Abstract
The ataxia telangiectasia mutated (ATM) kinase orchestrates the early stages of DNA double-strand break repair by promoting hyperphosphorylation of CtIP, a key step in the initiation of DNA end resection. However, the regulatory mechanisms controlling resection extent remain incompletely understood. Here we identify ERCC6L2 as a key regulator of DNA end resection in response to ATM inhibition. ERCC6L2 undergoes liquid–liquid phase separation via its intrinsically disordered regions, forming dynamic nuclear condensates that regulate CtIP stability. Disruption of these condensates renders CtIP susceptible to RNF138-mediated ubiquitination and degradation, thereby mitigating the heightened chromatin recruitment of CtIP induced by ATM inhibition. Intriguingly, ERCC6L2 is frequently downregulated in multiple cancer types and correlates with resistance to ATM inhibitors in both in vitro and in vivo settings. Our findings unveil the crucial role of ERCC6L2–CtIP condensates in governing the extent of DNA end resection and underscore the potential significance of ERCC6L2 as a predictive biomarker for ATM inhibitor response.
Similar content being viewed by others
Main
DNA double-strand breaks (DSBs) represent deleterious lesions arising both endogenously and through exposure to DNA-damaging agents such as radiation, carcinogens and replication stress1. Their accurate repair is paramount to maintaining genomic integrity and ensuring the survival of organisms2,3. In eukaryotic cells, DSBs are repaired primarily by non-homologous end joining (NHEJ) and homologous recombination (HR). NHEJ rejoins DNA ends throughout interphase, whereas HR is restricted to S/G2 phases4,5. The decision to resect broken DNA critically regulates the choice of the DSBs repair pathway.
The ataxia telangiectasia mutated (ATM) kinase serves as a master regulator of the DNA damage response (DDR), coordinating HR and NHEJ by modulating DNA end resection6,7,8. The initiation of end resection involves the MRE11–RAD50–NBS1 (MRN) complex in conjunction with CtIP, while the long-range extension is mediated by EXO1 and DNA2 along with BLM and WRN9,10,11,12,13. ATM-dependent hyperphosphorylation of CtIP regulates the extent of DNA end resection14,15. However, the precise mechanisms governing the extent of end resection remain elusive.
Given its central role in DDR, pharmacological inhibition of ATM has emerged as a promising therapeutic strategy for a spectrum of human cancers. Concurrently, ATM deficiency or its inhibitors have been explored as sensitizers for radiotherapy in preclinical and clinical studies16. Recently, ATM inhibition has been demonstrated to sensitize tumour cells to Fanconi anaemia (FA) pathway deficiency, emphasizing the shared role of ATM and FA proteins in DNA end resection17. Despite ongoing clinical trials (NCT03423628, NCT02588105 and NCT03225105) for ATM inhibitors (ATMi), their effectiveness as monotherapy is limited by primary and/or secondary resistance. Thus, understanding the innate insensitivity of ATMi in cancers is crucial for improving therapeutic efficacy.
In a recent study, we conducted a genome-wide CRISPR–Cas9 screen to identify single guide RNAs (sgRNAs) influencing cell killing by an ATMi. Notably, sgRNAs targeting the ERCC excision repair 6 like 2 (ERCC6L2) protein resulted in resistance to the ATMi. ERCC6L2 is a member of the SWI/SNF family of helicase-like proteins that have been implicated in bone marrow failure syndrome and leukaemia18,19,20. While ERCC6L2 has been linked to DDR21, its involvement in DNA end resection has not been established.
Here, we reveal ERCC6L2 as a critical determinant of ATMi resistance through its regulation of DNA end resection. ERCC6L2 maintains CtIP protein stability by forming biomolecular condensates via liquid–liquid phase separation (LLPS), thereby shielding CtIP from RNF138-mediated ubiquitin-proteasomal degradation. ERCC6L2 depletion reduces CtIP levels, counteracts ATMi-induced CtIP accumulation and consequently prevents excessive resection. Remarkably, low ERCC6L2 expression is frequent in various human cancers, correlating with intrinsic ATMi resistance. Our findings highlight ERCC6L2 as a potential biomarker for ATMi sensitivity and uncover a phase separation-dependent mechanism controlling resection extent during DNA repair.
Results
Loss of ERCC6L2 induces resistance to ATM inhibition in cancer cells
To identify the regulators governing the response to ATMi, we conducted genome-wide CRISPR–Cas9 screens in lung cancer cells (that is, A549 and H460)17. Notably, sgRNAs targeting ERCC6L2 consistently promoted cell growth under ATMi treatment in both cells (Extended Data Fig. 1a–c and Supplementary Table 1). To substantiate the hypothesis that ERCC6L2 deficiency engenders resistance to ATMi, we generated ERCC6L2-knockout (KO) cell lines in U2OS, HeLa, DLD-1 and HCT116, which showed consistent resistance to ATMi (KU-60019 and KU-55933) (Fig. 1a–h and Extended Data Fig. 1d–g). Conversely, reexpression of ERCC6L2 in KO cells restored sensitivity to ATMi (Fig. 1i,j and Extended Data Fig. 1h–j). In xenograft models, ERCC6L2 depletion enhanced resistance to ATMi, as indicated by increased tumour volume and mass (Fig. 1k–m). Taken together, these findings suggest that ERCC6L2 loss drives resistance to ATMi, implying its potential as a predictive biomarker for ATMi responsiveness.
a–h, Clonogenic survival assays of U2OS (a and b), HeLa (c and d), DLD-1 (e and f) and HCT116 (g and h) cells after treatment with KU-60019 (a, c, e and g) or KU-55933 (b, d, f and h) in stable clones of ERCC6L2 KO via CRISPR–Cas9. #1 and #2 indicate independent sgRNAs. Colony formation was quantified based on the area covered by colonies. Data are presented as mean ± s.d. (n = 3 biological replicates, two-way ANOVA). i,j, Clonogenic survival assays detecting the impact of ERCC6L2 rescue after treatment with ATMi (KU-60019) in ERCC6L2-KO U2OS (i) and DLD-1 (j) cells. Colony formation was quantified based on the area covered by colonies. Data are presented as mean ± s.d. (n = 3 biological replicates, two-way ANOVA). k–m, Xenograft assay of ERCC6L2 in DLD-1 cells (n = 7 per group). Nude mice were injected subcutaneously with control (Ctrl) or ERCC6L2-KO DLD-1 cells, and randomly assigned to treatment with DMSO or ATMi (KU-55933, 10 mg kg−1). Tumour images (k), tumour volume (l) and tumour weight (m) are shown. Data are presented as mean ± s.d. (n = 7 biologically independent mice, two-way ANOVA or two-tailed Student’s t-test).
KO of ERCC6L2 reduces DNA damage induced by ATM inhibition
To scrutinize the involvement of ERCC6L2 in DDR, we used EGFP-tagged ERCC6L2 and induced DNA damage by laser microirradiation. Remarkably, we observed the swift recruitment of ERCC6L2 to DNA lesions within minutes (Extended Data Fig. 2a). Although ERCC6L2 has been linked to the NHEJ pathway22,23, its precise functional contribution remains incompletely characterized. Using a reporter assay, we confirmed that ERCC6L2 KO significantly impaired NHEJ efficiency, reinforcing its involvement in DNA repair (Extended Data Fig. 2b).
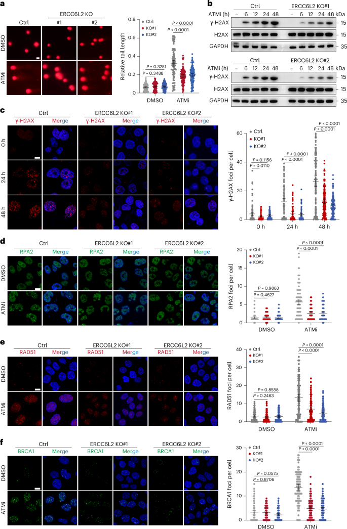
To explore the role of ERCC6L2 under ATM inhibition, we exposed U2OS and DLD-1 cells to ATMi and assessed DNA breaks using a comet assay. As shown in Fig. 2a and Extended Data Fig. 2c, the tail length of ERCC6L2-KO cells was substantially shorter than that of control cells, indicating a reduction in DNA DSBs. DSBs in chromatin rapidly trigger histone H2AX phosphorylation at serine 139 (referred to as γ-H2AX) at the DNA damage sites24. Consistently, γ-H2AX levels were significantly lower in ERCC6L2-KO cells after ATMi treatment (Fig. 2b,c and Extended Data Fig. 2d). In addition, within the 30 min following ionizing radiation, ERCC6L2 did not influence the levels of γ-H2AX (Extended Data Fig. 2e). These results suggest that ERCC6L2 deficiency mitigates the DNA DSBs induced by ATMi.
a, Neutral comet assays were performed using Ctrl or ERCC6L2-KO U2OS cells treated with DMSO or ATMi (KU-60019, 5 μM) for 24 h. Representative images (left) and quantification of the tail length relative to the nucleus (right). Scale bars, 25 μm. Data are presented as mean ± 95% confidence interval (CI) (DMSO, n = 103 Ctrl, 101 KO#1, 101 KO#2; ATMi, n = 105 Ctrl, 104 KO#1, 101 KO#2; one-way ANOVA). b, Immunoblot analysis of γ-H2AX levels in Ctrl and ERCC6L2-KO U2OS cells after ATMi (KU-60019, 5 μM) treatment. c–f, IF and quantification analysis of γ-H2AX (c), RPA2 (d), RAD51 (e) and BRCA1 (f) foci, merged with DAPI-stained nuclei, following 24 h or 48 h exposure to DMSO or ATMi (KU-60019, 5 μM) in Ctrl and ERCC6L2-KO U2OS cells. Scale bars, 10 μm. Data are presented as mean ± 95% CI (c, e and f, n = 100 in each group; d, DMSO, n = 106 Ctrl, 105 KO#1, 103 KO#2; ATMi, n = 101 Ctrl, 103 KO#1, 102 KO#2; one-way ANOVA). Data are representative of at least three independent experiments (a–f).
To elucidate the mechanism underlying this protective effect during ATMi treatment, we examined several DNA repair-associated biomarkers. RPA2, RAD51 and BRCA1 play critical roles in repairing DSBs through DNA end resection and filament formation25,26,27. Notably, ERCC6L2-KO cells exhibited markedly reduced formation of RPA2, RAD51 and BRCA1 foci upon ATMi treatment (Fig. 2d–f). Collectively, these data suggest that ERCC6L2 is intricately involved in DSB repair in response to ATMi, probably by modulating DNA end resection.
ERCC6L2 deficiency reduces the excessive end resection induced by ATM inhibition
The choice of repair pathway relies on the extent and efficacy of DNA end resection at DSBs5,28,29. Given the pivotal role of DNA end resection in generating RPA-coated single-stranded DNA (ssDNA), we investigated whether ERCC6L2 influences this process using multiple complementary approaches. We used a quantitative bromodeoxyuridine (BrdU)-based ssDNA detection assay, which revealed that ERCC6L2 KO markedly reduced BrdU foci formation after ATMi treatment (Fig. 3a). To directly quantify resection dynamics, we performed single-molecule analysis of resection tracks (SMART)30. As expected, ATMi promoted robust DNA end resection in control cells. However, ERCC6L2 KO significantly suppressed this increase, yielding resection levels comparable to those observed in CtIP-knockdown cells (Fig. 3b). To further validate these observations, we utilized an inducible AsiSI-ER system in U2OS cells to introduce site-specific DSBs and performed quantitative polymerase chain reaction (qPCR)-based quantification of resection31. Consistently, depletion of either ERCC6L2 or CtIP reduced ATMi-induced resection at defined genomic loci (Fig. 3c,d).
a, IF and quantification analysis of BrdU foci, merged with DAPI-stained nuclei, following 24 h exposure to DMSO or ATMi (KU-60019, 5 μM) in Ctrl and ERCC6L2-KO U2OS cells. Scale bar, 10 μm. Data are presented as mean ± 95% CI (DMSO, n = 102 Ctrl, 101 KO#1, 100 KO#2; ATMi, n = 119 Ctrl, 125 KO#1, 106 KO#2; one-way ANOVA). b, Changes in ssDNA length in Ctrl, ERCC6L2-KO and siCtIP U2OS cells following 24 h exposure to DMSO or ATMi (KU-60019, 5 μM). Representative images of the SMART assay (left) and the quantification (right) are shown, with siCtIP serving as a Ctrl. Scale bar, 5 μm. Data are presented as mean ± 95% CI (DMSO, n = 101 Ctrl, 102 KO#1, 100 KO#2; ATMi, n = 103 Ctrl, 104 KO#1, 106 KO#2; one-way ANOVA). c,d, Schematic of DNA end-resection measurement (c). ssDNA was quantified by qPCR at 335 bp or 1,618 bp downstream of the AsiSI-induced break site in U2OS cells transfected with siNC, siERCC6L2 or siCtIP, with or without DSB induction (4-hydroxytamoxifen). siCtIP served as a Ctrl (d). Data are presented as mean ± s.d. (n = 3 biological replicates; two-tailed Student’s t-test). e, Immunoblot analysis of the indicated proteins in subcellular fractions of Ctrl and ERCC6L2-KO U2OS cells after treatment with 5 μM ATMi (KU-60019) for 24 h. β-Actin was used as the Ctrl for the total cell lysates and the nucleus-soluble proteins. Histone H3 was used as the Ctrl for the chromatin-bound proteins. ‘Sol’ refers to nucleus-soluble proteins, and ‘Chr’ refers to chromatin-bound proteins. f, IF and quantification analysis of CtIP foci, merged with DAPI-stained nuclei, following 12 h exposure to DMSO or ATMi (KU-60019, 5 μM) in Ctrl and ERCC6L2-KO U2OS cells. Scale bar,10 μm. Data are presented as mean ± 95% CI (DMSO, n = 105 Ctrl, 115 KO#1, 108 KO#2; ATMi, n = 111 Ctrl, 124 KO#1, 105 KO#2; one-way ANOVA). Data are representative of at least three independent experiments (a, b, e and f).
DNA end resection is initiated by the MRN–CtIP complex, generating a short, exposed 3′ ssDNA end, subsequently elongated by EXO1/DNA2-BLM or other end-resection-related proteins to promote RPA–RAD51 switching and HR28. To investigate the molecular mechanism underlying ERCC6L2’s impact on DNA end resection, we examined the chromatin recruitment of key DSBs factors. ATMi treatment enhanced the chromatin loading of CtIP and EXO1, with minimal effect on DNA2 (Fig. 3e), potentially reflecting the distinct roles of these nucleases32,33,34,35. ATMi also led to increased RAD51 accumulation on chromatin (Fig. 3e). Strikingly, ERCC6L2 KO substantially reduced CtIP protein levels in both total lysates and chromatin accumulation (Fig. 3e). Consistent with this observation, ERCC6L2-deficient cells exhibited impaired CtIP foci formation upon ATMi treatment (Fig. 3f). Notably, RAD51, RPA2 and BRCA1 exhibited more sustained and progressively increasing foci formation compared with CtIP following ATM inhibition (Figs. 2d–f and 3f). This disparity reflects the temporal recruitment of CtIP during the early stages of resection initiation, compared with the persistent accumulation of RAD51, RPA2 and BRCA1 during later HR stages2,36. Taken together, these results demonstrate that ERCC6L2 deficiency reduces the protein levels of CtIP, thereby inhibiting ATMi-induced excessive end resection and preserving genomic integrity.
ERCC6L2 interacts and forms dynamic condensates with CtIP
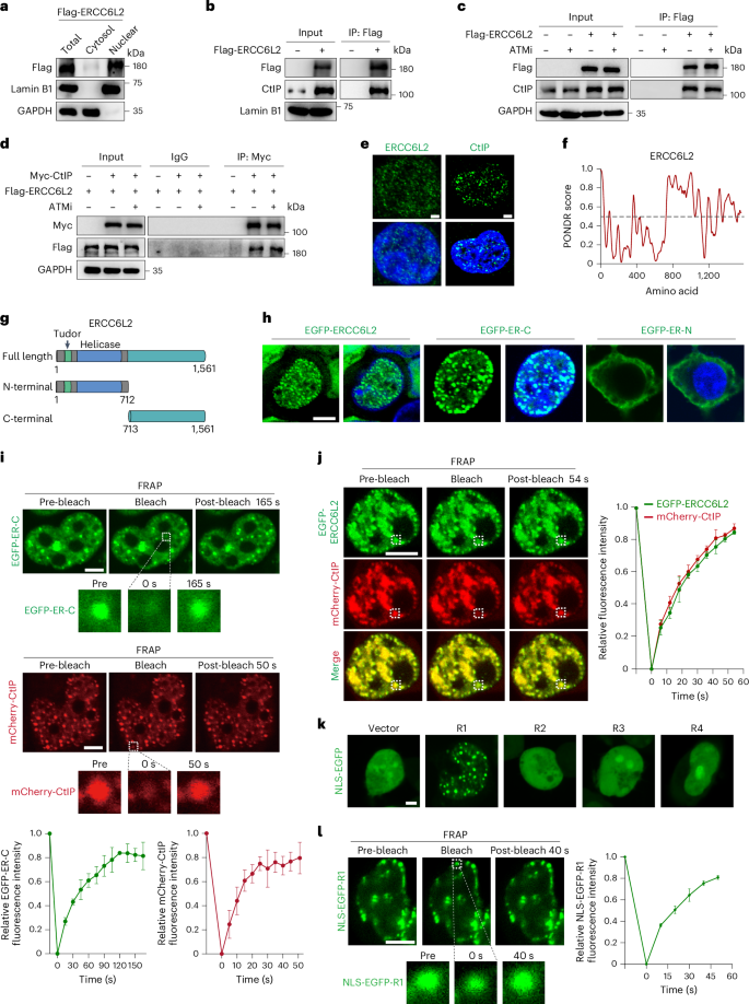
To unravel the regulatory network underlying ERCC6L2’s role in DNA end resection, nuclear protein was extracted, and immunoprecipitation–mass spectrometry (IP–MS) analysis was performed to identify ERCC6L2-interacting proteins. Subcellular fractionation confirmed the predominant nuclear localization of ERCC6L2 (Fig. 4a). Notably, CtIP, a critical mediator in DNA end resection37, emerged as a binding partner of ERCC6L2 (Extended Data Fig. 3a and Supplementary Table 2). Co-IP validated the ERCC6L2–CtIP interaction across multiple cell lines, independent of ATMi treatment (Fig. 4b–d and Extended Data Fig. 3b–d). Furthermore, ERCC6L2 displayed interactions with other DNA end-resection-related proteins, including MRE11 and RAD50 (Extended Data Fig. 3b).
a, Immunoblot analysis of ERCC6L2 protein levels in cytoplasmic, nuclear and whole-cell lysate fractions of HEK-293T cells. Lamin B1 and GAPDH serve as nuclear and cytoplasmic markers, respectively. b, Co-IP assays showed the interaction between ERCC6L2 and CtIP in the nucleus of HEK-293T cells. c,d, Co-IP assays of the interaction between ERCC6L2 and CtIP in U2OS cells. Co-IP with anti-Flag antibody (c). Co-IP with anti-Myc antibody (d). e, IF analysis of endogenous ERCC6L2 and CtIP showed nuclear puncta in U2OS cells. Blue indicates DAPI-stained nuclei. Scale bars, 2 μm. f, The disordered region of ERCC6L2 was analysed using PONDR (https://www.pondr.com). Scores above 0.5 indicate disorder. g, A schematic diagram of truncated mutants of ERCC6L2. h, HEK-293T cells were transfected with EGFP-ERCC6L2, EGFP-ER-C or EGFP-ER-N plasmids for 48 h. EGFP-ERCC6L2 and EGFP-ER-C showed puncta in the nucleus. Blue indicates DAPI-stained nuclei. Scale bar, 5 μm. i, Representative images from the FRAP experiments of EGFP-ER-C (top) or mCherry-CtIP (middle). The dotted white square highlights the puncta undergoing targeted bleaching. Scale bars, 5 μm. Quantification of FRAP data for EGFP-ER-C (bottom left) and mCherry-CtIP puncta (bottom right). Bleaching event occurs at t = 0 s. Data are presented as mean ± s.d. n = 3 foci analysed in 3 independent experiments. j, HEK-293T cells were co-transfected with EGFP-ERCC6L2 and mCherry-CtIP. Left: representative images from the FRAP experiments of EGFP-ERCC6L2 and mCherry-CtIP. The dotted white square highlights the puncta undergoing targeted bleaching. Scale bars, 5 μm. Right: quantification of FRAP data for EGFP-ERCC6L2 and mCherry-CtIP puncta. Bleaching event occurs at t = 0 s. Data are presented as mean ± s.d. n = 3 foci analysed in 3 independent experiments. k, ERCC6L2-KO U2OS cells were transfected with NLS-EGFP-tagged constructs (vector, R1, R2, R3 or R4) for 48 h. R1 showed puncta in the nucleus. Scale bar, 2 μm. l, Representative images from the FRAP experiments of NLS-EGFP-R1 (left). The dotted white square highlights the puncta undergoing targeted bleaching. Scale bar, 5 μm. Quantification of FRAP data for NLS-EGFP-R1 (right). Bleaching event occurs at t = 0 s. Data are presented as mean ± s.d. n = 3 foci analysed in 3 independent experiments. Data are representative of at least three independent experiments (a–e, h and k).
Given the emerging role of LLPS in nuclear compartmentalization and DDR38,39,40,41, we explored whether ERCC6L2 forms condensates. Immunofluorescence (IF) analyses revealed that endogenous ERCC6L2 and CtIP formed distinct nuclear puncta (Fig. 4e), suggesting their potential organization into biomolecular condensates. Bioinformatic analysis revealed that both proteins harbour intrinsically disordered regions (IDRs) (Fig. 4f and Extended Data Fig. 3e,f), structural features commonly implicated in LLPS42. To investigate the molecular basis of ERCC6L2 condensation, we constructed two truncation mutants: ER-N (residues 1–712) and ER-C (residues 713–1,561) (Fig. 4g). Notably, EGFP-ER-C formed nuclear puncta phenocopying full-length ERCC6L2, while EGFP-ER-N exhibited diffuse cytoplasmic distribution (Fig. 4h). This pattern persisted even after ER-N was targeted to the nucleus via an NLS tag (Extended Data Fig. 3g), indicating that the C-terminal region is essential for condensate formation. Importantly, ERCC6L2 and CtIP condensate formation occurred independently of each other, as EGFP-ERCC6L2 formed puncta in CtIP-deficient cells, and mCherry-CtIP assembled foci in ERCC6L2-KO cells (Extended Data Fig. 3h).
A fundamental characteristic of liquid-like condensates is internal dynamic reorganization and rapid exchange kinetics40. To investigate whether the puncta of ERCC6L2, ER-C and CtIP exhibit features characteristic of liquid-like condensates, fluorescence recovery after photobleaching (FRAP) assays were conducted to assess the dynamics in live cells. After photobleaching, EGFP-ERCC6L2, EGFP-ER-C and mCherry-CtIP puncta exhibited rapid fluorescence recovery, suggesting dynamic exchange with the surrounding environment (Fig. 4i, Extended Data Fig. 3i and Supplementary Movies 1–3). Simultaneous FRAP of co-expressed EGFP-ERCC6L2 and mCherry-CtIP demonstrated nearly identical recovery kinetics (Fig. 4j and Supplementary Movie 4), further supporting their co-condensation behaviour. EGFP-ER-C and mCherry-CtIP also exhibited fusion and fission events, supporting their fluidic properties (Extended Data Fig. 3j,k). Treatment with 1,6-hexanediol, a known disruptor of weak hydrophobic interactions in LLPS assemblies43, abrogated puncta formation, while the osmolyte sorbitol enhanced droplet formation (Extended Data Fig. 3l,m). Endogenous ERCC6L2 and CtIP condensates similarly disassembled upon 1,6-hexanediol treatment (Extended Data Fig. 3n).
To delineate the domain responsible for ERCC6L2 condensation, we further analysed structural disorder using AlphaFold. Ribbon-like structures with predicted local distance difference test (pLDDT) scores <50—a hallmark of disordered regions44—guided the generation of a series of nuclear-localized EGFP-tagged truncations (Extended Data Fig. 3o,p). Among these, only the NLS-EGFP-R1 construct formed puncta with rapid FRAP recovery kinetics (Fig. 4k,l, Extended Data Fig. 3q,r and Supplementary Movie 5), confirming the presence of a condensation-driving segment within this region. Collectively, our findings underscore the dynamic and reversible properties of ERCC6L2 and CtIP condensates.
The phase separation property of ERCC6L2 affects CtIP
To delineate the interaction domain of ERCC6L2 with CtIP, we performed co-IP assays using the ERCC6L2 mutant constructs outlined in Fig. 4g. Notably, ER-C, but not ER-N or NLS-ER-N, exhibited robust binding affinity for CtIP (Fig. 5a and Extended Data Fig. 4a,b). Further refinement of this region revealed that NLS-R1 and R3 are crucial for effective interaction with CtIP (Fig. 5b and Extended Data Figs. 3p and 4c).
a, Co-IP assays in U2OS cells transfected with the indicated Flag-ERCC6L2 truncations. b, Co-IP assays in U2OS cells transfected with the indicated NLS-EGFP-ERCC6L2 truncations. c, A schematic diagram of truncated mutants of ERCC6L2. d, HEK-293T cells were transfected with EGFP-ER-C, NLS-EFGP-R5 or NLS-EGFP-FUS-C plasmids for 48 h. EGFP-ER-C and NLS-EGFP-FUS-C showed puncta in the nucleus. Representative images (top) and graphical quantitation of condensates (bottom). Scale bar, 5 μm. Data are presented as mean ± 95% CI (n = 53 EGFP-ER-C, 51 NLS-EGFP-R5 and 56 NLS-EGFP-FUS-C; one-way ANOVA). e, Top: representative images from the FRAP experiments of NLS-EGFP-FUS-C. The dotted white square highlights the puncta undergoing targeted bleaching. Scale bar, 5 μm. Bottom: quantification of FRAP data for NLS-EGFP-FUS-C. Bleaching event occurs at t = 0 s. Data are presented as mean ± s.d. n = 3 foci analysed in 3 independent experiments. f, Left: confocal microscopy images of condensate formation in HEK-293T cells transfected with the indicated constructs. Right: line-scan analysis of fluorescence intensity along the indicated lines. Scale bars, 5 μm. Blue indicates DAPI-stained nuclei. g,h, Immunoblot analysis of CtIP levels in ERCC6L2-KO U2OS cells transfected with the indicated doses of NLS-EGFP-R1 (g) or NLS-EGFP-FUS-C (h) plasmids. i, Immunoblot analysis of CtIP protein levels in HEK-293T and U2OS cells upon 1,6-hexanediol (1%) treatment. Quantification of protein levels by densitometry. j,k, Immunoblot analysis of the interaction between ERCC6L2 and CtIP following 1,6-hexanediol (1%) treatment, with immunoprecipitation using anti-Myc (j) or anti-Flag (k). Quantification of protein levels by densitometry. Data are representative of at least three independent experiments (a, b, d and f–k).
To assess whether LLPS governs ERCC6L2–CtIP regulation, we engineered a chimera (NLS-FUS-C), replacing the R1 segment with the IDR from FUS, a well-characterized LLPS scaffold (Fig. 5c). While NLS-EGFP-R5 (lacking R1) failed to form condensates, NLS-FUS-C recapitulated the liquid-like properties of ER-C, exhibiting dynamic puncta formation and fluorescence recovery (Fig. 5d,e and Supplementary Movie 6). Both NLS-FUS-C and ER-C colocalized with CtIP (Fig. 5f). Importantly, overexpression of ERCC6L2, ER-C, NLS-R1 or NLS-FUS-C, but not ER-N, NLS-R2, R3, R4 and R5, increased CtIP protein levels (Fig. 5g,h and Extended Data Fig. 4d–j). This elevation required intact condensates, as 1,6-hexanediol treatment disrupted both ERCC6L2–CtIP condensates and CtIP protein levels (Fig. 5i). Co-IP assays further confirmed that 1,6-hexanediol abrogated the ERCC6L2–CtIP interaction (Fig. 5j,k). These results suggest that ERCC6L2-mediated condensate formation enables CtIP upregulation.
Subsequently, we mapped the CtIP domains required for ERCC6L2 binding using a series of CtIP truncated mutants. Co-IP experiments revealed that the N-terminal region (residues 17–496) of CtIP was indispensable for interaction with ERCC6L2 (Extended Data Fig. 4k,l). To further delineate the binding interface, we simulated the CtIP and ERCC6L2 protein structure with AlphaFold45 prediction and scrutinized the CtIP–ERCC6L2 docking interface using PISA (Proteins, Interfaces, Structures, and Assemblies)46 (Supplementary Table 3). The CtIP P1 region (residues 100–270) was predicted and experimentally validated as critical for CtIP–ERCC6L2 binding (Extended Data Fig. 4m). Intriguingly, P1 overlaps with the predicted IDRs in CtIP, and its deletion resulted in impaired condensate formation (Extended Data Fig. 4n).
The ERCC6L2–CtIP condensates shield CtIP from RNF138-mediated ubiquitination and degradation
To elucidate how the phase separation properties of ERCC6L2 affect CtIP protein levels, we examined RBBP8 (CtIP) mRNA expression following ERCC6L2 KO. Notably, ERCC6L2 depletion had minimal impact on CtIP mRNA levels (Extended Data Fig. 5a). This led us to hypothesize that ERCC6L2 regulates CtIP post-translationally. Cycloheximide (CHX) chase assays in U2OS and DLD-1 cells revealed that CtIP underwent markedly accelerated degradation in ERCC6L2-deficient cells compared with controls (Fig. 6a and Extended Data Fig. 5b,c). Treatment with the proteasome inhibitor MG132 increased CtIP protein levels (Fig. 6b and Extended Data Fig. 5d), indicating that CtIP degradation is mediated by the proteasome. Moreover, CtIP was ubiquitinated, and the loss of ERCC6L2 increased CtIP polyubiquitination (Fig. 6c and Extended Data Fig. 5e). This effect was specifically rescued by complementation with condensate-competent constructs (ER-C, NLS-R1 or NLS-FUS-C) (Fig. 6d–f). By contrast, constructs lacking the R1 region failed to reduce CtIP ubiquitination (Extended Data Fig. 5f), suggesting that phase separation enables CtIP stabilization. Further analyses revealed that both K48R and K63R ubiquitin mutants attenuated the impact of ERCC6L2 on CtIP ubiquitination (Extended Data Fig. 5g). In line with this, ERCC6L2 depletion increased K48- and K63-polyubiquitination of CtIP (Extended Data Fig. 5h). Taken together, these results strongly support the pivotal role of ERCC6L2 in stabilizing CtIP by mitigating its ubiquitination.
a, Left: Ctrl and ERCC6L2-KO U2OS cells were exposed to 50 μg ml−1 CHX for the indicated time. Right: quantification of CtIP protein levels by densitometry. Data are presented as mean ± s.d. n = 3 biological replicates. b, Immunoblot analysis of CtIP levels in Ctrl and ERCC6L2-KO U2OS cells upon treatment with MG132 (10 μM, 6 h). c–f, Immunoblot analysis of CtIP ubiquitination in Ctrl and ERCC6L2-KO U2OS cells, with untreated (c) or transfected (d and f) with the indicated plasmids (Flag-ER-C, NLS-EGFP-R1, NLS-EGFP-FUS-C). Cells were pretreated with MG132 (10 μM) for 6 h. Quantification of protein levels by densitometry. g, ERCC6L2-KO U2OS cells were exposed to 50 μg ml−1 CHX for the indicated time (left) following transfection with either siNC or siRNF138. Quantification of CtIP protein levels by densitometry (right). Data are presented as mean ± s.d. n = 3 biological replicates. h, Immunoblot analysis of CtIP ubiquitination levels in ERCC6L2-KO U2OS cells transfected with the indicated plasmids and siRNAs. Cells were pretreated with MG132 (10 μM) for 6 h. Quantification of protein levels by densitometry. i, Immunoblot analysis of CtIP ubiquitination levels in U2OS cells transfected with the indicated plasmids. Cells were pretreated with MG132 (10 μM) for 6 h. Quantification of protein levels by densitometry. j, Immunoblot analysis of the interaction between CtIP and RNF138 in U2OS cells following 1,6-hexanediol (1%) treatment. Quantification of protein levels by densitometry. k, Immunoblot analysis of CtIP ubiquitination levels in U2OS cells following 1,6-hexanediol (1%) treatment. Cells were pretreated with MG132 (10 μM) for 6 h. Quantification of protein levels by densitometry. Data are representative of at least three independent experiments (b–f, j and k).
To uncover the E3 ligases responsible for CtIP degradation, we performed bioinformatic analyses using UbiBrowser47. Among several candidates, only RNF138 depletion in ERCC6L2-KO U2OS cells restored CtIP protein levels (Extended Data Fig. 6a,b). Moreover, RNF138 knockdown increased the stability of CtIP while simultaneously decreasing its ubiquitination in ERCC6L2-KO U2OS (Fig. 6g,h). Conversely, RNF138 overexpression promoted CtIP ubiquitination in a manner dependent on its catalytic residues (C18/54A) (Fig. 6i). Further analyses revealed that RNF138 mediated both K48- and K63-linked polyubiquitination of CtIP (Extended Data Fig. 6c). These findings collectively suggest that RNF138 mediates CtIP ubiquitination and subsequent degradation.
We next hypothesized that ERCC6L2, as a binding partner of CtIP, may function by blocking the CtIP–RNF138 interaction. Indeed, co-IP assays showed that ERCC6L2 overexpression effectively reduced CtIP–RNF138 binding (Extended Data Fig. 6d,e), whereas ERCC6L2 KO enhanced their association (Extended Data Fig. 6f,g). These results demonstrate that ERCC6L2 regulates CtIP stability by disrupting its interaction with RNF138.
To explore whether phase separation contributes to ERCC6L2’s regulation on the CtIP–RNF138 axis, we investigated the effects of 1,6-hexanediol treatment. Notably, 1,6-hexanediol enhanced the CtIP–RNF138 interaction (Fig. 6j) and increased CtIP ubiquitination (Fig. 6k), suggesting that intact condensates spatially restrict RNF138 access to CtIP. IF imaging further revealed that ERCC6L2 and CtIP colocalized with RAD51 in nuclear foci following ATMi treatment, whereas RNF138 remained diffusely distributed, consistent with its lack of predicted IDRs (Extended Data Fig. 6h,i). Notably, RNF138 knockdown rescued CtIP levels even in the presence of 1,6-hexanediol (Extended Data Fig. 6j,k). Collectively, these findings suggest that ERCC6L2–CtIP condensates spatially exclude RNF138, thereby impeding CtIP ubiquitination and proteasomal degradation.
The phase separation property of ERCC6L2 influences DDR
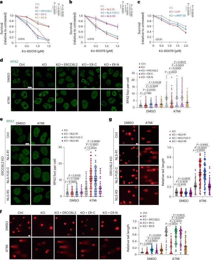
To elucidate the functional significance of ERCC6L2 phase separation in DDR, we conducted complementation experiments. Reintroduction of the condensate-competent constructs in ERCC6L2-KO cells effectively restored ATMi sensitivity (Fig. 7a,b and Extended Data Fig. 7a–e). Similarly, CtIP overexpression or RNF138 depletion also rescued ATMi sensitivity (Fig. 7c and Extended Data Fig. 7f–i). Notably, each of these interventions—expression of condensate-competent ERCC6L2, CtIP overexpression and RNF138 knockdown—rescued both DNA end resection efficiency and ATMi-induced DNA damage (Fig. 7d–g and Extended Data Fig. 7j,k). These data establish that IDR-driven phase separation is required for CtIP stabilization, end resection activation and ATMi responsiveness.
a,b, Clonogenic survival assays detecting the impact of different ERCC6L2 truncations in ERCC6L2-KO U2OS cells upon treatment with ATMi (KU-60019). Colony formation was quantified based on the area covered by colonies. Data are presented as mean ± s.d. (n = 3 biological replicates, two-way ANOVA). c, Clonogenic survival assays detecting the impact of CtIP overexpression or RNF138 knockdown in ERCC6L2-KO U2OS cells upon treatment with ATMi (KU-60019). Colony formation was quantified based on the area covered by colonies. Data are presented as mean ± s.d. (n = 3 biological replicates, two-way ANOVA). d,e, IF and quantification analysis of RPA2 foci following 24 h exposure to DMSO or ATMi (KU-60019, 5 μM) in ERCC6L2-KO U2OS cells transfected with ERCC6L2 truncations. Representative images (left) and graphical quantitation of foci (right). Scale bars, 10 μm. Data are presented as mean ± 95% CI (d, n = 100 in each group; e, DMSO, n = 113 KO, 109 KO + NLS-R1, 101 KO + NLS-FUS-C, 110 KO + NLS-R5; ATMi, n = 107 KO, 115 KO + NLS-R1, 112 KO + NLS-FUS-C, 112 KO + NLS-R5; one-way ANOVA). f,g, Neutral comet assays detecting the impact of ERCC6L2 truncations in ERCC6L2-KO U2OS cells upon treatment with DMSO or ATMi (KU-60019, 5 μM) for 24 h. Representative images (left) and quantification of the tail length relative to the nucleus (right). Scale bars, 25 μm. Data are presented as mean ± 95% CI (f, DMSO, n = 101 Ctrl, 100 KO, 102 KO + ERCC6L2, 103 KO + ER-C, 100 KO + ER-N; ATMi, n = 100 Ctrl, 100 KO, 100 KO + ERCC6L2, 100 KO + ER-C, 100 KO + ER-N; g, DMSO, n = 104 KO, 112 KO + NLS-R1, 111 KO + NLS-FUS-C, 108 KO + NLS-R5; ATMi, n = 112 KO, 107 KO + NLS-R1, 106 KO + NLS-FUS-C, 110 KO + NLS-R5; one-way ANOVA). Data are representative of at least three independent experiments (d–g).
KO of ERCC6L2 reduces DNA damage induced by the ATMi
Building upon the regulatory link between ERCC6L2 and CtIP, we next examine CtIP protein levels in ERCC6L2 wild-type (WT) and KO tumours. Consistent with our in vitro findings, ERCC6L2-WT tumours showed significantly elevated CtIP levels compared with the KO counterparts (Fig. 8a). Furthermore, ATMi-treated ERCC6L2-KO tumours exhibited markedly reduced γ-H2AX and cleaved Caspase-3 levels, with no difference under dimethyl sulfoxide (DMSO) control (Fig. 8b,c). To assess the clinical relevance of our findings, we analysed a colorectal cancer (CRC) cohort. Immunohistochemical (IHC) revealed a strong positive correlation between ERCC6L2 and CtIP levels across tumours (Fig. 8d–f). This co-expression was further validated via IF staining (Fig. 8g), highlighting the clinical significance of the ERCC6L2–CtIP regulatory axis. These findings suggest that ERCC6L2 promotes CtIP stabilization in tumours, thereby enhancing DNA damage accumulation and apoptosis in response to ATM pathway disruption. Interestingly, The Cancer Genome Atlas (TCGA) pan-cancer analysis revealed frequent ERCC6L2 mRNA downregulation across multiple cancer types (Extended Data Fig. 8), suggesting that ERCC6L2 loss may represent a tumour-adaptive mechanism linked to ATMi resistance.
a, Representative IHC images of ERCC6L2 and CtIP in fixed tumour tissues from DLD-1 xenograft tumours. Scale bar, 50 μm. b, Representative IHC images of γ-H2AX and cleaved Caspase-3 in fixed tumour tissues from DLD-1 xenograft tumours following treatment with DMSO or ATMi (KU-55933, 10 mg kg−1). Scale bar, 50 μm. c, Graphical quantification of relative γ-H2AX and cleaved Caspase-3 IHC scores. Data are presented as mean ± 95% CI (n = 7 biologically independent mice; two-tailed Student’s t-test). d, Representative IHC images of ERCC6L2 and CtIP in CRC specimens. Scale bars, 50 μm. e, A dot plot showing the correlation between ERCC6L2 and CtIP levels in the CRC cohort (n = 127). The correlation coefficient r and the P value were obtained from linear regression analysis. f, Box-and-whisker plot showing the IHC scores of CtIP staining in tumours with low or high ERCC6L2 expression. The centre lines represent the median, the box edges denote the 25th and 75th percentiles, and the whiskers indicate the minimum and maximum values. n = 62 and 65 CRC samples for the ERCC6L2 low- and high-expression groups, respectively. Statistical analysis was performed using the two-tailed Mann–Whitney test. g, CRC samples were co-stained with anti-ERCC6L2 and anti-CtIP. Blue indicates DAPI-stained nuclei. The red arrow indicates representative cells. Scale bar, 50 μm.
In line with our prior assertion, ATM emerges as a recurrently mutated gene across diverse cancer types, often accompanied by concurrent loss of function. We propose that ERCC6L2 loss limits excessive DNA end resection, decreasing genome instability induced by ATM mutants and thereby shaping tumour growth dynamics. Our study not only provides mechanistic insight into DNA end resection control but also identifies potential biomarkers for predicting and monitoring ATMi responses in ongoing clinical trials.
Discussion
DNA end resection is a pivotal step in ensuring accurate DSBs repair and preserving genomic stability. Here, we establish ERCC6L2 as a key regulator of this process, particularly under conditions of compromised ATM signalling. Specifically, loss of ERCC6L2 leads to reduced CtIP protein levels, thereby attenuating ATMi-induced uncontrolled end resection and conferring resistance to ATMi across in vitro and in vivo models. This effect is attributed to the formation of ERCC6L2–CtIP condensates, which spatially impede the ubiquitination and degradation of CtIP by RNF138. These findings provide three major insights: (1) phase separation acts as a previously unrecognized regulatory mechanism controlling DNA end resection dynamics; (2) the ERCC6L2–RNF138–CtIP axis governs cellular responses to ATM inhibition; and (3) ERCC6L2 expression may serve as a potential stratification marker for ATMi therapy.
Although ERCC6L2 has been characterized as an NHEJ factor through its interactions with Ku70/80, MRI and SFPQ22,23,48, its full repertoire of functions in the DDR has remained incompletely understood. Structurally, ERCC6L2 encodes a Tudor domain involved in protein–protein interactions, a central helicase domain implicated in class switch recombination and oxidative stress responses20,22 and a conserved C-terminal HEBO domain. Our current findings assign a previously unrecognized function to this C-terminal region. Specifically, the R1 subdomain of ERCC6L2 was found to be both necessary and sufficient for maintaining CtIP protein stability and preserving resection homeostasis under ATMi treatment. Reexpression of this region in ERCC6L2-deficient cells fully rescued DNA resection dynamics and ATMi sensitivity, establishing a context-dependent, resection-regulatory role for ERCC6L2 beyond its canonical NHEJ activity.
DNA end resection, a tightly regulated process initiated by the MRN complex along with its cofactor CtIP28, is crucial for accurate DNA DSB repair. ATM phosphorylates CtIP, promoting its SUMOylation and subsequent ubiquitin-mediated degradation, thereby restricting excessive ssDNA production15. Inhibition of ATM disrupts this negative feedback loop, resulting in aberrant CtIP accumulation and pathological resection. We show that ERCC6L2 deficiency restores this balance by enabling unopposed RNF138-mediated CtIP degradation, providing a protective mechanism against hyperresection. This regulatory feedback appears to be evolutionarily conserved and was validated across multiple human cell lines. As ATM inhibition is also known to induce replication stress7, our findings open important questions about the interplay between ERCC6L2, resection dynamics and replication-associated DDR pathways.
Emerging evidence has highlighted LLPS as a central organizational principle in the DDR, facilitating the spatial–temporal assembly of repair factors at DSB sites49,50,51. Our study establishes that IDRs in both ERCC6L2 and CtIP drive LLPS-mediated condensate formation, which compartmentalizes CtIP to enhance its stability and function. These biomolecular condensates act as regulatory hubs that orchestrate DNA end resection, as further indicated by the ability of the FUS-IDR to functionally substitute for the ERCC6L2 R1 domain. While the FUS-IDR chimera recapitulates R1-dependent condensate formation and CtIP stabilization, we note that the R1 domain may possess additional functions beyond LLPS. Future studies identifying specific interaction partners of R1 will help delineate these potential mechanisms. Although ERCC6L2 has documented roles in centromere function under basal conditions52, it remains to be determined whether LLPS contributes to these roles. Technical challenges in reconstituting ERCC6L2–CtIP condensates in vitro (owing to protein size and solubility) currently limit biophysical characterization. Nevertheless, the breadth of cellular and genetic evidence provided herein strongly supports the biological relevance of this condensate-mediated mechanism.
In summary, this work elucidates a previously unrecognized function for ERCC6L2 in safeguarding genome stability by regulating CtIP through phase separation during DNA end resection. ERCC6L2 loss mitigates the deleterious effects of ATM inhibition, offering a mechanistic explanation for resistance in ATM-deficient cancers. These insights advance our understanding of DDR network plasticity, identify ERCC6L2 as a potential biomarker for ATMi responsiveness and underscore the therapeutic value of targeting resection-regulatory mechanisms in precision oncology.
Methods
Ethics statement
This study adheres to the ethical guidelines established by Sun Yat-sen University Cancer Center. Approval for all animal protocols was granted by the Sun Yat-sen University Animal Care and Use Committee (approval code L102012023040D). The collection of cancer patient samples was approved by the Institutional Review Board of Sun Yat-sen University Cancer Center (approval code SL-G2024-180-01).
Cell culture
U2OS (HTB-96, female), HeLa (CCL-2, female) and HEK-293T (CRL-1573, female) cells were cultured in Dulbecco’s modified Eagle medium supplemented with 10% foetal bovine serum (Gibco) and 1% penicillin–streptomycin. DLD-1 (CCL-221, male) and HCT116 (CCL-247, female) cells were cultured in Roswell Park Memorial Institute 1640 medium with 10% foetal bovine serum (Gibco). The cell lines, obtained from the American Type Culture Collection in 2017, were consistently maintained in an incubator at 37 °C (Thermo Fisher Scientific) with 5% CO2 in culture dishes (JET BIOFIL), and regular mycoplasma contamination tests were conducted.
siRNA and plasmids
The specific oligonucleotide sequences for small interfering RNAs (siRNAs) are detailed in Supplementary Table 4.
All constructs—including WT and mutants of ERCC6L2, CtIP and RNF138—were cloned into either the pLVX-Puro lentiviral vector or pcDNA3.1 vector. The WT and mutants of Ub were kindly provided by Professor Xiao-feng Zhu (Sun Yat-sen University Cancer Center). EGFP-tagged ERCC6L2 variants (full-length, ER-C and ER-N) and mCherry-tagged CtIP (WT and truncation mutants) were subcloned into the pcDNA3.1 vector.
Generation of KO cell lines with CRISPR–Cas9
KO cells expressing the specified sgRNAs were generated in DLD-1, HCT116, HeLa and U2OS cell lines by cloning the oligonucleotides detailed in Supplementary Table 4 into the pLenti-CRISPR V2 viral vector. After transfection with Cas9-gRNA plasmids, cells were subjected to puromycin selection 48 h later and subsequently cultured for approximately 3 weeks to allow colony formation. KO efficiency in selected clones was validated by Sanger sequencing and western blotting.
Antibodies and chemicals
The antibodies used in this study include: ERCC6L2 (Sigma-Aldrich HPA022422, used for IF and IHC at 1:100, immunoblotting (IB) at 1:800), CtIP (Active Motif 61942, used for IB at 1:1,000, IP at 1:100, IF at 1:200 and IHC at 1:100), γ-H2AX (Cell Signaling Technology (CST) 9718S, used for IB at 1:1,000, IF at 1:200 and IHC at 1:200), RAD51 (Abcam ab133534, used for IF at 1:200, and IB at 1:1,000 or Proteintech 67024, used for IF at 1:100), RPA2 (CST 2208S, used for IB at 1:1,000, IF at 1:200), BRCA1 (CST 9010S, used for IB at 1:1,000; Santa Cruz sc-6954, used for IF at 1:50), MRE11 (Abcam ab154480, used for IB at 1:1,000), RAD50 (CST 3427, used for IB at 1:1,000), Abraxas (Abcam ab139191, used for IB at 1:1,000), BRCC36 (Abcam ab108411, used for IB at 1:1,000), NBS1 (Proteintech 55025, used for IB at 1:1,000), EXO1 (Proteintech 16253, used for IB at 1:1,000), DNA2 (Proteintech 18727-1-AP, used for IB at 1:1,000), RNF138 (Abclonal A10304, used for IB at 1:1,000 or Abmart PH11971, used for IF at 1:100), 53BP1 (CST 4937S, used for IB at 1:1,000), BrdU (BD 347580, used for IF at 1:100), H3 (Abcam ab1791, used for IB at 1:1,000), Lamin B1 (Abcam ab16048, used for IB at 1:1,000), Flag (Sigma-Aldrich F1804, used for IB at 1:1,000), Myc (CST 2276S, used for IB at 1:1,000), HA (Proteintech 51064, used for IB at 1:1,000), His (CST 12698S, used for IB at 1:1,000), cleaved Caspase-3 (CST 9661T, used for IHC at 1:200), GAPDH (Proteintech 60004, used for IB at 1:1,000), β-actin (Proteintech 60008, used for IB at 1:1,000), GFP (Proteintech 50430, used for IB at 1:1,000, and IP at 1:200), SIAH1 (Proteintech 13886, used for IB at 1:1,000), RNF4 (Proteintech 17810, used for IB at 1:1,000), KLHL15 (Abclonal A16574, used for IB at 1:1,000), FZR1 (Proteintech 16368, used for IB at 1:1,000), ZMYND11 (Abclonal A6327, used for IB at 1:1,000), ZEB2 (Proteintech 14026, used for IB at 1:1,000), TOPORS (Abclonal A18526, used for IB at 1:1,000), UHRF2 (Proteintech 25710, used for IB at 1:1,000), ZMYND8 (Proteintech 11633, used for IB at 1:1,000), RBX1 (Proteintech 14895, used for IB at 1:1,000) and RLIM (Proteintech 16121, used for IB at 1:1,000). The ATMi KU-60019 and KU-55933 used in this study were obtained from Selleck Chemicals.
Colony formation assay
Cells were seeded at a concentration of 500–1,000 cells per well into 6-well plates or 100–300 cells per well into 24-well plates. After a 24-h incubation, tumour cell lines were subjected to continuous treatment with specified compounds for a duration of 10–14 days, tailored to their individual growth characteristics. Colonies were subsequently fixed using a fixation solution (methanol:acetic acid = 5:1 v/v) at room temperature for 25 min and then stained with a 0.5% crystal violet solution in methanol for a period of 2 h. The colony counts were based on the area of the colonies using ImageJ.
Xenograft models
The study complies with all relevant ethical regulations regarding animal research and was approved by the Sun Yat-sen University Animal Care and Use Committee. All animals were housed in standard conditions at the Center of Experimental Animal of Sun Yat-sen University. For the subcutaneous xenograft model, control and experimental DLD-1 cells resuspended in phosphate-buffered saline (PBS) were subcutaneously injected into the flanks of 4-week-old female BALB/c nude mice (Vital River Laboratories; n = 7 per group, randomly assigned to groups). When tumours reached 3–4 mm in diameter, mice were administered KU-55933 (10 mg kg−1) via intraperitoneal injection every 3 days. Tumour growth was monitored at 3-day intervals, and mice were euthanized after 2 weeks. The tumours were collected, fixed and paraffin-embedded for further analysis. In these studies, tumour sizes did not exceed the maximum allowable limit of 2.0 cm3, as approved by the Animal Care and Use Committee of Sun Yat-sen University.
Western blotting
Cell lysis was conducted using a lysis buffer (50 mM pH 7.4 Tris–HCl, 150 mM NaCl, 1 mM EDTA, 0.5% NP-40 and 10% glycerol) supplemented with protease inhibitor cocktail (CW2200S, CWBIO) on ice for 30 min. Denatured proteins were separated by 7.5–12.5% SDS–PAGE gels and then transferred to a polyvinylidene fluoride membrane. After blocking with 5% milk in TBST, the membranes were probed with primary and secondary antibodies and detected using the ChemiDoc Touch (Bio-Rad) or the e-Blot Touch Imager (e-Blot).
Silver staining and liquid chromatography–tandem mass spectrometry analysis
Protein gels were stained using the Fast Silver Stain Kit (P0017S, Beyotime) following the manufacturer’s instructions. The different strips were excised and subjected to in-gel digestion. The peptides were analysed by mass spectrometry, and identification was carried out using Mascot, based on the Uniprot database. Proteins identified from the immunoprecipitants pulled down with ERCC6L2 are listed in Supplementary Table 2.
Co-IP assays
Equal amounts of cell lysates were incubated with protein A/G magnetic beads at 4 °C for 1 h to preclear non-specific proteins. The beads were then discarded, and freshly prewashed protein A/G magnetic beads were mixed with specific antibodies. Alternatively, precoated magnetic beads (anti-Flag, anti-myc and anti-GFP) were added, and the mixture was incubated on a rotator at 4 °C overnight. The beads were washed four times using pre-cold IP lysis buffer for 10 min at 4 °C. After discarding the IP lysis buffer, samples were denatured in 1× SDS buffer for further western blotting analysis.
IF assays
Cells were plated on coverslips, washed once with PBS and fixed with 4% paraformaldehyde for 10 min on ice. Fixed cells were permeabilized with 0.5% Triton X-100 for 30 min at room temperature, blocked with 5% BSA for 30 min and then incubated with primary antibodies (diluted in 5% BSA) overnight at 4 °C. After incubation, coverslips were washed three times with PBST and incubated with a secondary antibody for 1 h at room temperature. Finally, coverslips were mounted with DAPI medium and visualized under the fluorescence microscope.
HR and NHEJ reporter assays
EJ5-GFP or DR-GFP U2OS cells seeded in six-well plates were transfected with the indicated siRNAs and subsequently infected with I-SceI adenovirus. After 48 h, the cells were trypsinized and subjected to flow cytometry analysis (CytoFLEX). The percentage of GFP-positive cells, which indicated the HR-mediated or NHEJ-mediated DSB repair efficiency, was determined.
Neutral comet assay
A comet assay was conducted to assess DNA damage by quantifying tail DNA. Cells were trypsinized, suspended in cold 1× PBS (Ca2+ and Mg2+ free), mixed with low-melting agarose (Trevigen) at a ratio of 1:10 (v/v), and immediately plated onto Cometslide (Trevigen). Neutral electrophoresis was performed at 25 V for 30 min in the electrophoresis system. Cell comets were visualized using a fluorescence microscope.
Subcellular fractionation
Following the manufacturer’s instructions, a subcellular fractionation kit (Thermo Fisher Scientific, #78840) was used to isolate subcellular fractions, allowing the extraction of cytoplasmic, membrane, soluble nuclear and chromatin-bound fractions. The protein lysates from specific fractions were then analysed by western blotting using the indicated antibodies.
DNA end-resection measurement
Stable U2OS cells expressing HA-ER-AsiSI were established following previously described methods31. Quantification of ssDNAs was executed using the HA-ER-AsiSI system, wherein the AsiSI enzyme is fused to the oestrogen receptor. Cells were treated with or without 300 nM 4-hydroxytamoxifen (4-OHT) for 4 h to induce DSBs at specific AsiSI sites. Subsequently, genomic DNA was extracted, and the ssDNA at the designated AsiSI site in chromosome 1 was measured through qPCR.
SMART assay
Cells were treated with 10 μM BrdU for 24 h. After a 24-h treatment with 5 μM ATMi, cells were trypsinized, counted and mixed with unlabelled cells at a 1:4 ratio. The cell mixture was spotted onto silane-coated slides and spread using a spreading buffer to stretch DNA fibres. After fixation with methanol/acetic acid and blocking with bovine serum albumin (BSA), the fibres were stained with anti-BrdU antibody and visualized by fluorescence microscopy53. Images were captured for at least 100 fibres per condition. DNA fibres were measured using ImageJ and subsequently graphed.
FRAP
FRAP experiments were performed using the OLYMPUS FV1000 system. Bleaching was targeted at a circular region of interest using 100% laser power, and time-lapse images capturing the recovery process were acquired at specified intervals. The prebleaching fluorescence intensity was established as 100%, and the fluorescence intensity at each timepoint was normalized (It) to calculate the fluorescence recovery using the following formula: FR(t) = It/Iprebleaching.
Molecular docking simulation
The three-dimensional structures of ERCC6L2, CtIP and RNF138 were predicted utilizing AlphaFold. Subsequently, protein–protein docking simulations were conducted using the GRAMM-X program, and the outcomes were visualized and analysed through PISA.
Clinical cancer samples
A total of 127 cases of CRC tissues were collected from patients who underwent surgical resection at the Sun Yat-sen University Cancer Center in Guangzhou, China, for correlation analysis between ERCC6L2 and CtIP expression. The gender and age of patients are reported in Supplementary Table 5. Informed consent was obtained. No compensation was provided to participants. Tumour differentiation was determined on the basis of the World Health Organization classification of Tumours of the Digestive System (2019 version). The tumour stage was defined according to the American Joint Committee on Cancer/International Union against Cancer TNM (tumour–node–metastasis) classification system (8th edition). Approval for this study was granted by the Institute Research Medical Ethics Committee of Sun Yat-sen University Cancer Center.
IHC and IHC score
In the initial steps, CRC specimens underwent deparaffinization and hydration, followed by a 10-min incubation with 3% H2O2 to neutralize endogenous peroxidase activity. Antigen retrieval was achieved through high-pressure and heat repair. Subsequently, specimens underwent a 30-min blockade with 5% bovine serum albumin. They were then incubated overnight at 4 °C with a primary antibody. A secondary antibody (PV6000, Zsbio) was applied at 37 °C for 1 h, and 3,3′-diaminobenzidine (ZLI9017, Zsbio) was used to stain the target protein, followed by haematoxylin staining. The IHC scores were evaluated using a framework based on distinct staining intensities. The IHC score for each sample was calculated using the following formula: 1 × (% weak staining) + 2 × (% moderate staining) + 3 × (% strong staining), resulting in IHC score values ranging from 0 to 300. Slide evaluation was performed independently by two experienced pathologists, who conducted their assessments without knowledge of the clinical parameters.
TCGA data acquisition and analysis
ERCC6L2 mRNA expression patterns were analysed across TCGA tumour samples and matched normal tissues. RNA-seq data (HTSeq raw counts) were obtained from the UCSC Xena browser (https://xenabrowser.net/datapages/).
Statistics and reproducibility
All experiments were performed with at least three independent biological replicates, unless otherwise specified. Statistical analysis was conducted using GraphPad Prism 8 and SPSS 20.0 software (SPSS). For comparisons between two groups, a two-tailed Student’s t-test or Mann–Whitney test was applied. One-way analysis of variance (ANOVA) or two-way ANOVA was used for multiple comparisons involving three or more independent groups. Two-sided P values of <0.05 were considered statistically significant. Data distribution was assumed to be normal, but this was not formally tested. No statistical method was used to predetermine sample size, but our sample sizes are similar to those reported in previous publications54,55. For all of the experiments, samples were randomly allocated to different groups. The investigators were not blinded to allocation during experiments and outcome assessment. No animals or data points were excluded from the analysis.
Reporting summary
Further information on research design is available in the Nature Portfolio Reporting Summary linked to this article.
Data availability
The mass spectrometry proteomics data have been deposited in the ProteomeXchange Consortium via the iProX partner repository with the dataset identifier PXD053028. ERCC6L2 mRNA levels were obtained via UCSC Xena at https://xenabrowser.net/datapages/. The structure of ERCC6L2 was obtained via AlphaFold at https://alphafold.com/entry/Q5T890. Source data are provided with this paper.
References
Broderick, R. et al. EXD2 promotes homologous recombination by facilitating DNA end resection. Nat. Cell Biol. 18, 271–280 (2016).
Ciccia, A. & Elledge, S. J. The DNA damage response: making it safe to play with knives. Mol. Cell 40, 179–204 (2010).
Pilié, P. G., Tang, C., Mills, G. B. & Yap, T. A. State-of-the-art strategies for targeting the DNA damage response in cancer. Nat. Rev. Clin. Oncol. 16, 81–104 (2018).
Scully, R., Panday, A., Elango, R. & Willis, N. A. DNA double-strand break repair-pathway choice in somatic mammalian cells. Nat. Rev. Mol. Cell Biol. 20, 698–714 (2019).
Ceccaldi, R., Rondinelli, B. & D’Andrea, A. D. Repair pathway choices and consequences at the double-strand break. Trends Cell Biol. 26, 52–64 (2016).
Lavin, M. F. Ataxia-telangiectasia: from a rare disorder to a paradigm for cell signalling and cancer. Nat. Rev. Mol. Cell Biol. 9, 759–769 (2008).
Shiloh, Y. & Ziv, Y. The ATM protein kinase: regulating the cellular response to genotoxic stress, and more. Nat. Rev. Mol. Cell Biol. 14, 197–210 (2013).
Lee, J.-H. & Paull, T. T. Cellular functions of the protein kinase ATM and their relevance to human disease. Nat. Rev. Mol. Cell Biol. 22, 796–814 (2021).
Shibata, A. et al. DNA double-strand break repair pathway choice is directed by distinct MRE11 nuclease activities. Mol. Cell 53, 7–18 (2014).
Cannavo, E. & Cejka, P. Sae2 promotes dsDNA endonuclease activity within Mre11–Rad50–Xrs2 to resect DNA breaks. Nature 514, 122–125 (2014).
Sturzenegger, A. et al. DNA2 cooperates with the WRN and BLM RecQ helicases to mediate long-range DNA end resection in human cells. J. Biol. Chem. 289, 27314–27326 (2014).
Yan, H., Toczylowski, T., McCane, J., Chen, C. & Liao, S. Replication protein A promotes 5′→3′ end processing during homology-dependent DNA double-strand break repair. J. Cell Biol. 192, 251–261 (2011).
Pinto, C., Kasaciunaite, K., Seidel, R. & Cejka, P. Human DNA2 possesses a cryptic DNA unwinding activity that functionally integrates with BLM or WRN helicases. eLife https://doi.org/10.7554/eLife.18574 (2016).
You, Z. et al. CtIP links DNA double-strand break sensing to resection. Mol. Cell 36, 954–969 (2009).
Han, J. et al. ATM controls the extent of DNA end resection by eliciting sequential posttranslational modifications of CtIP. Proc. Natl Acad. Sci. USA https://doi.org/10.1073/pnas.2022600118 (2021).
Lia, H. et al. CRISPR metabolic screen identifies ATM and KEAP1 as targetable genetic vulnerabilities in solid tumors. Proc. Natl Acad. Sci. USA https://doi.org/10.1073/pnas (2023).
Cai, M.-Y. et al. Cooperation of the ATM and Fanconi anemia/BRCA pathways in double-strand break end resection. Cell Rep. 30, 2402–2415 (2020).
Järviaho, T. et al. Bone marrow failure syndrome caused by homozygous frameshift mutation in the ERCC6L2 gene. Clin. Genet. 93, 392–395 (2017).
Shabanova, I. et al. ERCC6L2‐associated inherited bone marrow failure syndrome. Mol. Genet. Genom. Med. 6, 463–468 (2018).
Tummala, H. et al. ERCC6L2 mutations link a distinct bone-marrow-failure syndrome to DNA repair and mitochondrial function. Am. J. Hum. Genet. 94, 246–256 (2014).
Flaus, A. Identification of multiple distinct Snf2 subfamilies with conserved structural motifs. Nucleic Acids Res. 34, 2887–2905 (2006).
Liu, X. et al. ERCC6L2 promotes DNA orientation-specific recombination in mammalian cells. Cell Res. 30, 732–744 (2020).
Francica, P. et al. Functional radiogenetic profiling implicates ERCC6L2 in non-homologous end joining. Cell Rep. https://doi.org/10.1016/j.celrep.2020.108068 (2020).
Rogakou, E. P., Pilch, D. R., Orr, A. H., Ivanova, V. S. & Bonner, W. M. DNA double-stranded breaks induce histone H2AX phosphorylation on serine 139. J. Biol. Chem. 273, 5858–5868 (1998).
Liu, J., Doty, T., Gibson, B. & Heyer, W.-D. Human BRCA2 protein promotes RAD51 filament formation on RPA-covered single-stranded DNA. Nat. Struct. Mol. Biol. 17, 1260–1262 (2010).
Tarsounas, M. & Sung, P. The antitumorigenic roles of BRCA1–BARD1 in DNA repair and replication. Nat. Rev. Mol. Cell Biol. 21, 284–299 (2020).
Chen, H., Lisby, M. & Symington, L. S. RPA coordinates DNA end resection and prevents formation of DNA hairpins. Mol. Cell 50, 589–600 (2013).
Huertas, P. DNA resection in eukaryotes: deciding how to fix the break. Nat. Struct. Mol. Biol. 17, 11–16 (2010).
Chapman, J. R., Taylor, M. R. G. & Boulton, S. J. Playing the end game: DNA double-strand break repair pathway choice. Mol. Cell 47, 497–510 (2012).
Cruz-Garcia, A., Lopez-Saavedra, A. & Huertas, P. BRCA1 accelerates CtIP-mediated DNA-end resection. Cell Rep. 9, 451–459 (2014).
Zhou, Y., Caron, P., Legube, G. & Paull, T. T. Quantitation of DNA double-strand break resection intermediates in human cells. Nucleic Acids Res. 42, e19 (2014).
Cannavo, E., Cejka, P. & Kowalczykowski, S. C. Relationship of DNA degradation by Saccharomyces cerevisiae exonuclease 1 and its stimulation by RPA and Mre11–Rad50–Xrs2 to DNA end resection. Proc. Natl Acad. Sci. USA 110, E1661–E1668 (2013).
Kao, H. I., Campbell, J. L. & Bambara, R. A. Dna2p helicase/nuclease is a tracking protein, like FEN1, for flap cleavage during Okazaki fragment maturation. J. Biol. Chem. 279, 50840–50849 (2004).
Cejka, P. & Symington, L. S. DNA end resection: mechanism and control. Annu Rev. Genet. 55, 285–307 (2021).
Nimonkar, A. V. et al. BLM-DNA2-RPA-MRN and EXO1-BLM-RPA-MRN constitute two DNA end resection machineries for human DNA break repair. Genes Dev. 25, 350–362 (2011).
Whelan, D. R. & Rothenberg, E. Super-resolution mapping of cellular double-strand break resection complexes during homologous recombination. Proc. Natl Acad. Sci. USA https://doi.org/10.1073/pnas.2021963118 (2021).
Sartori, A. A. et al. Human CtIP promotes DNA end resection. Nature 450, 509–514 (2007).
Lafontaine, D. L. J., Riback, J. A., Bascetin, R. & Brangwynne, C. P. The nucleolus as a multiphase liquid condensate. Nat. Rev. Mol. Cell Biol. 22, 165–182 (2020).
Mehta, S. & Zhang, J. Liquid–liquid phase separation drives cellular function and dysfunction in cancer. Nat. Rev. Cancer 22, 239–252 (2022).
Banani, S. F., Lee, H. O., Hyman, A. A. & Rosen, M. K. Biomolecular condensates: organizers of cellular biochemistry. Nat. Rev. Mol. Cell Biol. 18, 285–298 (2017).
Frottin, F. et al. The nucleolus functions as a phase-separated protein quality control compartment. Science 365, 342–347 (2019).
Boeynaems, S. et al. Protein phase separation: a new phase in cell biology. Trends Cell Biol. 28, 420–435 (2018).
Kroschwald, S., Maharana, S. & Simon, A. Hexanediol: a chemical probe to investigate the material properties of membrane-less compartments. Matters https://doi.org/10.19185/matters.201702000010 (2017).
Tunyasuvunakool, K. et al. Highly accurate protein structure prediction for the human proteome. Nature 596, 590–596 (2021).
Jumper, J. et al. Highly accurate protein structure prediction with AlphaFold. Nature 596, 583–589 (2021).
Armstrong, D. R. et al. PDBe: improved findability of macromolecular structure data in the PDB. Nucleic Acids Res. 48, D335–D343 (2020).
Li, Y. et al. An integrated bioinformatics platform for investigating the human E3 ubiquitin ligase-substrate interaction network. Nat. Commun. https://doi.org/10.1038/s41467-017-00299-9 (2017).
Tummala, H. et al. Genome instability is a consequence of transcription deficiency in patients with bone marrow failure harboring biallelic ERCC6L2 variants. Proc. Natl Acad. Sci. USA 115, 7777–7782 (2018).
Hurst, V., Shimada, K. & Gasser, S. M. Nuclear actin and actin-binding proteins in DNA repair. Trends Cell Biol. 29, 462–476 (2019).
Michelini, F. et al. Damage-induced lncRNAs control the DNA damage response through interaction with DDRNAs at individual double-strand breaks. Nat. Cell Biol. 19, 1400–1411 (2017).
Pessina, F. et al. Functional transcription promoters at DNA double-strand breaks mediate RNA-driven phase separation of damage-response factors. Nat. Cell Biol. 21, 1286–1299 (2019).
Carnie, C. J. et al. ERCC6L2 mitigates replication stress and promotes centromere stability. Cell Rep. https://doi.org/10.1016/j.celrep.2023.112329 (2023).
Altieri, A., Dell'Aquila, M., Pentimalli, F., Giordano, A. & Alfano, L. SMART (single molecule analysis of resection tracks) technique for assessing DNA end-resection in response to DNA damage. Bio Protoc. 10, e3701 (2020).
Lu, S. et al. Heat-shock chaperone HSPB1 regulates cytoplasmic TDP-43 phase separation and liquid-to-gel transition. Nat. Cell Biol. 24, 1378–1393 (2022).
Ju, J. et al. The alanyl-tRNA synthetase AARS1 moonlights as a lactyltransferase to promote YAP signaling in gastric cancer. J. Clin. Invest. https://doi.org/10.1172/jci174587 (2024).
Acknowledgements
We thank G. Wan (School of Life Sciences, Sun Yat-sen University) for his helpful suggestions regarding the design of phase separation assays. This work was supported by grants from the National Key R&D Program of China (grant no. 2021YFA1300200 to D.X.), the National Natural Science Foundation of China (grant nos. 82172646 to M.C., 82202905 to J.D. and 82403737 to X.Z.), the Guangdong Esophageal Cancer Institute Science and Technology Program (grant no. M202108 to M.C.), Cancer Innovative Research Program of Sun Yat-sen University Cancer Center (grant no. CIRP-SYSUCC-0025 to M.C.), Postdoctoral Fellowship Program of CPSF (grant no. GZB20250509 to Jinlong Lin), and China Postdoctoral Science Foundation (grant nos. 2025M772363 to Y.Y. and 2023T00392 to X.Z.). The funders had no role in study design, data collection and analysis, decision to publish or preparation of the paper.
Author information
Authors and Affiliations
Contributions
M.C. conceived of and devised the study. Y.Y., Jinlong Lin and M.C. designed the experiments and analysis. Y.Y., Jinlong Lin, X.C., Jiliang Lin, Z.X. and S.L. performed biological experiments. Y.Y. and R.N. analysed the data. Y.L., Y.Z., J.Z., J.C. and W.L. provided patient tissue samples and clinical information. J.D., X.Z. and Jinlong Lin helped in providing study methodology. D.X. and M.C. supervised the research. Y.Y. and M.C. wrote the paper. All of the authors approved the submitted paper.
Corresponding authors
Ethics declarations
Competing interests
The authors declare no competing interests.
Peer review
Peer review information
Nature Cell Biology thanks Grant S. Stewart, Patrick Sung and the other, anonymous, reviewer(s) for their contribution to the peer review of this work.
Additional information
Publisher’s note Springer Nature remains neutral with regard to jurisdictional claims in published maps and institutional affiliations.
Extended data
Extended Data Fig. 1 Loss of ERCC6L2 Confers Resistance to ATM Inhibitors in Cancer Cells.
a, b. Volcano plots showing genes targeted by sgRNAs that were differentially enriched in ATMi-treated versus DMSO-treated control cells in CRISPR screens in A549 (a) and NCI-H460 (b) cells. c. Gene-centric visualization of average log2 fold change (LFC) in ATMi-treated versus DMSO-treated cell lines. d. Schematic diagram of ERCC6L2 structure. sgRNA targeting sites are shown as black colored arrows. e, f. Sanger sequencing showed that ERCC6L2 was knocked out in the indicated cells. g. Immunoblot analysis showing the KO efficiency of ERCC6L2 in U2OS, HeLa, DLD-1, and HCT116 cells. h. Immunoblot analysis of ERCC6L2 levels in ERCC6L2-KO U2OS and DLD-1 cells transfected with Flag-ERCC6L2. i, j. Clonogenic survival assays detecting the impact of ERCC6L2 rescue in ERCC6L2-KO U2OS (i) and DLD-1 (j) cells upon treatment with ATMi (KU-55933). Colony formation was quantified based on the area covered by colonies. Data are presented as mean ± SD (n = 3 biological replicates, two-way ANOVA). Data are representative of at least three independent experiments (g, h).
Extended Data Fig. 2 ERCC6L2 Engages in DNA Damage Repair.
a. Time-lapse confocal microscopy images showing EGFP-ERCC6L2 recruitment to microirradiation-induced DNA damage sites. Scale bars: 5 μm. b. Immunoblot analysis demonstrating the knockdown efficiency of BRCA1, 53BP1, and ERCC6L2 (left panel). Quantification of NHEJ and HR efficiency was performed using the EJ5-GFP and DR-GFP reporter assays in U2OS cells (right panel, one-way ANOVA). si53BP1 and siBRCA1 served as positive controls. Data are presented as mean ± SD. n = 3 biological replicates. c. Neutral comet assays were performed using control or ERCC6L2-KO DLD-1 cells treated with DMSO or ATMi (KU-60019, 10 μM) for 24 h. Representative images (top panel) and quantification of the tail length relative to the nucleus (bottom panel). Scale bars: 25 μm. Data are presented as mean ± 95% CI (DMSO, n = 104 Ctrl, 105 KO#1, 101 KO#2; ATMi, n = 102 Ctrl, 108 KO#1, 103 KO#2; one-way ANOVA). d. Immunoblot analysis of the γ-H2AX levels in control and ERCC6L2-KO DLD-1 cells upon ATMi (KU-60019, 10 μM) treatment (0, 6, 12, 24, 48 h). e. IF and quantification analysis of γ-H2AX foci, merged with DAPI-stained nuclei, following exposure to 4 Gy for 0.5 h in control and ERCC6L2-KO U2OS cells. Representative images (left panel) and graphical quantitation of foci (right panel). Scale bars: 10 μm. Data are presented as mean ± 95% CI (0 Gy, n = 109 Ctrl, 103 KO; 4 Gy, n = 103 Ctrl, 104 KO; two-tailed Mann-Whitney test). Data are representative of at least three independent experiments (a, c–e).
Extended Data Fig. 3 ERCC6L2 Interacts and Forms Dynamic Condensates with CtIP.
a. Detection of ERCC6L2-binding proteins by silver staining following IP assays using nuclear protein extracts from HEK-293T cells. Coomassie Brilliant Blue (CBB) staining was used to assess the loading control. b. Co-IP assays showed the binding partners of ERCC6L2 in U2OS cells. c, d. Co-IP assays showed the interaction of ERCC6L2 with CtIP in DLD-1(c) and U2OS (d) cells. e, f. The disordered region of ERCC6L2 was analysed using PONDR (e) or IUpred2 (f). Scores above 0.5 indicate disorder. g. HEK-293T cells were transfected with NLS-EGP-ER-N plasmids for 48 h. NLS-EGFP-ER-N was diffusely distributed in the nucleus. Blue indicates DAPI-stained nuclei. Scale bars: 5 μm. h. EGFP-ERCC6L2 was transfected into CtIP knockdown cells (top panel), and mCherry-CtIP was transfected into ERCC6L2-KO U2OS cells (bottom panel). Foci formation was observed in both conditions. Scale bars: 5 μm. i. Representative images from the FRAP experiment of EGFP-ERCC6L2 (left panel), the dotted white square highlights the puncta undergoing targeted bleaching. Quantification of FRAP data for EGFP-ERCC6L2 (right panel). Bleaching event occurs at t = 0 s. Scale bars: 5 μm. Data are presented as mean ± SD. n = 3 foci analysed in 3 independent experiments. j. Fusion of adjacent EGFP-ER-C droplets was observed in cells. An EGFP-ER-C droplet fissured to form two smaller droplets. Scale bars: 1 μm. k. Fusion of adjacent mCherry-CtIP droplets was observed in cells. An mCherry-CtIP droplet fissured to form two smaller droplets. Scale bars: 1 μm. l, m. Confocal microscopy images of EGFP-ER-C and mCherry-CtIP droplets after treatment with 10% 1,6-hexanediol for 1 min (l, top panels) or 0.4 M sorbitol for 30 min (m, top panels) and graphical quantitation of foci (bottom panel). Scale bars: 5 μm. (l, n = 51 EGFP-ER-C, 57 mCherry-CtIP; m, n = 55 EGFP-ER-C, 54 mCherry-CtIP; two-tailed Mann-Whitney test). n. IF and quantification of ERCC6L2 or CtIP foci after treatment with 10% 1,6-hexanediol for 1 min. Representative images (top panels) and graphical quantitation of foci (bottom panel). Scale bars: 5 μm. Data are presented as mean ± 95% CI (ERCC6L2, n = 51 Pre, 58 1,6-Hex; CtIP, n = 55 Pre, 53 1,6-Hex; two-tailed Mann-Whitney test). o. The crystal structure of ERCC6L2 was predicted using AlphaFold, with regions showing pLDDT < 50. p. Schematic diagram of truncated mutants of ERCC6L2. q. Quantitative analysis of NLS-EGFP-tagged constructs in ERCC6L2-KO U2OS cells. Three parameters were evaluated: (i) foci number per cell, (ii) relative fluorescence intensity, and (iii) foci vs intensity per cell. Data are presented as mean ± 95% CI (n = 50 in each group; one-way ANOVA). n.s.: no statistical significance. R1 vs. Vector: P = 0.9599, R1 vs. R2: P = 0.9942, R1 vs. R3: P = 0.8251, R1 vs. R4: P = 0.8562. r. HEK-293T cells were transfected with NLS-EGFP-tagged constructs (Vector, R1, R2, R3, or R4) for 48 h. R1 showed puncta in the nucleus (left panel). Scale bars: 2 μm. Quantitative analysis (right panel) of three parameters: (i) foci number per cell, (ii) relative fluorescence intensity, and (iii) foci vs intensity per cell. Data are presented as mean ± 95% CI (n = 50 in each group; one-way ANOVA). n.s.: no statistical significance. R1 vs. Vector: P = 0.8066, R1 vs. R2: P = 0.9875, R1 vs. R3: P = 0.7869, R1 vs. R4: P = 0.6538. Data are representative of at least three independent experiments (a–d, g, h, j, k, n, q, r).
Extended Data Fig. 4 ERCC6L2 Interacts with and Upregulates CtIP.
a. Co-IP assays in DLD-1 cells transfected with the indicated Flag-ERCC6L2 truncations. b. Co-IP assays in U2OS cells transfected with NLS-EGFP-ER-N. c. Co-IP assays in DLD-1 cells transfected with the indicated NLS-EGFP-ERCC6L2 truncations. d–f. Immunoblot analysis of CtIP levels in ERCC6L2-KO U2OS cells transfected with the indicated doses of Flag-ERCC6L2 (d), Flag-ER-C (e), or Flag-ER-N (f) plasmids. g–j. Immunoblot analysis of CtIP levels in ERCC6L2-KO cells transfected with the indicated doses of NLS-EGFP-R2 (g), NLS-EGFP-R3 (h), NLS-EGFP-R4 (i), or NLS-EGFP-R5 (j) plasmids. k. Schematic diagram of truncated mutants of CtIP. l, m. Co-IP assays in U2OS cells transfected with the indicated plasmids. n. Confocal microscopy images of condensate formation in HEK-293T cells transfected with the indicated plasmids (top panel). Line-scan analysis of fluorescence intensity along the indicated lines (bottom panel). Scale bars: 5 μm. Blue indicates DAPI-stained nuclei. Data are representative of at least three independent experiments (a–j, l–n).
Extended Data Fig. 5 ERCC6L2 Prevents the Ubiquitination and Degradation of CtIP.
a. qPCR analysis showed the relative CtIP mRNA expression in control and ERCC6L2-KO U2OS cells. n = 3 technical replicates. b, c. Control and ERCC6L2-KO U2OS (b) or DLD-1 (c) cells were exposed to 50 μg/mL CHX for the indicated time. Data are presented as mean ± SD. n = 3 biological replicates. Quantification of CtIP protein levels by densitometry. d. Immunoblot analysis of CtIP levels in control and ERCC6L2-KO DLD-1 cells upon treatment with MG132. e, f. Immunoblot analysis of CtIP ubiquitination levels in control and ERCC6L2-KO DLD-1 cells transfected with the indicated plasmids. Cells were pretreated with MG132 (10 μM) for 6 h. Quantification of protein levels by densitometry. g. Immunoblot analysis of CtIP ubiquitin linkage types in control and ERCC6L2-KO U2OS cells transfected with Myc-CtIP and Ub-HA WT or the ubiquitin mutants (K6R, K11R, K29R, K48R, and K63R). Cells were pretreated with MG132 (10 μM) for 6 h. Quantification of protein levels by densitometry. h. Immunoblot analysis of CtIP ubiquitin linkage types in control and ERCC6L2-KO U2OS cells transfected with Myc-CtIP and Ub-HA mutants (K6, K48, K63). Cells were pretreated with MG132 (10 μM) for 6 h. The plasmids are able only to form K6, K48, and K63 ubiquitin linkages, respectively. Quantification of protein levels by densitometry. Data are representative of at least three independent experiments (a, d–h).
Extended Data Fig. 6 The ERCC6L2-CtIP condensates protect CtIP from RNF138-mediated ubiquitination and subsequent degradation.
a. Predicted E3 ligases of CtIP by UbiBrowser. The scores were obtained from the UbiBrowser 2.0 website, where the “Confidence Score” quantifies the reliability of predicted E3/DUB-substrate interactions. A higher score indicates a stronger confidence in the predicted interaction, while a lower score suggests reduced reliability. b. ERCC6L2-KO U2OS cells were transfected with siRNAs specific for the potential E3 ligases of CtIP. Quantification of protein levels by densitometry. c. Immunoblot analysis of CtIP ubiquitin linkage types in U2OS cells transfected with Myc-CtIP, His-RNF138, and Ub-HA mutants (K6, K48, and K63). Cells were pretreated with MG132 (10 μM) for 6 h. Quantification of protein levels by densitometry. d, e. Co-IP assays in U2OS (d) or DLD-1 (e) cells transfected with the indicated plasmids or siRNAs. f, g. Immunoblot analysis of the interaction between RNF138 and CtIP in control and ERCC6L2-KO U2OS (f) or DLD-1 (g) cells. h. IF images showing CtIP or RAD51 foci (red channel) and the indicated proteins (green channel), merged with DAPI (blue channel), following treatment with the ATMi (KU-60019, 5 μM) for 24 h. Line scans of the red and green channels are provided. Scale bars: 5 μm. i. The disordered region of RNF138 was analysed using PONDR. Scores above 0.5 indicate disorder. j, k. Immunoblot analysis of CtIP levels in HEK-293T (j) and U2OS cells (k) upon 1,6-hexanediol (1%) or MG132 treatment. Quantification of protein levels by densitometry. Data are representative of at least three independent experiments (b–h, j, k).
Extended Data Fig. 7 The IDR of ERCC6L2 Influences the DNA Damage Response.
a. Immunoblot analysis of the Flag-ERCC6L2 truncated mutants in ERCC6L2-KO U2OS or DLD-1 cells. b–e. Clonogenic survival assays detecting the impact of ERCC6L2 truncation in ERCC6L2-KO DLD-1 (b, d) and U2OS (c, e) cells upon treatment with ATMi (KU-55933 or KU-60019). Colony formation was quantified based on the area covered by colonies. Data are presented as mean ± SD (n = 3 biological replicates, two-way ANOVA). f. Immunoblot analysis of CtIP and RNF138 levels in ERCC6L2-KO U2OS or DLD-1 cells following transfection with Myc-CtIP or siRNF138. g–i. Clonogenic survival assays detecting the impact of CtIP overexpression or RNF138 knockdown in ERCC6L2-KO DLD-1 (g, i) and U2OS (h) cells upon treatment with ATMi (KU-55933 or KU-60019). Colony formation was quantified based on the area covered by colonies. Data are presented as mean ± SD (n = 3 biological replicates, two-way ANOVA). j. IF and quantification analysis of RPA2 foci detecting the impact of CtIP overexpression or RNF138 knockdown following 24 h exposure to DMSO or ATMi (KU-60019, 5 μM) in ERCC6L2-KO U2OS cells. Representative images (left panels) and graphical quantitation of foci (right panel). Scale bars: 10 μm. Data are presented as mean ± 95% CI (DMSO, n = 106 Ctrl, 103 KO, 105 KO + CtIP, 106 KO + siRNF138; ATMi, n = 110 Ctrl, 106 KO, 105 KO + CtIP, 101 KO + siRNF138; one-way ANOVA). k. Neutral comet assays detecting the impact of CtIP overexpression or RNF138 knockdown in ERCC6L2-KO U2OS cells upon treatment with DMSO or ATMi (KU-60019, 5 μM) for 24 h. Representative images (left panel) and quantification of the tail length relative to the nucleus (right panel). Scale bars: 25 μm. Data are presented as mean ± 95% CI (DMSO, n = 107 Ctrl, 106 KO, 111 KO + CtIP, 110 KO + siRNF138; ATMi, n = 117 Ctrl, 111 KO, 106 KO + CtIP, 107 KO + siRNF138; one-way ANOVA). Data are representative of at least three independent experiments (a, f, j, k).
Extended Data Fig. 8 ERCC6L2 Is Downregulated in Multiple Cancer Types.
a–w. ERCC6L2 mRNA expression in normal tissues and human cancer samples from TCGA database. Data are presented as mean ± SD, statistical analysis was performed using the two-tailed Mann-Whitney test. COAD: Colon Cancer, n = 41 normal, 469 tumour; READ: Rectal Cancer, n = 10 normal, 166 tumour; BLCA: Bladder Cancer, n = 19 normal, 411 tumour; BRCA: Breast Cancer, n = 113 normal, 1097 tumour; GBM: Glioblastoma, n = 5 normal, 155 tumour; KIRC: Kidney Clear Cell Carcinoma, n = 72 normal, 534 tumour; KIRP: Kidney Papillary Cell Carcinoma, n = 32 normal, 288 tumour; LUSC: Lung Squamous Cell Carcinoma, n = 49 normal, 501 tumour; PRAD: Prostate Cancer, n = 52 normal, 498 tumour; THCA: Thyroid Cancer, n = 58 normal, 502 tumour; UCEC: Endometrioid Cancer, n = 35 normal, 547 tumour; CHOL: Bile Duct Cancer, n = 9 normal, 36 tumour; STAD: Stomach Cancer, n = 259 normal, 375 tumour; CESC: Cervical Cancer, n = 3 normal, 304 tumour; KICH: Kidney Chromophobe, n = 24 normal, 65 tumour; ESCA: Esophageal Cancer, n = 12 normal, 161 tumour; HNSC: Head and Neck Cancer, n = 44 normal, 500 tumour; LIHC: Liver Cancer, n = 50 normal, 371 tumour; LUAD: Lung Adenocarcinoma, n = 59 normal, 524 tumour; PAAD: Pancreatic Cancer, n = 4 normal, 177 tumour; PCPG: Pheochromocytoma and Paraganglioma, n = 3 normal, 178 tumour; SARC: Sarcoma, n = 2 normal, 259 tumour; THYM: Thymoma, n = 2 normal, 119 tumour.
Supplementary information
Supplementary Tables (download XLSX )
Supplementary Table 1. Data from CRISPR screens in A549 and NCI-H460 cells, comparing ATMi-treated groups with DMSO-treated control groups. Supplementary Table 2. Proteins identified from immunoprecipitants pulled down with ERCC6L2. Supplementary Table 3. The predictive interaction site between ERCC6L2 and CtIP using docking. Supplementary Table 4. The oligonucleotide sequence of siRNAs, sgRNA and primer. Supplementary Table 5. Patient information.
Supplementary Videos (download ZIP )
Supplementary Video 1. A representative movie from the FRAP experiment of EGFP-ERCC6L2. Supplementary Video 2. A representative movie from the FRAP experiment of EGFP-ER-C. Supplementary Video 3. A representative movie from the FRAP experiment of mCherry-CtIP. Supplementary Video 4. A representative movie from the FRAP experiment of mCherry-CtIP and EGFP-ERCC6L2. Supplementary Video 5. A representative movie from the FRAP experiment of NLS-EGFP-R1. Supplementary Video 6. A representative movie from the FRAP experiment of NLS-EGFP-FUS-C.
Source data
Source Data Fig. 1 (download XLSX )
Statistical source data.
Source Data Fig. 2 (download XLSX )
Statistical source data.
Source Data Fig. 2 (download PDF )
Unprocessed western blots and/or gels.
Source Data Fig. 3 (download XLSX )
Statistical source data.
Source Data Fig. 3 (download PDF )
Unprocessed western blots and/or gels.
Source Data Fig. 4 (download XLSX )
Statistical source data.
Source Data Fig. 4 (download PDF )
Unprocessed western blots and/or gels.
Source Data Fig. 5 (download XLSX )
Statistical source data.
Source Data Fig. 5 (download PDF )
Unprocessed western blots and/or gels.
Source Data Fig. 6 (download XLSX )
Statistical source data.
Source Data Fig. 6 (download PDF )
Unprocessed western blots and/or gels.
Source Data Fig. 7 (download XLSX )
Statistical source data.
Source Data Fig. 8 (download XLSX )
Statistical source data.
Source Data Extended Data Fig. 1 (download XLSX )
Statistical source data.
Source Data Extended Data Fig. 1 (download PDF )
Unprocessed western blots and/or gels.
Source Data Extended Data Fig. 2 (download XLSX )
Statistical source data.
Source Data Extended Data Fig. 2 (download PDF )
Unprocessed western blots and/or gels.
Source Data Extended Data Fig. 3 (download XLSX )
Statistical source data.
Source Data Extended Data Fig. 3 (download PDF )
Unprocessed western blots and/or gels.
Source Data Extended Data Fig. 4 (download XLSX )
Statistical source data.
Source Data Extended Data Fig. 4 (download PDF )
Unprocessed western blots and/or gels.
Source Data Extended Data Fig. 5 (download XLSX )
Statistical source data.
Source Data Extended Data Fig. 5 (download PDF )
Unprocessed western blots and/or gels.
Source Data Extended Data Fig. 6 (download XLSX )
Statistical source data.
Source Data Extended Data Fig. 6 (download PDF )
Unprocessed western blots and/or gels.
Source Data Extended Data Fig. 7 (download XLSX )
Statistical source data.
Source Data Extended Data Fig. 7 (download PDF )
Unprocessed western blots and/or gels.
Source Data Extended Data Fig. 8 (download XLSX )
Statistical source data.
Rights and permissions
Open Access This article is licensed under a Creative Commons Attribution-NonCommercial-NoDerivatives 4.0 International License, which permits any non-commercial use, sharing, distribution and reproduction in any medium or format, as long as you give appropriate credit to the original author(s) and the source, provide a link to the Creative Commons licence, and indicate if you modified the licensed material. You do not have permission under this licence to share adapted material derived from this article or parts of it. The images or other third party material in this article are included in the article’s Creative Commons licence, unless indicated otherwise in a credit line to the material. If material is not included in the article’s Creative Commons licence and your intended use is not permitted by statutory regulation or exceeds the permitted use, you will need to obtain permission directly from the copyright holder. To view a copy of this licence, visit http://creativecommons.org/licenses/by-nc-nd/4.0/.
About this article
Cite this article
Yin, Y., Lin, J., Cai, X. et al. Phase separation of ERCC6L2–CtIP regulates the extent of DNA end resection. Nat Cell Biol 27, 1771–1784 (2025). https://doi.org/10.1038/s41556-025-01760-4
Received:
Accepted:
Published:
Version of record:
Issue date:
DOI: https://doi.org/10.1038/s41556-025-01760-4
This article is cited by
-
ERCC6L2–CtIP condensation tunes end resection
Nature Cell Biology (2025)










