Abstract
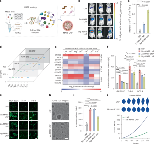
The application of messenger RNA (mRNA) beyond infectious diseases is challenged by inefficient protein production. Whereas the engineering of secondary mRNA structures has been shown to increase mRNA half-life, it remains unclear whether tertiary mRNA structures influence therapeutic efficacy. Here we develop a metal-ion-assisted RNA folding (MARF) strategy and show that, when delivered with lipid nanoparticles (LNPs), specific metals promote mRNA folding architectures that result in the amplification of protein expression by up to 7.3-fold compared with control mRNA. This effect is due to altered mechanical interactions between the mRNA LNPs and the surrounding biosystem, resulting in enhanced intracellular processing and prolonged retention of delivered mRNA in targeted cells. Administered intravenously, MARF LNPs achieved effective and durable genome editing of the clinically relevant Pcsk9 gene through treatment with a single dose. Overall, this work provides a new MARF technology for more effective mRNA therapy and highlights the potential of mechanical cues in designing nanoparticles for improved mRNA delivery.
This is a preview of subscription content, access via your institution
Access options
Access Nature and 54 other Nature Portfolio journals
Get Nature+, our best-value online-access subscription
$32.99 / 30 days
cancel any time
Subscribe to this journal
Receive 12 print issues and online access
$259.00 per year
only $21.58 per issue
Buy this article
- Purchase on SpringerLink
- Instant access to the full article PDF.
USD 39.95
Prices may be subject to local taxes which are calculated during checkout






Similar content being viewed by others
Data availability
The data that support the conclusions of this Article are available in Figs. 1–6 and the Supplementary Information. The raw transcriptome data used in this paper are available from the NCBI Sequence Read Archive under accession number PRJNA1364180. Source data are provided with this paper.
Code availability
The custom code for the MD simulations on the tension test, endocytosis and translocation of the LNP is available via GitHub at https://github.com/youliangzhu/pygamd-v1. The input files for the MD simulations and the custom code for property analysis are available via GitHub at https://github.com/youliangzhu/lnp.
References
Kulkarni, J. A. et al. The current landscape of nucleic acid therapeutics. Nat. Nanotechnol. 16, 630–643 (2021).
Mendes, B. B. et al. Nanodelivery of nucleic acids. Nat. Rev. Methods Primers 2, 24 (2022).
Hogan, M. J. & Pardi, N. mRNA vaccines in the COVID-19 pandemic and beyond. Annu. Rev. Med. 73, 17–39 (2022).
Liu, C. et al. mRNA-based cancer therapeutics. Nat. Rev. Cancer 23, 526–543 (2023).
Kowalski, P. S., Rudra, A., Miao, L. & Anderson, D. G. Delivering the messenger: advances in technologies for therapeutic mRNA delivery. Mol. Ther. 27, 710–728 (2019).
Karikó, K., Buckstein, M., Ni, H. & Weissman, D. Suppression of RNA recognition by Toll-like receptors: the impact of nucleoside modification and the evolutionary origin of RNA. Immunity 23, 165–175 (2005).
Rohner, E., Yang, R., Foo, K. S., Goedel, A. & Chien, K. R. Unlocking the promise of mRNA therapeutics. Nat. Biotechnol. 40, 1586–1600 (2022).
Rappaport, A. R. et al. Low-dose self-amplifying mRNA COVID-19 vaccine drives strong protective immunity in non-human primates against SARS-CoV-2 infection. Nat. Commun. 13, 3289 (2022).
Qu, L. et al. Circular RNA vaccines against SARS-CoV-2 and emerging variants. Cell 185, 1728–1744 (2022).
Leppek, K. et al. Combinatorial optimization of mRNA structure, stability, and translation for RNA-based therapeutics. Nat. Commun. 13, 1536 (2022).
Zhang, H. et al. Algorithm for optimized mRNA design improves stability and immunogenicity. Nature 621, 396–403 (2023).
Wojtczak, B. A. et al. 5′-Phosphorothiolate dinucleotide cap analogues: reagents for messenger RNA modification and potent small-molecular inhibitors of decapping enzymes. J. Am. Chem. Soc. 140, 5987–5999 (2018).
Holtkamp, S. et al. Modification of antigen-encoding RNA increases stability, translational efficacy, and T-cell stimulatory capacity of dendritic cells. Blood 108, 4009–4017 (2006).
Chen, H. et al. Chemical and topological design of multicapped mRNA and capped circular RNA to augment translation. Nat. Biotechnol. https://doi.org/10.1038/s41587-024-02393-y (2024).
Chen, H. et al. Branched chemically modified poly(A) tails enhance the translation capacity of mRNA. Nat. Biotechnol. https://doi.org/10.1038/s41587-024-02174-7 (2024).
Liu, B. & Pan, T. Building better mRNA for therapeutics. Nat. Biotechnol. https://doi.org/10.1038/s41587-024-02424-8 (2024).
Pyle, A. Metal ions in the structure and function of RNA. J. Biol. Inorg. Chem. 7, 679–690 (2002).
Tinoco, I. Jr & Bustamante, C. How RNA folds. J. Mol. Biol. 293, 271–281 (1999).
Draper, D. E., Grilley, D. & Soto, A. M. Ions and RNA folding. Annu. Rev. Biophys. Biomol. Struct. 34, 221–243 (2005).
Palermo, G. et al. Catalytic metal ions and enzymatic processing of DNA and RNA. Acc. Chem. Res. 48, 220–228 (2015).
Zoroddu, M. A. et al. The essential metals for humans: a brief overview. J. Inorg. Biochem. 195, 120–129 (2019).
Guth-Metzler, R. et al. Goldilocks and RNA: where Mg2+ concentration is just right. Nucleic Acids Res. 51, 3529–3539 (2023).
Bepperling, A. & Richter, G. Determination of mRNA copy number in degradable lipid nanoparticles via density contrast analytical ultracentrifugation. Eur. Biophys. J. 52, 393–400 (2023).
Smith, S. B., Cui, Y. & Bustamante, C. Overstretching B-DNA: the elastic response of individual double-stranded and single-stranded DNA molecules. Science 271, 795–799 (1996).
Baumann, C. G., Smith, S. B., Bloomfield, V. A. & Bustamante, C. Ionic effects on the elasticity of single DNA molecules. Proc. Natl Acad. Sci. USA 94, 6185–6190 (1997).
Li, Z. et al. Mechano-boosting nanomedicine antitumour efficacy by blocking the reticuloendothelial system with stiff nanogels. Nat. Commun. 14, 1437 (2023).
Hui, Y. et al. Nanoparticle elasticity regulates phagocytosis and cancer cell uptake. Sci. Adv. 6, eaaz4316 (2020).
Zhu, Y.-L. et al. GALAMOST: GPU-accelerated large-scale molecular simulation toolkit. J. Comput. Chem. 34, 2197–2211 (2013).
Uroda, T. et al. Visualizing the functional 3D shape and topography of long noncoding RNAs by single-particle atomic force microscopy and in-solution hydrodynamic techniques. Nat. Protoc. 15, 2107–2139 (2020).
Miao, L. et al. Synergistic lipid compositions for albumin receptor mediated delivery of mRNA to the liver. Nat. Commun. 11, 2424 (2020).
Sun, J. et al. Tunable rigidity of (polymeric core)–(lipid shell) nanoparticles for regulated cellular uptake. Adv. Mater. 27, 1402–1407 (2015).
Shen, Z., Ye, H., Yi, X. & Li, Y. Membrane wrapping efficiency of elastic nanoparticles during endocytosis: size and shape matter. ACS Nano 13, 215–228 (2019).
Yi, X., Shi, X. & Gao, H. Cellular uptake of elastic nanoparticles. Phys. Rev. Lett. 107, 098101 (2011).
Wang, Y. et al. Age-associated disparity in phagocytic clearance affects the efficacy of cancer nanotherapeutics. Nat. Nanotechnol. 19, 255–263 (2024).
Wang, L. et al. Primary human breast cancer-associated endothelial cells favor interactions with nanomedicines. Adv. Mater. https://doi.org/10.1002/adma.202403986 (2024).
Pattipeiluhu, R. et al. Anionic lipid nanoparticles preferentially deliver mRNA to the hepatic reticuloendothelial system. Adv. Mater. 34, 2201095 (2022).
Nakamura, T., Yamada, K., Sato, Y. & Harashima, H. Lipid nanoparticles fuse with cell membranes of immune cells at low temperatures leading to the loss of transfection activity. Int. J. Pharm. 587, 119652 (2020).
Chatterjee, S., Kon, E., Sharma, P. & Peer, D. Endosomal escape: a bottleneck for LNP-mediated therapeutics. Proc. Natl Acad. Sci. USA 121, e2307800120 (2024).
Akinc, A. et al. Targeted delivery of RNAi therapeutics with endogenous and exogenous ligand-based mechanisms. Mol. Ther. 18, 1357–1364 (2010).
Ezratty, E. J., Bertaux, C., Marcantonio, E. E. & Gundersen, G. G. Clathrin mediates integrin endocytosis for focal adhesion disassembly in migrating cells. J. Cell Biol. 187, 733–747 (2009).
Yin, B. et al. Sub-10 nm substrate roughness promotes the cellular uptake of nanoparticles by upregulating endocytosis-related genes. Nano Lett. 21, 1839–1847 (2021).
Wang, X. et al. Preparation of selective organ-targeting (SORT) lipid nanoparticles (LNPs) using multiple technical methods for tissue-specific mRNA delivery. Nat. Protoc. 18, 265–291 (2023).
Cheng, Q. et al. Selective organ targeting (SORT) nanoparticles for tissue-specific mRNA delivery and CRISPR–Cas gene editing. Nat. Nanotechnol. 15, 313–320 (2020).
Acknowledgements
We thank L. Peng (CNRS) for insightful comments on our manuscript. We thank J. Li (NUS) for help with the cyro-TEM scanning, L. Jianping (NUS) for help with the animal study, Z. Zhang (NUS) for the reagent contribution, L. Ding (NUS) for data analysis of the RNA sequencing, Z. Li (Jilin University) for help with all-atom MD simulations, T. T. Thi (NUS) for providing the eGFP reporter cell line and R. Liu (NUS) for help with the polysome profiling. This research is financially supported by the National University of Singapore (NUHSRO/2022/005/Startup/02 (Q.N.)), the Singapore Ministry of Education (NUHSRO/2022/068/T1/Seed-Mar/04 (Q.N.) and MOE-T2EP30124-0009 (Q.N.)), the National Medical Research Council (MOH-001241-00 (Q.N.)), A*Star NATi N05 (H24J5a0072 (Q.N.)) and the National Natural Science Foundation of China (22171103 (G.W.)).
Author information
Authors and Affiliations
Contributions
Q.N. and X.C. conceived the project. Q.N. and Y.Z. designed the experiments. B.Y., B.L., M. Zhao, Y.C., X. Zhao, D.T.E.-J., Y.W., S.J., X.T. and X. Zhang performed most of the experiments, and B.Y., B.L., M. Zhang, Y.S., B.X., J.Y., G.W., Z.L., M.L., H.Y. and L.Z. analysed and interpreted the data. Q.N., X.C. and Y.Z. supervised this work. B.Y., B.L. and Q.N. wrote the paper with comments from all authors.
Corresponding authors
Ethics declarations
Competing interests
X.C. is a co-founder of and holds shares in Yantai Lannacheng Biotechnology Co., Ltd. All other authors have no competing interests.
Peer review
Peer review information
Nature Nanotechnology thanks the anonymous reviewers for their contribution to the peer review of this work.
Additional information
Publisher’s note Springer Nature remains neutral with regard to jurisdictional claims in published maps and institutional affiliations.
Extended data
Extended Data Fig. 1 Cell aging impacts endocytosis of MARF LNP.
a, Heatmap of the relative expression of significantly regulated genes relevant to endocytosis in Mn-MARF LNP and LNP treated groups. (n = 3, p < 0.05, |log2FoldChange| > 1). b, Gene ontology (GO) enrichment analysis of the genes related to endocytosis from the comparison between the gene expression in Mn-MARF LNP and LNP treated groups. c, Relative cellular uptake of LNP and Mn-MARF LNP in HEK-293T cells in the presence of different inhibitors. d, GO enrichment analysis of the genes related to cell aging from the comparison between gene expression in effective and non-effective HEK-293T cell lines. e, Gene set enrichment analysis (GSEA) for comparing non-effective cells and effective cells for cell aging and cellular senescence. f, g, Representative fluorescence microscopy images (f) and relative signal intensity (g) of eGFP in aging cells or non-aging HEK-293T cells administrated with LNP and Mn-MARF LNP (n = 3). Scale bar: 50 μm. Data are shown as mean ± s.e.m. (n = 3 biologically independent samples). Statistical significance was tested using two-tailed unpaired t-test among groups. N.S., not significant, *P < 0.05, **P < 0.01, ***P < 0.001, and ****P < 0.0001.
Supplementary information
Supplementary Information (download PDF )
Supplementary Methods, Figs. 1–49 and refs. 1–13.
Supplementary Video 1 (download MOV )
Deformable nanoparticle model with a cross-linked network to model the mechanical response under stretching for MARF LNPs.
Supplementary Video 2 (download MOV )
Deformable nanoparticle model with a cross-linked network to model the mechanical response under stretching for control LNPs.
Supplementary Video 3 (download MOV )
Coarse-grained MD simulations depicting the internalization process of Mn-MARF LNPs into cells.
Supplementary Video 4 (download MOV )
Coarse-grained MD simulations depicting the internalization process of control LNPs into cells.
Supplementary Video 5 (download MOV )
Coarse-grained MD simulations of MARF LNPs being pulled through a small, rigid pore (20 nm).
Supplementary Video 6 (download MOV )
Coarse-grained MD simulations of control LNPs being pulled through a small, rigid pore (20 nm).
Supplementary Data 1 (download XLSX )
Statistical source data for Supplementary Figs. 1, 2, 4–16, 18, 19, 21, 22, 24–41, 44–46 and 48.
Source data
Source Data Figs. 2–6 and Extended Data Fig. 1 (download XLSX )
Statistical source data.
Rights and permissions
Springer Nature or its licensor (e.g. a society or other partner) holds exclusive rights to this article under a publishing agreement with the author(s) or other rightsholder(s); author self-archiving of the accepted manuscript version of this article is solely governed by the terms of such publishing agreement and applicable law.
About this article
Cite this article
Yang, B., Li, B., Zhu, Y. et al. Rational design of rigid mRNA folding architecture to enhance intracellular processing and protein production. Nat. Nanotechnol. 21, 407–418 (2026). https://doi.org/10.1038/s41565-025-02114-9
Received:
Accepted:
Published:
Version of record:
Issue date:
DOI: https://doi.org/10.1038/s41565-025-02114-9


