Abstract
Some drugs or chemicals exhibit different safety profiles in newborns/young children compared to adults. Polyhexamethyleneguanidine phosphate (PHMG-P) has been implicated in the humidifier disinfectant tragedy in 2011. There are limited reports on the toxicity of PHMG-P in neonatal animals. This study aimed to assess the toxicity of PHMG-P in neonates and to compare toxicity between young and adult mice. Mice aged 7–10 days and 8 weeks were anesthetized with isoflurane and then intranasally instilled with 0.9 mg/kg and 1.5 mg/kg PHMG-P once weekly for 4 weeks. The control group was given a corresponding volume of saline intranasally. Approximately 20 h after the 4th instillation, all mice (juveniles aged 28‒31 days and adults aged 11 weeks) were euthanized. Assessments included body weights, organ weights, cytokine production, and histopathological examinations. Both juvenile and adult mice exhibited significant pulmonary toxicity. There were no significant changes in body weight in either male or female juveniles, whereas adult mice experienced 5.0‒22.2% weight loss. However, lung weights increased in both age groups, accompanied by rises in cytokines and chemokines. Histopathological analyses revealed significant lung changes in both juvenile and adult mice, including immune cell infiltration, foamy macrophage, and granulomatous inflammation. PHMG-P is known to cause inflammation and fibrotic changes in rodents and humans that persist even during long recovery periods. Further research is required to explore the long-term health effects of PHMG-P following repeated early-life exposure.
Similar content being viewed by others
Introduction
Some drugs or chemicals manifest different safety profiles between newborns/young children and adults. Newborns and young animals have shown increased sensitivity to certain chemicals, such as lead, mercury, organophosphate insecticides, polychlorinated biphenyls, alcohol, aspirin, and chloramphenicol, but decreased sensitivity to others, such as curare, cyanide, dibromochloropropane, strychnine, and acetaminophen compared to adults1. Children undergo rapidly growth and their immature organs continue to develop physiologically from birth through adulthood. Differences in metabolism, body composition, receptor expression and function, and organ functional capacity between children and adults contribute to the variations in toxicity vulnerability2,3. For instance, young children are more resistant to acute acetaminophen toxicity due to higher rates of glutathione turnover and active sulfation, whereas they are more susceptible to chloramphenicol toxicity owing to its longer half-life in young children3. Accordingly, the Food and Drug Administration of United States and European Medicine Agency of the member states of the European Union stress the importance of juvenile animal studies in drug development and have established guidelines for such research3,4.
Animals are not born with fully developed organs. At birth, the human lungs have conductive airways and peripheral respiratory airspaces, but microvascular maturation and alveolarization continue for 3–5 years after birth5. In rats and mice, primary alveolar formation begins 1–4 days post-birth and is complete by day 28, and secondary alveolarization continues to occur across puberty6,7. Human immune system development initiates early in gestation and persists up to 12 years post-birth4. Newborns possess innate and adaptive immune systems at birth, although their quantitative and qualitative levels differ from those of adults. The proportion of T cells is at its lowest at birth and increases over time. Meanwhile, the fraction of B cells is highest at birth and diminishes with age8. Surface molecules and differentiation/activation markers on immune cells also evolve with age8,9. Neonates, transitioning from the intrauterine environment, encounter numerous microorganisms, prompting a rapid development of immune cells. Nonetheless, to circumvent the detrimental effects of a severe inflammatory response, neonates primarily display tolerogenic immune responses, characterized by a Th2-dominant and anti-inflammatory response designed to mitigate inflammation and foster healing10.
Polyhexamethyleneguanidine phosphate (PHMG-P) is a polycationic biocide11. Due to its potent germicidal activity and low toxicity, PHMG-P is extensively utilized in a variety of everyday applications, including medical disinfectants, bactericides, and cleaning agents12. However, its employment as a humidifier disinfectant in South Korea in 2011 elicited significant concerns regarding its toxicity. Extensive studies have revealed that PHMG-P, when inhaled in aerosol form, penetrates deep into the lungs, precipitating chronic inflammation and fibrosis13,14. A single dose of PHMG-P introduced into the lungs of mice can induce acute and chronic lung inflammation and fibrosis persisting for at least 10 weeks15. Exposure to PHMG-P in bronchial epithelial cells generates excessive reactive oxygen species (ROS), leading to mitochondrial damage and cell death via the activation of the pyroptosis pathway16. Additionally, exposure of the lungs to PHMG-P activates farnesoid X receptor (FXR) and small heterodimer partner (SHP) in the liver, which are implicated in cholesterol and glucose metabolism. This activation curtails the expression of genes involved in cholesterol and bile acid synthesis, thereby disrupting homeostasis and impairing liver function17. In summary, exposure to PHMG-P in the lungs results in lung and liver damage through the production of an excessive amount of ROS, the induction of mitochondrial damage, and the disruption of normal metabolic processes in organs and cells.
Infants and young children are known to be more susceptible to infections and toxicants. Paek et al. (2015) reported that among 374 peoples who had exposed to humidifier disinfectants and experienced symptoms between 1994 and 2011, the under 4 years old group had a higher mortality rate than the older age groups18. In addition, a study of 1,003 victims between 2013 and 2017 found that children under the age of 8 had the highest rate of lung damage compared to other age groups19. Based on these findings, we hypothesized that young children would be more susceptible to humidifier disinfectants than adults. To assess whether children are more susceptible to humidifier disinfectants, we sought to compare the toxicity of repeated intranasal PHMG-P instillation in 7‒31 day old vs. 8‒11 week old male and female C57BL/6 mice.
Results
Body and organ weights
Both the low (0.9 mg/kg PHMG-P)- and high (1.5 mg/kg PHMG-P)- dose juvenile male and female mice groups showed no significant changes in body weight compared to controls, whereas 1.5 mg/kg PHMG-P-treated adult male and female mice exhibited 15.0‒22.2% and 5.0‒13.2% weight loss, respectively (Fig. 1). A significant interaction effect between dose and time was detected in male and female adult mice, and 1.5 mg/kg PHMG-P-treated adult male showed a significant weight loss compared to the control group (Supplementary Table 2). Data from one deceased male adult mouse in the low-dose group on day 11 were excluded.
Changes in body weights of juvenile and adult mice exposed repeatedly to PHMG-P. Neonatal and adult mice were intranasally instilled with 0.9 mg/kg (low-dose), 1.5 mg/kg (high-dose) PHMG-P and then euthanized the day after last dose. The control group (Control) was treated with saline via the same route of administration. The number of male and female mice per group was either five (control and male low-dose groups) or six (other PHMG-P-treated groups). Data are expressed as mean ± SD; * p < 0.05, **p < 0.01 indicates significant difference from the control group.
Lung weights increased in both juvenile and adult mice (Fig. 2.). Lung weights in juvenile males increased by 29.2‒43.8%, and in juvenile females by 22.6‒24.5%. Adult male lung weights increased by 55.0‒79.1%, and in females by 53.9‒78.1%. The absolute weights of the heart (13.3%), kidneys (15.2%), and spleen (20.6%) decreased in the high-dose group of juvenile females, but the relative organ weight remained unchanged compared to the control group. In the adult groups, both the absolute and relative weights of the liver were decreased in the low- and high-dose groups of males. The absolute weights of the kidney and spleen were reduced in both the high-dose groups of males and females. No changes in thymus weight were detected in both juvenile and adult mice.
Changes in the organ weights of juvenile and adult mice exposed repeatedly to PHMG-P. Neonatal and adult mice were intranasally instilled with 0.9 mg/kg (low-dose), 1.5 mg/kg (high-dose) PHMG-P and then euthanized the day after last dose. Absolute (A and B, male and female, respectively) and relative (C and D, male and female, respectively) organ weights. The number of male and female mice per group was either five (control and male low-dose groups) or six (other PHMG-P-treated groups). Data are expressed as mean ± SD; * p < 0.05, **p < 0.01 indicates significant difference from the control group.
Histopathological examination
Microscopic examination of the lungs, spleen, thymus, heart, kidneys, and liver with gallbladder was conducted using a light microscopy (BX53, Olympus, Japan).
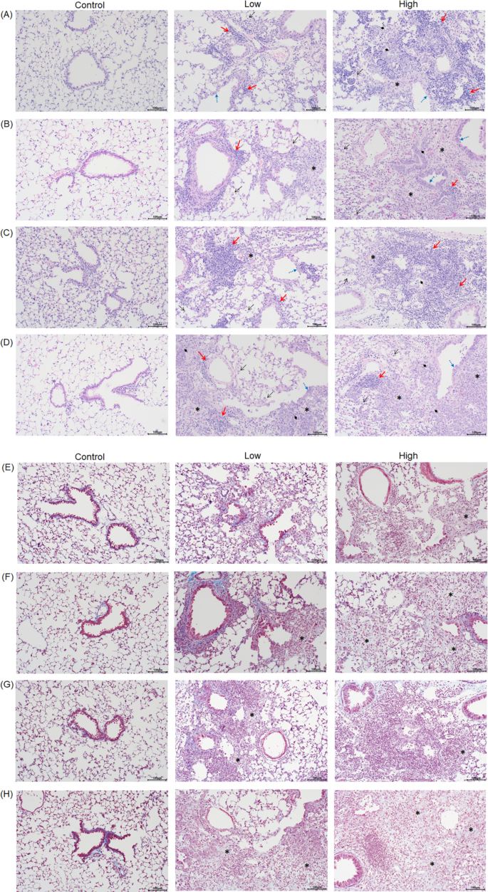
In the lungs of both juvenile and adult mice, infiltration of inflammatory cells in the perivascular and parenchymal regions, aggregation of alveolar/foamy macrophages, degeneration and/or regeneration of bronchiolar epitheliums, and granulomatous inflammation/fibrosis were observed in both sexes of low- and high-dose groups (Fig. 3; Tables 1 and 2, and Supplementary Fig. 1). Additionally, alveolar bronchiolization was noted only in the lungs of adult mice. Overall, histological findings in both juvenile and adult mice were dose-dependent in their incidence and severity, displaying similar trends in both sexes, with the severity and incidence being higher in adult mice (ranging from minimal to marked) compared to juvenile mice (ranging from minimal to slight). No PHMG-P-related findings were observed in other tissues of juvenile and adult mice (data not shown).
Histopathological examination of lung tissues from male mice instilled with PHMG-P. Representative histological sections obtained from tissues the day after the last dose. Lung sections were stained with hematoxylin & eosin (A‒D) and Masson’s trichrome (E‒H). A and E; male juvenile mice, B and F; female juvenile mice, C and G; male adult, D and H; female adult mice. Red arrow indicates perivascular and parenchymal infiltration of inflammatory cells, black thin arrow indicates foamy/alveolar macrophage, and black thick arrow indicates alveolar bronchiolization. Asterisk indicates granulomatous inflammation or fibrosis and blue dotted arrow indicates degeneration of bronchiolar epithelium. Scale bar of A‒H represents 100 μm (original magnification, 200 x).
Serum chemistry analysis
Triglyceride (TG) levels decreased in the adult male low-dose group (158.7 mg/dL in the control group vs. 82.6 mg/dL in the low-dose group), and a downward trend was seen in adult female group (Supplementary Tables 3 and 4). Based on the results of simple correlation analysis, TG levels showed a significant positive correlation with liver weight in female adult mice (Pearson correlation coefficient is 0.689, p value = 0.003), but not male adult mice. No other significant alterations in serum chemistry were observed in either the juvenile or adult groups.
mRNA expression measurement
To evaluate liver damage, mRNA levels of Saa1 and Saa3, which are associated with the acute phase reaction, were measured. As demonstrated in Fig. 4A and B and Supplementary Table 5, hepatic Saa1 mRNA expression level of adult mice was significantly higher than that of juvenile mice, whereas hepatic Saa3 mRNA expression level of adult mice were significantly lower than that of juvenile mice (p < 0.05, 2-way ANA comparing age and dose). Saa1 mRNA expression levels were elevated in the PHMG-P-treated adult groups compared to the control groups, but not in the juvenile groups. Saa3 mRNA levels remained unchanged in both the juvenile and adult treated groups.
Effects of PHMG-P on the mRNA expression in liver (A and B, male and female, respectively) and in lung tissues (C and D, male and female, respectively) of juvenile and adult mice. Each gene expression was normalized to Hprt1 and calculated as fold-change relative to juvenile control. Results are presented as mean ± SD (n = 4‒5 per group) of at least two separate experiments. Statistical analysis among three dose groups was performed by one-way analysis of variance (ANOVA), * p < 0.05, **p < 0.01 vs. control group. Differences between juvenile and adult control mice were assessed using the Mann-Whitney test, # p < 0.05 vs. juvenile control group.
In the lungs, mRNA levels of Cxcl1 and Ptgs2 were measured. Gene expression of Cxcl1 and Ptgs2 was elevated in both the juvenile and adult groups (Fig. 4C and D and Supplementary Table 5).
Cytokine production
To assess lung inflammation, CCL2, IL-1β, and IL-6 levels were measured in the lungs using ELISA. As shown in Fig. 5 and Supplementary Table 6, both CCL-2 and IL-6 levels increased in juvenile and adult mouse groups. IL-1β levels were elevated in the adult groups only.
Western blot analysis
Proteins associated with fibrosis (FN, MMP9, and TIMP1), inflammation (PTGS2), and ER stress (CHOP) were measured (Fig. 6). FN and MMP9 levels were elevated in PHMG-P-treated groups in both juvenile and adult groups, though TIMP1 was only increased in the adult groups. PTGS2 levels rose in adult male and juvenile male and female groups. CHOP, a marker of ER stress, which is known to increase in PHMG-P-treated cells or lungs, showed upregulation in both juvenile and adult mice.
Measurement of fibrosis-, inflammation-, and ER stress-related proteins in lung tissues of male (A) and female (B) mice. Protein levels were measured using western blotting (n = 3‒6 per group). α-tubulin was used as an internal control. The full blots are shown in Supplementary Information. Relative quantification of the protein was shown in C (male) and D (female). Statistical analysis among three groups was performed by one-way analysis of variance, * p < 0.05, **p < 0.01 vs. control group. Differences between juvenile and adult control mice were assessed using the Mann-Whitney test, #p < 0.05 vs. juvenile control group.
Discussion
PHMG is widely used as a biocide due to its low toxicity. However, it has been identified as a causative agent in humidifier disinfectant incidents. There are limited reports on the toxicity of PHMG-P in young animals. This study aimed to evaluate the pulmonary toxicities of PHMG-P in young animals and compare it with the toxicity in adult animals.
In this study, neonatal mice, defined as mice ten days old or younger, and 8-week-old mice were instilled with 0.9 mg/kg and 1.5 mg/kg PHMG-P once a week for a total of four doses. No change in body weight was observed in juvenile mice, although adult mice displayed significant weight loss. However, lung weight increased in both juvenile and adult mice, implicating PHMG-P-induced lung toxicity. Absolute lung weights in the 1.5 mg/kg male PHMG groups increased by 43.8% and 79.1% in juvenile and adult groups, respectively, relative to the control group. Absolute and relative liver weights decreased in adult male and female mice, but not in juvenile mice. It remains uncertain whether liver injury is induced directly by PHMG-P circulating in the blood or by proinflammatory cytokines secreted from the lungs and circulating in the blood. Serum amyloid A (SAA) is an acute phase reactant primarily produced by the liver and can be induced by cytokines such as IL-1, IL-6, and TNF-α released by macrophages and monocytes at sites of inflammation or infection20,21. Patients with chronic hepatitis B and pyogenic liver abscesses were found to have higher serum SAA levels than healthy individuals, suggesting that SAA levels could serve as biomarkers for liver injury22. In a previous study, hepatic Saa1 mRNA levels peaked at 4 h (18.37-fold) and decreased by day 1 (5.73-fold), and Saa3 mRNA levels increased at 4 h (2.21-fold) and then returned to normal levels23. In the current study, liver Saa1 mRNA levels were upregulated 3.3- to 26.1-fold in adult mice, but not in juveniles, compared to controls.
Chemokines including CCL-2, Cxcl1, and IL-6 were elevated in both juvenile and adult groups. IL-1β levels increased exclusively in adult animals. Activated macrophages, monocytes, and dendritic cells are the primary sources of IL-1β. Histopathological examinations revealed that adult mice exhibited more foamy/alveolar macrophages than juvenile mice. IL-1β, a potent proinflammatory cytokine, initiates acute lung injury and leads to subsequent fibrotic alterations24. IL-1β alone augments the production of proinflammatory cytokines (TNF-α and IL-6), chemokines (CXCL1 and CXCL2), and matrix metalloproteinases25. A previous study demonstrated that a single-exposure to PHMG-P via intratracheal instillation increased IL-1β production through the NALP3 inflammasome activation, persisting up to 4 weeks, with fibrotic alterations in the lungs evident for 10 weeks15. In an earlier single-dose study, IL-1β production spiked on day 4 post-dosing in both juveniles and adults; however, it returned to baseline by day 15 in juveniles but remained elevated in adults26. The lower levels of IL-1β in the current study might explain the reduced lung toxicity observed in juveniles compared to adults.
Eicosanoids, which include prostaglandins, thromboxane, leukotrienes, and lipoxins, function in regulating inflammation through both pro-inflammatory and anti-inflammatory effects. Ptgs2, also referred to Cox-2, is an enzyme that facilitates the conversion of anachronic acid to eicosanoids. In a model of acid-induced acute lung injury, Cox-2-deficient mice exhibited enhanced leukocyte infiltration and diminished lipoxin production, which serves as a specialized pro-resolving mediator27. In this study, Ptgs2 mRNA and protein levels showed an increase in both juvenile and adult mice.
When exposed to PHMG-P, cells demonstrated an upregulation of ER stress markers, including BiP, phosphorylated PKR-like ER kinase (PERK), p_eIF2α, ATF4, and CHOP, in lung epithelial cells28, as well as increased CHOP, p-IRE, and p-JNK in liver cells29. Pretreatment with tauroursodeoxycholic acid, an ER stress inhibitor, mitigated the expression of these ER stress markers and reduced cytotoxicity in both cell lines. ER stress contributes to inflammatory pathways through the activation of NF-κB, JNK (c-Jun NH2-terminal kinase), and IκB kinase, and promotes fibrosis by enhancing apoptosis in epithelial cells and stimulating the differentiation of fibroblast into myofibroblasts30,31,32. Notably, Korfei et al. reported the expression of CHOP, ATF-6, and caspase-3 in hyperplastic type II alveolar epithelial cells near the fibrotic zones in lungs of idiopathic fibrosis patients. In this experiment, elevated CHOP levels were observed in both juvenile and adult mice, with particularly high levels in the latter, suggesting more severe ER stress may contribute to severe lung toxicity in adult mice compared to juveniles.
When comparing serum chemistry data between juvenile and adult mice, juvenile male mice exhibit a higher A/G ratio than the adult male mice (2.05 ± 0.35 vs. 1.50 ± 0.12), attributable to diminished antibody production in young animals. Juveniles display approximately three times higher ALP levels than adult mice. ALP, an enzyme notably present in the liver cells’ bile ducts, bones, intestine, kidney, and placenta, predominantly originates from the liver and bones, accounting for over 80% of serum ALP33,34,35. Elevated serum ALP levels can serve as a biochemical marker of liver or gallbladder impairment due to obstructed bile flow or a bone disease associated with osteoblastic activity. In this study, the elevated ALP levels in the juvenile mice are postulated to result from rapid bone growth. Trending downward TG levels in adult female mice was correlated with a significant reduction in liver weight. No alteration related to PHMG-P were detected in the serum chemistry data.
Our study assessed the toxicity of repeated doses of PHMG-P in juvenile and adult mice; both juvenile and adult mice exhibited significant pulmonary toxicity. Unlike adults, which experienced significant weight loss, juveniles did not show any body weight changes, however, lung weight increased across all treated groups, accompanied by rises in cytokines and chemokines. Histopathological examinations revealed significant lung changes in both juvenile and adult mice, including immune cell infiltration, foamy macrophage, and granulomatous inflammation, although the extent and pathological features were somewhat different depending on the age across which the exposure occurred. Decreased liver weight and elevated hepatic Saa1 mRNA expressions were uniquely observed adult mice.
This study presents some limitations. PHMG-P was administered via intranasal instillation, a method that does not simulate human exposure. Nonetheless, previous studies have affirmed that intranasal instillation induces pathological lesions akin to those observed in humans, for example, collagenous fibrosis, alveolar pneumocyte hyperplasia, chronic inflammatory cell infiltration, and obliterative bronchiolitis pattern36,37, making it a viable alternative to inhalation testing. Furthermore, neonates, having a higher respiratory rate than adults, would likely inhale more test material, a consideration not perfectly simulated in this study. However, this study showed that the toxicity in young animals was different from that in adults. In this study, only the post-dose toxicity of PHMG-P was evaluated the following day, which leads to enduring lung inflammatory and fibrotic changes over longer recovery periods. Ahn et al. reported that 5‒8 years after PHMG exposure, children and adult exposed to humidifier disinfectants had different plasma protein composition compared to the unexposed group and also reduced lung function38. Even individuals who did not have severe lung damage from past exposure to humidifier disinfectants and were currently asymptomatic also have a different plasma protein composition compared to the unexposed group. These findings highlight the need for longer follow-up studies to determine if lesions in mice exposed at a younger age resolve over time, or if more persistent (and perhaps more severe) changes occur.
Materials and methods
Materials
The PHMG-P solution was obtained from SK Chemicals (Seongnam, Korea). Saline was purchased from Daihan Pharmaceutical Co., Ltd (Ansan, Korea).
Animals
Nine-week-old male and 8-week-old female C57BL/6 mice were acquired from Orient Bio Inc. (Seongnam, Korea) and allowed a week to acclimate before initiating the breeding process. The rooms were regulated at 19–25 °C with a relative humidity of 30–70% and maintained on a 12-h light/dark cycle. The mice had access to sterile pelleted food and could freely drink UV-irradiated and filtered (1 μm) tap water. The study protocols were approved by the Institutional Animal Care and Use Committee of the Korea Institute of Toxicology (approval no.: 2112-0015, 2112-0064) and adhere to the guidelines of the Association for Assessment and Accreditation of Laboratory Animal Care International. All animal experiments were conducted in accordance with the Animal Research Reporting of In Vivo Experiments (ARRIVE) guidelines.
Experimental design
Two females were placed in cages with a single male mouse for mating purposes. The females were weighed twice a week. Following confirmation of pregnancy, the males were separated, and the female mice with their litters were individually housed until weaning. The pups were weaned at 21 days post-birth.
The day before administration, the pups were weighed and the average weight was calculated to determine the amount of PHMG to be 0.9 mg/kg and 1.5 mg/kg. The volume was then calculated to be 2 mL/kg and the original PHMG solution (25%) was diluted. Initially, neonatal mice aged 7‒10 days were anesthetized with isoflurane and received an intranasal instillation of 2 mL/kg of PHMG-P (doses of 0.9 mg/kg and 1.5 mg/kg, respectively). The pups were returned to their mother after ensuring they resumed normal breathing. The PHMG-P treatment was administered weekly for a total of four doses. The control group was given a corresponding volume of saline intranasally. To assess the differential toxicity of PHMG-P between young and adult mice, 8-week-old male and female mice were administered 40 µL of PHMG-P (doses of 0.9 mg/kg and 1.5 mg/kg, respectively), following the same protocol. Approximately 20 h after the final dose, all mice (juveniles aged 28‒31 days and adults aged 11 weeks) were euthanized using overdose of isoflurane, after which blood was collected from the abdominal vena cava.
The heart, lungs, thymus, liver, spleen, and kidneys were harvested and weighed. All organs were then preserved in 10% neutral buffered formalin, except for the right lobes of the lungs and the caudate lobe of the liver, and embedded in paraffin for tissue sectioning. For further analyses, one lobe from the right lung and the caudate lobe of the liver were stored in RNAprotect tissue reagent (Qiagen, Hilden, Germany); the remaining lung lobes were cryopreserved in liquid nitrogen.
Two doses of PHMG-P, 0.9 mg/kg and 1.5 mg/kg, were selected from our preliminary studies due to their ability to induce significant pathological changes, such as lung inflammation and fibrosis, while minimizing mortality in both neonatal and adult mice. The total doses administered to mice, 3.6 mg/kg and 6 mg/kg, are 12 and 7.2 times lower than the estimated human exposure dose (43.2 mg/kg), as described previously37.
Histopathological examination
All tissues embedded in paraffin were sectioned at thickness of 4-µm and stained with hematoxylin and eosin (H & E). Additionally, Masson’s trichrome staining was utilized to assess collagen presence in the lungs. A specialized pathologist examined the histological changes in two or three tissue sections per mouse.
Serum chemistry analysis
To collect serum, blood was allowed to clot at room temperature for 30 min and subsequently centrifuged at 3000 rpm for 10 min. The serum was stored at -80℃ prior to analysis. Serum chemistry was conducted using a Toshiba 200FR NEO (Toshiba Co., Japan).
Quantitative real-time PCR (qPCR)
To assess the expression levels of genes associated with inflammation, quantitative real-time PCR was performed. Total RNA was extracted from the lungs and liver using the RNeasy Mini Kit (Qiagen, Hilden, Germany). RNA concentration and purity were determined with a NanoDrop One spectrophotometer (Thermo Fisher Scientific, Wilmington, ED, USA). One microgram of RNA was reverse-transcribed into complementary DNA (cDNA) using the GoScript™ Reverse Transcription kit (Promega, Madison, USA) according to the manufacturer’s instructions. qPCR was conducted using the Applied Biosystems QuantStudio 5 real-time PCR system (Foster City, CA, USA).
Primers used in this study (Supplementary Table 1) were validated by assessing their efficiency and analyzing the melt curve using a standard curve and performing gel electrophoresis. Hypoxanthine phosphoribosyltransferase 1 (Hprt1) served as an internal control. Relative expression levels were calculated employing the comparative threshold cycle (delta delta CT) method. The mRNA expression levels were expressed as fold changes relative to the control.
Cytokines and chemokine measurement
RIPA buffer (Thermo Fisher Scientific, Wilmington, DE, USA) containing a protein protease inhibitor cocktail (Thermo Fisher Scientific, Wilmington, DE, USA) was added to the lungs. Lung tissue was individually homogenized with beads using the Ultracool GeneReady system (Life Real, Hangzhou, China). The homogenates were collected in 1.7 mL microcentrifuge tubes and incubated on ice for 30 min. After incubation, the homogenates were centrifuged at 14,000 x g for 15 min at 4℃. The total protein concentration of the lung samples were quantified using a bicinchoninic acid assay kit (Thermo Fisher Scientific, Wilmington, DE, USA). Production of Interleukin-6 (IL-6) and C-C motif chemokine ligand-2 (CCL-2) was quantified using a commercial ELISA kit (R&D systems, Minneapolis, MN, USA) according to the manufacturer’s protocols. Absorbance was measured at 450 nm and 540 nm using a SpectraMax Plus microplate reader (Molecular Devices, Sunnyvale, CA, USA). Levels of IL-6 and CCL-2 were normalized to total protein content.
Western blot
Lung lysates were denatured with a sample buffer (BIO-RAD, California, USA) containing 2-mercaptoethanol at 95℃ for 5 min. An equal amount of denatured lung lysates was loaded on 4‒20% gels (BIO-RAD, California, USA) and transferred onto a polyvinylidene fluoride membrane (BIO-RAD, California, USA). The membranes were blocked with 5% BSA in tris-buffered saline with 0.05% Tween® 20 (TBST) for a minimum of 1 h at room temperature and subsequently incubated with primary antibodies overnight at 4 °C with agitation. The following day, the membranes were washed three times with TBST and incubated with horseradish peroxidase-conjugated secondary antibodies for 1 h. Protein bands were visualized using an enhanced chemiluminescence substrate (BIO-RAD, California, USA) and imaged with Image Lab software (version 6.0.1., BIO-RAD, California, USA). α-tubulin served as an internal control.
Data analysis
All results were presented as mean ± standard deviation. Differences between dose and age were analyzed by two-way analysis of variance (ANOVA), and body weight data were analyzed by two-way repeated-measures ANOVA using mixed model. Multiple comparison adjustment of LS (Least Square)-means differences were assessed using Bonferroni method. Differences between juvenile and adult control mice were assessed using the Mann-Whitney test. To assess differences among three dose groups (control and low- and high-dose), one-way ANOVA was conducted, followed by the Dunnett test or Dunnett T3 test to assess multiple comparisons. One-way ANOVA was performed for male juvenile, female juvenile, male adult, and female adult group, respectively. Data from the male and female mice always evaluated separately. To investigate the association between liver weights and triglyceride levels, simple correlation analysis was used. Statistical analyses were performed with SAS 9.4 (SAS Institute Inc., NC, USA) and SPSS 12.0 (SPSS inc., USA). A p-value of less than 0.05 was considered statistically significant.
Data availability
All relevant data are within the manuscript or a supplementary information file.
References
Brent, R. L. Utilization of juvenile animal studies to determine the human effects and risks of environmental toxicants during postnatal developmental stages. Birth Defects Res. B Dev. Reprod. Toxicol. 71, 303–320. https://doi.org/10.1002/bdrb.20020 (2004).
Hoberman, A. & Lewis, E. M. Pediatric non-clinical drug Testing Principles, Requirements, and Practice (Wiley, 2012).
Center for Drug Evaluation and Research (CDER), Food and Drug Administration Guidance for Industry: Nonclinical Safety Evaluation of Pediatric Drug Products. (2006).
European Medicines Agency, Guideline on the need for non-clinical testing in juvenile animals on human pharmaceuticals for paediatric indications & Ref EMEA/CHMP/SWP/169215/2008 (2008).
Burri, P. H. Structural aspects of postnatal lung development - alveolar formation and growth. Biol. Neonate. 89, 313–322. https://doi.org/10.1159/000092868 (2006).
Mund, S. I., Stampanoni, M. & Schittny, J. C. Developmental alveolarization of the mouse lung. Dev. Dyn. 237, 2108–2116. https://doi.org/10.1002/dvdy.21633 (2008).
Tschanz, S. A. et al. Rat lungs show a biphasic formation of new alveoli during postnatal development. J. Appl. Physiol. (1985). 117, 89–95. https://doi.org/10.1152/japplphysiol.01355.2013 (2014).
Erkeller-Yuksel, F. M. et al. Age-related changes in human blood lymphocyte subpopulations. J. Pediatr. 120, 216–222. https://doi.org/10.1016/s0022-3476(05)80430-5 (1992).
Holt, P. G. & Jones, C. A. The development of the immune system during pregnancy and early life. Allergy. 55, 688–697. https://doi.org/10.1034/j.1398-9995.2000.00118.x (2000).
Kollmann, T. R., Kampmann, B., Mazmanian, S. K., Marchant, A. & Levy, O. Protecting the Newborn and Young Infant from Infectious diseases: lessons from Immune Ontogeny. Immunity. 46, 350–363. https://doi.org/10.1016/j.immuni.2017.03.009 (2017).
Ohta, S. et al. A comparative study of characteristics of current-type and conventional-type cationic bactericides. Biol. Pharm. Bull. 24, 1093–1096. https://doi.org/10.1248/bpb.24.1093 (2001).
Oule, M. K. et al. Polyhexamethylene guanidine hydrochloride-based disinfectant: a novel tool to fight meticillin-resistant Staphylococcus aureus and nosocomial infections. J. Med. Microbiol. 57, 1523–1528. https://doi.org/10.1099/jmm.0.2008/003350-0 (2008).
Song, J. A. et al. Polyhexamethyleneguanidine phosphate induces severe lung inflammation, fibrosis, and thymic atrophy. Food Chem. Toxicol. 69, 267–275. https://doi.org/10.1016/j.fct.2014.04.027 (2014).
Kim, H. R. et al. Polyhexamethylene guanidine phosphate aerosol particles induce pulmonary inflammatory and fibrotic responses. Arch. Toxicol. 90, 617–632. https://doi.org/10.1007/s00204-015-1486-9 (2016).
Song, J., Kim, W., Kim, Y. B., Kim, B. & Lee, K. Time course of polyhexamethyleneguanidine phosphate-induced lung inflammation and fibrosis in mice. Toxicol. Appl. Pharmacol. 345, 94–102. https://doi.org/10.1016/j.taap.2018.02.013 (2018).
Park, J. Y. et al. Polyhexamethylene guanidine phosphate induces pyroptosis via reactive oxygen species-regulated mitochondrial dysfunction in bronchial epithelial cells. Toxicology. 505, 153827. https://doi.org/10.1016/j.tox.2024.153827 (2024).
Choi, Y. J. et al. Intratracheal exposure to polyhexamethylene guanidine phosphate disrupts coordinate regulation of FXR-SHP-mediated cholesterol and bile acid homeostasis in mouse liver. Ecotoxicol. Environ. Saf. 247, 114213. https://doi.org/10.1016/j.ecoenv.2022.114213 (2022).
Paek, D. et al. Nationwide Study of Humidifier Disinfectant Lung Injury in South Korea, 1994–2011. Incidence and dose-response relationships. Ann. Am. Thorac. Soc. 12, 1813–1821. https://doi.org/10.1513/AnnalsATS.201504-221OC (2015).
National Institute of Environmental Research, Establishing disease identification and standards criteria to expand the range of health hazards caused by the humidifier sterilizer (in Korean). (2017).
Jain, S., Gautam, V. & Naseem, S. Acute-phase proteins: as diagnostic tool. J. Pharm. Bioallied Sci. 3, 118–127. https://doi.org/10.4103/0975-7406.76489 (2011).
Uhlar, C. M. & Whitehead, A. S. Serum amyloid A, the major vertebrate acute-phase reactant. Eur. J. Biochem. 265, 501–523. https://doi.org/10.1046/j.1432-1327.1999.00657.x (1999).
Yuan, Z. Y. et al. Serum amyloid A levels in patients with liver diseases. World J. Gastroenterol. 25, 6440–6450. https://doi.org/10.3748/wjg.v25.i43.6440 (2019).
Song, J. et al. Disruption of Membrane Integrity as a Molecular Initiating Event determines the toxicity of polyhexamethylene guanidine phosphate depending on the routes of exposure. Int. J. Mol. Sci. 23. https://doi.org/10.3390/ijms23063289 (2022).
Kolb, M., Margetts, P. J., Anthony, D. C., Pitossi, F. & Gauldie, J. Transient expression of IL-1beta induces acute lung injury and chronic repair leading to pulmonary fibrosis. J. Clin. Invest. 107, 1529–1536. https://doi.org/10.1172/JCI12568 (2001).
Lappalainen, U., Whitsett, J. A., Wert, S. E., Tichelaar, J. W. & Bry, K. Interleukin-1beta causes pulmonary inflammation, emphysema, and airway remodeling in the adult murine lung. Am. J. Respir Cell. Mol. Biol. 32, 311–318. https://doi.org/10.1165/rcmb.2004-0309OC (2005).
Jung, K. J., Cho, J., Yang, M. J., Hwang, J. H. & Song, J. Exposure to polyhexamethyleneguanidine phosphate in early life dampens pulmonary damage compared to adult mice. Chem. Biol. Interact. 111134. https://doi.org/10.1016/j.cbi.2024.111134 (2024).
Fukunaga, K., Kohli, P., Bonnans, C., Fredenburgh, L. E. & Levy, B. D. Cyclooxygenase 2 plays a pivotal role in the resolution of acute lung injury. J. Immunol. 174, 5033–5039. https://doi.org/10.4049/jimmunol.174.8.5033 (2005).
Jeong, M. H., Jeon, M. S., Kim, G. E. & Kim, H. R. Polyhexamethylene guanidine phosphate induces apoptosis through endoplasmic reticulum stress in lung epithelial cells. Int. J. Mol. Sci. 22. https://doi.org/10.3390/ijms22031215 (2021).
Kim, S. H. et al. Polyhexamethyleneguanidine phosphate-Induced cytotoxicity in liver cells is alleviated by Tauroursodeoxycholic Acid (TUDCA) via a reduction in endoplasmic reticulum stress. Cells. 8. https://doi.org/10.3390/cells8091023 (2019).
Baek, H. A. et al. Involvement of endoplasmic reticulum stress in myofibroblastic differentiation of lung fibroblasts. Am. J. Respir Cell. Mol. Biol. 46, 731–739. https://doi.org/10.1165/rcmb.2011-0121OC (2012).
Korfei, M. et al. Epithelial endoplasmic reticulum stress and apoptosis in sporadic idiopathic pulmonary fibrosis. Am. J. Respir Crit. Care Med. 178, 838–846. https://doi.org/10.1164/rccm.200802-313OC (2008).
Kropski, J. A. & Blackwell, T. S. Endoplasmic reticulum stress in the pathogenesis of fibrotic disease. J. Clin. Invest. 128, 64–73. https://doi.org/10.1172/JCI93560 (2018).
Price, C. P. Multiple forms of human serum alkaline phosphatase: detection and quantitation. Ann. Clin. Biochem. 30 (Pt 4), 355–372. https://doi.org/10.1177/000456329303000403 (1993).
Turan, S. et al. Serum alkaline phosphatase levels in healthy children and evaluation of alkaline phosphatase z-scores in different types of rickets. J. Clin. Res. Pediatr. Endocrinol. 3, 7–11. https://doi.org/10.4274/jcrpe.v3i1.02 (2011).
Lowe, D., Sanvictores, T. & Zubair, M. S. in StatPearls (& John, 2024).
Hong, S. B. et al. A cluster of lung injury associated with home humidifier use: clinical, radiological and pathological description of a new syndrome. Thorax. 69, 694–702. https://doi.org/10.1136/thoraxjnl-2013-204135 (2014).
Song, J. et al. Transcriptomic Analysis of Polyhexamethyleneguanidine-Induced Lung Injury in mice after a long-term recovery. Toxics. 9https://doi.org/10.3390/toxics9100253 (2021).
Ahn, H. S. et al. Polyhexamethylene guanidine aerosol causes irreversible changes in blood proteins that associated with the severity of lung injury. J. Hazard. Mater. 478, 135359. https://doi.org/10.1016/j.jhazmat.2024.135359 (2024).
Acknowledgements
This study was supported by Basic Science Research Program through the National Research Foundation of Korea (NRF) funded by the Ministry of Education of Korea (NRF-2021R1F1A1061858) and the Korea Institute of Toxicology grant funded by the Ministry of science and ICT (Project number: KK-2405-01).
Author information
Authors and Affiliations
Contributions
Jeonghee Cho: Methodology, Investigation, Validation, Formal analysis, Writing-Original draft preparation. Nanok Shin: Investigation, Validation, Formal analysis, Visualization, Writing-Original draft preparation. Mi-Jin Yang: Methodology, Investigation, Visualization, Writing-Original draft preparation. Ji-Hoon Jung: Formal analysis, Writing-Original draft preparation, Jeong Ho Hwang: Writing-Review and Editing. Jeongah Song: Conceptualization, Methodology, Investigation, Validation, Formal analysis, Supervision, Visualization, Writing-Original draft preparation, Writing-Review and Editing.
Corresponding authors
Ethics declarations
Competing interests
The authors declare no competing interests.
Conflict of interest
The authors declare that they have no conflict of interest.
Additional information
Publisher’s note
Springer Nature remains neutral with regard to jurisdictional claims in published maps and institutional affiliations.
Electronic supplementary material
Below is the link to the electronic supplementary material.
Rights and permissions
Open Access This article is licensed under a Creative Commons Attribution-NonCommercial-NoDerivatives 4.0 International License, which permits any non-commercial use, sharing, distribution and reproduction in any medium or format, as long as you give appropriate credit to the original author(s) and the source, provide a link to the Creative Commons licence, and indicate if you modified the licensed material. You do not have permission under this licence to share adapted material derived from this article or parts of it. The images or other third party material in this article are included in the article’s Creative Commons licence, unless indicated otherwise in a credit line to the material. If material is not included in the article’s Creative Commons licence and your intended use is not permitted by statutory regulation or exceeds the permitted use, you will need to obtain permission directly from the copyright holder. To view a copy of this licence, visit http://creativecommons.org/licenses/by-nc-nd/4.0/.
About this article
Cite this article
Song, J., Cho, J., Shin, N.O. et al. Comparison of repeated toxicity of polyhexamethyleneguanidine phosphate, a causative agent of humidifier disinfectant tragedy, in young and adult mice. Sci Rep 14, 25213 (2024). https://doi.org/10.1038/s41598-024-75936-7
Received:
Accepted:
Published:
Version of record:
DOI: https://doi.org/10.1038/s41598-024-75936-7








