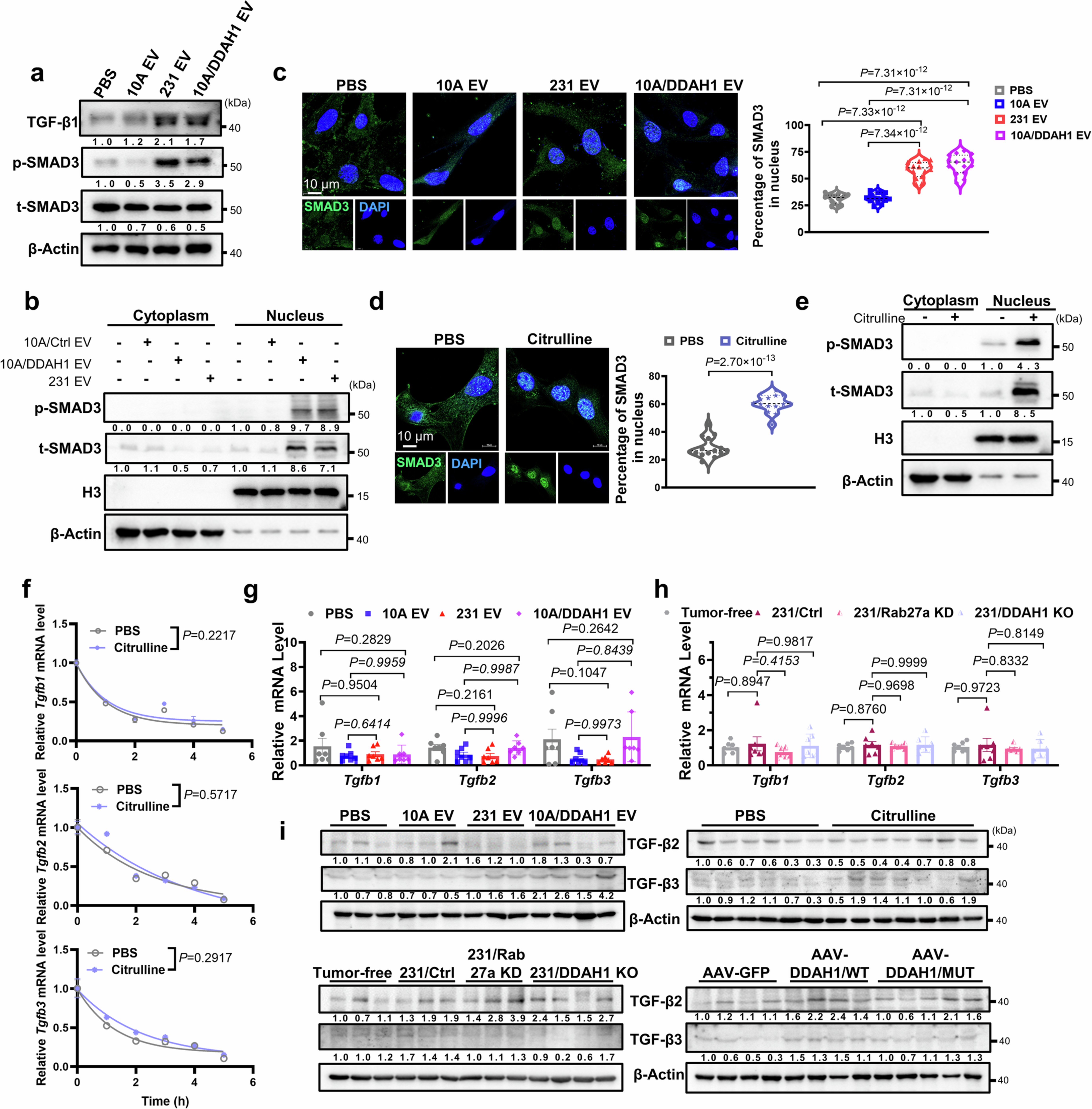
Extended Data Fig. 4: Citrulline promotes TGF-β1/SMAD3 signaling pathway in lung fibroblasts.

a, Western blot analysis of indicated proteins in MPFs treated with indicated EVs or PBS; β-Actin served as a loading control for the immunoblot. Repeated three times independently with similar results obtained. b, Western blot analysis of t-SMAD3 (total SMAD3) and p-SMAD3 (phosphorylated of SMAD3 at S423/S425) in nucleus and cytoplasmic fractions of WI-38 cells treated with indicated EVs. H3 (a nuclear control) or β-Actin (a cytoplasmic control) served as a loading control. Blots were quantified with ImageJ (quantification of proteins in nucleus or cytoplasmic fractions normalized to respective loading control and shown below image). Experiments were repeated three times independently with consistent results. c, Representative SMAD3 immunofluorescence images and corresponding quantitative analysis in MPFs treated with indicated EVs or PBS. Scale bar, 10 μm; n = 15 cells per group. d, Representative SMAD3 immunofluorescence images and corresponding quantitative analysis in MPFs following 24-hour exposure to 20 μM citrulline or PBS (Scale bar, 10 μm; n = 15 cells per group). e, Western blot analysis of t-SMAD3 (total SMAD3) and p-SMAD3 (phosphorylated of SMAD3 at S423/S425) in nucleus and cytoplasmic fractions of MPFs exposure to 20 μM citrulline or PBS (solvent control). H3 or β-Actin served as a loading control. Blots were quantified with ImageJ (quantification of proteins in nucleus or cytoplasmic fractions normalized to respective loading control and shown below image). Experiments were repeated three times independently with consistent results. f, Stability of the indicated mRNAs in MPFs treated with 20 μM citrulline or PBS (solvent control) incubated with 5 μg/mL of Actinomycin D for the indicated time; n = 3 biologically independent samples per group. g-h, Real-time qPCR analysis of Tgfb1, Tgfb2 and Tgfb3 mRNA abundance in lung tissues from indicated EV tail vein injection group and tumor-bearing group mice (n = 7 mice per group). i, Western blot showing the TGF-β2 and TGF-β3 protein levels of the lungs from indicated group mice; β-Actin served as a loading control. Data were presented as mean ± s.e.m.; exact P values were shown and reported as source data. One-way ANOVA followed by Dunnett multiple comparison test was used for c, g, h; unpaired two-tailed Student’s t-test was used for d; two-way ANOVA was used for f.