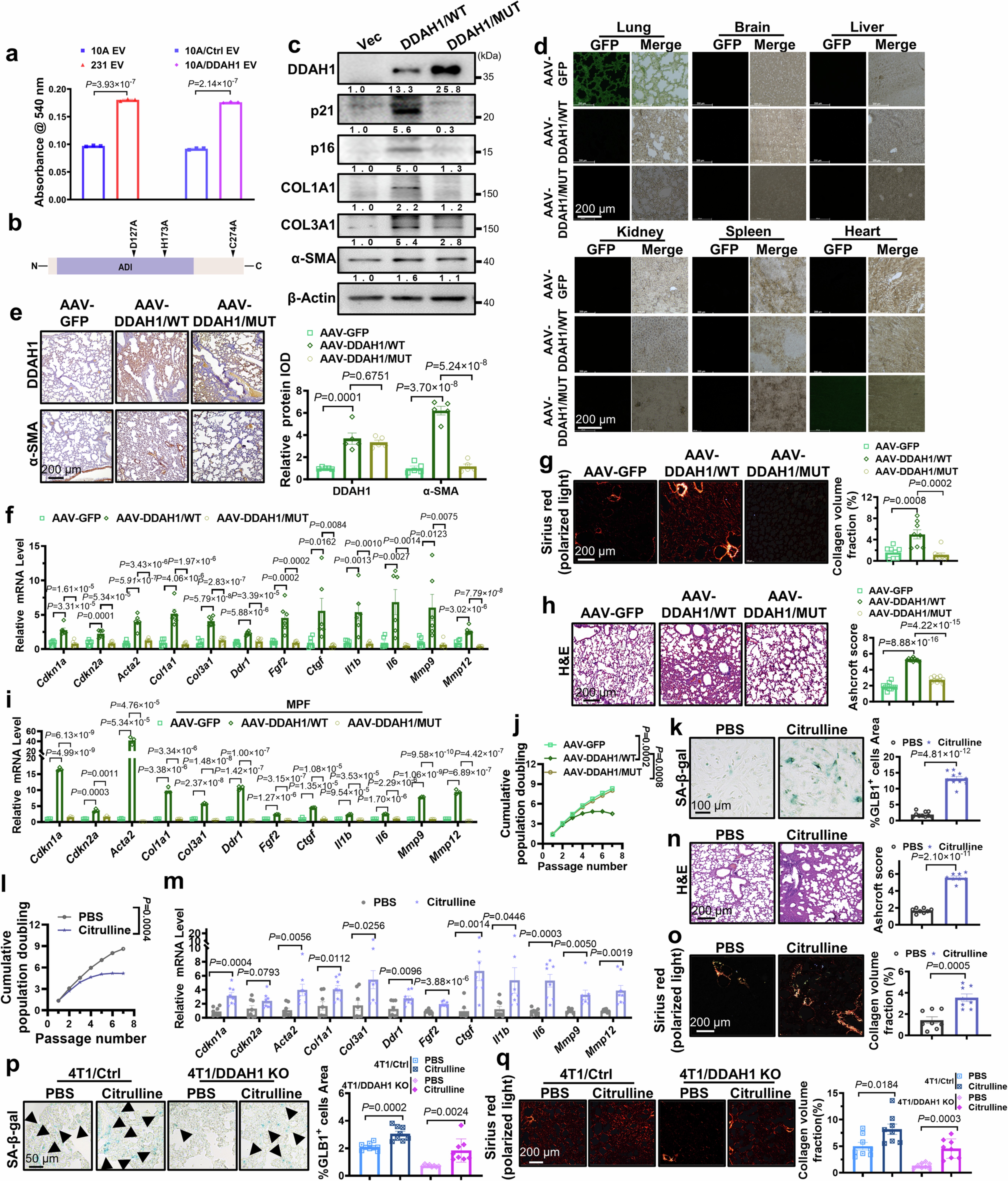
Extended Data Fig. 3: DDAH1 induces citrulline accumulation to promote lung aging.

a, Measurement of DDAH1 activity in indicated EVs, with colorimetric detection to determine citrulline level produced by equal amounts of indicated EVs (n = 3 independent replicates). b, Schematic diagram depicted the sites of enzymatically inactive mutant in the DDAH1. c, Western blot showing the levels of indicated proteins in WI-38 cells transfected with wild-type DDAH1 and the enzymatically mutated DDAH1(D127A/H173A/C274A); β-Actin served as a loading control. Repeated three times independently with similar results obtained. d, GFP signals (green) in indicated tissues of AAV6 intranasal administration model mice, including lung, brain, liver, kidney, spleen and heart. Scale bar, 200 μm. e, Representative IHC staining images and the quantification of images of DDAH1 and α-SMA in lung tissues from AAV6 intranasal administration model mice (Scale bar, 200 μm; n = 5 mice per group). Quantification was normalized to AAV-GFP group mice. f, Real-time qPCR analysis of Cdkn1a, Cdkn2a, Acta2, Col1a1, Col3a1, Ddr1, Fgf2, Ctgf, Il1b, Il6, Mmp9, and Mmp12 mRNA abundance in lung tissues from AAV6 intranasal administration group mice (n = 6 mice per group), values were normalized to AAV-GFP group mice. g, Representative Sirius red staining images and corresponding quantitative analysis of lung tissues in mice from AAV intranasal administration model (Scale bar, 200 μm; n = 8 mice per group). h, Representative H&E staining images and corresponding quantitative analysis of lung tissues from AAV intranasal administration group mice (Scale bar, 200 μm; n = 10 mice per group). i, Real-time qPCR analysis of Cdkn1a, Cdkn2a, Acta2, Col1a1, Col3a1, Ddr1, Fgf2, Ctgf, Il1b, Il6, Mmp9, and Mmp12 mRNA abundance in MPFs isolated from indicated group mice (n = 3 biologically independent samples per group). Values were normalized to MPFs isolated from AAV-GFP group mice lungs. j, Population doubling curves of indicated MPFs; n = 3 biologically independent samples per group. k, Representative senescence-associated β-galactosidase staining images and corresponding quantitative analysis of MPFs following 10 days exposure to 20 μM citrulline (Scale bar, 100 μm; n = 10 biologically independent samples per group). l, Population doubling curves of MPFs exposure to 20 μM citrulline or PBS (solvent control); n = 3 biologically independent samples per group. m, Real-time qPCR analysis of Cdkn1a, Cdkn2a, Acta2, Col1a1, Col3a1, Ddr1, Fgf2, Ctgf, Il1b, Il6, Mmp9, and Mmp12 mRNA abundance in lung tissues from citrulline intranasal administration model group mice (n = 8 mice per group). Values were normalized to PBS intranasal administration group mice. n, Representative H&E staining images and corresponding quantitative analysis of lung tissues in mice from PBS/citrulline intranasal administration model (Scale bar, 200 μm; n = 8 mice per group). o, Representative images of Sirius red staining and corresponding quantitative analysis with lung tissues from PBS or citrulline intranasal administration model mice (Scale bar, 200 μm; n = 8 mice per group). p, Representative images and corresponding quantitative analysis of senescence-associated β-galactosidase staining (Scale bar, 50 μm; n = 8 mice per group). The area of SA-β-gal-positive staining was quantified using ImageJ software. Arrows indicated regions that were positive for β-galactosidase staining. q, Representative Sirius red staining images and corresponding quantitative analysis of lung tissues in mice from citrulline intranasal administration tumor-bearing mouse model (Scale bar, 200 μm; n = 8 mice per group). Data were presented as mean ± s.e.m.; exact P values were shown and reported as source data; unpaired two-tailed Student’s t-test was used for a, k, m, n, o, p, q; one-way ANOVA followed by Dunnett multiple comparison test was used for e, f, g, h, i; two-way ANOVA was used for j, l.