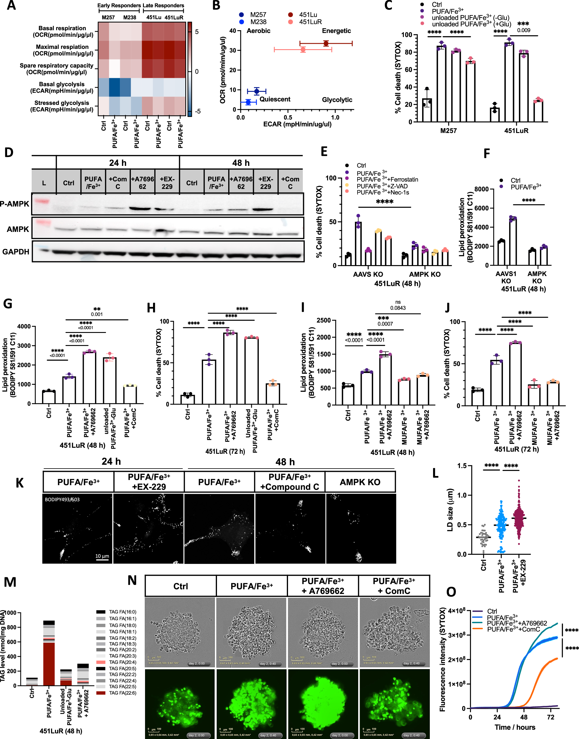
Fig. 3: Starvation-induced AMPK activation influences sensitivity to PUFA-triggered ferroptosis.

A Heatmap of metabolic parameters (Seahorse) at baseline vs PUFA/Fe3+ in melanoma cells (n = 3 independent samples). B OXPHOS vs glycolytic parameters in melanoma cells at baseline. Mean ± SD from n = 3 independent experiments comprising 3 wells each. (OCR: oxygen consumption rate). C Cell death (SYTOX) in M257 (48 h) and 451LuR (72 h) after 20 h PUFA/Fe3+ treatment and medium refreshment +/− glucose (Glu). Mean ± SD from n = 3 independent experiments comprising 3 wells each, two-way ANOVA with Dunnett’s test (****P < 0.0001). D Western blot of P-AMPK (MW: 62 kDa, red: 70 kDa), total AMPK (MW: 62 kDa, red: 70 kDa), GAPDH (MW: 37 kDa, blue: 35 kDa) in 451LuR +/− PUFA/Fe3+, +/− AMPK activators (A769662, EX-229), ComC at 24/48 h (L = Ladder). n = 3 independent experiments. E, F Effect of AMPK knockout (AMPK KO) versus control (AAVS KO) on cell death induction (SYTOX) and lipid peroxidation (BODIPY) by PUFA/Fe3+ in 451LuR cells +/− ZVAD, NEC-1S or Ferrostatin. Mean ± SD from n = 3 independent experiments comprising 3 wells each, two-way ANOVA, with Å Ãdák (****P < 0.0001). G, H Effect of AMPK modulators Compound C (ComC), A769662, and glucose deprivation -Glu) on lipid peroxidation (BODIPY) and cell death induction (SYTOX) by PUFA/Fe3+ in 451LuR. Mean ± SD from n = 3 independent experiments comprising 3 wells each, analyzed using a one-way ANOVA with Dunnett’s test (****P < 0.0001). I, J Effect of MUFA (oleate) supplementation on lipid peroxidation (BODIPY) and cell death induction (SYTOX) by PUFA/Fe3+ in 451LuR. Mean ± SD from n = 3 independent experiments comprising 3 wells each, one-way ANOVA with Dunnett’s test (****P < 0.0001). K Effect of AMPK modulators (EX-229, Compound C, and AMPK KO) on lipid droplet (LD) accumulation (BODIPY 493/503) in 451LuR cells. Representative images from n = 10. L Lipid droplet (LD) size quantification (ImageJ 2.0) in 451LuR cells +/− PUFA/Fe3+ +/− EX-229. Scatter dot plot indicating the median from n = 15 images in 3 independent experiments, analyzed using one-way ANOVA with Dunnett’s test (****P < 0.0001). M Effect of AMPK activators A769662 or glucose deprivation on TAG levels in 451LuR cells +/− PUFA/Fe3+ (n = 3 independent wells). N, O Effect of AMPK modulators A769662 and Compound C on PUFA/Fe3+-induced cytotoxicity (SYTOX) in 3D 451LuR spheroids (SYTOX). Mean ± SD from n = 3 independent experiments comprising 3 wells each, analyzed using a two-way ANOVA (****P < 0.0001). Source data: Source Data file.