Abstract
In our study, we investigated the role of the chromatin remodeler ATRX in the progression of cutaneous melanoma. We analyzed ATRX protein expression in over 350 melanomas, correlating findings with clinical data, tumor proliferation rates, and vessel density. Additionally, we examined whole-genome sequencing data from 70 melanoma metastases to assess ATRX genetic alterations and compared these with protein expression patterns. We observed a significant reduction in ATRX protein expression in metastases compared to primary tumors: 51% of primary melanomas showed ATRX positivity in over 50% of tumor cells, versus only 25% of metastases (p = 0.01). ATRX loss was associated with earlier metastasis (median 17 vs. 46 months), reduced overall survival (median 69 vs. 162.5 months), and worse tumor-specific survival (p = 0.01). ATRX expression correlated positively with vessel density (rs = 0.3) and negatively with proliferation (rs = – 0.3), suggesting a role in hypoxia response. Genetically, intronic mutations were most frequent (80%), followed by copy number variations (loss: 29%, gain: 37%). Interestingly, ATRX copy number changes did not correlate with protein levels, pointing to epigenetic regulation. Our findings highlight ATRX loss as an early and prognostically relevant event in melanoma, with potential as a therapeutic target.
Introduction
Melanoma is the fifth most common cancer in the United States across all age groups. However, it ranks third among adolescents and young adults aged 15–39. With nearly 60,000 deaths worldwide each year, melanoma remains one of the most significant and challenging cancers to manage therapeutically1. In recent years, tumor-targeting therapies and checkpoint inhibitors, both alone and in combination, have revolutionized melanoma treatment, greatly improving disease-free and tumor-specific survival. However, some patients are either initially resistant to these therapies or develop resistance over time2,3. Melanoma, particularly lentigo maligna melanoma, is one of the most highly mutated cancers, with approximately 100,000 somatic mutations per genome (equivalent to 30 mutations per mb)4. The complexity of these mutations and their interactions presents ongoing challenges, as many molecular alterations are not yet fully understood or targetable with current therapies. Beyond understanding genetic mutations, it is becoming increasingly evident that epigenetics and the tumor microenvironment play crucial roles in melanoma biology. Epigenetically, transcriptional regulators, especially those involved in chromatin remodeling, are central players.
Alpha Thalassemia/Mental Retardation Syndrome X-Linked (ATRX), located on the X chromosome, was first identified as the gene responsible for a rare developmental disorder characterized by α-thalassemia and intellectual disability5. ATRX functions as a chromatin remodeler and transcriptional regulator, preserving chromatin integrity and playing a vital role in normal development. The protein’s high complexity allows it to regulate several essential cellular pathways, including the DNA damage response, chromosomal stability, and DNA repair via homologous recombination (HR). It is also central in limiting replication fork stalling and replication stress by preventing the formation of secondary DNA structures6,7,8,9. ATRX is one of the 20 most frequently mutated genes according to data from the National Cancer Institute’s GDC data portal (accessed March 25, 2023), with mutations commonly found in cancers originating from the neural crest, such as neuroblastoma, neuroendocrine pancreatic tumors, low-grade glioma, glioblastoma, and melanoma10,11,12,13,14,15. Given that ATRX is also one of the largest genes, encoding a protein size of 2492 amino acids, its high mutational rate is not surprising.
However, the precise role of ATRX in tumorigenesis and the details of its mechanisms remain unclear.
Melanoma has remarkable plasticity and the ability to undergo transdifferentiation, which enhances its metastatic potential. Melanoma cells may lose all their differentiation markers, show aberrant sarcomatous differentiation or even contribute to neovascularization16,17. Epithelial-mesenchymal transition (EMT) is a major driver of cellular plasticity allowing melanoma cells to remodel, reshape, and acquire enhanced motility and stemness properties without genetic modification. However, the switch from one transcriptional state to another is sustained by chromatin remodeling, also known as chromatin plasticity, which is one of the functions of ATRX.
However, ATRX extends beyond chromatin remodeling, playing a crucial role in DNA repair and chromosomal stability. Hypoxic cells exhibit a distinct phenotype, characterized by reduced DNA repair, decreased chromosomal stability, and an increased mutation rate18. Additionally, several studies, including one of our studies, have shown that melanoma progresses under hypoxic conditions19,20,21.
In this study, we analyzed ATRX protein expression in 333 cutaneous melanoma samples and 46 cutaneous melanoma cell lines, comparing our findings with clinical data, ATRX genetic alterations obtained through whole-genome sequencing (WGS), and hypoxia data from a previous study22. Our analysis revealed a significant loss of ATRX protein as tumors progressed. This loss was associated with hypoxia and an aggressive clinical course. Notably, the reduction in protein expression was not linked to genetic alterations, suggesting an epigenetic mechanism underlying ATRX protein loss.
Results
Patients
Tumor tissue for ATRX analysis was collected from 236 patients with cutaneous melanoma between 1981 and 2008. The patients’ ages ranged from 17 to 79 years at the time of diagnosis, with a median age of 49 years and a mean age of 48 years. Of the patients, 133 were male, 99 were female, and the gender of 4 patients was unknown. Sixty-seven tissue samples were from primary cutaneous melanomas, 201 were from metastases and 46 from cell lines. The distribution of melanoma types was as follows: 34 nodular melanomas (51%), 13 superficial spreading melanomas (20%), 1 lentiginous melanoma (1%), 9 acral melanomas (13%), and 10 rare or not otherwise specified types (15%). For 130 patients, Breslow tumor thickness was available. The median thickness was 2.7 mm (range 0.4–17 mm). The primary tumor was unknown in 17 cases. The metastases included 100 brain metastases, 41 lymph node metastases, and 60 other metastases. Fifty-three patients had matched tissue samples from both primary tumors and metastases (20 cases), or between different metastases (33 cases). Sixty-eight patients had known sentinel lymph node (SLN) biopsy results. Three hundred months after primary melanoma diagnosis tumor specific survival data was available for 136 patients, of whom 75 were still alive. The median follow-up was 108 months (range 0–300; Table 1).
ATRX expression in cutaneous melanomas compared to clinical data
A significant loss of ATRX expression was observed as melanoma progressed from the primary to metastatic stages. In addition, matched tumor samples suggested that ATRX loss is an early event, as it was predominantly observed between the primary tumor and the first metastasis. Subsequent metastases predominantly showed continued ATRX negativity in tumor cells (Fig. 1A–C).
GIS-Scores show a significant difference between primary melanomas and metastases, as well as between primary melanomas and cell lines (A). Percentage of ATRX positive cells (0 = 0%. 1 = ≤ 10%, 2 = 11–50%, 3 = 51–90%, 4 = > 90%) are significantly different between primary melanomas and metastases, and between primary melanomas and cell lines (B). No significant difference in ATRX positivity and GIS-Score between metastases and cell lines (A-B). Significant decrease in ATRX positive cells between the primary tumor and the first metastasis, but no significant change between metastases (C).
The ATRX GIS-Score in primary melanomas had a mean of 3.73 (median 3, range 0–8), with 34 of 67 (51%) primary melanoma samples showing ATRX positivity in over 50% of tumor cells. In contrast, metastatic tumor tissue exhibited a significant loss of ATRX expression, with both the GIS-Score and the percentage of ATRX-positive cells significantly lower (p = 0.01). Specifically, the mean GIS-Score for metastases was 2.27 (range 0–8), and only 50 of 201 (25%) metastases had more than 50% ATRX-positive cells.
Similarly, melanoma cell lines demonstrated significantly lower ATRX expression compared to primary melanomas (p = 0.01), with only 10 of 46 (22%) melanoma cell lines showing ATRX positivity in over 50% of tumor cells. The mean GIS-Score for melanoma cell lines was 1.74 (median 2, range 0–8).
No significant differences in ATRX expression were observed based on gender or melanoma type.
ATRX expression and prognostic factors
No correlation was observed between ATRX expression and Breslow tumor thickness (p = 0.64). However, loss of ATRX expression in primary melanoma was associated with positive SLN status, shorter time to metastasis and death, and worse tumor-specific survival.
SLN biopsy results were available for 68 patients, of whom 23 (34%) were SLN-positive. Among the SLN-positive patients, 16 out of 23 (70%) had a low GIS score (≤ 3), compared to 23 out of 45 (51%) in the SLN-negative group. A similar observation was made for ATRX expression, with 16 out of 23 (70%) SLN-positive cases showing < 50% ATRX-positive cells, compared to 24 out of 45 (53%) in the SLN-negative group.
The proportion of censored cases was comparable between the > 50% and ≤ 50% ATRX-positive groups (28% vs. 30%). Patients with < 50% ATRX-positive cells showed significantly worse tumor-specific survival than those with > 50% positive cells (p = 0.01; Fig. 2) and a more aggressive disease course (p = 0.01). The median time from primary diagnosis to first metastasis was shorter in patients with < 50% ATRX-positive cells (17 vs. 46 months; p = 0.05), as was the median overall survival (69 vs. 162.5 months).
The Kaplan–Meier curve shows tumor-specific survival data for 136 patients. Time zero (t = 0) corresponds to the date of diagnosis of the primary melanoma. Loss of ATRX expression in primary melanoma is significantly associated with shorter survival.
Previously, both we and others have demonstrated that melanomas with increased proliferation or those exposed to hypoxic conditions are associated with a poorer prognosis20,21,22. Tissue hypoxia is best represented by reduced vascularization, which can be reliably assessed by CD34 staining, while proliferation is measured by Mib-1. We therefore compared ATRX expression with previously published proliferation and vascularization data from this patient cohort.
Proliferation data were available for 212 cutaneous melanoma tissue samples (49 primaries and 163 metastases), and vascularization data for 158 samples (45 primaries and 113 metastases)17,20. High proliferation was defined as ≥ 20 Mib-1–positive cells per TMA core, while a Mib-1 index < 20 was considered low.
A significant difference in proliferation was observed between primary melanomas and metastases (p = 0.01): 18 of 49 primary melanomas (37%) showed high proliferation compared with 93 of 163 metastases (57%) (p = 0.01; Fig. 3A). Vascularization also differed significantly, with a mean vessel count per TMA of 20 (median 19, range 1–60) in primaries versus 15 (median 11, range 0–69) in metastases (p = 0.02; Fig. 3B).
Number of proliferating melanoma cells per TMA core quantified by Mib-1 immunohistochemistry. Significant difference between primary melanomas and metastases (A). Number of vessels per TMA core quantified by CD34 immunohistochemistry. Significant difference between primary melanomas and metastases (B).
In the primary melanoma group, ATRX GIS scores correlated significantly with CD34 vessel counts (Spearman’s rs (42) = 0.307, p = 0.04), suggesting ATRX protein loss under hypoxic conditions. Furthermore, there was a significant negative correlation between ATRX positivity and Mib-1 proliferation (rs (40) = –0.318, p = 0.03; Table 2), indicating that loss of ATRX expression in melanoma is associated with a more aggressive tumor phenotype.
Effective alignment coverage across tumor and normal genomes
The average effective alignment coverage across the tumor genome was: mean = 72.87, median = 69.59, with a range of 57.28 to 132.16. For the normal genome, the average effective alignment coverage was: mean = 37.60, median = 36.36, with a range of 27.32 to 107.44. The Metametrix data, which are not included in the main manuscript, are presented as Supplementary Excel file 1.
Whole-genome analysis of ATRX in melanoma metastases and comparison with whole-slide ATRX protein expression
Paired tumor-normal whole genome sequencing was performed on 70 melanoma cases, including 62 cutaneous melanoma metastases and 8 melanomas of unknown origin. To evaluate whether ATRX protein expression correlated with protein-coding genetic alterations, immunohistochemistry was additionally conducted on the 65 available (Fig. 4A–E).
Whole-genome sequencing analysis of 70 melanoma metastases (A). No significant correlation between ATRX copy number variation and ATRX protein expression (B–E).
ATRX copy number variations (CNVs) were the most observed genetic alterations. A decrease in ATRX copy number was detected in 20 of 70 tumor samples (29%), with complete loss occurring in 3 of 70 cases (4%). Copy number amplifications were found in 28 of 70 samples (40%).
Protein altering somatic small variants were only found in 6 of 70 cases (8.6%). Specifically, frameshift mutations were found in 1 of 70 (1.4%) cases, while missense mutations occurred in 4 of 70 (6%) samples. A splice site mutation was found in 1 of 70 (1.4%) samples. No germline small variants in ATRX were found (data not shown).
ATRX structural variants of unknown protein consequence were observed in 7 of 70 (10%) cases (Fig. 4A). Notably, no correlation was found between changes in copy number (either increase or loss) and ATRX protein expression (Fig. 4B–E).
We identified somatic small protein-altering variants in DAXX in 5 of 70 cases (7%). Specifically, frameshift mutations were identified in 1 of 70 cases (1.4%), while missense mutations occurred in 4 of 70 samples (6%). Promoter mutations of unknown significance were present in 7 of 70 cases (10%). No germline small variants in DAXX were detected (data not shown).
DAXX CNVs included a decrease in 8 of 70 tumor samples (11%) and copy number amplifications in 56 of 70 samples (80%) (Fig. 4A).
Discussion
ATRX encodes a chromatin-remodeling protein involved in critical biological processes, including DNA repair, transcriptional regulation, and nucleosome reorganization23. Despite its high mutation rate and central role in chromatin regulation, there are relatively few clinical studies on ATRX, particularly in melanoma.
Our study, which analyzed 314 tissue samples from 236 patients, revealed a significant loss of ATRX protein as tumor progression occurs. While primary melanomas exhibited ATRX positivity in more than 50% of tumor cells in 51% of cases, this dropped to just 25% in melanoma metastases (Fig. 1A, B). In matched tumor samples, an increase in ATRX negativity was observed only between the primary tumor and the first metastasis. Subsequent metastases predominantly exhibited a persistence of tumor cell negativity for ATRX. This observation suggests that ATRX may play a significant role primarily in the initial stages of tumor progression (Fig. 1C).
ATRX loss demonstrated a notable prognostic impact. SLN positivity, one of the strongest prognostic factors, was associated with ATRX loss. Specifically, 16 out of 23 (70%) SLN positive cases showed less than 50% ATRX positive cells, compared to 24 out of 45 (53%) in the SLN negative group. They experienced a markedly more aggressive clinical course with faster occurrence of the first metastases (17 months versus 46 months), and significantly shorter time from primary diagnosis to death (69 months; range 0–289; versus 162.5 months; range 31–300, p = 0.01). In addition, they had a significantly worse survival (p = 0.01, Fig. 2).
The increased aggressiveness and prognostic significance of ATRX loss align with findings in glioblastomas, neuroblastomas, pancreatic neuroendocrine tumors, and melanomas11,24,25,26. However, studies on ATRX in melanomas are scarce and predominantly focus on mucosal conjunctival and gynecological melanomas15,27,28,29,30. To our knowledge, only one study has investigated ATRX in cutaneous melanoma31. That study also observed a stepwise loss of ATRX from benign nevi to primary melanomas and metastases, albeit with a smaller sample size. The study also did not find a correlation between ATRX loss and Breslow tumor thickness. However, both their study and ours included only cases with a Breslow tumor thickness greater than 1 mm.
ATRX is required for genomic stability throughout both mitosis and meiosis6. Loss of ATRX has been shown to induce genomic instability, a hallmark of melanoma, which is among the cancers with the highest mutational burden32. This heightened genomic instability may facilitate the emergence of genetic variants that confer aggressive and highly proliferative phenotypes which could be an explanation for the significant correlation we have seen between ATRX loss and proliferation in primary melanoma (rs(40) = − 0.318, p = 0.03). Additionally, ATRX deficiency can disrupt replication fork stability, potentially driving cells into a hyperproliferative state as a compensatory response to unresolved DNA damage or incomplete replication processes7,8,9.
Cells cannot divide indefinitely due to telomere shortening. Telomeres, the protective caps at the ends of chromosomes, become progressively shorter with each cell division because DNA polymerase cannot fully replicate the ends of linear DNA. Once telomeres reach a critically short length, they trigger cellular senescence or apoptosis, acting as a natural limit to cell proliferation known as the Hayflick limit. This mechanism prevents genomic instability and uncontrolled cell growth. However, telomere length is maintained during cell proliferation through mechanisms like telomerase activity, with TERT as a key component. Studies with gliomas, neuroblastomas pancreatic neuroendocrine tumors and sarcomas have shown an alternative lengthening of telomeres (ALT) phenotype33,34,35,36,37, which is an abnormal, telomerase-independent mechanism of telomere maintenance based on HR38. ATRX mutation or loss is frequently associated with ALT. One study even reported ATRX loss or mutation as a hallmark of 90% of ALT-immortalized cell lines and suggests a significant role in driving uncontrolled cancer cell growth39. Our finding of a significant increase in the loss of ATRX protein expression in melanoma metastases compared to primary melanoma (p = 0.01), along with the prognostic impact of ATRX negativity, supports a survival advantage of ATRX negative cells, probably due to ALT immortalization. Surprisingly, however, an earlier melanoma study was able to show that neither ATRX nor TERT mutations were associated with greater telomere length40,41.
In melanoma, TERT promoter mutations are frequently found42. In glioma TERT mutations and ATRX mutations have been reported to be mutually exclusive43. In our melanoma cohort, we were unable to corroborate this observation. However, despite the high prevalence of TERT mutations (50 out of 70 cases; 71%), only 6 cases (9%) concurrently exhibited an ATRX mutation. (Fig. 4A).
Furthermore, we revealed no correlation between gene alterations and protein expression, consistent with the fact that most alterations were in introns. However, more strikingly, no association was found between protein expression and either a CNV decrease or CNV increase (Fig. 4B–E). This aligns with the study of Qadeer et al. which also observed ATRX protein loss but found no molecular alterations at the mRNA level using the qualitative reverse transcriptase PCR available at the time31. These findings strongly suggest that ATRX protein expression is regulated epigenetically rather than being directly influenced by gene CNVs or mutations.
ATRX protein collaborates with DAXX protein to maintain genomic stability by remodeling chromatin and incorporating the histone variant H3.3 into specific genomic regions, including telomeres. Therefore, the loss of ATRX protein expression in melanoma cells may probably be due to increased consumption or degradation resulting from its heightened interaction with DAXX to fulfill its role in maintaining genomic stability7,44.
Hypoxia drives genomic instability, which is a hallmark of melanoma. Our previous research has demonstrated that hypoxia significantly impacts melanoma prognosis20,21,22. In this study, we additionally found that ATRX loss has a prognostic impact and is significantly correlated with decreased vessel count, indicating hypoxia (Spearman correlation coefficient of rs (42) = 0.307, p = 0.04). However, whether this association is coincidental or biologically linked requires further investigation.
Immune modulating therapies have revolutionized melanoma patients’ outcomes recently. However, some patients are initially resistant or develop resistance during therapy. Several studies have shown that loss of ATRX suppresses anti-tumor immunity and favors immune escape and tumor growth26,45. Our study results, showing ATRX loss in tumor progression and its prognostic impact, suggest that therapeutic strategies targeting ATRX protein loss could help improve patient survival and/or overcome resistance to immune-modulating therapies.
A key strength of this study is the large melanoma cohort with comprehensive clinical data and long-term follow-up. Additionally, to the best of our knowledge, we are the first to perform WGS and compare the results with protein expression. However, a limitation of the study is that we did not confirm protein loss at the mRNA level.
Materials and methods
Patient cohort
Human melanoma tissue analyses followed ethical guidelines of the Canton of Zurich (BASEC No. PB 2017-27, 2018-02282, 2018-02050, 2018-02052, 2019-01326).
Patients received treatment and follow-up at the University Hospital of Zurich under Swiss melanoma guidelines in effect at that time, which included traditional chemotherapy and/or radiotherapy. Demographic data, clinical information, and outcomes were extracted using our digital platforms such as Kisim, PathoPro, and the Cancer Registry of Zurich.
ATRX immunohistochemistry was performed on four different tissue microarrays (TMAs) and one cell line microarray (CMA), representing a total of 314 melanomas. The TMAs represent 67 primary melanomas, 201 metastases and 46 cell lines. Matched tissue samples from primary melanoma and metastases, as well as between different metastases or between melanoma tissue and cell lines, were available for 53 patients.
Additionally, we performed whole-genome sequencing (WGS) on 62 cutaneous melanoma metastases and 8 of unknown origin. Of these, 65 tissue samples were available for further ATRX immunohistochemistry analysis.
Immunohistochemical staining
For the immunohistochemical staining following antibodies were used: ATRX-Antibody (Clone: polyclonal, Dilution: 1:200, Source: Sigma Chemical Company, Platform: Bond), CD34-Antibody (Clone: QBEnd/10, Dilution: 1:800, Source: Serotec Ltd., Platform: Ventana) and Mib-1-Antibody (Clone: 30–9, Dilution: prediluted, Source: Ventana Roche, Platform: Ventana).
The staining was evaluated by two medical doctors, one of whom was an experienced pathologist (C.A.F. and D.M.-P.). Data for Mib-1 and CD34 immunohistochemistry were previously collected in an earlier study20,22. CD34 positive capillaries were counted per TMA core, representing an area of 0.28 mm2.
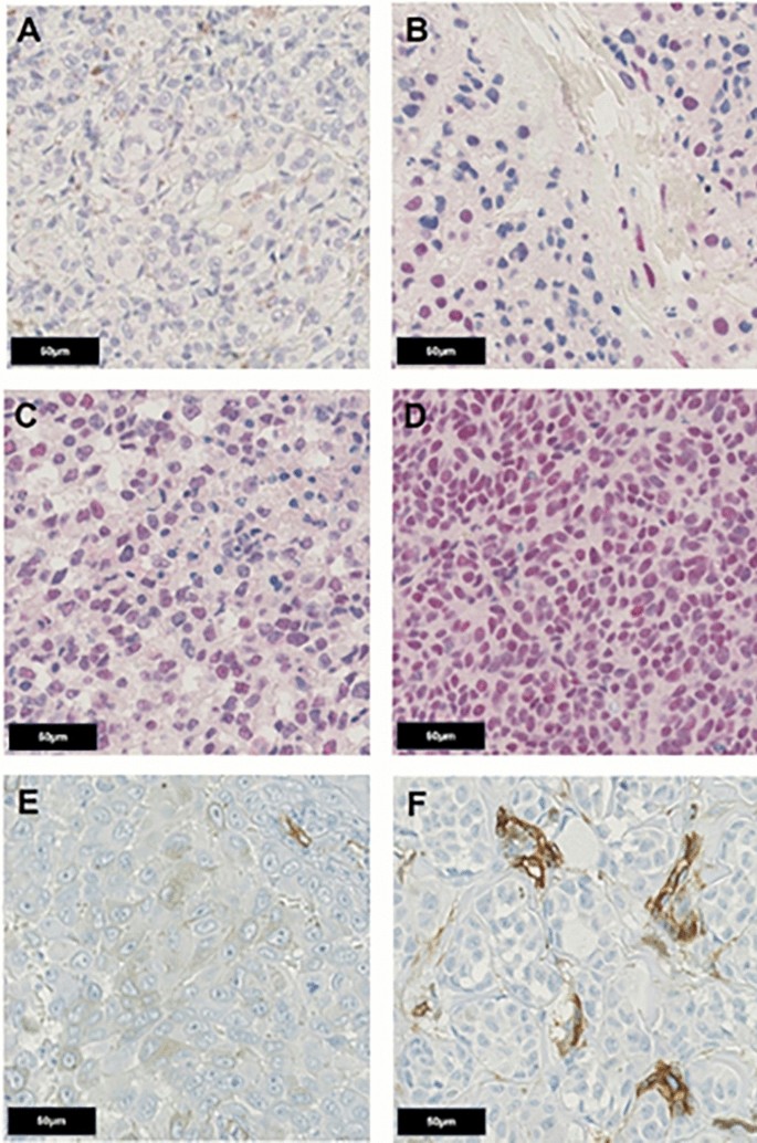
To assess ATRX expression in TMAs and CMA, a semiquantitative scoring system was applied based on the German Immunohistochemical Scoring (GIS) system. In this system, the final immunoreactive score was calculated as the product of the percentage of positive cells and the highest staining intensity. The percentage of positive cells was classified as follows: 0 for negative, 1 for up to 10% positive cells, 2 for 11% to 50% positive cells, 3 for 51% to 90% positive cells, and 4 for more than 90% positive cells. Staining intensity was categorized as follows: 0 for negative, 1 for weakly positive, and 2 for moderately or strongly positive (Fig. 5).
ATRX (A–D) and CD34 (E–F) staining, 40× magnification, absence of staining (A, GIS-Score 0), moderate positivity in 11–50% of tumor cells (B, GIS-Score 4), moderate positivity in 51–90% of tumor cells (C, GIS-Score 6), moderate positivity in > 90% of tumor cells (D, GIS-Score 8); low vessel density (E, < 20), high vessel density (F, ≥ 20).
Whole-genome sequencing and bioinformatics analyses
For WGS, library construction was performed according to the TruSeq DNA Nano protocol including dual unique index adapter ligation (Illumina). Samples were sequenced in paired end with 150 bp reads on a NovaSeq 6000 (Illumina) with a targeted coverage of 60 × and 30 × for tumor and matched normal samples respectively. Raw sequencing data was processed using the DRAGEN DNA pipeline on the Illumina DRAGEN Bio-IT Platform (v3.9, Ilumina, SanDiego, CA, USA). DRAGEN was used to perform bcl to fastq conversion, alignment (to GRCh38), somatic variant calling, variant annotation and TMB estimation. Samples with tumor coverage of > = 55 × and in silico estimated tumor purity of > = 30% were included for downstream analyses. Promoter region variants for ATRX and telomerase reverse transcriptase (TERT) were considered as those within 2000 bp upstream and 200 bp downstream of the respective transcription start site. Somatic variants marked as PASS were plotted with ComplexHeatmap (v2.15.1) in R (v4.0.5). Only copy number variants (CNV) spanning the entire coding region were shown.
Statistical analyses
Descriptive analysis
For discrete and ordinal variables, histograms, medians and interquartile ranges (IQR) due to the non-normal distribution of the data, as assessed by Shapiro–Wilk tests and Q-Q plots, were produced. Bar charts, frequencies and percentages were produced for dichotomous variables. Missingness was quantified and visualized in each variable; pairwise deletion of cases with missing variables was used in subsequent analyses to allow for more data usage. To ensure independence of observations, patients contributing samples to both the primary melanoma and metastasis groups (n = 7) were removed from the data set, and in patients with multiple metastasis samples (n = 31), only the earliest date sample was included in the analysis. Sensitivity analyses indicated these choices did not alter the conclusions of the subsequent analyses.
Between group analysis
To compare variables between primary melanoma and metastasis groups, the Mann–Whitney U test was used with discrete and ordinal variables, and the Pearson chi-square test of homogeneity was used with dichotomous variables. To compare ATRX GISH-Score between primary melanoma and SLN status the Pearson chi-square test was used. Test assumptions were assessed to ensure no violations existed. When the shape of the variable distribution between the primary melanoma and metastasis groups was not similar, the Mann–Whitney U test findings were interpreted as a comparison of mean ranks rather than medians.
Within group analysis
To measure associations between a priori selected pairs of variables within the primary melanoma and metastasis groups, the Spearman’s rank correlation coefficients were calculated, and scatterplots were visualized. Test assumptions were assessed, and the monotonic nature of the relationships was assured. The correlation coefficients (ρ) range from − 1 to + 1, with values closer to ± 1 indicating stronger correlations.
Survival analysis
The tumor-specific survival data were collected from the digital platforms KISIM and PathoPro, as well as the Zurich Cancer Registry.
The follow-up period for each patient ran for 300 months from the date of the primary melanoma diagnosis. The event was recorded as tumor-specific death. Patients with more than 60 months follow-up were censored if they did not experience the event, died due to another cause, or were lost to follow-up before the 300-month follow-up period ended. Patients were assigned to one of two groups: > 50% ATRX positive and ≤ 50% ATRX positive. Survival curves of the ATRX groups were constructed by the Kaplan–Meier method and, given the slight crossing of the Kaplan–Meier curves, were compared statistically using the Breslow Test.
All statistical tests were conducted as two-sided tests, with a significance level set at p ≤ 0.05. Statistical analysis was performed using SPSS V29.0.1.1 (IBM Corp. Released 2023. IBM SPSS Statistics for Windows, Version 29.0.2.0 Armonk, NY: IBM Corp.).
Data availability
The Metametrix data, which are not included in the main manuscript, are presented as Supplementary Table 1. A dataset containing all genetic variants reported in this study is provided as Supplementary Excel file. Due to ethical and consent restrictions, the raw whole genome sequencing (WGS) data generated in this study cannot be made publicly available. Researchers may request access to the data by contacting (PD Dr. Dr. Bettina Sobottka, Department of Pathology and Molecular Pathology, University Hospital Zurich, [annabettina.sobottka-brillout@usz.ch]). Requests will be reviewed by the institutional data access committee in accordance with institutional, ethical, and legal requirements.
Abbreviations
- ALT:
-
Alternative lengthening of telomeres
- ATRX:
-
Alpha thalassemia/mental retardation syndrome X-linked
- CMA:
-
Cell line microarray
- CNV:
-
Copy number variation
- EMT:
-
Epithelial-mesenchymal transition
- GIS:
-
German immunohistochemical scoring
- HR:
-
Homologous recombination
- SLN:
-
Sentinel lymph node
- TERT:
-
Telomerase reverse transcriptase
- TMA:
-
Tissue microarray
- WGS:
-
Whole-genome sequencing
References
Wang, X. M. et al. Trends in cutaneous melanoma mortality and incidence in European Union 15+ countries between 1990 and 2019. J. Eur. Acad Dermatol. Venereol. https://doi.org/10.1111/jdv.20524 (2025).
Larkin, J. et al. Five-year survival with combined nivolumab and ipilimumab in advanced melanoma. N. Engl. J. Med. 381, 1535–1546. https://doi.org/10.1056/NEJMoa1910836 (2019).
Long, G. V. et al. Adjuvant dabrafenib plus trametinib in stage III BRAF-mutated melanoma. N. Engl. J. Med. 377, 1813–1823. https://doi.org/10.1056/NEJMoa1708539 (2017).
Cancer Genome Atlas, N. Genomic classification of cutaneous melanoma. Cell 161, 1681–1696. https://doi.org/10.1016/j.cell.2015.05.044 (2015).
Gibbons, R. J., Picketts, D. J., Villard, L. & Higgs, D. R. Mutations in a putative global transcriptional regulator cause X-linked mental retardation with alpha-thalassemia (ATR-X syndrome). Cell 80, 837–845. https://doi.org/10.1016/0092-8674(95)90287-2 (1995).
Baumann, C., Viveiros, M. M. & De La Fuente, R. Loss of maternal ATRX results in centromere instability and aneuploidy in the mammalian oocyte and pre-implantation embryo. PLoS Genet. 6, e1001137. https://doi.org/10.1371/journal.pgen.1001137 (2010).
Eustermann, S. et al. Combinatorial readout of histone H3 modifications specifies localization of ATRX to heterochromatin. Nat. Struct. Mol. Biol. 18, 777–782. https://doi.org/10.1038/nsmb.2070 (2011).
Techer, H., Koundrioukoff, S., Nicolas, A. & Debatisse, M. The impact of replication stress on replication dynamics and DNA damage in vertebrate cells. Nat. Rev. Genet. 18, 535–550. https://doi.org/10.1038/nrg.2017.46 (2017).
Teng, Y. C. et al. ATRX promotes heterochromatin formation to protect cells from G-quadruplex DNA-mediated stress. Nat. Commun. 12, 3887. https://doi.org/10.1038/s41467-021-24206-5 (2021).
Heaphy, C. M. et al. Altered telomeres in tumors with ATRX and DAXX mutations. Science 333, 425. https://doi.org/10.1126/science.1207313 (2011).
Cheung, N. K. et al. Association of age at diagnosis and genetic mutations in patients with neuroblastoma. JAMA 307, 1062–1071. https://doi.org/10.1001/jama.2012.228 (2012).
Kannan, K. et al. Whole-exome sequencing identifies ATRX mutation as a key molecular determinant in lower-grade glioma. Oncotarget 3, 1194–1203. https://doi.org/10.18632/oncotarget.689 (2012).
Schwartzentruber, J. et al. Driver mutations in histone H3.3 and chromatin remodelling genes in paediatric glioblastoma. Nature 482, 226–231. https://doi.org/10.1038/nature10833 (2012).
Jiao, Y. et al. DAXX/ATRX, MEN1, and mTOR pathway genes are frequently altered in pancreatic neuroendocrine tumors. Science 331, 1199–1203. https://doi.org/10.1126/science.1200609 (2011).
Lally, S. E. et al. Mutational landscape and outcomes of conjunctival melanoma in 101 patients. Ophthalmology 129, 679–693. https://doi.org/10.1016/j.ophtha.2022.01.016 (2022).
Hench, J. et al. Clinical, histopathological and molecular features of dedifferentiated melanomas: An EORTC Melanoma Group Retrospective Analysis. Eur. J. Cancer 187, 7–14. https://doi.org/10.1016/j.ejca.2023.03.032 (2023).
Mihic-Probst, D. et al. Tumor cell plasticity and angiogenesis in human melanomas. PLoS ONE 7, e33571. https://doi.org/10.1371/journal.pone.0033571 (2012).
van den Beucken, T. et al. Hypoxia promotes stem cell phenotypes and poor prognosis through epigenetic regulation of DICER. Nat. Commun. 5, 5203. https://doi.org/10.1038/ncomms6203 (2014).
D’Aguanno, S., Mallone, F., Marenco, M., Del Bufalo, D. & Moramarco, A. Hypoxia-dependent drivers of melanoma progression. J. Exp. Clin. Cancer Res. 40, 159. https://doi.org/10.1186/s13046-021-01926-6 (2021).
Lenggenhager, D. et al. An aggressive hypoxia related subpopulation of melanoma cells is TRP-2 negative. Transl. Oncol. 7, 206–212. https://doi.org/10.1016/j.tranon.2014.02.018 (2014).
Bristow, R. G. & Hill, R. P. Hypoxia and metabolism. Hypoxia, DNA repair and genetic instability. Nat. Rev. Cancer 8, 180–192. https://doi.org/10.1038/nrc2344 (2008).
Maccio, U. et al. Hypoxia and ezrin expression in primary melanoma have high prognostic relevance. Int. J. Mol. Sci. 23, 10745. https://doi.org/10.3390/ijms231810745 (2022).
Mittal, P. & Roberts, C. W. M. The SWI/SNF complex in cancer—Biology, biomarkers and therapy. Nat. Rev. Clin. Oncol. 17, 435–448. https://doi.org/10.1038/s41571-020-0357-3 (2020).
Zeineldin, M. et al. MYCN amplification and ATRX mutations are incompatible in neuroblastoma. Nat. Commun. 11, 913. https://doi.org/10.1038/s41467-020-14682-6 (2020).
Yadav, R., Kakkar, A., Sharma, A., Malik, P. S. & Sharma, M. C. Study of clinicopathological features, hormone immunoexpression, and loss of ATRX and DAXX expression in pancreatic neuroendocrine tumors. Scand. J. Gastroenterol. 51, 994–999. https://doi.org/10.3109/00365521.2016.1170195 (2016).
Hu, C. et al. ATRX loss promotes immunosuppressive mechanisms in IDH1 mutant glioma. Neuro Oncol. 24, 888–900. https://doi.org/10.1093/neuonc/noab292 (2022).
Synhaeve, N. E. et al. Clinical evaluation of a dedicated next generation sequencing panel for routine glioma diagnostics. Acta Neuropathol. Commun. 6, 126. https://doi.org/10.1186/s40478-018-0633-y (2018).
van Ipenburg, J. A. et al. ATRX loss in the development and prognosis of conjunctival melanoma. Int. J. Mol. Sci. 24, 12988. https://doi.org/10.3390/ijms241612988 (2023).
Yuan, G. et al. Telomere maintenance associated mutations in the genetic landscape of gynecological mucosal melanoma. Front. Oncol. 10, 1707. https://doi.org/10.3389/fonc.2020.01707 (2020).
Saglam, O. et al. Female genitourinary tract melanoma: mutation analysis with clinicopathologic correlation: A single-institution experience. Melanoma Res. 28, 586–591. https://doi.org/10.1097/CMR.0000000000000480 (2018).
Qadeer, Z. A. et al. Decreased expression of the chromatin remodeler ATRX associates with melanoma progression. J. Invest. Dermatol. 134, 1768–1772. https://doi.org/10.1038/jid.2014.45 (2014).
Iwase, S. et al. ATRX ADD domain links an atypical histone methylation recognition mechanism to human mental-retardation syndrome. Nat. Struct. Mol. Biol. 18, 769–776. https://doi.org/10.1038/nsmb.2062 (2011).
Jiao, Y. et al. Frequent ATRX, CIC, FUBP1 and IDH1 mutations refine the classification of malignant gliomas. Oncotarget 3, 709–722. https://doi.org/10.18632/oncotarget.588 (2012).
Ceccarelli, M. et al. Molecular profiling reveals biologically discrete subsets and pathways of progression in diffuse glioma. Cell 164, 550–563. https://doi.org/10.1016/j.cell.2015.12.028 (2016).
Ohali, A. et al. Telomere length is a prognostic factor in neuroblastoma. Cancer 107, 1391–1399. https://doi.org/10.1002/cncr.22132 (2006).
Scarpa, A. et al. Whole-genome landscape of pancreatic neuroendocrine tumours. Nature 543, 65–71. https://doi.org/10.1038/nature21063 (2017).
Hackeng, W. M. et al. Non-functional pancreatic neuroendocrine tumours: ATRX/DAXX and alternative lengthening of telomeres (ALT) are prognostically independent from ARX/PDX1 expression and tumour size. Gut 71, 961–973. https://doi.org/10.1136/gutjnl-2020-322595 (2022).
Heaphy, C. M. et al. Prevalence of the alternative lengthening of telomeres telomere maintenance mechanism in human cancer subtypes. Am. J. Pathol. 179, 1608–1615. https://doi.org/10.1016/j.ajpath.2011.06.018 (2011).
Lovejoy, C. A. et al. Loss of ATRX, genome instability, and an altered DNA damage response are hallmarks of the alternative lengthening of telomeres pathway. PLoS Genet. 8, e1002772. https://doi.org/10.1371/journal.pgen.1002772 (2012).
Rachakonda, S. et al. Telomere length, telomerase reverse transcriptase promoter mutations, and melanoma risk. Genes Chromosomes Cancer 57, 564–572. https://doi.org/10.1002/gcc.22669 (2018).
Sieverling, L. et al. Genomic footprints of activated telomere maintenance mechanisms in cancer. Nat. Commun. 11, 733. https://doi.org/10.1038/s41467-019-13824-9 (2020).
Boutko, A. et al. TERT promoter mutational analysis as an ancillary diagnostic tool for diagnostically challenging melanocytic neoplasms. Am. J. Dermatopathol. 45, 289–299. https://doi.org/10.1097/DAD.0000000000002366 (2023).
Liu, J. et al. Significance of TERT and ATRX mutations in glioma. Oncol. Lett. 17, 95–102. https://doi.org/10.3892/ol.2018.9634 (2019).
Xue, Y. et al. The ATRX syndrome protein forms a chromatin-remodeling complex with Daxx and localizes in promyelocytic leukemia nuclear bodies. Proc. Natl. Acad. Sci. U.S.A. 100, 10635–10640. https://doi.org/10.1073/pnas.1937626100 (2003).
Stilp, A. C. et al. The chromatin remodeling protein ATRX positively regulates IRF3-dependent type I interferon production and interferon-induced gene expression. PLoS Pathog 18, e1010748. https://doi.org/10.1371/journal.ppat.1010748 (2022).
Funding
The funding for this project was provided with the support of the Swiss Cancer League: Oncosuisse collaborative cancer research project (KFP OCS 01,972–12-2006).
Author information
Authors and Affiliations
Consortia
Contributions
Conceptualization: D.M.-P.; Data Curation: C.A.F.; Formal Analysis: C.A.F., D.M.-P., A.M., M.W.; Methodology: F.P., A.F., D.M.-P.; Supervision: D.M.-P.; Validation: C.A.F., A.M., D.M.-P.; Visualization: C.A.F., C.L., F.W.; Writing—Original Draft: C.A.F., D.M.-P; Writing—Review & Editing: A.M., B.S., T.P.C. All authors have reviewed and approved the final manuscript.
Corresponding author
Ethics declarations
Competing interests
The authors declare no conflicts of interest.
Ethics approval
This study was conducted in compliance with the Declaration of Helsinki and experimental protocols were approved by the Ethics Committee of the Canton of Zurich (BASEC No. PB 2017-27, 2018-02282, 2018-02050, 2018-02052, 2019-01326). We confirm that all methods were carried out in accordance with relevant guidelines and regulations.
Informed consent
Informed consent was obtained from all subjects and/or their legal guardian(s).
Additional information
Publisher’s note
Springer Nature remains neutral with regard to jurisdictional claims in published maps and institutional affiliations.
Electronic Supplementary Material
Below is the link to the electronic supplementary material.
Rights and permissions
Open Access This article is licensed under a Creative Commons Attribution-NonCommercial-NoDerivatives 4.0 International License, which permits any non-commercial use, sharing, distribution and reproduction in any medium or format, as long as you give appropriate credit to the original author(s) and the source, provide a link to the Creative Commons licence, and indicate if you modified the licensed material. You do not have permission under this licence to share adapted material derived from this article or parts of it. The images or other third party material in this article are included in the article’s Creative Commons licence, unless indicated otherwise in a credit line to the material. If material is not included in the article’s Creative Commons licence and your intended use is not permitted by statutory regulation or exceeds the permitted use, you will need to obtain permission directly from the copyright holder. To view a copy of this licence, visit http://creativecommons.org/licenses/by-nc-nd/4.0/.
About this article
Cite this article
Frei, C.A., Litchfield, C., Mihic, A. et al. The chromatin guardian ATRX is a strong prognostic biomarker in melanoma. Sci Rep 16, 1176 (2026). https://doi.org/10.1038/s41598-025-30842-4
Received:
Accepted:
Published:
Version of record:
DOI: https://doi.org/10.1038/s41598-025-30842-4




