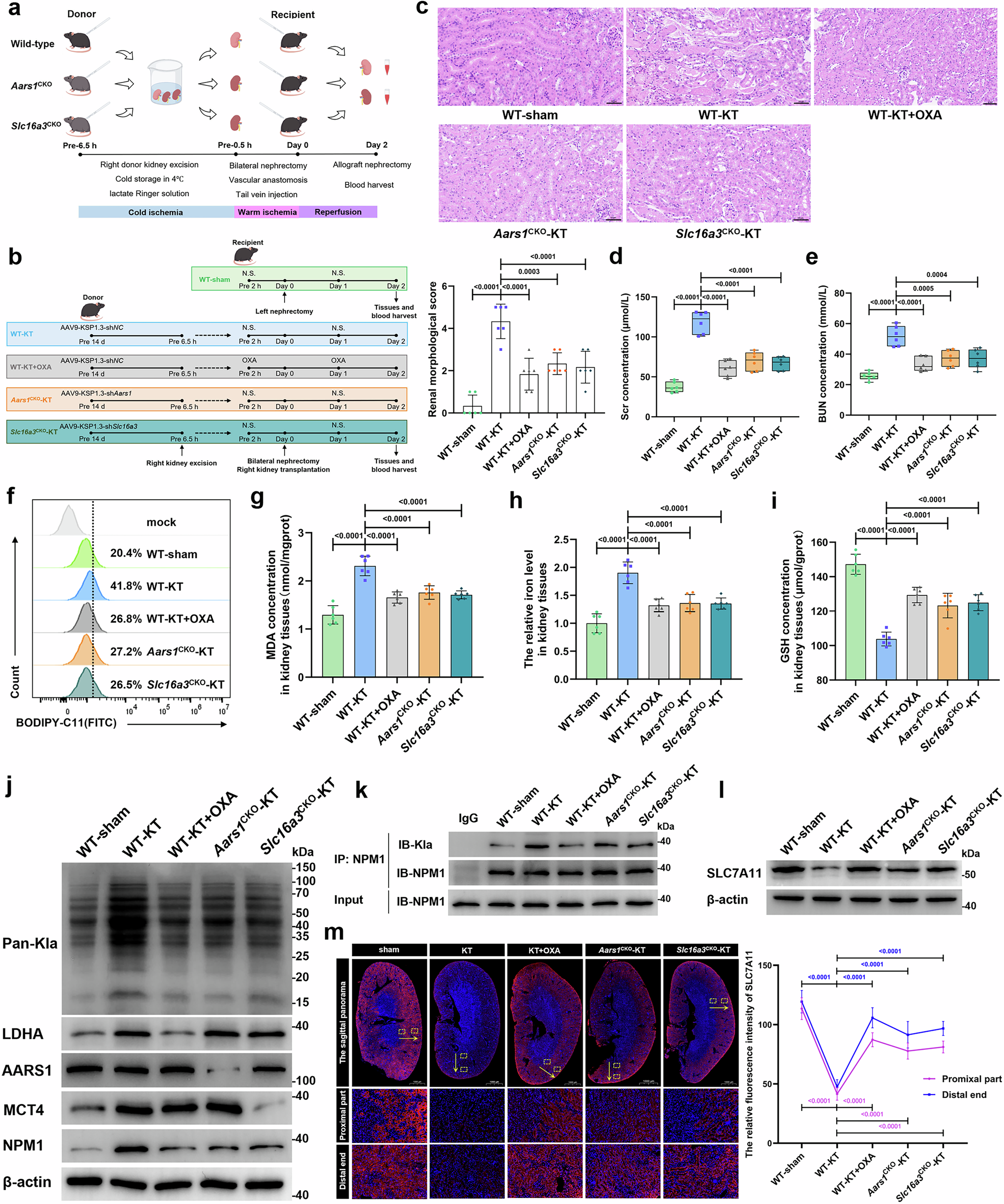
Fig. 7: Lactate shuttle triggers ferroptotic waves in the kidney tissue microenvironment and exacerbates graft kidney IRI by inducing NPM1 lactylation.

a Flowchart delineating the procedure of allograft kidney transplantation in WT, Aars1CKO and Slc16a3CKO C57BL/6 mouse. b Schematic representation of the experimental protocols in vivo. For sodium oxamate administration, recipient mice receive intraperitoneal injection of sodium oxamate (1 g/kg, OXA) or normal saline (N.S.) 2 h before kidney transplantation and 1 d after transplantation. c HE staining evaluating kidney morphology and kidney pathological score (n = 6 group−1); scale bar: 50 μm; one-way ANOVA followed by Tukey’s test. d, e SCr and BUN concentrations in mice treated with the same experimental setup as described in a-b (n = 6 group−1); one-way ANOVA followed by Tukey’s test; Boxplot: 25th–75th percentiles; center line: median; whiskers: 1.5 times the interquartile range. Lipid peroxidation level (f), MDA concentration (g), iron level (h), and GSH content (i) in graft kidney tissues (n = 6 group−1); iron level was normalized according to WT-sham group results; one-way ANOVA followed by Tukey’s test. j Western blotting detecting the indicated proteins and global lactylation levels in graft kidney tissues (n = 6 group−1). k IP assays assessing NPM1 lactylation in graft kidney tissues using an anti-NPM1 antibody (n = 6 group−1). l SLC7A11 expression in graft kidney tissues was detected by western blotting (n = 6 group−1). m IF and fluorescence intensity assaying illustrating the expression level and region of SLC7A11 in graft kidney tissue slices (n = 6 group−1); one-way ANOVA followed by Tukey’s test; yellow arrows representing regions from the proximal part of blood reperfusion to the distal end; scale bar: 1000 μm for 1X. Data are presented as mean ± SD. All experiments were repeated at least three times, yielding similar results. The p-values are shown for the indicated comparisons. Figure 7a, b were created in FigDraw. Source Data are provided as a Source data file.