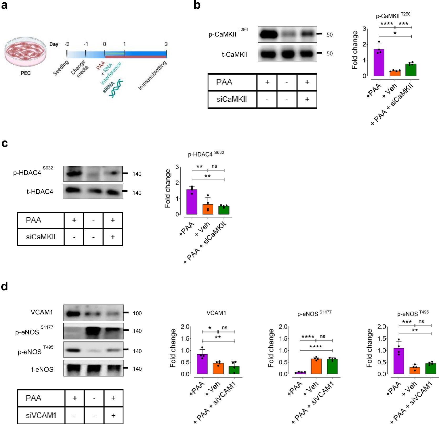
Extended Data Fig. 5: CaMKII-mediated SASP pathway underlies PAA-induced EC dysfunction.

a, Schematic diagram of the experimental setting: PECs were transfected with siCaMKII or siVCAM1 (for 24 h) in the presence or absence of PAA (10 μM, for 72 h). b, c, Immunoblots (left) and quantitative plots (right) characterizing the effects of PAA on the PAA-induced post-translational modifications of CaMKII (b) and its downstream epigenetic regulator HDAC4 (c) using CaMKII knockdown approach in PECs (n = 4). d, Analysis of VCAM1 expression and eNOS phosphorylation at Ser1177 and Thr495 in siVCAM1-transfected PECs in the presence or absence of PAA (n = 4). Error bars represent SD (b–d). Data represent triplicated biologically independent experiments. P values were calculated using one-way ANOVA followed by Tukey’s post hoc test (b–d). Images created with BioRender.com (a). (*P < 0.05, **P < 0.01, ***P < 0.001, ****P < 0.0001, ns, not significant). Source data are provided as a Source Data file.