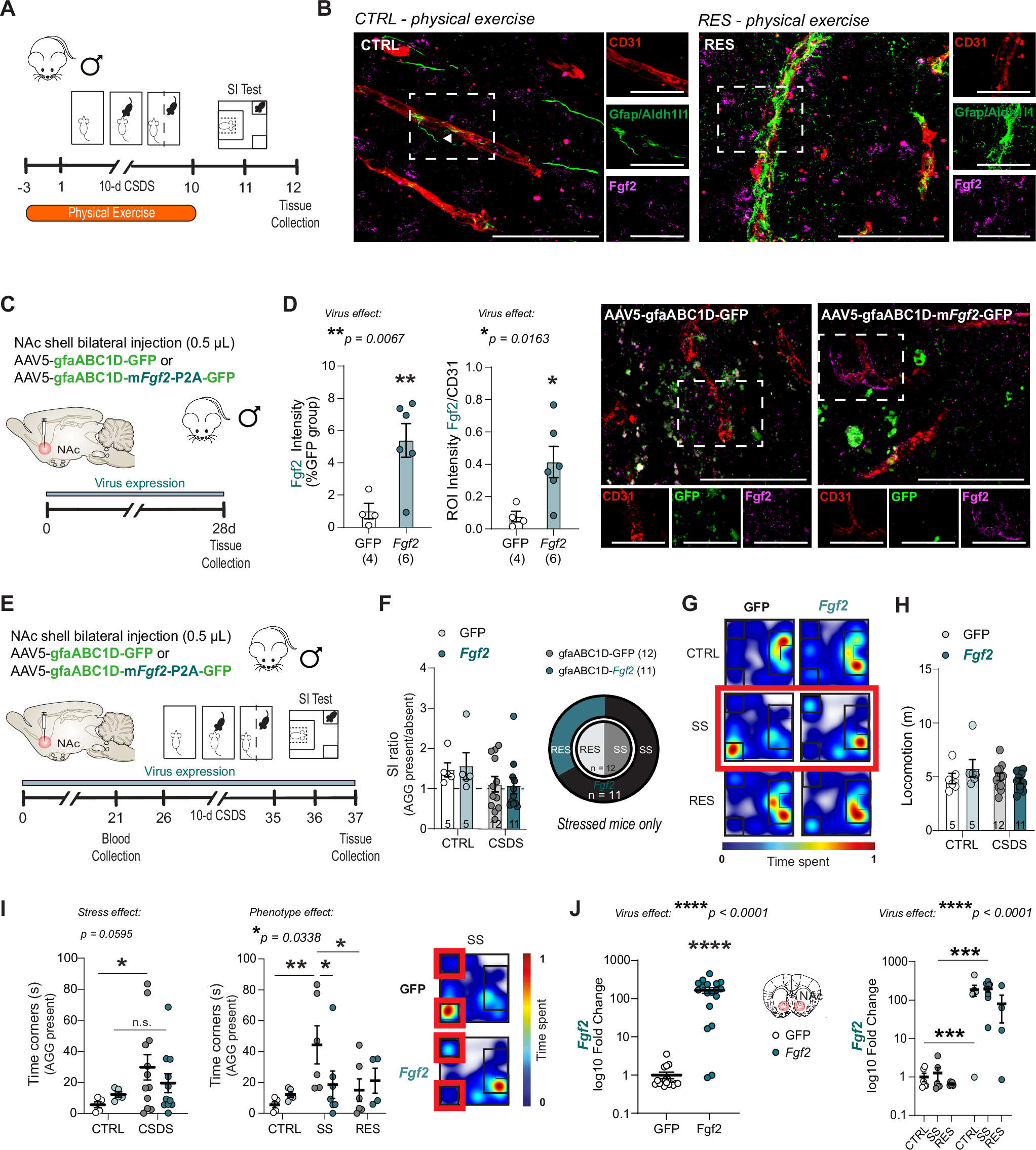
Fig. 4: Upregulation of astrocytic Fgf2 prevents stress-induced social avoidance.

A Experimental timeline for chronic social defeat stress (CSDS) with physical exercise (PE). Male mice were habituated with a battery-powered running wheel prior to CSDS and had voluntary access to wheel running until the last defeat, which was followed by social interaction (SI) testing and tissue collection 24 h later. B Increased Fgf2 and astrocyte marker immunoreactivity is observed along blood vessels of resilient mice with access to PE when compared to unstressed PE controls (scalebar = 50 μm and 25 μm for high magnification images). C Experimental timeline for AAV5-gfaABC1D bilateral injection in the NAc. Mice were injected and 4 weeks later, NAc brain tissues were collected. D Mice injected with AAV5-mFgf2-P2A virus have higher Fgf2 signal intensity (left), precisely colocalized on blood vessels (CD31), compared to controls AAV5-GFP (middle). Fgf2 signal is strongly colocalizing with CD31+ endothelial cells (representative images on the right) (scalebar = 50 μm and 25 μm for high magnification images). E Experimental timeline for AAV5-gfaABC1D bilateral injection in the NAc, followed by CSDS, then Social Interaction (SI) test. F SI ratio is similar between AAV5-GFP and AAV5-mFgf2-P2A, either for control unstressed mice (CTRL, n = 5/group) or stressed mice (CSDS, n = 12/group). AAV5-mFgf2-PA2 mice from the stressed group show higher susceptibility compared to AAV5-GFP stressed mice (G) no difference in locomotion (H) however, they spend more in the interaction zone (I) and less time in the corners when the aggressor (AGG) is present, particularly in susceptible (SS) mice that received AAV5-mFgf2 virus (n = 5–12/group). J After CSDS, AAV5-mFgf2 mice show high levels of Fgf2 mRNA, no matter their CSDS group, compared to mice with control virus AAV5-GFP. Data represent mean ± s.e.m., the number of animals is indicated on graphs. Group comparisons were evaluated with one- or two-way ANOVA followed by Bonferroni’s post hoc tests, or two-tailed t-tests with Welch’s correction; *p < 0.05, **p < 0.01, ***p < 0.001, ****p < 0.0001.