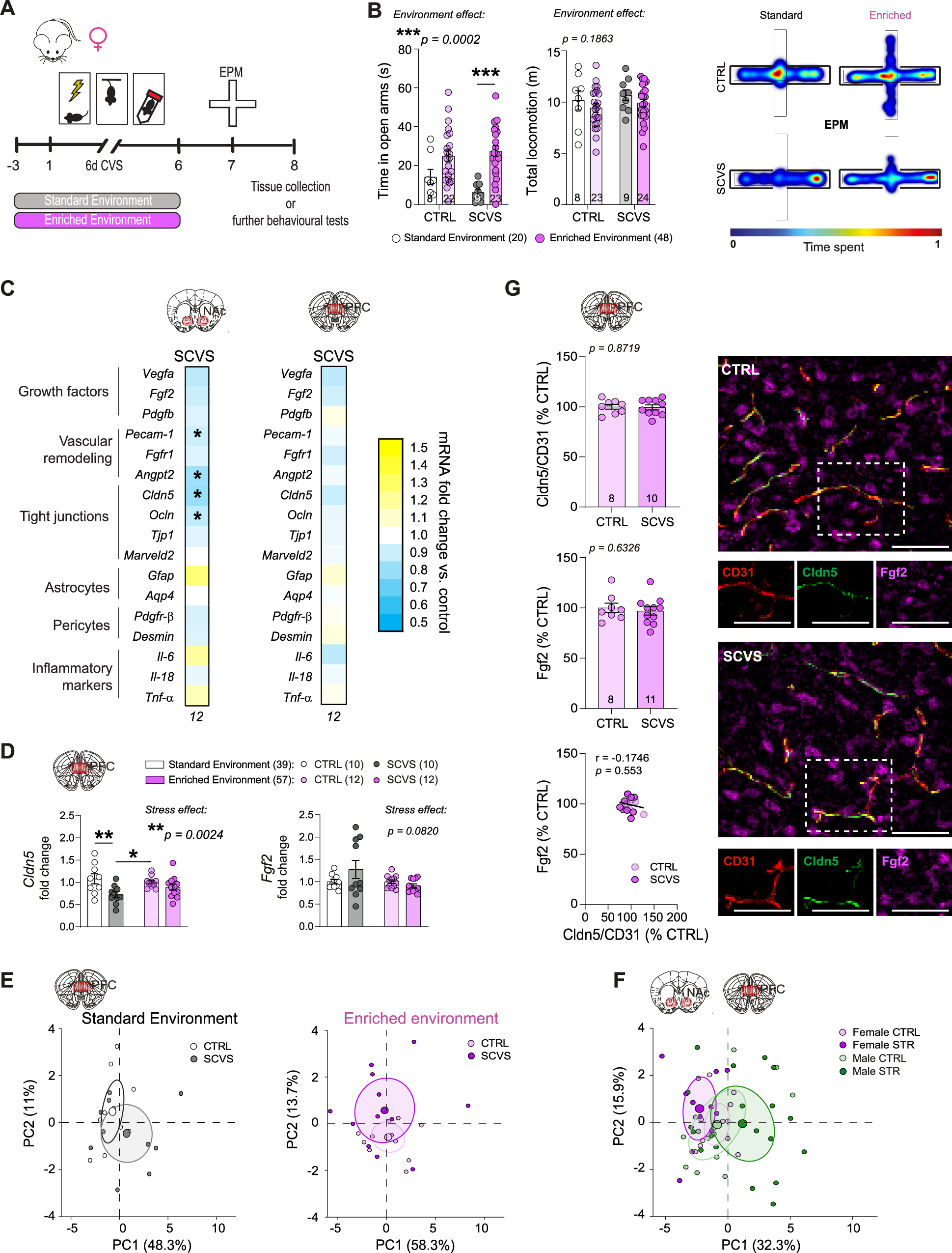
Fig. 2: Environmental enrichment dampens stress-induced anxiety and blood-brain barrier alterations in the prefrontal cortex of female mice.

A Experimental timeline for subchronic variable stress (SCVS) with enriched environment (EE). Female mice were housed with a nestlet, plastic chew toy, and shelter beginning 3 days prior to stress and continuing until the last session, followed by elevated plus maze (EPM) and tissue collection 24 h later or further behavioral testing depending on the cohorts. B Compared to previously published results from female SCVS with plain cages and no access to a nestlet, plastic chew toy, and shelter18, stressed EE mice show greater exploratory behavior characterized by open arm time in the EPM. Representative heatmaps show differences in EPM behavior between standard and EE SCVS. C Heatmaps showing transcription of BBB-related genes in the nucleus accumbens (NAc) and prefrontal cortex (PFC) after stress. Cldn5 deficits are seen in the NAc, but not the PFC. D Increased Cldn5 expression in stressed EE mice compared to published data from stressed mice in plain cages18. E CTRL and SCVS mice form distinct clusters based on principal component analysis of PFC gene expression data when performed in standard cages, but in the EE cohort they are more closely grouped. F BBB-related genes in the male NAc and female PFC respond differently to stress. G No changes in immunofluorescent staining of Fgf2 or Cldn5 following SCVS in female mice with EE (scalebar = 50 μm). Data represent mean ± s.e.m., the number of animals is indicated on graphs. Group comparisons were evaluated with two-way ANOVA followed by Bonferroni’s post hoc tests or two-tailed t-tests with Welch’s correction and correlation with Pearson’s correlation coefficient where appropriate; *p < 0.05, **p < 0.01, ***p < 0.001.