Abstract
Cardiac ischemia–reperfusion injury frequently induces malignant arrhythmias because of connexin 43 (Cx43) mislocalization and impaired cardiomyocyte coupling; yet, effective therapies targeting this mechanism remain scarce. Here we show that ischemic cardiomyopathy in humans and ischemia–reperfusion in mice promote the accumulation and stabilization of glutamylated microtubules, disrupting targeted Cx43 trafficking. This remodeling of the glutamylated microtubule network is mediated by the microtubule-severing enzyme spastin. Spastin overexpression in cardiomyocytes reduced microtubule density, whereas its deficiency caused accumulation of glutamylated, stabilized microtubules. Although cardiomyocyte-specific spastin knockout mice displayed normal cardiac structure and function at baseline, they were highly susceptible to stress-induced malignant arrhythmias. Mechanistically, spastin deficiency impaired microtubule plus end dynamics and Cx43 transport. Notably, genetic or pharmacological reduction of microtubule glutamylation before ischemia–reperfusion preserved Cx43 localization and mitigated oxidative stress-induced injury. Together, these findings identify microtubule glutamylation as a key regulator of cardiac electrical stability and a promising therapeutic target in ischemia–reperfusion injury.
This is a preview of subscription content, access via your institution
Access options
Subscribe to this journal
Receive 12 digital issues and online access to articles
$119.00 per year
only $9.92 per issue
Buy this article
- Purchase on SpringerLink
- Instant access to the full article PDF.
USD 39.95
Prices may be subject to local taxes which are calculated during checkout








Data availability
The RNA-seq data have been deposited in the Gene Expression Omnibus under accession no. GSE278407. All data supporting the findings of this study are available within the paper and its Supplementary Information and source data files. Source data data are available.
References
Caporizzo, M. A. & Prosser, B. L. The microtubule cytoskeleton in cardiac mechanics and heart failure. Nat. Rev. Cardiol. 19, 364–378 (2022).
Heling, A. et al. Increased expression of cytoskeletal, linkage, and extracellular proteins in failing human myocardium. Circ. Res. 86, 846–853 (2000).
Chen, C. Y. et al. Suppression of detyrosinated microtubules improves cardiomyocyte function in human heart failure. Nat. Med. 24, 1225–1233 (2018).
Koide, M. et al. Microtubule depolymerization normalizes in vivo myocardial contractile function in dogs with pressure-overload left ventricular hypertrophy. Circulation 102, 1045–1052 (2000).
Crittenden, D. B. et al. Colchicine use is associated with decreased prevalence of myocardial infarction in patients with gout. J. Rheumatol. 39, 1458–1464 (2012).
Zhang, C. et al. Microtubule-mediated defects in junctophilin-2 trafficking contribute to myocyte transverse-tubule remodeling and Ca2+ handling dysfunction in heart failure. Circulation 129, 1742–1750 (2014).
Shaw, R. M. et al. Microtubule plus-end-tracking proteins target gap junctions directly from the cell interior to adherens junctions. Cell 128, 547–560 (2007).
Sheikh, F., Ross, R. S. & Chen, J. Cell–cell connection to cardiac disease. Trends Cardiovasc. Med. 19, 182–190 (2009).
Smyth, J. W. et al. Limited forward trafficking of connexin 43 reduces cell–cell coupling in stressed human and mouse myocardium. J. Clin. Invest. 120, 266–279 (2010).
Marchal, G. A. et al. Targeting the microtubule EB1–CLASP2 complex modulates NaV1.5 at intercalated discs. Circ. Res. 129, 349–365 (2021).
Balse, E. et al. Dynamic of ion channel expression at the plasma membrane of cardiomyocytes. Physiol. Rev. 92, 1317–1358 (2012).
Marchal, G. A., Galjart, N., Portero, V. & Remme, C. A. Microtubule plus-end tracking proteins: novel modulators of cardiac sodium channels and arrhythmogenesis. Cardiovasc. Res. 119, 1461–1479 (2023).
Janke, C. & Magiera, M. M. The tubulin code and its role in controlling microtubule properties and functions. Nat. Rev. Mol. Cell Biol. 21, 307–326 (2020).
Roll-Mecak, A. The tubulin code in microtubule dynamics and information encoding. Dev. Cell 54, 7–20 (2020).
Kerr, J. P. et al. Detyrosinated microtubules modulate mechanotransduction in heart and skeletal muscle. Nat. Commun. 6, 8526 (2015).
Robison, P. et al. Detyrosinated microtubules buckle and bear load in contracting cardiomyocytes. Science https://doi.org/10.1126/science.aaf0659 (2016).
Schuldt, M. et al. Proteomic and functional studies reveal detyrosinated tubulin as treatment target in sarcomere mutation-induced hypertrophic cardiomyopathy. Circ. Heart Fail. https://doi.org/10.1161/CIRCHEARTFAILURE.120.007022 (2021).
LeDizet, M. & Piperno, G. Identification of an acetylation site of Chlamydomonas alpha-tubulin. Proc. Natl Acad. Sci. USA 84, 5720–5724 (1987).
Janke, C. & Montagnac, G. Causes and consequences of microtubule acetylation. Curr. Biol. 27, R1287–R1292 (2017).
L’Hernault, S. W. & Rosenbaum, J. L. Chlamydomonas alpha-tubulin is posttranslationally modified by acetylation on the epsilon-amino group of a lysine. Biochemistry 24, 473–478 (1985).
Xu, Z. et al. Microtubules acquire resistance from mechanical breakage through intralumenal acetylation. Science 356, 328–332 (2017).
Portran, D., Schaedel, L., Xu, Z., Théry, M. & Nachury, M. V. Tubulin acetylation protects long-lived microtubules against mechanical ageing. Nat. Cell Biol. 19, 391–398 (2017).
Macquart, C. et al. Microtubule cytoskeleton regulates Connexin 43 localization and cardiac conduction in cardiomyopathy caused by mutation in A-type lamins gene. Hum. Mol. Genet. 28, 4043–4052 (2019).
Fourest-Lieuvin, A. et al. Microtubule regulation in mitosis: tubulin phosphorylation by the cyclin-dependent kinase Cdk1. Mol. Biol. Cell 17, 1041–1050 (2006).
Ori-McKenney, K. M. et al. Phosphorylation of β-tubulin by the Down syndrome kinase, minibrain/DYRK1a, regulates microtubule dynamics and dendrite morphogenesis. Neuron 90, 551–563 (2016).
Belmadani, S., Pous, C., Ventura-Clapier, R., Fischmeister, R. & Mery, P. F. Post-translational modifications of cardiac tubulin during chronic heart failure in the rat. Mol. Cell. Biochem. 237, 39–46 (2002).
Valenstein, M. L. & Roll-Mecak, A. Graded control of microtubule severing by tubulin glutamylation. Cell 164, 911–921 (2016).
Torrino, S. et al. Mechano-induced cell metabolism promotes microtubule glutamylation to force metastasis. Cell Metab. 33, 1342–1357 (2021).
Lacroix, B. et al. Tubulin polyglutamylation stimulates spastin-mediated microtubule severing. J. Cell Biol. 189, 945–954 (2010).
Roll-Mecak, A. & McNally, F. J. Microtubule-severing enzymes. Curr. Opin. Cell Biol. 22, 96–103 (2010).
Shin, S. C. et al. Structural and molecular basis for katanin-mediated severing of glutamylated microtubules. Cell Rep. 26, 1357–1367 (2019).
Roll-Mecak, A. & Vale, R. D. Structural basis of microtubule severing by the hereditary spastic paraplegia protein spastin. Nature 451, 363–367 (2008).
Roll-Mecak, A. & Vale, R. D. The Drosophila homologue of the hereditary spastic paraplegia protein, spastin, severs and disassembles microtubules. Curr. Biol. 15, 650–655 (2005).
McNally, F. J. & Roll-Mecak, A. Microtubule-severing enzymes: from cellular functions to molecular mechanism. J. Cell Biol. 217, 4057–4069 (2018).
Vemu, A. et al. Severing enzymes amplify microtubule arrays through lattice GTP-tubulin incorporation. Science 361, eaau1504 (2018).
Guizetti, J. et al. Cortical constriction during abscission involves helices of ESCRT-III-dependent filaments. Science 331, 1616–1620 (2011).
Vietri, M. et al. Spastin and ESCRT-III coordinate mitotic spindle disassembly and nuclear envelope sealing. Nature 522, 231–235 (2015).
Sherwood, N. T., Sun, Q., Xue, M., Zhang, B. & Zinn, K. Drosophila spastin regulates synaptic microtubule networks and is required for normal motor function. PLoS Biol. https://doi.org/10.1371/journal.pbio.0020429 (2004).
Trotta, N., Orso, G., Rossetto, M. G., Daga, A. & Broadie, K. The hereditary spastic paraplegia gene, spastin, regulates microtubule stability to modulate synaptic structure and function. Curr. Biol. 14, 1135–1147 (2004).
Goldblum, R. R. et al. Oxidative stress pathogenically remodels the cardiac myocyte cytoskeleton via structural alterations to the microtubule lattice. Dev. Cell 56, 2252–2266 (2021).
Janke, C. et al. Tubulin polyglutamylase enzymes are members of the TTL domain protein family. Science 308, 1758–1762 (2005).
van Dijk, J. et al. A targeted multienzyme mechanism for selective microtubule polyglutamylation. Mol. Cell 26, 437–448 (2007).
Kimura, Y. et al. Identification of tubulin deglutamylase among Caenorhabditis elegans and mammalian cytosolic carboxypeptidases (CCPs). J. Biol. Chem. 285, 22936–22941 (2010).
Rogowski, K. et al. A family of protein-deglutamylating enzymes associated with neurodegeneration. Cell 143, 564–578 (2010).
Brill, M. S. et al. Branch-specific microtubule destabilization mediates axon branch loss during neuromuscular synapse elimination. Neuron 92, 845–856 (2016).
Li, J. et al. LRP6 acts as a scaffold protein in cardiac gap junction assembly. Nat. Commun. 7, 11775 (2016).
Shaw, R. M. & Rudy, Y. Ionic mechanisms of propagation in cardiac tissue. Roles of the sodium and L-type calcium currents during reduced excitability and decreased gap junction coupling. Circ. Res. 81, 727–741 (1997).
Rohr, S. Role of gap junctions in the propagation of the cardiac action potential. Cardiovasc. Res. 62, 309–322 (2004).
Gutstein, D. E. et al. Conduction slowing and sudden arrhythmic death in mice with cardiac-restricted inactivation of connexin43. Circ. Res. 88, 333–339 (2001).
Peters, N. S., Coromilas, J., Severs, N. J. & Wit, A. L. Disturbed connexin43 gap junction distribution correlates with the location of reentrant circuits in the epicardial border zone of healing canine infarcts that cause ventricular tachycardia. Circulation 95, 988–996 (1997).
Musil, L. S. & Goodenough, D. A. Biochemical analysis of connexin43 intracellular transport, phosphorylation, and assembly into gap junctional plaques. J. Cell Biol. 115, 1357–1374 (1991).
Martins-Marques, T. et al. EHD1 modulates Cx43 gap junction remodeling associated with cardiac diseases. Circ. Res. 126, e97–e113 (2020).
Unwin, P. N. & Zampighi, G. Structure of the junction between communicating cells. Nature 283, 545–549 (1980).
Basheer, W. A. & Shaw, R. M. Connexin 43 and CaV1.2 ion channel trafficking in healthy and diseased myocardium. Circ. Arrhythm. Electrophysiol. 9, e001357 (2016).
Guo, Y. et al. Analysis of cardiac myocyte maturation using CASAAV, a platform for rapid dissection of cardiac myocyte gene function in vivo. Circ. Res. 120, 1874–1888 (2017).
Patterson, G. H. & Lippincott-Schwartz, J. A photoactivatable GFP for selective photolabeling of proteins and cells. Science 297, 1873–1877 (2002).
Stauch, K., Kieken, F. & Sorgen, P. Characterization of the structure and intermolecular interactions between the connexin 32 carboxyl-terminal domain and the protein partners synapse-associated protein 97 and calmodulin. J. Biol. Chem. 287, 27771–27788 (2012).
Zheng, L. et al. Phosphorylation of Cx43 residue Y313 by Src contributes to blocking the interaction with Drebrin and disassembling gap junctions. J. Mol. Cell. Cardiol. 126, 36–49 (2019).
Curthoys, N. P. & Watford, M. Regulation of glutaminase activity and glutamine metabolism. Annu. Rev. Nutr. 15, 133–159 (1995).
Gao, M., Monian, P., Quadri, N., Ramasamy, R. & Jiang, X. Glutaminolysis and transferrin regulate ferroptosis. Mol. Cell 59, 298–308 (2015).
The emerging role of l-glutamine in cardiovascular health and disease. Nutrients 11, 2092 (2019).
Basheer, W. A. et al. GJA1-20k arranges actin to guide Cx43 delivery to cardiac intercalated discs. Circ. Res. 121, 1069–1080 (2017).
Angst, B. D. et al. Dissociated spatial patterning of gap junctions and cell adhesion junctions during postnatal differentiation of ventricular myocardium. Circ. Res. 80, 88–94 (1997).
Vreeker, A. et al. Assembly of the cardiac intercalated disk during pre- and postnatal development of the human heart. PLoS ONE 9, e94722 (2014).
Gilbert, S. H., Benson, A. P., Li, P. & Holden, A. V. Regional localisation of left ventricular sheet structure: integration with current models of cardiac fibre, sheet and band structure. Eur. J. Cardiothorac. Surg. 32, 231–249 (2007).
Young, R. J. & Panfilov, A. V. Anisotropy of wave propagation in the heart can be modeled by a Riemannian electrophysiological metric. Proc. Natl Acad. Sci. USA 107, 15063–15068 (2010).
Dileep, D. et al. Cardiomyocyte orientation recovery at micrometer scale reveals long-axis fiber continuum in heart walls. EMBO J. 42, e113288 (2023).
Aumentado-Armstrong, T., Kadivar, A., Savadjiev, P., Zucker, S. W. & Siddiqi, K. Conduction in the heart wall: helicoidal fibers minimize diffusion bias. Sci. Rep. 8, 7165 (2018).
Xu, C. et al. Ptpn23 controls cardiac t-tubule patterning by promoting the assembly of dystrophin-glycoprotein complex. Circulation 149, 1375–1390 (2024).
Wang, X. et al. Essential role of Alix in regulating cardiomyocyte exosome biogenesis under physiological and stress conditions. J. Mol. Cell. Cardiol. 190, 35–47 (2024).
Wang, L. et al. Optical mapping of sarcoplasmic reticulum Ca2+ in the intact heart: ryanodine receptor refractoriness during alternans and fibrillation. Circ. Res. 114, 1410–1421 (2014).
Huang, Y. et al. An extendable all-in-one injection twin derivatization LC–MS/MS strategy for the absolute quantification of multiple chemical-group-based submetabolomes. Anal. Chim. Acta 1063, 99–109 (2019).
Xue, J. et al. Connexin 43 dephosphorylation contributes to arrhythmias and cardiomyocyte apoptosis in ischemia/reperfusion hearts. Basic Res. Cardiol. 114, 40 (2019).
Sikkel, M. B. et al. Hierarchical statistical techniques are necessary to draw reliable conclusions from analysis of isolated cardiomyocyte studies. Cardiovasc. Res. 113, 1743–1752 (2017).
Acknowledgements
We thank M. Zheng (School of Basic Medical Sciences, Peking University Health Science Center, Peking University) for providing the PAGFP plasmid and N. Liu (Guangdong Cardiovascular Institute, Guangdong Provincial People’s Hospital, Guangdong Academy of Medical Sciences) for helping with the ECG analysis. We thank J. Chen from the Core Facilities, Zhejiang University School of Medicine, for technical support. We also thank Figdraw (www.figdraw.com) for the support in creating the schematic for the structured graph. This work was supported by the National Key R&D Program of China (no. 2023YFA1800600) and the National Natural Science Foundation of China (nos. 92468104, 32170823 and 31871462) to P.D.H., the National Natural Science Foundation of China (32500720) to J.X.L. and the National Natural Science Foundation of China (82500310) to C.X. The funders had no role in study design, data collection and analysis, decision to publish or preparation of the manuscript.
Author information
Authors and Affiliations
Contributions
Conceptualization: J.Y.Z. and P.D.H. Methodology: J.Y.Z., X.Z.H., S.C., C.X., X.J.W., R.R.C., Z.J.F., T.L. and X.Y.L. Surgery: J.Y.Z. and J.X.L. Bioinformatics: J.Y.Z. and X.J. Clinical data: Z.C.W., X.Y.H. and W.Z. Data interpretation: all authors. Supervision: P.D.H. Writing—Original Draft: J.Y.Z. and P.D.H. Writing—Review & Editing: all authors.
Corresponding author
Ethics declarations
Competing interests
The authors declare no competing interests.
Peer review
Peer review information
Nature Cardiovascular Research thanks Henrique Girão, M. Sirajuddin and the other, anonymous, reviewer(s) for their contribution to the peer review of this work. Peer reviewer reports are available.
Additional information
Publisher’s note Springer Nature remains neutral with regard to jurisdictional claims in published maps and institutional affiliations.
Extended data
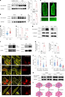
Extended Data Fig. 1 Elevation of Glu-tubulin levels after I/R injury, and the expression profiling of TTLLs and CCPs.
a, Western blot analysis of α-tubulin expression levels in human hearts from HD and ICM. b, Quantification of α-tubulin expression levels in (a). n = 3 per group. c, Schematic shows in vivo I/R experiment design. d, Representative TTC-staining images of heart sections from sham and I/R mice. Scale bar: 1 mm. e, Quantification of infarcted areas in sham and I/R mice (n = 3 mice per group, P = 0.0018). f, Expression levels of α-tubulin in sham and I/R mouse heart. g, Quantification of α-tubulin protein expression levels in (f). n = 3 mice per group. h, Representative western blot images show the expression levels of α-tubulin in Ctrl and H2O2-treated rat cardiomyocytes (n = 3 independent experiments). i, The bubble plot of RNA sequencing illustrates the expression levels of TTLL and CCP components in the mouse heart. The size of each bubble represents the FPKM (Fragments per kilo base per million mapped reads) of gene expression. The genes encoding TTLL are designated as Ttll, while those encoding CCP are denoted as Agbl. j, Representative western blot images of a tubulin polymerization assay in Nocodazole, Taxol and Cacl2-treated H9c2 cells (n = 3 independent experiments). k, Representative images of tubulin tracker staining in the absence (top) and presence (bottom) of nocodazole in Ctrl and H2O2-treated rat cardiomyocytes (n = 3 independent experiments). Scale bar: 10 μm. An unpaired two-tailed Student’s t-test was used for (b) (e) and (g). Data are presented as mean ± SEM. **P < 0.01.
Extended Data Fig. 2 Distinct effects of Spastin (M1) and Spastin (M85) overexpression on microtubule properties.
a, Spastin (M1) and Spastin (M85) have different translation initiation sites. Both M1 and M85 contain MIT domain and AAA domain. Numbers represent amino acids. b, Representative tubulin tracker staining in H9c2 cells transfected with Spastin (M1)-GFP (top) and Spastin (M85)-GFP (bottom) plasmids. Scale bar: 20 μm. Yellow dashed lines denote GFP+ cells. c, Quantification of microtubule density in (b), GFP− cells were used as the Ctrl (M1: GFP−: n = 65; GFP+: n = 39 cells from 3 independent experiments; M85: GFP−: n = 101, GFP+: n = 63 cells from 3 independent experiments, P = 0.0004). Each color represents an independent experiment. d, Representative high-resolution images showing the α-tubulin (red) and glutamylated microtubule (green) staining in rat primary cardiomyocytes (from 3 different hearts). Scale bar: 20 μm. e, Representative western blot image (top) and quantifications (bottom) of α-tubulin in primary cardiomyocytes transduced with ADV-GFP, ADV-Spastin (M1)-GFP, and ADV-Spastin (M85)-GFP (n = 4, 3, 4 independent experiments, respectively). f, g, α-actinin (red) and F-actin (red) staining of isolated primary cardiomyocytes transduced with ADV-GFP, ADV-Spastin (M1)-GFP, and ADV-Spastin (M85)-GFP (from 3 different hearts). Scale bar: 10 μm. A hierarchical test was used for (c). Data are presented as mean ± SD. An unpaired two-tailed Student’s t-test was used for (e). Data are presented as mean ± SEM. ***P < 0.001, NS: no significance.
Extended Data Fig. 3 Knockdown of Spastin increases microtubule glutamylation and stability.
a, Left, Representative western blot images of Spastin in negative control (NC) and Spastin siRNA treated H9c2 cells; right: quantification of Spastin expression levels (n = 3 independent experiments, P = 0.0043). b, Immunoblots of Glu-tubulin and α-tubulin in NC and siRNA groups. Quantification of Glu-tubulin protein expression level is shown to the right (n = 3 independent experiments, P = 0.0261). c, Top: representative tubulin tracker staining shows microtubule (arrows) in NC and siRNA transfected H9c2 cells; bottom: cells were subjected to nocodazole treatment. Dashed lines indicate cell borders. Scale bar: 20 μm. An unpaired two-tailed Student’s t-test was used. Data are presented as mean ± SEM. *P < 0.05, **P < 0.01.
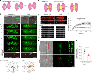
Extended Data Fig. 4 Spastin knockdown decreases EB1 growth rate.
a, FRAP of GFP-EB1 in control (NC) and Spastin knockdown (siRNA) cells. Confocal images represent cell-cell junction areas before and after photobleaching. Enlargements of the boxed areas are shown in Fig. 3a. White dashed lines indicate cell-cell border. Scale bar: 10 μm. b, Table shows the growth rate of corresponding GFP-EB1 particle in Fig. 3a.
Extended Data Fig. 5 Detyrosinated and acetylated α-tubulin levels were not unaltered in cKO mice.
a, Immunoblots of α-tubulin, detyrosinated α-tubulin and acetylated α-tubulin in Ctrl and cKO mice. b–d, Quantification of α-tubulin (b), detyrosinated α-tubulin (c) and acetylated α-tubulin (d) expression level in (a). n = 4 mice per group. e, Representative XZ and YZ planes of 3D-stack confocal images in tubulin tracker-stained Ctrl and cKO cardiomyocytes. MIP: Maximum Intensity Projection. Scale bar: 10 μm. f, 3D reconstruction of Glu-tubulin (green) and α-tubulin (red) immunofluorescence in Ctrl and cKO cardiomyocytes without or with nocodazole treatment. Scale bar: 10 μm. An unpaired two-tailed Student’s t-test was used. Data are presented as mean ± SEM. NS: no significance.
Extended Data Fig. 6 Cardiac structure and contractile function are unaltered with Spast depletion.
a, Quantification of HW (heart weight)/BW (body weight), and HW (heart weight)/TL (tibial length) in Ctrl and cKO mice at 1 month (n = 12 and 9 mice). b, Bright field images and HE staining of Ctrl and cKO hearts at 1 month. Scale bar: 500 μm. Magnifications of HE staining are shown to the right. Scale bar: 20 μm. c, Representative echocardiographic images of Ctrl and cKO mice at 1 month. d, e, Assessments of ejection fraction (EF), fractional shortening (FS), LVIDd, LVIDs, LVPWd, and LVPWs in Ctrl and cKO mice at 1 month (n = 9 and 6 mice). f, Representative echocardiographic images of Ctrl and cKO mice at 22-week-old. g, Quantification of EF, FS in Ctrl and cKO mice at 22-week-old (n = 10 mice per group). h, Quantification of LVIDd, LVIDs, LVPWd, and LVPWs in Ctrl and cKO mice at 22-week-old (n = 11 and 9 mice). i, Quantification of HW/BW, and HW/TL in Ctrl and cKO mice at 22-week-old (n = 8 and 12 mice). j, k, Representative ECG recordings and quantitative analysis of QRS duration in 22-week-old Ctrl and cKO hearts (n = 8 mice per group, P = 0.0207). Scale bar: 20 ms. An unpaired two-tailed Student’s t-test was used. Data are presented as mean ± SEM. *P < 0.05, NS: no significance.
Extended Data Fig. 7 Insoluble Cx43 is decreased in cKO hearts.
a, Immunofluorescence of Cx43 (green) in NC and Spastin siRNA-treated H9c2 cells (n = 3 independent experiments). Scale bar: 20 μm. b, Representative western blot images of Cx43, total α-tubulin, and Triton X-100 soluble (non-junctional) and insoluble (junctional) fractionations from Ctrl and cKO hearts (n = 3 mice per group). c, Representative confocal images of EHD1 (green), α-actinin (red) in Ctrl and cKO cardiomyocytes (n = 3 mice per group). White arrows: EHD1 staining. Scale bar: 20 μm.
Extended Data Fig. 8 Mosaic Spast deletion minimally affects cardiac anatomy and function.
a–c, Schematic diagram shows the AAV-based somatic mutagenesis approach to inactivate Spast in a subset of cardiomyocytes. AAVs were injected into postnatal-day-0 (P0) Spastflox/flox mice. Echocardiographic analysis was performed at 1-month-old, and heart samples were collected subsequently. d, Representative confocal images show the transfection efficiency of AAVs (n = 3 mice per group). Scale bar: 50 μm. e, Quantification of the percentage of GFP+ cells (8 random sections from 3 mice were analyzed in each group). f–h, Representative images and quantitative analyses of echocardiography in AAV: GFP and AAV: Cre-GFP transduced Spastflox/flox mice at 1 month (n = 16 mice per group). i, j, Quantification of HW/BW (i) and HW/TL (j) in AAV: GFP and AAV: Cre-GFP transduced Spastflox/flox mice at 1-month-old (n = 18 and 16 mice, respectively). k, Representative HE and Masson’s staining of AAV: GFP and AAV: Cre-GFP transduced hearts. Scale bar: 500 μm. Magnifications are shown to the right. An unpaired two-tailed Student’s t-test was used. Data are presented as mean ± SEM. NS: no significance.
Extended Data Fig. 9 Spastin cell-autonomously regulates the targeted delivery of Cx43.
a, Immunofluorescence of Cx43 (green), WGA (red) on AAV: GFP and AAV: Cre-GFP transduced hearts (n = 3 mice per group). Enlargement of the boxed areas are shown in the right panel. Yellow arrows: Cx43 at the ID; white arrows: Cx43 at the lateral side. Scale bar: 20 μm. b, Percentage of cardiomyocytes exhibiting lateralized Cx43 in (a). n = 157, 79, 129, 68 cells from 3 mice each group, AAV: GFP+ versus AAV: Cre-GFP+ P = 0.0025, AAV: Cre-GFP− versus AAV: Cre-GFP+ P = 0.0028. Each color represents samples from an individual heart. Each dot represents an individual section. c, Immunofluorescence of Cx43 (red), α-actinin (purple) in isolated cardiomyocytes from AAV: GFP (left) and AAV: Cre-GFP (right) transduced mice (n = 3 mice per group). Scale bar: 10 μm. A hierarchical test was used. Data are presented as mean ± SD. **P < 0.01, NS: no significance.
Extended Data Fig. 10 The effects of Spastin (M85) and CCP5 overexpression on Cx43 positioning.
a, Representative confocal images showing the subcellular localization of Cx43 (magenta) in rat primary cardiomyocytes transduced with ADV-GFP (top) and ADV-Spastin (M85)-GFP (bottom) for 48 h. Scale bar: 20 μm. b, Quantification of the ratio of intracellular Cx43 intensity/total Cx43 intensity in (a). n = 31, 34 cells from 3 rats, P = 0.0477. Cells are from 3 hearts per group, and each color represents an individual heart. c, Representative confocal images of AAV-transduced hearts. Scale bar: 50 μm. d, Quantification of the percentage of GFP+ cells in (c). 18 random sections from 3 mice were analyzed in each group. e, Western blot image of Glu-tubulin and GAPDH in AAV-transduced hearts. f, Quantifications of Glu-tubulin expression in (e). n = 4 and 3 mice, respectively. P = 0.0058. g, h, Quantification of HW/BW (g) and HW/TL (h) in AAV-transduced mice (n = 8 mice per group). i, j, Representative images (i) and quantitative analyses (j) of echocardiography (n = 8 mice per group). k, Immunofluorescence of Cx43 (red) on AAV: GFP and AAV: CCP5-GFP transduced hearts. Yellow arrows: Cx43 at the ID. Scale bar: 20 μm. l, Percentage of cardiomyocytes exhibiting lateralized Cx43 in (k). n = 256, 189 cells from 3 mice for AAV: GFP; n = 369, 175 cells from 4 mice for AAV: CCP5-GFP. Each color represents an individual heart. Each dot represents an individual section. A hierarchical test was used for (b) and (l). Data are presented as mean ± SD. An unpaired two-tailed Student’s t-test was used for (f), (g), (h) and (j). Data are presented as mean ± SEM. *P < 0.05, **P < 0.01, NS: no significance.
Supplementary information
Supplementary Information (download PDF )
Supplementary Fig. 1 and Methods.
Supplementary Tables (download XLSX )
Supplementary_Tables 1–2.
Supplementary Video 1 (download AVI )
3D reconstruction of tubulin tracker-labeled microtubules in control cardiomyocytes.
Supplementary Video 2 (download AVI )
3D reconstruction of tubulin tracker-labeled microtubules in spastin cKO cardiomyocytes.
Supplementary Video 3 (download AVI )
3D reconstruction of tubulin tracker-labeled microtubules in control cardiomyocytes following nocodazole treatment.
Supplementary Video 4 (download AVI )
3D reconstruction of tubulin tracker-labeled microtubules in spastin cKO cardiomyocytes following nocodazole treatment.
Supplementary Video 5 (download AVI )
3D reconstruction of Glu-tubulin and α-tubulin in control cardiomyocytes.
Supplementary Video 6 (download AVI )
3D reconstruction of Glu-tubulin and α-tubulin in spastin cKO cardiomyocytes.
Supplementary Video 7 (download AVI )
3D reconstruction of Glu-tubulin and α-tubulin in control cardiomyocytes following nocodazole treatment.
Supplementary Video 8 (download AVI )
3D reconstruction of Glu-tubulin and α-tubulin in spastin cKO cardiomyocytes following nocodazole treatment.
Supplementary Video 9 (download MP4 )
Optical mapping of membrane potential in spastin knockout heart treated with caffeine and isoproterenol.
Supplementary Video 10 (download MP4 )
Optical mapping of membrane potential in control heart treated with caffeine and isoproterenol.
SourceData_S_Fig1 (download XLSX )
Statistical Source Data of Supplementary Figure 1.
Source data
Source Data Fig. 1 (download XLSX )
Statistical source data.
Source Data Fig. 1 (download PDF )
Unprocessed immunoblots.
Source Data Fig. 2 (download XLSX )
Statistical source data.
Source Data Fig. 2 (download PDF )
Unprocessed immunoblots.
Source Data Fig. 3 (download XLSX )
Statistical source data.
Source Data Fig. 3 (download PDF )
Unprocessed immunoblots.
Source Data Fig. 4 (download XLSX )
Statistical source data.
Source Data Fig. 5 (download XLSX )
Statistical source data.
Source Data Fig. 6 (download XLSX )
Statistical source data.
Source Data Fig. 7 (download XLSX )
Statistical source data.
Source Data Fig. 7 (download PDF )
Unprocessed immunoblots.
Source Data Extended Data Fig. 1 (download XLSX )
Statistical source data.
Source Data Extended Data Fig. 1 (download PDF )
Unprocessed immunoblots.
Source Data Extended Data Fig. 2 (download XLSX )
Statistical source data.
Source Data Extended Data Fig. 2 (download PDF )
Unprocessed immunoblots.
Source Data Extended Data Fig. 3 (download XLSX )
Statistical source data.
Source Data Extended Data Fig. 3 (download PDF )
Unprocessed immunoblots.
Source Data Extended Data Fig. 5 (download XLSX )
Statistical source data.
Source Data Extended Data Fig. 5 (download PDF )
Unprocessed immunoblots.
Source Data Extended Data Fig. 6 (download XLSX )
Statistical source data.
Source Data Extended Data Fig. 7 (download PDF )
Unprocessed immunoblots.
Source Data Extended Data Fig. 8 (download XLSX )
Statistical source data.
Source Data Extended Data Fig. 9 (download XLSX )
Statistical source data.
Source Data Extended Data Fig. 10 (download XLSX )
Statistical source data.
Source Data Extended Data Fig. 10 (download PDF )
Unprocessed immunoblots.
Rights and permissions
Springer Nature or its licensor (e.g. a society or other partner) holds exclusive rights to this article under a publishing agreement with the author(s) or other rightsholder(s); author self-archiving of the accepted manuscript version of this article is solely governed by the terms of such publishing agreement and applicable law.
About this article
Cite this article
Zhang, J., Huang, X., Wu, Z. et al. Spastin-mediated severing of glutamylated microtubules controls cardiomyocyte coupling. Nat Cardiovasc Res (2026). https://doi.org/10.1038/s44161-026-00800-y
Received:
Accepted:
Published:
Version of record:
DOI: https://doi.org/10.1038/s44161-026-00800-y