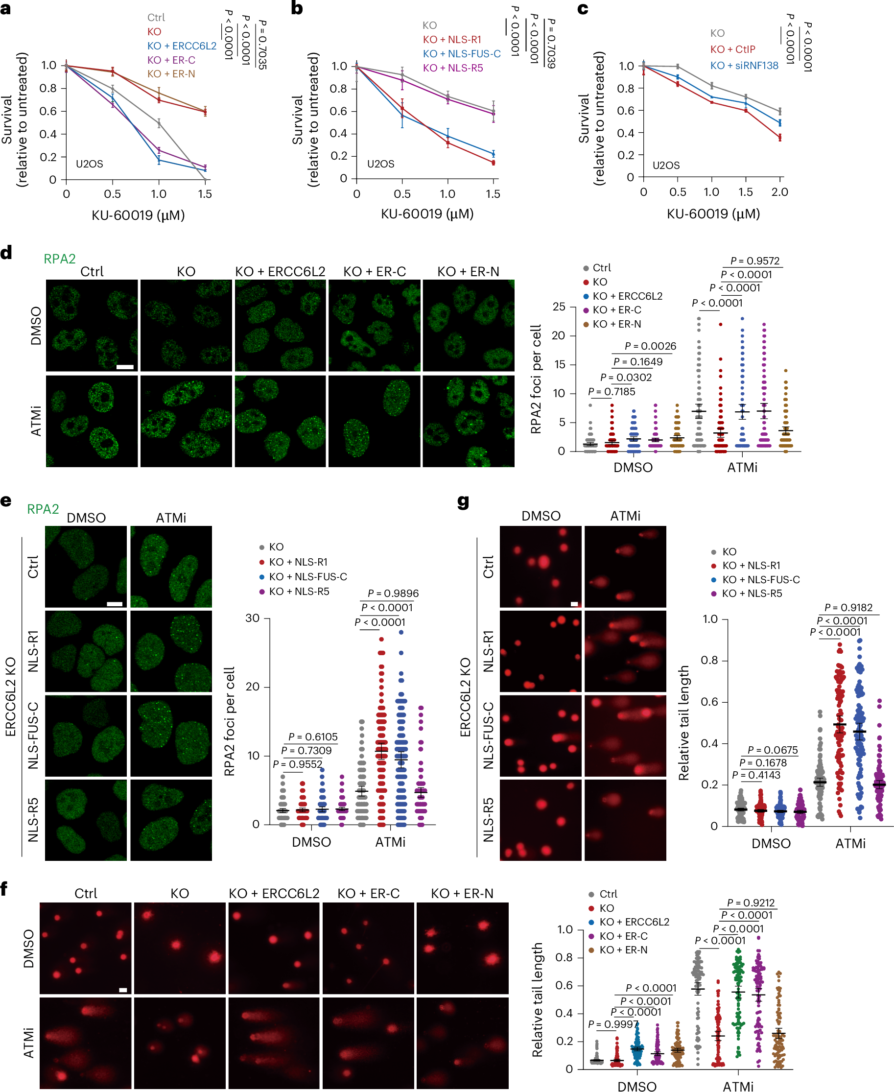
Fig. 7: The IDR of ERCC6L2 influences the DDR.
From: Phase separation of ERCC6L2–CtIP regulates the extent of DNA end resection

a,b, Clonogenic survival assays detecting the impact of different ERCC6L2 truncations in ERCC6L2-KO U2OS cells upon treatment with ATMi (KU-60019). Colony formation was quantified based on the area covered by colonies. Data are presented as mean ± s.d. (n = 3 biological replicates, two-way ANOVA). c, Clonogenic survival assays detecting the impact of CtIP overexpression or RNF138 knockdown in ERCC6L2-KO U2OS cells upon treatment with ATMi (KU-60019). Colony formation was quantified based on the area covered by colonies. Data are presented as mean ± s.d. (n = 3 biological replicates, two-way ANOVA). d,e, IF and quantification analysis of RPA2 foci following 24 h exposure to DMSO or ATMi (KU-60019, 5 μM) in ERCC6L2-KO U2OS cells transfected with ERCC6L2 truncations. Representative images (left) and graphical quantitation of foci (right). Scale bars, 10 μm. Data are presented as mean ± 95% CI (d, n = 100 in each group; e, DMSO, n = 113 KO, 109 KO + NLS-R1, 101 KO + NLS-FUS-C, 110 KO + NLS-R5; ATMi, n = 107 KO, 115 KO + NLS-R1, 112 KO + NLS-FUS-C, 112 KO + NLS-R5; one-way ANOVA). f,g, Neutral comet assays detecting the impact of ERCC6L2 truncations in ERCC6L2-KO U2OS cells upon treatment with DMSO or ATMi (KU-60019, 5 μM) for 24 h. Representative images (left) and quantification of the tail length relative to the nucleus (right). Scale bars, 25 μm. Data are presented as mean ± 95% CI (f, DMSO, n = 101 Ctrl, 100 KO, 102 KO + ERCC6L2, 103 KO + ER-C, 100 KO + ER-N; ATMi, n = 100 Ctrl, 100 KO, 100 KO + ERCC6L2, 100 KO + ER-C, 100 KO + ER-N; g, DMSO, n = 104 KO, 112 KO + NLS-R1, 111 KO + NLS-FUS-C, 108 KO + NLS-R5; ATMi, n = 112 KO, 107 KO + NLS-R1, 106 KO + NLS-FUS-C, 110 KO + NLS-R5; one-way ANOVA). Data are representative of at least three independent experiments (d–g).