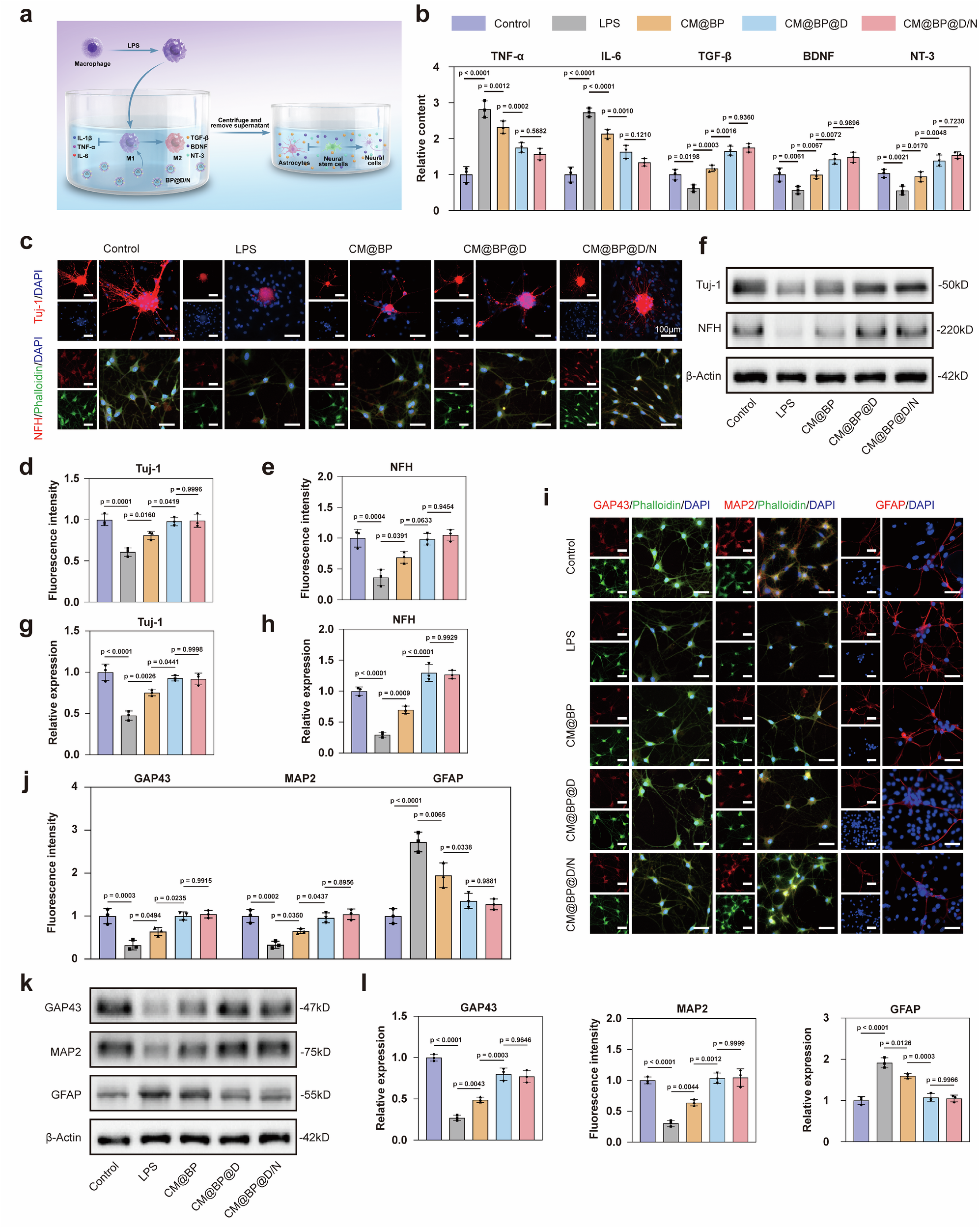
Fig. 7: Camouflaged nanorobots promote NSCs differentiation.

a Schematic of camouflaged nanorobots regulating Mφ polarization to promote NSCs differentiation (created with Blender 4.5). b Expression patterns of inflammatory and growth factors in the co-culture system detected using ELISA (n = 3 independent experiments). c Representative immunofluorescence images of Tuj-1 and NFH (scale bars=100 μm, 3 independent experiments). d and e Immunofluorescence semi-quantitative analysis results of Tuj-1 and NFH (n = 3 independent experiments). f Western blotting of Tuj-1 and NFH proteins expression (3 independent experiments). g and h Semi-quantitative analysis results of Tuj-1 and NFH proteins expression (n = 3 independent experiments). i Representative immunofluorescence images of GAP43, MAP2, and GFAP (scale bars=100 μm, 3 independent experiments). j Immunofluorescence semi-quantitative analysis results of GAP43, MAP2, and GFAP (n = 3 independent experiments). k Western blotting of GAP43, MAP2, and GFAP proteins expression (3 independent experiments). l Semi-quantitative analysis results of GAP43, MAP2, and GFAP proteins expression (n = 3 independent experiments). The data were represented as mean ± SD. Statistical significance was calculated by one-way ANOVA with Tukey’s post hoc test. Source data are provided as a Source Data file.