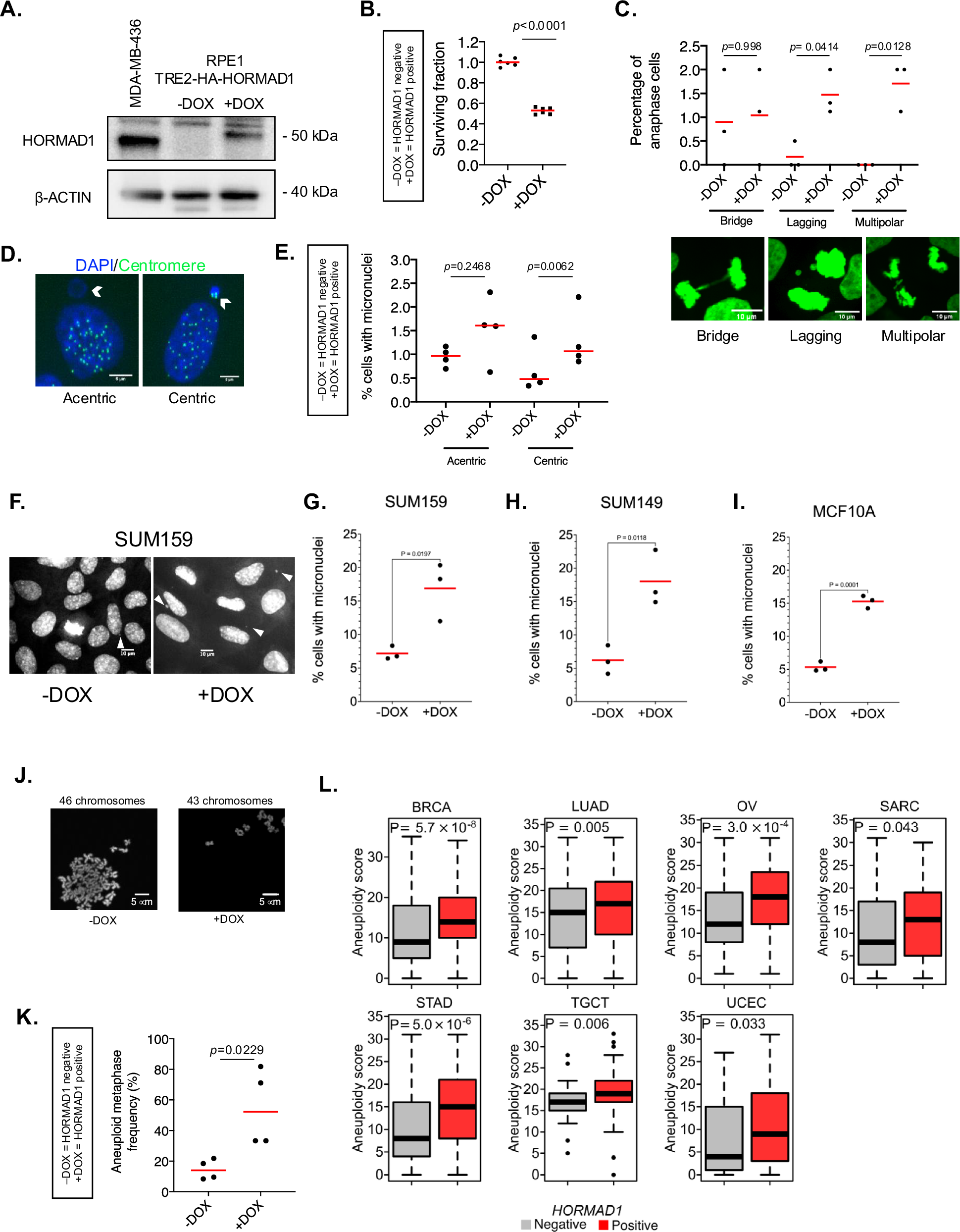
Fig. 1: HORMAD1 expression causes chromosomal instability and aneuploidy.

A Inducible HORMAD1 expression in RPE1 TRE2-HA-HORMAD1 exposed to doxycycline or vehicle (water, –DOX) for three days and analysed by western blotting using indicated antibodies. B RPE1 TRE2-HA-HORMAD1 cells were exposed to doxycycline or vehicle (water, –DOX). 5 days post transfection, cellular viability was estimated using Cell Titre Glo (CTG) reagent and surviving fractions were calculated relative to DMSO treated cells. n = 6 technical replicates, p < 0.0001, t-test (two sided). C Segregation errors in RPE1 TRE2-HA-HORMAD1 cells marked with H2B-GFP. Cells were exposed to doxycycline for 3 days and analysed by time-lapse microscopy. Total segregation errors of each type are shown, scored from at least 500 anaphase cells, across 3 biological repeats. Bridge p = 0.998, Lagging p = 0.0414 and Multipolar p = 0.0128; pairwise t-tests with Bonferroni correction (two sided). D RPE1 TRE2-HA-HORMAD1 cells were exposed to doxycycline for 3 days and anti-ACA antibody (Centromere, green) used to distinguish centric and acentric micronuclei. E Centric/acentric micronuclei were quantified from >1000 cells in (D). The % micronuclei was calculated and presented as the median from 4 biological replicates. Acentric p = 0.2468 and centric p = 0.0062, pairwise t-test with a Bonferroni correction (two sided). F Induction of micronuclei in SUM159 TRE2-HA-HORMAD1 cells after doxycycline exposure for 7 days. G Quantification of experiment shown in F. At least 511 cells were scored, across 3 biological repeats. p = 0.0197, pairwise t-test (two sided). H Induction of micronuclei following doxycycline-induced HORMAD1 expression in SUM149 cells after 7 days. At least 145 cells were scored, across 3 biological repeats. p = 0.0118, pairwise t-test (two sided). I Induction of micronuclei following doxycycline-induced HORMAD1 expression in MCF10A cells after 7 days. At least 394 cells were scored, across 3 biological repeats. p = 0.0001, pairwise t-test (two sided). J Increased aneuploidy in inducible HORMAD1 expressing RPE1 cells. Cells were exposed to doxycycline for 3 days, and metaphase spreads generated. K Percentage of cells with abnormal number of chromosomes was counted from at least 100 cells per condition across 4 biological replicas from the experiment in panel J. p = 0.0229, pairwise t-test (two sided). L Tumour types with a positive association between HORMAD1 expression and aneuploidy (Data from TCGA). Aneuploid genomic signatures from tumour sequencing data, described previously29, were dichotomised based on their HORMAD1 mRNA expression status. P values calculated with Mann-Whitney-U test (two sided). Box plots show the first quartile (Q1), median and third quartile (Q3), with whiskers extended to points closest to Q1 − 1.5x the IQR (interquartile range) and Q3 + 1.5x the IQR. The following abbrevations are used; Breast Cancer (BRCA), Lung Adenocarcinoma (LUAD), Ovarian Serous Adenocarcinoma (OV), Sarcoma (SARC), Stomach Adenocarcinoma (STAD), Testicular Germ Cell Tumour (TGCT), Uterine Corpus Endometrioid Carcinoma (UCEC). Source data are provided as a Source Data file.