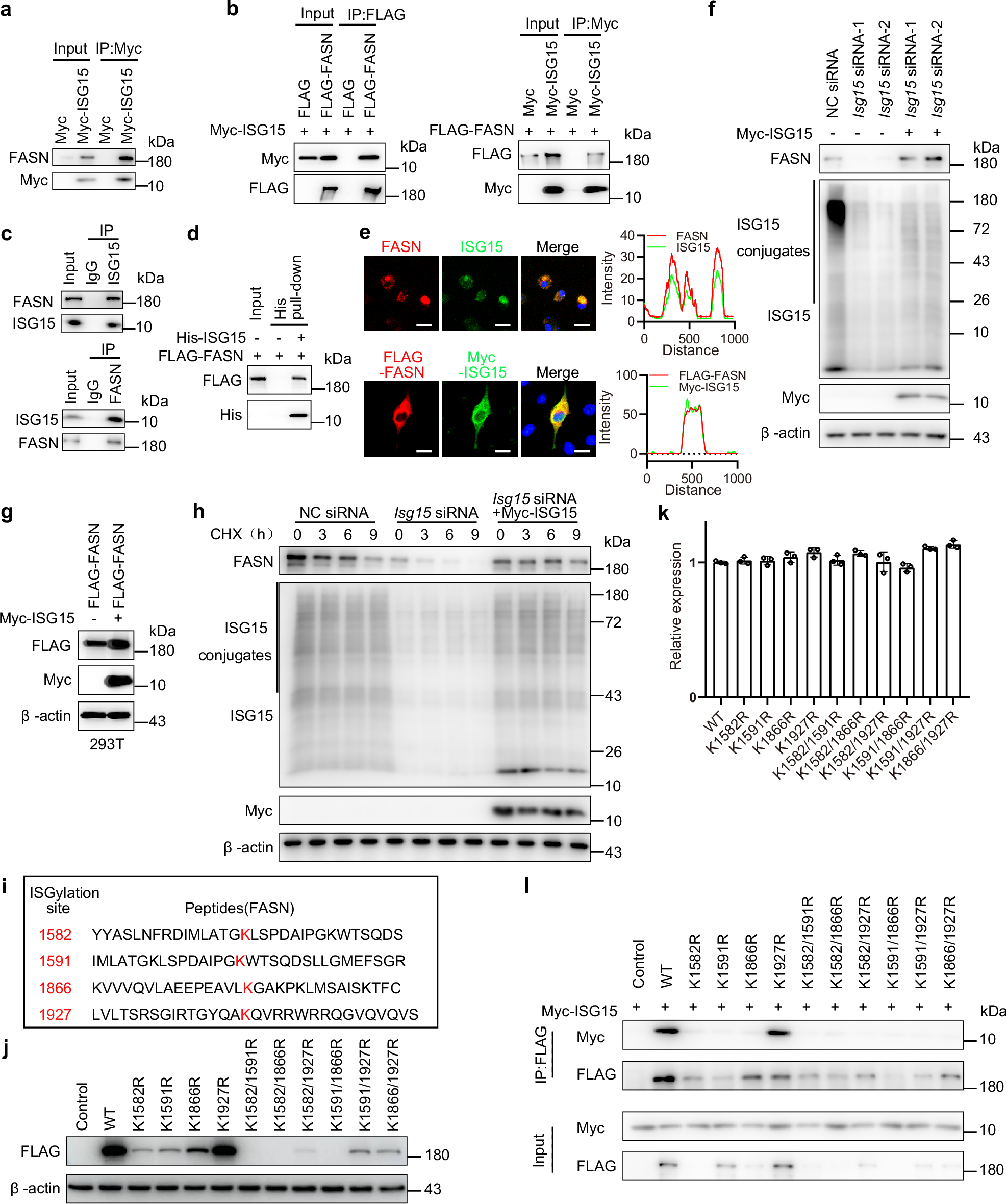
Fig. 4: ISG15 interacts with FASN and enhances FASN stability.

a Co-immunoprecipitation to detect the interaction of Myc-ISG15 with endogenous FASN in HEK293T cells. (n = 3 independent experiments). b Co-immunoprecipitation to detect the interaction of Myc-ISG15 with FLAG-FASN in HEK293T cells. (n = 3 independent experiments). c Co-immunoprecipitation to detect the interaction of endogenous ISG15 and FASN in BMDMs. (n = 3 independent experiments). d In vitro His-tag pull-down was used to test the interaction of FASN and ISG15. (n = 3 independent experiments). e Representative images of endogenous FASN and ISG15 or FLAG-FASN and Myc-ISG15 distribution in HEK293T cells. Colocalization was quantitatively assessed. Scale bars: 10 μm. (n = 3 independent experiments). f BMDMs transfected with NC siRNA, Isg15 siRNAs or Isg15 siRNAs and Myc-ISG15 for 48 h were lysed, followed by immunoblotting with the indicated antibodies. (n = 3 independent experiments). g FLAG-FASN was co-expressed with or without Myc-ISG15 in HEK293T cells. Cell lysates were subjected to immunoblotting with the indicated antibodies. (n = 3 independent experiments). h Western blot to analyze FASN expression after ISG15 silence with or without Myc-ISG15 overexpression combined with 100 ug/ml cycloheximide (CHX) at the 0, 3, 6, and 9 h in BMDMs. (n = 3 independent experiments). i Schematic diagram showing the identified ISGylated lysine residues of FASN. j Western blot analysis of protein levels of FLAG-FASN mutants in 293 T cells. (n = 3 independent experiments). k qRT-PCR analysis of protein level of FASN mutants in 293T cells. (n = 3 independent experiments). l Co-immunoprecipitation to detect the interaction of Myc-ISG15 with FLAG-FASN mutants in human macrophage cells THP1. (n = 3 independent experiments). Data are expressed as the mean ± SD. The source data are provided as a Source data file.