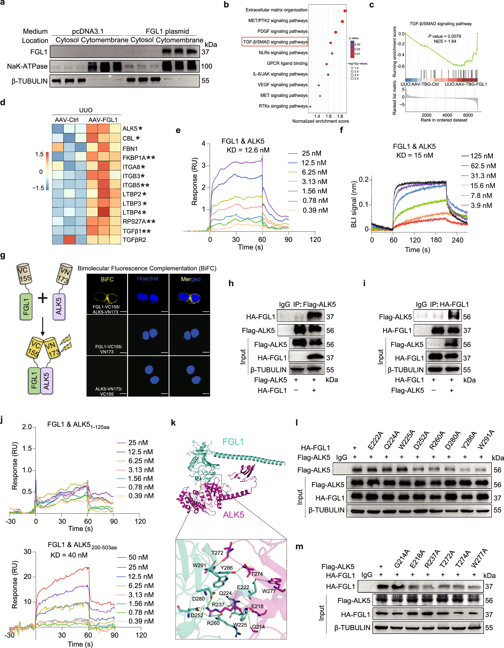
Fig. 4: Identification of ALK5 as a binding receptor of FGL1 in the kidney.
From: Hepatokine fibrinogen-like protein 1 drives liver-kidney crosstalk to promote renal fibrosis

a Supernatants from FGL1-overexpressed HEK-293T cells were collected, filtered through a 0.22 μm sterile filter, and added to HK-2 cells. After 24 h of incubation, the distribution of FGL1 in the cytosol and plasma membrane of HK-2 cells was analyzed by Western blot (n = 3). b Enriched biological processes based on proteomic analysis in kidneys of UUO-AAV-FGL1 mice compared to UUO-AAV-Ctrl mice (n = 3, two-tailed Student’s t test). c Enrichment of TGF-β/SMAD signaling proteins based on proteomic (n = 3, two-tailed Student’s t test). NES, normalized enrichment score. d Heatmaps showing the upregulated proteins involved in the TGF-β/SMAD signaling pathway identified through renal proteomics (n = 3). e, f The interaction between FGL1 and ALK5 was tested using surface plasmon resonance (SPR) and bio-layer interferometry (BLI). The frequency response and fitting curves are displayed. g Bimolecular fluorescence complementation (BiFC) signals were detected in HEK-293T cells co-transfected with FGL1-VC155 and ALK5-VN173 plasmids (n = 3, scale bar, 10 μm). Representative fluorescence images are shown. h, i Co-immunoprecipitation (Co-IP) analysis demonstrating the interaction between FGL1 and ALK5 in HEK-293T cells (n = 3). j The interaction between FGL1 and various truncations of ALK5 was tested using SPR. k Molecular docking analysis revealed the binding domain between human FGL1 and ALK5. l Co-immunoprecipitation analysis revealed interactions between individual site-mutant FGL1 proteins and ALK5 (n = 3). m Co-immunoprecipitation analysis revealed interactions between individual site-mutant ALK5 proteins and FGL1 (n = 3). The image is one of three independent experiments. Data are presented as mean ± SD. The p values were determined by a two-tailed t test (d). *p < 0.05; **p < 0.01. Source data are provided as a Source data file.