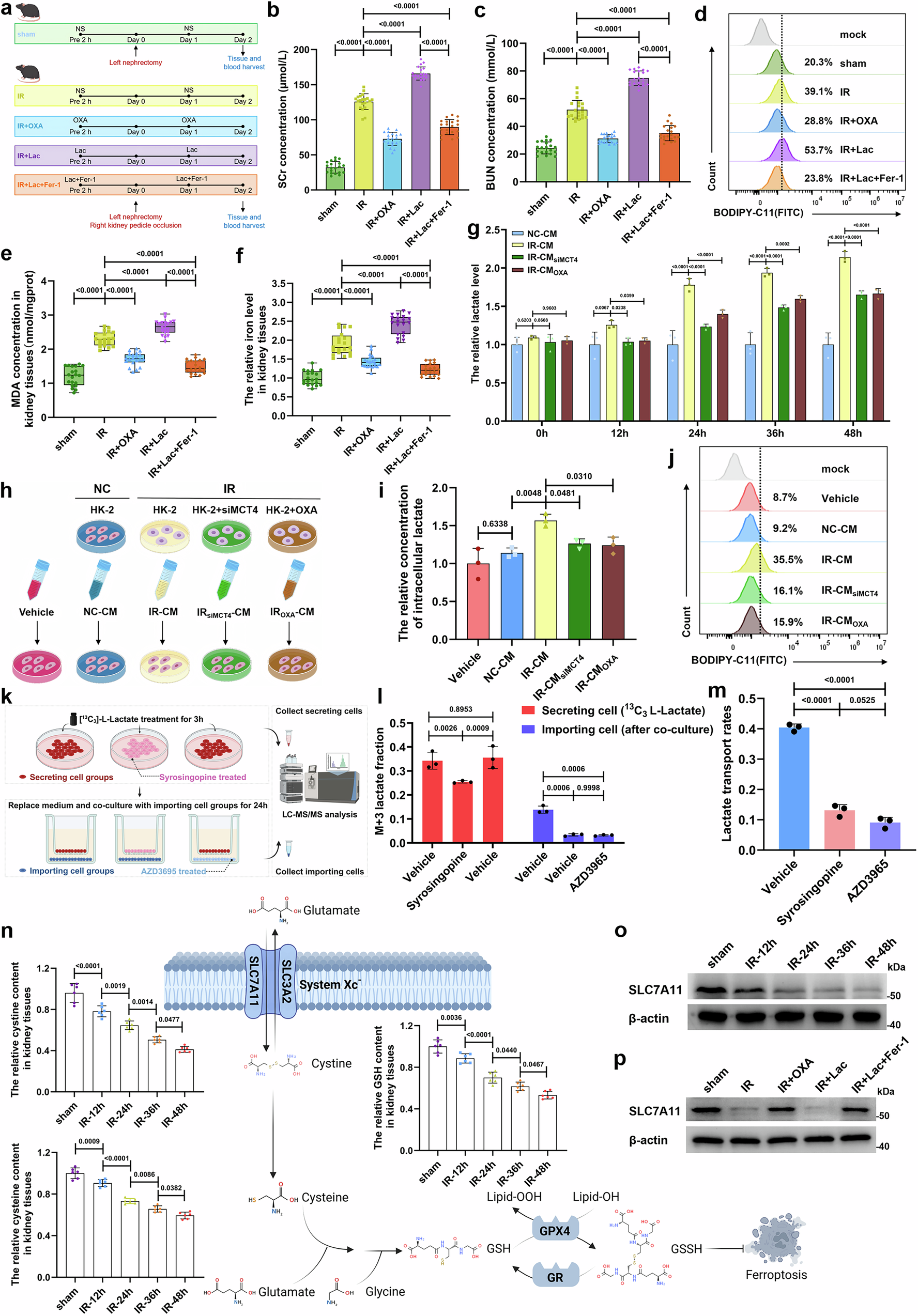
Fig. 2: Lactate shuttle attenuates cystine/cysteine/GSH metabolism and induces ferroptotic propagation.

a Flowchart delineating kidney IRI protocol in C57BL/6 mice; sodium oxamate (1 g/kg, OXA), sodium lactate (120 mg/kg, Lac), ferrostatin-1 (5 mg/kg, Fer-1), normal saline (N.S.). SCr (b) and BUN (c) concentration in mice treated with the same experimental setup in a; lipid peroxidation level (d), malondialdehyde (MDA) concentration (e) and iron level (f) in mouse kidney tissues (n = 20 group−1); iron level was normalized according to sham group results; one-way ANOVA followed by Tukey’s test; Boxplot: 25th–75th percentiles; center line: median; whiskers: 1.5 times the interquartile range. g Lactate concentration in conditioned medium of normal and IRI HK-2 cells (NC-CM and IR-CM); normalized according to concentrations in NC-CM (n = 3 group−1); one-way ANOVA followed by Tukey’s test; IR-CMsiMCT4 and IR-CMOXA represent CM from IRI HK-2 cells treated with siMCT4 or OXA. h Schematic representing co-culture models established by normal HK-2 cells and different CM. Lactate concentration (i) and lipid peroxidation (j) in HK-2 cells treated with the same experimental setup in (h) (n = 3 group−1); normalized according to Vehicle group concentrations; one-way ANOVA followed by Tukey’s test. k Flowchart depicting the metabolic flux tracing assay in secreting cells incubated with [13C3]-L-Lactate and importing cells. l, m M + 3 lactate fraction in cell lysate and lactate transport rate (the ratio of m + 3 lactate fraction in importing cells to secreting cells) (n = 3 group−1); one-way ANOVA followed by Tukey’s test. n Metabolite contents in cystine/cysteine/GSH pathway in mouse kidney tissues (n = 6 group−1) and normalized according to sham group concentrations; one-way ANOVA followed by Tukey’s test. o, p Western blotting determining SLC7A11 expression in mouse kidney tissues after different reperfusion phases (n = 6 group−1) and different treatments (n = 20 group−1). Data are presented as mean ± SD. All experiments were repeated at least three times, yielding similar results. The pvalues are shown for the indicated comparisons. Figure 2a, h were created in FigDraw. https://www.figdraw.com; Fig. 2k, n were created in BioRender. Feng, Z. (2025) https://BioRender.com/ye9fs3m and https://BioRender.com/e3ywthw. Source data are provided as a Source Data file.