Abstract
The novel anti-VEGF drug conbercept has been used in the treatment of several retinal neovascular diseases. Owning to the alteration of the structure, the newest drug is capable of combining more molecular targets and present higher affinity to the angiogenesis promoting factors. However, it is unknown whether it will cause any unwanted effects like other anti-VEGF agents. We studied the short-term safety of high concentration and high frequency intravitreal injection of conbercept in rabbits. Intraocular pressure, fundus-photography, ERGs were applied. Retinal morphology, the amount of apoptotic cells and protein levels of IL-6, IL-8 and TNF-α in the aqueous humor were determined. Retinal proteomics was detected using tandem mass tags (TMTs) quantitative mass spectrometry. The difference of IOP, ERGs, protein levels of inflammatory factors among rabbits received conbercept and PBS was not significant (P > 0.05). Fundus photographs and retinal morphology of animals in the conbercept-injected groups mimic those observed in the PBS-injected groups. No TUNEL-positive cell was seen in the retinal ganglion cell layer in the conbercept-injected groups. Proteomics did not show significant changes of inflammation or apoptosis associated proteins in the conbercept-injected eyes. We conclude that intravitreal injection of high concentration and high frequency conbercept is well tolerated at least in a short-term in rabbits.
Similar content being viewed by others
Introduction
In the past decade, intravitreal injections of anti-vascular endothelial growth factor (VEGF) agents have been successfully used in the treatment of several retinal neovascular diseases which were incurable not long ago. Ranibizumab and bevacizumab were the two most extensively used anti-VEGF drugs. Recently, aflibercept and conbercept, two new anti-VEGF agents have been developed. Owning to the alteration of the drug structure, the novel anti-VEGF drugs are capable of combining more molecular targets and present higher affinity to the angiogenesis promoting factors1, 2. Clinically, the new drugs make it possible to prolong the interval between multiple injections3, are effective in some patients non-responsive to ranibizumab and bevacizumab3, 4, and even work in some severe patients with increased dosage. With a similar structure and effect to aflibercept, the newest anti-VEGF drug conbercept is a recombinant fusion protein composed of the second Ig domain of VEGFR1 and the third and fourth Ig domain of VEGFR2 to the constant region (Fc) of human IgG1. It is designed as a receptor decoy with high affinity for all VEGF isoforms and PlGF1, 5, 6.
Although clinical trials have proved anti-VEGF drugs exhibit satisfactory safety in many neovascular retinal diseases, patients undergo intravitreal injections still suffer from some unwanted adverse events, even if the occurrence is low. Moreover, long-term repeated injections increase the risk of the small-probability ocular side effects7, 8. In addition to the adverse events that caused directly by the injection procedure, some side effects may be associated with the drugs themselves. These drug-related side effects include endophthalmitis9, increase of intraocular pressure7, retinal toxicity, and decrease of retinal function7, 10. It has been reported that bevacizumab may lead to an increase of intraocular and systemic concentrations of IL-6 and IL-8 in patients11, 12 and a loss of retinal ganglion cells (RGCs) in rats13. Significant reduction of electroretinogram (ERG) a-wave and b-wave amplitudes in isolated bovine retinas after application of aflibercept has been reported, suggesting the drug might also affect retinal function14.
The improved anti-VEGF effect of aflibercept and conbercept may be attributed to expandation of their targets and increase of affinity. In addition to blocking VEGF-A receptor as ranibizumab and bevacizumab do, both aflibercept and conbercept combine VEGFB and placental growth factor (PlGF), which promote neovascularization and permeability of the blood vessel. However, VEGF-B and PlGF are involved in normal physiological functions15, 16. There are increasing concerns with regard to whether blocking these targets may cause any unwanted side effects. In addition, PlGF exerts a protective effect on retinal neuronal cells16 but it is still unknown whether it is an indispensable protective factor in the retina. Thus, one can never overemphasize the importance of the safety issue of the new agents, especially the safety concerns may be exaggerated in a diseased retina17.
We studied whether high dosage and high frequency intraocular application of conbercept would cause unwanted ocular adverse effects. The affinity, pharmacokinetic and systemic tolerability of intravitreal injection of conbercept in rabbit has been studied18. By using the same model, we evaluated the safety of intraocular administration of conbercept via morphological, functional and biological assessments. We also studied the retinal proteomics in the conbercept treated eyes.
Results
Intraocular pressure
The averaged IOPs (Fig. 1) after a single injection of PBS, or 0.2, 0.5, 2.0 mg of conbercept were 14.4 ± 1.3, 14.7 ± 2.2, 14.2 ± 1.9 and 15.1 ± 1.4 mmHg at day 4; 15.7 ± 1.8, 16.2 ± 2.4, 15,2 ± 1.3 and 15.8 ± 2.3 mmHg at day 7; 16.0 ± 2.0, 15.6 ± 1.8, 16.2 ± 1.9 and 16.9 ± 2.2 mmHg at day 14. The IOPs of the six-injection F and G groups were 15.3 ± 2.4 and 15.9 ± 1.9 mmHg on the 7th day after the final weekly-injection. There was no significant difference (p > 0.05, n = 6) in IOP after the single injection of 0.2, 0.5, 2.0 mg and the six weekly injections of 0.2 mg conbercept compared to the PBS groups.
The intraocular pressure (IOP) in rabbits after a single injection of 50 μL PBS, 0.2, 0.5 or 2.0 mg of conbercept and 6 multiple injections of 50 μL of PBS or 0.2 mg of conbercept. There was no significance in IOP among the conbercept-injected groups and the PBS-injected groups (p > 0.05). The results are mean ± SD (n = 6).
Fundus examination
After a single intravitreal injection of different doses of conbercept, no signs of abnormalities or inflammation was seen in the fundus (Fig. 2d–l) when compared to the PBS-injected groups (Fig. 2a,b and c). The vitreous was clear and the vascular pattern appeared normal. No vascular narrowing, dilatation or tortuosity, retinal detachment, hemorrhage or optic nerve head changes were seen. Similar results were found in the six-weekly conbercept-injected group (Fig. 2m) and the PBS-injected group (Fig. 2n).
Fundus photographs taken on the 4th, 7th, 14th day after a single injection of 50 μL PBS (a–c) or 0.2, 0.5, or 2.0 mg of conbercept (d–l) and on the 7th day after the 6th multiple injections of 50 μL PBS (m) or 0.2 mg of conbercept (n). The results observed in the conbercept-injected groups mimic those in the PBS-injected groups.
ERG
The representative ERG responses (Fig. 3A) of the conbercept- and PBS-injected rabbits and the amplitude-intensity profiles (Fig. 3B) were exhibited. The ERG waveforms and the amplitudes of the averaged a- and b-wave recorded under various stimuli in the conbercept-injected groups mimicked those in the PBS-injected groups. There was no significant differences (p > 0.05, n = 5) between all the pairs in any of the recordings. The ERG showed no evidence of retinal functional damage after application of conbercept.
Dark- and light-adapted ERGs (A) and the amplitude vs. intensity profiles (B) obtained on the 4th, 7th, 14th day after application of single intravitreal injections of 50 μL PBS or 0.2, 0.5, 2.0 mg of conbercept and on the 7th day after the 6th multiple injections of 50 μL PBS or 0.2 mg of conbercept. The amplitudes of a- and b-waves were not significantly different (p > 0.05). The results were mean ± SEM (n = 5).
Histology
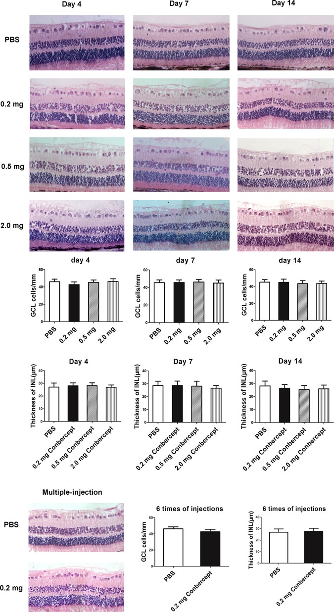
No apparent structural changes or sign of toxicity were observed in the conbercept-injected groups and the appearance of the retina were similar to the PBS control groups (Fig. 4). No sign of retinal degeneration, disorganization, thinning, cell loss, or hypocellularity was observed in these groups. The difference in the number of cells in the GCL in all the groups was not significant (p > 0.05, n = 3). There was no significant difference in the thickness of the inner nuclear layer (INL) among all the groups (p > 0.05, n = 3).
Retinal histology on the 4th, 7th, 14th day after a single injection of 50 μL PBS or 0.2, 0.5, 2.0 mg of conbercept and on the 7th day after the 6th multiple injections of 50 μL PBS or 0.2 mg of conbercept. There was significant difference in the cell number in the ganglion ccell layer (GCL) and the thickness of inner nuclear layer (INL) (p > 0.05). The results were mean ± SEM (n = 3). Scale bar: 50 μm.
TUNEL
TUNEL-positive cells were not seen in the GCL of any animals injected with different doses and frequencies of conbercept and PBS (Fig. 5). No significant difference in apoptotic cell was observed among the conbercept injected and the PBS-injected groups. In the NMDA-injected group which was the positive control, positive cells were seen in the GCL.
Detection of apoptotic cells in the ganglion cell layer (GCL) by TUNEL staining. Samples were collected on the 4th, 7th, 14th days after a single injections of 50 μL PBS or 0.2, 0.5, 2.0 mg of conbercept and on the 7th day after the 6th multiple injections of 50 μL PBS or 0.2 mg of conbercept. No positive cells were observed in the GCL in the conbercept- and PBS-injected groups. TUNEL-positive cells were seen in the GCL and INL in the NMDA-injected eyes on the 7th day after injection. Scale bar: 50 μm.
ELISA
Aqueous humor was collected at day 4, 7, 14 after a single intravitreal injection of different doses of conbercept or 50 μL of PBS and at day 7 after the 6th weekly-injection of 50 μL PBS or 0.2 mg conbercept. The differences of the IL-6, IL-8 and TNF-α protein expression among the conbercept groups and the PBS groups was not significant (p > 0.05, n = 4) (Fig. 6). The concentrations of the cytokines in the LPS-injected group which served as a positive control were higher than those of the other groups (p < 0.001, n = 3~4).
Protein levels of IL-6, IL-8 and TNF-α in the aqueous humor. Samples were collected on the 4th, 7th, 14th day after single injection of 50 μL PBS or 0.2 mg, 0.5 mg, 2.0 mg of conbercept and on the 7th day after the 6th multiple injections of 50 μL PBS or 0.2 mg of conbercept as measured by ELISA. Positive control was collected 24 hours after injection of 100 μg of LPS. No statistically significant difference was found among the conbercept-injected groups and the PBS-injected groups. The protein levels of the three inflammation cytokines in the LPS-injected groups were significantly higher than all the other groups (p < 0.001). The results are mean ± SEM (n = 3~4). #Undetectable.
Proteomics analysis
Using the TMT quantitative mass spectrometry, a total of 6042 proteins were quantified from the rabbit retina on the 4th, 7th and the 14th day after intravitreal injection of 0.5 or 2.0 mg conbercept. Compared with the untreated control eyes, 250 proteins presented changes greater than 2 folds at either dosages or time point in the conbercept-injected eyes. Among them as shown in Tables 1, 2 and 3, 50 proteins were up-regulated, 57 were down-regulated and the rest 143 proteins showed inconsistent changes at different times or dosages.
While most of the protein presented a fold change less than 3 folds, VEGF receptor 1 (VEGFR1) was the only protein that showed more than a 10-fold increase. In the 0.5 mg-injected group, the protein level of VEGFR1 was 3.85 times, 3.32 times and 2.57 times higher than the untreated group at the 4th, 7th and 14th day respectively. In the 2.0 mg-injected group it was 18.35 times, 3.46 times and 6.73 times higher. The complement C3 alpha chain isoform X1 partial 1 and fibrinogen alpha chain were the second highest increased proteins. It reached a 5-fold increase at day 7 in the 0.2 mg injected rabbits. The most decreased protein was cyclic GMP-AMP synthase, which decreased to 0.11 fold at day 14 in the 0.5 mg group.
We especially examined the changes of growth factors and proteins associated with inflammation and apoptosis. Neither of those proteins presented a fold change greater than 2. VEGF-B, PlGF and interleukins including interleukin-1 and interleukin-17 were not identified.
To better understand the functions of the differentially expressed proteins, we performed KEGG pathway analysis. The top 20 significant enriched pathway terms are shown in Fig. 7.
Discussion
We investigated the safety of intraocular injection of high concentration and high frequency of a novel anti-VEGF agent conbercept in rabbit. No drug-related side effects were detected with IOP, fundus, retinal morphology and function assessments. No apoptotic cells were found in the retinal GCL in the conbercept injected eyes. We did not observe alternations of the major pro-inflammatory cytokines. Considering the high concentration and high frequency intravitreal injection did not cause unwanted side effects, we concluded that conbercept is well tolerated in rabbit in a short term observation.
Most of the transient elevation of IOP after intravitreal injection is believed to be caused by a sudden increase of vitreous volume and can recover within a few minutes to a few hours19. However, it was reported that a limited number of AMD patients developed sustained elevation of IOP after single or repeated intravitreal injection of anti-VEGF drugs, which lasted from several weeks to even 1 or 2 years20. The increase of IOP at long-term might be attributed to the drug itself. Nevertheless, we did not observed elevation of IOP among all the groups in our study.
Although overproduction of VEGF is deleterious, adequate concentrations of VEGF may be important for the eye to maintain normal functions including vascular development and neurons survival21,22,23,24. PlGF, a member of the VEGF family, also exerts a role in the protection of neuron in the retina16. It was showed that potent inhibitors of all VEGF-A isoforms significantly diminished the protective effects of ischemic preconditioning on neurons. In addition, VEGF-A120 plays a supporting role in the survival of normal RGCs22. It was also reported that multiple injections of high doses of up to 5.0 mg bevacizumab in rabbits would induce photoreceptors apoptosis at 1 week after injections25. In a murine model, systemic administration of a viral vector expressing soluble VEGF receptor-1 led to a significant decline in ERG responses26. Since conbercept is a multi-target VEGF blocker and binds all isoforms of VEGF-A, VEGF-B, and PlGF with high affinity, it arouses a concern whether it will lead to unwanted retinal neuron death and dysfunction. The number of GCL cells and the thickness of INL were not changed and no TUNEL-positive cells were seen in the RGC layer of the conbercept-injected groups. Functionally, the ERG waveforms were normal and the amplitudes of the a- and b-waves were similar to the PBS injected control group. We did not observed retinal and choroidal structural abnormalities under light microscope. Thus, our data are in agreement with other studies27 that inhibition of VEGF or prolonged blockade of ocular VEGF receptors with conbercept would not cause morphological and functional damage to the retina.
Despite rarely happens, intraocular inflammation is a serious concern after intravitreal anti-VEGF treatment. We detected the protein expressions of IL-6, IL-8 and TNF-α in the aqueous humor of conbercept injected eyes. The levels of these inflammatory cytokines are similar to those in the PBS injected groups. Even though it is reasonable that the human fusion protein might cause inflammatory responses in rabbits, however, we did not observe such phenomenon.
We used 10-plex TMT-labeled proteomic quantification to analysis the variation of proteins in the retina of conbercept injected eyes. This technique has been demonstrated to be a powerful method to reach very large coverage of the proteome and to discover differentially expressed proteins (DEPs). Although the proteomic was based on a database of rabbit protein, it could help us to understand the protein alternation after intraocular administration of conbercept. To the best of our knowledge, this is the first study to explore DEPs in the retina after intraocular administration of an anti-VEGF drug.
Among 6042 proteins quantified, we identified 250 proteins (~4%) altered by more than 2.0-fold or less than 0.5-fold with greater than 95.0% probability at least at one time point or dosage in the eyes applied with 0.5 or 2.0 mg conbercept at day 4, 7 or 14. The only protein that reached more than 10-fold increases was VEGFR1. It was not surprise since conbercept is a recombinant fusion protein contains several ligand binding domains including VEGFR 1. Increase of VEGFR1 should be a consequence of increase of exogenous conbercept. On the other hand, the data proved the efficacy of the assay.
Proteomic analysis did not show significant changes of cell death or inflammation associated proteins in the conbercept-injected eyes. No increase of cytokine, chemokine or neuroinflammation related proteins was observed. Compared with the untreated group, conbercept did not cause substantial changes of the expressions of growth factors. Although the complement C3 alpha chain isoform X1 partial 1 was detected, no any other related proteins were found. In the complement and coagulation cascades pathway, the levels of three fibrinogens were higher than the control but these proteins are also related with platelet activation. Thus, alternation of the complement C3 alpha chain isoform X1 partial 1 maybe associated with platelet activation, rather than inflammation. Platelet activation was detected as the most enriched pathway after conbercept injection. Fibrinogen alpha chain, fibrinogen beta chain and fibrinogen gamma chain isoform X2 increased at day 7 after injection. It has been shown that application of ranibizumab and bevacizumab may contribute to a risk of systemic thromboembolic events in elderly patients28. Up-regulation of three fibrinogens after conbercept injection might raise a concern whether the proteins could be a potential risk factor. Research revealing the fibrinogen concentration in circulation would be helpful.
Mitochondrial adenosine triphosphate synthase (ATPase inhibitor) was up-regulated at all three time points. Bevacizumab was reported to show mild mitochondrial toxicity at clinically doses29. Five mitochondrial proteins were altered significantly with four up-regulated involved in steroid biosynthesis, lipoic acid metabolism, pyrimidine metabolism, glycerophospholipid metabolism and one down-regulated in amino acid metabolism.
In the protein processing in endoplasmic reticulum, alpha-crystallin A chain was approximately 2-fold at day 4 and 1.5-fold increased at day 7 and 14 after injected with both dosages of conbercept. Alpha-crystalline is a member of heat shock protein family and acts as chaperones which is acknowledged to be a neuroprotective substance30.
The Graves disease carrier protein (GDC) was down-regulated after conbercept injection at all three time points and decreased more than 5 folds in the 2.0 mg group at day 7. GDC is recognized in patients with active Graves disease (GD).
In the riboflavin (Vitamin B2) pathway, the expression of riboflavin (RF) kinase in the conbercept-injected groups decreased at all three time points. ATP:riboflavin kinase catalyzes the synthesis of cofactor flavinmononucleotide (FMN) by transforming riboflavin and ATP into FMN and ADP. RF is of physiological and nutritional importance in the maintenance of health of the retina31.
There are inevitable limitations for this study. First, we injected recombinant human fusion protein into the rabbit eyes. The data was obtained form a rabbit database and the protein information could not be completely used to predict the outcome in human. Second, the cutoff we set for protein changes is 2 folds. Thus we can’t exclude the possibility that a protein presents a fold change less than the threshold will not exert functional changes. However, since such investigation can’t be duplicated in human subjects, the first retinal proteomic study in anti-VEGF injected eye still provide important information with regard to the molecular changes in the retina. Based on these data, it is practical to confirm whether the proteins are actually altered and to explore their significances. In addition, it is also possible to decide whether supplement treatments are necessary. For example, if it is confirmed that riboflavin kinase activity is lower in anti-VEGF injected eyes and consequently causes unwanted effect, it might be necessary to supply the patients with flavinmononucleotide.
We concluded that intravitreal injection of high concentration and high frequency of conbercept is well tolerated at least in a short-term in rabbit. Our study offers a comprehensive and intuitionistic overlook on the alteration of protein expression in the retina injected with conbercept. The data provided important information for the future clinical study and for designing therapeutic protocols.
Methods
Animals
All experiments were conducted in accordance with the ARVO Statement for the Use of Animals in Ophthalmic and Vision Research and were approved by the Ethics Committee of The First Affiliated Hospital of Chongqing Medical University, Chongqing, China. The animals were fed with standard laboratory food and water in an air-conditioned room with a 12-hour light-dark cycle.
One hundred and eleven pigmented Chinchila rabbits, weighing 2 to 3 kg, were used. Only the right eye of each animal was injected and the left eye was untreated. Rabbits were randomized into nine groups. Group A (n = 3) did not receive any injection and was labeled as the blank. Group B (n = 27) received intravitreal injection of 50 μL of PBS and was labeled as control group. Groups C (n = 18), and D, E (n = 27 each) received intravitreal doses of 0.2, 0.5 and 2.0 mg/eye of conbercept on Day 0 respectively. Groups F and G (n = 6 each) received six weekly injections of 0.2 mg/eye of conbercept respectively. Groups H and I (n = 3 each) received 400 nmoles N-Methyl- D-Asparate (NMDA) and 100 μg lipopolysaccharide (LPS) respectively and were labeled as the positive control groups for TUNEL and ELISA essays.
The vitreous volume of a rabbit is approximately 1.5 mL and that of a human is about 5 mL. As the dose of 0.5 mg or less conbercept is frequently used in humans, the doses of 0.2, 0.5 and 2.0 mg for conbercept in rabbits are about 1.3, 3.3, and 13.3 times of that in human.
Intravitreal injection
Intravitreal injection was performed in sterile conditions. Rabbits were anesthetized with injection of 3% phenobarbital sodium solution (30 mg/Kg) through the ear vein. After corneal surface anesthesia with oxybuprocaine hydrochloride eye drop (Santen Pharmaceutical Co., Ltd, Osaka, Japan), a 27-gauge needle attached to a 1 mL syringe was introduced into the vitreous cavity 3.5 mm posterior to the superotemporal limbus. The needle tip was directed towards the center of the vitreous under direct visualization. The conbercept solutions or PBS (50 μL) was slowly administered into the vitreous. To prevent reflux, the needle was held in place for 30 seconds before withdrawal. At the end of the procedure, lincomycin hydrochloride eye drops were applied.
Intraocular pressure
At day 4, 7, 14 after the single intravitreal injection of conbercept (0.2 mg, 0.5 mg and 2.0 mg) or PBS, and at day 7 after the 6th weekly-injection of conbercept (0.2 mg) or PBS, IOP was measured using a Schiotz tonometer (66 Vision Tech., Suzhou, China). Rabbits were anaesthetized with intraperitoneal injection of 1 mL/kg pentobarbital sodium. An average of five consecutive readings by the same observer was applied for analysis.
Fundus Photography
The pupils were dilated with tropicamide eye drops (Shenyang Xingqi Pharmaceutical Co. Ltd, Shenyang, China) 30 minutes prior to imaging. The fundus photography of the rabbit eye was performed using a digital fundus camera system under anesthesia.
Electroretinogram
Electroretinogram (RetiMINER System, AiErXi Medical Equipment Co., Ltd., Chongqing, China) was recorded at day 4, 7, 14 after the single intravitreal injection and at day 7 after the 6th weekly intravitreal injection. After dark adaptation, rabbits were anesthetized with pentobarbital sodium. Pupils were dilated and Burian-Allen corneal bipolar electrodes (Hansen Laboratory, Iowa City, Iowa) were applied as the corneal electrodes. The ground electrode was placed subcutaneously on the back. Dark- and light-adapted ERGs were recorded followed a previous procedure32.
Histological Evaluation
Animals were sacrificed with an injection of overdose sodium pentobarbital under deep anesthesia. Eyeballs were enucleated and half of the eyecup was fixed with 4% paraformaldehyde for 24 hours at room temperature33. Tissues were embedded in paraffin and 4-μm sections were cut through the optic disc and stained with hematoxylin and eosin (HE). The images of each section were acquired. The number of cells in the GCL was counted in a region of 800 to 1500 μm from the center of the optic nerve head on both sides. The thickness of inner nuclear layer (INL) was measured in three areas at a distance of 500 to 1000 μm from the edge of optic disc. Four sections of each eye were measured, and data were averaged for each eye. All measurements and analysis were performed in a masked manner.
TUNEL
The terminal dUTP-mediated nick-end labeling (TUNEL) was performed to detect the apoptosis cells in the retina33. Sections were mounted with fluorescein-FRAGEL media. Staining was performed according to the manufacturer’s protocol (Roche Diagnostics, Mannheim, Germany). Samples were permeabilized in 100 μL of 20 μg/mL proteinase K for 20 minutes, equilibrated with 100 μL of 1% TDT buffer for 30 minutes at room temperature and labeled with 60 μL TDT labeling reaction mixture for 1 hour at 37 °C. Sections were photographed and the TUNEL-positive cells were counted between 1000 to 1500 μm from the center of the optic disc on both sides in the GCL and INL.
ELISA
The concentrations of IL-6 (RayBiotech, Norcross, GA), IL-8 (R&D Systems, Minneapolis, Minnesota, CA) and TNF-α (RayBiotech) in 100 μL aqueous humor were determined according to the manufacturers’ protocols33. The absorbance at 450 nm wavelength was measured using a multifunction microplate reader (Molecular Devices).
Protein Extraction
Retinas were isolated from the eyeball and frozen in liquid nitrogen and lysed using protein extraction buffer (8 M urea, 0.1% SDS) containing protease inhibitor cocktail (Roche, Indianapolis, IN, USA) on ice for 30 min and then centrifuged at 16,000 × g for 15 minutes at 4 °C. The supernatant was collected and protein concentration was determined by BCA assay kits (Pierce, Rockford, IL, USA).
TMT labeling and fractionation of labeled peptide
Tandem mass tag (TMT) labeling was performed according to the manufacturer’s instructions (Pierce). Proteins were precipitated by pre-chilled (−20 °C) acetone. After resuspension, proteins were digested overnight at 37 °C by using 2.5 μg of trypsin. One tube of TMT10 Label Reagent was added to each 100 μg sample and the reaction was carried out at room temperature for 1 hour. After labeling, ten tissue samples were combined for one measurement. For fractionation of the labeled peptides, samples were first lyophilized and reconstituted. A total of 40 fractions were collected which were concatenated to 20 fractions, vacuum dried and stored at −80 °C until further analysis.
LC-MS/MS Analysis
The LC-MS/MS analysis was carried out by Capitalbio Technology with a Q Exactive Mass Spectrometer (Thermo Scientific, San Jose, CA). Mass spectrometry analysis was performed in a data dependent manner with full scans (300–1,800 m/z) acquired using an Orbitrap mass analyzer at a mass resolution of 70,000 at 400 m/z in Q Exactive. Twenty most intense precursor ions from a survey scan were selected for MS/MS from each duty cycle and detected at a mass resolution of 35,000 at m/z of 400 in Orbitrap analyzer. All the tandem mass spectra were produced by higher-energy collision dissociation (HCD) method. Dynamic exclusion was set for 20 seconds.
Data analysis
Proteome Discoverer software (Ver. 1.4, Thermo Scientific) was used to perform database searching against the Oryctolagus cuniculus database (46551 proteins) using the Sequest algorithms. Following settings were applied: precursor mass tolerance of 15 ppm, fragment mass tolerance of 20 mmu. Only high confident peptides with a global FDR < 1% based on a target-decoy approach were included in the results. In the TMT quantitation workflow the most confident centroid method was used with an integration window of 20 ppm. For protein quantitation, only unique peptides were used to quantify proteins.
Enriched pathways were analyzed in a command-line program KOBAS 2.0. We used the whole genome as the default background distribution to identify the significantly enriched pathways statistically in a set of sequences. For each pathway that occurs in the set of genes, we counted the total number of genes in the set that were involved in the pathway. We then calculated the p value using a hypergeometric distribution. If a whole genome has N total genes, among which M are involved in the pathway under investigation, and the set of genes has n total genes, among which m are involved in the same pathway, the p value for the pathway is calculated as follows:
Because a large number of KEGG pathways are considered, multiple hypotheses tests are performed. To reduce the Type-1 errors (i.e. false positive discoveries), we performed an FDR correction with a default cutoff of 0.0534.
Statistical Analysis
The IOP results were presented as mean ± SD and the other data were mean ± SEM. Statistical analysis was performed using the GraphPad Prism (GraphPad Prism 5, Inc., San Diego, CA, USA). The results were analyzed by one-way ANOVA followed by Bonferroni correction for multiple comparisons. p less than 0.05 was considered statistically significant.
References
Wang, Q., Li, T. & Wu, Z. et al. Novel VEGF decoy receptor fusion protein conbercept targeting multiple VEGF isoforms provide remarkable anti-angiogenesis effect in vivo. PloS one 8, e70544 (2013).
Xu, D. & Kaiser, P. K. Intravitreal aflibercept for neovascular age-related macular degeneration. Immunotherapy 5, 121–130 (2013).
Ohr, M. & Kaiser, P. K. Intravitreal aflibercept injection for neovascular (wet) age-related macular degeneration. Expert opinion on pharmacotherapy 13, 585–591 (2012).
Li, X., Xu, G. & Wang, Y. et al. Safety and efficacy of conbercept in neovascular age-related macular degeneration: results from a 12-month randomized phase 2 study: AURORA study. Ophthalmology 121, 1740–1747 (2014).
Wang, F., Bai, Y. & Yu, W. et al. Anti-angiogenic effect of KH902 on retinal neovascularization. Graefe’s archive for clinical and experimental ophthalmology=Albrecht von Graefes Archiv fur klinische und experimentelle Ophthalmologie 251, 2131–2139 (2013).
Wu, Z., Zhou, P. & Li, X. et al. Structural characterization of a recombinant fusion protein by instrumental analysis and molecular modeling. PloS one 8, e57642 (2013).
Falavarjani, K. G. & Nguyen, Q. D. Adverse events and complications associated with intravitreal injection of anti-VEGF agents: a review of literature. Eye (London, England) 27, 787–794 (2013).
van der Reis, M. I., La Heij, E. C., De Jong-Hesse, Y., Ringens, P. J., Hendrikse, F. & Schouten, J. S. A systematic review of the adverse events of intravitreal anti-vascular endothelial growth factor injections. Retina (Philadelphia, Pa) 31, 1449–1469 (2011).
Kelly, S. P. & Barua, A. A review of safety incidents in England and Wales for vascular endothelial growth factor inhibitor medications. Eye (London, England) 25, 710–716 (2011).
Avci, B., Avci, R., Inan, U. U. & Kaderli, B. Comparative evaluation of apoptotic activity in photoreceptor cells after intravitreal injection of bevacizumab and pegaptanib sodium in rabbits. Investigative ophthalmology & visual science 50, 3438–3446 (2009).
Jeon, S. & Lee, W. K. Intravitreal bevacizumab increases intraocular interleukin-6 levels at 1 day after injection in patients with proliferative diabetic retinopathy. Cytokine 60, 535–539 (2010).
Forooghian, F., Kertes, P. J., Eng, K. T., Agron, E. & Chew, E. Y. Alterations in the intraocular cytokine milieu after intravitreal bevacizumab. Investigative ophthalmology & visual science 1, 2388–2392 (2012).
Romano, M. R., Biagioni, F. & Besozzi, G. et al. Effects of bevacizumab on neuronal viability of retinal ganglion cells in rats. Brain research 1478, 55–63 (2012).
Januschowski, K., Schnichels, S. & Hagemann, U. et al. Electrophysiological toxicity testing of VEGF Trap-Eye in an isolated perfused vertebrate retina organ culture model. Acta ophthalmologica 92, e305–311 (2014).
Shan, L., Yong, H. & Song, Q. et al. Vascular endothelial growth factor B prevents the shift in the ocular dominance distribution of visual cortical neurons in monocularly deprived rats. Experimental eye research 109, 17–21 (2013).
Inoue, Y., Shimazawa, M. & Nakamura, S. et al. Protective effects of placental growth factor on retinal neuronal cell damage. Journal of neuroscience research 92, 329–337 (2014).
Hombrebueno, J. R., Ali, I. H., Xu, H. & Chen, M. Sustained intraocular VEGF neutralization results in retinal neurodegeneration in the Ins2(Akita) diabetic mouse. Scientific reports 5, 18316 (2015).
Li, H., Lei, N., Zhang, M., Li, Y., Xiao, H. & Hao, X. Pharmacokinetics of a long-lasting anti-VEGF fusion protein in rabbit. Experimental eye research 97, 154–159 (2012).
Hollands, H., Wong, J., Bruen, R., Campbell, R. J., Sharma, S. & Gale, J. Short-term intraocular pressure changes after intravitreal injection of bevacizumab. Canadian journal of ophthalmology 42, 807–811 (2007).
Menke, M. N., Salam, A., Framme, C. & Wolf, S. Long-term intraocular pressure changes in patients with neovascular age-related macular degeneration treated with ranibizumab. Ophthalmologica Journal international d’ophtalmologie International journal of ophthalmology 229, 168–172 (2013).
Lee, S., Chen, T. T. & Barber, C. L. et al. Autocrine VEGF signaling is required for vascular homeostasis. Cell 130, 691–703 (2007).
Nishijima, K., Ng, Y. S. & Zhong, L. et al. Vascular endothelial growth factor-A is a survival factor for retinal neurons and a critical neuroprotectant during the adaptive response to ischemic injury. The American journal of pathology 171, 53–67 (2007).
Storkebaum, E., Lambrechts, D. & Carmeliet, P. VEGF: once regarded as a specific angiogenic factor, now implicated in neuroprotection. Bioessays 26, 943–954 (2004).
Miki, A., Miki, K. & Ueno, S. et al. Prolonged blockade of VEGF receptors does not damage retinal photoreceptors or ganglion cells. Journal of cellular physiology 224, 262–272 (2010).
Xu, W., Wang, H. & Wang, F. et al. Testing toxicity of multiple intravitreal injections of bevacizumab in rabbit eyes. Canadian journal of ophthalmology 45, 386–392 (2010).
Saint-Geniez, M., Maharaj, A. S. & Walshe, T. E. et al. Endogenous VEGF is required for visual function: evidence for a survival role on muller cells and photoreceptors. PloS one 3, e3554 (2008).
Xu, W., Wang, H. & Wang, F. et al. Testing toxicity of multiple intravitreal injections of bevacizumab in rabbit eyes. Canadian journal of ophthalmology 45, 386–392 (2010).
Schlenker, M. B., Thiruchelvam, D. & Redelmeier, D. A. Intravitreal anti-vascular endothelial growth factor treatment and the risk of thromboembolism. American journal of ophthalmology 160, 569–580 e565 (2015).
Malik, D., Tarek, M. & Caceres del Carpio, J. et al. Safety profiles of anti-VEGF drugs: bevacizumab, ranibizumab, aflibercept and ziv-aflibercept on human retinal pigment epithelium cells in culture. The British journal of ophthalmology 98(Suppl 1), i11–16 (2014).
Fischer, D., Heiduschka, P. & Thanos, S. Lens-injury-stimulated axonal regeneration throughout the optic pathway of adult rats. Experimental neurology 172, 257–272 (2001).
Batey, D. W., Daneshgar, K. K. & Eckhert, C. D. Flavin levels in the rat retina. Experimental eye research 54, 605–609 (1992).
Zhang, K., Yao, G., Gao, Y., Hofeldt, K. J. & Lei, B. Frequency spectrum and amplitude analysis of dark- and light-adapted oscillatory potentials in albino mouse, rat and rabbit. Documenta ophthalmologica 115, 85–93 (2007).
Zheng, S., Yang, H., Chen, Z., Zheng, C., Lei, C. & Lei, B. Activation of liver X receptor protects inner retinal damage induced by N-methyl-D-aspartate. Investigative ophthalmology & visual science 56, 1168–1180 (2015).
Klipper-Aurbach, Y., Wasserman, M. & Braunspiegel-Weintrob, N. et al. Mathematical formulae for the prediction of the residual beta cell function during the first two years of disease in children and adolescents with insulin-dependent diabetes mellitus. Medical hypotheses 45, 486–490 (1995).
Acknowledgements
This study is supported by Kanghong Biotechnology Co. Ltd, Chengdu, and in part by the National Natural Science Foundation of China grants (81271033, 81470621), Chongqing Science and Technology Commission (2014pt-sy10002) and National Key Clinical Specialties Construction Program of China. The authors alone are responsible for the content and writing of the paper.
Author information
Authors and Affiliations
Contributions
J.W., B.L., X.K. and Q.W. conceived the idea and designed the experiments. J.W., C.L., L.T. and Y.Q. performed all the experiments. J.W. and B.L. analyzed data and wrote the manuscript. B.L. reviewed and revised the manuscript.
Corresponding author
Ethics declarations
Competing Interests
The authors declare that they have no competing financial interests.
Additional information
Publisher's note: Springer Nature remains neutral with regard to jurisdictional claims in published maps and institutional affiliations.
Rights and permissions
Open Access This article is licensed under a Creative Commons Attribution 4.0 International License, which permits use, sharing, adaptation, distribution and reproduction in any medium or format, as long as you give appropriate credit to the original author(s) and the source, provide a link to the Creative Commons license, and indicate if changes were made. The images or other third party material in this article are included in the article’s Creative Commons license, unless indicated otherwise in a credit line to the material. If material is not included in the article’s Creative Commons license and your intended use is not permitted by statutory regulation or exceeds the permitted use, you will need to obtain permission directly from the copyright holder. To view a copy of this license, visit http://creativecommons.org/licenses/by/4.0/.
About this article
Cite this article
Wang, J., Lei, C., Tao, L. et al. A safety study of high concentration and high frequency intravitreal injection of conbercept in rabbits. Sci Rep 7, 592 (2017). https://doi.org/10.1038/s41598-017-00683-x
Received:
Accepted:
Published:
DOI: https://doi.org/10.1038/s41598-017-00683-x
This article is cited by
-
Recent advances in the study of Conbercept for diabetic macular edema
International Journal of Retina and Vitreous (2025)









