Abstract
Neoadjuvant therapy (NAT) has become increasingly common in pancreatic ductal adenocarcinoma (PDAC). Still, PDAC remains one of the deadliest cancers and clinically useful biomarkers are needed. Matrix metalloproteinase 8 (MMP-8) has previously been identified as a potential biomarker for PDAC patients undergoing up-front surgery. We investigated the prognostic significance of MMP-8 in PDAC patients treated with NAT and evaluated the association of MMP-8 expression to treatment response. We studied MMP-8 expression using immunohistochemistry in a tissue microarray with samples from 115 NAT and 144 up-front surgery patients. We examined NAT response from resection specimens by estimating the amount of residual tumour cells. We analysed the association of MMP-8 immunoexpression with survival and treatment response. High MMP-8 immunoexpression associated with better survival among patients with strong NAT response (HR 0.22, CI95% 0.05–0.86, p = 0.030). This association was not observed among patients with poor NAT response nor in the overall NAT group. Furthermore, MMP-8 expression did not differ significantly between the NAT and up-front surgery groups. In conclusion, the MMP-8 tissue expression after NAT is a protective biomarker in PDAC patients with strong NAT response but fails to associate with favourable prognosis in patients with poor NAT response.
Similar content being viewed by others
Introduction
Pancreatic ductal adenocarcinoma (PDAC) encompasses more than 90% of pancreatic cancer cases, and is one of the leading causes of cancer-related deaths1. Poor prognosis characterizes PDAC with a 5-year survival rate of less than 10%. This is partly due to nonspecific symptoms leading to late diagnosis and very few effective systemic treatments. PDAC is typically diagnosed at advanced stages with only 10–15% of patients qualifying for surgical treatment with curative intent2and many patients presenting with borderline resectable disease3. Neoadjuvant therapy (NAT) can downstage more advanced disease and thus enable radical surgery also for borderline resectable PDAC4,5.
The combination of leucovorin, fluorouracil, irinotecan and oxaliplatin (FOLFIRINOX) or gemcitabine are the most commonly used and effective NAT regimens for PDAC6,7. While NAT has been suggested to benefit patients with up-front resectable PDAC8recent results from ongoing clinical trials have shown no survival benefit from neoadjuvant FOLFIRINOX compared to up-front surgery in resectable disease9. Furthermore, it has been shown that preoperative chemoradiotherapy with gemcitabine did not offer significant survival benefit among resectable PDAC patients10. Current European recommendation limits NAT to borderline resectable disease, whereas the National Comprehensive Cancer Network® (NCCN®) guidelines for Pancreatic Adenocarcinoma include NAT as an option for resectable disease11,12. NAT is considered safe, offering a benefit in borderline resectable or locally advanced PDAC, and is associated with decreased disease progression13,14,15. However, treatment responses to NAT remains generally weak with only a few patients demonstrating strong treatment responses on final pathology16. Histological evaluation is considered the most accurate method for grading NAT response. Some histological features, such as necrosis, fibrosis, and tumour cell atypia, however overlap with characteristics observed in untreated PDAC thus making therapeutic response evaluation challenging17,18. There is a lack of useful diagnostic, prognostic, treatment predictive and response biomarkers in PDAC. The gold standard biomarker, CA19-9, is commonly used for NAT patients, holding value both as a prognostic marker and, to some extent as a treatment response marker19,20.
Matrix metalloproteinases (MMP) comprise a group of genetically distinct but structurally related proteolytic enzymes with varying roles in both physiological and pathological processes21,22. MMPs not only degrade connective tissue proteins but act as immunomodulators and process various bioactive non-matrix molecules such as complement compounds, growth factors and insulin receptors23. Matrix metalloproteinase 8 (MMP-8) is a collagenase primarily produced by neutrophils but expressed by various other cells as well. MMP-8 degrades collagens and has an important physiological role in tissue remodelling in injuries and in wound healing24,25.
MMP-8 has been shown to exhibit contrasting effects in cancers depending on the tissue of origin26. MMP-8, along with other MMPs, has been reported to play a role in cancer metastasis and invasion, but in contrast to most other MMPs it has also been shown to inhibit tumour progression27,28,29. Tumour promoting role of MMP-8 has been thought to associate with degradation of ECM collagens and thus enabling invasion and metastatic growth30. However, it has become more evident that MMP-8, along with other MMPs, influence cell proliferation and angiogenesis of cancer. The paradoxical role of MMP-8 was shown first with mouse models where knock-out of MMP-8 gene was increasing the incidence of skin tumours and it was associated with sustained inflammatory response31. It has been further shown that MMP-8 suppresses metastatic potential in breast cancer and it could be due to MMP-8 mediated induction of cancer cell adhesion32. All in all, mechanisms of MMP-8 in cancer remain complex and still subject to speculation. The prognostic significance of MMP-8 has been under active investigation in various cancers with varying results. For instance, high serum level of MMP-8 is a marker of poor prognosis in colorectal cancer and hepatocellular carcinoma33,34.
In PDAC MMP-8 expression is shown to be increased on tissue level compared to normal pancreatic tissue35. In treatment-naïve PDAC, increased MMP-8 expression has been shown to correlate with better prognosis36. The role of MMP-8 in pancreatic cancer however remains unclear35. The aim of the present study was to investigate whether MMP-8 tumour expression patterns vary between patients that have undergone up-front surgery compared to those treated with NAT, and whether MMP-8 can serve as a marker for NAT response in PDAC. Furthermore, we aimed to evaluate the correlation of MMP-8 expression in relation to strong and weak NAT responses. Lastly, to explore whether MMP-8 expression is associated with the administered neoadjuvant regimen.
Materials and methods
Patient cohort and tissue microarray (TMA)
A total of 259 surgically treated patients with histologically verified PDAC diagnoses were included in this retrospective study. All patients underwent surgery with curative intent between 2000 and 2018. NAT was administered to 115 of the patients, while the remaining 144 up-front operated patients were included as controls. Representable samples of resected tumours were assembled into a tissue microarray (TMA) by drilling 1.0 mm size cores from the paraffin embedded tumour blocks. TMA blocks were assembled using a semiautomatic tissue microarrayer (TMA Grand Master, TMA Control 3.0, 3D Histech, Hungary). For immunohistochemical staining 4 μm thick slides were cut from the TMA blocks. Histological diagnosis and quality of the tissue samples was confirmed by an experienced pathologist (JH) prior the TMA assembly.
Immunohistochemistry
TMAs were immunohistochemically stained with an MMP-8 antibody according to manufacturer’s protocol on a LabVision Autostainer 480 S (Thermo Fisher Scientific). The TMA samples underwent deparaffinization and rehydration using Sakura Tissue-Tek DRS. For antigen retrieval, a pretreatment protocol was completed using EnVision Flex target retrieval solution (Pre-Treatment module, Agilent Dako, Santa Clara, CA, USA) for 15 min in 98⁰. Additionally, a protein blocking protocol was performed to prevent non-specific binding of antibodies. Protein blocking was carried out on the Autostainer following the manufacturers protocol (EnVision FLEX peroxidase-blocking reagent, Agilent, Santa Clara, CA, USA). The primary antibody used was a non-commercial MMP-8 antibody previously described by Hanemaaijer et al.37 (dilution of 1:400). The primary antibody was manually added, and incubation was performed overnight at + 4 C. the secondary antibody was applied using Autostainer protocol. Dako REAL Antibody Diluent S2022 (Agilent, Santa Clara, CA, USA) was used as antibody dilution for both primary and secondary antibodies. Tissue slides were washed and rinsed with a buffer solution. Finally, DAB and magenta were added as chromogens, and haematoxylin was used as a counter stain. Adequate staining of the tissue samples was ensured by including a positive control sample of tonsillar hyperplasia or gingival tissue.
Scoring of immunohistochemical staining of MMP-8
We analysed tissue expression of MMP-8 microscopically by analysing the immunopositivity of TMA samples from NAT (n = 113) and up-front surgery patients (n = 141). Five of the patients were missing representative tissue material in TMA and therefore MMP-8 expression could not be evaluated for them. We graded the immunopositivity in tumour tissue to four categories based on staining intensity in cancer cells. Score 0 represented non-detectable expression, while scores 1–3 represented low, moderate, and high intensity, respectively. Four TMA samples per patients were examined and the maximum intensity score served as the representative score. Two independent researchers who were blinded to the disease outcome graded the immunopositivity (JH and MK for up-front surgery patients, JH and EK for NAT patients). Any disagreements in scoring were solved by discussion and re-evaluation of the sample.
Evaluation of the histological response to neoadjuvant treatment
Tissue samples from 113 NAT patients were collected at surgical resection. Histological response could not be evaluated for two of the patients due to missing samples. We used a six-tier scheme to grade the NAT response by evaluating the percentage of remaining, viable tumour cells. The responses were graded as follows; 0, no viable, residual tumour cells (RTCs) (0%); 1, only some found with large magnification of 200-400x (≤ 5% RTCs); 2, easily found with large magnification of 200-400 × (6–10% RTCs); 3, easily found with small magnification of 20-40 × (11–50% RTCs); 4, minimal NAT effect (51–90% RTCs); and 5, no NAT effect identified (91–100% RTCs). Several representative samples of tumour tissue for each patient were evaluated to grade the NAT response. Samples were evaluated by an experienced gastrointestinal pathologist (AR) along with authors AE and EK. The method has been previously described in detail by Eurola et al.16 and the scheme relied on the recommendations of the latest tumour response consensus statements from the Amsterdam International Consensus Meeting38.
Statistical analyses
For statistical analyses, MMP-8 scores 0 and 1 were combined into a group representing low immunopositivity, while scores 2 and 3 represented high immunopositivity. Response to NAT was further categorized into two groups where responses 0 to 2 represented a strong response (≤ 10% RTCs), while responses 3 to 5 represented a weak response (≥ 11% RTCs).
Comparisons between categorical variables was performed using chi square test. Disease specific survival (DSS) was analysed using Kaplan-Meier analysis and the log-rank test while Cox regression was used for univariate and multivariable analyses. All the statistical analyses were performed using SPSS statistics software for Mac, version 29 (IBM Corp. Armonk, NY) or R version (R core team). P-values < 0.05 were considered statistically significant.
Ethical approval
This study was granted an approval by the Helsinki University Hospital Ethics committee (07.06.2023; Dnr HUS/1223/2021). The Finnish National Supervisory Authority for Health and Welfare has granted this study an approval to use archived tissue samples without requiring individual consent from the patients (Dnr 10041/05.01.03.01/2012).
Results
MMP-8 immunostaining pattern and patient characteristics
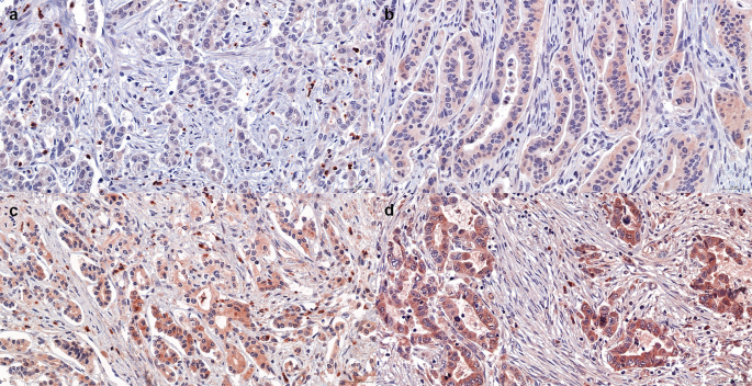
The NAT group had more patients with low MMP-8 immunopositivity than the up-front surgery group (p = 0.029) and only a few patients in both groups appeared negative for MMP-8 (Table 1). Different immunostaining patterns of NAT patients are demonstrated in Fig. 1. In the NAT group, low MMP-8 tissue expression associated with receiving preoperative radiation therapy (p = 0.043). Other clinical parameters such as age, sex, disease stage, histological grade, perineural invasion, perivascular invasion, NAT regimen and NAT response did not associate significantly with MMP-8 expression (Table 2).
Immunohistochemical staining patterns demonstrating Matrix metalloproteinase 8 (MMP-8) tissue expression in neoadjuvant therapy (NAT) patients. (A) Non-detectable MMP-8 expression in cytoplasm. (B) Low cytoplasmic immunopositivity. (C) Moderate cytoplasmic immunopositivity. (D) High cytoplasmic immunopositivity. Magnification 30x was used for all images.
Disease specific survival (DSS) and overall survival (OS)
Out of 115 NAT patients, 93 (80.9%) died during follow-up and 88 of them (76.5%) died of PDAC. Thus 94.6% of the deaths were caused by PDAC. In the up-front surgery group, 126 (87.5%) of 144 patients died and of them 120 (83.3%) patients died of PDAC. Consequently, most of the deaths (95.2%) in up-front surgery group were also due to PDAC. The median OS and DSS for NAT patients were 2.57 and 2.24 years, respectively, while for up-front surgery patients, they were 2.20 and 2.26 years. The differences were not statistically significant (p = 0.248 and 0.211). The median follow-up time was approximately 10 years, and no patients were lost to follow-up.
Neoadjuvant treatment response
Out of 113 NAT patients, 22 (19.5%) had a strong response (≤ 10% RTCs) to NAT, while 91 (80.5%) patients had a weak NAT response (≥ 11% RTCs). Only one patient experienced complete pathological response (pCR i.e. no viable RTCs). In univariable Cox regression analysis, a strong NAT response predicted better DSS (HR 0.44, 95% CI 0.24–0.84, p = 0.012) (Table 3).
MMP-8 expression and survival
We did not find statistically significant difference in DSS between groups with low and high MMP-8 expression among all NAT patients in Kaplan-Meier analyses (Fig. 2A). Univariable Cox regression analyses confirmed that MMP-8 expression was not associated with DSS in the NAT group (HR 0.87, 95% CI 0.56–1.36, p = 0.552) (Table 3). A similar result was obtained for the up-front surgery group, with survival not being related to MMP-8 expression in Kaplan-Meier analyses (Fig. 3) nor in univariable Cox regression analyses (HR 0.79, 95% CI 0.51–1.23, p = 0.290, data not shown) when comparing the groups with low and high MMP-8 expression. However, MMP-8 immunopositivity acted as a positive prognostic factor (HR 0.40, 95% CI 0.18–0.92, p = 0.031) when comparing negative and positive tissue expression in up-front surgery patients (Fig. 3).
Kaplan-Meier analyses of disease-specific survival (DSS) in relation to matrix metalloproteinase 8 (MMP-8) tissue expression. (A) Kaplan-Meier analysis showing no correlation between MMP-8 tissue expression and DSS in the whole patient group treated with neoadjuvant therapy (NAT). (B) In the subgroup of patients with strong response to NAT high MMP-8 expression was related to better DSS. (C) MMP-8 expression was not associated with DSS among patients with weak NAT response. Log Rank test was applied and p < 0.05 was considered statistically significant.
Kaplan-Meier survival analyses in up-front surgery patients. (A) Immunopositivity of matrix metalloproteinase 8 (MMP-8) predicts better disease-specific survival (DSS) in up-front surgery patients. (B) No correlation was detected between DSS and MMP-8 expression when comparing low and high tissue expression. Log Rank test was applied and p < 0.05 was considered statistically significant.
As demonstrated in Fig. 2, Kaplan-Meier analyses showed that high MMP-8 tissue expression was associated with better DSS in the subgroup of patients with a strong NAT response, a finding not observed among patients with a weak NAT response. Furthermore, in univariable Cox regression analysis, high MMP-8 expression after NAT indicated better survival in patients with a strong treatment response (HR 0.22, 95% CI 0.05–0.86, p = 0.030). Among those with a weak NAT response, MMP-8 expression was not related to survival (HR 1.01, 95% CI 0.62–1.67, p = 0.954) (Table 3).
A multivariable Cox regression analysis for DSS was performed in the entire NAT group including the following parameters: age, sex, stage, grade, preoperative CA19-9 and MMP-8 expression. As demonstrated in Table 4, older age and high preoperative CA19-9 levels were associated with worse survival, but MMP-8 expression was not significantly associated with survival in this model. Due to the small number of patients, multivariable analysis could not be performed for subgroups of strong NAT response (n = 22) or weak NAT response (n = 91).
Treatment response after gemcitabine vs. FOLFIRINOX
Either in combination or as a single agent, gemcitabine was administered to 81 NAT patients, while 24 received the FOLFIRINOX regimen. Information about the specific NAT agent was missing for 8 patients. There was no significant difference in NAT response when comparing gemcitabine with FOLFIRINOX. In the gemcitabine group 16 (19.5%) patients and in FOLFIRINOX group 4 (17.4%) patients experienced a strong NAT response (p = 0.819). When analysing DSS in subgroups based on NAT agent administered, a strong NAT response predicted better survival in the gemcitabine group while in the FOLFIRINOX group there was no difference in survival when comparing strong or weak NAT response (Fig. 4). Furthermore, patients in FOLFIRINOX group and gemcitabine group expressed MMP-8 similarly in tumour tissue. In the gemcitabine group 57 (70.4%) patients and in FOLFIRINOX group 17 (70.8%) patients expressed high MMP-8 immunopositivity.
Kaplan-Meier survival analyses in neoadjuvant therapy (NAT) patients treated with gemcitabine or FOLFIRINOX. (A) Strong NAT response predicted better disease specific survival (DSS) in patients treated with gemcitabine. (B) NAT response did not correlate with DSS in patients treated with FOLFIRINOX regimen. NAT response was considered strong when histological evaluation revealed less than 10% residual tumor cells (RTC). Respectively NAT response was considered weak when more than 10% RTCs. Log Rank test was applied and p < 0.05 was considered statistically significant.
Discussion
The aim in this study was to evaluate the prognostic value of MMP-8 tissue expression in PDAC patients receiving NAT prior to surgery. While we hypothesized that higher MMP-8 expression in tumour tissue could predict better prognosis in NAT patients, contradicting results were revealed. We found that the role of MMP-8 varied in the subgroups of NAT-patients as MMP-8 predicted better prognosis in the strong response group but not in the weak response group. In the DSS analysis of all NAT patients, no difference in survival was observed when comparing high or low MMP-8 tissue expression.
In the subgroup of NAT patients with a strong response, high MMP-8 tissue expression predicted better survival. Furthermore, in the group with weak NAT response this protecting effect of MMP-8 expression was not observed. One can speculate, that among those non-responding or only weakly responding to NAT in PDAC, MMP-8 may be either inactive or has adverse effect on survival. Previous studies indicate that in NAT patients, the survival tissue marker profile changes along with NAT response, whereas markers of poor survival may be more pronounced in patients with weak response16. Moreover it has been previously shown that administration of NAT alters immune microenvironment of the tumour possibly towards more pro-inflammatory profile39,40. This altered inflammatory response could very well affect tumour MMP-8 expression and one can speculate that this is partly reason for better prognosis. However, MMP-8 expression did not differ between the groups with strong or weak NAT response.
In contrast to our previous findings MMP-8 did not act as a prognostic factor in up-front operated patients when analysing DSS in the present analysis. This could be due to differences in grouping of the MMP-8 expression as we here compared low and high expression, while previously there was a comparison between non-detectable and positive MMP-8 expression. Furthermore, we used the strongest tissue immunoexpression score in statistical analyses while previously the median score was used36. Nevertheless, in our additional analysis we found that MMP-8 acted as positive prognostic factor also in this patient cohort when comparing non-detectable and positive MMP-8 expression in the up-front surgery group (Fig. 3). However, we noted that very few of the samples had non-detectable MMP-8 expression and this could thus be a source of skewness in statistical analyses.
A majority (81%) of NAT patients achieved only a weak treatment response with only one patient out of 113 having a complete pathological response. These results align with previous findings that a strong NAT response in PDAC remains rare16. In the present cohort, a finding of less than 10% remaining viable tumour cells after NAT is required for a clear survival benefit, thus leaving most of the NAT patients without a statistically significant survival benefit. Some previous studies suggest an even lower, 5% limit of remaining tumour cells for achieving survival benefit41. Additionally, in our analysis we found that strong NAT response offers survival benefit in patients treated with gemcitabine but not in FOLFIRINOX group. While this finding is interesting, it is likely not clinically true due to small number of patients in the FOLFIRINOX group.
One strength of our study lies in the large and well-described patient cohort. We excluded other tumours of the pancreas or cancers originating from the bile ducts. TMA samples were evaluated by at least two independent investigators. For NAT response analysis the study scheme created for the purpose was previously tested16.
TMAs enable relatively fast microscopic evaluation of multiple tumours, but at the same time limits the visibility of the whole tumour. This was controlled by taking multiple (4) samples of each tumour for TMA. Each TMA sample was evaluated by at least two independent investigators to minimize the impact of subjectivity. NAT-response was determined by an experienced gastrointestinal pathologist. Evaluation of response may be challenging due to some response effects mimicking desmoplasia seen in PDAC. This study featured a limited number of patients in some subgroups, restricting possibilities for conducting multivariable analysis in such settings.
Conclusion
To conclude, the immunoexpression of MMP-8 did not differ significantly between NAT and US patients. Moreover MMP-8 immunoexpression did not correlate with histological response to NAT. However, to our knowledge this is the first study to report MMP-8 as a protective prognostic marker in NAT treated PDAC patients who received a strong treatment response. No prognostic value of MMP-8 was found in patients with a weak NAT response. The underlying reasons for these differences remain unclear and demand further investigation.
Data availability
Data supporting our findings is available on a reasonable request from the corresponding author.
References
Siegel, R. L., Miller, K. D., Wagle, N. S. & Jemal, A. Cancer statistics, 2023. CA Cancer J. Clin. 73, 17–48 (2023).
Aaltonen, P. et al. Long-term nationwide trends in the treatment of and outcomes among pancreatic cancer patients. Eur. J. Surg. Oncol. 48, 1087–1092 (2022).
Isaji, S. et al. International consensus on definition and criteria of borderline resectable pancreatic ductal adenocarcinoma 2017. Pancreatology 18, 2–11 (2018).
Mirkin, K. A., Hollenbeak, C. S. & Wong, J. Survival impact of neoadjuvant therapy in resected pancreatic cancer: A prospective cohort study involving 18,332 patients from the National Cancer data base. Int. J. Surg. 34, 96–102 (2016).
Gugenheim, J., Crovetto, A. & Petrucciani, N. Neoadjuvant therapy for pancreatic cancer. Updat Surg. 74, 35–42 (2022).
Weniger, M. et al. Neoadjuvant therapy in elderly patients receiving FOLFIRINOX or gemcitabine/nab-paclitaxel for borderline resectable or locally advanced pancreatic cancer is feasible and lead to a similar oncological outcome compared to non-aged patients – Results of the RESPECT-Study. Surg. Oncol. 35, 285–297 (2020).
Ahmad, S. A. et al. Surgical outcome results from SWOG S1505: A randomized clinical trial of mFOLFIRINOX vs. Gemcitabine/nab-Paclitaxel for perioperative treatment of resectable pancreatic ductal adenocarcinoma. Ann. Surg. 272, 481–486 (2020).
Christians, K. K. et al. Survival of patients with resectable pancreatic cancer who received neoadjuvant therapy. Surgery 159, 893–900 (2016).
Labori, K. J. et al. Neoadjuvant FOLFIRINOX versus upfront surgery for resectable pancreatic head cancer (NORPACT-1): a multicentre, randomised, phase 2 trial. Lancet Gastroenterol. Hepatol. 9, 205–217 (2024).
Versteijne, E. et al. Preoperative chemoradiotherapy versus immediate surgery for resectable and borderline resectable pancreatic cancer: results of the Dutch randomized phase III PREOPANC trial. J. Clin. Oncol. 38, 1763–1773 (2020).
Conroy, T. et al. Pancreatic cancer: ESMO clinical practice guideline for diagnosis, treatment and follow-up☆. Ann. Oncol. 34, 987–1002 (2023).
NCCN Clinical Practice Guidelines in Oncology (NCCN Guidelines®) for Pancreatic Adenocarcinoma V.3.2024. © National Comprehensive Cancer Network, Inc. All rights reserved. Accessed [November 25th, 2024]. To view the most recent and complete version of the guideline, go online to NCCN.org. (2024).
Nipp, R. D. et al. Predictors of early mortality after surgical resection of pancreatic adenocarcinoma in the era of neoadjuvant treatment. Pancreas 46, 183 (2017).
Nurmi, A. et al. Neoadjuvant therapy offers longer survival than upfront surgery for poorly differentiated and higher stage pancreatic cancer. Acta Oncol. 57, 799–806 (2018).
Papavasiliou, P. et al. Impact of preoperative therapy on patterns of recurrence in pancreatic cancer. HPB 16, 34–39 (2014).
Eurola, A. et al. Impact of histological response after neoadjuvant therapy on podocalyxin as a prognostic marker in pancreatic cancer. Sci. Rep. 11, 9896 (2021).
Sell, N. M. et al. Evaluation of pathologic response on overall survival after neoadjuvant therapy in pancreatic ductal adenocarcinoma. Pancreas 49, 897 (2020).
Laura, A. et al. Is complete pathologic response in pancreatic Cancer overestimated?? A systematic review of prospective studies. J. Gastrointest. Surg. 24, 2336–2348 (2020).
Nurmi, A. M., Mustonen, H., Haglund, C. & Seppänen, H. Changes in CRP and CA19-9 during preoperative oncological therapy predict postoperative survival in pancreatic ductal adenocarcinoma. Oncology 99, 686–698 (2021).
Tzeng, C. W. D. et al. Serum carbohydrate antigen 19 – 9 represents a marker of response to neoadjuvant therapy in patients with borderline resectable pancreatic cancer. HPB 16, 430–438 (2014).
Nagase, H., Visse, R. & Murphy, G. Structure and function of matrix metalloproteinases and timps. Cardiovasc. Res. 69, 562–573 (2006).
Roy, R., Yang, J. & Moses, M. A. Matrix metalloproteinases as novel biomarker s and potential therapeutic targets in human Cancer. J. Clin. Oncol. 27, 5287–5297 (2009).
Lauhio, A. et al. Association of MMP-8 with obesity, smoking and insulin resistance. Eur. J. Clin. Invest. 46, 757–765 (2016).
Nwomeh, B. C., Liang, H. X., Cohen, I. K. & Yager, D. R. MMP-8 is the predominant collagenase in healing wounds and nonhealing ulcers. J. Surg. Res. 81, 189–195 (1999).
Gutiérrez-Fernández, A. et al. Increased inflammation delays wound healing in mice deficient in collagenase-2 (MMP‐8). FASEB J. 21, 2580–2591 (2007).
Juurikka, K., Butler, S., Salo, G., Nyberg, T., Åström, P. & P. & The role of MMP8 in cancer: A systematic review. Int. J. Mol. Sci. 20, 4506 (2019).
Curran, S. & Murray, G. I. Matrix metalloproteinases in tumour invasion and metastasis. J. Pathol. 189, 300–308 (1999).
Egeblad, M. & Werb, Z. New functions for the matrix metalloproteinases in cancer progression. Nat. Rev. Cancer. 2, 161–174 (2002).
Korpi, J. T. et al. Collagenase-2 (matrix metalloproteinase-8) plays a protective role in tongue cancer. Br. J. Cancer. 98, 766–775 (2008).
Liotta, L. A. et al. Metastatic potential correlates with enzymatic degradation of basement membrane collagen. Nature 284, 67–68 (1980).
Balbín, M. et al. Loss of collagenase-2 confers increased skin tumor susceptibility to male mice. Nat. Genet. 35, 252–257 (2003).
Gutiérrez-Fernández, A. et al. Matrix Metalloproteinase-8 functions as a metastasis suppressor through modulation of tumor cell adhesion and invasion. Cancer Res. 68, 2755–2763 (2008).
Böckelman, C. et al. Serum MMP-8 and TIMP-1 predict prognosis in colorectal cancer. BMC Cancer. 18, 679 (2018).
Lempinen, M. et al. Prognostic value of serum MMP-8, -9 and TIMP-1 in patients with hepatocellular carcinoma. Ann. Med. 45, 482–487 (2013).
Jones, L. E., Humphreys, M. J., Campbell, F., Neoptolemos, J. P. & Boyd, M. T. Comprehensive analysis of matrix metalloproteinase and tissue inhibitor expression in pancreatic cancer: increased expression of matrix metalloproteinase-7 predicts poor survival. Clin. Cancer Res. Off J. Am. Assoc. Cancer Res. 10, 2832–2845 (2004).
Kaasinen, M. et al. Matrix metalloproteinase 8 expression in a tumour predicts a favourable prognosis in pancreatic ductal adenocarcinoma. Int. J. Mol. Sci. 23, 3314 (2022).
Hanemaaijer, R. et al. Matrix Metalloproteinase-8 is expressed in rheumatoid synovial fibroblasts and endothelial cells: REGULATION BY TUMOR NECROSIS FACTOR-α AND DOXYCYCLINE *. J. Biol. Chem. 272, 31504–31509 (1997).
Janssen, B. V. et al. Amsterdam international consensus meeting: tumor response scoring in the pathology assessment of resected pancreatic cancer after neoadjuvant therapy. Mod. Pathol. 34, 4–12 (2021).
Zwart, E. S. et al. The immune microenvironment after neoadjuvant therapy compared to upfront surgery in patients with pancreatic cancer. J. Cancer Res. Clin. Oncol. 149, 14731–14743 (2023).
Dias Costa, A. et al. Neoadjuvant chemotherapy is associated with altered immune cell infiltration and an Anti-Tumorigenic microenvironment in resected pancreatic Cancer. Clin. Cancer Res. 28, 5167–5179 (2022).
Chatterjee, D. et al. Histologic grading of the extent of residual carcinoma following neoadjuvant chemoradiation in pancreatic ductal adenocarcinoma: A predictor for patient outcome. Cancer 118, 3182–3190 (2012).
Acknowledgements
The authors would like to acknowledge laboratory technician Pia Saarinen and research coordinator Maria Finne for their valuable contribution to the project.
Funding
Open access funded by Helsinki University Library. This work was supported by grants from Finska Läkaresällskapet [to EK, HS, CH and MS]; Orion Research Foundation sr [to EK]; the Sigrid Jusélius Foundation [to HS, CH and MS]; Academy of Finland [to HS]; Finnish State Subsidy fund [to HS]; the Cancer Foundation Finland [to HS]; the Swedish Research Council [2019 − 01690, to MS], the Swedish Cancer Society [19 0273, to MS], the Sjöberg Foundation [to MS], Medicinska Understöodsföreningen Liv och Hälsa [to MS]. The funders had no control on content of the manuscript or in decision to publish.
Author information
Authors and Affiliations
Contributions
Data curation, E.K., A.E. and M.K.; Formal analysis, E.K., A.E. and H.M.; Visualization, E.K.; Writing – original draft, E.K. and A.E.; Methodology, A.E. and A.R.; Investigation, J.H. and A.R.; Resources, J.H., T.S. and C.H.; Writing – review and editing, M.K., H.M., J.H., A.R., T.S., H.S., C.H. and M.S.; Conceptualization, H.S., C.H. and M.S.; Supervision, H.S., C.H. and M.S.; Project administration, M.S.
Corresponding author
Ethics declarations
Competing interests
The authors declare no competing interests.
Additional information
Publisher’s note
Springer Nature remains neutral with regard to jurisdictional claims in published maps and institutional affiliations.
Rights and permissions
Open Access This article is licensed under a Creative Commons Attribution-NonCommercial-NoDerivatives 4.0 International License, which permits any non-commercial use, sharing, distribution and reproduction in any medium or format, as long as you give appropriate credit to the original author(s) and the source, provide a link to the Creative Commons licence, and indicate if you modified the licensed material. You do not have permission under this licence to share adapted material derived from this article or parts of it. The images or other third party material in this article are included in the article’s Creative Commons licence, unless indicated otherwise in a credit line to the material. If material is not included in the article’s Creative Commons licence and your intended use is not permitted by statutory regulation or exceeds the permitted use, you will need to obtain permission directly from the copyright holder. To view a copy of this licence, visit http://creativecommons.org/licenses/by-nc-nd/4.0/.
About this article
Cite this article
Kesti, E., Eurola, A., Kaasinen, M. et al. The prognostic significance of MMP-8 tissue Immunoexpression in pancreatic ductal adenocarcinoma after neoadjuvant therapy. Sci Rep 15, 24719 (2025). https://doi.org/10.1038/s41598-025-10538-5
Received:
Accepted:
Published:
Version of record:
DOI: https://doi.org/10.1038/s41598-025-10538-5






