Abstract
Autophagy-related (Atg) proteins catalyze autophagosome formation at the phagophore assembly site (PAS). The assembly of Atg proteins at the PAS follows a semihierarchical order, in which Atg8 is thought to be quite downstream but still able to control the size of autophagosomes. Yet, how Atg8 coordinates multiple branches of autophagy machinery to regulate autophagosomal size is not clear. Here, we show that, in yeast, Atg8 positively regulates the autophagy-specific phosphatidylinositol 3-OH kinase complex and the retrograde trafficking of Atg9 vesicles through interaction with Atg1. Mechanistically, Atg8 does not enhance the kinase activity of Atg1; instead, it recruits Atg1 to the surface of the phagophore likely to orient Atg1’s activity toward select substrates, leading to efficient phagophore expansion. Artificial tethering of Atg1 kinase domains to Atg8s enhanced autophagy in yeast, human and plant cells and improved muscle performance in worms. We propose that Atg8-mediated relocation of Atg1 from the PAS scaffold to the phagophore is a critical step in positive autophagy regulation.
This is a preview of subscription content, access via your institution
Access options
Access Nature and 54 other Nature Portfolio journals
Get Nature+, our best-value online-access subscription
$32.99 / 30 days
cancel any time
Subscribe to this journal
Receive 12 print issues and online access
$259.00 per year
only $21.58 per issue
Buy this article
- Purchase on SpringerLink
- Instant access to the full article PDF.
USD 39.95
Prices may be subject to local taxes which are calculated during checkout








Similar content being viewed by others
Data availability
All data supporting the findings of this study are available within the article and Supplementary Information. Source data are provided with this paper.
Change history
13 October 2025
A Correction to this paper has been published: https://doi.org/10.1038/s41594-025-01700-8
References
Morishita, H. & Mizushima, N. Diverse cellular roles of autophagy. Annu. Rev. Cell Dev. Biol. 35, 453–475 (2019).
Nguyen, T. N. & Lazarou, M. A unifying model for the role of the ATG8 system in autophagy. J. Cell Sci. 135, cs258997 (2022).
Lamark, T. & Johansen, T. Mechanisms of selective autophagy. Annu. Rev. Cell Dev. Biol. 37, 143–169 (2021).
Xie, Z., Nair, U. & Klionsky, D. J. Atg8 controls phagophore expansion during autophagosome formation. Mol. Biol. Cell 19, 3290–3298 (2008).
Kirisako, T. et al. Formation process of autophagosome is traced with Apg8/Aut7p in yeast. J. Cell Biol. 147, 435–446 (1999).
Mizushima, N. et al. Dissection of autophagosome formation using Apg5-deficient mouse embryonic stem cells. J. Cell Biol. 152, 657–668 (2001).
Komatsu, M. et al. Impairment of starvation-induced and constitutive autophagy in Atg7-deficient mice. J. Cell Biol. 169, 425–434 (2005).
Sou, Y. S. et al. The Atg8 conjugation system is indispensable for proper development of autophagic isolation membranes in mice. Mol. Biol. Cell 19, 4762–4775 (2008).
Tsuboyama, K. et al. The ATG conjugation systems are important for degradation of the inner autophagosomal membrane. Science 354, 1036–1041 (2016).
Nguyen, T. N. et al. Atg8 family LC3/GABARAP proteins are crucial for autophagosome–lysosome fusion but not autophagosome formation during PINK1/Parkin mitophagy and starvation. J. Cell Biol. 215, 857–874 (2016).
Nakatogawa, H., Ichimura, Y. & Ohsumi, Y. Atg8, a ubiquitin-like protein required for autophagosome formation, mediates membrane tethering and hemifusion. Cell 130, 165–178 (2007).
Wu, F. et al. Structural basis of the differential function of the two C. elegans Atg8 Homologs, LGG-1 and LGG-2, in autophagy. Mol. Cell 60, 914–929 (2015).
Maruyama, T. et al. Membrane perturbation by lipidated Atg8 underlies autophagosome biogenesis. Nat. Struct. Mol. Biol. 28, 583–593 (2021).
Zhang, W. et al. Autophagosome membrane expansion is mediated by the N-terminus and cis-membrane association of human ATG8s. eLife 12, e89185 (2023).
Osawa, T. et al. Atg2 mediates direct lipid transfer between membranes for autophagosome formation. Nat. Struct. Mol. Biol. 26, 281–288 (2019).
Valverde, D. P. et al. ATG2 transports lipids to promote autophagosome biogenesis. J. Cell Biol. 218, 1787–1798 (2019).
Maeda, S., Otomo, C. & Otomo, T. The autophagic membrane tether ATG2A transfers lipids between membranes. eLife 8, e45777 (2019).
Matoba, K. et al. Atg9 is a lipid scramblase that mediates autophagosomal membrane expansion. Nat. Struct. Mol. Biol. 27, 1185–1193 (2020).
Maeda, S. et al. Structure, lipid scrambling activity and role in autophagosome formation of ATG9A. Nat. Struct. Mol. Biol. 27, 1194–1201 (2020).
Nishimura, T. & Tooze, S. A. Emerging roles of ATG proteins and membrane lipids in autophagosome formation. Cell Discov. 6, 32 (2020).
Nakatogawa, H. Mechanisms governing autophagosome biogenesis. Nat. Rev. Mol. Cell Biol. 21, 439–458 (2020).
Melia, T. J., Lystad, A. H. & Simonsen, A. Autophagosome biogenesis: from membrane growth to closure. J. Cell Biol. 219, e202002085 (2020).
Suzuki, K., Kubota, Y., Sekito, T. & Ohsumi, Y. Hierarchy of Atg proteins in pre-autophagosomal structure organization. Genes Cells 12, 209–218 (2007).
Itakura, E. & Mizushima, N. Characterization of autophagosome formation site by a hierarchical analysis of mammalian Atg proteins. Autophagy 6, 764–776 (2010).
Dooley, H. C. et al. WIPI2 links LC3 conjugation with PI3P, autophagosome formation, and pathogen clearance by recruiting Atg12–5-16L1. Mol. Cell 55, 238–252 (2014).
Juris, L. et al. PI3P binding by Atg21 organises Atg8 lipidation. EMBO J. 34, 955–973 (2015).
Gammoh, N., Florey, O., Overholtzer, M. & Jiang, X. Interaction between FIP200 and ATG16L1 distinguishes ULK1 complex-dependent and -independent autophagy. Nat. Struct. Mol. Biol. 20, 144–149 (2013).
Nishimura, T. et al. FIP200 regulates targeting of Atg16L1 to the isolation membrane. EMBO Rep. 14, 284–291 (2013).
Harada, K. et al. Two distinct mechanisms target the autophagy-related E3 complex to the pre-autophagosomal structure. eLife 8, e43088 (2019).
Papinski, D. et al. Early steps in autophagy depend on direct phosphorylation of Atg9 by the Atg1 kinase. Mol. Cell 53, 471–483 (2014).
Schreiber, A. et al. Multilayered regulation of autophagy by the Atg1 kinase orchestrates spatial and temporal control of autophagosome formation. Mol. Cell 81, 5066–5081 (2021).
Grunwald, D. S., Otto, N. M., Park, J. M., Song, D. & Kim, D. H. GABARAPs and LC3s have opposite roles in regulating ULK1 for autophagy induction. Autophagy 16, 600–614 (2020).
Joachim, J. et al. Activation of ULK kinase and autophagy by GABARAP trafficking from the centrosome is regulated by WAC and GM130. Mol. Cell 60, 899–913 (2015).
Young, A. R. et al. Starvation and ULK1-dependent cycling of mammalian Atg9 between the TGN and endosomes. J. Cell Sci. 119, 3888–3900 (2006).
Reggiori, F., Tucker, K. A., Stromhaug, P. E. & Klionsky, D. J. The Atg1–Atg13 complex regulates Atg9 and Atg23 retrieval transport from the pre-autophagosomal structure. Dev. Cell 6, 79–90 (2004).
Zhu, J. & Xie, Z. Assays for autophagy III: observing dynamic protein trafficking. Methods Mol. Biol. 2196, 211–222 (2021).
Nakatogawa, H. et al. The autophagy-related protein kinase Atg1 interacts with the ubiquitin-like protein Atg8 via the Atg8 family interacting motif to facilitate autophagosome formation. J. Biol. Chem. 287, 28503–28507 (2012).
Kraft, C. et al. Binding of the Atg1/ULK1 kinase to the ubiquitin-like protein Atg8 regulates autophagy. EMBO J. 31, 3691–3703 (2012).
Alemu, E. A. et al. ATG8 family proteins act as scaffolds for assembly of the ULK complex: sequence requirements for LC3-interacting region (LIR) motifs. J. Biol. Chem. 287, 39275–39290 (2012).
Wirth, M. et al. Molecular determinants regulating selective binding of autophagy adapters and receptors to ATG8 proteins. Nat. Commun. 10, 2055 (2019).
Wittke, S., Lewke, N., Muller, S. & Johnsson, N. Probing the molecular environment of membrane proteins in vivo. Mol. Biol. Cell 10, 2519–2530 (1999).
Yeh, Y. Y., Shah, K. H. & Herman, P. K. An Atg13 protein-mediated self-association of the Atg1 protein kinase is important for the induction of autophagy. J. Biol. Chem. 286, 28931–28939 (2011).
Fujioka, Y. et al. Phase separation organizes the site of autophagosome formation. Nature 578, 301–305 (2020).
Sanchez-Wandelmer, J. et al. Atg4 proteolytic activity can be inhibited by Atg1 phosphorylation. Nat. Commun. 8, 295 (2017).
Darsow, T., Rieder, S. E. & Emr, S. D. A multispecificity syntaxin homologue, Vam3p, essential for autophagic and biosynthetic protein transport to the vacuole. J. Cell Biol. 138, 517–529 (1997).
Yu, Z. Q. et al. Atg38–Atg8 interaction in fission yeast establishes a positive feedback loop to promote autophagy. Autophagy 16, 2036–2051 (2020).
Huang, W. P., Shintani, T. & Xie, Z. Assays for autophagy I: the Cvt pathway and nonselective autophagy. Methods Mol. Biol. 1163, 153–164 (2014).
Backues, S. K., Chen, D., Ruan, J., Xie, Z. & Klionsky, D. J. Estimating the size and number of autophagic bodies by electron microscopy. Autophagy 10, 155–164 (2014).
Hitomi, K., Kotani, T., Noda, N. N., Kimura, Y. & Nakatogawa, H. The Atg1 complex, Atg9, and Vac8 recruit PI3K complex I to the pre-autophagosomal structure. J. Cell Biol. 222, e202210017 (2023).
Hollenstein, D. M. et al. Spatial control of avidity regulates initiation and progression of selective autophagy. Nat. Commun. 12, 7194 (2021).
Steinfeld, N. et al. Elevating PI3P drives select downstream membrane trafficking pathways. Mol. Biol. Cell 32, 143–156 (2021).
Stephan, J. S., Yeh, Y. Y., Ramachandran, V., Deminoff, S. J. & Herman, P. K. The TOR and PKA signaling pathways independently target the Atg1/Atg13 protein kinase complex to control autophagy. Proc. Natl Acad. Sci. USA 106, 17049–17054 (2009).
Kamada, Y. et al. TOR-mediated induction of autophagy via an Apg1 protein kinase complex. J. Cell Biol. 150, 1507–1513 (2000).
Yeh, Y. Y., Wrasman, K. & Herman, P. K. Autophosphorylation within the Atg1 activation loop is required for both kinase activity and the induction of autophagy in Saccharomyces cerevisiae. Genetics 185, 871–882 (2010).
Cheong, H., Nair, U., Geng, J. & Klionsky, D. J. The Atg1 kinase complex is involved in the regulation of protein recruitment to initiate sequestering vesicle formation for nonspecific autophagy in Saccharomyces cerevisiae. Mol. Biol. Cell 19, 668–681 (2008).
Suzuki, K., Akioka, M., Kondo-Kakuta, C., Yamamoto, H. & Ohsumi, Y. Fine mapping of autophagy-related proteins during autophagosome formation in Saccharomyces cerevisiae. J. Cell Sci. 126, 2534–2544 (2013).
Zhao, W. et al. Sparse deconvolution improves the resolution of live-cell super-resolution fluorescence microscopy. Nat. Biotechnol. 40, 606–617 (2022).
Hu, Z. et al. Multilayered control of protein turnover by TORC1 and Atg1. Cell Rep. 28, 3486–3496 (2019).
Feng, Y. et al. Phosphorylation of Atg9 regulates movement to the phagophore assembly site and the rate of autophagosome formation. Autophagy 12, 648–658 (2016).
Lee, Y., Kim, B., Jang, H. S. & Huh, W. K. Atg1-dependent phosphorylation of Vps34 is required for dynamic regulation of the phagophore assembly site and autophagy in Saccharomyces cerevisiae. Autophagy 19, 2428–2442 (2023).
Gao, J. et al. Function of the SNARE Ykt6 on autophagosomes requires the Dsl1 complex and the Atg1 kinase complex. EMBO Rep. 21, e50733 (2020).
Barz, S. et al. Atg1 kinase regulates autophagosome–vacuole fusion by controlling SNARE bundling. EMBO Rep. 21, e51869 (2020).
McNew, J. A. et al. Ykt6p, a prenylated SNARE essential for endoplasmic reticulum–Golgi transport. J. Biol. Chem. 272, 17776–17783 (1997).
Nair, U. et al. SNARE proteins are required for macroautophagy. Cell 146, 290–302 (2011).
Kweon, Y., Rothe, A., Conibear, E. & Stevens, T. H. Ykt6p is a multifunctional yeast R-SNARE that is required for multiple membrane transport pathways to the vacuole. Mol. Biol. Cell 14, 1868–1881 (2003).
Bartholomew, C. R. et al. Ume6 transcription factor is part of a signaling cascade that regulates autophagy. Proc. Natl Acad. Sci. USA 109, 11206–11210 (2012).
Luo, L. et al. Autophagy is rapidly induced by salt stress and is required for salt tolerance in Arabidopsis. Front. Plant Sci. 8, 1459 (2017).
Walker, A. C., Bhargava, R., Brust, A. S., Owji, A. A. & Czyz, D. M. Time-off-pick assay to measure Caenorhabditis elegans motility. Bio Protoc. 12, e4436 (2022).
Lopes, A. F. C. et al. A C. elegans model for neurodegeneration in Cockayne syndrome. Nucleic Acids Res. 48, 10973–10985 (2020).
Noda, N. N. Atg2 and Atg9: intermembrane and interleaflet lipid transporters driving autophagy. Biochim. Biophys. Acta Mol. Cell. Biol. Lipids 1866, 158956 (2021).
Axe, E. L. et al. Autophagosome formation from membrane compartments enriched in phosphatidylinositol 3-phosphate and dynamically connected to the endoplasmic reticulum. J. Cell Biol. 182, 685–701 (2008).
Koyama-Honda, I., Itakura, E., Fujiwara, T. K. & Mizushima, N. Temporal analysis of recruitment of mammalian ATG proteins to the autophagosome formation site. Autophagy 9, 1491–1499 (2013).
Karanasios, E. et al. Dynamic association of the ULK1 complex with omegasomes during autophagy induction. J. Cell Sci. 126, 5224–5238 (2013).
Lin, M. G., Schoneberg, J., Davies, C. W., Ren, X. & Hurley, J. H. The dynamic Atg13-free conformation of the Atg1 EAT domain is required for phagophore expansion. Mol. Biol. Cell 29, 1228–1237 (2018).
Li, H. et al. Temporal dissection of the roles of Atg4 and ESCRT in autophagosome formation in yeast. Cell Death Differ. https://doi.org/10.1038/s41418-024-01438-8 (2024).
Wang, Y. et al. ULK phosphorylation of STX17 controls autophagosome maturation via FLNA. J. Cell Biol. 222, e202211025 (2023).
Wang, C. et al. Phosphorylation of ULK1 affects autophagosome fusion and links chaperone-mediated autophagy to macroautophagy. Nat. Commun. 9, 3492 (2018).
Rocchi, A. et al. A Becn1 mutation mediates hyperactive autophagic sequestration of amyloid oligomers and improved cognition in Alzheimer’s disease. PLoS Genet. 13, e1006962 (2017).
Nakamura, S. et al. Suppression of autophagic activity by Rubicon is a signature of aging. Nat. Commun. 10, 847 (2019).
Decressac, M. et al. TFEB-mediated autophagy rescues midbrain dopamine neurons from α-synuclein toxicity. Proc. Natl Acad. Sci. USA 110, E1817–E1826 (2013).
Spencer, B. et al. Beclin 1 gene transfer activates autophagy and ameliorates the neurodegenerative pathology in α-synuclein models of Parkinson’s and Lewy body diseases. J. Neurosci. 29, 13578–13588 (2009).
Shoji-Kawata, S. et al. Identification of a candidate therapeutic autophagy-inducing peptide. Nature 494, 201–206 (2013).
Cen, X. et al. Pharmacological targeting of MCL-1 promotes mitophagy and improves disease pathologies in an Alzheimer’s disease mouse model. Nat. Commun. 11, 5731 (2020).
Li, Z. et al. Allele-selective lowering of mutant HTT protein by HTT–LC3 linker compounds. Nature 575, 203–209 (2019).
Clough, S. J. & Bent, A. F. Floral dip: a simplified method for Agrobacterium-mediated transformation of Arabidopsis thaliana. Plant J. 16, 735–743 (1998).
Liu, R., Zhang, R., Yang, Y., Liu, X. & Gong, Q. Monitoring autophagy in rice with GFP–Atg8 marker lines. Front Plant Sci. 13, 866367 (2022).
Brenner, S. The genetics of Caenorhabditis elegans. Genetics 77, 71–94 (1974).
Acknowledgements
We would like to thank T.-B. Liu (Southwest University), J.-H. Lu (University of Macau), Y. Shen (Institute of Biochemistry and Cell Biology, Chinese Academy of Sciences), L. Weisman (University of Michigan), H. Zhang (Institute of Biophysics, Chinese Academy of Sciences) and X.-Q. Zhao (Shanghai Jiao Tong University (SJTU)) for gifts of experimental materials, T. Shi (SJTU), Q. Xu (SJTU) and J.-T. Zheng (SJTU) for research advice and Y. Ma (SJTU), F. Wei (SJTU), X.-M. Yang (SJTU), Y.-C. Zhang (SJTU) and Z. Zhou (Institute of Biochemistry and Cell Biology, Chinese Academy of Sciences) for technical assistance. We would also like to thank past lab members B. Hong, F.-J. Jiang, Z.-Q. Yu, T. Ni and H.-Y. Wang for their assistance in preparing the paper. This work was supported by the National Key R&D Program of China (2020YFA0907700, to Z.X.), National Natural Science Foundation of China (32270796, to Z.X.), Shanghai Rising-Star Program (19QA1409700, to Z.Q.), Tongji Hospital Start-Up Funding for Scientific Research (RCQD2301, to Z.Q.), and Shanghai Municipal Science and Technology Commission (22ZR1433800, to Z.X.). The funders had no role in study design, data collection and analysis, decision to publish or preparation of the paper.
Author information
Authors and Affiliations
Contributions
Conceptualization, J.-Z.S., H.L., Q.G., J.W., Z.Q. and Z.X. Investigation, J.-Z.S., H.L., H.Y., R.L., W.Z., T.H., M.-X.X., C.C., L.C., S.W., Y.R., L.-F.P. and J.Z. Writing—original draft, J.-Z.S., Q.G., J.W., Z.Q. and Z.X. Supervision, Q.G., J.W., Z.Q. and Z.X.
Corresponding authors
Ethics declarations
Competing interests
The authors declare no competing interests.
Peer review
Peer review information
Nature Structural & Molecular Biology thanks Nobuo Noda and the other, anonymous, reviewer(s) for their contribution to the peer review of this work. Peer reviewer reports are available. Primary Handling Editor: Dimitris Typas, in collaboration with the Nature Structural & Molecular Biology team.
Additional information
Publisher’s note Springer Nature remains neutral with regard to jurisdictional claims in published maps and institutional affiliations.
Extended data
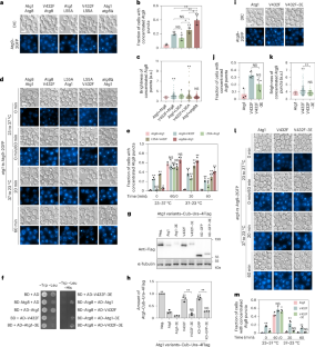
Extended Data Fig. 1 Atg8 enhances the retrograde traffic of Atg9 vesicles.
(A-C) Atg9 is concentrated at the PAS in atg8Δ and atg7Δ cells. (A) Representative snapshots (max intensity projection for fluorescent channel) of cells expressing Atg9-2GFP after 1 h of starvation. (B) Fractions of cells containing bright Atg9-2GFP puncta. Mean ± standard deviation, n = 3 independent repeats (C) Fluorescent intensities of bright Atg9-2GFP puncta. a. u., arbitrary units. Sina plot data summed from 3 independent repeats, with mean ± standard deviation marked. (D-F) Retrograde Atg9 trafficking is retarded in atg8Δ and atg7Δ cells. (D) Schematic depiction of the assay. Kinetic of Atg9 vesicle trafficking was evaluated in cells expressing atg1-ts. PAS accumulation (23 → 37 °C) and release (37 → 23 °C) of Atg9 were triggered by temperature shifts that inactivate and re-activate Atg1-ts protein. (E) Representative snapshots at different time points (presented as in A). (F) Fractions of cells containing bright Atg9-2GFP puncta at different time points (presented as in B). Scale bar, 5 um.
Extended Data Fig. 2 Evaluation of Atg8 and Atg1 mutants by multiple assays.
(A-B) Interaction of Atg8 variants with Atg1 (A), Atg3, Atg4, Atg7, or Atg19 (B) by conventional yeast two-hybrid assay. Mutants in red displayed abnormal interaction. (C-H) Co-immunoprecipitation assay evaluating the interaction between Atg8 variants and Atg3 (C-D), Atg4 (E-F), or Atg7 (G-H). Constructs were expressed under ADH1 promoter in wild-type cells. (C, E, G) Representative immunoblots. (D, F, H) Levels of co-precipitated Atg proteins. Mean ± standard deviation, n = 3 independent repeats. Normalized against sample containing wild-type proteins. Mutants in red displayed abnormal interaction. (I-K) Status of Atg8 lipidation evaluated by immunoblotting. (I) Representative immunoblots. (J, K) Amounts of Atg8-PE, and ratios of Atg8-PE/Atg8. Mean ± standard deviation, n = 3 independent repeats. (L-M) Interaction of Atg1 variants with Atg8 (L), Atg13, Atg17, or Atg11 (M) by conventional yeast two-hybrid assay. (N-S) Co-immunoprecipitation assay evaluating the interaction between Atg1 variants and Atg4 (N-O), Atg13 (P-Q), or Atg17 (R-S). Presented as in (C-H).
Extended Data Fig. 3 The retrograde traffic of Atg9 vesicles does not depend on Vam3.
(A-C) Steady state distribution of Atg9. (A) Representative snapshots (max intensity projection for fluorescent channel) of cells expressing Atg9-2GFP after 1 h of starvation. (B) Fractions of cells containing bright Atg9-2GFP puncta. Mean ± standard deviation, n = 3 independent repeats (C) Fluorescent intensities of bright Atg9-2GFP puncta. a. u., arbitrary units. Sina plot data summed from 3 independent repeats, with mean ± standard deviation marked. Note that data on wild type and atg8L55A cells are the same as in Fig. 4U and X-Y. (D-E) Rate of retrograde Atg9 trafficking. (E) Representative snapshots at different time points (presented as in A). (F) Fractions of cells containing bright Atg9-2GFP puncta at different time points (presented as in B). Scale bar, 5 um.
Extended Data Fig. 4 Atg8-Atg1 interaction has mild impacts on PAS scaffold proteins.
(A-C) Subcellular distribution of PAS scaffold proteins examined by fluorescent microscopy. Cells were starved for 1 h. (A) Representative snapshots (max intensity projection for fluorescent channel). (B) Numbers of puncta per cell. Mean ± standard deviation, n = 3 independent repeats. (C) Brightness of individual puncta. a. u., arbitrary units. Sina plot data summed from 3 independent repeats, with mean ± standard deviation marked. (D-E) Vsp34-Vac8 interaction does not depend on Atg8-Atg1 interaction. The interaction between Vps34 and Vac8 was evaluated by co-immunoprecipitation. Vac8 and Vps34 constructs were expressed under their own promoters. Cells were nitrogen starved for 1 h. (D) Representative immunoblots. (E) Levels of co-precipitated Vac8. Normalized against sample containing wild-type proteins. (F-G) Reduced recruitment of Atg13 was secondary to a decline of PtdIns-3-K activity. Status of Atg13-2GFP in vps34K759D cells was evaluated as in (A-B). Scale bar, 5 um.
Extended Data Fig. 5 Only Atg1, but not the PAS scaffold proteins, are transported to the vacuole for degradation.
(A-B) Subcellular distribution of 2xGFP tagged Atg1, Atg13, Atg17, Atg29, and Atg31 at 1 h (S1) and 4 h (S4) after starvation, in wild type (A) or pep4Δ (B) background cells. Only Atg1-2GFP showed prominent translocation into vacuoles at 4 h. Representative image slices are shown. Scale bar, 5 um. (C) The processing of GFP tagged proteins examined by immuno-blotting. Only Atg1-GFP showed prominent processing into free GFP at 4 h.
Extended Data Fig. 6 Phosphorylation status of Atg1 substrates in Atg8-Atg1 interaction mutant cells.
(A-D) Auto-phosphorylation of Atg1 occurred independent of Atg8-Atg1 interaction. Cells were starved for 1 h. Band shifts in immunoblots were used to indicate the status of Atg1 auto-phosphorylation. Autophosphorylation was reduced in atg13Δ, atg1T226A, and atg1K54A M102A (KM) cells, but normal in atg1V432F, atg8L55A, and atg8Δ cells. (A, C) Representative immunoblots. (B, D) Ratios of phosphorylated Atg1 over total Atg1. Mean ± standard deviation, n = 3 independent repeats. (E) Several known Atg1 substrates did not display substantial Atg1-dependent phosphorylation under our experimental condition. Phosphorylation status of Atg1 substrate proteins was examined by phos-tag gel. Cells were nitrogen-starved for 2 h. Representative immunoblots from phos-tag gel (top row) and regular gel (bottom row) are shown. Proteins in bold font displayed band-shifts independent of Atg1 activity. (F-G) Phosphorylation of Ykt6 was reduced in both atg1V432F and atg8L55A mutant cells. (F) Representative immunoblots presented as in (E). Positions of phosphorylated bands to be quantified were marked by bars or arrows. (G) Quantified ratios of phosphorylated proteins over total proteins (for Atg13, Atg29, Atg38, and Atg2) or relative amount of phosphorylated proteins (for Ykt6, normalized against wild-type sample). Mean ± standard deviation, n = 3 independent repeats.
Extended Data Fig. 7 Autophagy is enhanced via targeting of Atg1 kinase domain to Atg8, but not to others.
(A) Fusion of 3xAIM motif to the kinase domain of Atg1 was sufficient for interaction with Atg8. Proteins interactions evaluated by conventional yeast two-hybrid assay. (B) Increased autophagic flux was also observed with construct containing 4xMyc tag. (C) Fusion of Atg1 kinase domain to PAS scaffold proteins did not enhance autophagy. (D) Fusion of Atg1 kinase domain to other proteins functioning in autophagy did not enhance autophagy. (B-D) Autophagic flux examined by the pho8Δ60 assay. Mean ± standard deviation, n = 3 independent repeats.
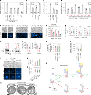
Extended Data Fig. 8 Impact of KD-Atg8 on various branches of autophagy machinery.
(A-D) Subcellular distribution of 2GFP tagged proteins examined by fluorescent microscopy (A) Representative image snapshots (max intensity projection for fluorescent channel). Scale bar, 5 um. (B) Numbers of Atg protein puncta per cell. Mean ± standard deviation, n = 3 independent repeats. (C) Brightness of Atg protein puncta. In the case of Atg9, only the bright puncta in cells displaying concentrated Atg9 were measured. Sina plot data summed from 3 independent repeats, with mean ± standard deviation marked. (D) Fractions of cells containing bright Atg9 puncta. Mean ± standard deviation, n = 3 independent repeats. (E) Phosphorylation of Atg1 substrate proteins evaluated by phos-tag gel. Cells were nitrogen-starved for 2 h. Representative immunoblots from phos-tag gel (top row) and regular gel (bottom row).
Supplementary information
Supplementary Information
Supplementary Note 1: Additional information on cell lines used in this study. Supplementary Fig. 1: Additional data.
Supplementary Tables 1–5
Supplementary Table 1: Plasmids. Supplementary Table 2: Strains. Supplementary Table 3: Primers. Supplementary Table 4: Antibodies. Supplementary Table 5: Reagents.
Source data
Source Data Figs. 1–8 and Extended Data Figs. 1–4 and 6–8
Statistical source data.
Source Data Figs. 1–4 and 6–8 and Extended Data Figs. 2, 4–6 and 8
Unprocessed western blots.
Rights and permissions
Springer Nature or its licensor (e.g. a society or other partner) holds exclusive rights to this article under a publishing agreement with the author(s) or other rightsholder(s); author self-archiving of the accepted manuscript version of this article is solely governed by the terms of such publishing agreement and applicable law.
About this article
Cite this article
Song, JZ., Li, H., Yang, H. et al. Recruitment of Atg1 to the phagophore by Atg8 orchestrates autophagy machineries. Nat Struct Mol Biol 32, 1606–1621 (2025). https://doi.org/10.1038/s41594-025-01546-0
Received:
Accepted:
Published:
Version of record:
Issue date:
DOI: https://doi.org/10.1038/s41594-025-01546-0


