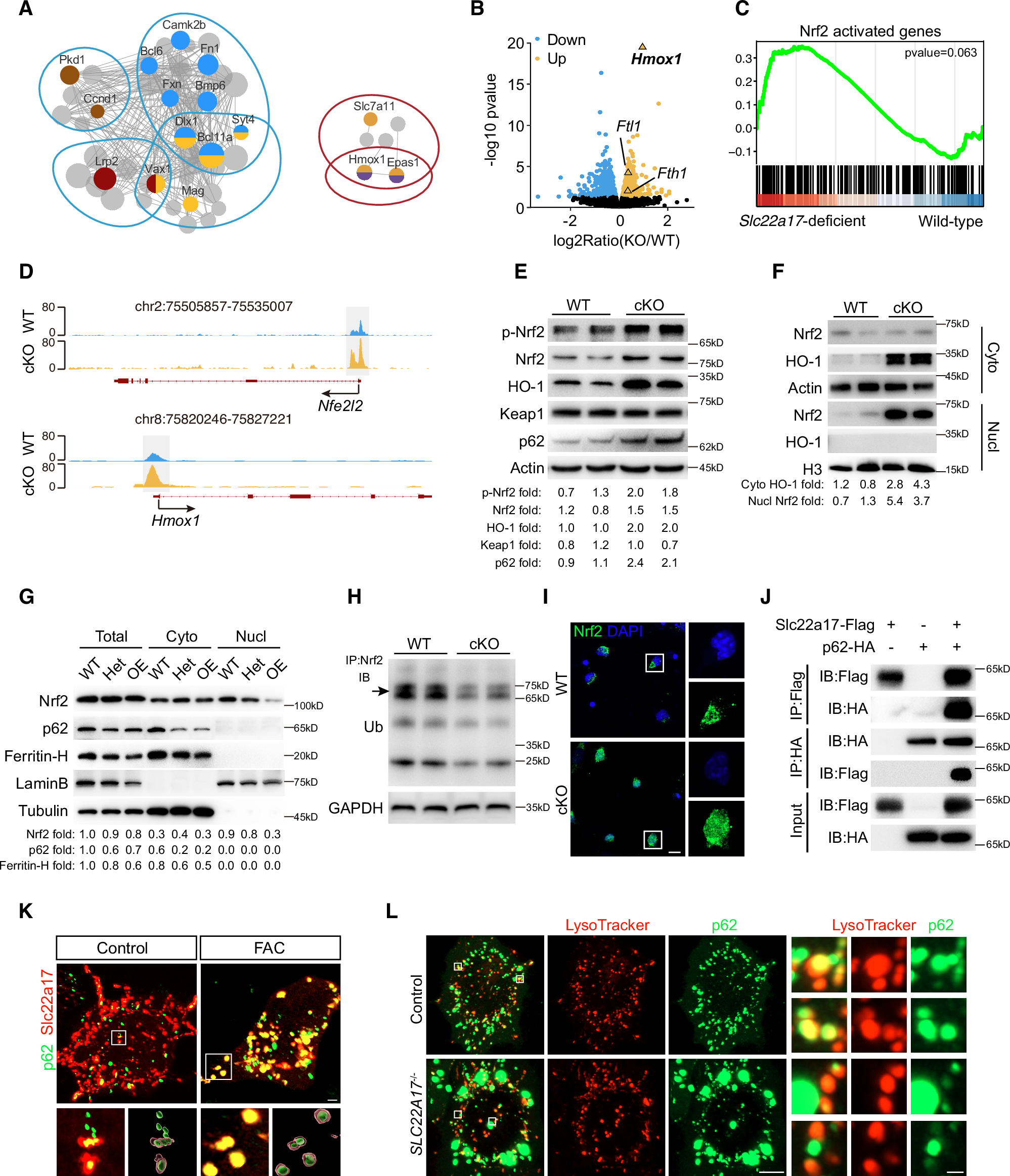
Fig. 6: Slc22a17 regulates the activation of Nrf2/HO-1 pathway.
From: Slc22a17 governs postnatal neurogenesis by maintaining the iron homeostasis in hippocampus

A Pearson correlation network showing genes involved in significantly up- or down-regulated pathways. The blue circles represent the down-regulated pathways (Top left: Cell cycle; Top right: Neuron differentiation; Bottom left: Neural precursor cell proliferation; Bottom right: Nervous system development) and the red represents the up-regulated ones (Top: Response to oxidative stress; Bottom: Iron ion homeostasis). Edges are significant at Pearson’s coefficient > 0.5 and p < 0.05 for a positive correlation. B Volcano plot showing the down-regulated and up-regulated genes measured using RNA-seq analysis. C GSEA of genes targeted and activated by Nrf2 through their promoters are up-regulated upon Slc22a17 deletion. Genes were ranked based on decreasing log2 fold gene expression changes comparing the KO neurosphere to the WT. D Chromatin accessibility at the Nfe2l2 and Hmox1 loci was analyzed by ATAC-seq in WT and cKO neurospheres. E Increased p-Nrf2, Nrf2, HO-1, and p62 levels in the cKO neurosphere. Target proteins were normalized to their respective loading controls. F Increased nuclear Nrf2 and cytosolic HO-1 levels in cKO neurosphere. G Decreased nuclear Nrf2 levels and decreased cytosolic p62 and Ferritin-H levels in Het (Slc22a17 OE/+; Nestin-Cre) and OE (Slc22a17 OE/OE; Nestin-Cre) mice. H Ubiquitination assays showing Nrf2 ubiquitination and degradation in cKO mice. I Confocal microscopy images of NSCs stained for Nrf2 and DAPI. Scale bar, 20 μm. J Co-IP assay with Slc22a17-Flag and p62-HA showing the interaction between Slc22a17 and p62. K Representative live-cell imaging showing localization of Slc22a17-mCherry (red) to p62-GFP (green). A 3D reconstruction of Slc22a17 and p62 droplet is shown in the bottom panels. Scale bar, 2 μm. L Representative confocal images showing localization of p62-GFP (green) to LysoTracker (red) in control and SLC22A17-/- HEK293 cells. Left: Scale bar, 5 μm; Right: Scale bar, 500 nm. Statistical significance was determined by using Student’s t-test, two-sided.