Abstract
Malassezia is a fungal genus that is part of the skin’s normal mycobiota but can also cause various diseases. The emergence of resistance to antimicrobial agents in several microorganisms, including Malassezia yeasts, has led to the exploration of new therapeutic alternatives such as antimicrobial peptides. This study aimed to investigate the effect of Satanin 1, a recently identified antimicrobial peptide, against Malassezia using broth microdilution assays, Scanning Electron Microscopy (SEM) and Transmission Electron Microscopy (TEM), and a Galleria mellonella infection model. Results showed that the Minimal Inhibitory Concentration (MIC) of Satanin 1 against Malassezia ranged from 50 to 12.5 µg/mL, and the peptide works by affecting the fungal cell surface. Nonetheless, Satanin 1 treatment did not improve the survival of infected G. mellonella, possibly due to an exacerbated immune response in the larvae, as shown by hemocyte population characterization and histopathological analyses. Continued investigation into alternative molecules, like antimicrobial peptides, is essential to combat the increasing threat of antifungal resistant microorganisms.
Similar content being viewed by others
Introduction
Malassezia is a genus of lipophilic and lipid-dependent yeasts that are part of the normal mycobiota in mammals, and dominate the skin mycobiota in humans1,2. Although Malassezia typically establishes a commensal relationship with their host, these yeasts have the potential to act as pathogens depending on host’s characteristics such as age, gender, immune status or the functionality of the skin barrier3,4. For example, Malassezia is the etiological agent of pityriasis versicolor, and it can cause folliculitis or fungemia in patients receiving lipid infusion or total parenteral nutrition1,5. Additionally, increases in the abundance of these yeasts are likely to exacerbate the severity of inflammatory skin diseases, as this genus can secrete antigens, metabolites, and free fatty acids that intensify symptoms and stimulate the secretion of interleukins within the host3,6. Given the global prevalence of seborrheic dermatitis, atopic dermatitis, and psoriasis exceeding 1% for each disease, it is crucial to look for strategies to control the proliferation of Malassezia under pathological conditions3.
Azoles, like ketoconazole or fluconazole (FCZ), and polyenes, like amphotericin B (AMB), are typically used to treat Malassezia infections depending on the severity and the location of the infection7. However, authors have documented resistance mechanisms to azoles in clinical isolates, such as the expression of efflux pumps8,9, or chromosomal rearrangements and point mutations that affect genes involved in the ergosterol biosynthetic pathway10,11. The emergence of antimicrobial resistance and subsequent therapeutic failure have encouraged researchers to look for new antimicrobial compounds, such as antimicrobial peptides (AMPs). AMPs are small molecules that inhibit the proliferation of microorganisms, modulate the host’s immune response, and are secreted by a wide range of organisms such as defense peptides12,13.
Cecropins are an important group of cationic and amphipathic AMPs produced by insects14,15. Two proposed antimicrobial mechanisms of action have been identified for cecropins: (1) the aggregation of cecropin dimers to form channels in the cell membrane resulting in ion leakage and increased permeability14,16,17, and (2) the carpet model which suggests that the cell membrane is disrupted by an accumulation of peptides that act like a surfactant along the lipid bilayer18,19. Cecropins have already been tested against yeasts, including Malassezia, yielding promising results and demonstrating their antifungal activity20,21,22.
Satanin 1, a cecropin, was recently discovered in the transcriptome of a dung beetle (Dichotomius satanas)23. Satanin 1 is a cationic AMP that contains 38 amino acids and has a positive net charge (+ 9). This AMP exhibited an excellent antimicrobial profile against Candida parapsilosis, and Gram-positive and Gram-negative bacteria; moreover, the peptide showed low toxicity against mammalian cells such as human erythrocytes, human peripheral blood mononuclear cells (PBMCs), and Vero cells23. However, the antimicrobial activity of satanin 1 against Malassezia has not been studied; therefore, this research aims to evaluate the effect of Satanin 1 on Malassezia using in vivo and in vitro approaches.
Results
Susceptibility testing of Malassezia to Satanin 1
Three reference strains (Malassezia furfur CBS 1878, Malassezia pachydermatis CBS 1879, and Malassezia sympodialis CBS 7222) and twenty-five isolates from our research group’s collection were tested to determine the minimal inhibitory concentration (MIC) of Satanin 1 against Malassezia reference strains and isolates. Malassezia yeasts in our collection, as shown in Table 1, were obtained from various conditions such as non-lesional skin, pityriasis versicolor, seborrheic dermatitis, atopic dermatitis, fungemia and canine otitis, and yeasts comprised three different species: M. furfur (76%), M. pachydermatis (16%) and M. sympodialis (8%). The MIC range of Satanin 1 was 50–12.5 µg/mL.
Table 1 also displays the results of susceptibility to FCZ and AMB, previously evaluated by our research group and other collaborators24,25,26,27. No correlation was found between the MIC values of Satanin 1, and the MIC values of FCZ or AMB. We highlight the efficacy of Satanin 1 against some resistant isolates such as M. sympodialis 1DA and M. furfur 959. These isolates are particularly susceptible to Satanin 1, as fungal growth can be successfully inhibited at a relatively low concentration (12.5 µg/mL), despite being resistant to both AMB and FCZ. In addition, this assay revealed differences in the MICs of Satanin 1 based on the origin of the isolate; for example, isolates obtained from fungemia infections exhibited lower MICs compared to isolates from seborrheic dermatitis and non-lesion skin.
Electron microscopy analyses
Given that most of our isolates belong to the M. furfur species, and numerous diseases are associated with M. furfur3,5,28, we decided to carry out electron microscopy analyses using the reference strain M. furfur CBS 1878. Scanning electron microscopy (SEM) and transmission electron microscopy (TEM) analyses were performed to observe the effect of Satanin 1 on M. furfur CBS 1878.
Changes in the yeast’s surface were assessed through SEM analysis, as shown in Fig. 1a to d. Unexposed yeasts (Fig. 1a and b) display a regular surface, and the Malassezia bud scar or collar can easily be identified29. In contrast, cells exposed to Satanin 1 (Fig. 1c and d) exhibit a porous surface, and some appear very wrinkled and irregular.
Scanning and Transmission Electron Microscopy images of M. furfur CBS 1878 (MIC of Satanin 1 was 25 µg/mL). SEM analysis of yeasts that were not exposed to Satanin 1 (a-b), and yeasts exposed to Satanin 1 (c-d). TEM analysis of yeasts that were not exposed to Satanin 1 (e-f), and yeasts exposed to Satanin 1 (g-h).
Intracellular changes were assessed by TEM analysis as presented in Fig. 1e to h. Unexposed yeasts (Fig. 1e and f) display a thick dark cell surface, and a well-contrasted cytoplasmic content. On the other hand, yeasts exposed to Satanin 1 (Fig. 1g and h) have a very thin cell surface, and the light and less uniform cytoplasmic content might indicate disintegration and cell necrosis in the treated cells30. In addition, Fig. 1h is likely showing intracellular leakage from one of the yeasts, possibly due to the weakened cell surface; this observation is probably related to the wrinkled and irregular cell surfaces observed in the SEM analysis (Fig. 1c and d).
Survival Assays of Galleria mellonella treated with Satanin 1
To evaluate the effect of Satanin 1 in vivo, an infection model was assessed in G. mellonella larvae infected with M. furfur CBS 1878. The effect of Satanin 1 on the larvae survival was compared to that of FCZ and AMB. The concentrations of FCZ and AMB were determined based on the management guidelines for invasive candidiasis31, with a slight increase in the dosage for this model. Before conducting the survival assays, the toxicity of Satanin 1 (4 µg/larva), FCZ (4 µg/larva) and AMB (0.6 µg/larva) were assessed in the larvae; since the tested concentrations did not show adverse effects on the larvae survival, an infection model was established by infecting the larvae with M. furfur CBS 1878 and injecting the molecules afterwards.
Survival curves are presented in Fig. 2. There were statistically significant differences between the infection-alone group and the infected larvae treated with AMB (0.6 µg/larvae) (p-value < 0.05), indicating that AMB increases the survival of infected larvae. Despite lacking statistical differences between the infection-alone group and the infected larvae treated with FCZ (4 µg/larvae), a slight trend was observed in which larvae survived more with FCZ treatment. Surprisingly, there were no statistical differences between the infection alone group and the infected larvae treated with Satanin 1 (4 µg/larvae).
Survival curves showing the survival of larvae infected with M. furfur CBS 1878 (MIC of Satanin 1 was 25 µg/mL). Significant differences were reported between the infected larvae left untreated, and the infected larvae treated with AMB (p-value < 0.05).
Histopathological analysis and hemocyte populations in Galleria mellonella
As larvae survival did not significantly increase after Satanin 1 treatment, hemocyte population proportions and histopathological analyses were performed with the aim of providing a rationale on the low survivorship rate displayed by the treated larvae.
Hemocyte population characterization, presented in Fig. 3, showed significant differences among groups for the plasmatocyte and granulocyte cell populations (p-value < 0.001), while no significant changes were reported for the proportion of spherulocytes and oenocytes. There was a marked increase in the proportion of plasmatocytes, and a decrease in the proportion of granulocytes, for all groups compared to control larvae (p-value < 0.001). Compared to uninfected control larvae, plasmatocyte population increases were more dramatic in infected larvae left untreated (1.65-fold change) and in infected larvae treated with Satanin 1 (1.84-fold change). Similarly, the most pronounced decreases in granulocyte proportions, compared to the uninfected control, were reported in infected larvae (0.39-fold change) and in infected larvae treated with Satanin 1 (0.25-fold change).
Hemocyte population proportions in G. mellonella larvae. Plasmatocyte, granulocyte, spherulocyte and oenocyte cell proportions are presented. Significant differences in plasmatocyte and granulocyte proportions were found among all groups. *** p-value < 0.001.
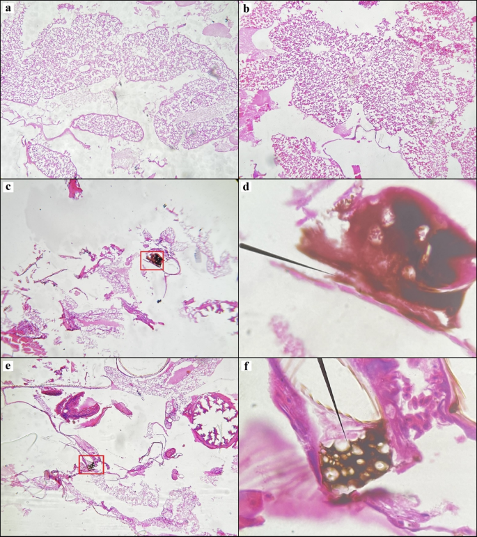
Histopathological analyses are presented in Fig. 4. No nodules were identified in the uninfected group or in the group of uninfected larvae that received Satanin 1 (Fig. 4a and b). Conversely, nodules and an important reduction in tissue integrity were noted in the two groups that involved Malassezia infection (Fig. 4c to f). Interestingly, nodules in infected larvae left untreated showed the presence of yeasts at 1000X magnification (Fig. 4d), while the nodules of infected larvae treated with Satanin 1 showed big cavities and a remarkably lower number of yeasts within the nodules at 1000X magnification (Fig. 4f). Plasmatocytes can be observed around the nodule presented in Fig. 4f.
Histopathological analysis of G. mellonella larvae. Pictures show uninfected larva at 100X magnification (a), uninfected larva treated with Satanin 1 at 100X magnification (b), infected larva left untreated at 100X magnification (c) and a close up to the observed nodule at 1000X magnification (d), and infected larva treated with Satanin 1 at 100X magnification (e) and a close up to the nodule observed at 1000X magnification (f). The red boxes in Fig. 4c and e mark the presence of nodules in the tissue. The pointers in Fig. 4d and f show the nodules.
Discussion
Our findings show that the MIC values of Satanin 1 against the tested strains and isolates of Malassezia ranged from 50 to 12.5 µg/mL. This result is comparable to the MIC values reported for Candida parapsilosis (50 µg/mL)23, and is in line with previous studies reporting the MIC of Cecropin A, a widely studied cecropin, against other Malassezia species to be around 32 µg/mL32. MIC values of Satanin 1 against yeasts are higher compared to that of Gram-negative bacteria; this is likely a consequence of the lipid composition in the cell membrane. For example, Gram-negative bacteria have more lipids with negative charges that can easily interact with cationic peptides like Satanin 1; on the other hand, Malassezia has a higher proportion of neutral lipids such as phosphatidylcholine and phosphatidylethanolamine, compared to negatively charged phospholipids such as phosphatidylserine, phosphatidylglycerol, and cardiolipin19,33.
Recently, tentative epidemiological cut-off values (ECVs) were proposed for different antifungals such as FCZ and AMB for three Malassezia species, including M. furfur and M. sympodialis26. Based on the proposed modal ECVs for M. furfur (16 µg/mL for FCZ and 4 µg/mL for AMB)26, 8 out of 19 (42.1%) of our M. furfur isolates can be classified as resistant to both FCZ and AMB; interestingly, 6 out of these 8 isolates exhibited a Satanin 1 MIC of 50 µg/mL, which is the highest value observed in our broth microdilution assays. This could be due to a response to selection pressures generated by antifungals, potentially leading to changes in the cell membrane’s lipid composition that difficult the interaction between molecules, such as AMB and Satanin 1, with the cell surface34.
The electron microscopy analyses revealed significant morphological changes in the yeasts exposed to Satanin 1, the most relevant findings were related to the cell surface and the intracellular integrity of the cells. Our observations support the carpet model mechanism proposed for cecropins, as they disrupt the lipid bilayer in a detergent-like manner18,19. However, the hypothesis of channel formation cannot be ruled out, as both mechanisms may act simultaneously depending on the concentration of AMP on the cell surface35. Other publications that used electron microscopy to assess the effect of cecropins in Candida albicans obtained similar results, such as the observation of a rough cell surface, the disordered cytoplasmic structure indicating severe cell necrosis, and the intracellular material leakage36,37.
The larval survival of the G. mellonella infection model did not show statistically significant differences between the infection-alone group and the infection group treated with Satanin 1 (4 µg/larva). Conversely, other studies using G. mellonella to test cationic AMPs in bacterial infections have displayed significant improvements in larval survival compared to infected larvae left untreated38,39. Complementary analyses, such as the hemocyte population characterization and the histopathological analyses, indicate that an exacerbated immune response in the larvae might be generating the low survivorship rate in the infected larvae treated with Satanin 1. Similar plasmatocyte and granulocyte population changes are often reported in infected larvae40, which indicates that both Malassezia and Satanin 1 can activate the larval innate immune response, and an additive effect was observed in infected larvae treated with Satanin 1. Moreover, based on the histopathological assessment, Satanin 1 did not inhibit nodulation in the infected larvae, although an important reduction in the number of yeasts within the nodules was observed, compared to infected larvae that were left untreated.
The results obtained in the hemocyte population characterization, and the histopathological analysis are related. Both groups of infected larvae had a higher proportion of plasmatocytes and displayed nodules containing yeasts; plasmatocytes are directly involved in the formation of nodules, as these cells form layers around foreign targets like microbes40,41. Nodule formation requires the action of opsonins to recognize and bind pathogens, as well as the activation of the phenoloxidase cascade to synthesize melanin; both elements are analogous to the complement system, an essential component of the innate immune system in vertebrates40,42.
Another possible explanation for the observed low survivorship is related to the pharmacokinetics of AMPs, as these molecules are easily excreted and are vulnerable to host proteases19. Moreover, there are few pharmacokinetic studies in G. mellonella; for example, researchers have found that fluconazole has a faster excretion rate in this model compared to humans, and the metabolism of substances is not fully understood43. Given these knowledge gaps, it is necessary to perform pharmacokinetic studies in G. mellonella or consider employing a murine infection model where numerous pharmacokinetic studies exist44. The murine model would provide a clearer understanding and facilitate the formulation of hypotheses concerning the metabolism of Satanin 1 within the host.
In this study, we investigated the efficacy of the AMP Satanin 1 against Malassezia yeasts. Our results demonstrated that Satanin 1 inhibits the growth of Malassezia at concentrations ranging from 50 to 12.5 µg/mL, by disrupting the cell membrane of the yeast. Nevertheless, although Satanin 1 was found to inhibit the growth of Malassezia in vitro, treatment of infected G. mellonella larvae did not result in increased survival rates, likely due to an exacerbated immune response in the larvae. As the emergence of antimicrobial resistance is a significant threat to public health, it is necessary to continue researching and developing new therapeutic alternatives that are not only effective but also safe and stable in the host.
Methods
Malassezia strains and isolates
Reference strains M. furfur CBS1878, M. pachydermatis CBS1879 and M. sympodialis CBS 7222 were obtained from the Westerdijk Institute (Utrecht, The Netherlands). Isolates are part of the Grupo de Investigación Celular y Molecular de Microorganismos Patógenos (Bogotá, Colombia) collection26,45,46,47,48. Yeasts were grown in modified Dixon agar (36 g.L − 1 mycosel agar [BD, USA], 20 g L − 1 Oxgall [BD, USA], 36 g L − 1 malt extract [Oxoid, UK], 2 mL L − 1 glycerol [Sigma Aldrich, USA], 2 mL L − 1 oleic acid [Sigma Aldrich, USA], and 10 mL L − 1 Tween 40 [Sigma Aldrich, USA]) at 33 °C.
Antifungal compounds and Satanin 1 preparation
Two antifungal compounds were used: FCZ [Sigma Aldrich, USA] and AMB [Sigma Aldrich, USA]. FCZ was diluted in sterile distilled water to reach a concentration of 400 µg/mL. AMB was diluted in DMSO and then added to sterile distilled water to get a 60 µg/mL concentration of Amphotericin B and a final 2% DMSO concentration. FCZ and AMB concentrations were selected based on the management guidelines for invasive candidiasis31, with recommended doses slightly increased for administration in G. mellonella. Satanin 1 was purchased from Peptide 2.0 (Chantilly, VA, USA). HPLC and MS analyses performed by the manufacturer show that the synthetic Satanin 1 is 95% pure. Satanin 1 was diluted in sterile distilled water with 0.5% Tween 80 [Sigma Aldrich, USA] to reach a 400 µg/mL concentration.
Susceptibility testing of Malassezia to Satanin 1
Susceptibility testing was performed following the CLSI reference method for broth microdilution M27-A3 with some modifications previously validated for Malassezia yeasts24,26. Different concentrations of Satanin 1 ranging from 0.0976 to 50 µg/mL were prepared in Sabouraud dextrose broth supplemented with 0.5% Tween 60 [Sigma Aldrich, USA] in a 96-well round-bottom plate, with microbial growth and sterility testing controls also included. Malassezia inoculum was prepared in sterile distilled water with 0.5% Tween 80 [Sigma Aldrich, USA] and adjusted to a cell density of 2 × 106 CFU/mL using a Neubauer chamber. Then, 100 µL of each strain or isolate in Sabouraud dextrose broth supplemented with 0.5% Tween 60 [Sigma Aldrich, USA] was added in triplicate to obtain a final cell density of 1 × 103 CFU/mL per well. Plates were incubated at 33 °C for 72 h and observed using an inverted mirror. The MIC value reported corresponds to the minimum concentration of Satanin 1 required to inhibit Malassezia growth by more than 90% compared to the growth control.
SEM analysis
M. furfur CBS 1878 strain was selected for this procedure (MIC of Satanin 1 was 25 µg/mL). Yeasts were grown in Sabouraud Dextrose broth supplemented with 0.5% Tween 60 [Sigma Aldrich, USA] for 72 h at 33 °C. The next step involved exposing the cells to a concentration of Satanin 1 equal to half the MIC of the strain for 24 h at 33 °C. After the exposure, the yeasts were fixed in 2.5% glutaraldehyde for 3 h and washed thrice in sterile distilled water. Subsequently, the yeasts were dehydrated in increasing concentrations of ethanol (70%, 90%, and 100%) for 30 min in each solution. Finally, cells were observed in a scanning electron microscope and focused ion beam FE-MEB LYRA3 of TESCAN (Brno, Czech Republic), which has an integrated X-ray energy dispersive spectroscopy (EDS) microanalysis system (energy dispersive X-ray spectroscopy).
TEM analysis
M. furfur CBS 1878 strain was selected for this procedure (MIC of Satanin 1 was 25 µg/mL). Yeasts were grown in Sabouraud Dextrose broth supplemented with 0.5% Tween 60 [Sigma Aldrich, USA] for 72 h at 33 °C. The next step involved exposing the cells to a concentration of Satanin 1 equal to half the MIC of the strain for 24 h at 33 °C. After the exposure, yeasts were harvested and fixed in 2.5% glutaraldehyde (Sigma-Aldrich, St. Louis, MO, USA) and 4% paraformaldehyde (Sigma-Aldrich, St. Louis, MO, USA). Cells were washed with the same solution and fixed with 1% osmium tetroxide (Sigma-Aldrich, St. Louis, MO, USA), and subsequently dehydrated by acetone gradient, and resin-embedded. Finally, the cells were stained with uranyl acetate (Thermo Fisher Scientific Inc.,Waltham, MA, USA), examined in a transmission electron microscope (JEOL JEM-1400 Plus, Tokyo, TYO, Japan), and photographed with a Gatan camera (Pleasanton, CA, USA) in the pathology laboratory of the Fundación Santa Fe de Bogota. M. furfur CBS 1878 yeasts not exposed to Satanin 1 were used as control group.
Survival Assays of Galleria mellonella
Survival assays were performed as previously described by our research group49 with some modifications to evaluate the effect of Satanin 1. Fifth instar G. mellonella larvae weighing between 250 and 300 mg were selected for the survival assays. Prior to the experiment, larvae were washed in 0.1% sodium hypochlorite for 30 s and then rinsed in sterile distilled water in two different containers, first for 30 s and then for 10 s. Then, the larvae were infected with M. furfur CBS 1878 strain by injecting 20 µL of a solution of sterile distilled water with 0.5% Tween 80 [Sigma Aldrich, USA] containing 1.5 × 109 CFU/mL of the yeast in the last left proleg using 31G insulin syringes [BD, USA]. After 30 min, larvae were injected in the last right proleg with 10 µL of Satanin 1, FCZ, or AMB (at concentrations of 400 µg/mL, 400 µg/mL, 60 µg/mL, respectively). Uninfected control consisted of injecting sterile distilled water with 0.5% Tween 80 [Sigma Aldrich, USA]. The animals were incubated in the dark at 33 °C and monitored daily for 15 days.
Hemocyte population count
When mortality reached 50% in the infection alone group, three G. mellonella larvae from each group were randomly selected. A puncture was made in the last abdominal segment of each larva, allowing a drop of hemolymph to drip onto a glass slide. The hemolymph drop was then carefully spread across the slide and stained using Wright stain to ensure optimal visualization of cellular components. Finally, a microscopic examination was conducted at 1000X magnification to characterize and count 200 hemocytes per sample49. Hemocytes were characterized based on previous reports40,50.
Histopathological analysis
When mortality reached 50% in the infection alone group, the G. mellonella larvae were fixed by injecting 10 µL of 4% paraformaldehyde in PBS through the last left proleg and stored at 4 °C for 15 days. Subsequently, the samples were maintained in 70% ethanol until initiating the paraffin embedding process.
For embedding, samples underwent a dehydration series in ethanol (70%, 80%, and 90%) for 30 min at each concentration51, followed by two 30-minute immersions in 100% isopropanol. The samples were then immersed in absolute xylene for 60 min, then in a xylene-paraffin mixture for another 60 min, and finally in pure paraffin overnight at a temperature of 45–60 °C. The following day, paraffin blocks were trimmed and mounted onto cutting cassettes, and sections of 4–10 μm were obtained using a microtome. The sections were collected on gelatin-coated slides (2 g/L gelatin with potassium dichromate) and left for 10 min before transferring to pre-labeled, sequentially numbered slides. Slides were air-dried for 30 min, then placed in an oven overnight to ensure complete paraffin removal.
Hematoxylin-eosin staining was performed according to specific steps. First, sections were deparaffinized by immersing them twice in xylene for 5 min each and once in 100% isopropanol for 5 min, followed by a hydration series in 96% ethanol and running water. For nuclear staining, Harris hematoxylin was applied for 10 min, followed by washing in running water, then dipped in acid alcohol and ammonium water to enhance contrast. Next, sections were stained with eosin for 1 min, followed by a dehydration series in ethanol and 100% isopropanol, ending with xylene. The stained slides were air-dried for 30 min, sealed with resin, and left to cure for 15 days before examination at 400X and 1000X magnification.
Statistical analysis
R version 4.3.0 was used to analyze MIC values through the non-parametric Spearman’s rank correlation coefficient, and to analyze hemocyte population proportions through ANOVA, Kruskal-Wallis test or t-test. Survival curves were built following the Kaplan Meier method and analyzed through the log-rank (Mantel-Cox) test in Prism 5.0. An α value of 0.05 was used to determine statistical differences.
Data availability
The datasets used and/or analysed during the current study are available from the corresponding author on reasonable request.
References
Grice, E. A. & Dawson, T. L. Host–microbe interactions: Malassezia and human skin. Curr. Opin. Microbiol. 40, 81–87 (2017).
Byrd, A. L., Belkaid, Y. & Segre, J. A. The human skin Microbiome. Nat. Rev. Microbiol. 16, 143–155 (2018).
Saunte, D. M. L., Gaitanis, G. & Hay, R. J. Malassezia-Associated skin diseases, the use of diagnostics and treatment. Front. Cell. Infect. Microbiol. 10, 112 (2020).
Hobi, S., Cafarchia, C., Romano, V., Barrs, V. R. & Malassezia Zoonotic implications, parallels and differences in colonization and disease in humans and animals. J. Fungi 8, 708 (2022).
Rhimi, W., Theelen, B., Boekhout, T., Otranto, D. & Cafarchia, C. Malassezia spp. Yeasts of emerging concern in fungemia. Front. Cell. Infect. Microbiol. 10, 370 (2020).
Sugita, T. et al. Epidemiology of Malassezia-Related skin diseases. in Malassezia and the Skin: Science and Clinical Practice (eds Boekhout, T., Mayser, P., Guého-Kellermann, E. & Velegraki, A.) 65–119 (Springer Berlin Heidelberg, Berlin, Heidelberg, doi:https://doi.org/10.1007/978-3-642-03616-3_3. (2010).
Arendrup, M. C. et al. ESCMID and ECMM joint clinical guidelines for the diagnosis and management of rare invasive yeast infections. Clin. Microbiol. Infect. 20, 76–98 (2014).
Iatta, R., Puttilli, M. R., Immediato, D., Otranto, D. & Cafarchia, C. The role of drug efflux pumps in Malassezia pachydermatis and Malassezia furfur defence against Azoles. Mycoses 60, 178–182 (2017).
Leong, C. et al. Azole resistance mechanisms in pathogenic Malassezia furfur. Antimicrob. Agents Chemother. 65, (2021).
Kano, R., Yokoi, S., Kariya, N., Oshimo, K. & Kamata, H. Multi-azole-resistant strain of Malassezia pachydermatis isolated from a canine Malassezia dermatitis. Med. Mycol. 57, 346–350 (2019).
Kim, M., Cho, Y. J., Park, M., Choi, Y. & Hwang, S. Y. Genomic tandem Quadruplication is associated with ketoconazole resistance in Malassezia pachydermatis. J. Microbiol. Biotechnol. 28, 1937–1945 (2018).
Huan, Y., Kong, Q., Mou, H. & Yi, H. Antimicrobial peptides: classification, design, application and research progress in multiple fields. Front. Microbiol. 11, (2020).
Wu, X. et al. In vitro and in vivo activities of antimicrobial peptides developed using an amino Acid-Based activity prediction method. Antimicrob. Agents Chemother. 58, 5342–5349 (2014).
Wu, Q., Patočka, J. & Kuča, K. Insect antimicrobial peptides, a Mini review. Toxins (Basel) 10, (2018).
Toro Segovia, L. J. et al. Identification and characterization of novel cecropins from the Oxysternon conspicillatum neotropic Dung beetle. PLoS One. 12, e0187914 (2017).
Durell, S. R., Raghunathan, G. & Guy, H. R. Modeling the ion channel structure of cecropin. Biophys. J. 63, 1623–1631 (1992).
Shrestha, A., Duwadi, D., Jukosky, J. & Fiering, S. N. Cecropin-like antimicrobial peptide protects mice from lethal E. coli infection. PLoS One. 14, e0220344 (2019).
Cheng-Foh, L., Chee-Mun, F. & Devi, S. S. Intracellular targeting mechanisms by antimicrobial peptides. Antimicrob. Agents Chemother. 61, e02340–e02316 (2017).
Zhang, Q. Y. et al. Antimicrobial peptides: mechanism of action, activity and clinical potential. Mil Med. Res. 8, 48 (2021).
Ryu, S. et al. Antimicrobial and Anti-Inflammatory effects of cecropin A(1–8)–Magainin2(1–12) hybrid peptide analog P5 against Malassezia furfur infection in human keratinocytes. J. Invest. Dermatology. 131, 1677–1683 (2011).
Andrä, J., Berninghausen, O. & Leippe, M. Cecropins, antibacterial peptides from insects and mammals, are potently fungicidal against Candida albicans. Med. Microbiol. Immunol. 189, 169–173 (2001).
Zakharchenko, N. S. et al. Immunomodulating and Revascularizing Activity of Kalanchoe pinnata Synergize with Fungicide Activity of Biogenic Peptide Cecropin P1. J Immunol Res 3940743 (2017). (2017).
Henao Arias, D. C. et al. Novel antimicrobial cecropins derived from O. curvicornis and D. satanas Dung beetles. Peptides (N Y). 145, 170626 (2021).
Galvis-Marín, J. C. et al. Actividad antifúngica in vitro de Azoles y anfotericina B Frente a Malassezia furfur Por El Método de microdilución M27-A3 Del CLSI y etest. Rev. Iberoam Micol. 34, 89–93 (2017).
Puentes Silva, C. & Mantilla, M. J. & Guevara Suárez, M. I. Malassezia spp., identificación y perfiles de sensibilidad. instname:Universidad de los Andes (2020).
Rojas, F. D. et al. Malassezia species: the need to Establish epidemiological cutoff values. Med. Mycol. 60, myac048 (2022).
Ehemann, K., Contreras, A. & Celis, A. M. Sensibilidad in vitro de aislamientos de Malassezia furfur de pacientes VIH-positivo y negativos a antifúngicos. Biomédica 43, (2023).
Abdillah, A. & Ranque, S. Chronic diseases associated with Malassezia yeast. J. Fungi 7, (2021).
Guého-Kellermann, E., Boekhout, T., Begerow, D. & Biodiversity Phylogeny and ultrastructure. in Malassezia and the Skin: Science and Clinical Practice (eds Boekhout, T., Mayser, P., Guého-Kellermann, E. & Velegraki, A.) 17–63 (Springer Berlin Heidelberg, Berlin, Heidelberg, doi:https://doi.org/10.1007/978-3-642-03616-3_2. (2010).
Mittag, H. Fine structural investigation of Malassezia furfur. II. The envelope of the yeast cells. Mycoses 38, 13–21 (1995).
Pappas, P. G. et al. Clinical practice guideline for the management of candidiasis: 2016 update by the infectious diseases society of America. Clin. Infect. Dis. 62, e1–e50 (2016).
Eunjung, L. et al. Structure-activity relationships of cecropin-like peptides and their interactions with phospholipid membrane. BMB Rep. 46, 282–287 (2013).
Celis Ramírez, A. M. et al. Analysis of Malassezia lipidome disclosed differences among the species and reveals presence of unusual yeast lipids. Front. Cell. Infect. Microbiol. 10, (2020).
Peano, A. et al. Antifungal resistance regarding Malassezia pachydermatis: where are we now?? J. Fungi 6, (2020).
Silvestro, L., Weiser, J. N. & Axelsen, P. H. Antibacterial and antimembrane activities of cecropin A in Escherichia coli. Antimicrob. Agents Chemother. 44, 602–607 (2000).
Peng, C. et al. Mechanisms of Action of the Antimicrobial Peptide Cecropin in the Killing of Candida albicans. Life 12, (2022).
Guevara-Lora, I. et al. Cecropin D-derived synthetic peptides in the fight against Candida albicans cell filamentation and biofilm formation. Front. Microbiol. 13, (2023).
Ramalho, S. R. et al. The synthetic antimicrobial peptide IKR18 displays anti-infectious properties in Galleria Mellonella in vivo model. Biochim. Et Biophys. Acta (BBA) - Gen. Subj. 1866, 130244 (2022).
Vergis, J. et al. Exploring Galleria Mellonella larval model to evaluate antibacterial efficacy of cecropin A (1–7)-Melittin against multi-drug resistant enteroaggregative Escherichia coli. Pathog Dis. 79, ftab010 (2021).
Boguś, M. I. et al. Fungal infection causes changes in the number, morphology and spreading ability of Galleria Mellonella haemocytes. Physiol. Entomol. 43, 214–226 (2018).
Ahlawat, S. & Sharma, K. K. Lepidopteran insects: emerging model organisms to study infection by enteropathogens. Folia Microbiol. (Praha). 68, 181–196 (2023).
Sheehan, G., Tully, L. & Kavanagh, K. A. Candida albicans increases the pathogenicity of Staphylococcus aureus during polymicrobial infection of Galleria Mellonella larvae. Microbiol. (N Y). 166, 375–385 (2020).
Thyssen, A. K. M., Joseph, M., Sarah, W. & Cavling, A. M. Fluconazole pharmacokinetics in Galleria Mellonella larvae and performance evaluation of a bioassay compared to liquid Chromatography-Tandem mass spectrometry for hemolymph specimens. Antimicrob. Agents Chemother. 61 (2017).
Arnold, L. et al. Pharmacodynamics of fluconazole in a murine model of systemic candidiasis. Antimicrob. Agents Chemother. 42, 1105–1109 (1998).
Rincón, S., Adriana, C., Sopó, L. & Motta, A. Cepero de García, M. C. Malassezia yeast species isolated from patients with dermatologic lesions. Biomédica 25, 189–195 (2005).
Patiño-Uzcátegui, A. et al. Virulence gene expression in Malassezia spp from individuals with seborrheic dermatitis. J. Invest. Dermatology. 131, 2134–2136 (2011).
Pulido, V., Castañeda, A., Linares, S. R., Mercado, G. & L, M. & M. Diagnóstico clínico-microbiológico de otitis externa En Caninos de Bogotá - Colombia. Rev. MVZ Cordoba. 15, 2215–2222 (2010).
Galvis-Marín, J. C., Giraldo-Ospina, B., Martínez-Ríos, J. B. & Echeverri-Peláez, S. Fungemia Por Malassezia sympodialis En Una Unidad de Cuidados intensivos neonatal de Colombia. Infectio 25, 130–134 (2021).
Torres, M. et al. Galleria Mellonella as a novelty in vivo model of Host-Pathogen interaction for Malassezia furfur CBS 1878 and Malassezia pachydermatis CBS 1879. Front. Cell. Infect. Microbiol. 10, (2020).
Arteaga Blanco, L. A. et al. Differential cellular immune response of galleria Mellonella to Actinobacillus pleuropneumoniae. Cell. Tissue Res. 370, 153–168 (2017).
Firacative, C. et al. Rearing and maintenance of Galleria Mellonella and its application to study fungal virulence. J. Fungi 6, (2020).
Acknowledgements
We thank the animal core at Universidad de los Andes, particularly Nataly Parra Ayarza, for their technical support. We thank the Department of Biological Sciences of the Faculty of Science at Universidad de los Andes for their technical and financial support in the maintenance of the Galleria mellonella animal model. The authors also thank the Vice Presidency of Research & Creation’s Publication Fund at Universidad de los Andes for its financial support.
Author information
Authors and Affiliations
Contributions
AM Celis Ramírez and JE Muñoz Henao carried out the study design. AM Celis Ramírez and JE Muñoz Henao provided the study materials. JS Molina Pineda, MA Gómez Rivera, K Ehemann Guerrero and M Torres performed the data collection and analysis. JS Molina Pineda carried out the manuscript writing. All authors reviewed and approved the manuscript.
Corresponding author
Ethics declarations
Competing interests
The authors declare no competing interests.
Additional information
Publisher’s note
Springer Nature remains neutral with regard to jurisdictional claims in published maps and institutional affiliations.
Rights and permissions
Open Access This article is licensed under a Creative Commons Attribution-NonCommercial-NoDerivatives 4.0 International License, which permits any non-commercial use, sharing, distribution and reproduction in any medium or format, as long as you give appropriate credit to the original author(s) and the source, provide a link to the Creative Commons licence, and indicate if you modified the licensed material. You do not have permission under this licence to share adapted material derived from this article or parts of it. The images or other third party material in this article are included in the article’s Creative Commons licence, unless indicated otherwise in a credit line to the material. If material is not included in the article’s Creative Commons licence and your intended use is not permitted by statutory regulation or exceeds the permitted use, you will need to obtain permission directly from the copyright holder. To view a copy of this licence, visit http://creativecommons.org/licenses/by-nc-nd/4.0/.
About this article
Cite this article
Molina Pineda, J.S., Gómez Rivera, M.A., Ehemann Guerrero, K. et al. Evaluation of Satanin 1 as a potential antifungal antimicrobial peptide to treat Malassezia infections. Sci Rep 15, 14898 (2025). https://doi.org/10.1038/s41598-025-99464-0
Received:
Accepted:
Published:
Version of record:
DOI: https://doi.org/10.1038/s41598-025-99464-0
This article is cited by
-
Antimicrobial activity, stability, and mechanism of action of a composite natural antimicrobial agent based on protamine and cinnamon extract
Journal of Food Measurement and Characterization (2026)






