Abstract
Estimating the volume of brain structures and white matter lesions has been demonstrated to be crucial as diagnostic markers of dementia. In this context, employing accelerated MR sequences could be particularly suitable for deploying comfortable imaging protocols. The aims of the study are twofold. First, the quality of accelerated structural and FLAIR sequences will be evaluated using conventional sequences as a comparative reference. Second, their concordance in the estimation of diagnostic markers will be assessed. Forty-six dementia patients underwent brain 3T MR protocol, including conventional and accelerated 3D T1w and 3D FLAIR sequences. The image quality was assessed using peak signal-to-noise ratio, structural similarity index measure, and mean squared error. The intraclass correlation and the Dice similarity coefficients were used to compare the markers. The quality assessment showed high agreement between accelerated and conventional sequences. Excellent concordance was demonstrated in the quantification of brain structures and white matter lesions. The results demonstrate the reliability of diagnostic markers of dementia derived from accelerated MR sequences, thereby supporting their use in clinical practice.
Similar content being viewed by others
Introduction
Magnetic Resonance Imaging (MRI) is essential for diagnosing neurodegenerative conditions associated with dementia1. In this context, 3D T1-weighted (T1w) sequences provide excellent contrast between gray and white matter, enabling high spatial resolution imaging of the entire brain, and allowing automatic quantification of brain structures1,2. Several studies have reported that certain brain structures show early atrophy during the progression of dementia, and should be assessed as potential imaging markers3,4,5,6. Another sequence that plays a key role in the diagnosis of dementia is fluid-attenuated inversion recovery (FLAIR)7, characterized by a long inversion time, which effectively nullifies the signal from cerebrospinal fluid (CSF) in the resulting images8. White matter hyperintensities (WMHs) are a consequence of cerebral small vessel disease and appear as brighter lesions on FLAIR imaging. Notably, larger volumes of WMHs have been associated with older age, AD, small vessel disease, and cognitive decline making them a significant measure of clinical interest7,9. However, the extended time needed for image acquisition poses a challenge, particularly for patients who have difficulty remaining still, such as those with cognitive impairments. This is especially relevant when considering the integration of MRI with PET in hybrid PET/MRI examinations, where abbreviating MRI protocols is crucial for improving patient comfort during10. Recent advancements in sequence innovations and hardware have led to accelerated imaging techniques. These techniques reduce scan time while maintaining image quality, thereby enhancing patient compliance, during complex imaging markers collection. One principle used to accelerate MR sequences is compressed sensing (CS)11. The fundamental idea behind CS MRI is to exploit the sparsity or compressibility of the signal in a specific domain. This well-established, methodology is already applied in conventional protocols, enhancing their efficiency and speed. Another fundamental principle behind accelerated MRI is parallel imaging (pMRI)12. This technique utilizes multiple receiver coils to collect data simultaneously, thereby significantly speeding up the acquisition process. Building upon pMRI, researchers have developed innovative methods such as 2D-GRAPPA13, CAIPIRINHA14, and segmented MPRAGE to boost scan times for 3D structural brain imaging. These advancements have been rigorously evaluated to ensure the reliability and accuracy of the obtained data. Several studies reported promising results comparing images acquired using T1w sequences with conventional and accelerated sequences. These comparisons are essential to validate the reliability of accelerated MRI techniques and to ensure that they provide comparable data to conventional methods, particularly in clinical and research settings involving healthy patients. Falkovskiy et al.15 examined the efficacy of different four-fold-accelerated MPRAGE protocols against the standard two-fold-accelerated 3T ADNI MPRAGE protocol. Their accelerated protocols included 2D-GRAPPA, CAIPIRINHA, CAIPIRINHA elliptical, and segmented MPRAGE. They demonstrated that while four-fold accelerated MPRAGE protocols can produce clinically useful images, they also introduce specific biases in automated segmentation results due to increased noise levels. Despite these issues, the potential of advanced acceleration techniques to reduce scan times while maintaining clinical usability is clear. Another study that investigated the viability of accelerated MR techniques in brain imaging, is the one from Prakkamakul et al.16 which compared an ultrafast brain MRI protocol to conventional methods in motion-prone inpatient settings. This ultrafast protocol, which completes the scan in approximately 5 minutes, showed significantly better image quality and superior gray-white matter differentiation than the conventional sequence. Additionally, diagnostic concordance between the ultrafast and conventional protocols was high for detecting clinically relevant findings such as mass-like lesions and hydrocephalus. Yarak et al.17 explored the feasibility of using CS-4 with the 3D turbo-field-echo T1-weighted (3D-TFE-T1w) sequence on a 1.5 T MRI scanner to reduce scan times without compromising the quality of subcortical volume measurements. They compared different acceleration factors, including SENSE-2, SENSE-4, and CS-4. Results showed that CS-4 maintained signal-to-noise ratio (SNR) levels comparable to SENSE-2 providing sufficient image quality for clinical 1.5 T MRI applications while significantly reducing scan times. These studies suggest that accelerated sequences can effectively replace traditional methods in inpatient settings, improving patient comfort and throughput without sacrificing diagnostic accuracy. This makes it a promising approach for clinical and research applications in brain imaging. Manson et al.18 evaluated the effect of the turbo factor on image quality and volumetric measurement reproducibility in brain MRI. They used a T1w sequence acquired with a 1.5 T MRI scanner and assessed the measurements using the FreeSurfer pipeline. Their study found no significant differences in image quality and brain structures’s volume when varying the turbo factors. Leung et al.19 examined the impact of switching from non-accelerated to accelerated MRI on brain atrophy measurements over a 12-month interval. They found that this transition had minimal impact on atrophy rates in Philips and Siemens scanners, while in GE scanners, a notable reduction in atrophy rates was observed due to differences in tissue contrast. The study suggests that even with inconsistent scans, useful data can still be obtained, highlighting the viability of using accelerated scans in longitudinal studies. Monch et al.20 evaluated the effect of CS on brain MRI, aiming to improve spatial resolution and reduce scan time. Comparing 51 pre-CS and 48 post-CS patients, the results showed a median scan time reduction of 29.3% and a 10.5% reduction in voxel size. Image quality was significantly improved in 3D FLAIR, 3D T2, and axial T2* sequences with CS, while other sequences showed no change. The study concluded that CS reduces imaging time and enhances spatial resolution without compromising image quality. The study by Vranic et al.21 investigated the use of compressed sensing-sensitivity encoding (CS-SE) sequences in patients with known, treated, or suspected brain tumors. They acquired accelerated 3D T1-echo-spoiled gradient echo and 3D T2-FLAIR sequences in addition to the corresponding conventional acquisitions during clinical brain MRI. The results indicated that CS-SE provided image quality within 10% of conventional MRI, with no significant differences in SNR or contrast-to-noise ratio (CNR). Additionally, CS-SE reduced scan times by 25% for T2-FLAIR and 35% for T1-echo-spoiled gradient echo sequences. Toledano-Massiah et al.22 compare image quality and diagnostic performance between conventional 3D-FLAIR and CS 3D-FLAIR in detecting multiple sclerosis (MS) lesions at 3T. The results showed that the image quality and the number of detected MS lesions were similar between conventional and CS FLAIR. In these studies, the analysis of accelerated sequences is focused on T1 sequences. However, Monch et al.20, Vranic et al.21 and Toledano-Massiah22 extended their analysis to include FLAIR sequences as well. None of these works investigated on dementia patients, mainly focusing on healthy subjects, except for Vranic et al.21, and Toledano-Massiah et al.22, which analyzes patients with tumors or MS, respectively. The present study aims to conduct a comparative analysis of accelerated and conventional sequences of MRI specifically in patients with dementia, on which the estimation of vascular load and atrophy markers is clinically relevant. Data analysis is structured into two distinct phases. Firstly, the study evaluated image quality by assessing both T1 and FLAIR sequences, providing a comprehensive overview of their diagnostic power. Secondly, a reliability study on quantitative measurements was conducted. For T1 images, volumes and cortical thickness measures of key brain structures were analyzed and the corresponding labels were compared. For FLAIR images, the volumes of WMHs were assessed and the labels were also compared in terms of lesion count and volume.
Material and methods
Study sample and MRI scanning protocol
The sample of 46 patients with dementia (26 females, mean age 66.19 ± 8.93; 20 males, mean age 68.10 ± 6.70) was recruited.This study was approved by the local ethic committee and has been conducted under the principles of the Declaration of Helsinki. All participants provided written informed consent. All images were performed on an Achieva dStream 3T scanner (Philips Healthcare, Best, Netherlands) using 32 channels head coil. Each patient underwent an advanced MRI protocol which includes the following sequences: 3D-T1w, 3D-T2 FLAIR, DWI, DTI, rs-fMRI. In addition to these acquisitions, each patient underwent either accelerated CS-SENSE 3D-T1w (Fig. 1) and accelerated CS-SENSE 3D-T2 FLAIR (Fig. 2), which were performed during their routine MRI examination. The sequence scan parameters for both the conventional and CS-SENSE MRI sequences are listed in Table 1. Scan time reduction was 51% for T1w and 46% for FLAIR compared with conventional acquisition protocols.
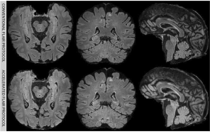
Figure 1 compares standard and accelerated T1w images of the same patient, highlighting subtle differences in brain tissue definition and anatomical boundaries. In Fig. 2 standard and accelerated T2-FLAIR sequences are presented.
T1w skull-stripped images of conventional (top) and accelerated (bottom) protocols. In each row the axial, coronal, and sagittal planes are shown from left to right.
T2-FLAIR skull-stripped images of conventional (top) and accelerated (bottom) protocols. In each row the axial, coronal, and sagittal planes are shown from left to right.
Data processing
The first crucial step for accurate brain analysis is skull-stripping, as it removes non-brain tissues that can interfere with processing. SynthStrip23,a deep learning-based tool designed to extract brain voxels across various image types, modalities, resolutions, and subject populations, was used. Registration of accelerated sequence images to conventional images was performed with SynthMorph24, a deep-learning method that has demonstrated promising results in brain image registration. Brain structure segmentation was conducted on structural T1w sequences using two different tools to increase the statistical analysis robustness:
-
FreeSurfer 7.4.0
-
SynthSeg 2.0
FreeSurfer25 is a comprehensive neuroimaging analysis toolkit that offers various algorithms for quantifying functional, connectional, and structural characteristics of the human brain. This tool has been extensively validated in the literature, demonstrating high test-retest reliability across multiple studies, even under varying acquisition parameters26,27. It has been also used for cortical thickness measures28. On the other hand, SynthSeg29 is a deep learning-based brain structure segmentation tool designed to be resilient against variations in image contrast and resolution. It is worth noting that, starting from version 8, FreeSurfer has adopted SynthSeg as its main segmentation engine, integrating its advanced capabilities into the toolkit.
For T2-FLAIR images,Lesion Segmentation Tool (LST), an open-source toolbox for Statistical Parametric Mapping30, was employed to segment WM hyperintense lesions. These lesions31 are commonly associated with aging, certain medical conditions, invasive medical procedures, and various neurological and psychiatric disorders.
Image quality metrics
Image quality metrics (IQM) are designed to mimic human perception when evaluating image quality. For this study, the following measures have been evaluated:
-
Structural Similarity Index
-
Mean Square Error
-
Peak Signal-to-Noise Ratio
The Structural Similarity (SSIM) Index32, is a perceptual metric that assesses image quality degradation resulting from various processing techniques or data transmission losses. It operates by calculating an index on different windows of an image. For two windows x and y of size N \(\times\) N, the SSIM is computed as:
with \(\mu _{x}\) the pixel sample mean of x; \(\mu _{y}\) the pixel sample mean of y; \(\sigma _{x}^{2}\) the variance of x; \(\sigma _{y}^{2}\) the variance of y; \(\sigma _{xy}\) the covariance of x and y; \(c_{1}=(k_{1}L)^{2},c_{2}=(k_{2}L)^{2}\) two variables to stabilize the division with weak denominator; L the dynamic range of the pixel-values (typically this is \(2^{\#bits\ per\ pixel}-1)\); \(k_{1}=0.01\) and \(k_{2}=0.03\) by default.
Mean Square Error (MSE)33 is a fundamental metric in image quality assessment, representing the second moment of error. It calculates the average squared difference between corresponding pixels in the original and distorted images. MSE between two images such as g(x,y) and \(\hat{g}\)(x,y) is defined as
Peak Signal-to-Noise Ratio (PSNR)33, derived from MSE, quantifies the ratio between the maximum possible signal power and the power of distorting noise that affects image quality. It is typically expressed in decibels (dB). PSNR is expressed as:
In this equation, peakval represents the maximum possible pixel value in the image data.
Segmentation metrics
To compare the segmentation label, the following metrics were calculated:
-
Intersection-over-Union
-
Dice similarity coefficient
The Intersection-over-Union (IoU) and the Dice similarity coefficient (DSC) are two key metrics used in evaluating image segmentation quality, particularly in medical image segmentation (MIS)34. IoU, also referred to as the Jaccard index or Jaccard similarity coefficient, quantifies the overlap between the predicted segmentation and the ground truth. It’s particularly sensitive to discrepancies, strongly penalizing both under- and over-segmentation. The DSC, alternatively known as Sørensen-Dice index, can be defined as the harmonic mean of sensitivity and precision. While it also measures segmentation accuracy, it tends to be less stringent than IoU when it comes to segmentation errors. Those two metrics are the most used in the large majority of scientific production about MIS.
where TP: True Positive, TN: True Negative, FP: False Positive, FN: False Negative.
Anatomical measures
To assess the consistency of volume and cortical thickness measurements between the conventional and accelerated protocol, the Intraclass Correlation Coefficient (ICC) was employed35,36. This statistical tool is valuable for assessing the relationship between variables representing different measurement categories. The ICC methodology includes different statistical models, and the selection of the appropriate one depends on the specific characteristics of the study. Since the analysis involves random sampling of measurement biases across the k observations for each object, the Two-Way Model was applied37.
In this study “Two-Way” refers to two sources of variation, the subjects (scans) and the methods (conventional vs. accelerated MRI), “measurement biases” could include factors like slight differences in patient positioning, minor variations in magnetic field homogeneity, or inter-patients variability.
The ICC provides a quantitative assessment of agreement between the two protocols, evaluating the reproducibility of volume measurements across both imaging protocols based on differences between measures extracted from conventional and accelerated sequences. For the volumes, the analysis was conducted by independently considering the two tools (Freesurfer and SynthSeg) used for segmentation where volume measurements were extracted. This approach allows a better understanding on the performance of the accelerated sequence compared to the conventional one, particularly in terms of volumetric consistency. The definition of the ICC Two-way model is:
where \({MS}_{r}\): Mean Square for rows (i.e, between scanner measurements), \({MS}_{e}\): Mean Square for error, \({MS}_{c}\): Mean Square for columns (i.e., within-scan measurements), k: the number of measurements.
For volumetric studies, an ICC value greater than 0.9 indicates excellent reliability37,38.
Results
Results are presented in three main categories, following the structure outlined in Section II: image quality metrics, comparison of labels derived from two different segmentation methods, correlations between calculated volumes of brain structures for T1w sequences and WM lesions for FLAIR and correlation between cortical thickness measures.
Image quality
Tables 2 and 3 show the results of the Image Quality assessment for T1w and FLAIR modalities, respectively. The analysis revealed consistently high image quality across both modalities. For T1w and FLAIR sequences,SSIM values of 0.97 or higher indicate excellent structural similarity between the accelerated and standard sequences. Additionally, PSNR values were consistently above 31 dB, suggesting a good image fidelity.
Segmentation
For the segmentation label analysis, the approach of Choe et al.39 was adopted, focusing on the hippocampus, temporal, and parietal regions (both inferior and superior), as well as the inferior lateral ventricle, structures frequently analyzed in the context of diagnosing common neurodegenerative disorders. In addition, other regions commonly affected in Alzheimer’s disease were included, such as the entorhinal cortex, parahippocampus, and amygdala40.
Table 4 shows the Dice similarity coefficient and IoU metrics for SynthSeg labels.
The results show high agreement between accelerated and standard sequences across all analyzed regions:
-
Lateral ventricles showed the highest agreement, with Dice scores of 0.974 ± 0.009 (right) and 0.973 ± 0.010 (left)
-
Entorhinal exhibited the lowest agreement with Dice scores of 0.847 ± 0.037 (right) and 0.847 ± 0.041 (left)
Table 5 shows the Dice and IoU metrics for FreeSurfer labels. FreeSurfer labels showed generally lower agreement compared to SynthSeg, but still demonstrated good consistency:
-
Lateral ventricles again showed the highest agreement, with Dice scores of 0.928 ± 0.0278 (right) and 0.928 ± 0.026 (left).
-
As previously, the entorhinal cortex exhibited the lowest agreement, with Dice scores of 0.708 ± 0.079 (right) and 0.734 ± 0.067 (left).
Figure 3 demonstrates consistency with the observed results, where the performance of FreeSurfer was generally inferior. In particular, the right temporal pole label (for the considered slice) is not segmented by this tool in the case of the accelerated sequence, which agrees with the results showing this region had the lowest Dice coefficient values.
Axial (left), coronal (middle), and sagittal (right) views illustrating the volumetric segmentation of 16 chosen structures, color-coded according to the legend. First two rows present FreeSurfer segmentation, last two rows SynthSeg. (A) identifies segmentation obtained from the conventional T1w sequences, while (B) from the accelerated one.
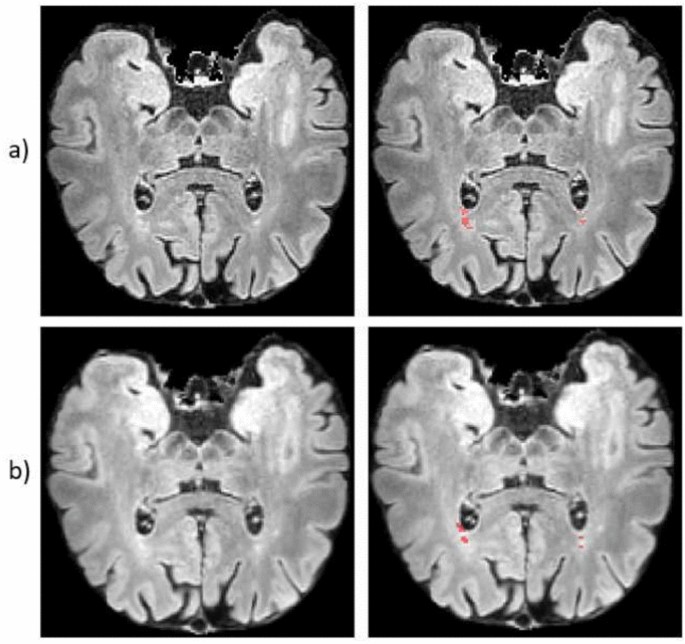
For the segmentation of hyperintense lesions on T2-FLAIR images using LST (as shown in Fig. 4), the Dice Index achieved values of \(0.713 \pm 0.0095\), while the IoU reached \(0.562 \pm 0.113\).
Axial view of hyperintense lesions segmentation with LST between two protocols: conventional (row a) and accelerated (row b). In the first column are presented the T2-FLAIR scans, in the second lesions segmentations.
Anatomical measures
In Tables 6 and 7 are detailed the results of the ICC measure considering for each of the four regions mentioned previously, the left and right hemisphere. Both segmentation methods demonstrated high ICC values, averaging 0.95, indicating excellent reliability between accelerated and standard sequences.
Across both methods, the lateral ventricles consistently showed the highest ICC values, indicating excellent reproducibility in volume estimation between accelerated and standard sequences. The temporal pole demonstrated the lowest ICC values, although still indicating good reliability.
When comparing the conventional and accelerated FLAIR sequences, the number of lesions and their volumes demonstrated very good reproducibility, with values particularly reaching 0.994 for lesion volumes and 0.837 for lesion counts.
Cortical thickness is a reliable marker of cerebral atrophy41, particularly in regions such as the entorhinal cortex and temporal gyri, which are key for predicting cognitive decline in AD42. ICC values in Table 8 demonstrate high reliability (most \(>0.90\)), indicating excellent measurement consistency across regions and hemispheres.
Discussion
Long acquisition times for MRI are a significant limitation to being used in particularly challenging cases such as PET/MR imaging, where the duration of the MR protocol dominates the entire acquisition time. Given the importance of acquisition time to patient safety, clinical efficiency, image quality, and cost, significant technical efforts have been made to reduce this time. This study investigated the promising potential of accelerated MRI sequences for the assessment of brain structural volumes and vascular markers in patients with dementia, taking into account both image quality and reproducibility between different segmentation methods, which is a novelty for this clinical setting. The assessment of brain structures has been previously investigated by Vemuri et al.43. They studied it by performing a Symmetric Diffeomorphic Image Normalisation (SyN) and evaluating the annual structural changes in 31 regions of interest (ROIs). They showed comparable results between the accelerated and conventional sequences.
Evaluations of image quality and reliability of accelerated images have been previously conducted in healthy volunteers15,17,18,37, or in patients with suspected brain tumors20,21 or MS20,22. Regarding the IQA of images obtained with accelerated sequences, various evaluation strategies, such as measuring the SNR17,18,20,21,22 or CNR15,18,21,22 were used. In this study, following the literature about IQA33,34, the metrics of SSIM, MSE, and PSNR were used to evaluate it. Consistent with these previous researches,high image quality was demonstrated, with an SSIM of 0.982, an MSE of 0.001, and a PSNR of 32 dB for T1w, and similarly strong results for FLAIR sequences (SSIM: 0.972, MSE: 0.001, PSNR: 31 dB).
Furthermore, exceptional reliability was demonstrated in the quantification of brain structural volumes using accelerated T1w sequences, as evidenced by the evaluation of label metrics and the consistency of volume measurements. In particular, high reliability was observed for critical brain structures such as the lateral ventricles and the hippocampus, regions critical for the diagnosis and monitoring of neurodegenerative disorders. Results in terms of ICC were consistent with those reported by Falkovskiy et al.15 for the hippocampus, who evaluated the reliability of accelerated MPRAGE sequences (scan time around 3 minutes) compared to the T1w ADNI-2 protocol with 2-fold GRAPPA acceleration (scan time around 5 minutes). The consistency in performance across different segmentation methods (SynthSeg and FreeSurfer) further strengthens the case for the robustness of accelerated sequences. This consistency implies that the benefits of acceleration may be realized regardless of the specific processing pipeline employed, which is particularly valuable given the diversity of analytical approaches in both research and clinical settings. Moreover, superior reliability in the segmentation process using SynthSeg was observed. However, it is important to note that, based on current knowledge, no previous studies have specifically utilized this tool for this purpose. On the other hand, many studies have relied on FreeSurfer for segmentation tasks in reliability analyses, highlighting its established use in the field44,45,46. Morey et al.44 assessed the scan-rescan reliability of automated segmentation algorithms (FreeSurfer and FSL) for several subcortical regions, reporting an ICC greater than 0.924 for hippocampal segmentation using FreeSurfer. Similar results were observed in the present investigation, with an ICC exceeding 0.962 for hippocampal segmentation using FreeSurfer. These findings further highlight the effectiveness of accelerated sequences. Similarly high reliability results were observed when analyzing hyperintense WM lesions on FLAIR sequences. Using the LST tool30, high ICC scores for both lesion count and volume were obtained. On the other hand, a relatively weak agreement was observed when comparing results using Dice and IoU metrics. However, low overlap metrics are a common characteristic in most evaluations of WMH segmentations47.
However, it is crucial to interpret these promising results within the context of the study’s limitations. A primary consideration is that this work was based on data collected on a single scanner, with a specific acceleration protocol. This limitation does not allow immediate generalized results to the generic use of accelerated sequences and specific site-specific comparative studies should be performed to have an optimal degree of confidence. The performance of accelerated sequences may vary depending on the scanner manufacturer, field strength, specific acceleration techniques or factors, and patient characteristics. Despite this limitation, the results achieved in this analysis provides a solid foundation for more investigation, further boosting the accelerating factor to maximize the tradoff between MR accuracy and patient compliance. The potential benefits of reduced scanning times are substantial, including increased patient comfort, reduced motion artifacts, and improved clinical workflow efficiency. These advantages could be particularly significant in the context of dementia research and clinical care, where patient compliance and comfort during imaging procedures can be challenging.
Conclusion
In conclusion, the strong performance of accelerated sequences for both T1w and FLAIR, as demonstrated by this study, supports their clinical use in dementia patients. This finding highlights the reliability and potential of these sequences in clinical practice. Furthermore, the reduced scan times may provide secondary benefits, such as enhanced patient comfort, fewer motion artifacts, and improved workflow efficiency, which are particularly valuable in dementia research and care.
Data availability
Data will be shared upon reasonable request to the corresponding author.
References
Živanović, M. et al. The role of magnetic resonance imaging in the diagnosis and prognosis of dementia. Biomol. Biomed. 23, 209–224. https://doi.org/10.17305/bjbms.2022.8085 (2023).
Jack, C. R. Jr. et al. The Alzheimer’s disease neuroimaging initiative (ADNI): MRI methods. J. Magn. Reson. Imaging 27, 685–691. https://doi.org/10.1002/jmri.21049 (2008).
Chouliaras, L. & O’Brien, J. T. The use of neuroimaging techniques in the early and differential diagnosis of dementia. Mol. Psychiatry 28, 4084–4097. https://doi.org/10.1038/s41380-023-02215-8 (2023) (Publisher: Nature Publishing Group.).
Wittens, M. M. J. et al. Towards validation in clinical routine: A comparative analysis of visual MTA ratings versus the automated ratio between inferior lateral ventricle and hippocampal volumes in Alzheimer’s disease diagnosis. Neuroradiology 66, 487–506. https://doi.org/10.1007/s00234-024-03280-8 (2024).
Dickerson, B. C. et al. Alzheimer-signature MRI biomarker predicts AD dementia in cognitively normal adults. Neurology 76, 1395–1402. https://doi.org/10.1212/WNL.0b013e3182166e96 (2011).
Ferreira, D. et al. Distinct subtypes of Alzheimer’s disease based on patterns of brain atrophy: Longitudinal trajectories and clinical applications. Sci. Rep. 7, 1–13. https://doi.org/10.1038/srep46263 (2017) (Number: 1 Publisher: Nature Publishing Group.).
Brickman, A. M., Muraskin, J. & Zimmerman, M. E. Structural neuroimaging in Alzheimer’s disease: Do white matter hyperintensities matter?. Dialogues Clin. Neurosci. 11, 181–190 (2009).
Saranathan, M., Worters, P. W., Rettmann, D. W., Winegar, B. & Becker, J. Physics for clinicians: Fluid-attenuated inversion recovery (FLAIR) and double inversion recovery (DIR) Imaging. J. Magn. Reson. Imaging 46, 1590–1600. https://doi.org/10.1002/jmri.25737 (2017).
Prins, N. D. & Scheltens, P. White matter hyperintensities, cognitive impairment and dementia: An update. Nat. Rev. Neurol. 11, 157–165. https://doi.org/10.1038/nrneurol.2015.10 (2015) (Publisher: Nature Publishing Group.).
Gückel, B. et al. Patient comfort during positron emission tomography/magnetic resonance and positron emission tomography/computed tomography examinations: Subjective assessments with visual analog scales. Invest. Radiol. 50, 726–732. https://doi.org/10.1097/RLI.0000000000000177 (2015).
Lustig, M., Donoho, D., Santos, J. & Pauly, J. Compressed sensing MRI. IEEE Signal Process. Mag. 25, 72–82. https://doi.org/10.1109/MSP.2007.914728 (2008).
Hamilton, J., Franson, D. & Seiberlich, N. Recent advances in parallel imaging for MRI. Prog. Nucl. Magn. Reson. Spectrosc. 101, 71–95. https://doi.org/10.1016/j.pnmrs.2017.04.002 (2017).
Griswold, M. A. et al. Generalized autocalibrating partially parallel acquisitions (GRAPPA). Magn. Reson. Med. 47, 1202–1210. https://doi.org/10.1002/mrm.10171 (2002).
Breuer, F. A. et al. Controlled aliasing in volumetric parallel imaging (2D CAIPIRINHA). Magn. Reson. Med. 55, 549–556. https://doi.org/10.1002/mrm.20787 (2006).
Falkovskiy, P. et al. Comparison of accelerated T1-weighted whole-brain structural-imaging protocols. Neuroimage 124, 157–167. https://doi.org/10.1016/j.neuroimage.2015.08.026 (2016).
Prakkamakul, S. et al. Ultrafast brain MRI: Clinical deployment and comparison to conventional brain MRI at 3T. J. Neuroimaging 26, 503–510. https://doi.org/10.1111/jon.12365 (2016).
Yarach, U. et al. Feasibility of accelerated 3D T1-weighted MRI using compressed sensing: Application to quantitative volume measurements of human brain structures. Magn. Reson. Mater. Phys. Biol. Med. 34, 915–927. https://doi.org/10.1007/s10334-021-00939-8 (2021) (Company: Springer Distributor: Springer Institution: Springer Label: Springer Number: 6 Publisher: Springer International Publishing.).
Manson, E. N., Inkoom, S., Mumuni, A. N., Shirazu, I. & Awua, A. K. Assessment of the impact of turbo factor on image quality and tissue volumetrics in brain magnetic resonance imaging using the three-dimensional T1-weighted (3D T1W) sequence. Int. J. Biomed. Imaging 2023, 6304219. https://doi.org/10.1155/2023/6304219 (2023).
Leung, K. K. et al. Effects of changing from non-accelerated to accelerated MRI for follow-up in brain atrophy measurement. Neuroimage 107, 46–53. https://doi.org/10.1016/j.neuroimage.2014.11.049 (2015).
Mönch, S. et al. Magnetic resonance imaging of the brain using compressed sensing: Quality assessment in daily clinical routine. Clin. Neuroradiol. 30, 279–286. https://doi.org/10.1007/s00062-019-00789-x (2020).
Vranic, J. E. et al. Compressed sensing-sensitivity encoding (CS-SENSE) accelerated brain imaging: Reduced scan time without reduced image quality. Am. J. Neuroradiol. 40, 92–98. https://doi.org/10.3174/ajnr.A5905 (2019) (Publisher: American Journal of Neuroradiology Section: Adult Brain.).
Toledano-Massiah, S. et al. Accuracy of the compressed sensing accelerated 3D-FLAIR sequence for the detection of MS plaques at 3T. AJNR Am. J. Neuroradiol. 39, 454–458. https://doi.org/10.3174/ajnr.A5517 (2018).
Hoopes, A., Mora, J. S., Dalca, A. V., Fischl, B. & Hoffmann, M. SynthStrip: Skull-stripping for any brain image. Neuroimage 260, 119474. https://doi.org/10.1016/j.neuroimage.2022.119474 (2022).
Hoffmann, M. et al. SynthMorph: learning contrast-invariant registration without acquired images. IEEE Trans. Med. Imaging 41, 543–558. https://doi.org/10.1109/TMI.2021.3116879 (2022).
Fischl, B. FreeSurfer. NeuroImage 62, 774–781. https://doi.org/10.1016/j.neuroimage.2012.01.021 (2012).
Brown, E. M. et al. Test-retest reliability of FreeSurfer automated hippocampal subfield segmentation within and across scanners. Neuroimage 210, 116563 (2020).
Kahhale, I., Buser, N. J., Madan, C. R. & Hanson, J. L. Quantifying numerical and spatial reliability of hippocampal and amygdala subdivisions in FreeSurfer. Brain Inform. 10, 9 (2023).
Cardinale, F. et al. Validation of FreeSurfer-estimated brain cortical thickness: Comparison with histologic measurements. Neuroinformatics 12, 535–542 (2014).
Billot, B. et al. SynthSeg: Segmentation of brain MRI scans of any contrast and resolution without retraining. Med. Image Anal.86, 102789. https://doi.org/10.1016/j.media.2023.102789, arXiv:2107.09559 [cs, eess] (2023).
Schmidt, P. & Wink, L. LST: A lesion segmentation tool for SPM.
Taylor, W. D. et al. Widespread effects of hyperintense lesions on cerebral white matter structure. Am. J. Roentgenol. 188, 1695–1704. https://doi.org/10.2214/AJR.06.1163 (2007) (Publisher: American Roentgen Ray Society.).
Wang, Z., Simoncelli, E. & Bovik, A. Multiscale structural similarity for image quality assessment. In The thrity-seventh asilomar conference on signals, systems & computers Vol. 2, 1398–1402. https://doi.org/10.1109/ACSSC.2003.1292216 (2003).
Sara, U., Akter, M. & Uddin, M. S. Image quality assessment through FSIM, SSIM, MSE and PSNR-A comparative study. J. Comput. Commun. 7, 8–18. https://doi.org/10.4236/jcc.2019.73002 (2019) (Number: 3 Publisher: Scientific Research Publishing.).
Müller, D., Soto-Rey, I. & Kramer, F. Towards a guideline for evaluation metrics in medical image segmentation. BMC. Res. Notes 15, 210. https://doi.org/10.1186/s13104-022-06096-y (2022).
Liljequist, D., Elfving, B. & Roaldsen, K. S. Intraclass correlation: A discussion and demonstration of basic features. PLoS ONE 14, e0219854. https://doi.org/10.1371/journal.pone.0219854 (2019) (Publisher: Public Library of Science.).
McGraw, K. O. & Wong, S. P. Forming inferences about some intraclass correlation coefficients. Psychol. Methods
Hedges, E. P. et al. Reliability of structural MRI measurements: The effects of scan session, head tilt, inter-scan interval, acquisition sequence, FreeSurfer version and processing stream. NeuroImage 246, 118751. https://doi.org/10.1016/j.neuroimage.2021.118751 (2022).
Schnack, H. G. et al. Reliability of brain volumes from multicenter MRI acquisition: A calibration study. Hum. Brain Mapp. 22, 312–320. https://doi.org/10.1002/hbm.20040 (2004).
Choe, Y. S. et al. Automated scoring of Alzheimer’s disease atrophy scale with subtype classification using deep learning-based T1-weighted magnetic resonance image segmentation. J. Alzheimer’s Dis. Rep. 8, 863–876. https://doi.org/10.3233/ADR-230105 (2024).
Teipel, S. J. et al. Comprehensive dissection of the medial temporal lobe in AD: measurement of hippocampus, amygdala, entorhinal, perirhinal and parahippocampal cortices using MRI. J. Neurol. 253, 794–800 (2006).
Querbes, O. et al. Early diagnosis of Alzheimer’s disease using cortical thickness: Impact of cognitive reserve. Brain 132, 2036–2047 (2009).
Velayudhan, L. et al. Entorhinal cortex thickness predicts cognitive decline in Alzheimer’s disease. J. Alzheimers Dis. 33, 755–766 (2013).
Vemuri, P. et al. Accelerated vs. unaccelerated serial MRI based TBM-SyN measurements for clinical trials in Alzheimer’s disease. NeuroImage 113, 61–69. https://doi.org/10.1016/j.neuroimage.2015.03.026 (2015).
Morey, R. A. et al. Scan-rescan reliability of subcortical brain volumes derived from automated segmentation. Hum. Brain Mapp. 31, 1751–1762. https://doi.org/10.1002/hbm.20973 (2010).
Jovicich, J. et al. Brain morphometry reproducibility in multi-center 3T MRI studies: A comparison of cross-sectional and longitudinal segmentations. Neuroimage 83, 472–484. https://doi.org/10.1016/j.neuroimage.2013.05.007 (2013).
Reuter, M., Schmansky, N. J., Rosas, H. D. & Fischl, B. Within-subject template estimation for unbiased longitudinal image analysis. Neuroimage 61, 1402–1418. https://doi.org/10.1016/j.neuroimage.2012.02.084 (2012).
Rahmani, M. et al. Evolution of white matter hyperintensity segmentation methods and implementation over the past two decades; an incomplete shift towards deep learning. Brain Imaging Behav. 1–13 (2024).
Acknowledgements
This work is partially supported by the Italian Ministry of Health (GR-2018-12366779 and “Ricerca Corrente” projects).
Author information
Authors and Affiliations
Contributions
M.V. and F.G. conducted the experiments. M.V., F.G., G.E., V.A., and M.A. analyzed the results and wrote the first draft. M.C., C.C., A.D.C., and E.S. performed clinical enrollment and data acquisition. C.C., M.S., and S.P. critically reviewed the manuscript. M.A. conceived and supervised the work. All the authors contributed to the paper by editing and reviewing.
Corresponding author
Ethics declarations
Competing interests
The authors declare no competing interests.
Additional information
Publisher’s note
Springer Nature remains neutral with regard to jurisdictional claims in published maps and institutional affiliations.
Rights and permissions
Open Access This article is licensed under a Creative Commons Attribution-NonCommercial-NoDerivatives 4.0 International License, which permits any non-commercial use, sharing, distribution and reproduction in any medium or format, as long as you give appropriate credit to the original author(s) and the source, provide a link to the Creative Commons licence, and indicate if you modified the licensed material. You do not have permission under this licence to share adapted material derived from this article or parts of it. The images or other third party material in this article are included in the article’s Creative Commons licence, unless indicated otherwise in a credit line to the material. If material is not included in the article’s Creative Commons licence and your intended use is not permitted by statutory regulation or exceeds the permitted use, you will need to obtain permission directly from the copyright holder. To view a copy of this licence, visit http://creativecommons.org/licenses/by-nc-nd/4.0/.
About this article
Cite this article
Verdicchio, M., Grassi, F., Esposito, G. et al. Reliability assessment of accelerated MR sequences for the estimation of structural and vascular markers in dementia. Sci Rep 15, 13111 (2025). https://doi.org/10.1038/s41598-025-87224-z
Received:
Accepted:
Published:
Version of record:
DOI: https://doi.org/10.1038/s41598-025-87224-z






