Abstract
The expansion of the sheep model in research represents an attractive and economically beneficial academic reason for investigations in sheep echocardiography. The present study aimed to evaluate the clinical and echocardiographic parameters in Dorper lambs during the developmental period. Emphasis was placed on the use of the species in translational research for the echocardiographic diagnosis of congenital heart diseases, which can contribute to improvements in interventionist techniques. Ten Dorper lambs were evaluated at the following time points: 24 h after birth and 7, 14, 21, 30, 60, 90 and 120 days of age. Clinical parameters were compiled, and echocardiogram records were obtained without sedation. Rectal temperature was lower on the first day compared to the others. From 21 days of life, there was a reduction in HR, with differences between time points. Mean and systolic blood pressure differed, with the highest values at 90 and 120 days of age. The thickness of the interventricular septum in diastole (IVSd) increased as age progressed, with the highest value at 120 days of age, and the same occurred for LVIDd (left ventricle internal diameter in diastole), LVFWd (left ventricular free wall thickness in diastole), IVSs (interventricular septum thickness in systole), LVIDs (left ventricle internal diameter in systole) and LVFWs (left ventricular free wall thickness in systole). There were differences in the size of the LA, Ao and LA/Ao ratio, which were greater at 90 days and 120 days of age. Echocardiographic changes accompany the development of lambs, where changes in echocardiographic parameters are evident with advancing age. The echocardiographic measurements in lambs obtained in the present study are similar to those in newborns.
Similar content being viewed by others
Introduction
Echocardiography is a noninvasive method for assessing the hearts of sheep and goats1. However, it is a technique that has been used more frequently in the evaluation of clinical conditions in small animals and in horses2,3,4 to assess changes in wall thickness, chamber size, appearance and valve function5,6. Studies have addressed cardiac dimensions in fetuses and lambs and cardiac function when valve implants are performed experimentally in the species7,8,9. Goats and sheep have been used as a model for heart failure (HF)10,11, and doxorubicin-induced HF is considered a reproducible and stable model species, a fact that is relevant for the study of chronic HF12,13.
Echocardiographic assessments in large animals were introduced by Pipes in the late 1970s, and echocardiographic images reproducible in horses14, cattle15,16 and pigs17 have been documented. Similar to swine, a recognized model for countless research efforts, sheep species have been increasingly used in cardiovascular research to evaluate cardiovascular parameters, including conduction pathways, fetal circulation, chronic heart disease and valve apparatuses18. This expansion of the sheep model represents an attractive and economically beneficial academic reason for investigations in sheep echocardiography19. However, the echocardiographic dimensions in lambs during development have not yet been well elucidated.
The development of animal models of cardiovascular diseases has provided new discoveries about the pathophysiological mechanisms of these diseases, contributing to the development of new therapies. Sheep are considered suitable for translational research, as the sheep heart is similar to the human heart and its dimensional and functional parameters are within human reference values. The objectives of the present study were to evaluate the clinical and echocardiographic parameters and their modifications in Dorper lambs 24 h after birth until 120 days of age, which may allow early identification of congenital heart disease by echocardiographic examination and contribute to interventional techniques.
Materials and methods
Study location
The present study was conducted at the Vale Verde site, Estrela do Vale hut, located in the city of Botucatu-SP, district of Rubião Júnior, latitude S-22.902107 and longitude W-48.516534, from December 2017 to April 2018. It was carried out according to animal welfare standards approved by the Ethics Committee on the Use of Animals of the Faculty of Veterinary Medicine and Zootechnics of the Universidade Estadual Paulista “Júlio de Mesquita Filho”, Botucatu Campus, under protocol CEUA-0174/2016 and was authorized by the owner who consented to the experimental plan and procedures performed.
Animals
Ten Dorper lambs (Ovis aries) were evaluated from 24 h after birth to 120 days of age. For the evaluation of the lambs, they were separated from the mothers for data collection, and no anesthetic protocol was performed. Restraint was performed manually.
The clinical parameters compiled were HR (heart rate, beats per minute—0 bpm), respiratory frequency (RF) (movements per minute—mpm), rectal temperature (°C), capillary filling time (CFT), mucosal staining, systolic blood pressure (SBP), mean (MAP) and diastolic blood pressure (DBP) by the oscillometric method PetMap® (Blood Pressure Measurement Device. Ramsey Medical, Inc. Patent No. D531, 313 S), validated in the species according to Ulian et al. 201620.
Assessments were performed in the morning, except on the first day after birth, which were performed 24 h after birth. The significance level was established at 0.05.
Blood pressure measurement
The pressure measurement was performed on the left thoracic limb, not exceeding the dotted lines indicated on the cuff itself, and for the accuracy of the reading, the appropriate choice of the cuff was made according to the size of the animal's limb (40% of the limb diameter). The method detects the arterial pulse by means of oscillations and records HR values.
Echocardiogram
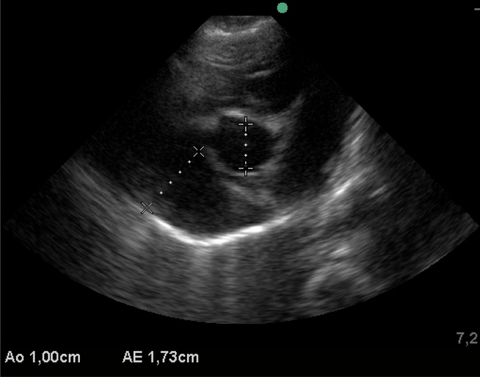
The echocardiographic examination was obtained with the use of an ultrasound device (M-turbo Sonosite model) with a Doppler function and 2–8 MHz multifrequency sectorial transducer in 2D mode. In diastole, through the right parasternal window, the thickness of the interventricular septum (IVSd), left ventricle internal diameter (LVIDd) and thickness of the left ventricular free wall (LVFWd) were analyzed. In systole, interventricular septum thickness (IVSs), left ventricle internal diameter (LVIDs) and left ventricular free wall thickness (LVFWs) were analyzed. The left ventricular fraction shortening (LVFS), ejection fraction (EF), left atrial diameter (LA) in systole and diastolic aorta (Ao), and left atrium/aorta ratio (LA/Ao) were also compiled, along with pulmonary flow velocity (pul. velocity) and pulmonary pressure gradient (pres. grd.). The following formula was used to calculate LVFS (%): (LVIDd—LVIDs/LVIDd) × 100. It was not possible to attach the electrocardiograph´s cable to perform the echocardiogram, so measurements were taken in systole with the ventricle at its smallest diameter and in diastole with its largest diameter. The left atrium was measured at its greatest diameter at the end of systole. The means were calculated based on three measurements, all taken by the same operator (ASCA).
Statistical analysis
The results are shown with the mean, standard deviation, minimum and maximum values obtained. For the analysis of the parameters, the normality test employed was Kolmogorov‒Smirnov; for the analysis of serial recordings, the Friedmann test was used. Friedmann's test was also used to assess possible significant differences between specific periods chosen from 24 h after birth to 21 days of age.
Ethical approval
This study was conducted according to the animal well-being guidelines and approved by the Ethics Commission on Animal Use (CEUA, Comissão de Ética no Uso de Animais) of the School of Veterinary Medicine and Animal Science at Universidade Estadual Paulista “Júlio de Mesquita Filho”, Botucatu Campus, under protocol CEUA-0174/2016. The owners of the animals consented to the experimental plan and to the procedures performed. The project is in accordance with the precepts of Law No. 11.794, October 8, 2008, Decree No. 6.899, July 15, 2009, and the rules issued by the National Council for the Control of Animal Experimentation - CONCEA. The sheep used in this experiment belong to Sítio Vale Verde, Cabanha Estrela do Vale.
Results
Clinical parameters
Table 1 and Fig. 1 illustrate the clinical examination parameters in lambs from 24 h after birth until 120 days of age. For the HR variable obtained by clinical examination, there was a significant difference between time points when HR was reduced from 21 days of age (HR—1 day: 173.00 ± 44.10, 7 days: 261.00 ± 37.34, 14 days: 170.00 ± 25.70, 21 days: 161.00 ± 36.35—P = 0.0001). There was no difference regarding RF. The rectal temperature differed significantly between time points (1 day: 38.30 ± 3.12, 7 days: 39.7 ± 0.50, 14 days: 39.60 ± 0.51, 21 days: 39.60 ± 0.30—P = 0.0001), and after 7 days, there was a gradual increase, with the highest values observed at 60 (40.20 ± 0.53 °C) and 120 days of age (40.20 ± 0.40 °C).
Mean blood pressure differed between time points (1 day: 126.67 ± 25.79, 7 days: 120.83 ± 19.10, 14 days: 113.33 ± 12.85, 21 days: 118.75 ± 22.97—P = 0.026), with the highest values at 90 (131.67 ± 28.31 mmHg) and 120 days (138.75 ± 32.48 mmHg) of age, and for systolic blood pressure, there was a significant difference between 24 h after birth and at 7 and 21 days and a significant difference between 7 days at 21 days and 14 days at 21 days of age (1 day: 162.08 ± 31.15, 7 days: 130.42 ± 26.06, 14 days: 130.83 ± 20.09, 21 days: 154.58 ± 32.08—P = 0.002). FC Petmap® did not differ significantly between 7 and 21 days, with a difference between 1 and 7 days; 14 days differed between 7 and 21 days (1 day: 180.00 ± 44.44, 7 days: 168.00 ± 44.22, 14 days: 182.00 ± 29.58, 21 days: 155.00 ± 36.31—P = 0.031).
Echocardiographic parameters
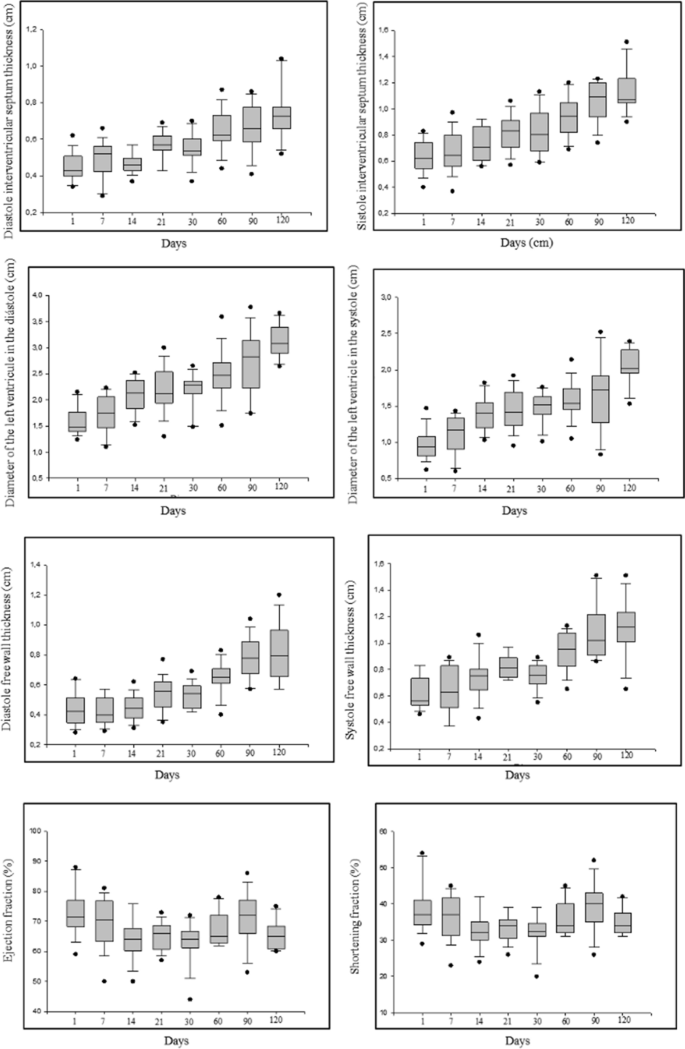
Table 2 and Fig. 2 illustrate the echocardiographic parameters in lambs from 24 h of birth to 120 days of age. The thickness of the IVSd gradually increased as age progressed (1 day: 0.46 ± 0.08, 7 days: 0.48 ± 0.10, 14 days: 0.46 ± 0.05, 21 days: 0.58 ± 0.07—P = 0.0001), with the highest value at 120 days of age (0.75 ± 0.15), and the same occurred for LVIDd (1 day; 1.62 ± 0.27, 7 days: 1.77 ± 0.33, 14 days: 2.15 ± 0.28, 21 days: 2.29 ± 0.32—P = 0.0001), LVFWd (1 day: 0.45 ± 0.12, 7 days: 0.43 ± 0.09, 14 days: 0.45 ± 0.09, 21 days: 0.56 ± 010—P = 0.0001), IVSs (1 day: 0.64 ± 0.12, 7 days: 0.66 ± 015, 14 days: 0.73 ± 0.13, 21 days: 0.84 ± 0.10—P = 0.0001), LVIDs (1 day: 0.96 ± 0.20, 7 days: 1.10 ± 0.26, 14 days: 1.39 ± 0.26, 21 days: 1.45 ± 0.27—P = 0.0001) and LVFWs (1 day: 0.63 ± 0.13, 7 days: 0.67 ± 0.14, 14 days: 0.76 ± 0.14, 21 days: 0.84 ± 0.09—P = 0.0001), with a significant difference for the referred parameters in different age groups.
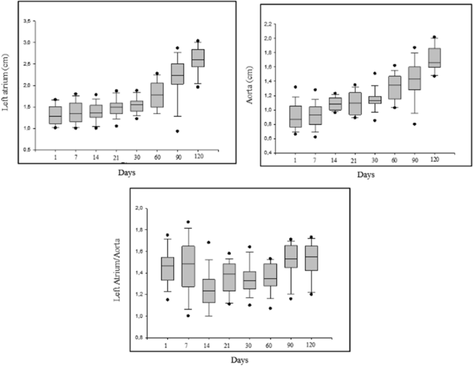
There was a significant difference for the size of the LA, Ao and LA/Ao ratio, which was greater at 90 (LA: 2.30 ± 0.29, LA/Ao: 1.55 ± 0.13) days and 120 (LA: 2.59 ± 0.30, LA/Ao: 1.52 ± 0.16) days of age. Figure 3 shows echocardiographic evaluation, M-mode, left ventricular diameter end-diastolic and end-systolic. EF and LVFS differed during the age periods, with the lowest values at 14 and 30 days of age for both parameters. The size of the LA and diameter of the aorta differed significantly at different time points analysed, with the LA dimension gradually increasing with age. There was also a significant difference in the LA/Ao ratio (1 day: 1.47 ± 0.18, 7 days: 1.40 ± 0.24, 14 days: 1.28 ± 0.18, 21 days: 1.35 ± 0.13—P = 0.0001). There was no difference in the time points analyzed regarding flow and pulmonary velocity and their respective pressure gradients. Figure 4 shows the echocardiographic evaluation, two-dimensional mode, left atrium/aorta ratio.
In the evaluation of echocardiographic parameters at the specific time points chosen 24 h after birth until 21 days of age, there were significant differences in diastole: IVS differed between all the mentioned time points, except between 7 and 21 days, which did not differ. There was a difference in LVIDd between all those time points, except between 14 and 21 days; for LVFW, there was a difference between 24 h after birth and 21 days, 7 days and 21 days, and 14 days and 21 days of age. In systole, the IVS differed between all the referred time points except between 24 h after birth and 7 days of age, LVIDs also differed between all the referred time points except between 14 and 21 days, and LVFW differed between all the different time points.
EF (1 day: 72.00 ± 7.42, 7 days: 69.00 ± 8.18, 14 days: 64.00 ± 6.99, 21 days: 65.00 ± 4.67—P = 0.010) and LVFS (1 day: 38.00 ± 6.68, 7 days: 36.56 ± 5.96, 14 days: 33.00 ± 5.25, 21 days: 33.00 ± 3.63—P = 0.029) showed significant differences between all time points mentioned, except between 14 and 21 days. The size of the LA differed between 24 h after birth and 21 days, 7 days and 21 days, and 14 and 21 days. The diameter of the aorta differed between all referred time points (24, 7, 14 and 21 days), except between 24 h and 7 days and between 14 and 21 days. The LA/Ao ratio differed between all of the aforementioned time points except between 24 h after birth and 7 days of age.
Discussion
This study has demonstrated for the first time longitudinal cardiovascular parameters, including cardiac structural and functional parameters, in Dorper lambs.
Clinical parameters
HR and blood pressure
We observed changes in HR as age progressed, probably as a result of increased vagal activity as development proceeds. After 21 days, there was a reduction in HR in lambs. Siimes et al. 199021 reported that in newborns, both divisions of the SNA regulate HRV, and subsequently, there is a predominance of vagal activity because of the maturation of the SNA, where reductions in HR in lambs during development reflect the development of the ANS. Since blood pressure values are directly related to HR, despite the reduction in HR at 21 days, the same did not occur with blood pressure values, where we noticed increases in pressures as development occurred. This fact may be related to HR variations during the day and to the handling of animals.
We observed higher blood pressure values in lambs 2 h after birth and in the first 24 h after birth. The ovine fetus has been useful as a model for studying the maturation of fetal organs, as it has similarities in the maturational trajectory with humans22, which is partly due to the similar peak in cortisol production in the days before birth. These findings reflect the cardiovascular adaptations associated with birth and the transition to extrauterine life23.
The output doubles approximately after birth as the ventricular circulation is modified from a parallel (fetal) circuit to a series circuit (infant/adult). Systolic blood pressure also increases at birth24, partly because of the removal of the low-resistance placental unit, increased systemic vascular resistance and circulating vasoactive hormones, including cortisol and catecholamines. These adaptations are believed to provide an increase in metabolic demand and processes that regulate breathing and thermogenesis, which is reflected by changes in blood flow to certain organs during this transition25.
The rectal temperature was elevated after 60 days of age in lambs, and the highest values of MAP and SBP were observed after 21 days of age. The variations in pressure values found in our study may be due to variations in HR throughout the day. Kovács et al. 201626, in their study aiming to analyze circadian rhythm in cattle, observed an evolution throughout the day of HR in the summer, starting with an extreme increase from 7:00 to 17:00 h and decreasing from 18:00.
The authors reported that SNA activity showed a circadian rhythm in summer but not in winter, where they observed an increase in sympathetic tone during the day and a considerable increase in parasympathetic tone during the night in summer. The authors believe that the reduction in sympathetic activity from the end of the afternoon with a parallel increase in parasympathetic tone would be associated with a reduction in ambient temperature in the summer. Thus, the high values of HR, blood pressure and temperature can be secondary to greater sympathetic activation during the day, where our collections were performed only during that period.
Echocardiographic parameters
LVID, IVS, LVFW
The echocardiographic parameters showed changes as the lambs age, where there was a progressive increase in them. A similar phenomenon occurs in the human species, demonstrating that development advances, and consequently, the body surface area increases. There are changes in echocardiographic parameters, and this factor needs to be considered for the analysis in lambs.
As in our study, the studies by Poser et al. 201327 and Lago et al. 200928 in lambs during growth showed that age group was a significant factor for echocardiographic parameters and that changes in echocardiography can occur up to one year of life. LVIDd and LVIDs progressively increased with age, and the same occurred for LVFW and IVS. The progressive changes in echocardiographic parameters in our study may also be due to the development of cardiomyocytes. After birth, the heart undergoes intense growth and remodeling driven by cardiomyocyte hyperplasia29, increased density and organization of myofibrils, maturation of the mechanical and electrical coupling between cardiomyocytes and the appearance of binucleated cells30.
The influence of age itself should be considered to a lesser extent; however, as age advances, the body surface area increases, and the changes in the echocardiographic parameters observed in the present study are related to the body surface area, as mentioned by Knutsen et al. (1989)31, which proved that the body surface area should be considered for the interpretation of echocardiographic parameters in men and women.
Doppler study
In our study, no significant effect of development was found for parameters derived from Doppler.
EF and LVFS
The EF obtained by echocardiogram was high, where such findings may be due to hemodynamic changes because of the transition from fetal to neonatal life. During the first months of life, there is a reduction in the concentration of hemoglobin, called physiological anemia, as it occurs in the absence of any recognized nutritional deficiencies. This reduction is offset by the greater extraction of O2 from hemoglobin. Simultaneously, with these hematological changes, there are high metabolic demands imposed by the extrauterine environment. Therefore, for tissue oxygenation to remain adequate, there must be an improved O2 extraction and an increase in cardiac output32. We believe that there was no difference in flow assessments in our study due to physiological adaptations that occur proportionally to development, but studies are needed to evaluate and compare hematological and echocardiographic parameters in lambs during development.
LVFS and EF were higher at 24 h after birth than at all evaluated time points. In the periods analyzed during lamb development by Poser et al. 201327, there was variation in the behavior of the systolic function indices (LVFS and EF), but there was no significant difference. In our study, there were differences between the time points evaluated, a fact that did not occur in the study of the referred authors, who evaluated the animals under the effect of sedation. We believe that the effect of the anesthetic protocol contributes to this result; as development progresses in lambs, the systolic function indices stabilize after 60 days of age. In addition, the effect of anesthetic protocols should also be considered in addition to age for the analysis of echocardiographic parameters in lambs.
The ovine species has been widely used in cardiovascular research because of its characteristics, which are similar to those of the human heart33. The clinical evaluation of lambs during development and the use of echocardiography reflect the innumerable changes that occur during this period and provide relevant information for the species, which can contribute to early illustration of physiological changes that may limit the development of the species and its use in the areas of production and reproduction.
The echocardiogram also proved to be effective in the present study to illustrate the hemodynamic changes that occur during development, which contribute to the early diagnosis of congenital heart disease, enabling the use of the species in research aimed at interventional techniques prior to the development of clinical signs.
Study limitations
This study has some limitations. The relatively small sample size of 10 animals may have influenced our results, especially with regard to nonsignificant data. Echocardiographic analyses were also performed using simple methods, but analyses employing more advanced modalities of echocardiography could contribute with greater magnitude to the assessment of the influence of development on echocardiographic parameters. Additionally, the assessment of body surface area was not considered in the present study for the evaluation of echocardiographic parameters, which could illustrate more clearly the influence of body size on the exam. It was not possible to attach the electrocardiogram cable to perform the echocardiogram, which is also a limitation of the study.
Conclusions
During development, the cardiovascular system undergoes numerous changes, which can be reproduced by systemic blood pressure and visualized by echocardiography in lambs. The species is widely used in medical research since echocardiographic parameters change from birth and progress during growth and are similar to those in newborns. The sheep species proved to be useful to reproduce such parameters and to investigate heart diseases that may occur in this phase, allowing advances in diagnosis and intervention.
Data availability
The datasets are available from the corresponding author on reasonable request.
Abbreviations
- HR:
-
Heart rate
- HF:
-
Heart failure
- RF:
-
Respiratory frequency
- IVSd:
-
Interventricular septum in diastole
- LVIDd:
-
Left ventricle internal diameter in diastole
- LVFWd:
-
Left ventricular free wall in diastole
- IVSs:
-
Interventricular septum systole
- LVIDs:
-
Left ventricle internal diameter in systole
- LVFWs:
-
Left ventricular free wall in systole
- CFT:
-
Capillary filling time
- SBP:
-
Systolic blood pressure
- MAP:
-
Mean arterial pressure
- DBP:
-
Diastolic blood pressure
- LVFS:
-
Left ventricular fraction shortening
- EF:
-
Ejection fraction
- LA:
-
Left atrium
- Ao:
-
Aorta
- Pres. grd.:
-
Pressure gradient
- mpm:
-
Movements per minute
- bpm:
-
Beats per minute
References
Leroux, A. A. et al. Two-dimensional and M-mode echocardiographic reference values in healthy adult Saanen goats. Vet. Rec. 170, 1–6 (2012).
Stevens, K. B. et al. Effect of left-sided valvular regurgitation on mortality and causes of death among a population of middle-aged and older horses. Vet. Rec. 164, 6–10 (2004).
Al-Haidar, A. et al. Reference values of two-dimensional and M-mode echocardiographic measurements as a function of body size in various equine breeds and in ponies. J. Vet. Cardiol. 19, 492–501 (2007).
Schwarzwald, C. C. Equine echocardiography. Vet. Clin. North. Am. Equine. Pract. 35, 43–64 (2019).
Hong, T. et al. Reproducible echocardiography in juvenile sheep and its application in the evaluation of a pulmonary valve homograft implant. Contemp. Top. 39, 20–25 (2000).
Kirberger, R. M. Pulsed wave Doppler echocardiographic evaluation of intracardiac blood flow in normal sheep. Res. Vet. Sci. 55, 189–194 (1993).
Hallowell, G. D., Potter, T. J. & Bowen, I. M. Reliability of quantitative echocardiography in adult sheep and goats. BMC Vet. Res. 8, 1–11 (2012).
Siefert, A. W. et al. In vitro mitral valve simulator mimics systolic valvular function of chronic ischemic mitral regurgitation ovine model. Ann, Thorac, Surg. 95, 825–830 (2013).
Kluin, J., Talacua, H., Smits, A.I.P.M., Emmert, M.Y., Brugmans, M.C.P., Fioretta, E.S., Dijkman, P.E., Söntjens, S.H.M., Duijvelshoff, R., Dekker, S., Broek, M.W.J.T.J., Lintas, V., Vink, A., Hoerstrup, S.P., Jansen, H.M., Dankers, P.Y.W., Baaijens, F.P.T. & Bouten, C.V.C. (2017) In situ heart valve tissue engineering using a bioresorbable elastomeric implant From material design to 12 months follow-up in sheep. Biomaterials 125, 101–117 (2017).
Jazwiec, T., Malinowski, M., Bush, J., Goehler, M., Quay, N., Parker, J., Langholz, D.E. & Timek, T.A. Right ventricular free wall stress after tricuspid valve annuloplasty in acute ovine right heart failure. J. Thorac. Cardiovasc. Surg. in press: 1–10 (2018).
Kim, D. H. et al. Ovine model of ischemic mitral regurgitation. Methods Mol. Biol. 1816, 295–308 (2018).
Borestein, N. et al. An ovine model of chronic heart failure: Echocardiographic and tissue doppler imaging characterization. J. Card. Surg. 21, 50–56 (2006).
Barka, N., Bourgoin, J., Grassl, E. & Cyr, J. A. S. Echocardiographic assessment of aortic valve annular and left ventricular outflow tract diameter in conscious and anesthetized adult sheep prior to prosthetic aortic valve implantation. The Adv. Cardiovasc. Dis. 10, 185–191 (2016).
Gehlen, H. & Bildheim, L. M. Speckle-tracking analysis of myocardial deformation in correlation to age in healthy horses. J. Vet. Sci. 19, 676–682 (2018).
Buczinski, S., Badillo, M., Bélanger. A.M. & Rezakhani, A. Echocardiographic findings of tricuspid blood cyst mimicking bacterial endocarditis in a dairy cow. J. Vet. Cardiol. 13, 283–286 (2011).
Buczinski, S., Tolouei, M., Rezakhani, A. & Tharwat, M. Echocardiographic measurement of cardiac valvular thickness in healthy cows, cows with bacterial endocarditis, and cows with cardiorespiratory diseases. J. Vet. Cardiol. 15, 253–261 (2013).
Gyöngyösi, M. et al. Porcine model of progressive cardiac hypertrophy and fbrosis with secondary postcapillary pulmonary hypertension. J. Transl. Med. 202, 1–15 (2017).
Moainie, S. L. et al. An ovine model of postinfarction dilated cardiomyopathy. Ann. Thorac. Surg. 74, 753–760 (2002).
Psaltis, P. J. et al. An ovine model of toxic, nonischemic cardiomyopathy- assessment by cardiac magnetic resonance imaging. J. Card. Fail. 14, 786–795 (2008).
Ulian, C. M. V. et al. Acurácia dos métodos oscilométrico (petmap®) e doppler para aferição indireta da pressão arterial em cordeiros. Anim. Sci. Bras. 17, 593–600 (2016).
Siimes, A. S. I. et al. Regulation of heart rate variation by the autonomic nervous system in neonatal lambs. Pediatr. Res. 27, 1–9 (1990).
Duan, A. Q. et al. Feasibility of detecting myocardial infartion in the sheep fetus using late gadolinium enhancement CMR imaging. J. Cardiovasc. Magn. Reson. 19, 1–11 (2017).
Antolic, A., Wood, C. E. & Keller-Wood, M. Use of radiotelemetry to assess perinatal cardiac function in the ovine fetus and newborn. Am. J. Physiol. Regul. Integr. Comp. Physiol. 313, R660–R668 (2017).
Samanta, M. et al. Blood pressure variation with gestational age and birth weight in Indian newborn. J. Trop. Pediatr. 61, 197–205 (2015).
Agnew, E. J., Ivy, J. R., Stock, S. J. & Chapman, K. E. Glucocorticoids, antenatal corticosteroid therapy and fetal heart maturation. J. Mol. Endocrinol. 61, 61–73 (2018).
Kovács, L., Kézér, F. L., Ruff, F. & Szenci, O. Cardiac autonomic activity has a circadian rhythm in summer but not in winter in nonlactating pregnant dairy cows. Physiol. Behav. 155, 56–65 (2016).
Poser, H. L. et al. Two-dimensional, M-mode and doppler-derived echocardiographic parameters in sedated healthy growing female sheep. Lab. Anim. 47, 194–202 (2013).
Lago, E. P. et al. Electrocardiographic and Doppler echocardiographic profiles of sheep after ingestion of the aqueous suspension of Mascagnia rigida Griseb (Malpighiaceae). Braz. Arch. of Vet Med. and Animal Sci. 61, 853–862 (2009).
Farrel, E. T., Grimes, A. C., Lange, W. J., Armstrong, A. E. & Ralphe, J. C. Increased postnatal cardiac hyperplasia precedes cardiomyocyte hypertrophy in a model of hypertrophic cardiomyopathy. Front Physiol. 8, 1–13 (2017).
Jonker, S. S., Louey, S., Giraud, G. D., Thornburg, K. L. & Faber, J. J. Timing of cardiomyocyte growth, maturation, and attrition in perinatal sheep. FASEB J. 29, 1–12 (2015).
Knutsen, K. M., Stugaard, M., Michelsen, S. & Otterstad, J. E. M-mode echocardiographic findings in apparently healthy, nonathletic Norwegians aged 20–70 years. Influence of age, sex and body surface area. J. Intern. Med. 22, 111–115 (1989).
Lister, J., Walter, T. K., Versmold, H. T., Dallman, P. R. & Rudolph, A. M. Oxigen delivery in lambs: cardiovascular and hematologic development. Am. J. Physiol. Heart Circ. Physiol. 237, H668-675 (1979).
Rego, B. V. et al. A noninvasive method for the determination of in vivo mitral valve leaflet strains. Int. J. Numer. Meth. Biomed. Engng. 21, 1–22 (2018).
Acknowledgements
The authors want to thank CAPES (Coordenação de Aperfeiçoamento de Pessoal de Nível Superior) for the scholarship provided, FAPESP (Fundação de Amparo à pesquisa do Estado de São Paulo) for the research grant, the Large Animal Medical Clinic at FMVZ-UNESP, Botucatu, Brazil, and the sheep farm Estrela do Vale, Sítio Vale Verde, Botucatu-SP, Brazil.
Funding
This study was supported by FAPESP (Fundação de Amparo à Pesquisa do Estado de São Paulo), Grant No. 2017/15121–9. The funding agency FAPESP provided financial support for the execution of the study, which was carried out on a private property, and the authors of the study carried out data collection, analysis and writing.
Author information
Authors and Affiliations
Contributions
All authors took part in designing the study. M.L.G.L. and S.B.C.: Conceptualization, project administration, funding acquisition. D.O.L.F.: Methodology. A.S.C.A.: Investigation, writing, review and editing. M.H.T.: Formal analysis, supervision. All authors have read and agreed to the published version of the manuscript.
Corresponding author
Ethics declarations
Competing interests
The authors declare no competing interests.
Additional information
Publisher's note
Springer Nature remains neutral with regard to jurisdictional claims in published maps and institutional affiliations.
Rights and permissions
Open Access This article is licensed under a Creative Commons Attribution 4.0 International License, which permits use, sharing, adaptation, distribution and reproduction in any medium or format, as long as you give appropriate credit to the original author(s) and the source, provide a link to the Creative Commons licence, and indicate if changes were made. The images or other third party material in this article are included in the article's Creative Commons licence, unless indicated otherwise in a credit line to the material. If material is not included in the article's Creative Commons licence and your intended use is not permitted by statutory regulation or exceeds the permitted use, you will need to obtain permission directly from the copyright holder. To view a copy of this licence, visit http://creativecommons.org/licenses/by/4.0/.
About this article
Cite this article
Aleixo, A.S.C., Ferreira, D.O.L., Tsunemi, M.H. et al. Influence of Dorper lamb development from birth to 120 days of age on clinical and echocardiographic parameters. Sci Rep 12, 19726 (2022). https://doi.org/10.1038/s41598-022-23418-z
Received:
Accepted:
Published:
Version of record:
DOI: https://doi.org/10.1038/s41598-022-23418-z







