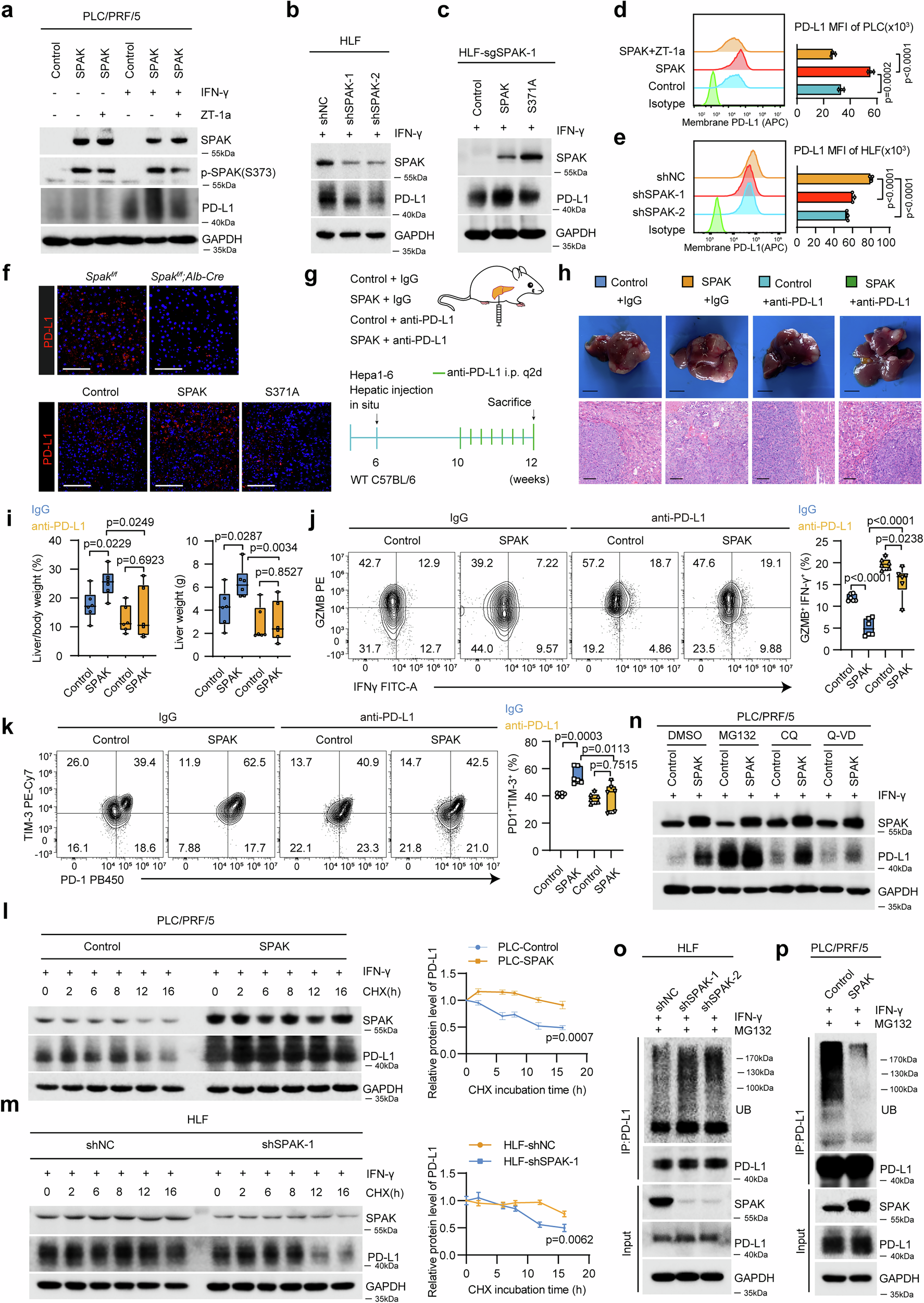
Fig. 6: SPAK stabilizes PD-L1 to promote immune exhaustion of HCC.

a PD-L1 expression levels in SPAK-overexpression HCC cells treated with or without ZT-1a (n = 3 independent experiments). b, c Western blot analysis was conducted to assess the expression levels of PD-L1 in the indicated HCC cells (n = 3 independent experiments). d PD-L1 expression on the cell surface in the indicated PLC/PRF/5 (PLC) cells was conducted using flow cytometry (n = 3 independent experiments). e PD-L1 expression on the cell surface in the indicated HLF cells was conducted using flow cytometry (n = 3 independent experiments). f Representative images of PD-L1 staining by immunofluorescence in the indicated mouse HCC tumors are shown (scale bars, 100 μm). g A schematic representation of the treatment strategy in the Hepa1-6-induced HCC model. h–k Gross images of livers (scale bars, 5 mm), representative H&E staining (scale bars, 100 μm), tumor burden (n = 6 mice) and flow cytometry analysis (n = 6 mice) of Granzyme B+IFN-γ+CD8+ T cells and PD-1+TIM-3+CD8+ T cells in indicated orthotopic Hepa1-6 HCC tumors. l, m The expression levels of PD-L1 in SPAK overexpression (PLC/PRF/5) and SPAK-knockdown (HLF) cells were measured after treatment with CHX for the indicated durations (n = 3 independent experiments). n The expression levels of PD-L1 in PLC/PRF/5 cells overexpressing SPAK were assessed following treatment with or without MG132, CQ and Q-VD (n = 3 independent experiments). o, p Ubiquitination of PD-L1 in SPAK-overexpression (PLC/PRF/5) and SPAK-knockdown (HLF) cells (n = 3 independent experiments); d, e, i, j, k, l, m P values were calculated using an unpaired t test (two-tailed). The box plots show data distribution with the overlaid box plot indicating the median, first (Q1) and third (Q3) quartiles, and the whiskers extending to the 1.5× interquartile range (IQR). Data are presented as the mean ± SD. Source data are provided as a Source Data file.