Abstract
Mild cognitive impairment (MCI) is a heterogeneous syndrome with two main clinical subtypes, amnestic (aMCI) and non-amnestic (naMCI). The analysis of heart rate variability (HRV) is a tool to assess autonomic function. Cognitive and autonomic processes are linked via the central autonomic network. Autonomic dysfunction entails several adverse outcomes. However, very few studies have investigated autonomic function in MCI and none have considered MCI subtypes or the relationship of HRV indices with different cognitive domains and structural brain damage. We assessed autonomic function during an active orthostatic challenge in 253 oupatients aged ≥ 65, [n = 82 aMCI, n = 93 naMCI, n = 78 cognitively normal (CN), neuropsychologically tested] with power spectral analysis of HRV. We used visual rating scales to grade cerebrovascular burden and hippocampal/insular atrophy (HA/IA) on neuroimaging. Only aMCI showed a blunted response to orthostasis. Postural changes in normalised low frequency (LF) power and in the LF to high frequency ratio correlated with a memory test (positively) and HA/IA (negatively) in aMCI, and with attention/executive function tests (negatively) and cerebrovascular burden (positively) in naMCI. These results substantiate the view that the ANS is differentially impaired in aMCI and naMCI, consistently with the neuroanatomic substrate of Alzheimer's and small-vessel subcortical ischaemic disease.
Similar content being viewed by others
Introduction
Mild cognitive impairment (MCI) is a condition characterised by minor cognitive deficits, without substantial impairment in the activities of daily living, and it represents an intermediate, pre-dementia stage lying along the continuum from normal cognitive ageing to dementia1. With the ageing demographic2, MCI is set to become a major public health issue.
It has been increasingly recognised that MCI is a heterogeneous syndrome that can be classified into two main clinical subtypes, amnestic MCI (aMCI) and non-amnestic MCI (naMCI), based on whether or not memory is impaired. There is a prevalent agreement, although with some controversy3, that they reflect different underlying aetiologies and prognoses, with aMCI regarded as a prodromal form of Alzheimer's disease (AD) dementia and naMCI most likely to progress to non-AD dementias4,5. In particular, even if naMCI can evolve to fronto-temporal dementia (FTD) and Lewy body dementia (LBD), there is a growing consensus for a strong association with cerebrovascular disease and vascular dementia (VAD)5,6. VAD is the second most common dementia in older people after AD and its subcortical form, due to cerebral small-vessel disease, is the most frequent and clinically homogeneous type of VAD7 and the one most likely to be preceded by MCI8.
Heart rate variability (HRV) is the physiological phenomenon by which the heart rate changes from beat to beat, producing oscillations in the time intervals between consecutive R waves (RR intervals) on an electrocardiographic (ECG) recording and it reflects the influence on sinus node activity of the two limbs of the autonomic nervous system (ANS), sympathetic and parasympathetic9. HRV analysis therefore provides a simple and reliable method for the assessment of autonomic function and has been extensively used in clinical research10.
Cognitive and autonomic processes are linked via the central autonomic network (CAN), which is involved both in cognition and in the autonomic regulation of cardiovascular function11. The CAN consists of a complex network of cortical and subcortical regions—including the insula, hippocampus and prefrontal cortex—which projects to the preganglionic neurons of the ANS. Thus, the CAN has been widely identified as the neuroanatomic substrate of a brain–heart axis11,12.
A relationship between cognitive functioning and HRV has been demonstrated in large cohorts of older individuals13,14,15 as well as in smaller samples of subjects affected by dementia, mainly AD dementia16. Despite the potential clinical relevance of autonomic dysfunction in MCI—in terms of syncope/falls17, cognitive decline15 and mortality10—very few studies have evaluated HRV in MCI18,19,20,21, and none of these have categorised MCI in aMCI and naMCI.
In the current study we hypothesised that the autonomic response to active standing would differ in the two main subtypes of MCI relative to cognitively normal subjects, being attenuated in aMCI and amplified in naMCI. Our hypothesis drew on diverse research on the neural correlates of cognitive domains, on the neuropathological aspects of AD and subcortical ischaemic disease, as well as on the function of specific structures of the CAN, as outlined in the section below.
aMCI is defined by episodic memory impairment, which is the hallmark feature of AD and is associated with damage to the hippocampus22, one of the first brain regions affected by neuropathological changes, along with the insula23,24. In subjects with aMCI and AD dementia, atrophy and disrupted functional connectivity of both hippocampus and insula have been consistently documented by neuroimaging studies25,26,27 and have been found to be related to memory27.
The insula is a key hub within the CAN and a a large body of evidence from animal and human studies corroborates its role in the generation of sympathetic outflow. In rodent models, electrical and chemical stimulation of the insula evoked increases in heart rate (HR) and blood pressure (BP)28. In humans, functional neuroimaging has shown that, at rest, insular activity negatively correlated with parasympathetic HRV29,30 and that, during tasks eliciting sympathoexcitation, there occurred an activation of the insula which was positively associated with muscle sympathetic nerve activity (MSNA)31,32. Likewise, on structural neuroimaging, grey matter volume in the insula negatively correlated with parasympathetic HRV33.
The hippocampus has received less attention as a component of the CAN and, even if retroviral tracing techniques have established its connections to the sympathetic system34, study findings are sparse. However, despite some amount of discordance (e.g.32,35), there appears to be growing support for a contribution of the hippocampus to sympathetic activation . In animals, chemically-induced epileptiform discharges in the hippocampus increased HR and BP36 and cholinergic stimulation of the hippocampus increased HRV indices related to sympathetic activation/parasympathetic withdrawal37. Also, the stress response in rodents was characterised by an increase in hippocampal electroencephalographic activity which paralleled an increase in HRV indices related to sympathetic activation/parasympathetic withdrawal38, and it was reduced by inhibiting hippocampal glutamatergic transmission39. In humans, functional neuroimaging studies have demonstrated activation of the hippocampus during sympathetic challenges31 as well as negative correlations of parasympathetic HRV with hippocampal activity30 and with the grey matter volume of the parahippocampal gyrus33. A recent neuroimaging investigation40 has reported a negative correlation between the activity in the hippocampus and an HRV complexity index which decreases with sympathetic activation41.
In line with these findings, a blunted response to tilt-testing has been reported in subjects with AD dementia42 and MCI/AD dementia21.
We therefore hypothesised that the autonomic response to active standing would be attenuated in aMCI.
naMCI is typified by impairment in non-memory domains such as attention, executive functioning, visuospatial skills and language. Attention and executive functioning are well known to be dependent on the integrity of prefrontal-subcortical circuits43 that course through the white matter and are particularly vulnerable to subcortical ischaemic vascular disease7. A wealth of data from human lesion and neuroimaging studies implicate the prefrontal cortex in attention and executive tasks44,45. Neuroimaging has also revealed atrophy and reduced connectivity of the prefrontal cortex in subcortical vascular cognitive impairment46,47,48, as well as frontal hypoperfusion in dysexecutive MCI49. White matter damage has been found to predict attention and executive dysfunction in subjects with cerebral small vessel disease50, vascular MCI51,52 and naMCI53.
A substantial number of works have converged towards the notion of a neurovisceral integration model in which the activity of the prefrontal cortex can be taken to to index parasympathetic function11. In animals, eletrical and chemical stimulation of the prefrontal cortex produced a depressor cardiovascular response54,55. In humans, resting parasympathetic HRV has been reported to positively correlate with prefrontal functional connectivity56,57 and with electroencephalographic activation of the prefrontal cortex58. Parasympathetic HRV has been found to covary with task-related changes in prefrontal cerebral blood flow56 and to increase with prefrontal transcranial direct stimulation59. During sympathoexcitatory manoeuvres, a deactivation of the prefrontal cortex has been described which positively correlated with MSNA31. Higher parasympathetic HRV has been associated with greater cortical thickness in prefrontal regions56 as well as better performance on tests of attention and executive functioning60,61,62,63,64.
Although there is very scant literature addressing the relationship between ischaemic brain damage and HRV, it mainly points to a parasympathetic dysfunction with sympathetic predominance. In fact, reduced parasympathetic indices and increased indices of sympathetic activation/parasympathetic withdrawal have been found among diabetics with VAD compared to only-diabetic controls64 and in subjects with obstructive sleep apnea and white matter lesions (WML)65 relative to those without WML . Decreased parasympathetic indices have been reported in the early stages of Binswanger's encephalopathy66, in MCI subjects with WML67 and in diabetics with lacunar lesions68. Indices of sympathetic activation/parasympathetic withdrawal have been shown to be higher in healthy subjects with lower cerebral perfusion69.
Since the vagus acts as a "brake" to sympathetic activation11, we supposed that a parasympathetic deficit would lead to unrestrained sympathetic activity during an orthostatic stress. We therefore hypothesised that in naMCI subjects there would be an amplified autonomic response to active standing. This would not be at odds with findings of a blunted HRV response to tilt in conditions with sympathetic hyperactivity, such as symptomatic chronic heart failure and unmedicated hypertension70 . In fact, an enhanced sympathetic activity already at baseline may exhaust the cardiac sympathetic reserve, i.e. it may limit the ability to further increase sympathetic activity due to a ceiling effect. However, based on our20 and others'18,19,21 results, we were not expecting baseline differences in HRV indices in MCI subjects, in whom cognitive impairment is slight and dysautonomia is thus likely to be subtle. Also, in hyperadrenergic autonomic disorders like orthostatic hypertension and postural orthostatic tachycardia syndrome, an increased HRV response to standing has been described71,72, even in the case of sympathetic predominance at rest71.
In this study, which builds on and extends the data of a previous study20, we aimed to investigate autonomic function by means of power spectral analysis (PSA) of HRV at rest and during an active orthostatic challenge in the two main clinical subtypes of MCI: aMCI and naMCI. Cognitively normal (CN) subjects were taken as controls. We also sought to explore the relationship of HRV indices with specific cognitive domains, evaluated by neuropsychological testing, as well as with structural brain changes, assessed by validated semiquantitative visual rating scales.
Results
Table 1 shows the clinical characteristics of the three groups. As expected, scores on the Mini Mental State Examination (MMSE), Montreal Cognitive Assessment (MoCA) and Instrumental Activities of Daily Living (IADL) were significantly lower in MCI subjects than in controls. The prevalence of hypertension and of use of angiotensin-converting enzyme inhibitors/angiotensin receptor blockers (ACE-I/ARB) was significantly higher in the naMCI group. Physical activity was significantly lower in the aMCI group. Trait anxiety, measured by the State-Trait Personality Inventory-trait anxiety (STPI-T) scale, was significantly higher in the naMCI group although there was no difference between groups in the Visual Analogue Scale (VAS) stress score. All subjects had normal blood tests for thyroid function, vitamin B12 and folic acid. None had ischaemic ECG changes, pathological ecocardiographic findings (except mild valvular disease) or haemodynamically significant (> 70%) carotid stenosis.
Table 2 reports the peripheral vascular burden and the Apolipoprotein E (ApoE) genotypes across the three groups. Although carotid intima-media thickness (IMT) and the prevalence of left ventricular hypertrophy (LVH) just failed to attain statistical significance, left ventricular mass index (LVMI) and percent plaque were, as expected, significantly higher in the naMCI group. ApoE genotyping was available for 55 controls (71% of the CN sample) and for all MCI subjects. As expected, the prevalence of carriers of the E4 allele was significantly higher in the aMCI group (39%) than in either the naMCI (19%) or CN (15%) group.
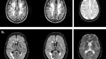
Table 3 shows findings from the assessment of cerebrovascular burden, hippocampal atrophy (HA) and insular atrophy (IA) on neuroimaging. Computed tomography (CT) scans were available for 34 controls (44% of the CN sample) and for all MCI participants except 3 naMCI subjects who refused the exam. Magnetic Resonance Imaging (MRI) scans were available for 14 controls (18% of the CN sample) and for just less than two thirds of the overall MCI subjects (66% aMCI, 60% naMCI). As anticipated, HA was greater in the aMCI group and deep WML (DWML) were more severe in the naMCI group. MRI-based ratings of cerebrovascular burden and HA were consistent with the CT findings (Supplementary Table S1).
The CT and MRI scans showed no other pathological findings (e.g. large-vessel disease, subdural haematoma, hydrocephalus, tumours). None of the participants had clinical evidence of a cerebrovascular event in the time interval between the acquisition of the scan and the autonomic assessment.
The inter- and intra-rater reliability for visual scale ratings on brain neuroimaging were, respectively, excellent (Cohen's weighted kappa (Kw) 0.83 to 1) and substantial to excellent (Kw 0.78 to 0.90)73 (Supplementary Table S2), and conformed to the literature74,75,76.
Table 4 shows the results from the PSA of HRV. The main indices considered were the normalised low frequency power (LFn), the low frequency power (LF) to high frequency power (HF) ratio (LF/HF) and HF. There were no significant differences across the three groups in baseline LFn, LF/HF and HF. In aMCI subjects, compared to naMCI and CN subjects, LFn and LF/HF were significantly lower during active standing and HF was significantly higher. Accordingly, Δ LFn and Δ LF/HF were smaller (i.e. less positive) and Δ HF was larger (i.e. less negative), although the latter was no longer significant after adjustment for relevant covariates. The effect sizes for significant differences in HRV indices were medium to large for LFn and LF/HF (Cohen's d and Glass's delta between 0.8 and 2.5)77 and medium for standing HF (Cohen's d = 0.6) (Supplementary Table S3).
In the naMCI group the response to the orthostatic challenge was statistically equivalent to that of the CN group. There were no significant differences across groups in the RR interval and in Δ RR.
Total power (TP) showed no statistically significant differences across groups, nor did very low frequency power (VLF) and LF (Supplementary Table S4).
Table 5 displays the results of the correlation analyses in the aMCI group. Δ LFn and Δ LF/HF exhibited a significant positive correlation with the prose-delayed recall Z-score and a significant negative correlation with HA and IA. No significant correlations were found for standing HF.
Table 6 displays the results of the correlation analyses in the naMCI group. Δ LFn and Δ LF/HF exhibited a significant negative correlation with the Digit Cancellation test (DCT) and executive functioning Z-scores and a significant positive correlation with DWML burden. No significant correlations were found for standing HF.
Discussion
To the best of our knowledge this is the first study to investigate autonomic function in the two main clinical subtypes of MCI. We hypothesised, based on the neural substrate of cognitive deficits, that the HRV response to an orthostatic challenge would be attenuated in aMCI and amplified in naMCI, and chose LFn, LF/HF and HF as markers of autonomic activity.
Indeed, in the aMCI group we found a blunted response to active standing, in line with what has been described for tilt-testing in MCI/AD dementia21 and AD dementia42 subjects. Moreover, we found that this response was significantly associated with evidence of functional (i.e. on neuropsychological assessment) and structural (i.e. on neuroimaging ) damage to AD-vulnerable brain regions such as the hippocampus and insula. In fact, Δ HRV indices correlated (positively) with one episodic memory test (prose-delayed recall) as well as (negatively) with visual ratings of atrophy of both the hippocampus (on CT) and insula (on MRI). The lack of correlation with the other episodic memory test (Rey-Osterrieth Complex Figure (ROCF)-delayed recall) appears consistent with research on AD-related cognitive impairment, demonstrating earlier involvement of verbal than visual memory26,27. As far as we aware, the specific association between episodic memory and HRV indices has not been previously highlighted in aMCI subjects. Nonetheless, memory recall has been found to correlate with parasympathetic HRV (negatively) in a mixed MCI-AD/MCI-LBD sample19, and with HRV indices of sympathetic activation/parasympathetic withdrawal (positively) in an older cohort13. Also, a negative relationship has been reported in late life depression78 between the quality of episodic memory and TP at rest (which can be considered a mainly parasympathetic index)9.
The magnitude of the effect for significant differences in Δ HRV indices between the aMCI group and the combined naMCI/CN group was found to be medium to large (Supplementary Table S3) and was, therefore, greater than reported for most HRV studies on cognitive impairment16, in which effect sizes are predominantly small and large effects are mainly confined to dementias with severe dysautonomia like LBD79. The finding that, in our study, the effects sizes in aMCI were not small, as is often the case even in full-blown AD16, is presumably due to the fact that we used an orthostatic stressor which can enhance the sensitivity of HRV analysis for autonomic dysfunction.
On the contrary, in the naMCI group we were unable to find the amplified response to active standing we had theoretically anticipated: while the postural changes in HRV indices (LFn and LF/HF) were increased relative to controls, they were not significantly so. However, on correlation analyses we found that Δ HRV indices were associated (negatively) with one attention test (DCT) and with a composite measure of executive functioning as well as (positively) with DWML. No such associations were found in CN subjects .The finding that naMCI subjects had the same response to orthostatic stress as CN subjects is likely due to the fact that the exclusion criteria, inherent to a study on the cerebral substrate of HRV (see “Methods”), selected a low/intermediate cardiovascular risk population in which severe brain vascular burden was under-represented, thus reducing our ability to detect a significant effect. In particular, most studies demonstrating autonomic dysfunction in ischaemic brain damage have focused on subjects at high cardiovascular risk like diabetics with64 and without68 VAD as well as patients with obstructive sleep apnea65, or have not excluded individuals with cardiovascular risk factors and diseases67. In our naMCI group at low/intermediate cardiovascular risk, a provocative manoeuvre such as paced breathing, which challenges the parasympathetic system80, could have directly assessed the parasympathetic reserve and unmasked mild parasympathetic deficits. However, we decided not to use it because of its potential for bias (see “Methods”). Nevertheless, it should be noted that the correlations observed in the naMCI group were in the expected direction, i.e., they argue in favour of the notion of a parasympathetic deficit causing sympathetic hyperactivation. In fact, indices of sympathetic activation/parasympathetic withdrawal were higher in subjects with poorer performance on tests of frontal lobe function and with more extensive subcortical vascular damage. The lack of correlation with one of the two attention tests (Bell Test) is probably a a consequence of the more restricted score range, which decreases the likelihood of identifying a significant association.
In both the aMCI and naMCI groups, significant correlations of Δ HRV indices with cognitive tests and structural brain changes were small in term of effect sizes (r < 0.3)81. This result is commensurate with other studies on resting HRV and cognitive tests in more varied samples (e.g.60,61,62). It is conceivable that, in our case, the ability of an orthostatic challenge to highlight stronger associations was offset by greater sample homogeneity.
There were no significant differences across groups in other HRV indices (mean RR interval, TP, LF and VLF) (Supplementary Table S4).
The lack of significant differences in the the RR and Δ RR intervals is worthy of specific comment and could be due to different reasons. First, HRV is a more reliable estimator of autonomic function than HR82 and has proved to be more sensitive in detecting subtle dysautonomia across a range of diseases83,84,85. Indeed, there are numerous reports of no difference in the HR response to an orthostatic challenge in subjects with MCI or even AD dementia (e.g.21,86,87). Second, in our study the standing HR (and HRV) was determined from an ECG segment between the 5th and 10th minute of active standing. Since the time course of HR reactivity to standing is characterised by a HR peak at around 10 s and a HR nadir at around 30 s with subsequent stabilisation of HR to values higher than baseline88, our protocol was not designed to capture the maximum postural Δ RR and could be missing potentially meaningful differences in RR intervals across the three groups. Third, it can be speculated that in aMCI subjects, the finding of a significant difference in Δ HRV coupled with no difference in Δ RR, could be indicating impaired baroreflex function. However, confirmation of such hypothesis would have required continuous BP monitoring (see Limitations).
The clinical, neuropsychological and vascular burden characteristics of the study subjects were consistent with AD neurodegeneration and vascular cognitive impairment in the aMCI and naMCI groups respectively. They are discussed in the Supplementary Discussion.
Our study has some limitations. Although the use of transformed HRV indices (LFn and LF/HF) finds support in the literature (see “Methods”), it has also been questioned (e.g.89). In particular, changes in LFn and LF/HF have been mainly ascribed to changes in HF, implying that transformed indices are not markers of sympathetic activity but rather of parasympathetic withdrawal89. However, it is generally recognised that orthostatic stress induces a reciprocal pattern of sympathetic/parasympathetic change90 and the conceptual framework of the neurovisceral integration model involves autonomic reciprocity11. Also, despite the fact that LFn and LF/HF have been somewhat inconsistently associated with MSNA89, they have been shown to exhibit strong positive correlations with the normalised91 and absolute92 LF powers of MSNA variability during tilt. In our study, it would thus appear appropriate to interpret LFn and LF/HF as indices of sympathetic activation/parasympathetic withdrawal. Moreover, even if our findings fit in nicely with the role of CAN components (insula, hippocampus and prefrontal cortex) in autonomic control, as outlined in the Introduction, alternative inferences can be made should one focus only on the notion of parasympathetic withdrawal, albeit during a manoeuvre designed to activate the sympathetic nervous system . For instance, it might be speculated that lesser parasympathetic deactivation in aMCI stems from deficits of the cholinergic system in AD93. Likewise, greater parasympathetic deactivation in naMCI could be due to vagal hyperreactivity secondary to ischaemic damage. In fact, because of the exclusion criteria, subjects with naMCI could be at a prior stage of the disease than those with aMCI, and a compensatory response has been described in early MCI26. Anyhow, our results would still provide evidence for differential autonomic impairment in the two clinical subtypes of MCI.
Finally, it must be acknowledged that HF, unlike tranformed indices, is not limited by the assumptions of reciprocity and linearity89,94. Yet, the only significant difference we found across groups was in standing HF, and standing HF was not significantly correlated with cognitive tests or structural brain damage in the aMCI and naMCI groups. This was probably the case because HF is a highly dispersed variable95. It is possible that different results could have been obtained with a PSA software based on the Welch method, since averaging windowed periodograms has been shown to effectively reduce variance96. Similarly, even if traditional HRV indices are recommended as the mainstay of HRV analysis, non-linear measures, which are still not implemented in commercial devices like the one we used, might have provided additional information on the ANS97 .
The unavailability of non invasive beat-to-beat BP monitoring precluded the assessment of baroreceptor function98, thus leaving a promising avenue of research unexplored. In fact, despite substantive evidence of bottom-up modulation of cortical activity by the central nervous branch of the baroreceptor as well as of top-down influences of rostral brain units on the baroreflex loop, studies on baroreflex sensitivity in cognitive impairment are scarce99. Also, findings are inconsistent, with both decreased100 and unchanged21,87 baroreflex sensitivity reported in AD-related MCI and dementia.
The lack of more sophisticated software, operating in conjunction with respiratory signal recording, may have restricted the number of cases suitable for PSA. As recommended, we excluded subjects with a respiratory rate outside the range of the HF band101. Although only very few individuals were lost to analysis (n = 1 in the previous and n = 4 in the current study), such limitation could have been overcome by approaches that centre the HF band around the respiratory frequency (when respiratory rate is > 24 breaths/min)102 or that decompose the LF band in respiratory and non-respiratory components (when respiratory rate is < 9 breaths/min)103.
The two main clinical subtypes of MCI were assumed to have different underlying aetiologies (AD for aMCI and subcortical small-vessel disease for naMCI) based on well established data from the literature (see “Introduction”), but the diagnosis of MCI due to AD was not confirmed by research biomarker criteria like CSF measures and/or amyloid or perfusion/metabolism neuroimaging1. It might be argued that aMCI of the multiple-domain type could represent the longitudinal outcome of both AD and vascular brain damage104, and that naMCI could be associated with non-vascular aetiologies1. However, several issues deserve mention. First and foremost, findings regarding vascular burden and HA on CT scans as well as the genetic risk of AD (see “Results”) lended support to our hypothesis. In particular, the 39% prevalence of ApoE4 carriers in the aMCI group is very much in line with the 40% value reported for AD105. Second, it appears reasonable to posit4,5 that multiple-domain aMCI is most likely to progress to AD rather than VAD. In fact, AD is more frequent7, has a faster rate of decline106 and affects memory and other cognitive domains at an early stage107, while memory impairment has been shown to develop late in the course of subcortical vascular disease108. This would hold particularly true in a sample like ours at low/intermediate cardiovascular risk. Third, we considered older subjects and used psychiatric and neurological disorders as exclusion criteria, so non-AD related neurodegeneration is unlikely to be relevant in the naMCI group. Indeed, LB pathology is accompanied by visual hallucinations and parkinsonism109, and prodromal FTD is young-onset and often presents with behavioural (i.e. psychiatric-like) symptoms110. Fourth, atypical non-amnestic variants of AD and mixed AD/vascular processes cannot be ruled out, but the former are rare111 and there is evidence that the latter are dominated by AD neuropathology112. Fifth, there may be several downsides to biomarkers including invasiveness, limited accessibility and the possibility of their being uninformative (i.e. ambiguous or conflicting) in a substantial proportion of MCI subjects113.
The main neuroimaging tool in our study was CT, since all MCI subjects were prescribed a brain CT scan as part of the routine diagnostic work-up (n = 172) while not all had a brain MRI scan (n = 110), so that focusing on MRI would have required us to reduce the study sample by about 40%. Although CT has practical advantages over MRI, which explain its widespread use in clinical settings, MRI is considered the gold standard for detecting structural brain changes, especially those related to small-vessel disease114. Still, the two neuroimaging techniques gave similar results across groups (see Supplementary Table S1 for MRI-based ratings of cerebrovascular burden and HA) and correlations of Δ HRV indices with visual scores of HA and DWML were not significantly different on CT and MRI scans (for all, p > 0.7 with Fisher's r to z transformation test, Supplementary Table S5). In addition, even if MRI would have enabled brain volumetry, visual rating scales have several strengths. They are simpler and less time intensive and can be applied to both CT and MRI115. They have been validated against volumetric measures, with which they are strongly correlated76,115,116, and exhibit substantial to excellent reproducibility, in the literature and in our specific sample (see “Results”). HA visual rating scales, compared to volumetry, have been shown to be better117,118 in discriminating CN from MCI and AD dementia subjects, and to be more accurate predictors of memory performance in community-dwelling older people across the cognitive spectrum117,119. This is possibly so because visual inspection encompasses not only the hippocampus, but also the surrounding perihippocampal space, which reflects atrophy of other AD-targeted brain regions such as the parahippocampal gyrus120.
As to the possible selection bias arising from the fact that neuroimaging, in particular MRI, was unavailable for some of the subjects (see “Results”), as well as from the fact that MoCA screening was preliminary to neuropsychological testing only in the current enrollment (see “Methods”), it has been addressed by subgroup analyses (Supplementary Table S6–S8) and found to be unlikely to hamper the validity of the Results, as reported in the Supplementary Discussion .
The use of exclusion criteria may limit the generalisability of our findings to the overall MCI population. Also, although the enrollment of subjects with incident (i.e. newly diagnosed) MCI avoids survival bias121, the cross-sectional design of the study prevents causal inference. Longitudinal studies will therefore be needed to elucidate the direction of the relationship between cognitive and autonomic dysfunction, as well as to confirm the predictive value of autonomic impairment for adverse events like falls/syncope, progression to dementia, and all-cause and cardiovascular mortality.
In conclusion, our findings substantiate the view that the ANS is differentially impaired in the two subtypes of MCI, in keeping with the neuranatomic substrate of AD and small-vessel subcortical ischaemic disease. In the aMCI group there was a blunted autonomic response to standing. Within the naMCI group functional (i.e. on neuropsychological testing) and structural (i.e. on neuroimaging) cerebrovascular damage was associated with an increase in the autonomic response to standing. These results contribute novel insight into autonomic modulation in MCI and hold potential clinical relevance as autonomic assessment could eventually help to identify subjects at higher risk of adverse health outcomes to whom interventions should be targeted.
Methods
Study population
In this cross-sectional study we considered for inclusion 819 community-dwelling older subjects (aged ≥ 65) who consecutively attended a first geriatric visit at the Geriatric Outpatient Unit of our hospital, from January 2016 to September 2017. Referrals were made by general practitioners (GPs) for a wide spectrum of age-related health problems. 120 subjects with a known diagnosis of dementia were excluded, while the remaining 699 were assessed for eligibility by applying a number of exclusion criteria (see later). We thus identified 292 eligible subjects who were screened for cognitive impairment by means of the MoCA122. The 228 who screened positive (MoCA score < 26) were invited to undergo neuropsychological testing. Of the 223 subjects who agreed to neuropsychological testing, 34 were diagnosed with dementia and were excluded. The remaining 189 subjects, with a diagnosis of MCI or normal cognition (CN), were asked to take part in the autonomic assessment. Of these 6 declined, so 183 subjects underwent the autonomic assessment and recordings from 173 (n = 62 aMCI, n = 73 naMCI, n = 38 CN) were ultimately considered, after 10 were excluded (see HRV analysis).
Our study includes data from the currently enrolled 173 subjects as well as data from 80 subjects (n = 40 MCI, n = 40 CN) enrolled in a similar, previous study20.
All subjects who accepted the autonomic assessment were also given an ad hoc clinical assessment. All MCI subjects were prescribed a brain CT scan and ApoE genotyping as part of the routine diagnostic work-up for cognitive impairment at our Unit. CN subjects were offered ApoE genotyping as part of ongoing research protocols123. For all subjects a standard blood panel was requested (including blood count, glycaemia, lipid profile, kidney and thyroid function, vitamin B and folic acid). Brain CT scans were not prescribed to CN subjects and brain MRI scans were prescribed to MCI subjects by the geriatrician on a case-by-case clinical basis. However, neuroimaging data were also evaluated for those CN subjects who had for some reason (Supplementary Table S9) undergone a brain CT or MRI, and for MCI subjects who had undergone an MRI scan.
Brain neuroimaging was considered only if performed in the previous 6 months. The clinical and autonomic assessments were carried out within one month from the neuropsychological assessment. HRV recordings and brain scans were obtained with the same machines (see later) in the two enrollments.
The rationale for the use of the MoCA as a preliminary screening tool only in the current enrollment is discussed in the Supplementary Methods.
The study was conducted in accordance with the Declaration of Helsinki and was approved by the ethics committee of the Fondazione IRCCS Ca’ Granda Ospedale Maggiore Policlinico in Milan, Italy. All participants gave written informed consent to participation in the study.
The study followed the Strengthening the Reporting of Observational Studies in Epidemiology (STROBE) guidelines for cross-sectional studies124.
Exclusion criteria
Briefly, exclusion criteria were clinical conditions and medications with an established and significant effect on HRV. They have been previously detailed and referenced20 and are listed in the Supplementary Methods. It may be appropriate to remark here that, given that the aim of the study was to investigate HRV changes due to cerebral disease, non-cerebral conditions influencing HRV (including some cardiovascular risk factors and all cardiac diseases) were among the exclusion criteria; this methodological premise will inevitably select a sample at low/intermediate cardiovascular risk (see “Discussion”). It is also worth noting that, even though stroke is a potential cause of vascular cognitive impairment, we chose to exclude subjects with a history of stroke because their cognitive profile is very heterogeneous, depending on lesion location7, and they more often present with overt dementia8. We preferred to focus on subcortical vascular disease which, besides being more prevalent and more often preceded by MCI, is also characterised by a clinically homogenous phenotype dominated by attention and executive deficits7,8.
Neuropsychological assessment
The neuropsychological assessment was carried out by means of a comprehensive battery of tests investigating different cognitive domains. The neuropsychological tests and their references can be found in Supplementary Tables S10 and S11.
In particular, among tests of episodic memory, we chose measures of delayed recall since they have been shown to have the greatest diagnostic accuracy in identifying the earliest cognitive changes of AD125.
MCI was diagnosed according to current consensus criteria of objective cognitive impairment on neuropsychological testing, essentially preserved daily functioning (i.e. intact basic activities of daily living (BADL) with no or minimal impairment of instrumental activities of daily living (IADL)) and no dementia1.
A cognitive domain was considered to be impaired if at least one test within that domain was impaired and MCI was classified in aMCI and naMCI based on the presence or absence of impairment in the episodic memory domain. Further subcategorisation in single- versus multiple-domain MCI was made for descriptive purposes only (Supplementary Table S12).
Further information on the diagnosis of MCI is given in the Supplementary Methods.
Clinical assessment
All subjects received a full clinical assessment during which we collected general clinical information, as well as data on vascular risk and peripheral (i.e. non-cerebral) vascular burden. The former included composite vascular risk scores and the latter corresponded to the echographically-determined target organ damage (carotid atherosclerosis and LVH).
A more detailed description of the clinical assessment can be found in the Supplementary Methods.
Assessment of cerebral vascular burden and atrophy
CT imaging was performed on a 64-slice CT scanner (OptimaCT660, GE Healthcare, Milwaukee, WI; tube voltage 120 KVp, tube current 150–350 mA with automatic modulation, slice thickness 0.625 mm, field of view (FOV) 250 × 250 mm2, matrix size 512 × 512). MRI was performed on a 3-T scanner (Achieva, Philips Medical Systems, Eindhoven, the Netherlands) using a standard acquisition protocol including the following sequences: (a) T1-weighted (relaxation time (TR) 9.9 ms, echo time (TE) 4.6 ms, flip angle (FA) 8°, slice thickness 1 mm , slice gap 0, FOV 240 × 240 mm2, matrix size 240 × 240), (b) T2-weighted turbo spin echo (TSE) (TR 2,491 ms, TE 77 ms, FA 90°, slice thickness 4 mm, slice gap 0, FOV 230 × 230 mm2 , matrix size 505 × 512), (c) Fluid-attenuated inversion recovery (FLAIR) (TR 11,000 ms, TE 125 ms, FA 90°, slice thickness 4 mm, slice gap 0, FOV 230 × 230 mm2, matrix size 249 × 344).
Cerebrovascular burden and atrophy of the insula and hippocampus were assessed on CT and MRI brain scans by means of standard semi-quantitative visual rating scales. DWML and periventricular white matter lesions (PVWML) were evaluated by means of a slightly modified version of Fazekas' scale74, scored on axial CT scans and on axial FLAIR MRI scans. Due to the acknowledged vascular (i.e. ischaemic) aetiology of DWML (see Supplementary Methods) the DWML score was used in the correlation analyses. HA was rated by means of Kim's 5-point scale126 on axial CT and axial T1-weighted MRI scans and by means of Scheltens' 5-point scale127 on coronal T1-weighted MRI scans. HA was rated separately for the right and left hemispheres and the average HA score was used in the correlation analyses since this measure has been shown to be particularly sensitive to AD128. IA was assessed on coronal T1-weighted MRI scans by means of the 4-point frontoinsula (FI) rating scale76, which was rated separately for the right and left hemispheres and then combined in an overall average score for use in the correlation analyses. All these scales are described in detail in the Supplementary Methods.
A single trained rater evaluated the anonymised scans of all participants. To provide independent validation of the visual ratings scored by the primary rater, a second rater, with expertise in the neuroradiological assessment of cognitive impairment, rated a random sample of brain scans (n = 50 CT, n = 50 MRI) from which inter-rater reliability was calculated . The primary rater also re-rated this subset of scans in order to compute intra-rater reliability. To improve rating consistency, raters were supplied with reference images of specific anatomic landmarks and illustrative examples of each rating scale. Ratings from the primary rater were used in the analyses. The assessment of reliability is illustrated in the Supplementary Methods.
Because of the clinical context of the study, although the vast majority of subjects underwent on-site neuroimaging, a very small number (n = 20: n = 7 aMCI, n = 10 naMCI and n = 3 CN) were scanned at other hospital sites due to personal logistical reasons. However, their neuroimaging data were acquired and included in the study since it is acknowledged that visual rating scales are robust to scanner differences (e.g.129).
The main neuroimaging tecnique in our study was CT, since CT brain scanning was performed in all MCI subjects. MRI scans were used to assess IA (since this was not possible on our conventional CT scans lacking coronal reconstructions) and in order to provide a gold-standard comparison with CT ratings of cerebrovascular burden and hippocampal atrophy (see “Discussion”).
ApoE genotyping
Blood samples were drawn after at least 6 h of fasting and the ApoE genotype was determined, as described elsewhere123. Subjects were classified as ApoE4 carriers if they had at least one ApoE4 allele.
Autonomic assessment
The autonomic assessment was carried out as previously described20. It was performed in a quiet room, with dimmed lighting and a comfortable temperature (22–24 °C), between 8:30 and 11:30 a.m. in order to minimise the effect of circadian changes in HRV. Participants were instructed to consume a light breakfast and refrain from caffeinated beverages, alcohol, smoking and vigorous physical activity in the 12 h prior to testing. After a standard 12-lead ECG, three-channel ECG recordings for HRV analysis were obtained by means of a digital Holter recorder (Spider View, Sorin Group Company).
The protocol was composed of two stages. The first (baseline) consisted of supine rest with free breathing: 15 min during which the subjects were asked to remain awake, silent and still, breathing spontaneously. The second (sympathetic stimulation) corresponded to an active standing manoeuvre: 10 min during which the subjects were asked to remain still and silent, breathing spontaneously, after standing upright in as smooth a motion as possible. To allow for stabilisation, only the last 5 min of each stage were analysed.
The spontaneous respiratory rate can be assessed by the peak frequency of the HF band on PSA (5-min average), but, for greater accuracy, it was also visually monitored (over five contiguous one-minute periods). Subjects with a respiratory rate < 9 breaths/min (< 0.15 Hz) or > 24 breaths/min (> 0.40 Hz) were excluded, due to the shift of the high frequency band which precludes proper interpretation of PSA101.
BP was recorded at the end of the baseline period using a validated digital spyghmomanometer over the brachial artery (OMRON M6).
At the end of the protocol participants were asked to rate their level of stress on a VAS scale from 0 (no stress) to 100 (maximum stress), since emotional stress can affect HRV9.
Unlike in our previous work20, we decided not to include in the protocol a stage of paced breathing at 12 breaths/min (parasympathetic stimulation)80. We are aware that a parasympathetic challenge could have provided more sensitive and direct information on the functioning of the parasympathetic nervous system, which would have been particularly valuable in our sample of naMCI who exhibit low/intermediate vascular risk (see “Exclusion criteria” and “Discussion”) and are thus likely to have mild frontal lobe vascular damage and slight parasympathetic dysfunction. Nevertheless, we chose to omit it because we believed it would introduce an intrinsic bias in the study. In fact, based on evidence of a strong relationship of higher-level complex everyday activities with executive functions130 and subcortical white matter damage131, it was reasonable to suppose that naMCI participants would have greater difficulty in correctly performing a cognitively demanding task like synchronising their breathing rhythm with pre-set acoustic signals from a metronome. Indeed, even if the appearance of a 0.2 Hz peak within the HF spectrum gives a rough confirmation that an individual has achieved the target respiratory rate within the 5-min analysis, it cannot rule out interference from short-term fluctuations in respiratory frequency.
HRV analysis
HRV analysis was performed in the frequency domain (PSA) on 5-min ECG recordings from each of the two stages (baseline and active standing), in accordance with standard guidelines10. We used commercial software (Synescope version 3.10, Sorin Group Company) which conducts PSA by means of the Fast Fourier Transform (FFT), after linear interpolation/resampling at 4 Hz of the discrete event series (to obtain a regularly time-sampled signal) and filtering with a Hanning window (to attenuate leakage effects)20. The software corrects for ectopics by linear interpolation based on the surrounding sinus beats9. Although the software automatically detects non-sinus beats, the recordings were always manually overread by an experienced investigator, blinded to the subject's cognitive status, in order to ensure correct QRS complex classification and rhythm identification. Since there is no clear indication in the literature as to the amount of ectopic beats that it is acceptable to remove or remove and interpolate, we chose the most restrictive criterion of 1% of the total number of beats20. Therefore, recordings with excessive supraventricular or ventricular ectopy (i.e. ectopic beats > 1% of total beats) were excluded from analysis, as were those with other arrhythmias.
PSA can yield several different indices: VLF (≤ 0.04 Hz), LF (0.04–0.15 Hz), HF (0.15–0.4 Hz), TP (≤ 0.4 Hz), LFn, normalised HF (HFn) (corresponding respectively to LF/(LF + HF) × 100 and HF/(LF + HF) × 100) and the LF/HF ratio9 .
We chose to focus on LFn, the LF/HF ratio and HF as markers of autonomic function because other indices cannot be meaningfully interpreted. TP only quantifies overall autonomic modulation9. The nature of LF is highly controversial and it has been taken to reflect prevalently sympathetic modulation9, mixed sympathetic and parasympathetic modulation9, and predominantly parasympathetic modulation89. VLF is best evaluated over 24 h132 and its physiological underpinnings are still under discussion133. HFn was not included in the results since it is specularly correlated to LFn (given that they add up to a 100).
Although tranformed measures (LFn, HFn and the LF/HF ratio) have received ample support (e.g.70,134,135) and are extensively used in HRV studies across topics (e.g.136,137,138), they also suffer from limitations (e.g.89,94) which have been addressed in the Discussion. Within the context of autonomic reciprocity, LFn and the LF/HF ratio can be viewed as indices of sympathetic activation/parasympathetic withdrawal. HF is an acknowledged marker of parasympathetic activity9,101.
In particular, the changes of LFn, the LF/HF ratio and HF from baseline to active standing, assessed by Δ HRV indices (active standing measure—baseline measure) are especially sensitive markers of autonomic modulation because they directly quantify the response to orthostatic stress and explore the dynamic range of the ANS70.
Of the 183 subjects undergoing autonomic assessment 10 were excluded from HRV analysis (n = 4 for respiratory rate, n = 6 for excessive ectopic beats).
Statistical analysis
Data are reported as mean (standard deviation) for continuous and ordinal variables and as number (percentage) for categorical variables. The normality of the data was assessed by using the Shapiro–Wilk test. HRV indices were normalised by logarithmic transformation to base 10 (lg), except for Δ HF which could not be normalised by transformations. The three groups were compared on categorical variables by means of the Chi-squared test or Fisher's exact test, and on continuous (and ordinal) variables by means of One-Way Analysis of Variance (ANOVA) or the Kruskall-Wallis test, as appropriate. All post-hoc pairwise comparisons were conducted with Bonferroni corrections. Analysis of Covariance (ANCOVA) was used to compare the three groups on HRV measures while controlling for potential confounders, which were chosen among the variables found to be significantly different across the groups, i.e. prevalence of hypertension, levels of physical activity and the STPI-T score. Use of ACE-I/ARB medications and the Cumulative Illness Rating Scale-morbidity (CIRS-m) score were not included in the ANCOVA in order to avoid loss of power due to multicollinearity since these variables were found, as expected, to be redundant with the prevalence of hypertension (Cramer's V = 0.774 and Eta squared = 0.209 respectively). For Δ HF a non parametric alternative to ANCOVA was used, i.e. rank-based regression (Rfit) from the "npsm" package in R139.
The relationship of autonomic function with relevant measures of cognition and of structural brain changes in each of the two MCI groups (aMCI and naMCI) was investigated by means of Spearman's correlation analysis, adjusted for prevalence of hypertension, levels of physical activity, STPI-T score and, in the case of measures of cognition, also demographics. Autonomic function was indexed by the HRV measures which were found to be significantly different across groups (Δ LFn, Δ LF/HF and standing HF); measures of cognition were the Z-scores for tests of memory (aMCI) as well as of attention and executive functioning (naMCI); measures of structural brain changes were the CT-based Fazekas' DWML (naMCI) and Kim's HA (aMCI) scores as well as the MRI-based FI rating score (aMCI). With regard to measures of cognition, we chose to compute a composite score for executive function, evaluated by as many as nine tests, to minimise the likelihood of type I error associated with multiple testing. Individual test scores were standardised by conversion to Z-scores and the average of the Z scores was taken to be the domain-specific Z-score. Z-scores for each test were calculated as (test score subject—mean score norm group)/standard deviation norm group, by using the mean and standard deviation of published normative data for raw scores (references available in Supplementary Table S10). Scores that quantified response time (i.e. Trail-Making Tests A and B ) or number of errors (i.e. Cognitive Estimates Total and Bizarre) were first multiplied by -1, so that negative Z-scores always indicated poor performance. For the sake of consistency and for ease of comparison, Z-scores were also generated in the same manner for each of two memory tests (prose-delayed recall and ROCF-delayed recall) and each of two attention tests (Bell Test and DCT). Since Z-score standardisation was based on normative data for the raw (i.e. non demographically-corrected) scores, demographics (i.e. age, gender and education) were also adjusted for in the correlation analyses, except for the Bell Test which requires no demographic adjustment (see relevant references in Supplementary Table S10).
To address the issue of inflation of type I error due to multiple comparisons between variables, we employed the Benjamini–Hochberg procedure140 with the False Discovery Rate (FDR) set at the conventional level for alpha (5%). This was preferred to the Bonferroni correction because the latter is known to be overly conservative in the case of highly correlated variables, like ours, leading to an undue loss in statistical power (i.e. an increase in false negatives), which would be inappropriate also given the exploratory nature of the study141.
The effect sizes for differences in HRV indices were calculated by comparing the aMCI group with the naMCI and CN groups, which were collapsed into a single group since they showed no significant differences in the autonomic response to standing. For the independent samples t-test, we used Cohen's d or Glass's delta depending on whether the assumption of homogeneity of variance was satisfied (as assessed by Levene's test)142. For Mann–Whitney's U-test, we used143 the correlation coefficient r. Effect sizes are reported in full in Supplementary Table S3.
Based on our previous finding of at least medium effect sizes20 and according to current guidelines for HRV studies77, we estimated that a minimum sample size of around 60 subjects per group would be required to achieve 80% statistical power at a 5% alpha level. Hence, our recruitment of more than 70 participants per group met (and exceeded) this minimum sample size recommendation.
A P value ≤ 0.05 was considered statistically significant. Analyses were performed by means of the statistical packages SPSS version 25.0 (SPSS Inc., Chicago, IL) and R version 3.5.2 (The R Foundation for Statistical Computing, Vienna, Austria) for Windows.
Data availability
The datasets generated during and/or analysed during the current study are available from the corresponding author on reasonable request.
References
Petersen, R. C. et al. Mild cognitive impairment: A concept in evolution. J. Intern. Med. 275, 214–228 (2014).
United Nations, Department of Economic and Social Affairs, Population Division. World Population Ageing 2019—highlights. (United Nations, 2019). Available at: https://www.un.org/en/development/desa/population/publications/pdf/ageing/WorldPopulationAgeing2019-Highlights.pdf
Bermejo-Pareja, F. et al. Prognostic significance of mild cognitive impairment subtypes for dementia and mortality: data from the NEDICES cohort. J. Alzheimers Dis. 50, 719–731 (2016).
Hughes, T. F., Snitz, B. E. & Ganguli, M. Should mild cognitive impairment be subtyped?. Curr. Opin. Psychiatry. 24, 237–242 (2011).
Knopman, D. S. et al. Spectrum of cognition short of dementia: Framingham Heart Study and Mayo Clinic Study of Aging. Neurology. 85, 1712–1721 (2015).
Sudo, F. K. et al. Dysexecutive syndrome and cerebrovascular disease in non-amnestic mild cognitive impairment: a systematic review of the literature. Dement. Neuropsychol. 6, 145–151 (2012).
Smith, E. E. Clinical presentations and epidemiology of vascular dementia. Clin. Sci. (Lond). 131, 1059–1068 (2017).
Meyer, J. S., Xu, G., Thornby, J., Chowdhury, M. H. & Quach, M. Is mild cognitive impairment prodromal for vascular dementia like Alzheimer’s disease?. Stroke 33, 1981–1985 (2002).
Malik, M. et al. Heart rate variability: standards of measurement, physiological interpretation, and clinical use. Eur. Heart J. 17, 354–381 (1996).
Nicolini, P., Ciulla, M. M., De Asmundis, C., Magrini, F. & Brugada, P. The prognostic value of heart rate variability in the elderly, changing the perspective: from sympathovagal balance to chaos theory. Pacing Clin. Electrophysiol. 35, 622–638 (2012).
Thayer, J. F., Hansen, A. L., Saus-Rose, E. & Johnsen, B. H. Heart rate variability, prefrontal neural function, and cognitive performance: the neurovisceral integration perspective on self-regulation, adaptation, and health. Ann. Behav. Med. 37, 141–153 (2009).
Tahsili-Fahadan, P. & Geocadin, R. G. Heart–brain axis: effects of neurologic injury on cardiovascular function. Circ. Res. 120, 559–572 (2017).
Frewen, J. et al. Cognitive function is associated with impaired heart rate variability in ageing adults: the Irish Longitudinal Study on Ageing wave one results. Clin. Auton. Res. 23, 313–323 (2013).
Al Hazzouri, A. Z., Haan, M. N., Deng, Y., Neuhaus, J. & Yaffe, K. Reduced heart rate variability is associated with worse cognitive performance in elderly Mexican Americans. Hypertension 63, 181–187 (2014).
Mahinrad, S. et al. 10-Second heart rate variability and cognitive function in old age. Neurology. 86, 1120–1127 (2016).
Da Silva, V. P. et al. Heart rate variability indexes in dementia: a systematic review with a quantitative analysis. Curr. Alzheimer Res. 15, 80–88 (2018).
Brignole, M. et al. 2018 ESC Guidelines for the diagnosis and management of syncope. Eur. Heart J. 39, 1883–1948 (2018).
Zulli, R. et al. QT dispersion and heart rate variability abnormalities in Alzheimer’s disease and in mild cognitive impairment. J. Am. Geriatr. Soc. 53, 2135–2139 (2005).
Kim, M. S., Yoon, J. H. & Hong, J. M. Early differentiation of dementia with Lewy bodies and Alzheimer’s disease: heart rate variability at mild cognitive impairment stage. Clin. Neurophysiol. 129, 1570–1578 (2018).
Nicolini, P. et al. Autonomic dysfunction in mild cognitive impairment: evidence from power spectral analysis of heart rate variability in a cross-sectional case-control study. PLoS ONE 9, e96656 (2014).
Mellingsæter, M. R., Wyller, T. B., Ranhoff, A. H., Bogdanovic, N. & Wyller, V. B. Reduced sympathetic response to head-up tilt in subjects with mild cognitive impairment or mild Alzheimer’s dementia. Dement. Geriatr. Cogn. Dis. Extra. 5, 107–115 (2015).
Weintraub, S., Wicklund, A. H. & Salmon, D. P. The neuropsychological profile of Alzheimer disease. Cold Spring Harb. Perspect. Med. 2, a006171 (2012).
Braak, H. & Braak, E. Staging of Alzheimer’s disease-related neurofibrillary changes. Neurobiol. Aging. 16, 271–278 (1995).
Bonthius, D. J., Solodkin, A. & Van Hoesen, G. W. Pathology of the insular cortex in Alzheimer disease depends on cortical architecture. J. Neuropathol. Exp. Neurol. 64, 910–922 (2005).
Li, X. & Zhang, Z. J. Neuropsychological and neuroimaging characteristics of amnestic mild cognitive impairment subtypes: a selective overview. CNS Neurosci. Ther. 21, 776–783 (2015).
Chen, J., Zhang, Z. & Li, S. Can multi-modal neuroimaging evidence from hippocampus provide biomarkers for the progression of amnestic mild cognitive impairment?. Neurosci. Bull. 31, 128–140 (2015).
Bayram, E., Caldwell, J. Z. K. & Banks, S. J. Current understanding of magnetic resonance imaging biomarkers and memory in Alzheimer’s disease. Alzheimers Dement. (N Y). 4, 395–413 (2018).
Ruggiero, D. A., Mraovitch, S., Granata, A. R., Anwar, M. & Reis, D. J. A role of insular cortex in cardiovascular function. J. Comp. Neurol. 257, 189–207 (1987).
Valenza, G. et al. The central autonomic network at rest: uncovering functional MRI correlates of time-varying autonomic outflow. Neuroimage. 197, 383–390 (2019).
Allen, B., Jennings, J. R., Gianaros, P. J., Thayer, J. F. & Manuck, S. B. Resting high-frequency heart rate variability is related to resting brain perfusion. Psychophysiology 52, 277–287 (2015).
Kimmerly, D. S. A review of human neuroimaging investigations involved with central autonomic regulation of baroreflex-mediated cardiovascular control. Auton. Neurosci. 207, 10–21 (2017).
Macefield, V. G. & Henderson, L. A. “Real-time” imaging of cortical and subcortical sites of cardiovascular control: concurrent recordings of sympathetic nerve activity and fMRI in awake subjects. J. Neurophysiol. 116, 1199–1207 (2016).
Wei, L., Chen, H. & Wu, G. R. Heart rate variability associated with grey matter volumes in striatal and limbic structures of the central autonomic network. Brain Res. 1681, 14–20 (2018).
Westerhaus, M. J. & Loewy, A. D. Central representation of the sympathetic nervous system in the cerebral cortex. Brain Res. 903, 117–127 (2001).
Ruit, K. G. & Neafsey, J. Cardiovascular and respiratory responses to electrical and chemical stimulation of the hippocampus in anesthetized and awake rats. Brain Res. 457, 310–321 (1988).
Lathers, C. M., Schraeder, P. L. & Tumer, N. The effect of phenobarbital on autonomic function and epileptogenic activity induced by the hippocampal injection of penicillin in cats. J. Clin. Pharmacol. 33, 837–844 (1993).
Khookhor, O. & Umegaki, H. The cholinergic stimulation of the hippocampus induced the activation of the sympathetic nervous system. Neuro Endocrinol. Lett. 34, 58–61 (2013).
Aitake, M. et al. Sensory mismatch induces autonomic responses associated with hippocampal theta waves in rats. Behav. Brain Res. 220, 244–253 (2011).
Moraes-Neto, T. B., Scopinho, A. A., Biojone, C., Corrêa, F. M. & Resstel, L. B. Involvement of dorsal hippocampus glutamatergic and nitrergic neurotransmission in autonomic responses evoked by acute restraint stress in rats. Neuroscience 258, 364–373 (2014).
Valenza, G., Passamonti, L., Duggento, A., Toschi, N. & Barbieri, R. Uncovering complex central autonomic networks at rest: a functional magnetic resonance imaging study on complex cardiovascular oscillations. J. R. Soc. Interface. 17, 20190878 (2020).
Valenza, G., Citi, L. & Barbieri, R. Estimation of instantaneous complex dynamics through Lyapunov exponents: a study on heartbeat dynamics. PLoS ONE 9, e105622 (2014).
Giubilei, F. et al. Cardiac autonomic dysfunction in patients with Alzheimer disease: possible pathogenetic mechanisms. Alzheimer Dis. Assoc. Disord. 12, 356–361 (1998).
Bonelli, R. M. & Cummings, J. L. Frontal-subcortical circuitry and behavior. Dialog. Clin. Neurosci. 9, 141–151 (2007).
Alvarez, J. A. & Emory, E. Executive function and the frontal lobes: a meta-analytic review. Neuropsychol. Rev. 16, 17–42 (2006).
Yuan, P. & Raz, N. Prefrontal cortex and executive functions in healthy adults: a meta-analysis of structural neuroimaging studies. Neurosci. Biobehav. Rev. 42, 180–192 (2014).
Yi, L. et al. Structural and functional changes in subcortical vascular mild cognitive impairment: a combined voxel-based morphometry and resting-state fMRI study. PLoS ONE 7, e44758 (2012).
Zhou, X. et al. Aberrant functional connectivity and structural atrophy in subcortical vascular cognitive impairment: relationship with cognitive impairments. Front. Aging Neurosci. 8, 14 (2016).
Sang, L. et al. Disrupted brain structural connectivity network in subcortical ischemic vascular cognitive impairment with no dementia. Front. Aging Neurosci. 12, 6 (2020).
Chao, L. L. et al. Patterns of cerebral hypoperfusion in amnestic and dysexecutive MCI. Alzheimer Dis. Assoc. Disord. 23, 245–252 (2009).
Jokinen, H. et al. Global burden of small vessel disease-related brain changes on MRI predicts cognitive and functional decline. Stroke 51, 170–178 (2020).
Sudo, F. K. et al. White matter hyperintensities, executive function and global cognitive performance in vascular mild cognitive impairment. Arq. Neuropsiquiatr. 71, 431–436 (2013).
Pantoni, L. et al. Fractal dimension of cerebral white matter: a consistent feature for prediction of the cognitive performance in patients with small vessel disease and mild cognitive impairment. Neuroimage Clin. 24, 101990 (2019).
Grambaite, R. et al. Executive dysfunction in mild cognitive impairment is associated with changes in frontal and cingulate white matter tracts. J. Alzheimers Dis. 27, 453–462 (2011).
Owens, N. C. & Verberne, A. J. Regional haemodynamic responses to activation of the medial prefrontal cortex depressor region. Brain Res. 919, 221–231 (2001).
Sun, M. K. Medullospinal vasomotor neurones mediate hypotension from stimulation of prefrontal cortex. J. Auton. Nerv. Syst. 38, 209–217 (1992).
Mather, M. & Thayer, J. How heart rate variability affects emotion regulation brain networks. Curr. Opin. Behav. Sci. 19, 98–104 (2018).
Kumral, D. et al. The age-dependent relationship between resting heart rate variability and functional brain connectivity. Neuroimage. 185, 521–533 (2019).
Patron, E., Mennella, R., Messerotti Benvenuti, S. & Thayer, J. F. The frontal cortex is a heart-brake: reduction in delta oscillations is associated with heart rate deceleration. Neuroimage. 188, 403–410 (2019).
Nikolin, S., Boonstra, T. W., Loo, C. K. & Martin, D. Combined effect of prefrontal transcranial direct current stimulation and a working memory task on heart rate variability. PLoS ONE 12, e0181833 (2017).
Jennings, J. R., Allen, B., Gianaros, P. J., Thayer, J. F. & Manuck, S. B. Focusing neurovisceral integration: cognition, heart rate variability, and cerebral blood flow. Psychophysiology 52, 214–224 (2015).
Kemp, A. H. et al. Insulin resistance and carotid intima-media thickness mediate the association between resting-state heart rate variability and executive function: a path modelling study. Biol. Psychol. 117, 216–224 (2016).
Stenfors, C. U., Hanson, L. M., Theorell, T. & Osika, W. S. Executive cognitive functioning and cardiovascular autonomic regulation in a population-based sample of working adults. Front. Psychol. 7, 1536 (2016).
Forte, G., Favieri, F. & Casagrande, M. Heart rate variability and cognitive function: a systematic review. Front. Neurosci. 13, 710 (2019).
Matei, D., Popescu, C. D., Ignat, B. & Matei, R. Autonomic dysfunction in type 2 diabetes mellitus with and without vascular dementia. J. Neurol. Sci. 325, 6–9 (2013).
Moon, J. et al. Sympathetic overactivity based on heart-rate variability in patients with obstructive sleep apnea and cerebral small-vessel disease. J. Clin. Neurol. 14, 310–319 (2018).
Watanabe, M., Niimi, Y., Koike, Y. & Sugiyama, Y. Power spectrum analysis of heart rate variability to orthostatic challenge in cases of Binswanger’s encephalopathy. Rinsho Shinkeigaku. 40, 551–555 (2000).
Galluzzi, S. et al. Cardiac autonomic dysfunction is associated with white matter lesions in patients with mild cognitive impairment. J. Gerontol. A Biol. Sci. Med. Sci. 64, 1312–1315 (2009).
Nagata, K. et al. Differences in heart rate variability in non-hypertensive diabetic patients correlate with the presence of underlying cerebrovascular disease. Clin. Physiol. Funct. Imaging. 26, 92–98 (2006).
Henriksen, O. M., Jensen, L. T., Krabbe, K., Larsson, H. B. & Rostrup, E. Relationship between cardiac function and resting cerebral blood flow: MRI measurements in healthy elderly subjects. Clin. Physiol. Funct. Imaging. 34, 471–477 (2014).
Montano, N. et al. Heart rate variability explored in the frequency domain: a tool to investigate the link between heart and behavior. Neurosci. Biobehav. Rev. 33, 71–80 (2009).
Furlan, R. et al. Chronic orthostatic intolerance: a disorder with discordant cardiac and vascular sympathetic control. Circulation 98, 2154–2159 (1998).
Hu, Y. et al. Sympathetic overactivation from supine to upright is associated with orthostatic hypertension in children and adolescents. Front. Pediatr. 8, 54 (2020).
Landis, J. R. & Koch, G. G. The measurement of observer agreement for categorical data. Biometrics 33, 159–174 (1977).
Xiong, Y. et al. Operational definitions improve reliability of the age-related white matter changes scale. Eur. J. Neurol. 18, 744–749 (2011).
Harper, L., Barkhof, F., Fox, N. C. & Schott, J. M. Using visual rating to diagnose dementia: a critical evaluation of MRI atrophy scales. J. Neurol. Neurosurg. Psychiatry. 86, 1225–1233 (2015).
Harper, L. et al. MRI visual rating scales in the diagnosis of dementia: evaluation in 184 post-mortem confirmed cases. Brain 139, 1211–1225 (2016).
Quintana, D. S. Statistical considerations for reporting and planning heart rate variability case-control studies. Psychophysiology 54, 344–349 (2017).
Vasudev, A. et al. Relationship between cognition, magnetic resonance white matter hyperintensities, and cardiovascular autonomic changes in late-life depression. Am. J. Geriatr. Psychiatry. 20, 691–699 (2012).
Allan, L. M. Diagnosis and management of autonomic dysfunction in dementia syndromes. Curr. Treat Options Neurol. 21, 38 (2019).
Pagani, M. et al. Power spectral analysis of heart rate and arterial pressure variabilities as a marker of sympatho-vagal interaction in man and conscious dog. Circ. Res. 59, 178–193 (1986).
Cohen, J. Statistical Power Analysis for the Behavioral Sciences (Lawrence Erlbaum Associates, Hillsdale, 1988).
Malik, M. & Camm, A. J. Components of heart rate variability—what they really mean and what we really measure. Am. J. Cardiol. 72, 821–822 (1993).
Ewing, D. J., Neilson, J. M., Shapiro, C. M., Stewart, J. A. & Reid, W. Twenty four hour heart rate variability: effects of posture, sleep, and time of day in healthy controls and comparison with bedside tests of autonomic function in diabetic patients. Br. Heart J. 65, 239–244 (1991).
Videira, G. et al. Autonomic dysfunction in multiple sclerosis is better detected by heart rate variability and is not correlated with central autonomic network damage. J. Neurol. Sci. 367, 133–137 (2016).
Brunetta, E. et al. Autonomic abnormalities in patients with primary sjogren’s syndrome—preliminary results. Front. Physiol. 10, 1104 (2019).
Wang, S. J. et al. Cardiovascular autonomic functions in Alzheimer’s disease. Age Ageing. 23, 400–404 (1994).
De Heus, R. A. A. et al. Dynamic regulation of cerebral blood flow in patients with alzheimer disease. Hypertension 72, 139–150 (2018).
Imholz, B. P., Dambrink, J. H., Karemaker, J. M. & Wieling, W. Orthostatic circulatory control in the elderly evaluated by non-invasive continuous blood pressure measurement. Clin. Sci. (Lond). 79, 73–79 (1990).
Reyes del Paso, G. A., Langewitz, W., Mulder, L. J., van Roon, A. & Duschek, S. The utility of low frequency heart rate variability as an index of sympathetic cardiac tone: a review with emphasis on a reanalysis of previous studies. Psychophysiology 50, 477–487 (2013).
Berntson, G. G. Presidential address 2011: autonomic modes of control and health. Psychophysiology 56, e13306 (2019).
Furlan, R. et al. Oscillatory patterns in sympathetic neural discharge and cardiovascular variables during orthostatic stimulus. Circulation 101, 886–892 (2000).
Marchi, A. et al. Calibrated variability of muscle sympathetic nerve activity during graded head-up tilt in humans and its link with noradrenaline data and cardiovascular rhythms. Am. J. Physiol. Regul. Integr. Comp. Physiol. 310, R1134-1143 (2016).
Sultzer, D. L. Cognitive ageing and Alzheimer’s disease: the cholinergic system redux. Brain 141, 626–628 (2018).
Billman, G. E. The LF/HF ratio does not accurately measure cardiac sympatho-vagal balance. Front. Physiol. 4, 26 (2013).
Nunan, D., Sandercock, G. R. & Brodie, D. A. A quantitative systematic review of normal values for short-term heart rate variability in healthy adults. Pacing Clin. Electrophysiol. 33, 1407–1417 (2010).
Stoica, P. & Moses, R. Spectral Analysis of Signals (Prentice Hall, Upper Saddle River, 2004).
Sassi, R. et al. Advances in heart rate variability signal analysis: joint position statement by the e-Cardiology ESC Working Group and the European Heart Rhythm Association co-endorsed by the Asia Pacific Heart Rhythm Society. Europace. 17, 1341–1353 (2015).
Reyes del Paso, G. A. A biofeedback system of baroreceptor cardiac reflex sensitivity. Appl. Psychophysiol. Biofeedback. 24, 67–77 (1999).
Duschek, S., Werner, N. S. & Reyes del Paso, G. A. The behavioral impact of baroreflex function: a review. Psychophysiology 50, 1183–1193 (2013).
Ogoh, S. & Tarumi, T. Cerebral blood flow regulation and cognitive function: a role of arterial baroreflex function. J. Physiol. Sci. 69, 813–823 (2019).
Laborde, S., Mosley, E. & Thayer, J. F. Heart rate variability and cardiac vagal tone in psychophysiological research—recommendations for experiment planning, data analysis, and data reporting. Front. Psychol. 8, 213 (2017).
Hernando, A. et al. Inclusion of respiratory frequency information in heart rate variability analysis for stress assessment. IEEE J. Biomed. Health Inform. 20, 1016–1025 (2016).
Varon, C. et al. Unconstrained estimation of HRV indices after removing respiratory influences from heart rate. IEEE J. Biomed. Health Inform. 23, 2386–2397 (2019).
Nordlund, A. et al. Two-year outcome of MCI subtypes and aetiologies in the Göteborg MCI study. J. Neurol. Neurosurg. Psychiatry. 81, 541–546 (2010).
Liu, C. C., Kanekiyo, T., Xu, H. & Bu, G. Apolipoprotein E and Alzheimer disease: risk, mechanisms and therapy. Nat. Rev. Neurol. 9, 106–118 (2013).
Smits, L. L. et al. Trajectories of cognitive decline in different types of dementia. Psychol. Med. 45, 1051–1059 (2015).
Bäckman, L., Jones, S., Berger, A. K., Laukka, E. J. & Small, B. J. Multiple cognitive deficits during the transition to Alzheimer’s disease. J. Intern. Med. 256, 195–204 (2004).
Pugh, K. G. & Lipsitz, L. A. The microvascular frontal-subcortical syndrome of aging. Neurobiol. Aging. 23, 421–431 (2002).
Donaghy, P. C. & McKeith, I. G. The clinical characteristics of dementia with Lewy bodies and a consideration of prodromal diagnosis. Alzheimers Res. Ther. 6, 46 (2014).
Borroni, B. et al. Early stage of behavioral variant frontotemporal dementia: clinical and neuroimaging correlates. Neurobiol. Aging. 36, 3108–3115 (2015).
Dubois, B. et al. Advancing research diagnostic criteria for Alzheimer’s disease: the IWG-2 criteria. Lancet Neurol. 13, 614–629 (2014).
Chui, H. C. & Ramirez-Gomez, L. Clinical and imaging features of mixed Alzheimer and vascular pathologies. Alzheimers Res. Ther. 7, 21 (2015).
Visser, P. J., Vos, S., van Rossum, I. & Scheltens, P. Comparison of International Working Group criteria and National Institute on Aging-Alzheimer’s Association criteria for Alzheimer’s disease. Alzheimers Dement. 8, 560–563 (2012).
Ferguson, K. J. Visual rating scales of white matter hyperintensities and atrophy: comparison of computed tomography and magnetic resonance imaging. J. Stroke Cerebrovasc. Dis. 27, 1815–1821 (2018).
Wahlund, L. O. et al. From the Imaging Cognitive Impairment Network (ICINET). Imaging biomarkers of dementia: recommended visual rating scales with teaching cases. Insights Imaging. 8, 79–90 (2017).
Wardlaw, J. M. et al. STandards for ReportIng Vascular changes on nEuroimaging (STRIVE v1) (2013). Neuroimaging standards for research into small vessel disease and its contribution to ageing and neurodegeneration. Lancet Neurol. 12, 822–838 (2013).
Shen, Q. et al. Volumetric and visual rating of magnetic resonance imaging scans in the diagnosis of amnestic mild cognitive impairment and Alzheimer’s disease. Alzheimers Dement. 7, e101–e108 (2011).
Jang, J. W. et al. A comprehensive visual rating scale of brain magnetic resonance imaging: application in elderly subjects with Alzheimer’s disease, mild cognitive impairment, and normal cognition. J. Alzheimers Dis. 44, 1023–1034 (2015).
Lye, T. C. et al. Predicting memory performance in normal ageing using different measures of hippocampal size. Neuroradiology 48, 90–99 (2006).
De Leon, M. J. et al. In vivo structural studies of the hippocampus in normal aging and in incipient Alzheimer’s disease. Ann. N. Y. Acad. Sci. 777, 1–13 (1996).
Carlson, M. D. & Morrison, R. S. Study design, precision, and validity in observational studies. J. Palliat. Med. 12, 77–82 (2009).
Nasreddine, Z. S. et al. The Montreal Cognitive Assessment, MoCA: a brief screening tool for mild cognitive impairment. J. Am. Geriatr. Soc. 53, 695–699 (2005).
Ferri, E. et al. Apolipoprotein E gene in physiological and pathological aging. Mech. Ageing Dev. 178, 41–45 (2019).
Von Elm, E. et al. STROBE Initiative. The Strengthening the Reporting of Observational Studies in Epidemiology (STROBE) statement: guidelines for reporting observational studies. Lancet 370, 1453–1457 (2007).
Weissberger, G. H. et al. Diagnostic accuracy of memory measures in Alzheimer’s dementia and mild cognitive impairment: a systematic review and meta-analysis. Neuropsychol. Rev. 27, 354–388 (2017).
Kim, G. H. et al. T1-weighted axial visual rating scale for an assessment of medial temporal atrophy in Alzheimer’s disease. J. Alzheimers Dis. 41, 169–178 (2014).
Scheltens, P. et al. Atrophy of medial temporal lobes on MRI in “probable” Alzheimer’s disease and normal ageing: diagnostic value and neuropsychological correlates. J. Neurol. Neurosurg. Psychiatry. 55, 967–972 (1992).
Pereira, J. B. et al. AddNeuroMed consortium and for the Alzheimer’s Disease Neuroimaging Initiative. Influence of age, disease onset and ApoE4 on visual medial temporal lobe atrophy cut-offs. J. Intern. Med. 275, 317–330 (2014).
Oppedal, K. et al. A signature pattern of cortical atrophy in dementia with Lewy bodies: a study on 333 patients from the European DLB consortium. Alzheimers Dement. 15, 400–409 (2019).
Royall, D. R. Committee on Research of the American Neuropsychiatric Association. The cognitive correlates of functional status: a review from the Committee on Research of the American Neuropsychiatric Association. J. Neuropsychiatry Clin. Neurosci. 19, 249–265 (2007).
Tu, M. C. et al. Comparisons of daily functional performance and relevant factors in patients with Alzheimer’s disease and subcortical ischemic vascular disease. Neuropsychiatry (London). 8, 557–569 (2018).
Shaffer, F. & Ginsberg, J. P. An overview of heart rate variability metrics and norms. Front. Public Health. 5, 258 (2017).
Thomas, B. L., Claassen, N., Becker, P. & Viljoen, M. Validity of commonly used heart rate variability markers of autonomic nervous system function. Neuropsychobiology. 78, 14–26 (2018).
Malliani, A., Pagani, M., Montano, N. & Mela, G. S. Sympathovagal balance: a reappraisal. Circulation 98, 2640–2643 (1998).
Malik, M. et al. Heart rate variability is a valid measure of cardiac autonomic responsiveness. J. Physiol. 597, 2595–2598 (2019).
Wang, Y. et al. Heart rate variability predicts therapeutic response to metoprolol in children with postural tachycardia syndrome. Front. Neurosci. 13, 1214 (2019).
Chang, Y. M. et al. Heart rate variability as an independent predictor for 8-year mortality among chronic hemodialysis patients. Sci. Rep. 10, 881 (2020).
Garcia, R. G. et al. Impact of sex and depressed mood on the central regulation of cardiac autonomic function. Neuropsychopharmacology. https://doi.org/10.1038/s41386-020-0651-x (2020).
Kloke, J. & McKean, J. W. Non parametric statistical methods using R (Chapman Hall, Boca Raton, FL, 2014).
Benjamini, Y. & Hochberg, Y. Controlling the false discovery rate: a practical and powerful approach to multiple testing. J. Roy. Stat. Soc. B 57, 289–300 (1995).
Perneger, T. V. What’s wrong with Bonferroni adjustments. BMJ 316, 1236–1238 (1998).
Lakens, D. Calculating and reporting effect sizes to facilitate cumulative science: a practical primer for t-tests and ANOVAs. Front. Psychol. 4, 863 (2013).
Tomczak, M. & Tomczak, E. The need to report effect size estimates revisited. An overview of some recommended measures of effect size. Trends Sport Sci. 1, 19–25 (2014).
Acknowledgements
The authors would like to thank Mr. Luigi F. Ghilardini, Mr. Ivan Paroni and Mr. Matteo Bedon for their technical assistance.
Author information
Authors and Affiliations
Contributions
P.N. conceived and designed the study, acquired and interpreted the data, drafted and critically revised the manuscript. D.M. intepreted and critically revised the data. C.A. acquired and interpreted the data. S.I., L.B., E.T. and P.D.R. acquired the data. F.L. conceived and designed the study, interpreted and critically revised the data. All authors reviewed the manuscript.
Corresponding author
Ethics declarations
Competing interests
The authors declare no competing interests.
Additional information
Publisher's note
Springer Nature remains neutral with regard to jurisdictional claims in published maps and institutional affiliations.
Supplementary information
Rights and permissions
Open Access This article is licensed under a Creative Commons Attribution 4.0 International License, which permits use, sharing, adaptation, distribution and reproduction in any medium or format, as long as you give appropriate credit to the original author(s) and the source, provide a link to the Creative Commons license, and indicate if changes were made. The images or other third party material in this article are included in the article’s Creative Commons license, unless indicated otherwise in a credit line to the material. If material is not included in the article’s Creative Commons license and your intended use is not permitted by statutory regulation or exceeds the permitted use, you will need to obtain permission directly from the copyright holder. To view a copy of this license, visit http://creativecommons.org/licenses/by/4.0/.
About this article
Cite this article
Nicolini, P., Mari, D., Abbate, C. et al. Autonomic function in amnestic and non-amnestic mild cognitive impairment: spectral heart rate variability analysis provides evidence for a brain–heart axis. Sci Rep 10, 11661 (2020). https://doi.org/10.1038/s41598-020-68131-x
Received:
Accepted:
Published:
Version of record:
DOI: https://doi.org/10.1038/s41598-020-68131-x
This article is cited by
-
Autonomic dysfunction in neurodegenerative disease
Nature Reviews Neuroscience (2025)
-
Comparison of 18F-FDG PET and arterial spin labeling MRI in evaluating Alzheimer’s disease and amnestic mild cognitive impairment using integrated PET/MR
EJNMMI Research (2024)
-
The brain–heart-immune axis: a vago-centric framework for predicting and enhancing resilient recovery in older surgery patients
Bioelectronic Medicine (2024)
-
Predicting cognitive scores from wearable-based digital physiological features using machine learning: data from a clinical trial in mild cognitive impairment
BMC Medicine (2024)
-
Reduced slow-wave activity and autonomic dysfunction during sleep precede cognitive deficits in Alzheimer’s disease transgenic mice
Scientific Reports (2023)


