Abstract
Helicobacter pylori, a highly diverse bacterium, poses a significant health threat globally, causing a range of chronic gastritis to potentially fatal gastric cancer. The World Health Organization (WHO) has advocated for an Accurate Test-and-Treat Strategy (ATTS) to combat this infection. Despite advancements in diagnostic assays for H. pylori, the existing biomarkers face limitations due to the bacterium’s antigenic variations across different populations. This variability significantly impacts the sensitivity and specificity of diagnostic tests, particularly when strain origin and serum sample origins differ. Furthermore, lack of a standard test for diagnosing H. pylori, combined with limited diagnostic tools and genetic variations in regions like Africa, makes it difficult to accurately diagnose and measure the prevalence of H. pylori infection. To overcome these challenges, researchers have focused on developing novel, non-invasive diagnostic assays using highly specific, conserved and immunogenic biomarkers. Thus, this study investigated the potential of two proteins, PSA D15 and Cag11, as diagnostic targets. Through in-silico analysis, these proteins were identified as having excellent characteristics for diagnostic applications, including high stability, solubility, and immunogenicity. To further validate these findings, the designed antigens were synthesized, expressed recombinant versions of PSA D15 and Cag11 (rPSA D15 and rCag11) in E. coli BL21(DE3) and purified using Ni-NTA affinity chromatography. Subsequently, the purified ~ 24 kDa rPSA D1 and ~ 21 kDa rCag11 proteins were confirmed by SDS-PAGE and Western blotting. Evaluation of the diagnostic performance of the newly developed rPSA D15-ELISA assay revealed optimum cut-off value of 2.246% with 93.33% (95% CI 78.68–98.82) sensitivity, 96.67% (95% CI 83.33–98.83) of specificity, AUC of 0.92 (95% CI 0.838–1.000) and P < 0.0001. Similarly, the rCag11-ELISA assay also showed optimum cut-off value of 2.346% with 96.67% (95% CI 83.33–99.83) sensitivity, 96.67% (95% CI 83.33–99.83) specificity, AUC of 0.99 (95% CI 0.98–1.000) and P value < 0.0001. Furthermore, the coefficient of variation (%CV) of reproducibility assays of the newly developed rPSA D15-ELISA was less than 10%, indicating that the two ELISA assays exhibit excellent reproducibility, reliability and could be used for routine detection. The comparative study results of rPSA D15-ELISA and rCag11-ELISA showed a high agreement (k = 0.767 and 0.833) with the commercially available H. pylori antibody test immunochromatographic kit. Overall, the results suggest that the newly developed rPSA D15 and rCag11 antigens represent promising diagnostic biomarkers for accurate and reliable detection of H. pylori infection, particularly in African setting and globally in large.
Similar content being viewed by others
Introduction
Throughout history, H. pylori has captured significant attention due to its prevalence and genetic variability as a complex human pathogen worldwide1. According to2 infections caused by H. pylori can lead to severe health issues such as gastric ulcers and various cancers, resulting in over 700,000 fatalities globally each year. This alarming statistic emphasizes the critical need for early and accurate diagnosis, careful monitoring, and alternative treatment strategies through the identification of key diagnostic and therapeutic targets3.
Currently, diagnostic methods including invasive (culture from gastric biopsies, rapid urease assay and histology) and non-invasive tests (rapid urine, PCR, urease breath, serological, and stool antigen test) have been developed and have been useful clinically for the diagnosis of H. pylori infection4. Advancement artificial intelligence (AI) has enabled the development of sophisticated online platforms that can process and analyze vast amounts of data related to H. pylori infections including the user’s reported symptoms, medical history, and lab test results. This AI-powered comprehensive analysis allows the platforms to provide highly personalized diagnosis and treatment endorsements for individuals suffering from H. pylori infection5,6. Each developed diagnostic method has its own strengths and weaknesses, but none has met the statistical requirements for a gold standard H. pylori test kit7.
Furthermore, diagnostic kits optimized for use in developed countries may not be as reliable in Africa and other developing regions, potentially leading to misclassifications between infected and non-infected individuals8. This misdiagnosis could stem from the genetic diversity of H. pylori virulence factors, which exhibit varying levels of pathogenicity across different geographic areas7. Additionally, operational challenges in developing regions, including limited access to diagnostic tools, favorable conditions for infection spread, and distinct genetic backgrounds, further complicate the diagnosis and prevalence estimation of H. pylori infections9,10.
Based on their non-invasive nature, cost-effectiveness, high sensitivity, and specificity, immunodiagnostic methods, such as ELISA, are a promising option for detecting H. pylori. The urgent need exists for the development of more accurate, sensitive, and accessible immunodiagnostic assays that utilize universal biomarkers for all H. pylori strains, especially those prevalent among African populations11,12. Various H. pylori virulence antigens, such as CagA (Cag 26), PSA D15, Cag11,VacA, FlaA, HspB, FlaB, PSA/BamA, UreC, dupA, Omps and CagPAI, have been explored as infection markers and are being considered for future immunodiagnostic assay development13. However, traditional methods for purifying these antigens often face challenges related to concentration consistency, purity, and the presence of inhibitory compounds, resulting in inconsistent diagnostic outcomes. To address these issues, researchers are now adopting immunoinformatic approaches to develop recombinant antigens, allowing for the production of uniform and stable antigen quantities14. Comparative studies of serological assays using crude versus recombinant antigens have shown that recombinant options provide enhanced sensitivity and specificity15.
In this context, our study employs a rational immunoinformatic approach targeting novel antigenic proteins associated with H. pylori, utilizing genomic and proteomic data to identify novel antigenic proteins suitable for immunodiagnostic assays development. Accordingly, our in-silico findings highlight that the conserved distinct epitopes of acrosin protective surface antigen D15 (PSA D15) and the cytotoxin-associated gene pathogenicity island protein Cag11 (Cag11) demonstrated significant immunogenicity and binding affinity to B-cell, MHCs and cytotoxic T lymphocytes’ (CTL) epitopes for humoral and cellular immune response, indicating their potential as diagnostic biomarkers for H. pylori-related diseases16. Both PSA D15 and Cag11 have been implicated as virulent factors contributing to gastric cancer and related fatalities on a global scale. To date, there is no scientific research on development of diagnostic tests and vaccines focused on PSA D15 and Cag11 for the detection and prevention of H. pylori infections12.
Thus, this study aimed to chemically synthesized, expressed, and purified the in-silico designed novel immunodominant recombinant proteins (rPSA and rCag11) and further established a serological immunodiagnostic (ELISA) system using the developed recombinant proteins as diagnostic antigens for H. pylori infections in humans. Overall, the present study provided a first reports on the development of recombinant (rPSA D15 and rCag11) diagnostic antigens of H. pylori, along with the establishment of a novel rPSA D15-ELISA and rCag11-ELISA test system for anti-H. pylori antibody detection. Fortunately, the findings of this study revealed that the developed novel potential recombinant (rPSA D15 and rCag11) antigens could serve as a useful diagnostic antigen component of a novel immunodiagnostic assay tool development for the sensitive and specific detection of H. pylori infection disease in Africa setting and the world in large.
Materials and methods
Designing of the immunodominant antigen genes and cDNA synthesis
Based on our previous in-silico study result16, two proteins (PSA D15 and Cag11) of H. pylori strain isolated in gastric signet ring cell carcinoma of a human patient, Kenya (NCBI database: AP023320.1) were selected as an immunodominant antigens using several immunobioinformatic tools. The amino acid sequence of PSA D15 (accession number: BCI58566.1) and Cag11 (accession number: BCI58440.1) proteins were obtained from NCBI database and reverse translated into nucleic acid sequence using EMBOSS Backtranseq (https://www.ebi.ac.uk/Tools/st/emboss_backtranseq/). Furthermore, the sequences were modified to form the final construct of PSA D15 and Cag11 genes for improve the efficiency of gene expression in E. coli using GENEius (https://geneius.de/GENEius/) codon optimizer tool at Eurofins. At last, appropriate restriction enzymes’ sites (BamHI and Hind III) were added at the 5′ and 3′ ends and a His-tag was engineered at the C-terminus of the construct for affinity purification. The final construct of PSA D15 (2657 bp) and Cag11 (668 bp) DNA sequences were sent to Eurofins company (Germany) for chemically synthesized and the fragments were cloned into pEX-258 and pEX-128 plasmid vectors between BamHI (5’end) and Hind III (3’end) restriction sites to form pEX-258-PSA D15 and pEX-128-Cag11 constructs. The final constructs were verified by DNA sequencing (Eurofins, Germany) then the sequence was aligned to against the original DNA sequence.
To multiply the plasmid, 1 µL (0.2 µg/µL) of chemically synthesized pEX-A258-PSA D15 and pEX-A128-Cag11 plasmids were transformed into 10 µL of E. coli JM109 chemically competent cell strain (Genotype: endA1, recA1, gyrA96, thi, hsdR17 (rk–, mk+), relA1, supE44, Δ(lac-proAB), [F´ traD36, proAB, laqIqZΔM15]) (Promega, USA) as per manufacturer instruction and plated in LB media plates supplemented with carbenicillin (100 µg/ml) and incubate for overnight at 37 °C. A single colony of transformed E. coli JM109 cell with pEX-258-PSA D15 and pEX-128-Cag11 plasmid were inoculated into 10 ml of LB medium with 10 µL of Carbenicillin (1 µL/ml) (Canada) and cultured for overnight at 37 °C. From the overnight transformed E. coli JM109 cell broth culture, pEX-A258-PSA D15 and pEX-A128-Cag11 plasmid were extracted and purified using Fast Gene Plasmid mini kit (NIPPON GENETICS EUROPE GmbH, German). The concentrations of purified plasmids were determined using Nano-drop spectrophotometry (Thermofisher, England). The purified pEX-A258-PSA D15 and pEX-A128-Cag11 plasmids were digested with restriction enzymes BamHI and HindIII (New England BioLabs (Beverly, MA, USA) and separated on 1% agarose gel electrophoresis.
The target 2657 bp PSA D15 and 668 bp Cag11 insert bands on the gel were cut and purified using Wizard SV Gil and PCR Clean-Up System (Promega, USA). The concentration of Gel purified linear PSA D15 and Cag11 cDNA were determined using Nano-drop spectrophotometry (Thermofisher, England) and used as insert gene to develop recombinant expression construct plasmids (pET-32b (+)-PSA D15 and pET-32b(+)-Cag11) for subsequent expression of the target protein.
Cloning and construction of recombinant expression plasmids encoding the PSA D15 and Cag11 antigens of H. pylori
For recombinant expression plasmid (pET-32b (+)-PSA D15 and pET-32b(+)-Cag11) construction, a total reaction mixture of 10 µl was prepared, which contained 4 µL (100ng/ µL) of gel-purified inserts, 1 µL (33ng/ µL) of linear pET-32b(+) expression vector (Promega, Madison, Wisconsin, USA) and 5 µL of 2x ligation mix (NipponGene, France). Then, the ligation reaction mixture was mixed by finger tapping and then incubated at 16 °C for 15 min. The ligation reactions were transformed into E. coli JM109 competent cells (Promega, USA) by heat-shocked strategy and the cells were then plated onto Luria-Bertani (LB) agar which contained 100 µg/ml of Carbenicillin and incubated over night at 37 °C. A single positive colony (JM109) containing pET32b (+)-PSA D15 and pET32b (+)-Cag11 plasmids were grown overnight at 37 °C in 10 ml Luria Bertani Broth (LB) medium supplemented with carbenicillin (100 µg/mL) with shaking (300 rpm). The recombinant expression construct pET32b (+)-PSA D15 and pET32b(+)-Cag11 plasmids were extracted and purified from all selected clone using Fast Gene Plasmid mini kit (NIPPON GENETICS EUROPE GmbH, Germany).
The accuracy of cloning procedure in the purified recombinant expression construct plasmids were verified by restriction enzyme digestion analysis as follows: a total volume of 20 µL of a restriction digestion reaction was prepared for both recombinant pET32b-PSA D15 and pET32b-Cag11 plasmids separately by mixing 13.0 µL of H2O, 2.0 µL of 10xcut smart, 4.0 µL (0.2 µg/µL) of purified recombinant plasmid, 0.5 µL (20,000 unit/ml) of BamHI and Hind III restriction enzyme. The restriction digestion reactions were incubated for overnight at 37 °C. hot plate (Germany). The digested plasmids were subjected to 1% gel electrophoresis for inserts (2657 bp PSA D15 and 668 bp Cag11) confirmation.
Expression and purification of recombinant PSA D15 and Cag11 antigens
To express the recombinant PSA D15 and Cag11 antigens, 1 µl of the purified recombinant expression construct plasmids (pET-32b (+)-PSA D15 and pET-32b (+)-Cag11) were transformed into 10 µl E. coli BL21(DE3) competent cells separately as per manufacturer instructions. The transformed competent cells were grown in 10 ml of LB supplemented with 10 µl of Carbenicillin (1 µl/ml). Then 500 ml LB medium containing 500 µl of Carbenicillin was inoculated with overnight grown cells and incubated at 37 °C for 2 h with shaking at 225 rpm till DEN-IB density reached to 2.5–3.0 (at OD600 of 0.62–0.75). When the optical density (OD) 600nm reached 0.6, 1 ml total E. coli BL21(DE3) transformed cell extract was kept at − 30 °C until use for SDS-PAG and western blot analysis. Recombinant antigen synthesis was induced with the addition of 500 µl of 1mM (final concentration) isopropyl-β-D-1-thiogalactopyranoside (IPTG; Thermo scientific, Inc.). After additional incubation at 37 °c for 45 min, the induced ECOS-BL21 (DE3) competent cultured cells were harvested by centrifugation of the cultures at 5000 xg 20˚C for 15 min and the pellet parts were stored at − 80 °C until use.
To extract the expressed recombinant PSA D15 and Cag11 antigens, the respective pellets were re-suspended in 10 mL of Bugbuster (Novagen) containing 0.5 µL (250 unit) Benzonase Nuclease (Novagen) and 0.5 µl of (30 Kunits) rLysozyme (Novagen). Thereafter, the supernatants were obtained as soluble fraction crude recombinant (rPSA D15 and rCag11) antigens extracts by centrifuged at 12,000 rpm for 10 min at 4 °C and stored at-30 °C until used. A crude purified soluble fraction of rPSA D15 and rCag11 antigens were dialyzed against phosphate buffered saline (PBS, pH 7.4) at 4 °C for overnight. The recombinant (rPSA D15 and rCag11) antigens were purified from the cleared cell lysate (soluble fraction) by Immobilized Metal Affinity Chromatography (IMAC) using TALON Metal-Accept resin (Takara Bio Inc.) according the manufacturer’s instructions as follows; 4 ml of His-accept resin was transferred into an empty column (Bio-Rad), washed with 6 ml of double distilled water (ddH2O) and then equilibrated using 4 ml of 1xbugbuster.
Then, the soluble fraction of crude rPSA D15 and rCag11 antigens were centrifuged at 12,000 rpm for 10 min at 4 °C. The supernatant was transferred into new tube as starting sample for the purification by removing the pellet (insoluble proteins). Before transferring the supernatant into the column, 70 µl of soluble fraction was taken and stored at − 30 °C until SDS-PAGE and Western blot analysis. Approximately,10 ml of recombinant (rPSA D15 and rCag11) antigens soluble fractions supernatants were loaded onto a pre-equilibrated His-accept resin purification column and the His flow through (His-FT) solution was collected in new tube. Then, 70 µl of His-FT solution was saved and stored at − 30 °C until analysis. Thereafter the His-accept resin column was washed with 4 ml of 1XBugBuster and again the resin was washed twice with 10 ml of NPT-I10 buffer. The target recombinant (rPSA D15 and rCag11) antigens (His-elutes) were eluted three times with 2 ml of NPT-I300 elution buffer and stored at − 30 °C until analysis.
Quantification of the purified recombinant (rPSA D15 and rCag11) antigens
The quantities (concentration) of the purified recombinant (rPSA D15 and rCag11) antigens were determined using Pierce Bicin Choninic Acid (BCA) Protein Assay kit (Thermo Scientific, USA) and NanoDrop Thermo Scientific NanoDrop 2000c Spectrophotometer. A working reagent was prepared by using BCA reagent A and B and Bovine serum albumin (Sigma-Aldrich, St. Louis, MO) was used as a standard protein. The assay was performed by transferred 25 µL of each standard solution, and unknown rPSA D15 and rCag11sample into separated 1.5mL tubes labelled respectively, then 500 µL of the working reagent was added into each tube and mixed well. The tubes were covered with aluminum foil and incubated at 37 ⁰C for 30 min on water bath. The absorbance and corresponding concentration values of negative control which used as background, each standard solutions and unknown recombinant (rPSA D15 and rCag11) antigens were measured from low to high concentration using Nano-drop 2000c UV-V is spectrophotometer machine (Thermo scientific, USA). The BCA protein standard curve and the formula were generated and the unknown concentration of the rPSA D15 and rCag11 antigens were determined.
Quality and purity of the purified recombinant (rPSA D15 and rCag11) antigens
In this study, the purified recombinants (rPSA D15 rCag11 and rCag11) antigens were analyzed by SDSP-AGE and Western blotting to evaluate their purity and identity (quality). To do this, two 10% gels per antigen (rPSA D15 and rCag11) were prepared where one was used to assess quality while the other to assess the purity of rPSA D15 and rCag11antigens according to Laemmli (1970) protocol using the Mini Protean apparatus (Bio-Rad) with some modified procedure. After the gels were prepared, the loading sample for rPSA D15 antigen (E.coli BL21(DE3)-PSA D15 culture pellet before IPTG, E.coli BL21(DE3)-PSA D15 culture pellet after induced with IPTG, rPSA D15 His-FT, rPSA D15 His-Elute) and rCag11antigen(E.coli BL21(DE3)-Cag11 culture pellet before IPTG, E.coli BL21(DE3)-Cag11 culture pellet after induced with IPTG, rCag11 FT, rCag11 Elute) samples were transferred into separated tubes. Then 5 µL of 4 X LDS (Lithium Dodecyl Sulfate) sample buffer was added into each tube, followed by 5 µL of 1.0 M Dithiothreitol (DTT) and 9 µL of water was added. The sample was heated at 90 °C for 5 min and kept on ice immediately. Then to determine the purity of the specific rPSA D15 and rCag11 separated proteins, one gel was stained with Coomassie Brilliant Blue stain (40% methanol, 10% acetic acid and 0.25% w/v) while shaking for two hours before being de-stained in a de-staining solution (10% methanol and 7% acetic acid) while shaking at room temperature. Then the gel was washed using 200 mL water and the image was recorded in Azure 280 chemiluminescent imaging system (model: Azure 280, USA).
To verify the expression and immunoreactivity of the purified rPSA D15 and rCag11 antigens, Western blotting analysis was carried out by immunoblotting SDS-PAGE separated His-tagged rPSA D15 and rCag11 proteins according to the protocol of17. The His-tagged rPSA D15 and rCag11 antigens separated on gel were electrophoretically trans-blotted onto 0.2 μm Polyvinylidene Difluoride (PVDF) nitrocellulose membranes (Millipore, Nepean, Canada) on trans-blotting buffer using a Bio-Rad Trans-Blot system (GE Healthcare USA) according to manufacturer’s instructions. Then to prevent non-specific binding of the antibodies, the PVDF membrane was blocked in 5 mL Blocking One at a concentration of 5% (w/v) (Naca laiTesque Inc. Kyoto Japan) reagent at 4 °C overnight with gentle shaking, followed by 3 X washed the PVDF membrane in 100 mL of 1xTris-Buffered Saline Tween-20 (1xTBST) wash buffer with gently shacked for 10 min at room temperature.
Then for the detection of purified rPSA D15 and rCag11 antigens, the blots were probed with diluted [1:10,000 (1 µL antibody in 10 mL 1 X TBST (Tris-Buffered Saline Tween-20)] mouse anti-His (C-Terminal)-tag mAb-HRP Direct tagged antibodies (Medical and Biological Laboratories (MBL), USA) and incubated for 30 min with gently shacked at room temperature. The PVDF membrane was then washed 5x using 100 mL of 1XTBST at room temperature with shaking for 10 min. Then 2 ml of Enhanced Chemiluminescence (ECL) reagent was prepared (1:1) and poured on top of the PVDF and immediately, the ECL was spread on PVDF equally through gentle rotation for 5 min. The excess ECL solution was carefully absorbed from the PVDF membrane and the PVDF placed in a plastic bag. The rPSA D15 and rCag11 antigens western blots were revealed using Azure280 chemiluminescent imaging system (Azure 280, USA).
Diagnostic potential of the developed recombinant (rPSA D15 and rCag11) antigens in ELISA
Based on our previous work18, ensure validity of the recombinant (rPSA D15 and rCag11) proteins as a potential antigen for H. pylori infection by ELISA, the H. pylori positive and negative human serum samples were evaluated by rPSA D15 and rCag11 coated ELISA. Briefly, 96-well plates (Nunc, Thermo Fisher Scientifc) were coated with the purified rPSA D15 and rCag11 antigens (250ng/well) with ELISA coating buffer in all well except for Blank and incubated at 4 °C overnight. Then, the plates were blocked with Blockace (100 µl/well) and incubated for 1 h at room temperature, followed by three times washed with PBS-Tween − 20 (PBS-T). Then, the plate wells were incubated with 1000x PBS-T-diluted H. pylori-positive(n = 30) and H. pylori-negative(n = 30) sera for 1 h at 37 °C and the blank wells were incubated with PBS-T. After triple washed, the plate wells were incubated with 10,000X PBS-T diluted horseradish peroxidase (HRP)-conjugated goat anti-rabbit IgG (American Qualex, USA) (100 µl/well), for 1 h at 37 °C and then 3x washed with PBS-T solution. Then, the plate wells were incubated with ELISA substrate (OPD + ELISA substrate buffer + H2O2) (100 µl/well), in the dark for 30 min at 37 °C, and the reaction was stopped by adding 2MH2SO4(100 µl/well). The optical density (OD) of resultant color change was measured at 492 nm using Epoch-BioTek Microplate Reader. The cut-off point of the newly developed rPSA D15 and rCag11 coated ELISA for anti-H. pylori antibody test assay were determined based on the mean OD492 of 30 negative serum plus 3 standard deviations (CoV = mean of OD492 of 30 negative serum + 3SD)19 with the results were recognized as positive and negative sample if the OD492 ≥ cut off vale and < cut-off vale, respectively.
Determination of analytical sensitivity and specificity of the developed rPSA D15 and rCag11 coated ELISA assays
The smallest amount of the anti-H. pylori antibody in a serum sample that can be accurately detected by the newly developed rCag11 and rPSA D15 antigens coated ELISA assays were determined by testing twofold serial dilutions (neat, 1:10, 100, 1000, 1:2000, 1:4000, 1:8000, 1:16000, 1:32,000, 1:64000, 1:128000 and 1:256000) of 3 anti-H. pylori positive serum sample, which confirmed by commercial available H. pylori rapid antibody immunodiagnostic kit (Safecare Biotech, Hangzhou, China), standard anti-H. pylori (known concentration as PC) using the newly developed rPSA D15 and rCag11 antigen coated ELISA assay following the procedure as described above. To quantify the lowest limit of detection of the newly designed rPSA D15 and rCag11 coated ELISA assay, standard curve using the known concentrated anti-H. pylori antibody sample and the corresponding concentration of the target anti-H. pylori serum sample were generated and the lowest antibody titter (µg/ml) with a value higher than the cut-off was set as the analytical sensitivity level of the rCag11 and rPSA D15 coated ELISA assays developed in this study20.
Furthermore, to determine the analytical specificity of the rPSA D15 and rCag11antigen coated ELISA assay, 30 anti-H. pylori seropositive sera and 30 anti-H. pylori seronegative (Diarrheic patients due to bacterial infection) sera samples were tested using the rPSA D15 and rCag11 antigen coated ELISA following the procedure as described above.
Determination of diagnostic sensitivity and specificity of the developed rPSA D15 and rCag11 coated ELISA assays
The diagnostic sensitivity of the newly developed rPSA D15 and rCag11 antigen coated ELISA assay were determined by testing 30 anti-H. pylori seropositive clinical serum samples, which confirmed by commercially available H. pylori rapid antibody immunodiagnostic kit (Safecare Biotech, Hangzhou, China) using rPSA D15 and rCag11 antigen coated ELISA assay. Referring to the optimum cut-off value with best combination of diagnostic sensitivity and specificity result, the results were recognized as positive and negative sample if the OD492 ≥ cut off vale and < cut-off vale, respectively. The diagnostic sensitivity of the designed rPSA D15 and rCag11antigen coated ELISA assay were determined in percent using the formula: sensitivity % = (TP/ (TP + FN)) × 100% 21,22 and GraphPad Prism 10.2.3 software (https://www.graphpad.com/)(San Diego, California, USA).
The diagnostic specificity of the rPSA D15and rCag11 antigen coated ELISA assay were determined by testing 30 anti-H. pylori seronegative clinical serum samples using rPSA D15 and rCag11 coated ELISA assay. Similarly, referring to the optimum cut-off value with best combination of diagnostic sensitivity and specificity result, the results were recognized as positive and negative sample if the OD492 ≥ cut off vale and < cut-off vale, respectively. The diagnostic specificity of the designed rPSA D15 and rCag11antigen coated ELISA assay were determined in percent using the formula: specificity = (TN/ TN-FP) × 100% 23 and GraphPad Prism 10.2.3 software (https://www.graphpad.com/)(San Diego, California, USA).
Determination of the reproducibility of the newly developed ELISA assays
To determine the repeatability of the newly developed rPSA D15 and rCag11 coated ELISA assays, three separate anti-H. pylori seropositive clinical serum samples were evaluated on the same ELISA plate in triplicate using rPSA D15 and rCag11 coated ELISA assay. The percentage coefficients of variation (% CV) each sample was calculated using the following formula: %CV = (SD of OD492 replicate/Mean replicate) × 100. Average of each sample %CVs was reported as the intra-assay CV (CVintra−assay)24. The repeatability of the newly developed rPSA D15 and rCag11 coated ELISA assay were reported as acceptable where a % CV values were < 10% 25.
Comparisons of the newly developed rPSA D15 and rCag11 coated ELISA with the commercially H. pylori immunodiagnostic kit
To compare and correlate the results between the newly developed rPSA D15 and rCag11 coated ELISA assays and the available commercial H. pylori antibody test immunodiagnostic kit, a total of 60 serum samples (30 H. pylori seropositive and 30 seronegative) were tested by both immunodiagnostic assays following the procedure as described above26. Agreement rate between the results obtained using the newly developed rPSA D15 and rCag11 coated ELISA assay and results obtained using the commercially available H. pylori antibody test immunodiagnostic kit was determined based on the Cohen Kappa coefficient value (K) using SPSS software (Armonk, New York, USA) and the following formula; \(\:\text{K}=\frac{PA\:or\:Po-Pe}{1-Pe\:}\) and Where, PA- Percent of agreement and Po- Relative agreement. The agreement rate was reported; Kappa < 0: No agreement; 0.00≤ Kappa value ≤ 0.20: Slight agreement; 0.21 ≤ Kappa value ≤ 0.40: Fair agreement; 0.41≤ Kappa value ≤ 0.60: Moderate agreement; 0.61 ≤ Kappa value ≤ 0.80: Substantial agreement; 0.81≤ Kappa value ≥ 1.00:Almost perfect(excellent) agreement27. The coincidence rate (CR) was calculated using the formula CR (%) = [(Total number of serum samples-Number of inconsistent samples) / Total number of serum samples×100%]28.
Statistical analysis
In this study, the ELISA OD492 nm reading results were reported as means and standard deviations (SD) using the formula: mean ± SD. The cut-off value (CoV) for the newly developed rPSA D15 -ELISA and rCag11-ELISA assays were calculated with the following formula: CoV = mean of OD492 nm value of the negative sample + 3SD. Samples were classified as positive or negative based on whether their OD492 values were above or below the CoV, respectively. A Student’s t-test was employed to analyse the statistical significance of the differences in reactivity between known H. pylori seropositive and seronegative human sera in the ELISA, using GraphPad Prism 10.2.3 software (https://www.graphpad.com/)(San Diego, California, USA) with a p value < 0.05 and P < 0.01 being considered statistically significant and extremely significant, respectively.
The specificity and sensitivity of the newly developed rPSA D15-ELISA and rCag11-ELISA assays were calculated using the following formulas: specificity (%) = [true negative numbers / (true negative numbers + false positive numbers)] × 100% and analytical sensitivity (%) = [true positive numbers / (true positive numbers + false negative numbers)] × 100%. Additionally, the diagnostic sensitivity and specificity of the newly developed rPSA D15 and rCag11 coated ELISA assays were determined through AUC-ROC (Area Under the Receiver Operating Characteristic curve) analysis, with True Positive Rate (TPR) plotted against False Positive Rate (FPR) using GraphPad Prism 10.2.3 software (https://www.graphpad.com/) (San Diego, California, USA).
The repeatability of the rPSA D15 and rCag11 coated ELISA assay was assessed using a formula’s = (SD/mean) X 100%, where a CV intra-assay < 10% were considered an acceptable repeatability level for the assay. Agreements (concordance) between the newly developed ELISA assays and commercially available H. pylori antibody test immunodiagnostic assay kit (reference kit) were estimated using the Kappa coefficient formula κ=(PA-Pe)/1-Pe); where Kappa value ≤ 0.40 indicated poor agreement, 0.40 < Kappa value ≤ 0.6 indicated moderate agreement, 0.6 < Kappa value ≤ 0.75 indicated high agreement, and Kappa value > 0.75 indicated excellent agreement.
Results
Antigen selection, gene construct, codon optimization and cDNA synthesis
According to our previous immunoinformatic study results16, PSA D15 and Cag11 proteins were selected as a stable immunodominant antigenic proteins of H. pylori strains. The PSA D15 and Cag11 antigens coding genes were successfully designed using GENEius software (https://www.geneious.com/) and the Codon Adaptation Index (CAI) /GC % for the designed PSA D15 and Cag11 gene were 1.0/48.65% and 0.99/47.24%, respectively. These values were found within the optimum range of CAI (0.8–1.0) and GC content (30–70%), which indicates that codons used in the optimized genes were near 100% of best choice of codon preference in E. coli host cell for expression of recombinant PSA D15 and Cag11 proteins.
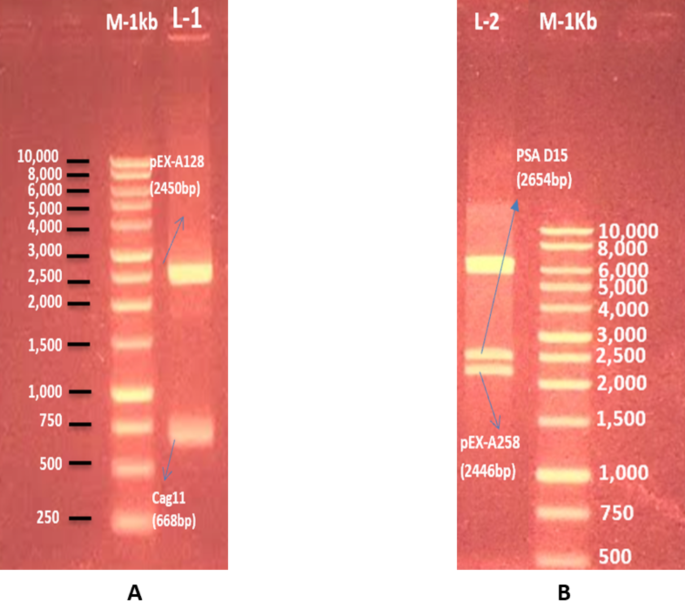
The designed and optimized PSA D15 and Cag11antigenic genes of H. pylori were successfully chemically synthesized and cloned into pEX-A258 and pEX-A128 plasmids backbone vectors respectively between BamHI and Hind III restriction sites. As a result, 2.2 µg of pEX-A258-PSA D15 (2446 bp) and 1.5 µg of pEX-A128-Cag11 (3118 bp) lyophilized plasmids were received from Eurofins company (Germany). Restriction enzyme digestion and gel electrophoresis analyzed results confirmed the presence of the correct target PSA D15 and Cag11 genes insert in the correct orientation by release of two restriction fragments of the expected size (Cag11-668 bp and PSA D15:2654 bp and their respective backbone plasmid pEX-128(2450 bp) and pEX-258(2446 bp) on gel agarose (Fig. 1).
Cloning and construction of recombinant expression plasmids
In this study, the synthesized and purified PSA D15 (2654 bp) and Cag11 (668 bp) genes of H. pylori were successfully sub-cloned into pET-32b (+) expression vectors independently. The positive transformed clones were selected on LB-carbenicillin agar plates and the purified recombinant expression constructs (pET-32b-PSA D15 and pET-32b-Cag11) plasmids were confirmed through restriction enzyme digestion. The results of the digestion verification shown that two restriction fragments of strong band on the expected size (Cag11-668 bp and PSA D15:2654 bp and their respective expression vector pET-32b (+) (~ 5900 bp) were observed on the expression constructs clones (Cag11: clone 1, 2 and 18 and PSA D15: clone 26) (Fig. 2).
Expression, purification and characterization of rPSA D15 and rCag11 antigens
The positive transformed clones (pET-32b-PSA D15 and pET-32b-Cag11 plasmids) were used for the standardization of optimal expression conditions for PSA D15 and Cag11 genes. The growth density of these transformed cells before the addition of 1mM of Isopropyl β-D-1thigalactosidase (IPTG) was 5.01 cells/mL for Cag11 and 4.01 cells/mL for PSA D15 culture. In order to express the recombinant PSA D15 and Cag11 antigens of H. pylori, the transformed E. coli BL21 (DE3) cell with pET-32b (+)-PSA D15 and pET-32b (+)-Cag11plasmids were induced with IPTG at 37 °C for 45 min, thus resulted into an increased cells growth density to 6.56 cells/mL and 5.32 cells/mL, for Cag11 and PSA D15 culture respectively.
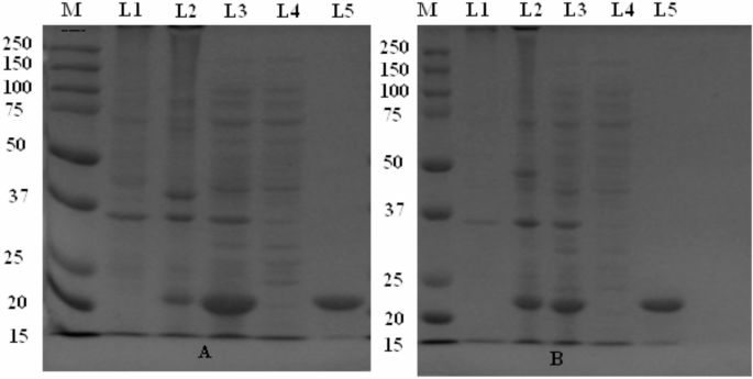
According to the SDS-PAGE analysis, the result showed that the expressed recombinant PSA D15 and Cag11 antigens of H. pylori could be detected in induced cell lysate but not in cell lysate before induction (Fig. 3A,B). The results confirmed that the selected ORFs for both antigens were expressed selectively in the transformed E. coli BL21(DE3) cells. Furthermore, the recombinant PSA D15 and Cag11 proteins were successfully purified from the soluble fraction using Immobilized Metal Affinity Chromatography (IMAC) using TALON-Accept resin (Takara Bio Inc.) and the rCag11 and rPSA D15 antigens were eluted from the column at 30 mM of NPT-I300 elution buffer. In the His-elute, the expressed protein of ~ 21 kDa(rCag11) fused with His tag and ~ 24 kDa (rPSA D15) fused with His tag were observed on SDS-PAGE gel (Fig. 3A,B, L5).
Quantification of the purified recombinant (rPSA D15 and rCag11) antigens
The concentrations of the expressed and purified rPSA D15 and rCag11 antigens were quantified using the Pierce bicinchoninic acid (BCA) Protein Assay kit (Thermo Scientific, USA) compared with BSA as a standard. As a result, the final yield and concentration of the recombinant Cag11 and PSA D15 were 3.198 mg/mL and 2.334 mg/mL in a total volume of 5 mL respectively Table 1.
Quality and purity of the purified recombinant (rPSA D15 and rCag11) antigens
In this study, the purity and integrity of the purified recombinant PSA D15 and Cag11 antigenic proteins sample were checked through electrophoresis on 10% SDS-PAGE gel analysis. The SDS-PAGE analysis showed that recombinant PSA D15 and Cag11 proteins were successfully expressed in E. coli Bl21(DE3) host expression system for production of proteins of expected sizes of ~ 21 kDa for rCag11 and ~ 24 kDa for rPSA D15 antigens (Fig. 3A,B, L5). The result showed that after further purification with the Ni-resin, high purity recombinant rPSA D15 and rCag11 proteins were obtained as stated in SDS-PAGE loading high mass of protein (5 µg/lane) (Fig. 3L5). This indicated the absence of truncated proteins due to inefficient transcription, translation or proteolysis of the targeted proteins.
To confirm specificity (identity) of the rPSA D15 and rCag11 antigens, an immunoblot (Western blot) analysis was performed using anti-His (C-terminal)-HRP mouse IgG monoclonal antibodies (Medical and Biological Laboratories CO., LTD, International a JSR Life Sciences Company). In both antigens, specific reactivity was confirmed by detection of a thick distinctive band (21 kDa for rCag11 and 24 kDa for rPSA D15) (Fig. 4A,B; L5), which indicates that recombinant PSA D15 and Cag11 proteins were effectively expressed and purified. This result suggests that these purified recombinant proteins have good antigenicity and can be used as antigen for immunization of rabbit to generate specific antibodies for use in immunodiagnostic assay (ELISA) development.
Diagnostic potential of the developed recombinant (rPSA D15 and rCag11) antigens in ELISA
To evaluate the seroreactivity of recombinant PSA D15 and rCag11 proteins as diagnostic antigens for serodiagnosis of H. pylori infection, 60 serum samples (30 H. pylori seropositive and 30 seronegative samples) were tested using the rPSA D15 and rCag11coated ELISA assays. As a result, the mean of these 30 seronegative sera was 1.730 with an SD of 0.228; these values were used to calculate the rCag11 and rPSA D15 coated ELISA cut-off value of 2.414 (1.730 + 3SD) (Fig. 5). According to our results (Fig. 6), all tested seronegative samples were placed below CoV (2.414), while the seropositive samples were found above the CoV (Fig. 6), which implies false-positive and false-negative results were not observed with sera from healthy serum and infected serum respectively. Therefore, these results indicate that the purified rPSA D15 and rCag11 antigens reacted strongly with serum samples from human infected with H. pylori and serve as a potential suitable serodiagnostic markers for H. pylori infection.
Determination of analytical sensitivity and specificity of the developed rPSA D15 and rCag11 coated ELISA assays
The analytical sensitivity of the newly developed rPSA D15 and rCag11 coated ELISA assays for the accurate detection of the smallest amount of specific antibodies against H. pylori in a serum sample were determined using serial diluted anti-rCag11 and anti-rPSA D15 antibodies as positive control and H. pylori seropositive sera samples as described in the Materials and Methods. Referring to the cut-off value (2.412), the serum samples from neat to 1:8000 diluted for rCag11 coated ELISA and neat to 1:16000 diluted for rPSA D1 coated ELISA showed positive reactivity (Fig. 6). Thus, the highest dilution (detection limit) of H. pylori seropositive sera accurately detected by the newly developed rCag11-ELISA and rPSA D1-ELISA assays were established at 1:8000 (2 µg/ml) (Fig. 6A), and 1:8000 (2 µg/ml) and 1:16000 (1.3 µg/ml) (Fig. 6B), respectively.
Furthermore, the analytical specificity of the rPSA D15 and rCag11antigen coated ELISA assay were examined with 30 H. pylori seropositive sera and 30 H. pylori seronegative (Diarrheic patients due to bacterial infection) sera samples. The result showed that the OD492 value of all H. pylori seronegative sera were lower than cut-off vale (4.412), which indicating these serum samples were negative in both rPSA D15 and rCag11 coated ELISA assay, while among 30 H. pylori seropositive sera, 29 and 28 sera were positive (OD492 > 2.412) in rPSA D15-ELISA and rCag11-ELISA assays respectively, indicating high analytical specificity (Fig. 7).
Determination of diagnostic sensitivity and specificity of the developed cELISA assay
The diagnostic sensitivity and specificity of the newly developed rPSA D15-ELISA and rCag11-ELISA assay were evaluated with 60 (30 clinical H. pylori seropositive and 30 seronegative serum samples using rPSA D15-ELISA and rCag11-ELISA assay. As a result, rCag11-ELISA and rPSA D15-ELISA assays showed 29 and 28 true positive with OD492 values ranging from 2.627 to 3.149 and 2.386 to 3.171 respectively. The remaining 1 and 2 samples showed false negative in rCag11-ELISA and rPSA D15-ELISA, with OD492 values of 2.003 and 0.05–0.269 respectively (Fig. 8A1,B1).
Moreover, the diagnostic specificity of the rPSA D15-ELISA and rCag11-ELISA assays evaluation with 30 H. pylori seronegative clinical serum samples showed that the OD492 value of all 30 H. pylori seronegative clinical serum samples were below the cut-off vale in both rPSA D15-ELISA and rCag11-ELISA), indicating that both the ELISA assays developed in this study were high specific for detection of H. pylori in clinical serum sample without cross-reacted with antibodies synthesized against other non-H. pylori bacterial infection (Fig. 8A,B).
The data obtained from rCag11-ELISA and rPSA D15-ELISA positive and negative samples test results were analyzed by Receiver Operating Characteristic (ROC) curve. In this analysis, the best correlation between diagnostic sensitivity (93.33%; 95% CI 78.68–98.82) and specificity (96.67% ; 95% CI 83.33–99.83) of rPSA D15-ELISA assay data was observed using an optimum cut off value ≥ 2.246 for positive samples and < 2.246 for negative samples (Fig. 8B).While the rCag11-ELISA assays data showed excellent correlation between specificity (96.67% ; 95% CI 83.33–99.83) and sensitivity (96.67% ; 95% CI 83.33–99.83) at an optimum cut-off vale of ≥ 2.346 for positive samples and < 2.346 for negative samples (Fig. 8A) and in details in Table 2. The P-values for rPSA D15 and rCag11 antigens were both obtained as P-value (< 0.0001) which is less than level of significance, alpha = 0.05, which indicated that the two antigens are capable of detecting immunoglobulin (IgG) antibodies in human sera synthesized specifically against H. pylori infections.
Determine the reproducibility of the newly developed rPSA D15-ELISA and rCag11-ELISA assay
The repeatability tests of the newly developed rPSA D15-ELISA and rCag11-ELISA assay were evaluated on clinical serum samples. The coefficient of variation (%CV) of the assay repeatability tests could reach a minimum of 6.27% for rPSA D15-ELISA and 2.62% for rCag11, respectively (Table 3). Therefore, results indicated that both rPSA D15 and rCag11 antigen coated ELISA showed excellent repeatability and stability.
Comparison of the newly developed rPSA D15-ELISA and rCag11-ELISA with the available commercial H. pylori diagnosis kit
To compare the diagnostic efficiency and reliability of the newly developed rPSA D15-ELISA and rCag11-ELISA assay with the commercially available H. pylori antibody test immunodiagnostic kit, 60 H. pylori seropositive and seronegative human sera were assessed.
The results of both rPSA D15-ELISA and commercial H. pylori antibody test immunodiagnostic kit assay methods coincided in 53/60 of the serum samples with an agreement rate of 88.33% (Kappa = 0.767). While, rCag11-cELISA and commercial H. pylori antibody test immunodiagnostic kit methods coincided in 55/60 of the serum samples with an agreement rate of 91.66% (Kappa = 0.833) (Table 4).
Furthermore, the serum samples with inconsistent results between the newly developed ELISA and commercially available H. pylori antibody test immunodiagnostic kit were further tested by culture assay. The results showed that among the seven sample inconsistent results between rPSA D15-ELISA and reference test kit, 4 samples (1 positive and 3 negatives for culture assay) were agreed with the results of rPSA D1-ELISA assay and the remaining 2 samples (1 negative and 2 positives for culture assay) were agreed with the results of reference test kit. While, among the 5 clinical sample inconsistent results between rCag11-ELISA and reference test kit, 3 samples (1 positive and 2 negatives for culture assay) were agreed with the results of rCag11-ELISA assay and the remaining 2 samples (1 positive and 1 negative by culture assay) were agreed with the results of reference test kit. Collectively, these results indicated that the newly developed rCag11-ELISA and rPSA D15-ELISA have a high agreement with the commercially available H. pylori test kit, and it is promising for clinical testing.
Discussions
Helicobacter pylori infection is recognized as a major global public health issue, currently estimated to be affecting above 50% of the world’s population with the highest incidence rates in developing countries29. This bacterium is primarily responsible for various gastrointestinal disorders, including peptic ulcer disease, chronic gastritis and is a leading candidate for the development of gastric adenocarcinoma3. The World Health Organization (WHO) categorized H. pylori as a Group 1 carcinogen, underscoring the seriousness of the infections it causes. The widespread prevalence of H. pylori can be attributed to factors such as poor hygiene, contaminated water, and socio-economic status facilitating its transmission30.
Therefore, the development and implementation of reliable diagnostic assays for H. pylori infection is critical for effective management and treatment3. Throughout the year various invasive and resource-intensive diagnostic methods such as endoscopic biopsy and culture have been developed31. Recent advancements have led to the emergence of non-invasive diagnostic options, including serological tests, PCR-based methods, urea breath tests, and stool antigen tests, that offer quicker and simpler means of detection4. Additionally, the advancement of AI-powered online platforms has positively impacted and strengthened the diagnosis and treatment of H. pylori infection, empowering patients to take a more proactive role in managing their health. With their ability to quickly process vast amounts of data and identify patterns, AI-driven platforms can help streamline the diagnostic process, reduce misdiagnosis rates, and improve patient outcomes32,33.
Over the recent decades, due to their convenience, rapidity and easy implementation, several biomarkers based, commercial and in-house H. pylori immunodiagnostics including slide/latex agglutination34, immunofluorescence35, ELISA10 and immunochromatographic36 diagnostic assays have been developed and clinically useful for diagnosis H. pylori and other infectious diseases. However, due to their cost, limited availability, inconsistent reproducibility, poor performance(in terms of sensitivities and specificities) in different geographical regions limit their usefulness in both clinical and research settings10. In developing countries, particularly in Africa, a survey conducted with a commercially available ELISA kit that was optimized for high performance in the United States showed a significantly low sensitivity rate of 50% when compared to invasive testing methods such as culture, histology, and rapid urease tests in Egypt. The inconsistent results observed with ELISA kits across various regions may suggest that different populations have distinct immunogenic characteristics, potentially influenced by genetic variations of H. pylori derived from different global sources used as antigens in these kits.
To adapt highly accurate ELISA systems to a particular region, local H. pylori strains could be used for antigen preparation instead of using foreign strains. Alternatively, highly conserved antigens among various strains globally or strains pooled from different regions could be utilized. Therefore, the WHO strongly recommends ongoing identification and screening of new and conserved immunodominant diagnostic biomarkers, highlighting their importance in H. pylori immunodiagnostic and therapy research9.
Multiple genes associated with virulence have been discovered in H. pylori, and they are thought to contribute significantly to the organism’s pathogenicity. Research has explored the proteins produced by several of these genes, including UreB, VacA, Cag, HspB, FlaA, FlaB, and outer membrane proteins, as potential diagnostic markers for H. pylori infection. Previously, the ability to produce a diverse array of proteins was unattainable because of the limitations imposed using native proteins. Recently, the accessibility of H. pylori genome sequences, along with advancements in recombinant technology, has provided the opportunities for the systematic identification of protein markers that could serve as diagnostic tools and vaccine candidates. This progress also allows for the large-scale production of a diverse array of antigens for use in diagnostic and vaccine-related applications13. Thus, the present study aimed to developed novel potential conserved recombinant antigens that should be able to react with a broad range of human anti-H. pylori antibodies and could improve the serodiagnosis of the H. pylori infection.
According to11,12, the PSA D15 and Cag11 from the H. pylori strain have been identified as significant virulence factors linked to the development of gastric cancer and related fatalities globally. These antigens are prevalent in many H. pylori strains, suggesting their potential use as diagnostic tools. However, there is currently no published research on immunodiagnostic assays or vaccines based on PSA D15 and Cag11 that have been developed or utilized in either research or clinical settings12. Therefore, this study employed a literature review and immunoinformatic approach to select a panel of candidate antigens.
In this study, the focus was on using engineered recombinant antigens for infection diagnosis instead of whole cells antigens. To achieve this, the sequences of the in silico designed recombinant PSA D15 and Cag11 antigenic proteins16 sequence were reverse translated and optimized for codons. Subsequently, these antigen DNA sequences were successfully synthesized by Eurofins and confirmed through restriction digestion enzyme (Fig. 1). Furthermore, the synthesized PSA D15 and Cag11 genes were sub-cloned into the pET-32b (+) expression vectors and confirmed through restriction digestion enzyme (Fig. 2). The recombinant PSA D15(~ 24 kDa) and Cag11 (~ 21 kDa) antigens of H. pylori were successfully expressed in E. coli BL21(DE3) host cell and purified using Immobilized Metal Affinity Chromatography (IMAC) using TALON-Accept resin. High pure, and specific rPSA D15 and rCag11 antigens of H. pylori were observed on SDS-PAGE gel (Fig. 3) and immunoblotting (Western blot) (Fig. 4A,B; L5).
In the present study, rPSA D15 and rCag1-ELISA system for the detection of specific IgG antibodies against H. pylori were designed and evaluated of 30 H. pylori seropositive along with 30 seronegative serum samples. The statistical evaluation of data obtained from the rPSA D15-ELISA and rCag11-ELISA serum tests demonstrated that the ROC curves for both rPSA D15 and rCag11 antigens reveal their effectiveness in identifying antibodies in human serum that are produced specifically in response to H. pylori infections. The sensitivity for rPSA D15 was found to be 93.33%, while for rCag11, it was 96.76% and both antigens exhibited a specificity of 96.76% (Fig. 8A,B).
These level of sensitivity and specificity of the newly developed rPSA D15-ELISA and rCag11-ELISA for the detection of anti-H. pylori antibody were very satisfactory compared with the previous reported stereological immunodiagnostic assay kits ranging from 65 to 95% [HpAfr-ELISA (95%)10, Hp IgG ELISA (92.3%), rCagA (88.5%)37 in in most studies, but their specificity were higher than that of the reported diagnostic kits ranged from 72.65 to 96.5% such as HpAfr-ELISA (90.5%)10, mAb Chemiluminescent Immunoassay LIAISON® Meridian H. pylori SAT(96.5%)38, rCagA (96%)37, Hp IgG ELISA (88.6%)39. Furthermore, when compared to previously reported diagnostic methods such as culture and rapid urease tests, which typically have sensitivities ranging from 400–90%40 and specificities generally around 80–95%40,41,42, our assays demonstrate enhanced diagnostic performance. This suggests that the newly developed rPSA D15-ELISA and rCag11-ELISA assays may provide more reliable diagnostic options, potentially improving clinical outcomes and facilitating timely patient management.
Furthermore, the reproducibility (%CV) value of the newly developed rPSA D15-ELISA were 6.273%, while rCag11showed 2.623% (Table 3), indicating that the two ELISA assays exhibits excellent reproducibility, reliable and could be used for routine detection. The comparative study results of rPSA D15-ELISA and rCag11-ELISA showed a high agreement (k = 0.767 and 0.833) with the commercially available H. pylori rapid immunochromatographic kit (Table 4). Overall, to the best of our knowledge this is a first report on the development of recombinant PSA D15 and Cag11 antigens, the results suggest that the developed rPSA D15 and rCag11 antigens represent promising diagnostic biomarkers for accurate and reliable detection of H. pylori infection, particularly in African setting and globally in large.
Conclusions
Throughout history, H. pylori has received significant attention as a pervasive and complex pathogen linked to gastric ulcers and cancer. Therefore, early detection, adequate follow-up, and alternative treatments are necessary. In this study, recombinant antigens (rPSA D15 and rCag11) were successfully developed to aid in diagnosing H. pylori infections. The study demonstrated that the high immunoreactivity of these antigens allows for effective detection of H. pylori infections through antibody profiling, showcasing excellent diagnostic sensitivity and specificity when utilizing ELISA serological tests. The newly established rPSA D15-ELISA and rCag11-ELISA systems, which incorporate these recombinant antigens exhibited high sensitivity and specificity, excellent reproducibility in comparison to other existing serological tests. Thus, considering their affordability, high specificity, sensitivity, low cross-reactivity, reproducibility, and ease of use, the rPSA D15-ELISA and rCag11-ELISA assays are well-suited for H. pylori surveillance, which is essential for disease prevention and control in populations. However, further research is necessary to refine and validate the assays with a larger sample size of positive and negative cases, including a comprehensive evaluation of specificity, reproducibility, and sensitivity.
Data availability
The data presented in this study are available in the form of figures, supplementary figures, and tables provided within the manuscript and the corresponding author promises to provide the availability of the data when requested.
References
Mladenova, I. Clinical relevance of Helicobacter pylori infection. J. Clin. Med. 10(16), 3473 (2021).
Testerman, T. L. & Morris, J. Beyond the stomach: An updated view of Helicobacter pylori pathogenesis, diagnosis, and treatment. World J. Gastroenterol.: WJG 20(36), 12781 (2014).
Elbehiry, A. et al. Helicobacter pylori infection: Current status and future prospects on diagnostic, therapeutic and control challenges. Antibiotics 12(2), 191 (2023).
Mohammadian, T. & Ganji, L. The diagnostic tests for detection of Helicobacter pylori infection. Monoclon. Antibod. Immunodiagn. Immunother. 38(1), 1–7 (2019).
Dilaghi, E., Lahner, E., Annibale, B. & Esposito, G. Systematic review and meta-analysis: Artificial intelligence for the diagnosis of gastric precancerous lesions and Helicobacter pylori infection. Dig. Liver Disease. 54(12), 1630–1638 (2022).
Shin, D., Jitkajornwanich, K., Lim, J. S. & Spyridou, A. Debiasing misinformation: How do people diagnose health recommendations from AI? Online Inf. Rev. (2024) (ahead-of-print).
Garza-González, E., Perez-Perez, G. I., Maldonado-Garza, H. J. & Bosques-Padilla, F. J. A review of Helicobacter pylori diagnosis, treatment, and methods to detect eradication. World J. Gastroenterol.: WJG 20(6), 1438 (2014).
Islam, K., Khalil, I., Ahsan, C. R., Yasmin, M. & Nessa, J. Analysis of immune responses against H pylori in rabbits. World J. Gastroenterol.: WJG 13(4), 600 (2007).
Chylewska, A., Ogryzek, M. & Makowski, M. Modern approach to medical diagnostics-the use of separation techniques in microorganisms detection. Curr. Med. Chem. 26(1), 121–165 (2019).
Tshibangu-Kabamba, E. et al. Assessment of the diagnostic accuracy and relevance of a novel ELISA system developed for seroepidemiologic surveys of Helicobacter pylori infection in African settings. PLoS Negl. Trop. Dis. 15(9), e0009763 (2021).
Utt, M., Nilsson, I., Ljungh, Å. & Wadström, T. Identification of novel immunogenic proteins of Helicobacter pylori by proteome technology. J. Immunol. Methods 259(1–2), 1–10 (2002).
Mwangi, C. et al. Whole genome sequencing reveals virulence potentials of Helicobacter pylori strain KE21 isolated from a Kenyan patient with gastric signet ring cell carcinoma. Toxins 12(9), 556 (2020).
Khalilpour, A. et al. Helicobacter pylori recombinant UreG protein: Cloning, expression, and assessment of its seroreactivity. BMC Res. Notes 7, 1–9 (2014).
Bhardwaj, P., Negi, A., Sukapaka, M. & Hallan, V. Production of polyclonal antibodies to the coat protein gene of Indian isolate of Apple stem grooving virus expressed through heterologous expression and its use in immunodiagnosis. Indian Phytopathol. 73, 165–173 (2020).
Solgi, R. et al. Development of new recombinant DgK antigen for diagnosis of dirofilaria immitis infections in dogs using ELISA technique and its comparison to molecular methods. Iran. Biomed. J. 22(4), 283 (2018).
Moges Eskeziyaw, B., Waihenya, R., Maina, N. & Muuo Nzou, S. Immunoinformatics-Based designing of novel and potent multi‐epitope PSA D15 and Cag11 immunogens for Helicobacter pylori immunodiagnostic assay development. Helicobacter 29(3), e13104 (2024).
Mageto, S. K. et al. Expression and evaluation of Wb-SXP-1 and Wb-123 recombinant antigens as potential diagnostic biomarkers for lymphatic filariasis. Am. J. Mol. Biol. 13(2), 95–112 (2023).
Eskeziyaw, B. M. et al. Development and optimization of a new competitive ELISA using Recombinant (rPSA D15 and rCag11) antigens for the detection of Helicobacter pylori infection. PLoS One. 20(1), e0317227 (2025).
Gobiye, M. Evaluation of the Solid-Phase Competition ELISA for Detecting SAT Foot-and-Mouth Disease Virus Vaccination and Infection in Goats (University of Pretoria, 2021).
Vashist, S. K., Luong, J. H., Vashist, S. K. & Luong, J. H. Bioanalytical parameters in immunoassays and their determination. Point-of-Care Technol. Enabling Next-Generati. Healthc. Monit. Manage. 197–208, (2019).
Cox, K. L. et al. Immunoassay methods. Assay Guidance Manual (2019).
Piggott, C., Carroll, M. R., John, C., O’Driscoll, S. & Benton, S. C. Analytical evaluation of four faecal immunochemistry tests for haemoglobin. Clin. Chem. Lab. Med. (CCLM) 59(1), 173–178 (2021).
Hosein, H., Abdel-Raouf, A., Madkour, B., Mazeed, A. & Rouby, S. Comparative assessment of sensitivity and specificity of some diagnostic procedures of brucellosis using different approaches. Adv. Anim. Vet. Sci. 9(12), 2176–2183 (2021).
Bai, Y. et al. Production of antibodies and development of an enzyme-linked immunosorbent assay for 17β-estradiol in milk. Food Agric. Immunol. 28(6), 1519–1529 (2017).
Minic, R. & Zivkovic, I. Optimization, validation and standardization of ELISA. Norovirus 9–28, (2020).
Klimovich, A. V. et al. Development of immunoreagents for diagnostics of CagA-positive Helicobacter pylori infections. Helicobacter 15(3), 193–200 (2010).
Zhang, B. et al. Development of a competitive ELISA for detecting antibodies against genotype 1 hepatitis E virus. Appl. Microbiol. Biotechnol. 105, 8505–8516 (2021).
Xu, X. et al. Rapid and simultaneous detection of multiple pathogens in the lower reproductive tract during pregnancy based on loop-mediated isothermal amplification-microfluidic chip. BMC Microbiol. 22(1), 260 (2022).
Smith, S., Fowora, M. & Pellicano, R. Infections with Helicobacter pylori and challenges encountered in Africa. World J. Gastroenterol. 25(25), 3183 (2019).
Li, R-J. et al. Treatment strategies and preventive methods for drug-resistant Helicobacter pylori infection. World J. Meta-Anal. 8(2), 98–108 (2020).
Li, Y., Xia, R., Zhang, B. & Li, C. Chronic atrophic gastritis: a review. J. Environ. Pathol. Toxicol. Oncol. 37(3), 95–99 (2018).
Shin, D. & Ahmad, N. Algorithmic nudge: an approach to designing human-centered generative artificial intelligence. Computer 56(8), 95–99 (2023).
Alowais, S. A. et al. Revolutionizing healthcare: The role of artificial intelligence in clinical practice. BMC Med. Educ. 23(1), 689 (2023).
Moges, B., Yinur, D., Hassen, A. & Sisay Tessema, T. Designing of immunodiagnostic assay using polyclonal antibodies for detection of Shiga toxin producing pathogenic E. coli (STEC) strains. World J. Microbiol. Biotechnol. 38(11), 195 (2022).
Jahanzeb, A. & Nagi, A. H. Detection of Helicobacter pylori through histochemistry & immunofluorescent staining in biopsies of patients with chronic gastritis. 4–9, (2020).
Obaid, J. M., Ayoon, A. N., Almurisy, O. N., Alshuaibi, S. M. & Alkhawlani, N. N. Evaluation of antibody immunochromatography testing for diagnosis of current Helicobacter pylori infection. Pract. Lab. Med. 26, e00245 (2021).
González, L. et al. Clonaje y expresión de un fragmento recombinante del gen CagA de Helicobacter pylori y su evaluación preliminar en el serodiagnóstico. Biomédica 33(4), 546 (2013).
Resina, E. et al. Evaluation of a new monoclonal chemiluminescent immunoassay stool antigen test for the diagnosis of Helicobacter pylori infection: aA Spanish multicentre study. J. Clin. Med. 11(17), 5077 (2022).
Mäki, M. et al. Helicobacter pylori (Hp) IgG ELISA of the new-generation GastroPanel® is highly accurate in diagnosis of Hp-Infection in gastroscopy referral patients. Anticancer Res. 40(11), 6387–6398 (2020).
Sabbagh, P. et al. Diagnostic methods for Helicobacter pylori infection: ideals, options, and limitations. Eur. J. Clin. Microbiol. Infect. Dis. 38, 55–66 (2019).
Siavoshi, F. et al. Evaluation of methods for H. pylori detection in PPI consumption using culture, rapid urease test and smear examination. Annals Translat. Med. 3(1), 1–9 (2015).
Sousa, C., Ferreira, R., Santos, S. B., Azevedo, N. F. & Melo, L. D. Advances on diagnosis of Helicobacter pylori infections. Crit. Rev. Microbiol. 49(6), 671–692 (2023).
Acknowledgements
The authors are grateful for the support provided by the Pan African University Institute for Basic Sciences Technology and Innovation (PAUSTI), the African Union (AU), KEMRI and Nagasaki University Institute of Tropical Medicine-Kenya Medical Research Institute project (NUITM-KEMRI).
Author information
Authors and Affiliations
Contributions
B.M.E, S.M.N., R.W., and N.M. Conceptualization, B.M.E, S.M.N., N.M.; and R.W. Methodology, B.M.E., S.M.N Software, B.M.E, S.M.N., R.W., and N.M. Validation, B.M.E, S.M.N. Formal Analysis, B.M.E, S.M.N., R.W., N.M., R.M.I., A.W.M., P.K.R., C.W.N., J.J.Y. Investigation, B.M.E., S.M.N., S. I. Resources, B.M.E., S.M.N. Data Curation, B.M.E. Writing-Original Draft Preparation, B.M.E., N.M., S.M.N., R.W. Writing-Review and Editing, B.M.E., S.M.N., R.W., and N.M. Visualization, R.W., S.M.N., N.M. Supervision, B.M., S.M.N., R.W., N.M. Project Administration and All authors read and approved the final manuscript.
Corresponding author
Ethics declarations
Competing interests
The authors declare no competing interests.
Ethics statement
Scientific and ethical approval was obtained from the Mount Kenya University Internal Ethical Review Committee (Ref No: MKU/ISERC/3558 and Approval No: 2602).
Additional information
Publisher’s note
Springer Nature remains neutral with regard to jurisdictional claims in published maps and institutional affiliations.
Electronic supplementary material
Below is the link to the electronic supplementary material.
Rights and permissions
Open Access This article is licensed under a Creative Commons Attribution-NonCommercial-NoDerivatives 4.0 International License, which permits any non-commercial use, sharing, distribution and reproduction in any medium or format, as long as you give appropriate credit to the original author(s) and the source, provide a link to the Creative Commons licence, and indicate if you modified the licensed material. You do not have permission under this licence to share adapted material derived from this article or parts of it. The images or other third party material in this article are included in the article’s Creative Commons licence, unless indicated otherwise in a credit line to the material. If material is not included in the article’s Creative Commons licence and your intended use is not permitted by statutory regulation or exceeds the permitted use, you will need to obtain permission directly from the copyright holder. To view a copy of this licence, visit http://creativecommons.org/licenses/by-nc-nd/4.0/.
About this article
Cite this article
Eskeziyaw, B.M., Maina, N., Waihenya, R. et al. Development and validation of novel diagnostic recombinant surface antigen D5 and cytotoxic gene pathogenesis island Cag11 protein for Helicobacter pylori. Sci Rep 15, 33752 (2025). https://doi.org/10.1038/s41598-025-94952-9
Received:
Accepted:
Published:
Version of record:
DOI: https://doi.org/10.1038/s41598-025-94952-9










