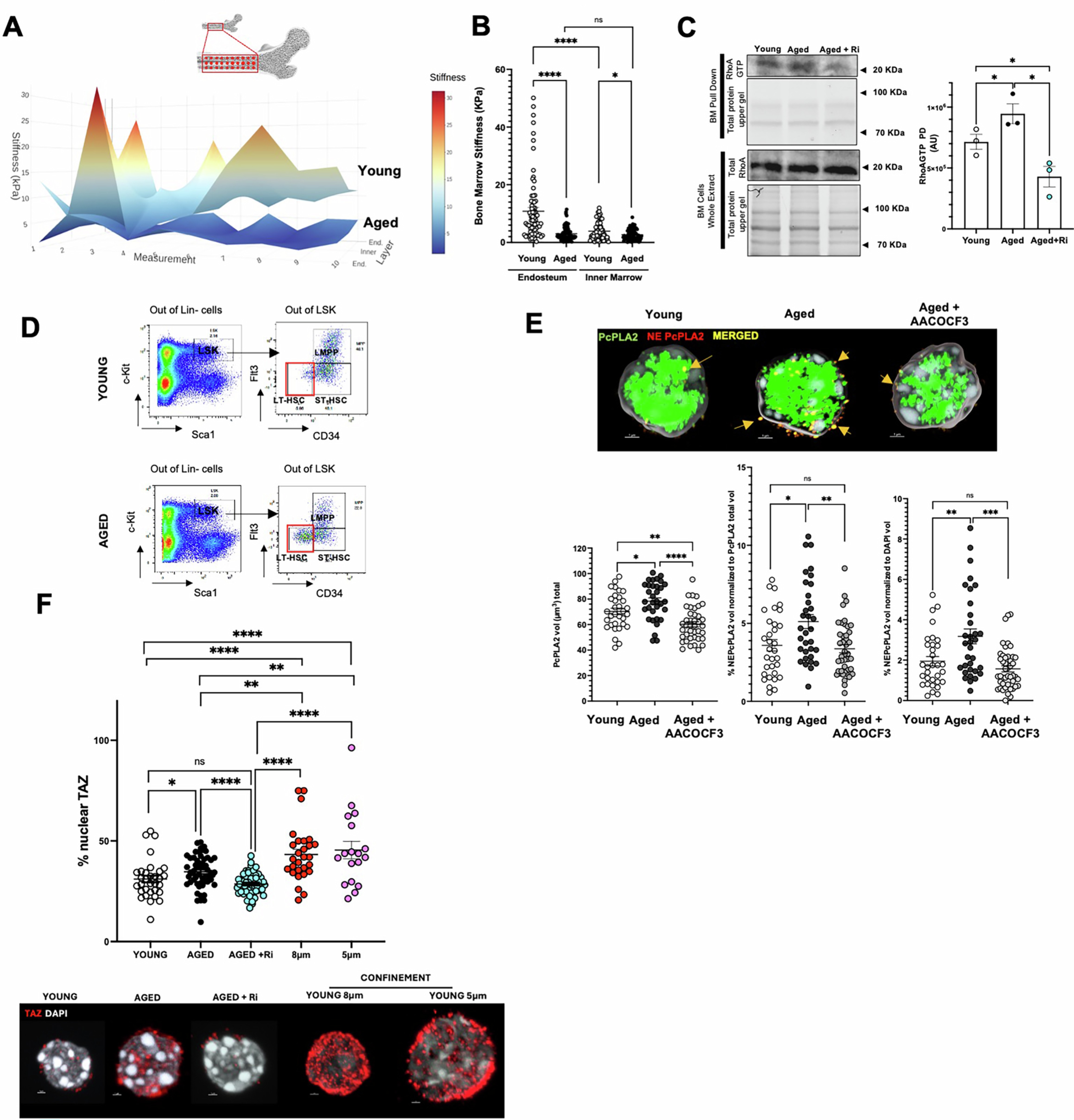
Extended Data Fig. 2: NE tension and nuclear translocation of TAZ are increased in aged HSCs.
From: Targeting RhoA nuclear mechanoactivity rejuvenates aged hematopoietic stem cells

A, Superposed stiffness variation graphs showing the measurements of representative femurs on a young and an aged mouse. B, Stiffness of the BM of femurs of young and aged mice at the endosteum and inner marrow. n = 3, with a total of 69-80 measurements per condition, Mann-Whitney, two-tailed test *p < 0.05; ****p < 0.0001. C, Representative western blot of RhoAGTP pulled down from BM cells from young, aged and aged treated in vitro with Ri. Antibody against RhoA was used to detect pulled down RhoAGTP and total RhoA in whole protein extracts. Western blot of paired protein extraction samples against RhoA total and actin is shown as reference. n = 3, Mann-Whitney test, unpaired one-tailed *p < 0.05. D, Gating strategy for the isolation of LT-HSC from young and aged BM cells from representative experiments. E. Representative images of 3D confocal reconstruction and analysis of young, aged and aged treated with AACOCF3 HSCs stained with anti-PcPLA2. These images show total PcPLA2 (green) and the NE PcPLA2 signal (red) which overlaps completely with the total signal and appears in yellow (merged of red and green). Yellow arrows point to representative accumulation of NE PcPLA2 which can be more or less visible also depending on 3D rotation of the cells. Graphs are showing total PcPLA2 vol in µm3, percentage of NE PcPLA2 volume relative to total PcPLA2 volume and relative to DAPI volume. n = 3 Mann-Whitney, two-tailed test *p < 0.05; **p < 0.01; ***p < 0.001 ****p < 0.0001. F, Representative images of 3D confocal reconstruction stained with anti-TAZ and its analysis of HSC from young, aged and aged treated with Ri along confined young cells at 8 µm and 5 µm. n = 3, Mann-Whitney, two-tailed test *p < 0.05; **p < 0.01; ***p < 0.001 ****p < 0.0001.