Abstract
Osseointegration can be compromised by bone diseases such as osteoporosis, negatively affecting the quality of life in affected individuals. Rubus coreanus (RC) has shown potential in modulating bone metabolism. Thus, this study aimed to evaluate the impact of RC-functionalized implants on peri-implant bone healing in both healthy (SHAM) and ovariectomized (OVX) rats. The research included both in vitro and in vivo experiments. Initially, osteoblastic cell cultures were used to assess the response to functionalized discs, followed by an in vivo study with forty-eight female Wistar rats, randomly assigned to six groups: SHAM CONV, SHAM RC 200, SHAM RC 400, OVX CONV, OVX RC 200, and OVX RC 400, where CONV refers to a conventional titanium implant and 200 and 400 represent that implant coated with 200 µg and 400 µg of RC. SHAM groups underwent fictitious surgery, while OVX groups underwent ovariectomy. After 30 days, implants were placed in the tibial metaphysis, and the rats were euthanized at 28 days post-implantation. Results indicated that RC maintained cell viability without significantly altering bone microarchitecture. Immunohistochemical analysis revealed notable histological improvements and enhanced marker expression, particularly with the RC 200 surface. Ultrastructural analysis suggested that RC functionalization improves peri-implant bone healing, especially in healthy rats treated with RC 200. In conclusion, implant functionalization with RC, particularly RC 200 significantly enhances peri-implant bone healing, with the most pronounced effects observed in SHAM group.
The imbalance between bone formation and resorption leads to one of the most prevalent diseases among the elderly: osteoporosis1,2. Affecting over 300 million individuals globally, osteoporosis is particularly common in postmenopausal women, with at least 30% of them experiencing the condition at some point in their lives3. As life expectancy continues to rise, this prevalence is expected to increase4,5. In osteoporotic individuals, the ability to achieve successful osseointegration of dental implants is compromised due to reduced bone quality and density, which negatively affects bone-implant contact6,7. This results in diminished bony support and impaired implant primary stability, critical factors that influence osseointegration6,8.
Osteoporosis is primarily treated with antiresorptive and anabolic drugs1. Antiresorptive drugs such as bisphosphonates, denosumab, selective estrogen receptor modulators, calcitonin, and romosozumab inhibit bone resorption9,10. On the other hand, anabolic agents like parathyroid hormone and strontium ranelate stimulate new bone formation11. While bisphosphonates are commonly prescribed as first-line treatments due to their potent antiresorptive effects, their long-term use is associated with severe adverse effects, such as osteonecrosis of the jaw12,13. These side effects have sparked interest in exploring alternative treatments, including plant-based therapies, which may offer comparable benefits without the associated risks14. Additionally, these natural alternatives could serve as preventive measures against osteoporosis or complement existing pharmaceutical treatments14. Recent studies suggest that plant-derived extracts may have beneficial effects on bone turnover, with minimal or no adverse reactions14,15.
Rubus coreanus (RC), a species of raspberry from the Rosaceae family, has garnered attention for its potential to modulate bone metabolism16. The genus Rubus, which includes approximately 700 species worldwide, has been found to impact both bone formation and resorption17,18. Studies suggest that RC may help prevent osteoporosis by promoting osteoblast differentiation and reducing osteoclast activity16,17,18,19,20,21,22. For example, recent research demonstrated that natural compounds such as anthocyanin cyanidin-3-rutinoside, present in blackberries, could stimulate growth factor production or activate genes involved in bone cell differentiation23. RC has also been shown to reduce oxidative stress and inflammation in osteoblasts, promoting the growth and differentiation of bone cells19,24. Furthermore, RC has an antioxidant, anti-inflammatory, and antiviral properties24, making it a promising candidate for improving bone healing. Lastly, it has been reported that RC promotes osteoblast differentiation and osteoclast apoptosis, enhancing bone formation markers such as alkaline phosphatase (ALP), osteocalcin (OCN), and collagen production21,22. These effects suggest that RC can contribute to balanced bone remodeling, in contrast to the disrupted dynamics caused by bisphosphonates25.
Therefore, the aim of this study is to evaluate the impact of RC-functionalized implants on peri-implant bone healing in both healthy and ovariectomized (OVX) rat models, which simulate osteoporotic conditions26. By assessing both in vitro and in vivo responses to RC-functionalized or conventional (CONV) surfaces, the study will explore the potential of RC in enhancing peri-implant bone healing. This research could provide valuable insights into the use of RC to enhance implant stability.
Results
The study results are presented in two parts: in vitro and in vivo findings. These highlight the effects of RC functionalization on peri-implant bone healing.
In vitro results
Cell culture
Primary cultures of osteoblast cells were isolated from healthy Wistar rats to assess ALP, cell viability, total protein content and mineralization nodule formation.
Cell viability, assessed by the MTT assay (bromide of 3–4, 5-dimetiltiazol-2-il-2,5- diphenyltetrazol; Sigma-Aldrich, St Louis, MO, USA) at 7 days, was highest in the CONV group. The cell viability percentages for the tested surfaces were as follows: RC 200 (80% of cell viability) and RC 400 (80–95% of cell viability). Statistically significant differences were found between the CONV group and both the RC 200 and RC 400 groups (p < 0.05) (Fig. 1A).
On day 7, the total protein content was highest in the RC 200 group. While the RC 200 group exhibited higher total protein levels compared to the RC 400 group, the difference was not statistically significant. However, significant differences were observed between CONV and both RC 200 and RC 400 (p < 0.05) (Fig. 1B).
On day 7, ALP activity showed comparable levels between the CONV and RC 400 groups. However, the RC 200 group exhibited the lowest ALP activity, although no statistically significant differences were observed between the groups (p > 0.05) (Fig. 1C).
Regarding mineralization nodule formation at 14 days, the CONV, RC 200, and RC 400 groups showed similar results, with no statistically significant differences observed between the groups (p > 0.05) (Fig. 1D).
Primary osteoblast cell culture results. (A) Cell viability, assessed by the MTT assay; (B) Total protein content; (C) Alkaline phosphatase activity (ALP); and (D) Mineralization nodule formation. Graphs (A), (B), and (C) represent data collected at 7 days, while graph (D) shows data at 14 days. Asterisks (*) indicate statistically significant differences between groups (p < 0.05). Error bars represent the standard deviation.
Direct fluorescence imaging of the isolated osteoblasts revealed that their morphology was preserved on all tested surfaces (CONV, RC 200, and RC 400). No apparent damage was observed to cell morphology (Fig. 2).
In vivo results
Histological analyses
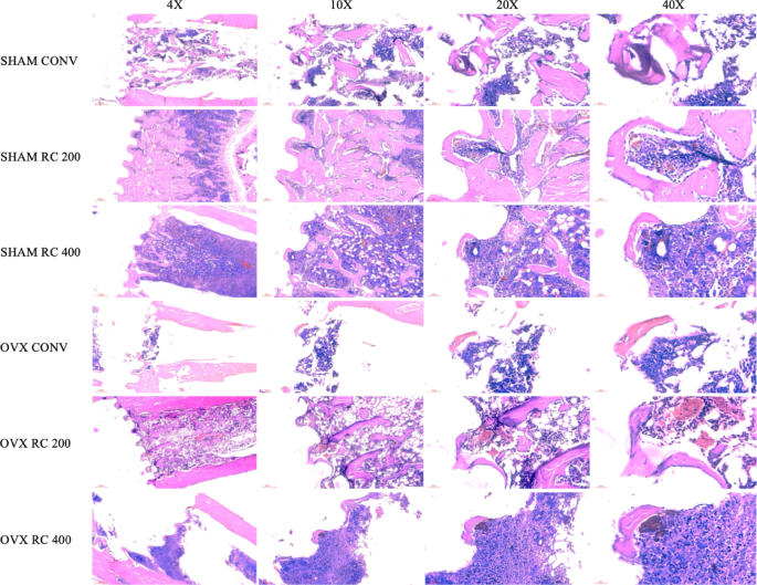
Histological analysis was conducted at 28 days post-implantation. In SHAM rats, the RC 200 surface promoted greater corticalization of the bone in contact with the implant, compared to the other groups, including the CONV implant. In contrast, the RC 400 surface exhibited a significant amount of adipose tissue (Fig. 3). In OVX rats, a similar pattern was observed. The RC 200 surface demonstrated enhanced bone corticalization and maturation of the peri-implant bone, while the other surfaces exhibited less newly formed bone (Fig. 3).
Histological images of experimental groups. SHAM CONV, SHAM RC 200, SHAM RC 400, OVX CONV, OVX RC 200, and OVX RC 400 groups are shown at magnifications of 4X, 10X, 20X, and 40X. Note that the groups treated with RC 200 exhibited a greater amount of mineralized bone surrounding the implant threads compared to the other groups.
Immunohistochemical analysis
Immunostaining analysis allowed for the observation of key markers involved in bone metabolism during peri-implant bone healing at 28 days after implantation in SHAM group, specifically within the region adjacent to the implant in the medullary bone area.
OCN, a non-collagenous protein involved in bone mineralization, is present in osteoblastic lineage cells and deposited in the extracellular matrix27. In SHAM rats, the CONV group displayed moderate OCN staining, while the RC 400 group showed only slight marking. In contrast, the RC 200 surface exhibited intense OCN staining, indicating substantial precipitation of OCN in newly formed bone tissue as well as in osteoblastic cells. The RC 200 surface demonstrated the improved healing pattern, with significant bone formation and a higher degree of tissue maturation compared to the other surfaces in this group. The RC 400 surface showed a greater amount of newly formed bone, but with lower quality than the CONV group (Fig. 4).
In OVX rats, the CONV surface exhibited moderate OCN presence, while the RC 200 surface showed intense staining, reflecting a substantial presence of OCN in both osteoblastic cells and the extracellular matrix. This was accompanied by greater bone formation compared to the other surfaces. The RC 400 surface showed only slight OCN marking and less newly formed bone near the implant threads. Similar to the SHAM group, the RC 200 surface exhibited the improved bone healing in the OVX group, with superior bone formation and maturation compared to other surfaces within this group (Fig. 4).
Tartrate-resistant acid phosphatase (TRAP) is a marker for osteoclastic activity28. In SHAM rats, TRAP staining was faint across all surfaces evaluated (Fig. 4). In the OVX group, TRAP-positive osteoclasts were observed with slight intensity on the CONV and RC 400 surfaces. However, the RC 200 surface showed moderate TRAP staining, indicating active osteoclasts near the newly formed bone in the region around the implant threads. The presence of active osteoclasts on the RC 200 surface was associated with better-quality bone, reflecting a higher quantity of newly formed bone and a greater degree of maturity in the bone (Fig. 4). Corresponding immunostaining scores are summarized in Table 1.
Immunostaining of OCN and TRAP in bone. The images show immunohistochemical staining for OCN and TRAP, highlighting the presence of osteoblasts and osteoclasts, respectively. Note the RC 200 surfaces exhibit higher immunostaining intensity compared to the other groups. Images were captured at 10X (left) and 20X (right) magnifications. Scales bars measure 200 μm (10X) and 100 μm (20X).
Micro-computed tomography
Retrieved specimens were analyzed by micro-computed tomography (Micro-CT) to assess Bone Volume (BV/TV), Trabecular Thickness (Tb.Th) and Bone Implant Contact through Intersection Surface (i.S). For BV/TV the values were: SHAM CONV (81.75%), OVX CONV (58.46%), SHAM RC 200 (71.00%), OVX RC 200 (45.08%), SHAM RC 400 (64.05%), and OVX RC 400 (47.73%). A statistically significant difference in BV/TV was observed between the SHAM and OVX groups (p = 0.0075) (Fig. 5A).
The Tb.Th values were as follows: SHAM CONV (0.09 mm), OVX CONV (0.12 mm), SHAM RC 200 (0.12 mm), OVX RC 200 (0.11 mm), SHAM RC 400 (0.13 mm), and OVX RC 400 (0.13 mm). No statistical differences were observed between the groups for Tb.Th (p > 0.05) (Fig. 5B).
The results for i.S. were as follows: SHAM CONV (43.29 mm²), OVX CONV (32.70 mm²), SHAM RC 200 (25.65 mm²), OVX RC 200 (25.67 mm²), SHAM RC 400 (31.86 mm²), and OVX RC 400 (20.70 mm²). A statistically significant difference in i.S. was observed between the SHAM and OVX groups (p = 0.0137) (Fig. 5C).
Micro-computed tomography results. (A) Quantification of bone volume fraction (BV/TV). (B) Quantification of trabecular thickness (Tb.Th). (C) Quantification of intersection surface (i.S.). Significant difference is indicated by brackets (*p < 0.05, **p < 0.01). A significant difference can be observed between the SHAM and OVX groups for BV/TV and i.S.
Ultrastructural characterization
Scanning electron microscopy
Backscattered electron (BSE) images were acquired in Scanning Electron Microscopy (SEM) to analyze bone-implant contact. At higher magnifications, micro-fractures are visible between the implant thread surface and the bone (Fig. 6). These may result from several sample preparation stages, including fixation, embedding, polishing, and shrinkage, which hindered detailed interface characterization, particularly at nanometer scales using Transmission Electron Microscopy (TEM)29. However, the uniform contour of both the bone and implant suggests that they were likely in contact prior to the retrieval and sample preparation. Due to the compositional contrast afforded by BSE-SEM, the darker contrast of bone within the thread valley adjacent to the arrows, indicates newly formed and less mineralized bone.
After stitching images along the full length of the implant, a lower magnification view of the implant-bone interface was obtained at both the distal and proximal sides (Figs. 7 and 8). Newly bone formation into the implant threads is noted along the specimen lengths to varying degrees.
Twenty-eight days after implant installation, the negative impact of ovariectomy on bone formation around the implants was evident in the OVX rats by the lack of trabecular bone. Additionally, a considerable amount of bone marrow was observed in the SHAM RC 200 group.
Bone-implant contact and bone area
Bone-Implant Contact (BIC) and Bone Area (BA) were calculated from the BSE-SEM images. In SHAM rats, the RC 200-treated surface exhibited the highest BIC value (3179 μm), followed by RC 400 (3021 μm) and CONV (2599 μm) (Fig. 9A). In OVX rats, the CONV surface showed the highest value (907.0 μm), followed by RC 200 (905.2 μm) and RC 400 (887.8 μm) (Fig. 9A). Therefore, after 28 days of bone healing around the implants, RC 200 demonstrated beneficial effects on bone healing, particularly when administered preventively in the SHAM group.
For the Bone Area (BA) parameter in SHAM rats, RC 200 showed the largest bone area (345065 μm²), followed by RC 400 (298852 μm²) and CONV (193701 μm²) (Fig. 9B). In OVX rats, RC 200 also had the highest value (172587 μm²), followed by CONV (167444 μm²) and RC 400 (102127 μm²) (Fig. 9B).
Thus, in both SHAM and OVX rats, functionalization with RC 200 improved bone quantity around the implant threads, thereby contributing to enhancing peri-implant bone healing.
(A) Mean results for bone-implant contact (BIC, µm) from SEM-BSE analyses. (B) Mean results for bone area (BA, μm²) from SEM-BSE analyses. The graphs represent a qualitative assessment of BIC and BA from a single sample, evaluating both distal and proximal sides using SEM-BSE. No statistical analysis was conducted due to the limited sample size.
Transmission electron microscopy
High-Angle Annular Dark-Field Scanning Transmission Electron Microscopy (HAADF-STEM) images allow for the investigation of bone collagen arrangement and hydroxyapatite crystal distribution at the nanometer scale, enabling a comparison of bone formation near the conventional implant surface versus the surface functionalized with RC. Due to the cracks at the implant-bone interface, samples spanning the interface between pre-existing (old) and de novo (new) bone were prepared by Focused Ion Beam Microscopy (FIB). Resulting HAADF-STEM images are in (Fig. 10). Collagen fibers are visible in TEM as alternating dark and light zones along the length of the fiber, but their visibility depends on the orientation of the collagen fibers in the Section30. When collagen fibers are in the plane of the sample, the alternating dark and light zones are visible (marked CF in top row). However, when the fibers are out of plane, circular dark spots appear, which are indicative of their orientation cut in cross-Section30.
In Fig. 10, STEM imaging reveals the collagen fibril patterns30,31. In all samples, a bright, highly mineralized interface is visible between old and new bone, with collagen fibers aligned in the plane of the image and out. The newly formed bone (on the left side of the images) displays rapid deposition and a disorganized, woven bone structure.
In the SHAM CONV group, a highly mineralized cement-line-like interface is observed. At higher magnification, the interface shows aligned collagen fibrils at the boundary, with less organized bone on either side. In the newly formed bone, dark circular holes, likely artifacts from focused ion beam (FIB) milling, are visible, possibly representing osteocyte canaliculi preferentially milled by the ion beam. The older bone shows collagen fibers that are perpendicular to the plane of the image, resulting in dark circular regions30 (Fig. 10A).
In the SHAM RC 200 group, the newly formed bone pattern shows less organized collagen fibrils compared to the older bone, which exhibits a well-organized collagen fibril pattern with clear banding visible in the plane of the image. This uneven pattern suggests that the new bone is still immature, having been rapidly deposited, and can be classified as woven bone. The interface between the new and old bone appears bright, likely indicating a highly mineralized cement line or suggesting pauses and restarts in the bone formation 32 (Fig. 10B).
In the OVX RC 200 group, the new woven bone pattern is evident, showing less organized collagen fibrils. The lamellar bone in the OVX RC 200 group is less organized compared to that in the SHAM RC 200 group (Fig. 10C).
HAADF-STEM images of the interface between new woven bone and pre-existing old bone for SHAM CONV, SHAM RC 200, and OVX RC 200. From left to right: Low magnification to higher magnification. Note that the new bone is located on the left side while the old bone is located at the right side of the images. Note the cement-line-like interface marked by an asterisk. CF = Collagen fibril.
Discussion
The increase in life expectancy of global population is associated with a higher prevalence of systemic conditions, such as osteoporosis, which presents significant challenges in oral rehabilitation, particularly when dental implants are involved6. Osteoporosis impairs peri-implant bone healing, which are critical for the success of dental implants, leading to compromised treatment outcomes in affected individuals6,8. Given this, there is a need for innovative preventive and therapeutic strategies to improve osseointegration while minimizing systemic side effects12,13,14. One promising approach is the functionalization of titanium implants with locally acting bioactive molecules, which can provide targeted benefits to the bone without systemic exposure33,34. This method complements existing pharmacological treatments, offering a potential adjunct to traditional therapies. RC is a natural compound that has shown beneficial effects on bone metabolism, acting on both bone formation and resorption processes, and is considered a promising alternative in the context of bone healing and osseointegration16,17,18,19,20,21,22,23,24,35. Thus, the functionalization of implants with RC revealed a promising and relatively simple strategy to enhance peri-implant bone healing. In this context, we aimed to challenge bone healing under conditions of estrogen deficiency.
In this study, we evaluated the effects of RC-functionalized titanium implants (RC 200 and RC 400) on cell viability and peri-implant bone formation healing in an experimental model. Cell viability assayed by MTT demonstrated that RC did not induce cytotoxicity, as similar viability levels were observed across all groups, suggesting that RC concentrations used were non-toxic to osteoblastic cells linage. Although the numerical values obtained for the RC group were lower than those observed for the CONV group, they remained above the 70% threshold, which is considered acceptable for maintaining cellular viability according to ISO 10993-5 guidelines36. Therefore, this reduction does not indicate cytotoxicity but may instead reflect a shift in cellular activity. It is plausible that the cells reduced their activity in this test may be to redirect metabolic resources toward other processes, such as differentiation, which is frequently associated with increased protein synthesis37. This hypothesis is consistent with the higher total protein content detected in the treated groups, suggesting that the RC group, may be engaged in anabolic or differentiation-related responses rather than undergoing cytotoxic stress. Furthermore, both RC 200 and RC 400 groups showed an increase in nonspecific total protein content. However, despite this increase in total protein, ALP activity was not significantly higher in the RC-treated groups compared to the CONV surface, suggesting that while RC promotes cellular activity, it may not directly influence early osteogenic differentiation at this stage. Conversely, our result contrasts with findings from another study, in which RC demonstrated the ability to enhance cell viability and stimulate ALP activity21. This discrepancy may be due to differences in experimental conditions and methodological variations, such as cell type, RC concentration, and timing of analysis.
Immunohistochemical analysis of OCN, a marker of bone mineralization27, showed that RC 200 functionalization resulted in the most favorable bone healing, with significant bone formation and a higher level of tissue maturation in comparison to the other surfaces. In contrast, the CONV surface showed moderate OCN staining, and RC 400 exhibited only subtle improvements. The RC 200-treated surface also showed a higher level of osteoclast activity in OVX groups, as evidenced by TRAP staining28. This moderate osteoclast activity suggests that RC 200 may support a balance bone formation and resorption, promoting a more mature and stable bone structure around the implant, thereby supporting healthy bone remodeling as described and observed in other studies38,39. The OVX RC 200 group exhibited a greater quantity of newly formed bone and better bone quality compared to the other groups, which further supports the role of RC in enhancing bone healing. This result resembles a recent in vivo study conducted by our group, in which systemically administered RC led to an increase in TRAP immunostaining exclusively in the OVX/treated group35. Furthermore, the increased immunostaining of OCN and TRAP in the OVX RC 200 group supports a previous study in which RC demonstrated its ability to promote bone-protective effects by concurrently regulating the activation of both osteoblasts and osteoclasts, crucial players in bone homeostasis16.
Micro-CT analysis provided microscopic insights into bone healing around the implants; however, no significant morphometric differences were observed at 28 days post-implantation. This lack of significant differences may be due to the early stage of bone mineralization and ongoing bone remodeling. It is likely that longer time points, such as 60 days40, would reveal more pronounced improvements in bone structure and provide clearer evidence of the effects of RC on bone quality. Thus, further Micro-CT studies at extended time points could provide a clearer understanding of the long-term effects of RC on bone healing. At the ultrastructural level, BSE-SEM images showed that RC-functionalized implants, especially RC 200, enhanced BICand BA in SHAM group. These findings are consistent with cell culture data, which showed that RC promoted cellular activity without inducing cytotoxicity, thus contributing to bone growth without adverse reactions. TEM revealed the organization of woven bone adjacent the implant surface, including collagen fibril orientation and hydroxyapatite crystals in bone extracted at the interface between pre-existing trabeculae and new bone growth. The new bone adjacent to the implant exhibited a less organized pattern, characteristic of rapidly deposited woven bone, while the older bone exhibited well-oriented collagen fibrils and hydroxyapatite crystals, indicating more mature bone30. Micro-CT and BIC analyses indicated that RC promoted subtle, non-significant increases in Tb.Th without corresponding gains in BV/TV. A significant BV/TV difference was only observed between OVX and SHAM animals, suggesting that longer observation periods may be required to fully capture RC’s effects. Despite these modest findings, immunohistochemical analyses revealed biological responses consistent with previous reports of RC’s beneficial actions in osteoporotic models, supporting its potential as a therapeutic agent.
The results obtained in this study are consistent with previous research indicating the potential of RC to promote bone formation and enhance peri-implant bone healing. Previous studies41,42 also observed an increase in bone formation around implants treated with natural compounds, demonstrating positive effects on peri-implant bone quality. In addition, our findings contrast from other studies that reported significant improvements in bone microstructure over longer periods, as shown previously43,44. The discrepancy may be attributed to the shorter follow-up time in our study of 28 days, suggesting that a longer evaluation period could be necessary to observe substantial improvements in peri-implant bone microarchitecture. Additionally, it is possible that the observed differences in RC’s effects between SHAM and OVX rats could be partially explained by the role of estrogen in bone metabolism. In the SHAM group, where estrogen levels are intact, RC may exert its beneficial effects more efficiently, while in OVX rats, where estrogen is deficient, the response to RC may be attenuated. Further research investigating the estrogen dependency of RC’s action in bone healing could clarify this potential mechanism.
Despite these promising results, several limitations must be acknowledged. First, the study was limited to a 28-day post-implantation period, which may not provide sufficient time for full peri-implant bone healing and bone maturation, particularly in the OVX group. Longer observation periods, such as 42, 60 or 90 days, would allow for a more comprehensive assessment of the long-term effects of RC on bone healing and implant stability44,45. The study also did not investigate the potential impact of different doses of RC or other formulations on the outcome, which could be important in optimizing the therapeutic effect of RC functionalization. Finally, the rat tibial medullary bone model is a well-established and widely used approach for studying peri-implant healing43,46,47. Nonetheless, it does not fully reproduce the biological processes of alveolar bone, so complementary studies using maxillary models would further strengthen these findings.
In the future, it would be valuable to extend the observation period to examine the long-term effects of RC-functionalized implants on peri-implant bone healing, especially in estrogen-deficient rats. Investigating different doses of RC, along with combination treatments with other osteoinductive agents, could also provide insights into optimizing peri-implant bone healing. Further studies could also explore the effects of RC on different types of implants, such as those with different surface topographies, to understand whether the benefits of RC functionalization extend across a range of implant designs. Additionally, research into the molecular mechanisms underlying RC’s effects on bone metabolism would provide deeper insights into how this bioactive compound enhances bone healing, potentially leading to more effective strategies for managing bone diseases like osteoporosis. Further characterization of the expressed nonspecific proteins, along with the inclusion of live-dead staining in future in vitro studies, would help to better elucidate the role of RC on cellular behavior. It is worth directing future studies toward the potential of RC 200, rather than RC 400, to stimulate bone formation, particularly in a prophylactic context, as higher concentrations may exceed the optimal range of the dose-response curve, potentially reducing effectiveness or even impairing the biological response. Further research is needed to clarify this dose-dependent effect. Further investigations supporting these findings would be of fundamental importance for the development of novel preventive clinical strategies.
Conclusions
Within the limits of the study, RC, especially at RC 200 concentration, promoted bone formation and enhanced peri-implant bone healing in healthy conditions. Thus, RC can display an adjuvant performance on bone maturation, with action focused on cellular responses that contribute to an improved organization of extracellular matrix and the biomineralization. Future studies should explore longer-term effects and additional parameters to further assess their efficacy.
Materials and methods
In vitro analyzes
Functionalization of the implant surface
For this research, threaded implants and discs were functionalized using dip-coating, which involves immersing the implants in a solution to form layers around them. Commercially pure grade IV titanium discs and implants were used, based on the double acid attack concept (Titaniumfix®, São José dos Campos, São Paulo, Brazil). The implants have a diameter of 2.2 mm and a height of 4 mm. The solutions used for the functionalization of implants were Rubus coreanus 400 µg (RC higher concentration), and Rubus coreanus 200 µg (RC lower concentration), both diluted in 100 ml of DMSO. DMSO is an organic polar aprotic molecule widely used as a solvent because it is soluble in both aqueous and organic environments, it has a relatively low rate of toxicity, and its use has grown in the biological field, especially after Food and Drug Administration approval48,49.
The dip-coating was carried out so that each implant was dipped five times in a determined solution, with a necessary interval between immersions for each layer to dry completely. Once the five layers were dried, the implants and discs were exposed to UV-C light to be sterilized. Subsequently, the discs were stored in a plate and designated for cell culture50,51,52, while the implants were immediately installed in the rats.
Cell culture
Functionalized discs (RC 200, and RC 400) were used for cell culture to biologically evaluate their respective surfaces. After approval by the Ethics in the Use of Animals Committee of the São Paulo State University (UNESP), Institute of Science and Technology, São José dos Campos protocol number 14/2019, the cell culture experiments were performed. Wistar rats were euthanized for the collection of donor samples. After cleaning the femurs, they were placed in a transport solution containing minimal essential medium, alpha modification with L-glutamine (α-MEM – Gibco), supplemented with 10% fetal bovine serum (FBS) (Cultilab Ltda., Campinas, São Paulo, Brazil) and gentamicin (Gibco, Grand Island, New York, USA).
In laminar flow, the ends were removed, and primary cultures of osteoblasts were isolated from the cells obtained by washing the bone marrow of the femurs, using an osteogenic culture medium according to Rosa et al.53. Subsequently, these cells were distributed in flasks for culture (Nunc, Denmark) and incubated at 37 °C with 5% CO2 (Ultrasafe Incubator HF 212 UV). The culture medium was changed every three days, and the culture progression was evaluated by inverted phase microscopy (Carl Zeiss Microscope – Axiovert 40 C, Germany). After reaching confluence (approximately 7 days), the cells were enzymatically released. 2 × 104 viable cells were plated in each well of a 24-well microplate (Nunc, Roskilde, Zealand, Denmark) containing the discs and surfaces of interest, and osteogenic culture medium was added to obtain a final volume of 1 mL. These plates were incubated at 37 °C with 5% CO2, and osteoblasts from all groups were evaluated for cell viability, total protein content, alkaline phosphatase activity, formation of mineralization nodules, and cell cytoskeleton. All tests were performed in accordance with ISO 10993-1 and in triplicate54, each triplicate consisting of a pool of cells from the femurs of 4 rats from each group. The control group (CONV) used in all tests was the surface with double acid attack from the company Titaniumfix® (Titaniumfix®, São José dos Campos, São Paulo, Brazil).
The ALP activity was determined through the release of thymolphthalein by hydrolysis of the thymolphthalein monophosphate substrate, using a commercial kit according to the manufacturer’s instructions (Labtest Diagnóstica S.A., Lagoa Santa, Minas Gerais, Brazil). This was done using the same lysates from the total protein test after a period of 7 days, as described by Andrade et al.55 and Prado et al.56. Absorbance was measured in a spectrophotometer (AJX 1900 Micronal, S.A., São Paulo, São Paulo, Brazil) at a wavelength of 590 nm. ALP activity was calculated from a standard curve using thymolphthalein on a scale of 0.012 to 0.4 µmol thymolphthalein/hour/µg protein.
Quantitative evaluation of live cells was carried out after exposure to the toxic agent by incubation with the dye MTT and spectrophotometric analysis of the incorporated dye. For the evaluation of cell viability, the cells were cultivated in the wells and evaluated after a period of 7 days, using colorimetric measurement in a microplate reader at a wavelength of 570 nm (EL808IU, BioTek Instruments, Inc., Winooski, VT, USA), according to a previous study55. Data were measured through absorbance.
The total protein content was calculated after 7 days of culture, according to the modified method previously published57. The procedures for this analysis are described in previous experiments55,56. After the completion of the test, absorbance was measured spectrophotometrically at 680 nm, and the total protein content was calculated from a standard curve determined from bovine albumin and expressed in µg/mL.
For the analysis of cell morphology, including the actin cytoskeleton and the nuclei of cells attached to the surface, cultures cultivated for 10 days were fixed in a 4% paraformaldehyde solution (Synth, Brazil) in 0.1 M phosphate buffer (PBS), pH 7.2, for 10 min at room temperature. Cells were then routinely processed for fluorescence using Alexa Fluor 488 Phalloidin (Invitrogen, Eugene, USA) and DAPI (Sigma-Aldrich, St. Louis, MO, USA)54. The specimens were examined under a fluorescence microscope (Carl Zeiss Microlimaging GmbH – Axiovert 40 C, Germany) with epifluorescence. Digital images were analyzed using Axio Vision 7.0 software (Axio Vision 7.0 software, Carl Zeiss Microscopy GmbH, Jena, Germany).
In vivo studies
Study design and ethics
This in vivo study was approved by the Ethics Committee on the Use of Animals of São Paulo State University (UNESP), School of Dentistry, Araçatuba, Brazil (process 410/2020, approved on April 23rd, 2024). The animal research was conducted in accordance with the Animal Research: Reporting of In vivo Experiments (ARRIVE) guidelines and adhered to the Guide for the Care and Use of Laboratory Animals provided by the National Institutes of Health 58.
Forty-eight female rats (Rattus norvegicus albinus, Wistar), four months old, with body weights ranging from 250 to 300 g, were used. The rats were kept in cages at a room temperature of 22 °C, on a 12-hour light/12-hour dark cycle, and received a balanced diet (NUVILAB, 1.4% Ca and 0.8% P) and water ad libitum. The rats were selected for the experiment after confirming their regular estrous cycle59. The rats were randomly divided into six experimental groups, each with 8 rats, according to the condition of estrogen deficiency and implant surface functionalization: SHAM CONV (n = 8); SHAM RC 200 (n = 8); SHAM RC 400 (n = 8); OVX CONV (n = 8); OVX RC 200 (n = 8); and OVX RC 400 (n = 8) (Table 2).
Ovariectomy
Rats were anesthetized with xylazine hydrochloride (Coopers Saúde Animal Indústria e Comércio Ltda., Recife, Pernambuco, Brazil) and ketamine hydrochloride (Vetaset®-Fort Dodge Animal Health Ltda., Campinas, São Paulo, Brazil.) and were immobilized on a surgical board in a lateral decubitus position. To access the abdominal cavity, a 1 cm incision was made on the flanks, and the subcutaneous tissue and peritoneum were divided by planes. The ovaries and uterine horns were located and then ligated with Polyglactin 910 4.0 thread (Vicryl™, Johnson & Johnson, New Brunswick, NJ, USA). The ovaries were then removed, and the incision was sutured in layers with Polyglactin 910 4.0 (Vicryl™, Johnson & Johnson, New Brunswick, NJ, USA). Rats in the SHAM group underwent the same procedure, but only surgical exposure of the uterine horns and ovaries was performed without ligation and removal, to expose them to the same surgical stress as the ovariectomized rats. As a prophylactic measure after surgery, 0.2 ml of a veterinary antibiotic (Penicillin with Streptomycin, 1,200,000 IU) was injected intramuscularly into all rats. They underwent daily evaluation of the estrous cycle to confirm the effectiveness of the procedure60.
Implant installation
Thirty days after the ovariectomy or fictitious surgery, implant placement was performed in the proximal metaphysis of the tibia. The rat tibia model was utilized to investigate peri-implant bone repair, given its broad acceptance for studying biological responses and mechanical characteristics26,35,40,46. The rats were fasted for eight hours prior to the surgical procedure and were sedated with a combination of 50 mg/kg of intramuscular ketamine (Vetaset – Fort Dodge Saúde Animal Ltda., Campinas, São Paulo, Brazil) and 5 mg/kg of xylazine hydrochloride (Dopaser – Laboratório Calier do Brasil Ltda., Osasco, São Paulo, Brazil) as reported previously61. Local anesthesia and hemostasis of the operative field were achieved using mepivacaine (0.3 ml/kg, Scandicaine 2% with adrenaline 1:100,000, Septodont, France).
After sedation, the animal was positioned on the surgical table. Trichotomy was performed on the medial portion of the right and left tibia, and antisepsis was carried out with Polyvinylpyrrolidone Iodine Topical (PVPI 10%, Riodeine Topical, Rioquímica, São José do Rio Preto). A linear incision of approximately 1.5 cm in length was made in the region of the left and right tibial metaphysis using a #15 blade (Feather Industries Ltd., Tokyo, Japan). The soft tissue was then carefully separated to its full thickness and removed with the aid of periosteal elevators, exposing the bone for implant installation.
Drilling was performed with a 0.9 mm spiral milling cutter mounted on an electric motor (BLM 600®; Driller, São Paulo, SP, Brazil) at a speed of 1000 rpm, under irrigation with isotonic sodium chloride solution (0.9% sodium chloride, Fisiológico®, Laboratórios Biosintética Ltda., Ribeirão Preto, SP, Brazil) and using a contra-angle with 20:1 reduction (Anglepiece 3624 N 1:4, Head 67RIC 1:4, KaVo®, Kaltenbach & Voigt GmbH & Co., Biberach, Germany), achieving a depth of 2.0 mm with locking and initial stability.
Each animal received 2 implants, one in each proximal metaphysis of the tibia. The tissues were sutured in layers using absorbable thread (Polygalactin 910 – Vicryl™ 4.0, Ethicon, Johnson & Johnson, São José dos Campos, Brazil) with continuous stitches in the deep plane and monofilament thread (Nylon 5.0, Ethicon, Johnson & Johnson, São José dos Campos, Brazil) with interrupted sutures in the outermost plane. In the immediate postoperative period, each animal received a single intramuscular dose of 0.2 ml of Penicillin G-benzathine (Small Veterinary Pentabiotic, Fort Dodge Saúde Animal Ltda., Campinas, SP). The rats had food and water provided ad libitum throughout the experiment.
Euthanasia
Twenty-eight days after the implant placement, the rats were anesthetized with a lethal dose of sodium thiopental 1 g (Thiopentax, Cristália Chemicals and Pharmaceuticals Ltda., Itapira, SP, Brazil). The tibia of the rats was removed and randomly destined for the analysis. Some tibia was fixed in buffered 10% formalin solution (Analytical Reagents, Hospital Dynamics, Brazil) for H&E and immunohistochemistry analysis. The other tibias were removed and fixed for 48 h, bathed in running water for 24 h, and stored in 70% alcohol for analysis by Micro-Computed Tomography, SEM, FIB, and TEM. The timeline of the experimental design can be seen in Fig. 11.
Schematic representation (not to scale) of the experimental design for peri-implant assessment at 28 days. Created in BioRender. LSMT, L. (2025) https://BioRender.com/k21nk83.
Histological analysis
The samples underwent fixation in 10% buffered formalin (Reagentes Analíticos®, Dinâmica Odonto-Hospitalar Ltda., Catanduva, SP, Brazil) for 48 h, followed by a 24-hour wash in running water. Subsequently, they were decalcified in 10% ethylenediaminetetraacetic acid (EDTA) (Merck, Darmstadt, Germany) for a period of 2 months. After another 24-hour wash in running water, the samples were dehydrated, rendered transparent, and embedded in paraffin. At the time of paraffin embedding, the implants were removed. The tissue samples were then sliced longitudinally along the axis of the implant until achieving a thickness of 6 micrometers, and these slices were mounted on histological slides.
After staining the slices with hematoxylin and eosin (HE) (MERCK & Co., Inc., New Jersey, United States), the histological slides were scanned using the MoticEasyScan One equipment (Motic Group, Kowloon Bay, Hong Kong).
Immunohistochemical analysis
Samples submitted to immunohistochemical analysis received the same laboratory processing as the samples submitted to histological analysis, however, they were not staining with HE, they underwent immunohistochemistry processing to detect proteins in bone tissue.
Primary antibodies such as OCN (goat anti-OCN; Santa Cruz Biotechnology) and TRAP (goat anti-TRAP; Santa Cruz Biotechnology) were utilized. A biotinylated donkey anti-goat antibody (Jackson Immunoresearch Laboratories, West Grove, PA, USA) served as the secondary antibody. Immunohistochemical reactions were enhanced using an avidin-biotin system (Kit ABC-Vectastain Elite ABC–peroxidase standard, reagent A and B only–PK6100; Vector Laboratories, Burlingame, CA, USA), with diaminobenzidine (Sigma, Saint Louis, MO, USA) employed as the chromogen. Control reactions were conducted to assess label specificity, and counter-staining was achieved with Hematoxylin.
The immunolabeling analysis was conducted semi-quantitatively by assigning scores based on the extent of protein presence in the healing tissue (area of interest). A score of 1 was given for 25% positive immunolabeling, a score of 2 for 50%, and a score of 3 for 75%, in accordance with previously published studies61,62,63.
Micro-CT analysis
The evaluated parameters followed the guide for the evaluation of bone microarchitecture in rodents using Micro-CT published previously64.
The samples were scanned using a Skyscan microtomograph (kyScan 1272, Bruker microCT, Aartselaar, Belgium, 2003), using 8 μm thick slices (90 kV and 111µA), with an Al filter (0.5 mm + Cu 0.038) and a rotation step of 0.4 mm, pixel size of 2016 × 1344 μm, and an acquisition time of 1 h and 56 min. The images obtained by projecting X-rays onto the samples were stored and reconstructed by determining the area of interest using the NRecon software (NRecon, version 1.6.6.0, Bruker microCT, Aartselaar, Belgium), with a smoothing of 5, artifact ring correction of 10, beam hardening correction of 40%, and a conversion range of 0.0–0.14. In the Data Viewer software (DataViewer, version 1.4.4 64-bit, Bruker microCT, Aartselaar, Belgium), the images were reconstructed and evaluated in the transaxial plane. To perform the 3D morphometrics, the CTAnalyser software (CTAnalyser, Bruker microCT, Aartselaar, Belgium) was used.
The patterning of the region of interest (ROI) was standardized using the BIC methodology involving the peri-implant bone region in contact with the implant. Using the BIC methodology, 30 slices corresponding to the medullary portion were demarcated, starting with the disappearance of the upper cortex and the appearance of medullary bone. From this conversion, the software performed the morphometric calculation applied to the ROI through the parameters BV/TV, Tb.Th, and i.S64.
Ultrastructural analysis
After Micro-CT, the tibia were dehydrated with a graded series of ethanol (70–80–90–100%). Then, the tibias were infiltrated in a solution of acetone and methyl methacrylate MMAL (Classic, Classic Dental Articles, São Paulo, São Paulo, Brazil) in a proportion of 1:1, followed by baths of methyl methacrylate. The 1% benzoyl peroxide catalyst (Riedel - De Haën AG, Seelze - Hannover, Germany) was added to the last bath.
Samples were placed in glass flasks with caps which were kept at a temperature of 37 °C for 5 days until the resin was polymerized. After polymerization, the blocks containing the specimens were initially reduced with a Maxicut Tungsten drill mounted on a Kota bench motor (Strong 210, São Paulo, São Paulo, Brazil), parallel to the long axis of the tibia (sagittal plane). Then, the progressive manual polishing was performed in a metallographic polisher (PL02E 2-speed metallographic polisher, Teclago, São Paulo, Brazil) with 120, 320, 400, 600, 800 and 1200 grain sandpapers (3 M Wetordry abrasive sheet), up to the thickness of 2 mm measured by digital pachymeter (Mitutoyo, Pompeia, São Paulo, Brazil).
SEM was employed to characterize the peri-implant region and to provide an ultrastructural overview of bone healing along the implant surface. SEM images were used to qualitatively assess BA and BIC, and to identify regions of interest (ROIs) for subsequent high-resolution analyses. For preparation, samples were cleaned and sputter-coated with a thin layer of carbon (∼20 nm) to improve its conductivity. Additionally, to mitigate the accumulation of charges on top of the samples, a thin layer of silver paste was applied on the sides of the implant bloc and connected to the SEM stub. BSE-SEM images were acquired using FEI Magellan 400 XHR (ThermoFisher Scientific, Hillsboro, USA), operated at accelerating voltage of 10 kV and a working distance of 6–6.5 mm.
BSE-SEM images for each sample were stitched together using Fiji software65 to evaluate BIC, and BA, which is the bone area close to the implant threads. Only the trabecular bone was evaluated66. Then, the images were used to identify the old/new bone interface near the implant for the preparation of the sample byFIB-SEM microscopy for STEM analysis. ROIs at the peri-implant regions including interfaces between existing and new bone were nominated for sample lift-out for further analyses using TEM. For TEM analysis, SHAM CONV, SHAM RC 200, and OVX RC 200 samples were selected, as implants functionalized with RC 200 demonstrated superior cellular responses compared to other groups in previous analyses. Based on the BA and BIC results, these samples appeared to be promising candidates for ultrastructural evaluation.
TEM sample preparation was performed using FIB-SEM (Helios 5 UC Dual Beam, Thermo Scientific). Initially, a thin electron-beam deposited tungsten layer was deposited to safeguard the sample from potential damage by both electron and ion beams. Following this, a thicker layer of tungsten (2.5 micrometers) was deposited onto the sample using the ion beam followed by the milling of trenches (Fig. 12B) and lifting out the ROI (Fig. 12C). The lift out was transferred to a TEM grid (Fig. 12D), where the sample was thinned to electron transparency and the preparation was concluded with a final cleaning phase67. Through this final phase, the TEM lamella underwent exposure to a low-energy gallium FIB beam operating at 2 kV and 0.19 nA for a brief duration on each side. This step ensured the removal of any accumulated contaminants or residues, rendering the sample ready for high-resolution TEM analysis (Fig. 12A−G)68.
(A) BSE-SEM image of implant (white), bone (grey) and resin (darker grey), Yellow square represents the ROI; (B) TEM sample preparation by FIB including trenches cut on either side of area of interest, protected by tungsten deposition; (C) lift-out of lamella using micromanipulator; (D) sample attachment to TEM grid and thinning of sample; (E), (F) and (G) HAADF-STEM image of thinned sample showing more organized collagen fibrils (old bone) and less organized collagen fibrils (new bone) separated by a bright highly mineralized interface.
ROI lifted out were analyzed using TEM to assess the impact of implant functionalization with RC on the physiological and ultrastructural aspects of the new bone.
HAADF-STEM images of the lamella were acquired at 200 kV (Talos 200X, Thermo Fisher Scientific, MA, USA). STEM allows visualization of collagen banding, distinctive 67 nm dark and light bands that indicate the orientation of collagen in the sample. These qualitative imaging techniques made possible the ability to evaluate bone healing process between the groups from an ultrastructural perspective and analyze the effect of RC on bone healing.
Statistical analysis
The data obtained was subjected to a normality and homoscedasticity test (Shapiro-Wilk test) which was used to evaluate the distribution of samples, which were parametric. After confirming their normal distribution, the Anova Two Way test was followed by the Tukey test for multiple comparisons, when necessary. The tests were performed using the GraphPad Prism version 7.03 (GraphPad Software, La Jolla, USA) program for Windows. For all data, a significant level of 5% (p < 0.05) was considered.
Sample size was determined using the OpenEpi online calculator (Version 3; available at http://www.openepi.com/SampleSize/SSMean.htm). The outcome variable was the BV/TV measured via Micro-CT, consistent with a previously published study employing a comparable methodology40. Group means of 33.37 and 43.74 and corresponding standard deviations of 8.53 and 5.77 were entered into the model. The calculation was based on a significance level (α) of 0.05, a statistical power of 80%, and a 95% confidence interval.
Data availability
The datasets used and/or analysed during the current study available from the corresponding author on reasonable request.
References
Tella, S. H. & Gallagher, J. C. Prevention and treatment of postmenopausal osteoporosis. J. Steroid Biochem. Mol. Biol. 142, 155–170 (2014).
Kanis, J. A. et al. A new approach to the development of assessment guidelines for osteoporosis. Osteoporos. Int. J. Establ Result Coop. Eur. Found. Osteoporos. Natl. Osteoporos. Found. USA. 13, 527–536 (2002).
Temmerman, A., Rasmusson, L., Kübler, A., Thor, A. & Quirynen, M. An open, prospective, non-randomized, controlled, multicentre study to evaluate the clinical outcome of implant treatment in women over 60 years of age with osteoporosis/osteopenia: 1-year results. Clin. Oral Implants Res. 28, 95–102 (2017).
Eastell, R. Management of osteoporosis due to ovarian failure. Med. Pediatr. Oncol. 41, 222–227 (2003).
Armas, L. A. G. & Recker, R. R. Pathophysiology of osteoporosis: new mechanistic insights. Endocrinol. Metab. Clin. North. Am. 41, 475–486 (2012).
Lemos, C. A. A. et al. Do dental implants placed in patients with osteoporosis have higher risks of failure and marginal bone loss compared to those in healthy patients? A systematic review with meta-analysis. Clin. Oral Investig. 27, 2483–2493 (2023).
Giro, G. et al. Impact of osteoporosis in dental implants: A systematic review. World J. Orthop. 6, 311–315 (2015).
Merheb, J., Vercruyssen, M., Coucke, W. & Quirynen, M. Relationship of implant stability and bone density derived from computerized tomography images. Clin. Implant Dent. Relat. Res. 20, 50–57 (2018).
Song, S., Guo, Y., Yang, Y. & Fu D. Advances in pathogenesis and therapeutic strategies for osteoporosis. Pharmacol. Ther. 237, 108168 (2022).
McClung, M. R. Romosozumab for the treatment of osteoporosis. Osteoporos. Sarcopenia. 4, 11–15 (2018).
Sibai, T., Morgan, E. F. & Einhorn, T. A. Anabolic agents and bone quality. Clin. Orthop. 469, 2215–2224 (2011).
Anil, S., Preethanath, R. S., AlMoharib, H. S., Kamath, K. P. & Anand, P. S. Impact of osteoporosis and its treatment on oral health. Am. J. Med. Sci. 346, 396–401 (2013).
Ruggiero, S. L. et al. American association of oral and maxillofacial surgeons’ position paper on Medication-Related osteonecrosis of the Jaws-2022 update. J. Oral Maxillofac. Surg. Off J. Am. Assoc. Oral Maxillofac. Surg. 80, 920–943 (2022).
Li, Z. et al. Cell death regulation: A new way for natural products to treat osteoporosis. Pharmacol. Res. 187, 106635 (2023).
Martiniakova, M., Babikova, M. & Omelka, R. Pharmacological agents and natural compounds: available treatments for osteoporosis. J. Physiol. Pharmacol. Off J. Pol. Physiol. Soc. https://doi.org/10.26402/jpp.2020.3.01 (2020).
Choi, C. et al. Effect of rubus Coreanus extracts on diabetic osteoporosis by simultaneous regulation of osteoblasts and osteoclasts. Menopause N Y N. 19, 1043–1051 (2012).
Hong, S. et al. Suppressive effects of Geoje raspberry (Rubus Tozawae Nakai ex J.Y. Yang) on Post-Menopausal osteoporosis via its osteogenic activity on osteoblast differentiation. Nutrients 16, 3856 (2024).
Meng, Q., Manghwar, H. & Hu, W. Study on supergenus rubus L.: Edible, Medicinal, and phylogenetic characterization. Plants 11, 1211 (2022).
Lee, M. Y. et al. Metabolite profiling reveals the effect of dietary rubus Coreanus vinegar on Ovariectomy-Induced osteoporosis in a rat model. Mol. Basel Switz. 21, 149 (2016).
Jung Koo, H. et al. Effect of the combinatory mixture of rubus Coreanus Miquel and astragalus Membranaceus bunge extracts on ovariectomy-induced osteoporosis in mice and anti-RANK signaling effect. J. Ethnopharmacol. 151, 951–959 (2014).
Lee, K. H. & Choi, E. M. Rubus Coreanus Miq. Extract promotes osteoblast differentiation and inhibits bone-resorbing mediators in MC3T3-E1 cells. Am. J. Chin. Med. 34, 643–654 (2006).
Do, S. H. et al. Bone-protecting effect of rubus Coreanus by dual regulation of osteoblasts and osteoclasts. Menopause N Y N. 15, 676–683 (2008).
Valencia-Llano, C. H., Solano, M. A. & Grande-Tovar, C. D. Nanocomposites of Chitosan/Graphene Oxide/Titanium dioxide Nanoparticles/Blackberry waste extract as potential bone substitutes. Polymers 13, 3877 (2021).
Kaume, L., Howard, L. R. & Devareddy, L. The blackberry fruit: a review on its composition and chemistry, metabolism and bioavailability, and health benefits. J. Agric. Food Chem. 60, 5716–5727 (2012).
Srivichit, B., Thonusin, C., Chattipakorn, N. & Chattipakorn, S. C. Impacts of bisphosphonates on the bone and its surrounding tissues: mechanistic insights into medication-related osteonecrosis of the jaw. Arch. Toxicol. 96, 1227–1255 (2022).
Duarte, P. M., César Neto, J. B., Gonçalves, P. F. & Sallum, E. A. Nociti, júnior F. H. Estrogen deficiency affects bone healing around titanium implants: a histometric study in rats. Implant Dent. 12, 340–346 (2003).
Tsao, Y. T. et al. Osteocalcin mediates biomineralization during osteogenic maturation in human mesenchymal stromal cells. Int. J. Mol. Sci. 18, 159 (2017).
Lamp, E. C. & Drexler, H. G. Biology of tartrate-resistant acid phosphatase. Leuk. Lymphoma. 39, 477–484 (2000).
Shah, F. A., Johansson, B. R., Thomsen, P. & Palmquist, A. Ultrastructural evaluation of shrinkage artefacts induced by fixatives and embedding resins on osteocyte processes and pericellular space dimensions. J. Biomed. Mater. Res. A. 103, 1565–1576 (2015).
Grandfield, K., Vuong, V. & Schwarcz, H. P. Ultrastructure of bone: hierarchical features from nanometer to micrometer scale revealed in focused ion beam sections in the TEM. Calcif Tissue Int. 103, 606–616 (2018).
Schwarcz, H. P., Abueidda, D. & Jasiuk, I. The Ultrastructure of Bone and Its Relevance to Mechanical Properties. Front Phys https://doi.org/10.3389/fphy.2017.00039 (2017).
Okada, H. et al. Ultrastructure of cement lines. J. Hard Tissue Biol. 22, 445–450 (2013).
Göttlicher, M. et al. Functionalization of Ti-40Nb implant material with strontium by reactive sputtering. Biomater. Res. 21, 18 (2017).
Trino, L. D. et al. Titanium surface Bio-functionalization using osteogenic peptides: surface Chemistry, Biocompatibility, corrosion and tribocorrosion aspects. J. Mech. Behav. Biomed. Mater. 81, 26–38 (2018).
Monteiro, N. G. et al. Rubus Coreanus enhances Peri-Implant bone healing and biomineralization in ovariectomized and healthy rats. Biology 14, 139 (2025).
International Organization for Standardization. ISO 10993-5: Biological Evaluation of Medical Devices – Part 5: Tests for in Vitro Cytotoxicity. (Geneva, 2009).
Song, Y., Ju, Y., Song, G. & Morita, Y. In vitro proliferation and osteogenic differentiation of mesenchymal stem cells on nanoporous alumina. Int. J. Nanomed. 8, 2745–2756 (2013).
Li, Z., Müller, R. & Ruffoni, D. Bone remodeling and mechanobiology around implants: insights from small animal imaging. J. Orthop. Res. Off Publ Orthop. Res. Soc. 36, 584–593 (2018).
Fiorin, L. G. et al. Tamoxifen improves homeostasis in the peri-implant bone remodeling of osseointegrated titanium implants. J. Periodontal Res. 57, 880–890 (2022).
Gomes-Ferreira, P. H. S. et al. Teriparatide improves microarchitectural characteristics of peri-implant bone in orchiectomized rats. Osteoporos. Int. J. Establ Result Coop. Eur. Found. Osteoporos. Natl. Osteoporos. Found. USA. 31, 1807–1815 (2020).
Duarte, N. D. et al. Sonification of deproteinized bovine bone functionalized with genistein enhances bone repair in Peri-Implant bone defects in ovariectomized rats. J. Funct. Biomater. 15, 328 (2024).
Micheletti, C. et al. Mesoscale characterization of osseointegration around an additively manufactured genistein-coated implant. Sci. Rep. 14, 15339 (2024).
Gomes-Ferreira, P. H. S. et al. Evaluation of vitamin D isolated or associated with teriparatide in Peri-Implant bone repair in tibia of orchiectomized rats. Biology 12, 228 (2023).
Fernandes, E. et al. Strontium-containing mineralized phospholipid coatings improve osseointegration in osteoporotic rats. J. Biomed. Mater. Res. A. 113, e37782 (2025).
Freire, A. R. et al. Histometric analysis of bone repair in bone-implant interface using a polylactic/polyglycolic acid copolymer associated with implants in rabbit tibia. J. Oral Implantol. 38 (Spec No), 449–457 (2012).
Glösel, B., Kuchler, U., Watzek, G. & Gruber, R. Review of dental implant rat research models simulating osteoporosis or diabetes. Int. J. Oral Maxillofac. Implants. 25, 516–524 (2010).
Alfaiate, D. et al. Surgical bone implantation technique for rat tibia models of diabetes and osteoporosis. J. Vis. Exp. JoVE. https://doi.org/10.3791/66591 (2024).
Galvao, J. et al. Unexpected low-dose toxicity of the universal solvent DMSO. FASEB J. Off Publ Fed. Am. Soc. Exp. Biol. 28, 1317–1330 (2014).
Paludetto, L. V. et al. Smart delivery of biomolecules interfering with Peri-Implant repair in osteoporotic rats. Int. J. Mol. Sci. 25, 8963 (2024).
Park, J. W. et al. Osteoblast response and osseointegration of a Ti-6Al-4V alloy implant incorporating strontium. Acta Biomater. 6, 2843–2851 (2010).
Parent, M. et al. PLGA in situ implants formed by phase inversion: critical physicochemical parameters to modulate drug release. J. Control Release Off J. Control Release Soc. 172, 292–304 (2013).
Hernandez-Montelongo, J. et al. Electrostatic immobilization of antimicrobial peptides on polyethylenimine and their antibacterial effect against Staphylococcus epidermidis. Colloids Surf. B Biointerfaces. 164, 370–378 (2018).
Rosa, M. L. et al. Chronic ethanol intake inhibits in vitro osteogenesis induced by osteoblasts differentiated from stem cells. J. Appl. Toxicol. JAT. 28, 205–211 (2008).
Health, C. D. and R. Use of International Standard ISO 10993-1. Biological evaluation of medical devices - Part 1: Evaluation and testing within a risk management process. https://www.fda.gov/regulatory-information/search-fda-guidance-documents/use-international-standard-iso-10993-1-biological-evaluation-medical-devices-part-1-evaluation-and (2023).
de Andrade, D. P. et al. Titanium–35niobium alloy as a potential material for biomedical implants: in vitro study. Mater. Sci. Eng. C. 56, 538–544 (2015).
do Prado, R. F. et al. Porous titanium and Ti-35Nb alloy: effects on gene expression of osteoblastic cells derived from human alveolar bone. J. Mater. Sci. Mater. Med. 26, 259 (2015).
Lowry, O. H., Rosebrough, N. J., Farr, A. L. & Randall, R. J. Protein measurement with the Folin phenol reagent. J. Biol. Chem. 193, 265–275 (1951).
Percie du Sert. The ARRIVE guidelines 2.0: updated guidelines for reporting animal research. BMJ Open. Sci. 4, e100115 (2020).
Lagari, V. S. & Levis, S. Phytoestrogens for menopausal bone loss and climacteric symptoms. J. Steroid Biochem. Mol. Biol. 139, 294–301 (2014).
The oestrous cycle in the rat and its associated phenomena - Digital. Collections - National Library of Medicine. https://collections.nlm.nih.gov/catalog/nlm:nlmuid-06120800R-bk (1922).
Ramalho-Ferreira, G., Faverani, L. P., Prado, F. B., Garcia, I. R. & Okamoto, R. Raloxifene enhances peri-implant bone healing in osteoporotic rats. Int. J. Oral Maxillofac. Surg. 44, 798–805 (2015).
Luvizuto, E. R. et al. Osteocalcin Immunolabeling during the alveolar healing process in ovariectomized rats treated with Estrogen or raloxifene. Bone 46, 1021–1029 (2010).
dos Santos, P. L. et al. Guided implant surgery: what is the influence of this new technique on bone cell viability? J. Oral Maxillofac. Surg. 71, 505–512 (2013).
Bouxsein, M. L. et al. Guidelines for assessment of bone microstructure in rodents using micro-computed tomography. J. Bone Min. Res. Off J. Am. Soc. Bone Min. Res. 25, 1468–1486 (2010).
Schindelin, J. et al. Fiji: an open-source platform for biological-image analysis. Nat. Methods. 9, 676–682 (2012).
Gomes, F. V. et al. Low-level laser therapy improves peri-implant bone formation: resonance frequency, electron microscopy, and stereology findings in a rabbit model. Int. J. Oral Maxillofac. Surg. 44, 245–251 (2015).
Jarmar, T. et al. Technique for Preparation and characterization in cross-section of oral titanium implant surfaces using focused ion beam and transmission electron microscopy. J. Biomed. Mater. Res. A. 87, 1003–1009 (2008).
Thorfve, A., Palmquist, A. & Grandfield, K. Three-dimensional analytical techniques for evaluation of osseointegrated titanium implants. Mater. Sci. Technol. 31, 174–179 (2015).
Acknowledgements
The authors would like to thank the São Paulo Research Foundation (FAPESP) for providing funding for Odir Nunes de Oliveira Filho, an undergraduate student (FAPESP process 2021/12692-0 and 2023/11613-5), and Ms. Naara Gabriela Monteiro, a graduate scholarship recipient (FAPESP process 2020/02798-3). This study was supported by CNPq - National Council for Scientific and Technological Development - INCT Saúde Oral e Odontologia (Grant No. 406840/2022-9). This study was also partially funded by the Coordenação de Aperfeiçoamento de Pessoal de Nível Superior – Brasil (CAPES) – Finance Code 001. Additionally, Roberta Okamoto is affiliated with the Research Productivity Scholarship (Process number: 308408/2023-3). The authors would like to thank the Canadian Centre for Electron Microscopy (CCEM), where the electron microscopy analyses were carried out; the Multiuser Laboratory at São Paulo State University (UNESP), School of Dentistry, Araçatuba, Brazil (FINEP 01.12.0530.00–PROINFRA 01/2011), where the Micro-CT was performed; and the company TitaniumFix for supplying the implants. Figs. 1, 5 and 9, and 11 were created using BioRender.com.
Author information
Authors and Affiliations
Contributions
R.O. conceptualized the study. O.N.O.F., N.G.M., F.R.S.B., P.N.L.F., K.G., and R.O. developed the methodology. O.N.O.F., N.G.M., and R.O. validated the data. O.N.O.F. and N.G.M. conducted the formal analysis. O.N.O.F., N.G.M., and N.A. performed the investigation. R.O. and K.G. provided resources. O.N.O.F. and N.G.M. curated the data. O.N.O.F. wrote the original draft. O.N.O.F., N.G.M., P.N.L.F., N.A., G.M.S., K.G., and R.O. reviewed and edited the manuscript. R.O. and K.G. supervised the project. R.O. managed the project administration. K.G. and R.O. acquired funding. All authors read and approved the published version of the manuscript.
Corresponding authors
Ethics declarations
Competing interests
The authors declare no competing interests.
Institutional review board
Cell culture experiments were approved by the Ethics in the Use of Animals Committee of the São Paulo State University (UNESP), Institute of Science and Technology, São José dos Campos, protocol number 14/2019 on December 17th, 2019. The animal study protocol was approved by the Ethics Committee of the São Paulo State University (UNESP), School of Dentistry, Araçatuba, Brazil (protocol code 410–2020, April 23rd, 2024).
Additional information
Publisher’s note
Springer Nature remains neutral with regard to jurisdictional claims in published maps and institutional affiliations.
Supplementary Information
Below is the link to the electronic supplementary material.
Rights and permissions
Open Access This article is licensed under a Creative Commons Attribution-NonCommercial-NoDerivatives 4.0 International License, which permits any non-commercial use, sharing, distribution and reproduction in any medium or format, as long as you give appropriate credit to the original author(s) and the source, provide a link to the Creative Commons licence, and indicate if you modified the licensed material. You do not have permission under this licence to share adapted material derived from this article or parts of it. The images or other third party material in this article are included in the article’s Creative Commons licence, unless indicated otherwise in a credit line to the material. If material is not included in the article’s Creative Commons licence and your intended use is not permitted by statutory regulation or exceeds the permitted use, you will need to obtain permission directly from the copyright holder. To view a copy of this licence, visit http://creativecommons.org/licenses/by-nc-nd/4.0/.
About this article
Cite this article
de Oliveira-Filho, O.N., Monteiro, N.G., de Souza-Batista, F.R. et al. Investigating the role of Rubus coreanus in enhancing peri-implant bone healing in healthy and estrogen-deficient rats. Sci Rep 15, 45038 (2025). https://doi.org/10.1038/s41598-025-29521-1
Received:
Accepted:
Published:
Version of record:
DOI: https://doi.org/10.1038/s41598-025-29521-1











