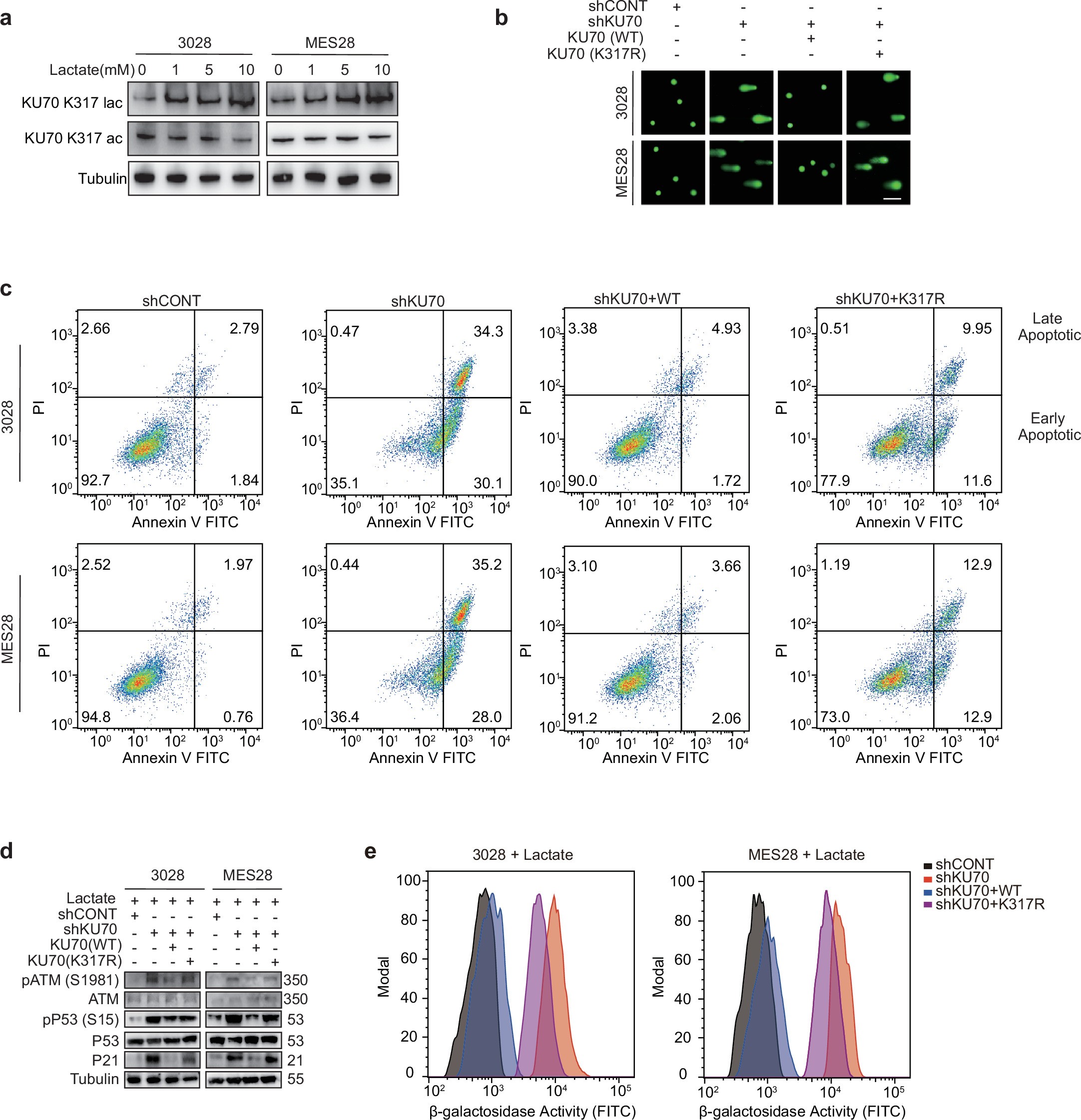
Extended Data Fig. 6: Lactylation of KU70 K317 enhances the NHEJ function and maintains stemness of GSC.

a, KU70 K317 lactylation and acetylation level detection after stimulated with different concentration of lactate. b, Representative pictures of comet assay under the stimulation of lactate combined transduced with shCONT, shKU70 and rescued using KU70 WT and KU70 K317R in GSCs. Scale bars, 100μm. c, Apoptosis assay under the stimulation of lactate combined transduced with shCONT, shKU70 and rescued using KU70 WT and KU70 K317R in GSCs. d, Immunoblot analysis under the stimulation of lactate combined transduced with shCONT, shKU70, or shKU70 rescued with KU70 WT or KU70 K317R. e, Senescence-associated β-galactosidase assay under the stimulation of lactate combined transduced with shCONT, shKU70 and rescued using KU70 WT and KU70 K317R in GSCs. The experiments were performed three times independently (a, b, d).