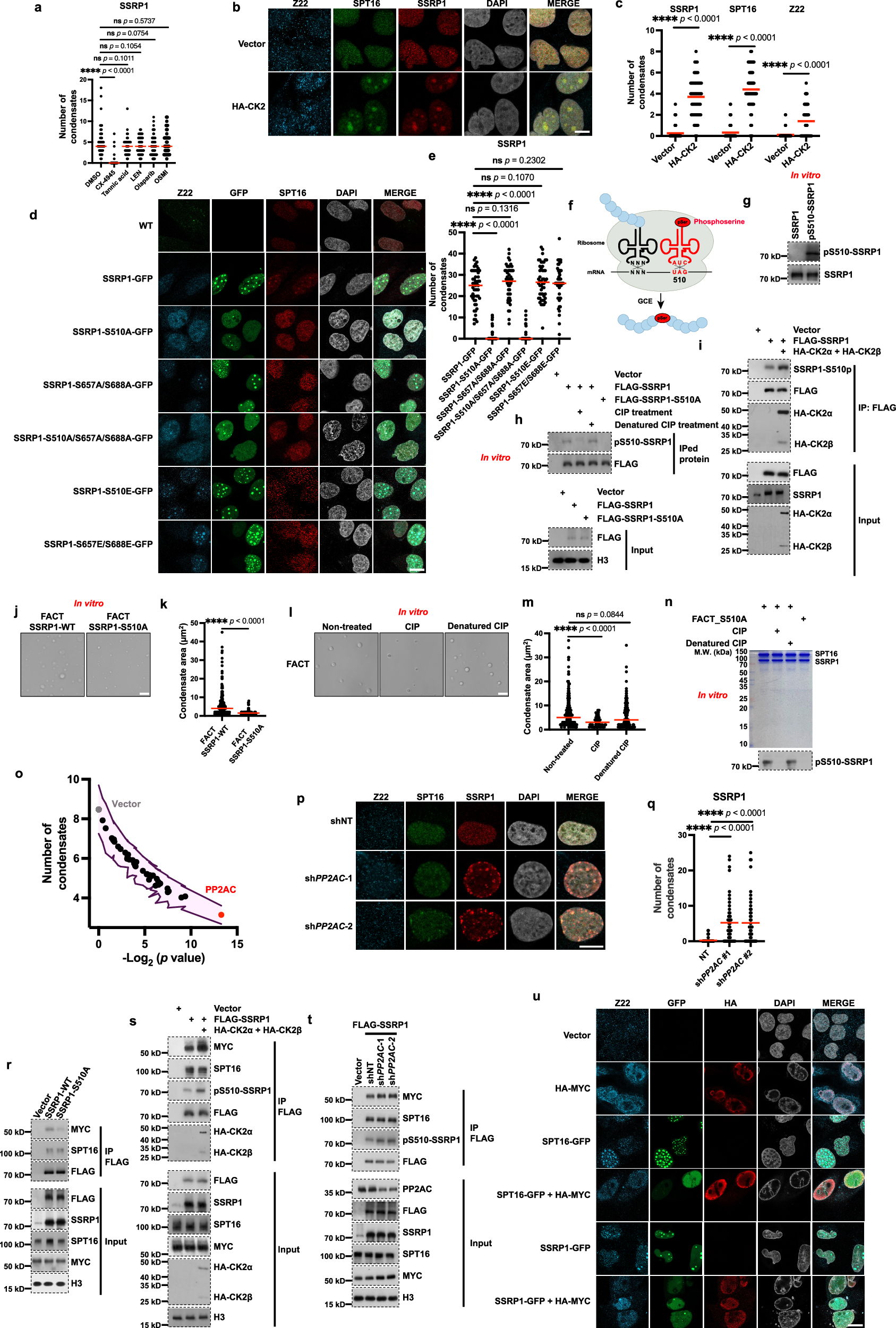
Fig. 4: The FACT complex is phosphorylated by CK2 and dephosphorylated by PP2AC, impacting its phase separation and binding with MYC.
From: MYC drives left-handed Z-DNA formation to shape gene expression

a Condensate number quantification results of U2OS cells treated with 10 µM CX-4945, Olaparib, Tannic acid, LEN, and OSMI for 24 h, respectively. CX-4945, a CK2 inhibitor that suppresses protein phosphorylation; Olaparib, a PARP inhibitor that blocks PARylation (poly-ADP ribosylation); Tannic acid, an HDAC inhibitor that increases acetylation; Lenalidomide (LEN), a CRBN E3 ubiquitin ligase modulator that reduces ubiquitination; OSMI-1, an OGT inhibitor that reduces O-GlcNAc glycosylation. The data were represented by the scatter dots and median value (DMSO, N = 45 cells; CX-4945, N = 41 cells; Tannic acid, N = 38 cells; LEN, N = 45 cells; Olaparib, N = 58 cells; OSMI, N = 42 cells). p value was determined by unpaired two-sided t-test. The exact p values were indicated in the figure. Source data are provided as a Source Data file. b IF results showing the localization and expression level of endogenous SSRP1, SPT16, and Z-NA after CK2 overexpression in U2OS cells. Empty vectors were used as negative controls. Scale bar, 10 µm. c Condensate number quantification results for each cell in (b). The data were represented by the scatter dots and mean values (SSRP1-CT, N = 51 cells; SSRP1-CK2, N = 60 cells; SPT16-CT, N = 51 cells; SPT16-CK2, N = 60 cells; Z22-CT, N = 50 cells; Z22-CK2, N = 60 cells). p value was determined by unpaired two-sided t-test. The exact p values were indicated in the figure. Source data are provided as a Source Data file. d IF results showing the localization and expression level of WT and mutant SSRP1-GFP, endogenous SPT16, and Z-NA in U2OS cells. The S-to-A mutation was used to disrupt phosphorylation, and the S-to-E mutation was used to mimic phosphorylation of SSRP1. Scale bar, 10 µm. e Condensate number quantification results for each cell in (d). The data were represented by the scatter dots and mean values (SSRP1-GFP, N = 50 cells; SSRP1-S510A-GFP, N = 52 cells; SSRP1-S657A/S688A-GFP, N = 51 cells; SSRP1-S510A/S657A/S688A-GFP, N = 51 cells; SSRP1-S510E-GFP, N = 50 cells; SSRP1-S657E/S688E-GFP, N = 50 cells). p value was determined by unpaired two-sided t-test. The exact p values were indicated in the figure. Source data are provided as a Source Data file. f Schematic illustration of phosphorylation mimic of SSRP1 at S510 by genetic code expansion. The red tRNA represented aminoacyl-tRNA in the engineered E. coli. g Western blotting results showing the detection of pS510-SSRP1 in reconstituted proteins in vitro. Proteins from wild-type and reconstituted phosphorylation mimics of pS510-SSRP1, which were purified from E. coli, were analyzed by Western blotting using homemade antibodies. The assay was performed in two independent biological replicates with similar results. Source data are provided as a Source Data file. h Western blotting results showing the detection of pS510-SSRP1 in vitro. Phosphorylated levels of SSRP1 at the S510 site of WT SSRP1, mutant SSRP1, and SSRP1 treated with CIP/denatured CIP were analyzed by homemade antibodies. FLAG-tagged WT and mutant SSRP1 were purified by FLAG beads in HEK293T cells. FLAG immunoprecipitated (IPed) SSRP1 was further treated with 250 U/mL of CIP or denatured CIP at room temperature for a duration of 30 min. Denatured CIP, heat-inactivated at 85 °C for 10 min. Proteins from input and IP samples were analyzed by Western blotting using the indicated antibodies. The assay was performed in two independent biological replicates with similar results. Source data are provided as a Source Data file. i Western blotting results showing the level of pS510-SSRP1 after CK2 overexpression. FLAG-tagged SSRP1 was purified by FLAG beads in HEK293T cells. Proteins from input and IP samples were analyzed by Western blotting using the indicated antibodies. The assay was performed in two independent biological replicates with similar results. Source data are provided as a Source Data file. j Microscopy results showing the FACT condensates with WT or S510A mutant SSRP1 in vitro. Proteins were purified from SF9 cells. WT and mutant FACT were mixed with 0.5 mM MgCl2 to form droplets at 75 mM NaCl and 25 mM Tris-HCl pH 7.5. Scale bar, 10 µm. The assay was performed in three independent biological replicates with similar results. k Condensate area quantification results for each droplet in (j). The data were represented by the scatter dots and mean values (WT, N = 225 droplets; SSRP1-S510A, N = 72 droplets). p value was determined by unpaired two-sided t-test. The exact p values were indicated in the figure. l Microscopy results showing the FACT condensates with CIP treatment in vitro. FACT was purified from SF9 cells and was further treated with 250 U/mL of CIP or denatured CIP at room temperature for a duration of 30 min. Denatured CIP, heat-inactivated at 85 °C for 10 min. FACT treated with CIP or denatured CIP were mixed with 0.5 mM MgCl2 to form droplets at 75 mM NaCl and 25 mM Tris-HCl pH 7.5. Scale bar, 10 µm. The assay was performed in three independent biological replicates with similar results. m Condensate area quantification results for each droplet in (l). The data were represented by the scatter dots and mean values (CT, N = 259 droplets; CIP, N = 57 droplets; Denatured CIP, N = 161 droplets). p value was determined by unpaired two-sided t-test. The exact p values were indicated in the figure. Source data are provided as a Source Data file. n The level of pS510-SSRP1 in FACT complex in vitro. FACT and FACT-S510A were purified from SF9 cells. Purified FACT was further treated with 250 U/mL of CIP or denatured CIP at room temperature for a duration of 30 min. Denatured CIP, heat-inactivated at 85 °C for 10 min. Upper panel, the input of the FACT was shown by Coomassie Brilliant Blue (CBB) staining. Lower panel, phosphorylated level of SSRP1 at S510 detected by Western blotting. The assay was performed in three independent biological replicates with similar results. o SSRP1 condensate number quantification results for each cell after 36 different phosphatases were expressed in SSRP1-GFP overexpression U2OS cells. The data were represented by the mean values for each condition (N = 49–59 cells). p value was determined by unpaired two-sided t-test. p IF results showing the localization and expression level of endogenous SSRP1, SPT16, and Z-NA after PP2AC was knocked down in U2OS cells. Two independent shRNAs were generated to knock down PP2AC. NT non-target control. Scale bar, 10 µm. q SSRP1 condensate number quantification results for each cell in (p). The data were represented by the scatter dots and mean values (NT, N = 53 cells; shPP2AC #1, N = 51 cells; shPP2AC #2, N = 49 cells). p value was determined by unpaired two-sided t-test. The exact p values were indicated in the figure. Source data are provided as a Source Data file. r Mutations at S510 of SSRP1 disrupted the binding between SSRP1 and MYC. FLAG-tagged SSRP1 was purified by FLAG beads in HEK293T cells. Proteins from input and IP samples were analyzed by Western blotting using the indicated antibodies. The assay was performed in two independent biological replicates with similar results. Source data are provided as a Source Data file. s Overexpression of CK2 increased the binding between FACT and MYC. FLAG-tagged SSRP1 was purified by FLAG beads in HEK293T cells. Proteins from input and IP samples were analyzed by Western blotting using the indicated antibodies. The assay was performed in two independent biological replicates with similar results. Source data are provided as a Source Data file. t Knocking down PP2AC increased the binding between FACT and MYC. FLAG-tagged SSRP1 was purified by FLAG beads in HEK293T cells. Proteins from input and IP samples were analyzed by Western blotting using the indicated antibodies. The assay was performed in two independent biological replicates with similar results. Source data are provided as a Source Data file. u IF results showing the relocation of FACT by MYC. HA-tagged MYC and GFP-tagged SSRP1 or SPT16 were overexpressed in U2OS cells, either separately or together. Scale bar, 10 µm. The assay was performed in three independent biological replicates with similar results.