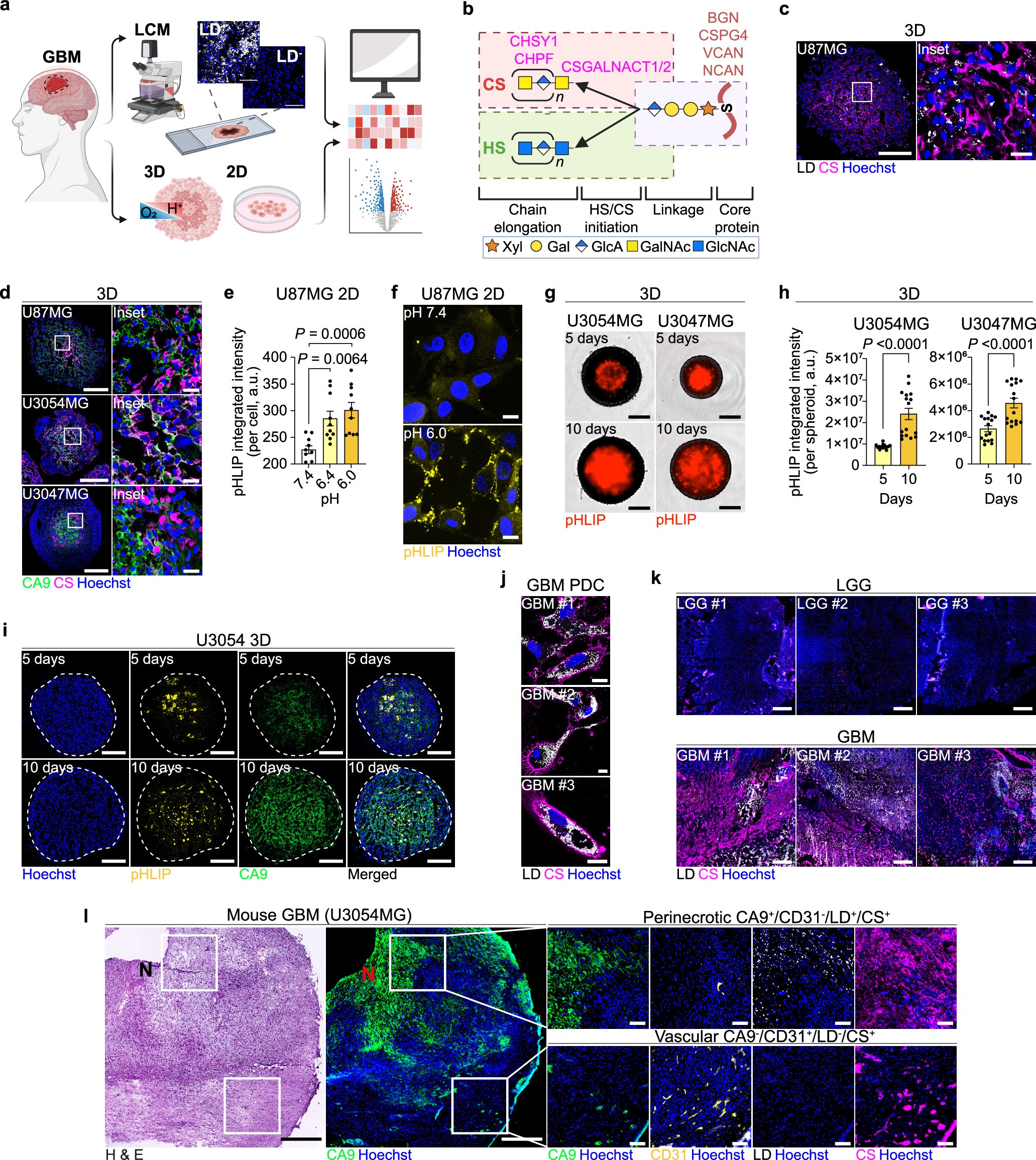
Extended Data Fig. 1: CS-enriched glycocalyx defines the lipid-rich, stressed tumour niche.
From: Tumour acidosis remodels the glycocalyx to control lipid scavenging and ferroptosis

a, Schematic overview of comparative gene expression analyses performed on LD+ versus LD− GBM tumour areas captured by LCM (n = 5 patients), and in primary GBM 3D (LD + ) versus 2D (LD−) cultures (established from n = 3 patients). b, Schematic illustration of key genes involved in CSPG biosynthesis. c and d, Fluorescence imaging of LDs and CS (c), and CA9 and CS (d) in the indicated GBM 3D cultures (representative of n> 10 spheroids/culture). Scale bars: 200 and 20 μm (zoomed). e and f, Accumulation of the acidic pH reporter TAMRA-conjugated pHLIP in U87MG cells at pH 6.0 and 6.4 (and pH 7.4 as control) quantified in (e) by IncuCyte (mean pHLIP integrated intensity per cell ± s.e.m., n = 10, 2 independent experiments) and visualized by confocal imaging (f) at pH 6.0 or 7.4 (representative from 2 independent experiments). Scale bars: 10 µm. g and h, IncuCyte images (g) of the acidic compartment in patient-derived U3054MG and U3047MG 3D cultures by TAMRA-conjugated pHLIP (at 5 and 10 days) (representative of n = 16 spheroids/condition), and corresponding quantification (h) (mean pHLIP integrated intensity/spheroid ± s.e.m., n = 16 spheroids/condition, 2 independent experiments). Scale bars: 300 µm. i, Confocal imaging shows central accumulation of TAMRA-conjugated pHLIP, overlapping with the acidic marker CA9 in sections from U3054MG 3D cultures (representative of n > 10 spheroids). Scale bars: 200 μm. j, Fluorescence imaging of LDs and CS in freshly resected GBM PDCs (n = 3 individual tumours). Scale bars: 10 μm. k, Fluorescence imaging of LDs and CS expression in tumour sections from LGG (top), and GBM (bottom) (representative of n ≥ 3 patients/group). Scale bars: 500 µm. l, H&E and matching fluorescence images of tumour sections from mice xenografted with the patient-derived GBM culture U3054MG, highlighting perinecrotic region (upper row; CA9+/CD31−/LD+/CS+) and vascular region (lower row; CA9−/CD31+/LD−/CS+) (representative of n = 3 individual tumours). Scale bars: 500 and 100 μm (zoomed). N, necrosis. CS was visualized via CS-56 antibody (c) or scFv clone GD3G7 (d, j, k and l). Data in (e, g and h) was acquired by IncuCyte live-cell imaging. Significance was determined one-way ANOVA (e) or two-sided t-test (h). Illustration (a and b) was created with Biorender.com.