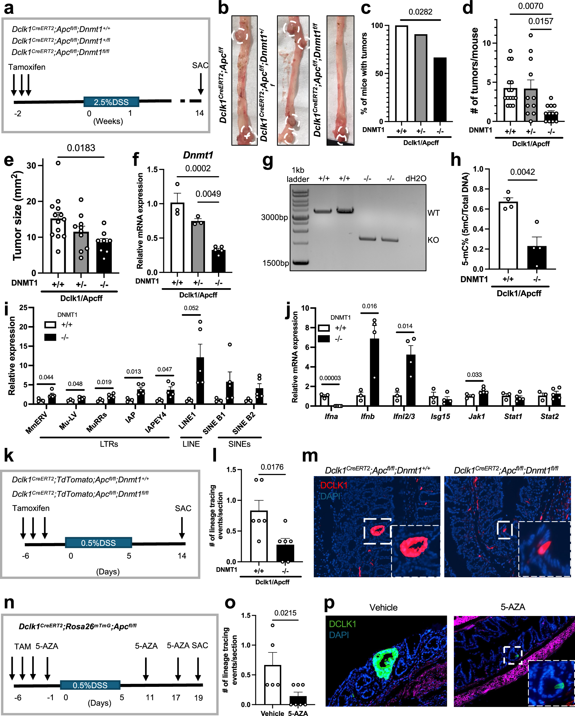
Fig. 3: DNA hypomethylation of cancer-initiating cells activates viral mimicry to reduce stemness.

a Schematic representation of treatment of Dclk1CreERT2;Rosa26TdTomato;Apcf/f (Dnmt1+/+), Dclk1CreERT2;Rosa26TdTomato;Apcf/f;Dnmt1+/f (Dnmt1+/f), and Dclk1CreERT2;Rosa26TdTomato;Apcf/f;Dnmt1f/f (Dnmt1f/f) mice with tamoxifen (6 mg p.o. q2d × 3 doses) and 2.5% DSS for tumor induction. b Representative macroscopic images of colons from Dnmt1+/+, Dnmt1+/f, and Dnmt1f/f mice. White circles represent tumors. c Percentage of mice with tumors in Dnmt1+/+ (n = 15), Dnmt1+/f (n = 11), and Dnmt1f/f mice (n = 12). Data was analyzed using a two-sided Fisher’s exact test. d Average tumor number in Dnmt1+/+ (n = 15), Dnmt1+/f (n = 11), and Dnmt1f/f mice (n = 12). Data was analyzed using a One-way ANOVA with Tukey’s multiple comparison’s test. e Average tumor size in mm2 in Dnmt1+/+ (n = 14), Dnmt1+/f (n = 10), and Dnmt1f/f mice (n = 8). Data was analyzed using a One-way ANOVA with Tukey’s multiple comparison’s test. f Relative mRNA expression of Dnmt1 in tumors isolated from Dnmt1+/+ (n = 3), Dnmt1+/f (n = 3), and Dnmt1f/f mice (n = 5). Data was analyzed using a One-way ANOVA with Tukey’s multiple comparison’s test. g PCR of tumors from Dnmt1+/+ and Dnmt1f/f mice for recombination of Dnmt1. Experiment was repeated on 10 different tumors in each group. h Percentage 5-mC (5-mC/total DNA) in tumors isolated from Dnmt1+/+ and Dnmt1f/f mice (n = 4 in each group). Data was analyzed using an unpaired two-tailed t-test. i Relative expression of transposable elements in tumors isolated from Dnmt1+/+ (n = 3) and Dnmt1f/f mice (n = 5). Data was analyzed using an unpaired two-tailed Student’s t-test. j Relative mRNA expression of Ifnα, Ifnβ, Ifnλ2/3, Isg15, Jak1, Stat1, and Stat2 in tumors isolated from Dnmt1+/+ (n = 3) and Dnmt1f/f mice (n≥4). Data was analyzed using an unpaired two-tailed Student’s t-test. k Schematic representation of the treatment of Dnmt1+/+ and Dnmt1f/f mice with tamoxifen (three doses q.a.d) and low-dose DSS (0.5%) to induce crypt tracing from DCLK1+ cells. l Quantification of the number of lineage-traced crypts per colonic section in Dnmt1+/+ and Dnmt1f/f mice (n = 6 in each group). Data was analyzed using an unpaired two-tailed Student’s t-test. m Representative immunofluorescence images of a traced crypt and a single cell from Dnmt1+/+ and Dnmt1f/f mice, respectively. Three different colonic sections were analyzed for each mouse (n = 6 in each group). n Schematic representation of the treatment of Dclk1CreERT2;Rosa26mTmG;Apcf/f mice with tamoxifen (6 mg p.o. q2d × 3 doses), low dose DSS (0.5%), and 5 mg/kg 5-AZA or vehicle to induce crypt tracing from DCLK1+ cells. o Quantification of the number of lineage-traced crypts per colonic section in Dclk1CreERT2;Rosa26mTmG;Apcf/f mice treated with vehicle (n = 5) or 5-AZA (n = 7). Data was analyzed using an unpaired two-tailed Student’s t-test. p Representative images of a lineage-traced crypt in vehicle-treated mice and a single cell in 5-AZA treated mice. Three different colonic sections were analyzed for each mouse. Data in all bars are represented as mean ± SEM, and dots represent biologically independent animals. Source data are provided as a Source Data file.