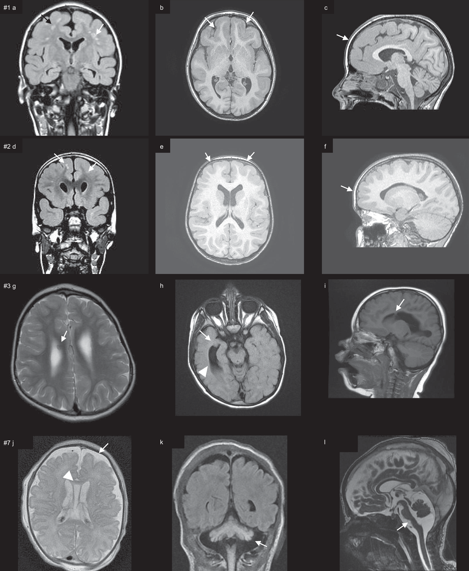
Fig. 2: Brain MRI of the patients.

a–c Coronal FLAIR, axial, and sagittal T1-weighted (T1W) brain MRI of patient #1 showing rounded subcortical white matter abnormalities, mainly in the frontal lobe, partly confluent (a, arrows) and pachygyria, with an antero-posterior gradient (b, c, arrows), sparing the occipital lobes. d–f Coronal FLAIR, axial, and sagittal T1W brain MRI of patient #2 showing isolated subcortical white matter abnormalities, mainly in the frontal lobe (d, arrows) and pachygyria, with an antero-posterior gradient, sparing the occipital lobes (e, f, arrows). g–i Axial T2W, axial T2W FLAIR, and sagittal T1W brain MRI of patient #3 showing microcephaly with normal gyration, focal gray matter heterotopia in the mesial wall (g), temporal horn (h), and frontal horn (i) of the right lateral ventricle and enlarged lateral ventricles (arrowhead). j–l Axial T2 weighted, coronal FLAIR and sagittal FIESTA brain MRI of patient #7 at 10 days of life showing septum pellucidum cyst (arrowhead) and mild enlargement of frontal subarachnoidal space (white arrow) (j), cerebral atrophy and cerebellar (k, arrow) and brainstem atrophy (l, arrow). Additional MR figures of patient #3 are available as Supplementary Fig. 2. Source data are provided in the Source Data File.