Extended Data Fig. 3: ZNF280A is a critical mediator of homologous recombination.
From: ZNF280A links DNA double-strand break repair to human 22q11.2 distal deletion syndrome

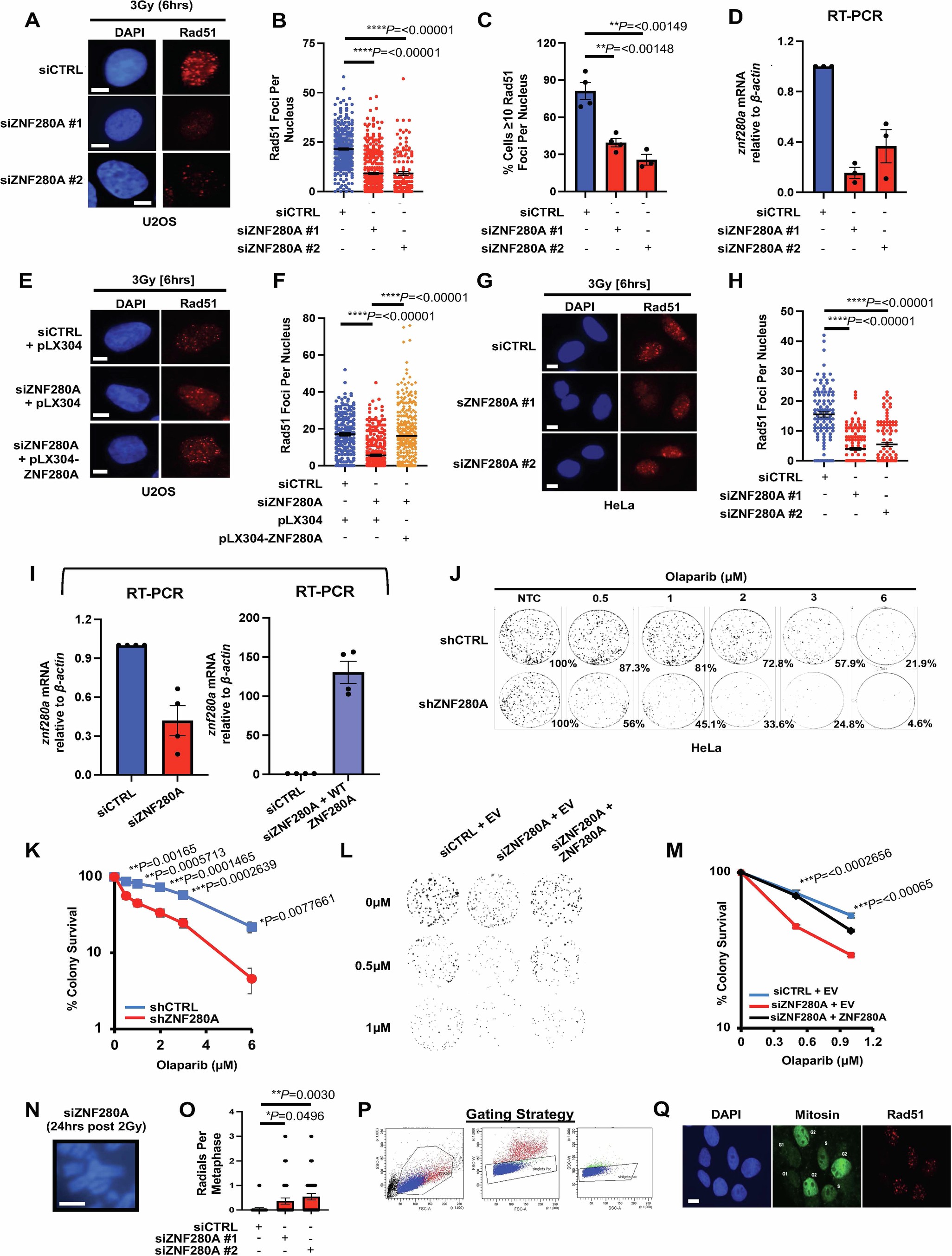
(a) Representative images of Rad51 foci in U2OS cells treated with siCTRL, or siZNF280A-targeting sequences, 6 h following exposure to 3 Gy ionizing radiation. Scale bar, 10um. (b) Quantitation of the number of Rad51 foci per nucleus in U2OS cells, 6 h following 3 Gy ionizing radiation. N = 3; (siCTRL n = 310; siZNF280A #1 n = 318; siZNF280A #2 n = 129). error represents S.E.M; ****p = <0.0001. two-tailed t-test. (c) Quantitation of the % of U2OS cells with >10 Rad51 foci per cells as depicted in Extended Data Fig. 3A. Each point represents the average of each biological repeat. N = 3; error represents S.E.M; **p = <0.005. two-tailed t-test. (d) RT-PCR analysis of znf280a (ZNF280A) mRNA transcripts in HeLa cells treated with non-targeting or ZNF280A-targeting siRNA sequences. N = 3, error represents S.E.M. (e) Representative image of Rad51 foci in siCTRL, siZNF280A or siZNF280A U2OS cells reconstituted with wild type ZNF280A cDNA, 6hrs following exposure to 3 Gy ionizing radiation. Scale bar, 10um. (f) Quantification of number of Rad51 foci per nucleus in siCTRL, siZNF280A or siZNF280A U2OS cells reconstituted with wild type ZNF280A cDNA, 6hrs following exposure to 3 Gy ionizing radiation. N = 3; (pLX304 + siCTRL n = 202; pLX304 + siZNF280A n = 352; V5-ZNF280A + siZNF280A n = 295). error represents S.E.M; ****p = <0.0001. two-tailed t-test. (g) Representative images of Rad51 foci in HeLa cells treated with siCTRL, or siZNF280A-targeting sequences, 6 h following exposure to 3 Gy ionizing radiation. Scale bar, 10um. (h) Quantitation of the number of Rad51 foci per nucleus in HeLa cells, 6 h following 3 Gy ionizing radiation. N = 3; (siCTRL n = 103; siZNF280A #1 n = 102; siZNF280A #2 n = 138). error represents S.E.M; ****p = <0.0001. two-tailed t-test. (i) RT-PCR analysis of znf280a (ZNF280A) mRNA transcripts in U2OS cells expressing pLX304 empty vector or pLX304 (v-5)-ZNF280A as depicted in Fig. 3g, h. N = 3; error represents S.E.M. (j) Representative images of clonogenic survival assay in HeLa cells in response to increasing doses (μM) of Olaparib, as quantified in Extended Data Fig. 3K. (k) Quantitation of clonogenic survival assay in HeLa cells in response to increasing doses (μM) of Olaparib. N = 3; error represents S.E.M; *p = <0.05. ***p = <0.0005. two-tailed t-test. (l) Representative images of clonogenic survival assay in HeLa cells in response to increasing doses (μM) of Olaparib, as quantified in Extended Data Fig. 3M. (m) Quantitation of clonogenic survival assay in HeLa cells in response to increasing doses (μM) of Olaparib. N = 3; error represents S.E.M; ***p = <0.0005. two-tailed t-test. (n) Representative image of radial chromosome in ZNF280A-depleted HeLa cells, 24 h post 2 Gy ionizing radiation. Scale bar, 10um. (o) Quantification of the number of radial chromosomes in ZNF280A-depleted HeLa cells, 24 h post 2 Gy ionizing radiation. N = 3; error represents S.E.M; *p = <0.05. **p = <0.005. two-tailed t-test. (p) Contour blots from FACSDiva software, demonstrating gating strategy for determining GFP positivity in siRNA-treated U2OS DR-GFP cells transfected with a DNA empty vector or Sce1 restriction enzyme. (q) Representative images of Rad51 foci in Mitosin positive (late S/G2 phase) U2OS cells, 6 h following 3 Gy ionizing radiation. Scale bar, 10um. Source numerical data and unprocessed blots are available in source data.