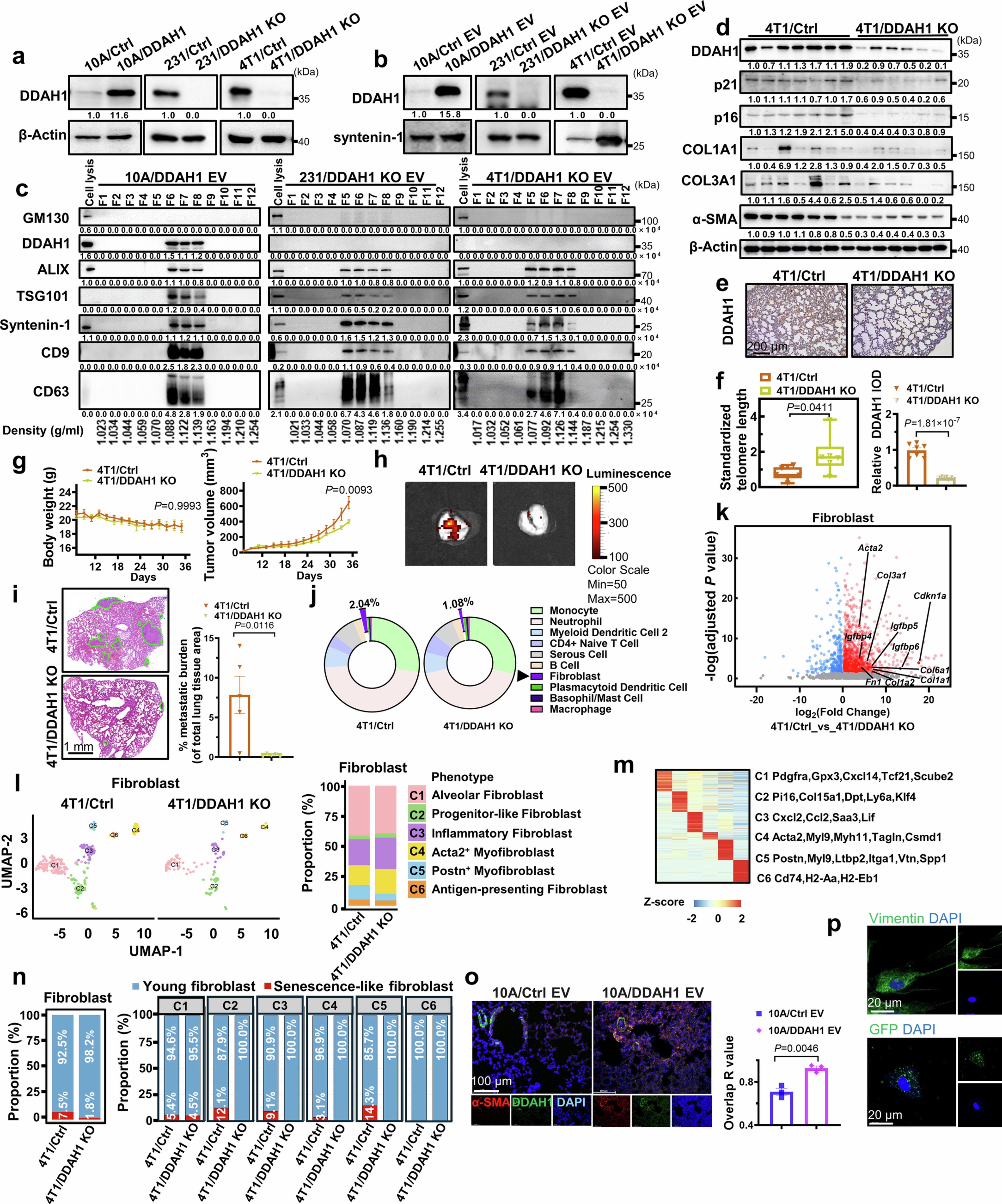
Extended Data Fig. 2: Tumor-derived exosomal DDAH1 promotes aging in lung fibroblasts.

a-b, DDAH1 protein level in 10A/DDAH1, 231/DDAH1 KO, 4T1/DDAH1 KO cells, and indicated EVs; β-Actin (a cytoplasmic control) or Syntenin-1 (an EVs control) served as a loading control. c, 10A/DDAH1, 231/DDAH1 KO, and 4T1/DDAH1 KO EV fractions showing both positive markers and negative marker (GM130) of EVs in OptiPrep gradient fractions. Intensity of blots was quantified with ImageJ (quantification shown below images). d, Western blot showing levels of indicated proteins in lung tissues from tumor-bearing groups of mice; β-Actin served as a loading control. e, Representative IHC staining images and corresponding quantitative analysis of DDAH1 in tumor-bearing mice lung tissues (Scale bar, 200 μm; n = 7 mice per group). Quantification was normalized to 4T1/Ctrl tumor-bearing group mice. f, Standardized telomere length of lungs from mice in the indicated groups (n = 6 mice per group, values were normalized to 4T1/Ctrl tumor-bearing group). The center line represents the median, box edges delineate first and third quartiles and whiskers extend to minimum and maximum values. g, Body weight and tumor volumes were measured every 2 days (n = 6 mice per group). h, Bioluminescence imaging of lung tissues dissected from 4T1/Ctrl and 4T1/DDAH1 KO tumor-bearing mice. Luminescence signals were captured via the IVIS Spectrum system and color-coded on intensity. i, Representative H&E staining images and corresponding quantitative analysis of 4T1/Ctrl and 4T1/DDAH1 KO mice lung metastasis (Scale bar, 1 mm; n = 5 mice per group). Quantification was performed with ImageScope software. j, Fraction of ten major classes of cells were detected in the lungs of tumor-bearing mice samples. k, Volcano plots based on single-cell differential expression analysis of lung fibroblasts from 4T1/Ctrl group comparing with 4T1/DDAH1 KO group mice. Genes related to aging were highlighted. l, UMAP visualization showing the subtypes of fibroblast clusters. Bar plots showing the fraction of fibroblast clusters. m, Heatmap showing the expression pattern of notably highly expressed genes for each fibroblast clusters, with top marker genes highlighted. Z score normalized mean expression. n, Bar plots showing the proportion of young fibroblast and senescence-like fibroblast in total fibroblasts and in each fibroblast cluster. o, Representative immunofluorescence staining images and corresponding quantitative analysis of the colocalization of DDAH1 and α-SMA in lung tissues from 10A/Ctrl and 10A/DDAH1 EV injection mice (Scale bar, 100 μm; n = 3 mice per group). p, MPFs isolated from mice lungs were identified by immunofluorescence staining for vimentin in green fluorescence and DAPI in blue. Scale bar, 20 μm. The lower panel displaying GFP signal of MPF treated with Lck-GFP-labeled 231 EVs. Scale bar, 20 μm. Experiments were repeated three times for a-d. Representative images are displayed. Data were presented as mean ± s.e.m.; exact P values were shown and reported as source data; unpaired two-tailed Student’s t-test was used for e, f, i, o; two-way ANOVA was used for g; two- tailed Wilcoxon rank-sum test was used for k.