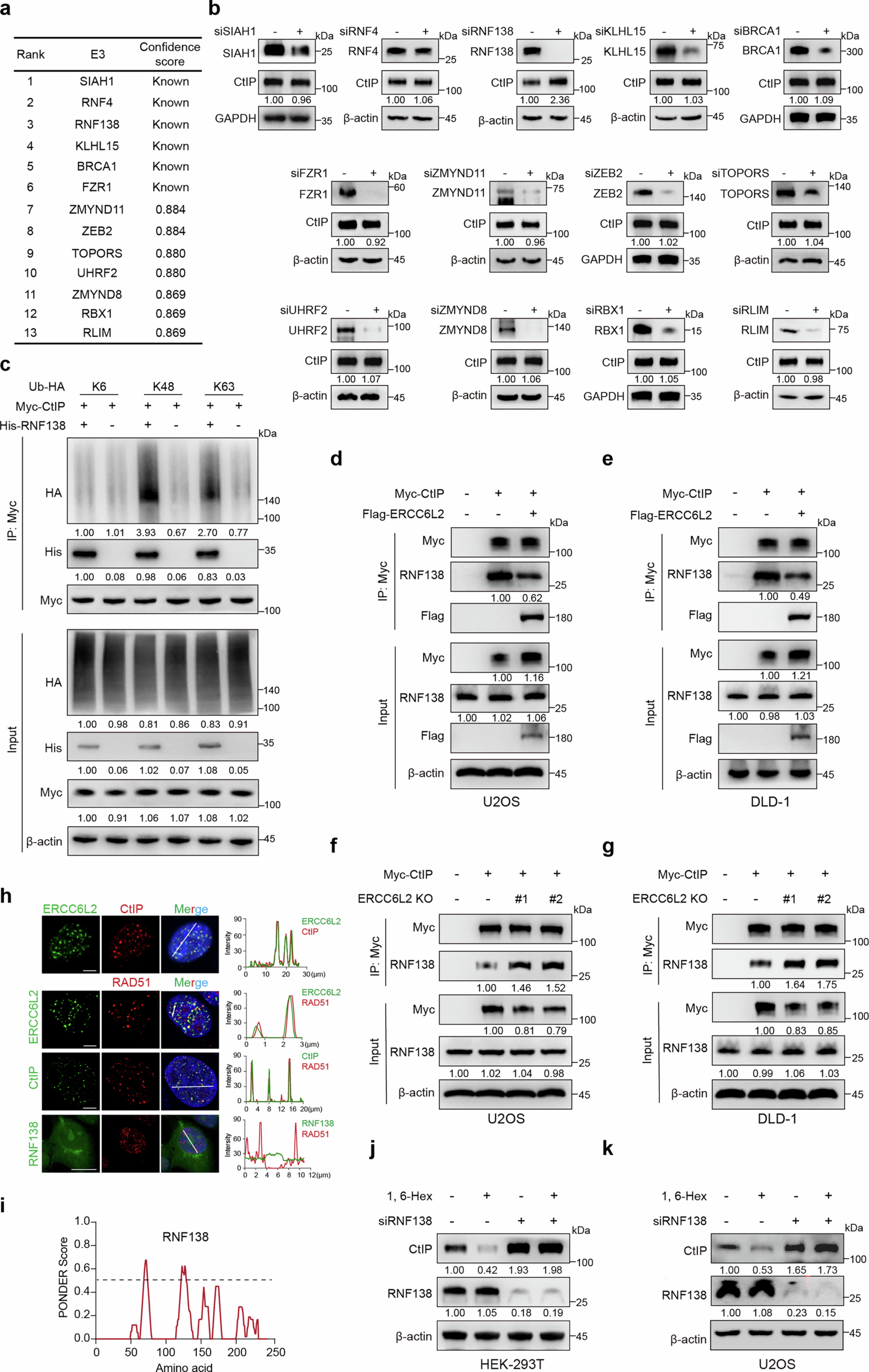
Extended Data Fig. 6: The ERCC6L2-CtIP condensates protect CtIP from RNF138-mediated ubiquitination and subsequent degradation.
From: Phase separation of ERCC6L2–CtIP regulates the extent of DNA end resection

a. Predicted E3 ligases of CtIP by UbiBrowser. The scores were obtained from the UbiBrowser 2.0 website, where the “Confidence Score” quantifies the reliability of predicted E3/DUB-substrate interactions. A higher score indicates a stronger confidence in the predicted interaction, while a lower score suggests reduced reliability. b. ERCC6L2-KO U2OS cells were transfected with siRNAs specific for the potential E3 ligases of CtIP. Quantification of protein levels by densitometry. c. Immunoblot analysis of CtIP ubiquitin linkage types in U2OS cells transfected with Myc-CtIP, His-RNF138, and Ub-HA mutants (K6, K48, and K63). Cells were pretreated with MG132 (10 μM) for 6 h. Quantification of protein levels by densitometry. d, e. Co-IP assays in U2OS (d) or DLD-1 (e) cells transfected with the indicated plasmids or siRNAs. f, g. Immunoblot analysis of the interaction between RNF138 and CtIP in control and ERCC6L2-KO U2OS (f) or DLD-1 (g) cells. h. IF images showing CtIP or RAD51 foci (red channel) and the indicated proteins (green channel), merged with DAPI (blue channel), following treatment with the ATMi (KU-60019, 5 μM) for 24 h. Line scans of the red and green channels are provided. Scale bars: 5 μm. i. The disordered region of RNF138 was analysed using PONDR. Scores above 0.5 indicate disorder. j, k. Immunoblot analysis of CtIP levels in HEK-293T (j) and U2OS cells (k) upon 1,6-hexanediol (1%) or MG132 treatment. Quantification of protein levels by densitometry. Data are representative of at least three independent experiments (b–h, j, k).