Abstract
The current study investigated the mitigating effects of thymoquinone (TQ) against high-fat diet (HFD)-mediated brain injury, cognitive and memory impairment, and the underlying mechanisms. Twenty-four adult male Wistar rats were divided into four groups of six rats each. Rats were fed HFD for 12 weeks to induce obesity. On the 9th week, TQ was administered orally to obese rats for four weeks. The effects of TQ were estimated by neurobehavioral testing, biochemical analysis, DNA damage, molecular docking, and histopathological examination of brains and visceral fat. TQ reduced body weight, body weight gain and adipocyte size, improved hyperlipidemia, and normalized the levels of leptin and adiponectin. TQ significantly attenuated the increase in HbA1c percent and insulin resistance. TQ decreased the accumulation of amyloid-β and tau proteins and improved the levels of neurotransmitters in the brains of obese rats. TQ-treated obese rats showed improved thickening of the pyramidal cell layer in the hippocampus and improved cognitive function and memory impairments. Molecular docking analysis indicated that TQ exhibited a marked affinity for inhibiting binding sites of tau and amyloid-β proteins. Furthermore, TQ controlled oxidative stress and enhanced the Nrf2 expression in the pyramidal cell layer and the activity of HO-1, SOD, and CAT in the brain. The restoration of redox balance by TQ was associated with normalization of inflammatory indicators and alleviation of DNA damage in the brains of HFD-treated animals. These changes contributed to the normalization of mitochondrial apoptotic pathway mediators (p53, Bcl-2, Bax, and caspase-3) and maintained the histological structure of the hippocampus. In conclusion, TQ attenuated brain injury, cognitive impairment, and memory deficit with improvement of body weight gain and metabolic status in obese rats through interrelated biological processes, including regulation of redox balance, inflammatory response, neurotransmitter equilibrium, and regression of DNA injury and apoptosis.
Similar content being viewed by others
Introduction
Overweight and obesity, associated with excessive consumption of high-fat diets1, are public health concerns around the world due to the significant adverse risk on all ages and organs, particularly the brain2,3. Chronic consumption of a high-fat diet (HFD) is associated with cognitive impairment, accelerated memory loss, and psychiatric behavioral abnormalities4. After short-term HFD consumption, mice showed signs of memory impairment and depressive-like behavior5. Furthermore, rats exposed to a high-cholesterol diet developed substantial deficiencies in long-term memory and spatial learning6.
Despite epidemiological and animal studies indicating that obesity has an effect on brain functions, the effect of HFD consumption on cognitive and memory performance and neuronal biochemical processes is still unclear. Increased oxidative stress and neuroinflammation are important processes involved in brain disorders7. It is reported that inflammation contributes to the detrimental pathological effects of HFD-induced obesity, such as behavioral abnormalities, increased cognitive decline, and dementia8. It is stated that HFD-induced cognitive and social impairments are due to dysregulating brain redox balance and insulin resistance9. Long-term HFD consumption results in disruption of antioxidant levels and development of oxidative stress, neuroinflammation, and cognitive impairment10. These findings underline the importance of searching for safe nutritional substances to control the accumulation of fats in the body to maintain brain health.
Herbal therapy has been utilized extensively recently to treat a wide range of neurological illnesses. Phytomedicine have several advantages, including low toxicity, accessibility, and ease of administration11. Thymoquinone (TQ) is the main bioactive ingredient in the Nigella sativa seeds. Due to its low molecular weight and lipophilic nature, TQ is able to pass biological membranes like the blood–brain barrier and therefore, it is believed to have potential as a nervous system medication12.
TQ possesses important biological activity, including antioxidant, antioxidative13,14 and anti-inflammatory properties15. Furthermore, TQ showed pharmacological effects such as hepatoprotective, neuroprotective, and nephroprotective16. An interesting recent study showed that TQ reduced oxidative stress, the loss of GABAergic neurons, and memory deficit in the hippocampus after cypermethrin exposure by activating the Nrf2/ARE signaling pathway17. Studies have demonstrated that TQ protects cultured rat primary neurons from Aβ-induced neurotoxicity and has an acetylcholinesterase inhibiting action18. Furthermore, TQ maintains rat cerebellar neurons by reducing oxidative stress and inflammation after supplementing with a HFD19. TQ treatment increased the total antioxidant capacity of cerebellar tissues, decreased lipid peroxidation, and improved the contents of protein and saturated and unsaturated lipids20. Obesity is clearly established to cause inflammation and oxidative stress. Overproduction of pro-inflammatory cytokines and reactive oxygen species (ROS) has been linked to cognitive decline and brain injury induced by consuming HFD7. TQ has an enhancing effect on cell survival and neurogenesis in healthy hippocampus21. Consequently, we postulated that TQ would significantly protect the structure and function of the brains of HFD-fed rats and could be a therapeutic approach to enhance their brain functions due to its anti-inflammatory and antioxidant properties. Despite the information on the mitigating effect of TQ against brain injury and cognitive dysfunction HFD consumers are insufficient, research on TQ interventions for oxidative stress and neuroinflammation caused by the HFD is still in its infancy. Although, the precise mechanisms causing obesity-induced brain damage have not fully clarified, the primary molecular mechanisms include increased oxidative stress, neuroinflammation and apoptosis. Given the wealth of information regarding TQ’s potential molecular neuroprotective effects under various conditions, we aimed to investigate the neuromitigating effects of TQ and its precise mechanisms of action against brain injury, cognitive and memory impairments in the brains of rats fed a HFD.
Results
The obtained results revealed that treatment with TQ alone had insignificant changes in the measured parameters when compared to the control group.
TQ reduced body weight and adipocyte size
When compared to the control group, daily HFD feeding for 12 weeks significantly (P < 0.001) increased body weight and, consequently, body weight gain percentage (175%). However, as compared to the HFD-fed animals, TQ supplementation to the HFD-fed rats from week 9 to week 12 significantly (P < 0.001) reduced body weight and body weight gain percentage (100%) (Fig. 1 A & B).
Effect of TQ and HFD on body weight changes (A) and body weight gain (%) (B). Data are shown as mean ± SEM (n = 6). H&E-stained fat tissue sections of control and different treated groups (C). Control and TQ-treated rats revealed normal arrangement and appearance of fat cells (asterisk) and nuclei (arrow) as well as blood vessels (arrowhead). Fat tissue section of the HFD group showed irregular appearance of fat cells represented by widened and swollen fat cells (red asterisk) with faded and ruptured cell membranes (tailed arrow), pyknosis (zigzag arrow), and congestion of blood vessels (curved arrow). Fat tissue section of the HFD + TQ-treated rats revealed a remarkable amelioration of fat cell structure and appearance compared to the HFD group. Quantification is expressed as the perimeter of visceral fat tissue (µm) in all studied groups. Each value represents the mean ± SEM of 5 microscopic fields/tissue samples.**,## Significant at P < 0.01, and ***,### Significant at P < 0.001. **, *** Indicate comparisons with respect to the control group. ##,### Indicate comparisons with respect to the HFD group. Cont : Control, TQ: Thymoquinone, HFD: High-fat diet, HFD + TQ: High-fat diet + Thymoquinone.
Histopathological examination of visceral fats of control and TQ-treated rats revealed normal arrangement and appearance of adipocytes and blood vessels in between. In contrast, the fat tissue section of the HFD group showed an irregular appearance of fat cells represented by a significant (P < 0.01) increase and widening in the perimeter of fat cells with faded and distorted cell membranes, deterioration of nuclei, and pyknosis with congestion of blood vessels. On the other hand, the fat tissue section of the HFD + TQ group revealed a significant (P < 0.01) amelioration of the adipocyte’s perimeter and appearance compared to the HFD group (Fig. 1 C).
TQ improved cognitive function and memory in HFD-fed rats
The open field test was used to test the effects of HFD and TQ on locomotor, exploratory, and anxiety-like behavior (Fig. 2 A–D). The HFD-treated group showed a significant (P < 0.001) decrease in the time spent in the center area, number of line crossings, rearing, and grooming frequency. On the other hand, TQ administration for four weeks in the HFD treated group significantly (P < 0.01; P < 0.05) improved the time spent in the center squares, grooming frequency, number of line crossings, and rearing frequency.
Effect of TQ and HFD on time spent in the inner zone (s; A), number of line crossings (B), rearing frequency (C), grooming frequency (D), number of the platform location crossings (E), escape latency (s; F), immobility time (s; G), spontaneous alternation behavior (%; H) in different treated groups. Data are shown as mean ± SEM (n = 6).# Significant at P < 0.05,**,## Significant at P < 0.01, and***Significant at P < 0.001.**,*** indicate comparisons with respect to the control group. #,## indicate comparisons with respect to the HFD group.Cont: Control, TQ: Thymoquinone, HFD: High-fat diet, HFD + TQ: High-fat diet + Thymoquinone.
Depression, short-term spatial memory, and long-term spatial memory were assessed using the Y-maze test and the Morris water maze, and forced swimming (Fig. 2 E–H). Rats fed a HFD required longer (P < 0.001) time to reach the platform and immobility time as well as showed a significant (P < 0.001) decrease in the number of platform location crossings and percentage of spontaneous alternation behavior when compared to the control group. Interestingly, these effects were significantly (P < 0.01; P < 0.05) improved when TQ was administered to HFD-fed rats.
TQ improved HFD-induced hyperglycemia, insulin resistance, and hyperlipidemia
The levels of insulin, glucose, HOMA-IR, and HbA1c were significantly (P < 0.001) higher than the levels observed in the control rats after 12 weeks of daily HFD feeding (Fig. 3). On the other hand, TQ given to HFD rats for 4 weeks significantly (P < 0.001) improved the glycemic parameters when compared to the HFD group.
Effect of TQ and HFD on blood glycemic parameters in different experimental groups. Glucose (mg/dl; A), insulin (μIU/ml; B), insulin resistance HOMA-IR (C), and glycosylated hemoglobin A1 c % (HbA1c %; D). Data are shown as mean ± SEM (n = 6).** Significant at P < 0.01, and ***,### Significant at P < 0.001.**,*** Indicate comparisons with respect to the control group. ### Indicate comparisons with respect to the HFD group. Cont: Control, TQ: Thymoquinone, HFD: High-fat diet, HFD + TQ: High-fat diet + Thymoquinone.
Figure 4 displays the effect of TQ and HFD on lipid profiles. After 12 weeks of daily HFD feeding, rats had significantly (P < 0.001) higher levels of TC, TG, LDL-C, and VLDL-C and lower HDL-C levels than the control group. TQ supplementation resulted in a significant (P < 0.001) decrease in TC, TG, LDL-C, and VLDL-C and a significant (P < 0.01) increase in HDL-C levels when compared to the HFD group.
Effect of TQ and HFD on lipid profile in different experimental groups. Total cholesterol (TC; A), Triglycerides (TG; B), low-density lipoprotein (LDL-C; C), very low-density lipoprotein (VLDL-C; D), and high-density lipoprotein (HDL-C; E) are expressed as mg/dl in different treated groups. Data are shown as mean ± SEM (n = 6).**,## Significant at P < 0.01, and ***,### Significant at P < 0.001.**,*** Indicate comparisons with respect to the control group. ##,### Indicate comparisons with respect to the HFD group. Cont: Control, TQ: Thymoquinone, HFD: High fat diet, HFD + TQ: High fat diet + Thymoquinone.
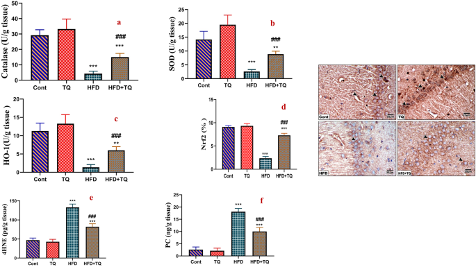
TQ improved redox balance in HFD-fed rats
After 12 weeks of daily HFD feeding, rats had significantly (P < 0.001) low activity of SOD, CAT, and OH-1 and expression of Nrf2 in the brains of HFD-fed rats. Additionally, the HFD-treated rats showed a significant (P < 0.001) increase in the lipid peroxidation and protein oxidation products (4-HNE and PC) as compared to the control group (Fig. 5). In contrast, TQ treatment of the HFD group significantly (P < 0.001) improved the activity of SOD, CAT, and HO-1 in the brain homogenates and the expression of Nrf2 in the pyramidal cell layer with a concomitant decrease in 4-HNE and PC in the brain when compared to the HFD group.
Effect of TQ and HFD on the levels of SOD (U/g tissue) (A), catalase (U/g tissue) (B), HO-1 (U/g tissue) (C), and immunohistochemical expression of Nrf2 in the pyramidal cell layer of hippocampal sections in the control and different rat groups (D). Expression is indicated by arrowhead (IHC, 400). Values are expressed as the means ± SEM of 5 microscopic fields/tissue samples of Nrf2%. As well as oxidative stress markers (4HNE, pg/g tissue) (E) and protein oxidation (protein carbonyl) (PC, ng/g tissue) (F) in the brain of all experimental groups. Data are shown as mean ± SEM (n = 6).**Significant at P < 0.01, and ***, ### Significant at P < 0.001.**,*** Indicate comparisons with respect to the control group. ### Indicate comparisons with respect to the HFD group. Cont: Control, TQ: Thymoquinone, HFD: High-fat diet, HFD + TQ: High-fat diet + Thymoquinone.
TQ controlled inflammatory mediators in HFD-fed rats
Because inflammatory mediators play a remarkable role in brain diseases, inflammatory cytokines were assayed in serum (Fig. 6). HFD-treated rats showed dramatic (P < 0.001) increased levels of IL-1β, IL-6, TNF-α, leptin, and CRP levels, as well as NF-κB expression in the pyramidal cell layer, while IL-10 and adiponectin levels were decreased in the serum as compared to the control group. In contrast, HFD rats treated with TQ exhibited a significant (P < 0.001) decrease in the levels of IL-1β, IL-6, TNF-α, leptin, and CRP levels, as well as NF-κB expression in the pyramidal cell layer, with a concomitant (P < 0.001) increase in IL-10 and adiponectin when compared to the HFD group.
Immunohistochemical determination of the expression of NF-κB in the pyramidal cell layer of hippocampal sections in the control and different rat groups (A). Expression is indicated by arrowhead (IHC, 400). Values are expressed as the means ± SEM of 5 microscopic fields/tissue samples of NF-κB%. Effect of TQ and HFD on serum levels of IL-1β (pg/ml; B), IL-6 (pg/ml; C), TNF-α (pg/ml; D), CRP (pg/ml; E), leptin (pg/ml; F), IL-10 (pg/ml; G), and adiponectin (ng/ml; H) in all experimental groups. Data are shown as mean ± SEM (n = 6).**Significant at P < 0.01, and ***,### Significant at P < 0.001.**,*** Indicate comparisons with respect to the control group. ### Indicate comparisons with respect to the HFD group. Cont: Control, TQ: Thymoquinone, HFD: High-fat diet, HFD + TQ: High-fat diet + Thymoquinone.
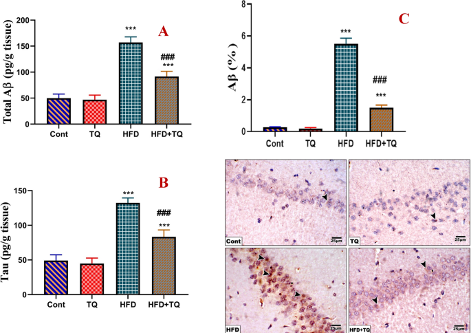
TQ reduced the levels of tau and Aβ proteins in HFD-fed rats
The current study demonstrated that HFD-fed rats had a significant (P < 0.001) increase in tau protein and Aβ levels (Fig. 7). The immunohistochemistry identification showed a significant increase in Aβ expression in the pyramidal cell layer. On the other hand, oral treatment with TQ of HFD-fed rats significantly (P < 0.001) decreased tau protein and total Aβ expression when compared with the HFD-fed rats.
Effect of TQ and HFD on brain levels of total amyloid β (Aβ) (pg/g tissue; A) and tau protein (pg/g tissue; B) in the brain of the experimental group. Data are shown as mean ± SEM (n = 6). Immunohistochemical determination of the expression of Aβ in the pyramidal cell layer of hippocampal sections in the control and different rat groups (C). Expression is indicated by arrowhead (IHC, 400). Values are expressed as the means ± SEM of 5 microscopic fields/tissue samples of Aβ%.***,### Significant at P < 0.001.*** Indicate comparisons with respect to the control group. ### Indicate comparisons with respect to the HFD group. Cont: Control, TQ: Thymoquinone, HFD: High-fat diet, HFD + TQ: High-fat diet + Thymoquinone.
TQ interacts with the Aβ and tau protein receptor’s binding site
In this study, molecular docking was used to predict how TQ interacts with macromolecular targets in structure-based drug design. The molecular docking simulations were carried out between TQ and the binding pockets of the Aβ and tau protein receptors to evaluate affinity scores and interaction modes (hydrophilic and hydrophobic) (Table 1). TQ was found to interact with the Aβ and tau protein receptor’s binding site, with the 2D and 3D binding characteristics (Fig. 8). The results revealed that the amino acid residue (AlaI42) of the Aβ receptor was bound through hydrogen bond to TQ. In addition, amino acid residue (LysB353) of the tau protein receptor bound through hydrogen bond to the carbonyl (C = O) group of TQ.
TQ modulated the levels of neurotransmitters and glutamine synthetase in HFD-fed rats
The levels of glutamate and GABA and the activity of glutamine synthetase in the brain tissue were displayed in Fig. 9. Daily feeding HFD for 12 weeks significantly (P < 0.001) increased the levels of glutamate, whereas GABA level and glutamine synthetase activity were significantly (P < 0.001) decreased, as compared to the control group. Additionally, a significant decrease (P < 0.001) in glutamate levels and glutamate synthetase activity and a significant (P < 0.001) increase in GABA levels were observed as compared with HFD-treated rats.
Effect of TQ and HFD on glutamate (µg/g tissue; A), GABA (pg/g tissue; B), and glutamine synthetase (U/g tissue; C) in the brain of all experimental groups. Data are shown as mean ± SEM (n = 6). **Significant at P < 0.01, and ***, ### Significant at P < 0.001. **, *** Indicate comparisons with respect to the control group. ### Indicate comparisons with respect to the HFD group. Cont: Control, TQ: Thymoquinone, HFD: High-fat diet, HFD + TQ: High-fat diet + Thymoquinone.
TQ mitigated the levels of apoptosis-regulating proteins and DNA damage in HFD-fed rats
The impact of TQ administration on the apoptosis-regulating proteins in the brain tissue of HFD-treated rats was investigated (Fig. 10). Compared to the control group, the levels of p53, Bax, and caspase-3 increased significantly (P < 0.001), whereas the level of the antiapoptotic protein Bcl-2 was significantly (P < 0.001) reduced in the brains of the HFD-treated group. Furthermore, TQ supplementation attenuated (P < 0.001) the elevation in the levels of p53, Bax, and Caspase-3 and improved (P < 0.001) the levels of Bcl-2 in HFD + TQ in the brains of obese rats when compared to the HFD-fed rats.
Effect of TQ and HFD on the levels of p53 (pg/g tissue; A), Bax (ng/g tissue; B), caspase 3 (ng/g tissue; C), and Bcl-2 (ng/g tissue; D) in the brains of all experimental groups. Data are shown as mean ± SEM (n = 6). **Significant at P < 0.01, and ***, ### Significant at P < 0.001. **, *** Indicate comparisons with respect to the control group. ### Indicate comparisons with respect to the HFD group. Cont: Control, TQ: Thymoquinone, HFD: High-fat diet, HFD + TQ: High-fat diet + Thymoquinone.
The ameliorative effect of TQ against DNA damage in rats suffering from obesity was illustrated using the comet assay in Fig. 11. Control and TQ-treated animals exhibited identical spots with untailed round shapes. On the other hand, all comet parameters were increased in rats given a HFD. In contrast, TQ-treated HFD-fed rats displayed considerably less DNA damage.
Effect of TQ and HFD on DNA damage in the brain of different experimental groups by using comet assay represented by tail length (μm; A), tail DNA (%; B), tail moment (unit; C) and (D) Representative photomicrographs of comet assay showing the effect of TQ and HFD on DNA damage.***,### Significant at P < 0.001.*** Indicate comparisons with respect to the control group. ### Indicate comparisons with respect to the HFD group. Cont: Control, TQ: Thymoquinone, HFD: High fat diet, HFD + TQ: High fat diet + Thymoquinone.
TQ mitigated the histopathological changes in the hippocampus of HFD-fed rats
Histological examination of control and TQ hippocampal sections showed typical and identical arrangement of Cornu Ammonis (CA, CA2, CA3, and CA4) of the hippocampus that projects into the concavity of the dentate gyrus. CA1 and CA3 regions showed normal organization of the polymorphic layer, molecular layer, and pyramidal cell layer in between. Eosinophilic neuropil consists of the processes of neurons and glial cells and blood vessels in both molecular and polymorphic layers. In addition, the normal cytoarchitecture of the dentate gyrus was also seen.
Hippocampal sections of HFD-treated rats showed neural degeneration represented by cellular damage, layer disorganization, and separations. In the CA1 and CA3 regions, the pyramidal cell layer exhibited disorganized rows with pericellular halos marking neuron apoptosis, mostly in the molecular layer, and congestion of irregular blood vessels. The thickness of the pyramidal cell layer was significantly (P < 0.01) increased with increased separation between them compared to the control group with increased granular layer separation in the dentate gyrus. Hippocampal sections of HFD + TQ rats showed restoration of cellular organization, thickness of the pyramidal cell layer, and the dentate gyrus with normal granular cell morphology and organization (Fig. 12).
Histopathological changes in the rat’s hippocampus of the control and different treatment groups. Hippocampus section of the control and TQ-treated rats showing organized Cornu Ammonis (CA1), (CA2), (CA3), and (CA4) regions; normal dentate gyrus (DG) with normal polymorphic layer (PoL), molecular layer(M), and pyramidal cell layer in between (PL); in addition to blood vessels (BV). HFD-treated hippocampal sections displaying neural degeneration represented by cellular damage and separations (asterisk). CA1 and CA3 regions, exhibiting irregular pyramidal cell layer (thin arrow) with disorganized rows surrounded by pericellular halos marking neurons apoptosis mostly in molecular layer (arrowhead) and congestion of irregular blood vessels (thick arrow). Hippocampal sections of HFD + TQ rats revealing restoration of neuronal cellular organization. (H&E, X40,100). Quantification is expressed as the pyramidal layer thickness (µm) in all studied groups. Each value represents the mean ± SEM of 5 microscopic fields/tissue samples. # Significant at P < 0.05 and **P < 0.01respectively.** Indicate comparisons with respect to the control group.# Indicate comparisons with respect to the HFD group. Cont: Control, TQ: Thymoquinone, HFD: High-fat diet, HFD + TQ: High-fat diet + Thymoquinone.
Discussion
The western diet, which consists of high-fat and refined carbohydrates, is being consumed by populations worldwide at an accelerating rate. Such diets induce obesity and are shown to be intimately associated with inflammation, oxidative stress, and neurological dysfunction22, including brain injury and cognitive and memory impairment in individuals of all ages23. Additionally, long-term high-calorie diet consumption impairs hippocampal-dependent learning and memory and alters brain plasticity24. TQ is a naturally occurring plant-derived product with various pharmacological and biological activities, including antioxidant and anti-inflammatory effects, among others. Nevertheless, it remains unknown whether TQ mitigates cognitive and memory performance and brain injury and the underlying mechanisms in the obese rats. The current study showed that daily TQ supplementation to the obese rats significantly improved brain plasticity and enhanced cognitive and memory performance and anxiety-related behavior through modulation of oxidative stress, inflammation, apoptosis, DNA injury and metabolic disorder.
In the present study, the effect of TQ on body weight gain of the HFD-fed rats was investigated. The current finding shows that daily administration of TQ for four weeks considerably alleviated the increase in body weight and concurrently reduced adipocyte size of visceral fats compared with the HFD-fed rats. In line with this, the TQ-treated rats showed lower serum lipid fractions, fasting glucose levels, and improved insulin resistance than the obese rats. These effects might be due to the ability of TQ to regulate lipid metabolism and gluconeogenesis in hepatic tissue and reduce intestinal glucose absorption25. These findings are consistent with recent data showing the anti-hyperglycemic and insulinotropic activity of TQ in rats26. Furthermore, TQ might have an ameliorating effect on lipotoxicity induced by HFD in rats because it promotes arylesterase activity, which protects lipoproteins from oxidation and ameliorates metabolic syndrome27. The decrease in adipocyte hypertrophy as well as body weight might be attributed to several mechanisms, including reduction of leptin released (as shown in the present study), appetite suppression28, and an inhibitory effect on pancreatic lipase29 suggesting that TQ might have an anti-obesity impact.
Previous studies showed that increased consumption of HFD has been associated with hyperlipidemia and linked to deficits in hippocampus-dependent learning and memory in both adults and children, indicating a detrimental effect on hippocampal function30. Interestingly, TQ improved hyperlipidemia with marked improvement of anxiety-related behaviors and enhanced long-term memory evidenced by increasing the number of crossings to the platform and escape latency in rats treated with HFD as measured by the Morris water maze. Furthermore, our findings revealed that TQ exerted anxiolytic effects evidenced by improving the time spent in the inner zone, rearing and grooming frequency, as well as the number of crossings in the open field test. In addition, depressive-like behavior and working memory were mitigated in HFD-fed animals treated with TQ, as indicated by the decreased immobility time and the increased spontaneous alternation percentage in forced swimming time and Y-maze test, respectively. These findings indicate that TQ counteracted memory and cognitive impairment in obese rats.
Furthermore, amyloid-β (Aβ) and tau proteins interact synergistically and serve as predictors of change in memory and spatial cognition31. The levels of Aβ and tau protein were assayed to evaluate the effects of TQ on the accumulation of these proteins in brains of the HFD-fed rats. The current results showed that consuming HFD significantly increased the levels of Aβ in brain homogenate and its expression in the pyramidal cell layer of the hippocampus, as well as tau proteins in the brains of the obese rats, and TQ treatment prevented the elevation of these proteins in the brain tissue. These findings are consistent with a report that TQ significantly reduced Aβ production and restored cognitive and memory deficits in a scopolamine-induced AD-like model32. Furthermore, TQ enhanced Aβ clearance by activation of autophagy in hippocampal and cortical neurons33. Recent findings showed that TQ improved synaptic recycling to mitigate Aβ clearance and inhibit Aβ aggregation34. These effects are supported by the current study’s molecular docking findings. TQ displayed an affinity to interact with and block the binding sites of Aβ and tau proteins, which might explain the neuroprotective effects of TQ and might be a promising supplementation for brain dysfunction.
Glutamate is the main excitatory neurotransmitter in the brain and has a role in neurophysiological functions, including learning and memory35. Increased glutamate levels induce neuronal excitotoxicity and cause neuronal damage with functional impairment in a number of neurological diseases36. Since elevated HFD consumption has been associated with impairments in recognition memory, changes in excitatory and inhibitory neurotransmitters in the brain have been observed following treatment of HFD-fed rats with TQ. It was found that TQ lowered the glutamate and upregulated the GABA levels, and restored the activity of glutamate synthetase in the brain of HFD-treated rats. These results might be attributed to the ability of TQ to reduce acute HFD-induced stress responses via upregulation of glutamate synthetase activity and reduce changes in N-methyl-d-aspartate (NMDA) receptor-induced plasticity. Glutamate upregulation activates the NMDA receptor that enhances the formation of amyloid plaque, leading to excitotoxicity and neuronal impairment37 suggesting that TQ alleviated HFD-induced hyperglutamatergic metabolism via the activation of glutamate synthetase. A previous study has demonstrated that TQ’s anti-amyloidogenic, antioxidant, and antiapoptotic properties can attenuate the consequences of glutamate-induced excitotoxicity38. Moreover, TQ restored the levels of glutamine synthetase and amylometers anxiolytic activity by modulating the levels of GABA-ergic pathways in cerebral cortical and hippocampal neurons39,40. Accordingly, the current data suggest that TQ might have a neuroprotective effect against glutamate-induced excitotoxicity linked with cognitive impairment in HFD individuals.
Pyramidal cells are the main excitatory neurons found in several areas of the brain, including the hippocampus, and are aligned in the pyramidal cell layer. Pyramidal cells in the subiculum and CA1 in the hippocampus are responsible for creating a cognitive map that encodes spatial, contextual, and affective information, which is then transmitted throughout the brain41. In the current study, rats fed a HFD displayed an enlarged pyramidal cell layer in the CA1 in the hippocampus, which is indicative of disrupted hippocampal structure, compared to the control rats. In contrast, obese rats treated with TQ displayed a thinner layer of pyramidal cells than obese rats, suggesting that TQ might have a protective impact on pyramidal cells in the hippocampus, hence improving cognitive performance. This finding confirms a study reporting the healing effect of TQ on the pyramidal cell layer in the CA1 after traumatic brain injury via suppression of oxidative stress42.
A recent study has reported that chronic consumption of HFD disrupted redox imbalance by accelerating β-oxidation of fatty acids and increasing the production of ROS43. According to Zhang, et al.44, cognitive deficits are associated with HFD-induced oxidative stress. The current results showed that daily feeding HFD for 12 weeks dramatically increased the levels of protein oxidation and the lipid peroxidation markers (4-HNE and PC, respectively) as well as a notable decrease in SOD and CAT activity in the brain. Meanwhile, TQ treatment enhanced the activity of SOD, CAT, and HO-1 levels in the brain and Nrf2 expression in the pyramidal cell of obese rats. Moreover, the reduction in PC and 4-HNE levels indicated the alleviation of oxidative stress via activation of the antioxidant system. These findings agree with a study showing that TQ increased the expression of Nrf2 and HO1 and SOD activity in the hippocampus45. A recent study showed that TQ ameliorated oxidative damage in dopaminergic neurons by activating the Nrf2/ARE pathway, reducing lipid peroxidation, and increasing the expression of HO-1, thus mitigating the propagation of neural damage46. Because TQ has been shown to exhibit antioxidant effects based on its chemical structure13, targeting protein and lipid oxidation by TQ might counteract the damage caused by oxidative stress.
Obesity and overweight are linked to chronic systemic inflammation, which can accelerate the progression of neurodegenerative diseases. The current study displayed a marked decrease in the levels of IL-1β, IL-6, CRP, TNF-α, and leptin with a significant increase in adiponectin and IL-10 in the sera of HFD-fed rats treated with TQ, suggesting amelioration of the unbalanced cytokines. These results agreed with studies that reported that TQ reduced IL-6, TNF-α, IL-1β, CRP, and TNF-α in the rat hippocampus47,48. Additionally, TQ downregulated NF-κB expression in the pyramidal cells in the hippocampus of HFD-fed rats. This effect matches a recent study that TQ has immunomodulator activities through controlling NF-κB and Toll-like receptors, therefore regulating the expression of pro-inflammatory mediators49,50. The increase of adiponectin in HFD rats treated with TQ showed beneficial effect. It can enhance insulin sensitivity, stimulate fatty acid oxidation, and reduce gluconeogenesis in the liver51. Moreover, it exhibits an anti-inflammatory effect by downregulating NF-κB and TNF-α-induced expression of endothelial adhesion molecules and enhances IL-10 expression in the brain52,53.
In addition to regulating energy balance and glucose and lipid metabolism, leptin and adiponectin, which are mostly produced by adipocytes, also modulate inflammation and may be implicated in the link between obesity and neuronal function54. The current study demonstrated that TQ administration improved the balance between leptin and adiponectin levels in the obese rats. This result confirms other studies that rats given a 50% HFD showed a reduction in leptin and lipid blood levels after receiving TQ treatment for 6 weeks55. This effect might be explained by the reduction of adipocyte size, body weight, and pro-inflammatory cytokines, suggesting that TQ has an anti-inflammatory effect.
Neuronal apoptosis is associated with HFD-induced brain damage56. Previous findings revealed that HFD-fed rats had higher oxidative stress in the brain and hippocampal regions, leading to impaired hippocampal plasticity and increased apoptosis57. Assessing apoptotic-regulating proteins in the brains of obese rats allowed further mechanistic pathways of TQ’s neuroprotective effects and the improved cognitive function in HFD-fed rats. In line with Tabeshpour, et al.58, the current findings demonstrated that TQ had an antiapoptotic effect by reducing Bax, caspase-3, and p53 while upregulating Bcl-2. These data revealed the ability of TQ to counteract the mitochondrial pathway of apoptosis and maintain mitochondrial integrity against HFD-induced apoptotic response. It is reported that TQ decreased the expression of the caspase-3 in the brain tissue15,59. TQ protected neuronal viability against arsenic-induced hippocampal damage by improving mitochondrial membrane potential, decreasing mitochondrial dysfunction, restoring the levels of Bcl-2 and Bax through improving redox balance60,61. Moreover, TQ protected human neuronal cells (SH-SY5Y cell line) by modulating several signaling genes p53, AKT1, ERK1/2, P38 MAPK, JNK, and NF-κB62.Thus, the antiapoptotic effects of TQ afford neuroprotection against HFD-induced brain injury.
Numerous neurological disorders are linked to the loss or deterioration of genome repair processes, which can especially affect the DNA of neurons. It is commonly known that the neuronal genome experiences DNA damage, most likely due to high levels of oxidative stress in the brain and the high rate of oxygen consumption in the brain and the corresponding generation of ROS in the brain63. Oxidative stress associated with obesity is strongly contributed to the progression of DNA damage64. Our study revealed that TQ treatment markedly protected against DNA damage in obese rats, as indicated by low comet parameters compared with the brains of HFD-fed rats. These results suggest that TQ protected DNA structure and enhanced DNA repair mechanisms, possibly through the base excision repair (BER) pathway65. The improvement may also be due to TQ’s capacity to modulate redox imbalance and strengthen the neuronal antioxidant system66. TQ increased the expression of Nrf2, which is a master regulator of antioxidant signaling, to reduce ROS-induced DNA fragmentation67. The current findings showed that TQ is effective in maintaining DNA integrity caused by consuming HFD.
Conclusions
In conclusion, the current findings suggest that TQ maintains brain plasticity and cognitive and memory function through several interconnected pathways. These include reduction of the oxidative stress and metabolic disruption via its antioxidant properties acquired from its chemical structure and by enhancing antioxidant capacity via the Nrf2/OH-1/SOD/CAT pathway. The TQ-induced improvement of the redox balance modulated neuroinflammation and DNA damage, which moderated the mitochondrial apoptosis pathway, hence protecting neurons and their functions. These effects help regulate neurotransmitter balance and down-regulate the accumulation of Aβ and tau proteins, which results in protection of brain injury and maintenance of neuronal cognitive and memory function (Fig. 13). Consequently, TQ may be recommended as a supplement for obese individuals to maintain brain health and cognitive fitness. However, further research is required to fully understand the complex interaction between Nrf2 expression and brain challenges, taking into account different neurodegenerative diseases associated with obesity.
Materials and methods
Chemicals
Thymoquinone (TQ) was purchased from Sigma Chemical Company (Sigma Aldrich, St. Louis, MO, USA) (CAS number 490–91-5). All other chemicals used in this study were of the highest chemical grade.
Animals
Twenty-four adult male Wistar albino rats weighing 120–140 g were obtained from the Egyptian Institute of Vaccine and Serological Production, Egypt. Rats were maintained at the animal house of the zoology department, Faculty of Science, Mansoura University. The rats were housed in a polypropylene cage with a 125 ml water bottle. Bedding made of straw pellets was used and cleaned every 2 days. All rats were acclimatized to the standard laboratory conditions (25 °C and a 12-h light/12-h dark cycle) and had free access to standard commercial rat chow and water ad libitum. The methods are approved by the ethical research project committee in Mansoura University (MU-ACUC.SC. PhD.24.01.16) and performed in accordance with its relevant guidelines and regulations complied with ARRIVE in accordance with Guidance on the operation of the Animals, Act 1986 and associated guidelines.
Rats are frequently utilized in behavioral studies because they are more gregarious than mice and their behavior more closely resembles that of humans. Furthermore, rats exhibit less stress when handled by humans. The pharmaceutical sector heavily relies on rats for toxicity68.
Experimental design and animal treatment
After two weeks of acclimatization, a total of 24 animals were randomly divided into four groups of 6 rats each. The control group received a standard diet (29% calories from protein, 54% from carbohydrates (no sweetener added), and 17% from fat). Rats in the thymoquinone (TQ) group were administered TQ orally by stomach tube daily from week 9 to week 12 at a dose of 40 mg/kg body weight69,70. Rats in the high-fat diet (HFD) group were given HFD-fed pellets (68% standard diet, 30% animal abdominal fat, and 2% pure cholesterol) for 12 weeks71. The HFD was available ad-libitum. Rats in the HFD + TQ-treated group received HFD daily for 12 weeks and were treated with TQ (40 mg/kg body weight) daily from week 9 to week 12 in similar way of groups 2 and 3 (Fig. 14).
Schematic illustration of the experimental design. Four groups (n = 6) of rats were randomly assigned after two weeks of acclimatization. The control group received a standard diet. Rats in the thymoquinone (TQ) group were daily administered TQ orally daily from week 9 to week 12. Rats in the high-fat diet (HFD) group were given HFD-fed pellets for 12 weeks. Rats in the HFD + TQ-treated group received HFD daily for 12 weeks and were treated with TQ daily from week 9 to week 12.
Body weights were measured weekly starting at the first day of the experiment for 12 weeks.
Sample collection
Rats were fasted overnight and then anaesthetized with a mixture of ketamine and xylazine (1 ml/kg BW, IP). Blood was obtained by cardiac puncture into a non-heparinized tube, and clear serum was separated after clotting and cool centrifugation. The clear non-hemolyzed sera were stored at -20 °C until biochemical analysis. A small amount of blood was collected in an EDTA tube for glycosylated hemoglobin (HbA1c) determination. Furthermore, brain and visceral fat tissue was immediately separated and fixed in neutral formalin (10%) for histopathological investigation. Other samples of brain were removed, weighted, and homogenized (10% w/v) in cold tris–HCl buffer (0.1 M) pH 7.4. The homogenates were cool centrifuged for 15 min at 4000 rpm. The supernatant was properly aspirated, divided into aliquots, and stored at—20 °C until biochemical analysis.
Neurobehavioral tests
Exploratory, long-term spatial memory, depression, and short-term spatial memory were assessed by the open field test, Morris water maze test, forced swimming test, and Y-maze test, respectively. All tests were performed in a sound-proof room.
Open field test
The exploratory, locomotor, and anxiety-related behaviors were evaluated by the open field test. The experimental animal was placed in a black square box measuring 40 cm (W) × 40 cm (L) × 30 cm (H). The square box was divided into 16 equally sized squares. Each experimental rat was placed in the center of the box and allowed to explore the square box for 10 min freely. At the end of each trial, the square box was cleaned with 70% ethanol. Time spent in the inner zone, number of line crossings, rearing frequency, and grooming frequency were evaluated as previously described72,73.
Morris water maze test
To evaluate the effect of HFD on long-term spatial memory and learning, rats were subjected to the Morris water maze. A circular tank (150 cm diameter × 50 cm height) was filled with water and provided with a white platform (10 cm diameter). The tank was divided into four equal quadrants, marked N-S-E-W. In addition, the platform was placed in the middle of one of the four maze quadrants (the target quadrant) and submerged 1.5 cm below the water level. Rats were trained to find the platform in three trials per day for three days. Each trial begins with a different starting position (in a quadrant not containing the platform). Rats were allowed to swim freely for 60 s to find the platform, then allowed to stay on it for 20 s before being returned to their home cage and dried with a pad until the next trial. If the rat had failed to reach the direct platform, the rat was directed to the platform and given 20 s to remain there. On the 4th day, after all 9 trials were completed, a probe test was performed to confirm the animal’s behavior and determine the position of the platform. Additionally, escape latency and the number of the platform location crossings were evaluated.
Forced swimming test
The forced swimming test was used to evaluate depression-related behaviors. Each rat was permitted to swim for 6 min in a transparent cylindrical tank (40 cm height × 20 cm diameter) filled with water to a depth of 25 cm to prevent the rat from reaching the bottom of the container with its hind limbs or tail. Immobility time was recorded in the last 4 min, while the initial two minutes were referred to as habituation time. After that, the rat was dried with a pad and returned to their plastic cage74.
Y‑maze test
The Y-maze test was used to evaluate the effect of HFD on short-term working memory by measuring the percentage of spontaneous alternation behavior. Y-maze consisted of three equal arms labeled A, B, and C, respectively. Additionally, each arm is 50 cm long, 20 cm high, and 15 cm wide. Each rat was placed at the end of one arm and permitted to explore the maze freely for 8 min. A rat was considered to be in one alternation when it entered each of three successive arms. The following formula was used to estimate alteration percentage; number of spontaneous alternations)/ (total number of arm entries − 2) × 10075.
Biochemical analysis
Quantitative determination of serum glucose was performed calorimetrically using kits provided by Spinreact (Spain). Insulin levels in serum were determined according to the instructions of the ELISA kits (Catalog # MX41011 and ELR-Insulin) RayBiotech (Georgia, USA). Homeostatic model assessment of insulin resistance (HOMA-IR) was calculated according to Majid, et al.76. The levels of HbA1c were measured calorimetrically by a commercial kit (Catalog # 80,300) obtained from Crystal Chem (Elk Grove Village, USA).
Serum lipid fractions (total cholesterol (TC), triglyceride (TG), and high-density lipoprotein cholesterol (HDL-C)) were estimated using enzymatic colorimetric assay kits (Catalog # SPIN-1001090, SPIN-1001310, and SPIN- 1,001,095) purchased from Spinreact (Girona, Spain), respectively. The levels of LDL-C and V-LDL-C were calculated according to Friedewald, et al.77.
Serum levels of interleukin-1 beta (IL-1β), interleukin-6 (IL-6), tumor necrosis factor alpha (TNF-α), interleukin-10 (IL-10), and C-reactive protein (CRP) were determined quantitatively using rat ELISA kit (Catalog # ELR-IL1b, ELR-IL6, ELR-TNFa, ELR-IL10, MBS2508830) purchased from RayBiotech (Georgia, USA) and MyBioSource (San Diego, CA, USA), respectively. Quantitative determination of leptin and adiponectin was determined in serum using a double antibody sandwich ELISA kit (Catalog # ELR-Leptin and ELR-Adiponectin) purchased from RayBiotech (Georgia, USA).
Quantitative determination of 4-Hydroxynonenal (4-HNE) and protein carbonyl (PC) in brain homogenates were determined using rat ELISA kits (Catalog # MBS7606779 and MBS2600784) provided by MyBioSource (San Diego, CA, USA). In brain homogenates, the activity of superoxide dismutase (SOD) and catalase was determined by colorimetric assay kits (Catalog # SD 25 21 and CA 25 17) purchased from Biodiagnostic Company (Giza, Egypt). The concentration of heme oxygenase 1 (HO-1) was determined quantitatively using rat ELISA kit (Catalog # MBS764989) purchased from MyBioSource (San Diego, CA, USA).
The levels of total amyloid beta peptide (Aβ) concentration and tau protein in the brain homogenates were performed quantitatively using rat ELISA kits (Catalog # CEA946Ra and MBS3807667) purchased from Cloud-Clone Corp (Wuhan, China) and MyBioSource (San Diego, California, USA), respectively. Glutamate, gamma-aminobutyric acid (GABA), and glutamate synthetase in brain homogenates were assayed quantitatively using rat ELISA kits (Catalog # KA1909, MBS269152, and MBS764194) obtained from Abnova (Taipei City, Taiwan) and MyBioSource (San Diego, CA, USA), respectively.
The levels of Bax, Bcl-2, p53, and Caspase-3 were determined quantitatively using the instructions of the ELISA kits (Catalog # MBS2512405 and MBS2515143, CSB-E08336r, and CSB-E08857r) provided by MyBioSource (San Diego, CA, USA) and Cusabio (Wuhan, China), respectively.
Comet assay
In brain homogenates, DNA damage was determined using single-cell gel electrophoresis (comet assay) method78. The Komet 5.0 image analysis software was used to determine the length of DNA migration (μm), the percentage of migrated DNA (%), and the tail moment to assess the quantitative and qualitative amount of DNA damage in the brain (Unit). Using CASP software, the tail length was multiplied by the percentage of migrated DNA to calculate the tail moment.
Molecular docking
Preparation of Amyloid beta-42 and tau protein
Molecular docking investigations are conducted to understand the binding interactions and specific amino acid residues responsible for the biological activity of thymoquinone. The fibril structure of Aβ is available under PDB ID: 5OQV79, while the fibril structure of tau protein can be found under PDB ID: 5O3O80. Aβ and tau protein receptors were obtained from the protein data bank (https://www.rcsb.org/). Receptor protein was prepared for molecular docking by 3D protonation, hydrogen addition, energy minimization, and prediction of the active site for ligands. Next, thymoquinone was docked with the target proteins (Aβ and tau protein) using the Triangle Matcher placement method while using MOE software. Then, the ligand was selected, and rescoring was set at London dG and rescoring at GBVI/WSA dG, running so as to note the ligand interaction with protein81. Protein–ligand docking score, ligand properties, and 2D and 3D structures were assayed.
Ligand preparation
The MOE builder tool was used to construct the 3D structure of TQ. Afterward, the 3d structure was minimized to reduce the strain within the bond and added to MOE databank.
Histopathological examination of the hippocampus and visceral fat
For histological investigation, brain and visceral fat tissues were preserved in 10% neutral formalin (pH 7.6). After undergoing dehydration, cleaning, and paraffin infiltration, the samples were sliced into 5-µm slices. The sections were stained with hematoxylin and eosin. A bright field Olympus light microscope and Amscope MU1000 camera were used to capture images to look for histopathological alterations in the hippocampus and visceral fat.
Immunohistochemical evaluation of Nrf2, NF-kB, and Aβ
According to Janardhan, et al.82, labeled streptavidin–biotin immunoperoxidase technique was used. Paraffin-embedded brain sections were deparaffinized, and antigen retrieval was done by heat-treating. Afterward, the activity of endogenous peroxidase was blocked by 3% H2O2. Following the manufacturer’s instructions, the sections were blocked with 5% bovine serum albumin and then incubated overnight at 4 °C with primary antibodies, including anti-Nrf2 rabbit polyclonal antibody (Catalog # A11159; ABclonal, Wuhan, Hubei, China; 1:200), Aβ mouse monoclonal antibody (Catalog # 803,001; BioLegend, San Diego, USA; 1:2000), and NF-kB mouse monoclonal antibody(Catalog # EM1377; ELK Biotechnology, Denver, USA; 1:200). Slides were then examined and photographed using the Olympus digital camera installed on Olympus microscope with a 1/2 X photo adapter, using 10 X objective. The result images were then analyzed for labeling index using ImageJ software as previously described83.
Statistical analysis
All data values were presented as mean ± the standard error of the mean (SEM). Statistical comparisons were made by one-way analysis of variance (ANOVA) and Tukey as a post-hoc test by GraphPad prism 8.0 software. In addition, statistical differences were represented with the following symbols of significance level: *P < 0.05, **P < 0.01 and ***P < 0.001 versus control animals. #P < 0.05, ##P < 0.01 and ###P < 0.001 versus HFD group.
Data availability
All data generated or analyzed during this study are included in this published article.
References
Harborg, S. et al. New Horizons: Epidemiology of obesity, diabetes mellitus, and cancer prognosis. J. Clin. Endocrinol. Metab. 109, 924–935. https://doi.org/10.1210/clinem/dgad450 (2024).
Gómez-Apo, E., Mondragón-Maya, A., Ferrari-Díaz, M. & Silva-Pereyra, J. Structural brain changes associated with overweight and obesity. J. Obesity 2021, 6613385. https://doi.org/10.1155/2021/6613385 (2021).
Behrooz, A. B. et al. The obesity-autophagy-cancer axis: Mechanistic insights and therapeutic perspectives. Semin. Cancer Biol. 99, 24–44. https://doi.org/10.1016/j.semcancer.2024.01.003 (2024).
Wang, X. L. & Li, L. Microglia regulate neuronal circuits in homeostatic and high-fat diet-induced inflammatory conditions. Front. Cell Neurosci. 15, 722028. https://doi.org/10.3389/fncel.2021.722028 (2021).
Melo, H. M., Lyra, E. S. N. M. & Grillo, C. A. Editorial: The impact of obesity on cognitive function. Front. Neurosci. 16, 916243. https://doi.org/10.3389/fnins.2022.916243 (2022).
Posridee, K., Chirinang, P., Oonsivilai, A. & Oonsivilai, R. Evaluation of short-term toxicity and cholesterol-lowering effects in rats exposed to dietary fiber derived from cassava pulp. Foods 12, 4074 (2023).
Evans, A. K. et al. Impact of high-fat diet on cognitive behavior and central and systemic inflammation with aging and sex differences in mice. Brain Behav. Immun. 118, 334–354. https://doi.org/10.1016/j.bbi.2024.02.025 (2024).
Henry, R. J. et al. Interaction of high-fat diet and brain trauma alters adipose tissue macrophages and brain microglia associated with exacerbated cognitive dysfunction. J. Neuroinflammation 21, 113. https://doi.org/10.1186/s12974-024-03107-6 (2024).
Wu, H. M. et al. Probucol mitigates high-fat diet-induced cognitive and social impairments by regulating brain redox and insulin resistance. Front. Neurosci. 18, 1368552. https://doi.org/10.3389/fnins.2024.1368552 (2024).
Jan, A. et al. Melatonin rescues pregnant female mice and their juvenile offspring from high fat diet-induced alzheimer disease neuropathy. Heliyon 10, e36921. https://doi.org/10.1016/j.heliyon.2024.e36921 (2024).
Madhubala, D., Patra, A., Khan, M. R. & Mukherjee, A. K. Phytomedicine for neurodegenerative diseases: The road ahead. Phytother. Res. 38, 2993–3019. https://doi.org/10.1002/ptr.8192 (2024).
Sarkar, C. et al. Therapeutic perspectives of the black cumin component thymoquinone: A review. Food Funct. 12, 6167–6213. https://doi.org/10.1039/d1fo00401h (2021).
Isaev, N. K., Genrikhs, E. E. & Stelmashook, E. V. Antioxidant thymoquinone and its potential in the treatment of neurological diseases. Antioxidants (Basel) https://doi.org/10.3390/antiox1202043 (2023).
Sadeghi, E., Imenshahidi, M. & Hosseinzadeh, H. Molecular mechanisms and signaling pathways of black cumin (Nigella sativa) and its active constituent, thymoquinone: A review. Mol. Biol. Rep. 50, 5439–5454. https://doi.org/10.1007/s11033-023-08363-y (2023).
Hamdan, A. M. et al. Thymoquinone therapy remediates elevated brain tissue inflammatory mediators induced by chronic administration of food preservatives. Sci. Rep. 9, 7026. https://doi.org/10.1038/s41598-019-43568-x (2019).
Cikman, O. et al. The radio-protective effects of caffeic acid phenethyl ester and thymoquinone in rats exposed to total head irradiation. Wien Klin Wochenschr. 127, 103–108. https://doi.org/10.1007/s00508-014-0635-0 (2015).
Imam, A. L. et al. Thymoquinone ameliorate oxidative stress, GABAergic neuronal depletion and memory impairment through Nrf2/ARE signaling pathway in the dentate gyrus following cypermethrin administration. BMC Neurosci. 25, 45. https://doi.org/10.1186/s12868-024-00896-7 (2024).
Alhebshi, A. H., Gotoh, M. & Suzuki, I. Thymoquinone protects cultured rat primary neurons against amyloid beta-induced neurotoxicity. Biochem. Biophys. Res. Commun. 433, 362–367. https://doi.org/10.1016/j.bbrc.2012.11.139 (2013).
Alrafiah, A. Thymoquinone protects neurons in the cerebellum of rats through mitigating oxidative stress and inflammation following high-fat diet supplementation. Biomolecules 11, 165 (2021).
Ustaoğlu, ŞG. & Elibol, B. Effects of thymoquinone (TQ) on the molecular structure and total antioxidant capacity of cerebellum tissue of healthy rats. Experimed 12, 94–102 (2022).
Beker, M., Dalli, T. & Elibol, B. Thymoquinone can improve neuronal survival and promote neurogenesis in rat hippocampal neurons. Mol. Nutr. Food Res. https://doi.org/10.1002/mnfr.201700768 (2018).
Muscat, S. M., Butler, M. J., Mackey-Alfonso, S. E. & Barrientos, R. M. Young adult and aged female rats are vulnerable to amygdala-dependent, but not hippocampus-dependent, memory impairment following short-term high-fat diet. Brain Res. Bull. 195, 145–156. https://doi.org/10.1016/j.brainresbull.2023.03.001 (2023).
Tan, B. L. & Norhaizan, M. E. Effect of high-fat diets on oxidative stress, cellular inflammatory response and cognitive function. Nutrients https://doi.org/10.3390/nu11112579 (2019).
Pickersgill, J. W. et al. The combined influences of exercise, diet and sleep on neuroplasticity. Front. Psychol. https://doi.org/10.3389/fpsyg.2022.831819 (2022).
Almatroodi, S. A., Alnuqaydan, A. M., Alsahli, M. A., Khan, A. A. & Rahmani, A. H. Thymoquinone, the most prominent constituent of nigella sativa, attenuates liver damage in streptozotocin-induced diabetic rats via regulation of oxidative stress, inflammation and cyclooxygenase-2 protein expression. Appl. Sci. 11, 3223 (2021).
Hafez, M. H., Ez Elarab, S. M., Tohamy, H. G. & El-Far, A. H. Thymoquinone attenuates diabetes-induced hepatic damage in rat via regulation of oxidative/nitrosative stress, apoptosis, and inflammatory cascade with molecular docking approach. Sci. Rep. 14, 13016. https://doi.org/10.1038/s41598-024-62780-y (2024).
Abdelrazek, H. M. A., Kilany, O. E., Muhammad, M. A. A., Tag, H. M. & Abdelazim, A. M. Black seed thymoquinone improved insulin secretion, hepatic glycogen storage, and oxidative stress in streptozotocin-induced diabetic male wistar rats. Oxid. Med. Cell. Longev. 2018, 8104165. https://doi.org/10.1155/2018/8104165 (2018).
Adam, S. H. et al. A review of the potential health benefits of nigella sativa on obesity and its associated complications. Plants (Basel) https://doi.org/10.3390/plants12183210 (2023).
Shamsiya, T. K., Manjunatha, J. & Manonmani, H. Lipase inhibitors from Nigella sativa and Punica granatum as an effective approach towards controlling obesity. Int. J. Health Life Sci. 2, 1–19 (2016).
Schmitt, L. O. & Gaspar, J. M. Obesity-induced brain neuroinflammatory and mitochondrial changes. Metabolites https://doi.org/10.3390/metabo13010086 (2023).
Grigorova, M. et al. Amyloid- beta and tau deposition influences cognitive and functional decline in Down syndrome. Neurobiol. Aging 119, 36–45. https://doi.org/10.1016/j.neurobiolaging.2022.07.003 (2022).
Abo Mansour, H. E. et al. The potential neuroprotective effect of thymoquinone on scopolamine-induced in vivo alzheimer’s disease-like condition: mechanistic insights. Molecules (Basel, Switzerland) https://doi.org/10.3390/molecules28186566 (2023).
Liu, X., Ye, M. & Ma, L. The emerging role of autophagy and mitophagy in tauopathies: From pathogenesis to translational implications in Alzheimer’s disease. Front. Aging Neurosci. https://doi.org/10.3389/fnagi.2022.1022821 (2022).
Samad, N., Manzoor, N., Muneer, Z., Bhatti, S. A. & Imran, I. Reserpine-induced altered neuro-behavioral, biochemical and histopathological assessments prevent by enhanced antioxidant defence system of thymoquinone in mice. Metab. Brain Dis. 36, 2535–2552. https://doi.org/10.1007/s11011-021-00789-2 (2021).
Pal, M. M. Glutamate: The master neurotransmitter and its implications in chronic stress and mood disorders. Front. Hum. Neurosci. 15, 722323. https://doi.org/10.3389/fnhum.2021.722323 (2021).
Nicosia, N., Giovenzana, M., Misztak, P., Mingardi, J. & Musazzi, L. Glutamate-mediated excitotoxicity in the pathogenesis and treatment of neurodevelopmental and adult mental disorders. Int. J. Mol. Sci. https://doi.org/10.3390/ijms25126521 (2024).
Simoes, A. P. et al. Glutamate-induced and NMDA receptor-mediated neurodegeneration entails P2Y1 receptor activation. Cell Death Dis. 9, 297. https://doi.org/10.1038/s41419-018-0351-1 (2018).
Fouad, I. A., Sharaf, N. M., Abdelghany, R. M. & El Sayed, N. Neuromodulatory effect of thymoquinone in attenuating glutamate-mediated neurotoxicity targeting the amyloidogenic and apoptotic pathways. Front. Neurol. 9, 236. https://doi.org/10.3389/fneur.2018.00236 (2018).
Farkhondeh, T., Samarghandian, S., Shahri, A. M. P. & Samini, F. The Neuroprotective Effects of Thymoquinone: A Review. Dose-Res.: A Publ. Int. Hormesis Soc. 16, 1559325818761455. https://doi.org/10.1177/1559325818761455 (2018).
Meral, I. et al. Effects of Nigella sativa on apoptosis and GABA(A) receptor density in cerebral cortical and hippocampal neurons in pentylenetetrazol induced kindling in rats. Biotechnic Histochem.: Offic. Publ. Biol. Stain Commission 91, 493–500. https://doi.org/10.1080/10520295.2016.1245866 (2016).
Graves, A. R. et al. Hippocampal pyramidal neurons comprise two distinct cell types that are countermodulated by metabotropic receptors. Neuron 76, 776–789. https://doi.org/10.1016/j.neuron.2012.09.036 (2012).
Gulsen, I. et al. Neuroprotective effects of thymoquinone on the hippocampus in a rat model of traumatic brain injury. World Neurosurg. 86, 243–249. https://doi.org/10.1016/j.wneu.2015.09.052 (2016).
Aranda-Rivera, A. K., Cruz-Gregorio, A., Arancibia-Hernández, Y. L., Hernández-Cruz, E. Y. & Pedraza-Chaverri, J. RONS and oxidative stress: An overview of basic concepts. Oxygen 2, 437–478 (2022).
Zhang, L. et al. The role of Nrf2 on the cognitive dysfunction of high-fat diet mice following lead exposure. Biol. Trace Elem. Res. 199, 2247–2258. https://doi.org/10.1007/s12011-020-02346-x (2021).
Shao, Y.-Y. et al. Thymoquinone attenuates brain injury via an antioxidative pathway in a status epilepticus rat model. Transl. Neurosci. 8, 9–14. https://doi.org/10.1515/tnsci-2017-0003 (2017).
Dong, J. et al. Thymoquinone prevents dopaminergic neurodegeneration by attenuating oxidative stress via the Nrf2/ARE pathway. Front. Pharmacol. 11, 615598. https://doi.org/10.3389/fphar.2020.615598 (2020).
Bargi, R. et al. The effects of thymoquinone on hippocampal cytokine level, brain oxidative stress status and memory deficits induced by lipopolysaccharide in rats. Cytokine 96, 173–184. https://doi.org/10.1016/j.cyto.2017.04.015 (2017).
Maideen, N. M. P. Antidiabetic Activity of Nigella Sativa (Black Seeds) and Its Active Constituent (Thymoquinone): A Review of Human and Experimental Animal Studies. Chonnam. Med. J. 57, 169–175. https://doi.org/10.4068/cmj.2021.57.3.169 (2021).
Ali, M. Y. et al. Thymoquinone in autoimmune diseases: Therapeutic potential and molecular mechanisms. Biomed. Pharmacotherapy 134, 111157. https://doi.org/10.1016/j.biopha.2020.111157 (2021).
Akter, Z., Ahmed, F. R., Tania, M. & Khan, M. A. Targeting inflammatory mediators: an anticancer mechanism of thymoquinone action. Curr. Med. Chem. 28, 80–92 (2021).
Khoramipour, K. et al. Adiponectin: Structure, physiological functions, role in diseases, and effects of nutrition. Nutrients https://doi.org/10.3390/nu13041180 (2021).
da Silva Rosa, S. C., Liu, M. & Sweeney, G. Adiponectin synthesis, secretion and extravasation from circulation to interstitial space. Physiology (Bethesda) 36, 134–149. https://doi.org/10.1152/physiol.00031.2020 (2021).
Feijóo-Bandín, S. et al. Adipokines and inflammation: Focus on cardiovascular diseases. Int. J. Mol. Sci. 21, 7711 (2020).
Neto, A., Fernandes, A. & Barateiro, A. The complex relationship between obesity and neurodegenerative diseases: An updated review. Front. Cell. Neurosci. 17, 1294420 (2023).
Avci, G. Effects of thymoquinone on plasma leptin, insulin, thyroid hormones and lipid profile in rats fed a fatty diet. Kafkas Üniversitesi Veteriner Fakültesi Dergisi https://doi.org/10.9775/kvfd.2013.9345 (2013).
Xu, C. J., Li, M. Q., Li, Z., Chen, W. G. & Wang, J. L. Short-term high-fat diet favors the appearances of apoptosis and gliosis by activation of ERK1/2/p38MAPK pathways in brain. Aging 13, 23133–23148. https://doi.org/10.18632/aging.203607 (2021).
de Paula, G. C. et al. Hippocampal function is impaired by a short-term high-fat diet in mice: increased blood-brain barrier permeability and neuroinflammation as triggering events. Front. Neurosci. 15, 734158. https://doi.org/10.3389/fnins.2021.734158 (2021).
Tabeshpour, J., Mehri, S., Abnous, K. & Hosseinzadeh, H. Neuroprotective effects of thymoquinone in acrylamide-induced peripheral nervous system toxicity through mapkinase and apoptosis pathways in rat. Neurochem. Res. 44, 1101–1112. https://doi.org/10.1007/s11064-019-02741-4 (2019).
Ceylan, T. et al. Therapeutic effect of thymoquinone on brain damage caused by nonylphenol exposure in rats. J. Biochem. Mol. Toxicol. 37, e23471. https://doi.org/10.1002/jbt.23471 (2023).
Firdaus, F., Zafeer, M. F., Ahmad, M. & Afzal, M. Anxiolytic and anti-inflammatory role of thymoquinone in arsenic-induced hippocampal toxicity in Wistar rats. Heliyon 4, e00650. https://doi.org/10.1016/j.heliyon.2018.e00650 (2018).
Kassab, R. & El-Hennamy, R. The role of thymoquinone as a potent antioxidant in ameliorating the neurotoxic effect of sodium arsenate in female rat. Egypt J. Basic Appl. Sci. 4, 160–167. https://doi.org/10.1016/j.ejbas (2017).
Ismail, N. et al. Modulation of hydrogen peroxide-induced oxidative stress in human neuronal cells by thymoquinone-rich fraction and thymoquinone via transcriptomic regulation of antioxidant and apoptotic signaling genes. Oxid. Med. Cell. Longev. 2016, 2528935. https://doi.org/10.1155/2016/2528935 (2016).
Caldecott, K. W., Ward, M. E. & Nussenzweig, A. The threat of programmed DNA damage to neuronal genome integrity and plasticity. Nat. Genet. 54, 115–120. https://doi.org/10.1038/s41588-021-01001-y (2022).
Włodarczyk, M. & Nowicka, G. Obesity, DNA damage, and development of obesity-related diseases. Int. J. Mol. Sci. https://doi.org/10.3390/ijms20051146 (2019).
Narciso, L. et al. The response to oxidative DNA damage in neurons: Mechanisms and disease. Neural Plast. 2016, 3619274. https://doi.org/10.1155/2016/3619274 (2016).
Ansari, M. O. et al. Evaluation of DNA interaction, genotoxicity and oxidative stress induced by iron oxide nanoparticles both in vitro and in vivo: attenuation by thymoquinone. Sci. Rep. 9, 6912. https://doi.org/10.1038/s41598-019-43188-5 (2019).
Gore, P. R. et al. Protective Effect of Thymoquinone against Cyclophosphamide-Induced Hemorrhagic Cystitis through Inhibiting DNA Damage and Upregulation of Nrf2 Expression. Int. J. Biol. Sci. 12, 944–953. https://doi.org/10.7150/ijbs.15781 (2016).
Wildner, G. Are rats more human than mice?. Immunobiology 224, 172–176. https://doi.org/10.1016/j.imbio.2018.09.002 (2019).
Nassar, W. M. et al. Ameliorative Effect of Thymoquinone and Thymoquinone Nanoparticles against Diazinon-Induced Hepatic Injury in Rats: A Possible Protection Mechanism. Toxics 11, 783 (2023).
Rani, R. et al. Improvement of antihyperglycemic activity of nano-thymoquinone in rat model of type-2 diabetes. Chem.-Biol. Interact. 295, 119–132. https://doi.org/10.1016/j.cbi.2018.02.006 (2018).
Othman, A. I., Amer, M. A., Basos, A. S. & El-Missiry, M. A. Moringa oleifera leaf extract ameliorated high-fat diet-induced obesity, oxidative stress and disrupted metabolic hormones. Clin. Phytosci. 5, 48. https://doi.org/10.1186/s40816-019-0140-0 (2019).
Wang, J. et al. Protective effect of epigallocatechin-3-gallate against neuroinflammation and anxiety-like behavior in a rat model of myocardial infarction. Brain Behav. 10, e01633. https://doi.org/10.1002/brb3.1633 (2020).
Abomosallam, M., Hendam, B. M., Abdallah, A. A., Refaat, R. & El-Hak, H. N. G. Neuroprotective effect of Withania somnifera leaves extract nanoemulsion against penconazole-induced neurotoxicity in albino rats via modulating TGF-β1/Smad2 signaling pathway. Inflammopharmacology 32, 1903–1928. https://doi.org/10.1007/s10787-024-01461-8 (2024).
Abdelmeguid, N. E., Hammad, T. M., Abdel-Moneim, A. M. & Salam, S. A. Effect of Epigallocatechin-3-gallate on Stress-Induced Depression in a Mouse Model: Role of Interleukin-1β and Brain-Derived Neurotrophic Factor. Neurochem. Res. 47, 3464–3475. https://doi.org/10.1007/s11064-022-03707-9 (2022).
Kim, M. J. et al. Anti-amnesic effects of epigallocatechin gallate on scopolamine-induced learning and memory dysfunction in sprague-dawley rats. Antioxidants (Basel) https://doi.org/10.3390/antiox11010001 (2021).
Majid, H., Masood, Q. & Khan, A. H. Homeostatic model assessment for insulin resistance (HOMA-IR): A better marker for evaluating insulin resistance than fasting insulin in women with polycystic ovarian syndrome. J. Coll. Physicians Surg. Pak. 27, 123–126 (2017).
Friedewald, W. T., Levy, R. I. & Fredrickson, D. S. Estimation of the concentration of low-density lipoprotein cholesterol in plasma, without use of the preparative ultracentrifuge. Clin. Chem. 18, 499–502 (1972).
Singh, N. P., McCoy, M. T., Tice, R. R. & Schneider, E. L. A simple technique for quantitation of low levels of DNA damage in individual cells. Exp. Cell Res. 175, 184–191. https://doi.org/10.1016/0014-4827(88)90265-0 (1988).
Gremer, L. et al. Fibril structure of amyloid-β(1-42) by cryo-electron microscopy. Science (New York, N.Y.) 358, 116–119. https://doi.org/10.1126/science.aao2825 (2017).
Fitzpatrick, A. W. P. et al. Cryo-EM structures of tau filaments from Alzheimer’s disease. Nature 547, 185–190. https://doi.org/10.1038/nature23002 (2017).
Thomsen, R. & Christensen, M. H. MolDock: A new technique for high-accuracy molecular docking. J. Med. Chem. 49, 3315–3321. https://doi.org/10.1021/jm051197e (2006).
Janardhan, K. S., Jensen, H., Clayton, N. P. & Herbert, R. A. Immunohistochemistry in investigative and toxicologic pathology. Toxicol. Pathol. 46, 488–510. https://doi.org/10.1177/0192623318776907 (2018).
Anggorowati, N. et al. Histochemical and Immunohistochemical Study of α-SMA, Collagen, and PCNA in epithelial ovarian neoplasm. Asian Pacific J. Cancer Prevention : APJCP 18, 667–671. https://doi.org/10.22034/apjcp.2017.18.3.667 (2017).
Acknowledgements
Facilities provided by Zoology Department, Faculty of Science, Mansoura University are acknowledged
Funding
Open access funding provided by The Science, Technology & Innovation Funding Authority (STDF) in cooperation with The Egyptian Knowledge Bank (EKB). This research received no specific grant from any funding agency in the public, commercial, or not-for-profit sectors.
Author information
Authors and Affiliations
Contributions
All authors contributed to the study’s conception and design. Material preparation, data collection, and analysis were performed by MDM, MEA, MAE, AIO, MAE. All authors read and approved the final manuscript.
Corresponding author
Ethics declarations
Competing interests
The authors declare no competing interests.
Ethics approval
The experimental protocol for the treatment of animals under study was carried out following the guidelines approved by Mansoura University Animal Care and Use Committee (MU-ACUC) (approval number, MU-ACUC.SC. PhD.24.01.16).
Additional information
Publisher’s note
Springer Nature remains neutral with regard to jurisdictional claims in published maps and institutional affiliations.
Rights and permissions
Open Access This article is licensed under a Creative Commons Attribution 4.0 International License, which permits use, sharing, adaptation, distribution and reproduction in any medium or format, as long as you give appropriate credit to the original author(s) and the source, provide a link to the Creative Commons licence, and indicate if changes were made. The images or other third party material in this article are included in the article’s Creative Commons licence, unless indicated otherwise in a credit line to the material. If material is not included in the article’s Creative Commons licence and your intended use is not permitted by statutory regulation or exceeds the permitted use, you will need to obtain permission directly from the copyright holder. To view a copy of this licence, visit http://creativecommons.org/licenses/by/4.0/.
About this article
Cite this article
Mostafa, M.D., Amer, M.E., ElKomy, M.A. et al. Thymoquinone controlled obesity and invigorated cognitive and memory performance in rats consuming a high-fat diet via modulating oxidative stress, inflammation and apoptosis. Sci Rep 15, 20171 (2025). https://doi.org/10.1038/s41598-025-05716-4
Received:
Accepted:
Published:
Version of record:
DOI: https://doi.org/10.1038/s41598-025-05716-4
















