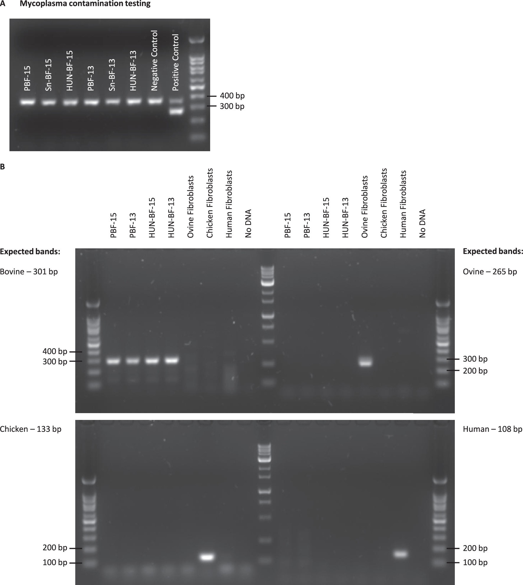
Extended Data Fig. 7: Cell culture validation.

(a) Mycoplasma test of primary, senescent and immortalized bovine fibroblasts. (b) Species confirming test of primary, senescent and immortalized bovine fibroblasts.

(a) Mycoplasma test of primary, senescent and immortalized bovine fibroblasts. (b) Species confirming test of primary, senescent and immortalized bovine fibroblasts.