Abstract
Clostridium difficile is the most important enteropathogen involved in gut nosocomial post-antibiotic infections. The emergence of hypervirulent strains has contributed to increased mortality and morbidity of CDI. The C. difficile toxins contribute directly to CDI-associated lesions of the gut, but other bacterial factors are needed for the bacteria to adhere and colonize the intestinal epithelium. The C. difficile flagella, which confer motility and chemotaxis for successful intestinal colonization, could play an additional role in bacterial pathogenesis by contributing to the inflammatory response of the host and mucosal injury. Indeed, by activating the TLR5, flagella can elicit activation of the MAPK and NF-κB cascades of cell signaling, leading to the secretion of pro-inflammatory cytokines. In the current study, we demonstrate, by using an animal model of CDI, a synergic effect of flagella and toxins in eliciting an inflammatory mucosal response. In this model, the absence of flagella dramatically decreases the degree of mucosal inflammation in mice and the sole presence of toxins without flagella was not enough to elicit epithelial lesions. These results highlight the important role of C. difficile flagella in eliciting mucosal lesions as long as the toxins exert their action on the epithelium.
Similar content being viewed by others
Introduction
The Gram-positive anaerobic bacterium Clostridium difficile is responsible for intestinal nosocomial post-antibiotic infections in developed countries. The clinical features of C. difficile infection (CDI) include diarrhea, moderately serious disease, and severe pseudomembranous colitis. The major risk factors associated with CDI are antibiotic exposure, hospitalization, and advanced aged1. A dramatic increase of severe disease and mortality of CDI have been observed in North America, Europe and Australia2, 3, mainly resulting from the emergence of highly virulent and epidemic C. difficile strains3, 4.
The C. difficile toxins TcdA and TcdB are largely involved in lesions of the gut observed during CDI5, 6, but other factors such as adhesins7,8,9,10, hydrolytic enzymes11, 12, the S-layer proteins13, and cell wall proteins9, are needed for the bacteria to adhere and colonize the gut. The C. difficile flagella confer motility and chemotaxis for successful intestinal colonization following disruption of the bacterial microbiota14, 15. However, flagella could play an additional role in bacterial pathogenesis by contributing to the inflammatory response of the host and mucosal injury. Indeed, flagellin, the principal component of bacterial flagella, is recognized by the Toll-like receptor 5 (TLR5)16, one of the Pattern Recognition Receptor (PRR) involved in innate immune response, which is mostly localized at the basolateral pole of intestinal cells. The TLR5-flagellin interaction triggers activation of the MAPK and NF-κB cascades of cell signaling, leading to the secretion of pro-inflammatory cytokines17, 18.
To date, few studies have addressed this role for C. difficile flagella. Yoshino et al. showed that C. difficile flagellin induces activation of NF-κB and the p38 MAPK, thus promoting the synthesis of IL-8 and CCL20 in intestinal epithelial cells19. These authors showed that a pretreatment with toxin TcdB enhances the flagellin-induced cytokine production by cells. Recently, we reported that the interaction of C. difficile flagellin and TLR5 predominantly activates the NF-κB pathway, thus leading to up-regulation of pro-inflammatory gene expression and subsequent synthesis of pro-inflammatory mediators20.
The aim of the current study was to evaluate the role of C. difficile flagella in cooperation with toxins in eliciting an inflammatory host response during in vivo infection. By using a conventional mouse model of CDI and different C. difficile mutants lacking flagella or toxins, we observed that the absence of flagella dramatically decreases the degree of mucosal inflammation in mice and the sole presence of toxins without flagella was not enough to elicit epithelial lesions as observed in mice infected with wild-type bacteria. These results highlight the important role of C. difficile flagella in eliciting mucosal lesions as long as the toxins exert their action on the epithelium.
Results
Toxigenic and flagellated C. difficile R20291 strain, in contrast to non-flagellated or non-toxigenic strains, induce a caecal inflammatory response in the CDI mouse model
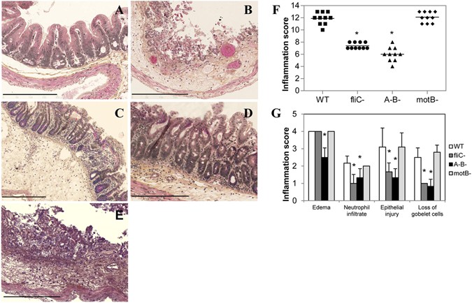
To study the role of C. difficile flagella in the intestinal inflammatory response in vivo, we used a CDI model in conventional mice21. As expected, all mice infected with the hypervirulent WT R20291 strain (n = 10) developed CDI with diarrhea on the first day post-infection and showed ruffled fur and reduced activity at day 2 after challenge, with a 50% (6/12) mortality rate from day 2 post-challenge. A strong colitis with significant caecal dilatation, luminal liquid accumulation and wall hyperemia was observed in all WT-infected mice. To measure the degree of inflammation of the caecal mucosa of mice, a histological score based on 4 criteria (submucosa edema, inflammatory cell infiltrate, epithelial injury and loss of goblet cells) was developed (Supplementary Table S1). Indeed, a high inflammation score of 12 out of 15 was observed in caecal sections of WT R20291-infected mice compared to uninfected mice (Fig. 1A,B).
C. difficile R20291 flagella are involved in caecal inflammation of mice. C57BL/6 mice (n = 10) were infected or not and caeca were collected at the clinical end point day 2 for histology. (A) Representative histology of caecum of healthy uninfected mice (control) with epithelium integrity; (B) R20291 WT-infected mice with ulcerative colitis, necrosis, desquamation, exudates and necrotic cells in the intestinal lumen, edema, inflammatory submucosal cell infiltration, loss of architecture of epithelium and presence of pseudomembranes in caecum; (C) R20291 fliC and (D) A−B− mutant-infected mice with edema, focal desquamation of necrotic cells in the intestinal lumen and submucosal cell infiltrate; (E) R20291 motB mutant-infected mice with similar degree of mucosal lesion than R20291 WT-infected mice (200X magnification). Bar = 200 µm. (F) Inflammation histological scores for individual mice in each group. The horizontal lines represent the mean scores for each group of animals. (G) Individual evaluation criteria of intestinal inflammation. The bars represent the mean scores for each group of animals and standard deviations. *P < 0.01 compared to WT-infected mice.
In contrast, mice infected with the fliC (unflagellated but toxigenic) mutant (n = 10) presented only soft stools at day 1 or 2 post-infection, and survived the challenge. Similarly, the animals infected with flagellated but non-toxigenic A−B− mutant (n = 10) did not develop CDI and all animals survived at day 2 post-infection. A mild colitis without caecal dilatation or wall hyperemia was observed in the fliC or A−B− mutant-infected mice, compared to the group of non-infected mice (n = 10), suggesting that both TcdA/TcdB toxins and flagella are necessary to induce CDI in this mice model. Moreover, a slight inflammation with moderate edema, focal erosion, mild luminal cell desquamation and minimal loss of goblet cells was observed in the fliC or A−B− mutant-infected mice (Fig. 1C,D). A statistically significant difference (P < 0.01) was observed between the score of the WT-infected mice group (score 12) compared to that of the other two groups (fliC and A−B− mutant-infected mice, scores 8 and 6 respectively) and control (score 0, Fig. 1F). The analysis of each inflammation criteria separately also showed (except for edema) a statistically significant difference (P < 0.01) between the WT-infected mice and the other two groups (Fig. 1G).
Toxigenic and flagellum-paralyzed C. difficile R20291 mutant induces a caecal inflammatory response in mice
In order to test the role of flagellum in the epithelial inflammatory response we also performed in vivo experiments using a motB mutant in R20291 strain which is toxigenic and flagellated but not mobile. The motB gene is involved in synthesis of the flagellar motor. Interestingly, all mice infected with the paralyzed flagella motB mutant (n = 10) developed CDI with a high (50%) mortality rate, a strong colitis with significant caecal dilatation, luminal liquid accumulation and wall hyperemia as observed in the WT R20291-infected mice. Indeed, as for WT R20291-infected mice, mice infected with the flagella paralyzed motB mutant showed the highest inflammation score (12 out of 15) in caecal sections compared to uninfected mice (Fig. 1E), with a statistically significant difference (P < 0.01) between the score of the motB mutant-infected mice group (score 12) and those of the other two groups (fliC and A−B− mutant-infected mice, scores 8 and 6 respectively) and control (score 0, Fig. 1F). The individual inflammation criteria were similar to those of the WT-infected mice and a statistically significant difference (P < 0.01) between the motB-infected mice and the other two groups was observed (Fig. 1G).
To note, in all performed experiments, the differences observed between the different groups of animals were not due to differences in the rate of fecal colonization since the fecal shedding of vegetative forms and spores reached by these strains were similar for the 4 groups of mice at days 1 and 2 post-infection (Supplementary Fig. S1A,B). Moreover, as expected, the feces from WT strain, fliC and motB mutant-infected mice, but not those from A−B− mutant-infected mice, showed a strong and similar level of cytotoxic activity (Supplementary Fig. S2A), thus indicating that in vivo toxin production of the WT R20291 strain and its respective fliC and motB mutants are quite comparable.
Taken together, these observations suggest that, in presence of toxins TcdA and TcdB, the flagellum of the C. difficile R20291 strain plays an important role in amplifying the intestinal inflammatory response during infection, and that these toxins are necessary for the pro-inflammatory activity of flagella in this CDI animal model.
Flagella and toxins in non-epidemic C. difficile 630Δerm strain are also necessary to induce a caecal inflammatory response in the CDI mouse model
To evaluate a potential strain-dependent effect for FliC-induced caeca inflammation, we performed the same animal experiments using the non-epidemic C. difficile 630Δerm strain and its respective fliC and A−B− mutants. As for R20291 derivatives, comparable fecal shedding was observed for all 630Δerm derivative strains (Supplementary Fig. S1C,D) and a cytotoxic activity was detected in feces of the WT 630Δerm- and the fliC mutant-infected mice, while no cytotoxicity was detected in feces of the A−B− mutant-infected animals (Supplementary Fig. S2B). In contrast, in vivo cytotoxicity was dramatically lower in C. difficile WT 630Δerm-infected mice (600 U), compared to that observed in the R20291-infected animals (40 000 U), which is in accordance with the different clinical outcomes observed between these animal sets. Indeed, the flagellated WT 630Δerm induced CDI with soft stools, but a moderated degree of caecal mucosa inflammation compared to uninfected mice (Fig. 2A,B), and the inflammation level was lower (score 8.5, Fig. 2E,F) than that observed in the WT strain R20291-infected mice (score 12). Even if an important submucosa edema was observed, the degree of neutrophil infiltrate, epithelial injury and loss of goblet cells was considerably reduced in caecal sections of 630Δerm WT-infected mice compared to sections of R20291-infected mice. Moreover, as for the fliC mutant in R20291, the 630Δerm fliC and A−B− mutants did not induce disease and elicited only a weak degree of caecal mucosa inflammation (Fig. 2C,D) as measured by histological scores (Fig. 2E,F). These results suggest that flagella of two different epidemic and non-epidemic C. difficile strains contribute with toxins to caecal inflammation during infection in mice, despite major differences in the intensity of the inflammation induced by the two strains.
C. difficile 630Δerm flagella are involved in caecal inflammation of mice. C57BL/6 mice (n = 10) were infected by oral gavage or not and caeca were collected at the clinical end point day 2 for histology. (A) Representative histology of caecum of healthy uninfected mice (control) with epithelium integrity; (B) 630Δerm WT-infected mice with moderate desquamation, exudates and necrotic cells in the intestinal lumen, edema, and inflammatory submucosa cell infiltration; (C) fliC and (D) A−B− mutant-infected mice with normal mucosa (200X magnification). Bar = 200 µm. (E) Inflammation histological scores for individual mice in each group. The horizontal lines represent the mean scores for each group of animals. (F) Individual evaluation criteria of intestinal inflammation. The bars represent the mean scores for each group of animals and standard deviations. *P < 0.01 compared to WT-infected mice.
The absence of TLR5 strongly reduces the C. difficile infection-induced caecal inflammation of mice
In order to analyze the role of the mucosal TLR5 in the C. difficile flagella-induced inflammatory response, we tested the CDI model in C57BL/6 tlr5 −/− KO mice, which do not express TLR5 in the intestinal mucosa. Mice were infected by oral gavage with the C. difficile R20291 WT strain (n = 10) or its fliC (unflagellated but toxigenic) mutant (n = 10), as well as with the 630Δerm WT strain (n = 10) and the clinical outcome and caecal lesions were analyzed. No infected tlr5 −/− KO mice developed CDI and all animals survived at day 2 post-infection regardless of the strain. Neither colitis was observed in infected mice, compared to the group of non-infected mice (n = 10), and only mucosal edema was detected in histological sections from caecum of animals (Fig. 3B–D), probably induced by C. difficile TcdA/TcdB toxins, produced by all tested strains and detected in feces of all infected animals (Supplementary Fig. S2C). In accordance with the low level of cytotoxic activity detected in WT 630Δerm-infected mice, the lowest inflammation score was observed in animals infected by this non-epidemic strain. Altogether, these results strongly suggest that C. difficile flagella-TLR5 interaction leads to a pro-inflammatory response of the intestinal mucosa.
C. difficile flagella and caecal inflammation in C57BL/6 tlr5 −/− KO mice. C57BL/6 tlr5 −/− KO mice (n = 10) were infected by oral gavage or not and caeca were collected at the clinical end point day 2 for histology. (A) Representative histology of caecum of healthy uninfected mice (control) with epithelium integrity; (B) R20291 WT-infected mice with mild to moderate edema; (C) R20291 fliC mutant and (D) 630Δerm WT-infected mice with mild to moderate edema (200X magnification). Bar = 200 µm. (E) Inflammation histological scores for individual mice in each group. The horizontal lines represent the mean scores for each group of animals. (F) Individual evaluation criteria of intestinal inflammation. The bars represent the mean scores for each group of animals and standard deviations. *P < 0.01 compared to R20291 WT-infected mice.
The C. difficile flagella, in presence of toxins, induce the NF-κB activation in the caeca of mice
We previously showed that the NF-κB and MAPKs signaling were activated by C. difficile flagellin via TLR5 in epithelial cells, with a predominant activation of the former20. We thus analyzed the NF-κB activation (IκB-α degradation) in the intestine of mice. Significant IκB-α degradation (2 fold) was observed in the R20291 WT-infected mice compared to the negative control (Fig. 4A). Nevertheless, non-significant IκB-α degradation was observed in the fliC and A−B− mutant-infected animals, compared to R20291 WT-infected mice (Fig. 4A). Interestingly, as for WT-infected mice, a strong NF-κB activation was observed in caeca of the motB mutant-infected mice compared to the negative control (Fig. 4A). We also analyzed the ERK1/2 and JNK MAPKs activation in the intestine of mice. Significant increase of ERK1/2 (1.5 fold) and JNK (2.5 fold) phosphorylation was observed in the R20291 WT- and motB mutant-infected mice compared to the negative control (Supplementary Fig. S3A,B). A similar level of ERK1/2 and JNK activation was also observed in the caecum of the fliC mutant, but not in the non-toxigenic A−B− mutant-infected animals (Supplementary Fig. S3A,B), suggesting a probable action of toxins which are known to also activate MAPKs in intestinal cells22. In accordance to the lesser degree of caecal inflammation observed in the 630Δerm WT-infected mice, a weak but significant activation of NF-κB, ERK1/2 and JNK, in caecal tissue of these animals (Fig. 4B and Supplementary Fig. S3C,D). However, no activation of these effectors was observed in caecal tissue from the fliC and A−B− mutant-infected mice. Moreover, according to the role of TLR5 pro-inflammatory cell-signaling, no NF-κB or MAPK activation was observed in caeca of tlr5 −/− KO-infected mice (Fig. 4C and Supplementary Fig. S3E,F). These results are consistent with our previous in vitro experiments and suggest that both TcdA/TcdB and flagella are required for NF-κB activation in caeca of C. difficile infected mice.
C. difficile flagella-induced degradation of IκB-α. Caecal lysates were prepared as indicated in Material and Methods section and proteins were resolved by SDS-PAGE. (A) R20291 derivative-infected C57BL/6 mice; (B) 630Δerm derivative-infected C57BL/6 mice, and (C) R20291 derivative- or 630Δerm WT-infected C57BL/6 tlr5 −/− KO mice. Western blot were then performed using anti-IκB-α, actin antibodies. Western blot cropped pictures (full-length blots are in the Supplementary Information file) show the results of a representative experiment. The density of the bands was measured using Fusion software. Ratios IκB-α/actin were calculated and for the negative control (C-, uninfected mice), this ratio was normalized to 1. The ratio of the other samples was reported to the negative control. Results represent the mean (n = 10) ± standard deviations for each group of animals. *Statistically significant differences (P < 0.05) compared to the negative control.
Toxigenic and flagellated C. difficile strains elicit up-regulation of pro-inflammatory cytokine genes in the caeca of mice
Finally, we investigated the changes in the transcription of genes encoding pro-inflammatory cytokines in the intestinal mucosa of C. difficile-infected mice. We selected a set of genes whose over-expression was observed previously (Table 1)20. As expected, at day 2 post-infection the KC gene encoding keratinocyte derived chemokine (equivalent of the hIL-8 in the mouse) was highly over expressed (114-fold) in the set of R20291 WT-infected mice compared to the control group of non-infected mice (Table 1). A strong up-regulation was also observed for the genes encoding the pro-inflammatory cytokines IL-6 and IL-1β (47- and 49-fold respectively), in accordance to the clinical and histopathological features observed in this group of animals. An up-regulation, but to a lesser extent, was shown for the genes encoding IL-22, TNFα and CXCL-10 (Table 1). Interestingly, in the fliC mutant-infected mice, expression of KC (hIL-8) was increased by only 17-fold and the increase of other cytokines (IL-6, IL-1β, IL-22, CXCL-10, and TNFα,) was from 2 to 9-fold, compared to the control group, suggesting a role for the flagellum of the strain R20291 in the development of this pro-inflammatory profile in the gut of infected animals. In the non-toxigenic A−B− mutant-infected mice, a lower KC gene up-regulation was also observed (5-fold relative to the control group) as for the other genes, with the exception of the IL -1β encoding gene that showed an over-expression slightly greater than that observed in the fliC mutant-infected mice (Table 1). As expected, and according to clinical and histological observations, a strong up-regulation (except for TNFα gene) was also observed for all these pro-inflammatory cytokines encoding genes in animals infected with the paralyzed flagella motB mutant (Table 1), strongly suggesting that the coexistence of flagella and toxins largely contributes to the mucosal injury.
We next tested the role of flagella from the non-epidemic C. difficile 630Δerm strain and its derivative mutants in cytokine gene up-regulation using the CDI mouse model. In accordance with clinical and histopathological observations, the flagellated WT 630Δerm induced a weak up-regulation of KC, IL-6, IL-1β, IL-22, CXCL-10 and TNFα genes compared to the WT R20291 (Table 1). This gene up-regulation was further decreased in the 630Δerm fliC mutant-infected mice and completely null in the 630Δerm A−B− mutant-infected animals, except for TNFα. These results indicate that despite differences in virulence between R20291 and 630Δerm C. difficile strains, both flagella and toxins contribute to the cytokine gene over-expression from intestinal mucosa in the mouse model, strongly suggesting that toxins are necessary for the contributing pro-inflammatory role of C. difficile flagella.
We also analyzed the pro-inflammatory cytokines gene transcription in the intestinal mucosa of the C. difficile-infected tlr5 −/− KO mice. The infection with the R20291 WT strain elicited a 23-fold up-regulation of KC expression compared to non-infected KO mice, which was very similar to the level of up-regulation observed in R20291 fliC mutant-infected conventional mice (Table 1). These results strengthen the role of flagella-TLR5 interaction in the intestinal pro-inflammatory response of the CDI animal model. A lesser up-regulation of this gene was also observed in the R20291 fliC mutant- and 630∆erm WT-infected tlr5 −/− KO mice (Table 1), thus suggesting that toxins, and probably other bacterial products, elicit up-regulation of pro-inflammatory cytokines genes, independently of flagella in tlr5 −/− KO mouse model.
Discussion
Bacterial flagella can be involved in the mucosal inflammatory injury23. Indeed, although the surface components of bacteria in the intestinal microbiota play a role in modulating the adaptive immune response, some of these components, including flagella, from pathogenic bacteria can reach the mucosa and play a role in amplifying the inflammatory response. Flagella from some pathogens such as Salmonella and Pseudomonas aeruginosa, by specifically recognizing the innate immune pattern-recognition receptor TLR5, which is expressed at the basolateral pole of the intestinal epithelium, are responsible for inflammatory lesions in the mucosal epithelium during infection18, 24. The bacterial flagellins-TLR5 interaction elicits the MAPKs and NF-κB TLR5-related signaling pathways, thus inducing a pro-inflammatory response from host16.
The role of C. difficile flagella in the gut inflammatory response remains to be demonstrated. The predicted TLR5-agonist of C. difficile flagellin, which shares the conserved amino acids recognized by TLR5 with other mucosal pathogens, but not with flagellins known to evade TLR525, 26, was previously confirmed by studies from Yoshino et al. and ourselves19, 20. We observed a predominant role for NF-κB, accounting for the importance of this major transcription factor in the C. difficile flagellin-associated pathogenesis27.
C. difficile toxins have been considered as the only pathogenic factors involved in intestinal lesions observed during CDI, and several studies have shown their role in stimulating pro-inflammatory signaling pathways28. The first evidence of the contribution of C. difficile TcdB to the flagellin-induced inflammatory activity was reported by Yoshino et al.19. They hypothesize that toxin B by affecting tight junctions facilitate the access of flagellin to its receptor in polarized cell monolayers. In a recent report, Kasendra et al.29 suggest that C. difficile toxins facilitate bacterial colonization by disrupting cell polarity allowing pathogen-associated molecular patterns (PAMPs) to access the exposed basolateral epithelial surface and trigger the production of inflammatory cytokines. Nevertheless, the synergy between toxins and other bacterial compounds involved in inflammation has never been demonstrated in vivo. For the first time, we show the putative role of flagella in C. difficile pathogenesis in a CDI mouse model21. In this model, we reproduced pathogenesis observed in human CDI as well as different clinical outcomes depending on two distinct clinical strains and demonstrated that the absence of flagella in toxin producing bacteria dramatically decreases the degree of mucosal inflammation in mice.
We previously reported no difference in the in vitro toxin gene expression between the fliC-R20291 mutant and its respective wild-type strain, but increased toxicity in the fliC-630∆erm flagella mutant compared to its respective WT strain30. In agreement with these results, our previous in vivo transcriptomic analysis performed in the gnotobiotic mouse model, revealed no or weak differences in the toxin gene expression between this fliC-R20291 mutant and its parental wild-type strain31. Therefore, toxin gene regulation in absence of FliC is quite different between strains 630 and R20291 and the high mortality previously observed in the monoxenic mice infected by the fliC-R20291 mutant might be explained not by an increase in toxin gene expression but by the regulation of other genes whose expression is dependent on flagella31. In the present work, we used a different mouse model, the conventional mouse model21, much closer to the human CDI, in which both R20291 and 630∆erm strains and their respective fliC mutants induced similar cytotoxicity titer levels in feces.
In this study, the presence of toxins without the flagella was not enough to elicit the high degree of epithelial lesions observed in WT R20291-infected mice. The absence of flagella or motility could prevent the fliC R20291 mutant to reach the mucosa and thus to produce inflammatory lesions induced by toxins alone. However, in our study, we found levels of fecal colonization and cytotoxic activity in feces in the unflagellated (fliC) and non-motile (motB) mutant-infected mice, which were similar to those observed in the WT R20291-infected mice, thus reflecting successful intestinal colonization by these flagellar mutants in this CDI model. Moreover, the flagella-paralyzed motB mutant was not only able to colonize the mucosa, but also to produce toxins and elicit mucosal lesions as the WT strain. Therefore, in the context of the natural CDI, even if other bacterial factors, bacterial fitness or metabolic adaptation capability could play a role in the pathogenesis, flagella highly contribute to the development of a detrimental inflammatory host response and the outcome of CDI as long as toxins exert their action on the epithelium. Interestingly, this is not the case of cholera, which is the archetypal non-inflammatory diarrheal disease. In V. cholerae infection no synergy should occur between flagella and cholera toxin, which induces non-inflammatory watery diarrhea. In the case of CDI, it seems more evident that toxins, by eliciting their actions on the cell cytoskeleton and epithelial tight junctions, could promote the interaction between the FliC monomers and the newly exposed TLR5 and the subsequent pro-inflammatory epithelial host response. According to this role of C. difficile flagella, analysis of the CDI elicited by R20291 and 630Δerm C. difficile strains in the tlr5 −/− KO mice, which do not express TLR5 in the intestinal mucosa, strengthens the role of the TLR5-related flagellar signaling in the pathogenesis of C. difficile. Indeed, mice infected by the epidemic R20291 or the non-epidemic 630Δerm strains developed only mucosal edema with a very low inflammation score, without clinical signs of CDI. This mucosal edema was probably induced by TcdA/TcdB toxins, which were produced by all the tested strains.
We previously compared the role of R20291 and 630Δerm C. difficile strains in adhesion and colonization in vitro and in vivo and showed major behavioral differences between these strains in a germ-free (gnotoxenic) mouse model30. In the current study, we show another important role for C. difficile flagella in eliciting an inflammatory host response shared by both strains, but according to the hypervirulent traits of strain R20291, differences persist in the degree of elicited response which may be linked to the level of in vivo regulation of toxin synthesis. Nevertheless, in the two strains, toxins alone were not enough to induce the clinical manifestations and the mucosal lesions observed in this CDI mouse model. Considering the high homology in TLR5-recognizing motifs in FliC from the two strains, we can suggest a similar role for flagella from the two strains in eliciting a pro-inflammatory immune response during CDI.
Our work contributes to the knowledge about the virulence factors and pathogenesis of C. difficile and highlights other bacterial and host targets in the control of CDI. C. difficile flagellin might constitute an interesting vaccine candidate leading to a protective immune response against intestinal pathogens. Interestingly, purified Salmonella Typhimurium-derived flagellin protects mice from CDI32. In this context, by stimulating TLR5, flagellin could contribute to the bacterial clearance. On the other hand, the outcome of the CDI could be modulated by targeting the pro-inflammatory signaling pathways so as to reduce the severity of the lesions induced by a strong inflammatory response. Thereby, by deciphering the regulation mechanisms of the TLR5 signaling cascade, it would be possible to target potential effectors of the pro-inflammatory response in order to reduce the effects of a deleterious response.
Altogether, our results strongly suggest the role of the C. difficile flagella-TLR5 interaction leading to a pro-inflammatory response of the intestinal mucosa in synergy with TcdA and TcdB. Therefore, the C. difficile flagellin would exert its action on the pivotal NF-κB signaling pathway through exposed TLR5, thus resulting in the development of a deleterious innate immune response which contributes to the pathogenesis of this intestinal pathogen.
Materials and Methods
Bacterial strains and growth conditions
The C. difficile strains used in this study were NAP1/027 R20291 wild-type strain (WT), the fliC and the motB flagellar mutants30, and the tcdA and tcdB double mutant (A−B−)33, and the respective fliC-complemented strain (containing pMTL-SB1 fliC-complementation plasmid) as described previously. These mutants were created from C. difficile R20291 by insertional inactivation using the ClosTron gene knock-out system. For some experiments C. difficile 630Δerm strain and its fliC 30 and A−B− 6 isogenic mutants (ClosTron) were also used. C. difficile strains were cultured in Brain Heart Infusion (BHI) agar or broth (Oxoid) in an anaerobic chamber (atmosphere of 90% N2, 5% CO2 and 5% H2) at 37 °C. Strains containing the pMTL plasmid were grown in BHI supplemented with 15 µg/ml thiamphenicol. Escherichia coli Top10 and BL21 were cultured in Luria-Bertani agar or broth (Oxoid) supplemented with 50 µg/ml kanamycin.
C. difficile spores for mouse challenge
C. difficile spores were prepared at 37 °C in an anaerobic chamber as previously described by Burns et al.34. Briefly, a preculture was grown overnight in BHI supplemented with yeast extract (5 mg/ml, BD) and L-cysteine (0.1%, Merck) (BHIS) and was used to inoculate a starter preculture in BHIS, which was grown to OD600nm 0.2–0.5. Sporulation was then induced in BHIS by inoculation with the starter culture (1 in 100) and incubation for 7 days. Cultures were then washed in sterile water and heated at 70 °C for 25 min to kill vegetative cells and collect spores. Enumeration of spores was performed on BHI agar supplemented with the bile salt taurocholate 0.1% (Sigma-Aldrich).
Animal model
6–7 week old female C57BL/6 mice were purchased from Charles River (France). 6–7 week old female C57BL/6 tlr5 −/− knock-out (KO) mice were kindly provided by Thierry Pedron (Philippe Sansonetti laboratory, Pasteur Institute, Paris) and were housed and bred at the animal facility of the Faculty of Pharmacy, Paris-Sud University. Mice were housed in groups of 5 in sterile cages containing irradiated food and autoclaved water. To overcome their resistance to CDI, all mice received an antibiotic pretreatment, as previously described21. Mice consumed an antibiotic mixture of kanamycin (0.4 mg/ml), gentamicin (0.035 mg/ml), colistin (850 U/ml), metronidazole (0.215 mg/ml) and vancomycin (0.045 mg/ml) in the drinking water for 3 days. After this treatment, mice were switched to regular autoclaved water. Two days later, all mice received a single dose of clindamycin (250 µg) by intraperitoneal injection (IP), 24 h prior to challenge. Mice were then infected by oral gavage with 105 spores of C. difficile strains. Mice from the control group were pretreated with antibiotic but were orally gavaged with water. Animals were observed daily for signs of disease (diarrhea, hunched posture and ruffled fur). Two days after challenge, mice were euthanized and caecal tissues were collected, washed with PBS and cut in 3 pieces for further analyses (gene expression, histopathology and immunoblotting).
Animal statements
For the mouse studies, animal care and animal experiments were carried out in strict accordance with the Committee for Research and ethical Issues of the International Association for the study of pain (IASP). The animal experimentation protocol was approved by the Animal Welfare Committee of the Paris-Sud University and animal experiments were performed according to the University Paris-Sud guidelines for the husbandry of laboratory animals.
Fecal shedding of C. difficile during infection of mice
Unit forming colonies (UFC)/g feces of vegetative cells were obtained after serial dilution of feces in PBS and plating in BHI medium supplemented with 3% horse blood and Oxoid C. difficile supplement (250 mg/L D-cycloserine, 8 mg/L Cefoxitin). Plates were incubated in an anaerobic chamber (atmosphere of 90% N2, 5% CO2 and 5% H2) at 37 °C. For spore count, an alcoholic shock was performed and then samples were plated in the same medium supplemented with taurocholate 0.1%.
Quantitative histologic assessment of inflammation in the caecum
The caecal segments assigned for histological studies were fixed in 10% neutral formalin for 18 h, transferred into 70% ethanol and paraffin embedded. 3 µm sections were stained with hematoxylin and eosin and analyzed in a blinded manner using a histopathological scoring scheme. Briefly, caecal inflammation was evaluated with the following criteria measured on 10 different microscopic fields: submucosal edema, degree of lamina propria mononuclear cell infiltration, epithelial damage as previously described35. We added the criteria of loss of goblet cells which was graded as follows: 0: >28; 1: 11–28; 2: 1–10; 3: <1 36 (Supplementary Table S1).
SDS-PAGE and Western blot analysis
Caecal tissue was disrupted and homogenized in a buffer containing 186 mM β-mercaptoethanol, 1% bromophenol blue, 10 mM NaF, 25 mM NaPPi, 1 mM Na3VO4, using a microtube adapted pellet mixer. After lysis, samples were incubated at 100 °C for 10 min and centrifuged to remove insoluble materials. Proteins were resolved by SDS–PAGE, and gels were transferred to polyvinylidene difluoride (PVDF) membrane (GE Healthcare). For immunoblotting, membranes were washed with TBS 0.1% Tween 20, blocked in TBS (0.1% Tween 20, 5% milk) and probed overnight with the following specific antibodies: anti-ERK1/2, anti-JNK, anti-IκBα, anti-phosphorylated (anti-p)ERK1/2 and anti-pJNK (Cell Signaling Technology), or anti-actin (Millipore). Blots were then incubated with HRP-linked secondary antibodies (Cell Signaling Technology), followed by chemiluminescence detection with the ECL Plus kit (Millipore) according to the manufacturer’s instructions. Chemiluminescence signals were detected with a Fusion FX (Vilber Lourmat) and analyzed densitometrically with Fusion-CAPT software (Vilber Lourmat).
Quantitative real-time reverse transcription PCR (qRT-PCR)
Tissue from the caecum was submerged in RNAlater RNA Stabilization Reagent (Qiagen) to protect the RNA. After stabilization for 15 min at room temperature, tissue was lysed using Lysing Matrix D and a FastPrep apparatus (MP Biomedicals). Total RNA was then isolated using the RNeasy Mini Kit (Qiagen). RNA quantification and quality were assessed by a 2100 Bioanalyzer Agilent. RNA was reverse-transcribed to first strand cDNA using the RT² First Strand Kit (Qiagen). cDNA was prepared from 1 µg RNA using SuperScript™ III Reverse Transcriptase (Invitrogen) with random primers as described by the manufacturer. qPCR was performed in a 10 µl reaction volume containing 4 ng of cDNA, 5 µl of SSo Advanced™ SYBR Green Supermix (Bio-Rad) and 500 nM gene-specific primers. The primers designed with Primer3 software, not to amplify genomic DNA, are listed in Supplementary Table S2. Reactions were run on a CFX96 Real-time system (Bio-Rad) with the following cycling conditions: 30 s polymerase activation at 95 °C and 40 cycles at 95 °C for 5 s and 60 °C for 10 s. An additional step from a start at 65 °C to 95 °C (0.5 °C/0.5 s) was performed to establish a melting curve in order to verify the specificity of the real-time PCR reaction for each primer pair. The results were normalized using the geometric averaging of the GAPDH as reference gene. Normalized relative quantities were calculated using the ΔΔCT method37, 38.
Data were collected from three independent experiments and expressed as down- or up-regulation fold. The statistical differences were determined by Student’s t-test. P values < 0.05 were considered statistically significant.
Toxicity assay on Vero cell line
Vero kidney epithelial cell line (kindly donated by I. Beau, INSERM UMR-S 984, France) were grown in DMEM with L-glutamine (Invitrogen) supplemented with 10% heat-inactivated fetal calf serum at 37 °C in an atmosphere containing 5% CO2. Cell lines were harvested from the flask with trypsin (0.5 mg/ml)/EDTA (0.2 mg/ml), washed once with medium and seeded into culture plates (TPP, ATGC Biotechnologies) at the desired cell densities and incubated at 37 °C in an atmosphere containing 5% CO2 before experiments. Quantitative detection of toxin in fecal samples was performed by cytotoxicity assay. Briefly, feces from each mouse were collected and diluted in PBS at 1 mg/ml. After thorough mixing, the samples were centrifuged at 12000 g for 5 min, and the supernatants were collected and then sterilized through a 0.22 µm filter. Confluent Vero cells in 96-well plates were exposed to 1:2 to 1:262144 (vol/vol) dilutions of the supernatants in Dulbecco’s Modified Eagle Medium (DMEM) (Gibco) containing 10% heat-inactivated Fetal Bovine Serum (FBS) (Gibco). The plates were incubated at 37 °C in 5% CO2 and morphological changes were observed by microscopy after 24 h. The endpoint titers were expressed as the reciprocal of the highest dilution giving a 50% cytopathic effect (CPE). The assays were performed in triplicate on independent culture supernatants.
Statistical analysis
Results from histologic assessment, fecal shedding, Western blot analysis, and toxicity assay are expressed as means ± sem. Different groups were compared by using Mann and Whitney test performed using StatEL software. P values < 0.05 were considered statistically significant.
References
Cloud, J. & Kelly, C. P. Update on Clostridium difficile associated disease. Curr Opin Gastroenterol 23, 4–9 (2007).
Cohen, S. H. et al. Clinical practice guidelines for Clostridium difficile infection in adults: 2010 update by the society for healthcare epidemiology of America (SHEA) and the infectious diseases society of America (IDSA). Infect Control Hosp Epidemiol 31, 431–455 (2010).
Barbut, F., Jones, G. & Eckert, C. Epidemiology and control of Clostridium difficile infections in healthcare settings: an update. Curr Opin Infect Dis 24, 370–376 (2011).
Lo Vecchio, A. & Zacur, G. M. Clostridium difficile infection: an update on epidemiology, risk factors, and therapeutic options. Curr Opin Gastroenterol 28, 1–9 (2012).
Lyras, D. et al. Toxin B is essential for virulence of Clostridium difficile. Nature 458, 1176–1179 (2009).
Kuehne, S. A. et al. The role of toxin A and toxin B in Clostridium difficile infection. Nature 467, 711–713 (2010).
Eveillard, M. et al. Identification and characterization of adhesive factors of Clostridium difficile involved in adhesion to human colonic enterocyte-like Caco-2 and mucus-secreting HT29 cells in culture. Mol Microbiol 7, 371–381 (1993).
Hennequin, C. et al. GroEL (Hsp60) of Clostridium difficile is involved in cell adherence. Microbiology 147, 87–96 (2001).
Waligora, A. J. et al. Characterization of a cell surface protein of Clostridium difficile with adhesive properties. Infect Immun 69, 2144–2153 (2001).
Barketi-Klai, A., Hoys, S., Lambert-Bordes, S., Collignon, A. & Kansau, I. Role of fibronectin-binding protein A in Clostridium difficile intestinal colonization. J Med Microbiol 60, 1155–1161, doi:10.1099/jmm.0.029553-0 (2011).
Seddon, S. V. & Borriello, S. P. Proteolytic activity of Clostridium difficile. J Med Microbiol 36, 307–311 (1992).
Janoir, C., Pechine, S., Grosdidier, C. & Collignon, A. Cwp84, a surface-associated protein of Clostridium difficile, is a cysteine protease with degrading activity on extracellular matrix proteins. J Bacteriol 189, 7174–7180 (2007).
Calabi, E., Calabi, F., Phillips, A. D. & Fairweather, N. F. Binding of Clostridium difficile surface layer proteins to gastrointestinal tissues. Infect Immun 70, 5770–5778 (2002).
Eaton, K. A., Suerbaum, S., Josenhans, C. & Krakowka, S. Colonization of gnotobiotic piglets by Helicobacter pylori deficient in two flagellin genes. Infect Immun 64, 2445–2448 (1996).
Tasteyre, A., Barc, M. C., Collignon, A., Boureau, H. & Karjalainen, T. Role of FliC and FliD flagellar proteins of Clostridium difficile in adherence and gut colonization. Infect Immun 69, 7937–7940 (2001).
Prince, A. Flagellar activation of epithelial signaling. Am J Respir Cell Mol Biol 34, 548–551 (2006).
Abreu, M. T., Fukata, M. & Arditi, M. TLR signaling in the gut in health and disease. J Immunol 174, 4453–4460 (2005).
Gewirtz, A. T., Navas, T. A., Lyons, S., Godowski, P. J. & Madara, J. L. Cutting edge: bacterial flagellin activates basolaterally expressed TLR5 to induce epithelial proinflammatory gene expression. J Immunol 167, 1882–1885 (2001).
Yoshino, Y. et al. Clostridium difficile flagellin stimulates toll-like receptor 5, and toxin B promotes flagellin-induced chemokine production via TLR5. Life Sci 92, 211–217, doi:10.1016/j.lfs.2012.11.017 (2013).
Batah, J. et al. Clostridium difficile flagella predominantly activate TLR5-linked NF-kappaB pathway in epithelial cells. Anaerobe 38, 116–124, doi:10.1016/j.anaerobe.2016.01.002 (2016).
Chen, X. et al. A mouse model of Clostridium difficile-associated disease. Gastroenterology 135, 1984–1992, doi:10.1053/j.gastro.2008.09.002 (2008).
Lee, J. Y. et al. Effects of transcription factor activator protein-1 on interleukin-8 expression and enteritis in response to Clostridium difficile toxin A. Journal of molecular medicine 85, 1393–1404, doi:10.1007/s00109-007-0237-7 (2007).
Ramos, H. C., Rumbo, M. & Sirard, J. C. Bacterial flagellins: mediators of pathogenicity and host immune responses in mucosa. Trends Microbiol 12, 509–517, doi:10.1016/j.tim.2004.09.002 (2004).
Sierro, F. et al. Flagellin stimulation of intestinal epithelial cells triggers CCL20-mediated migration of dendritic cells. Proc Natl Acad Sci USA 98, 13722–13727 (2001).
Andersen-Nissen, E. et al. Evasion of Toll-like receptor 5 by flagellated bacteria. Proc Natl Acad Sci USA 102, 9247–9252, doi:10.1073/pnas.0502040102 (2005).
Lee, S. K. et al. Helicobacter pylori flagellins have very low intrinsic activity to stimulate human gastric epithelial cells via TLR5. Microbes and infection/Institut Pasteur 5, 1345–1356 (2003).
Hayden, M. S. & Ghosh, S. Shared principles in NF-kappaB signaling. Cell 132, 344–362 (2008).
Shen, A. Clostridium difficile toxins: mediators of inflammation. Journal of innate immunity 4, 149–158, doi:10.1159/000332946 (2012).
Kasendra, M., Barrile, R., Leuzzi, R. & Soriani, M. Clostridium difficile toxins facilitate bacterial colonization by modulating the fence and gate function of colonic epithelium. J Infect Dis 209, 1095–1104, doi:10.1093/infdis/jit617 (2014).
Baban, S. T. et al. The role of flagella in Clostridium difficile pathogenesis: comparison between a non-epidemic and an epidemic strain. PLoS ONE 8, e73026, doi:10.1371/journal.pone.0073026 (2013).
Barketi-Klai, A. et al. The flagellin FliC of Clostridium difficile is responsible for pleiotropic gene regulation during in vivo infection. PLoS ONE 9, e96876, doi:10.1371/journal.pone.0096876 (2014).
Jarchum, I., Liu, M., Lipuma, L. & Pamer, E. G. Toll-like receptor 5 stimulation protects mice from acute Clostridium difficile colitis. Infect Immun 79, 1498–1503 (2011).
Kuehne, S. A. et al. Importance of toxin A, toxin B, and CDT in virulence of an epidemic Clostridium difficile strain. J Infect Dis 209, 83–86, doi:10.1093/infdis/jit426 (2014).
Burns, D. A., Heeg, D., Cartman, S. T. & Minton, N. P. Reconsidering the sporulation characteristics of hypervirulent Clostridium difficile BI/NAP1/027. PLoS ONE 6, e24894, doi:10.1371/journal.pone.0024894 (2011).
Theriot, C. M. et al. Cefoperazone-treated mice as an experimental platform to assess differential virulence of Clostridium difficile strains. Gut Microbes 2, 326–334, doi:10.4161/gmic.19142 (2011).
Lai, M. A. et al. Innate immune detection of flagellin positively and negatively regulates salmonella infection. PLoS ONE 8, e72047, doi:10.1371/journal.pone.0072047 (2013).
Hellemans, J., Mortier, G., De Paepe, A., Speleman, F. & Vandesompele, J. qBase relative quantification framework and software for management and automated analysis of real-time quantitative PCR data. Genome Biol 8, R19 (2007).
Livak, K. J. & Schmittgen, T. D. Analysis of relative gene expression data using real-time quantitative PCR and the 2(-Delta Delta C(T)) Method. Methods 25, 402–408 (2001).
Acknowledgements
This study was in part supported by the European Union (HEALTH-F3-2008-223585) and by the University Paris-Sud “Attractivité-2012 and 2013” grants. We sincerely thank the technical assistance of Claudine Delomenie (Region Ile de France, IFR141 IPSIT) for qRT-PCR analyses, as well as Valérie Domergue (Region Ile de France, IFR141 IPSIT) for animal facilities. We also thank Sylvie Lambert-Bordes and Sandra Hoys for technical support.
Author information
Authors and Affiliations
Contributions
J.B. and H.K. contributed equally to this work. J.B., H.K., C.D.L., P.T.B.P., S.K., J.C.M. and I.K. conducted experiments and analyzed data; A.C., and C.J.J. advised on experimental designs; C.D.L., J.C.M. and I.K. designed experiments, I.K. wrote the manuscript with contributions from all other authors.
Corresponding author
Ethics declarations
Competing Interests
The authors declare that they have no competing interests.
Additional information
Publisher's note: Springer Nature remains neutral with regard to jurisdictional claims in published maps and institutional affiliations.
Electronic supplementary material
Rights and permissions
Open Access This article is licensed under a Creative Commons Attribution 4.0 International License, which permits use, sharing, adaptation, distribution and reproduction in any medium or format, as long as you give appropriate credit to the original author(s) and the source, provide a link to the Creative Commons license, and indicate if changes were made. The images or other third party material in this article are included in the article’s Creative Commons license, unless indicated otherwise in a credit line to the material. If material is not included in the article’s Creative Commons license and your intended use is not permitted by statutory regulation or exceeds the permitted use, you will need to obtain permission directly from the copyright holder. To view a copy of this license, visit http://creativecommons.org/licenses/by/4.0/.
About this article
Cite this article
Batah, J., Kobeissy, H., Bui Pham, P.T. et al. Clostridium difficile flagella induce a pro-inflammatory response in intestinal epithelium of mice in cooperation with toxins. Sci Rep 7, 3256 (2017). https://doi.org/10.1038/s41598-017-03621-z
Received:
Accepted:
Published:
DOI: https://doi.org/10.1038/s41598-017-03621-z
This article is cited by
-
Functional links between the microbiome and the molecular pathways of colorectal carcinogenesis
Cancer and Metastasis Reviews (2024)
-
Curcumin and capsaicin regulate apoptosis and alleviate intestinal inflammation induced by Clostridioides difficile in vitro
Annals of Clinical Microbiology and Antimicrobials (2022)
-
Genomic characterization of nine Clostridioides difficile strains isolated from Korean patients with Clostridioides difficile infection
Gut Pathogens (2021)
-
Identification of linear epitopes on the flagellar proteins of Clostridioides difficile
Scientific Reports (2021)
-
In vivo animal models confirm an increased virulence potential and pathogenicity of the NAP1/RT027/ST01 genotype within the Clostridium difficile MLST Clade 2
Gut Pathogens (2020)






