Abstract
Cancers with activating mutations of KRAS show a high prevalence but remain intractable, requiring innovative strategies to overcome the poor targetability of KRAS. Here, we report that KRAS expression is post-translationally up-regulated through deubiquitination when the scaffolding function of NDRG3 (N-Myc downstream-regulated gene 3) promotes specific interaction between KRAS and a deubiquitinating enzyme, USP9X. In KRAS-mutant cancer cells KRAS protein expression, downstream signaling, and cell growth are highly dependent on NDRG3. In conditional KrasG12D knock-in mouse models of pancreatic ductal adenocarcinoma, Ndrg3 depletion abolishes Kras protein expression and suppresses intraepithelial neoplasia formation in pancreas. Mechanistically, KRAS protein binds to the C-terminal serine/threonine-rich region of NDRG3, subsequently going through deubiquitination by USP9X recruited to the complex. This interaction can be disrupted in a dominant-negative manner by a C-terminal NDRG3 fragment that binds KRAS but is defective in USP9X binding, highly suppressing KRAS protein expression and KRAS-driven cell growth. In summary, KRAS-driven cancer development critically depends on the deubiquitination of KRAS protein mediated by USP9X/NDRG3, and KRAS-addicted cancers could be effectively targeted by inhibiting the KRAS-NDRG3 interaction.
Similar content being viewed by others
Introduction
RAS family of genes are the most frequently mutated cancer driver genes (27%), with the highest mutation rates predominantly observed in cancers showing high mortality rates (pancreatic, lung, and colorectal cancers)1. However, unlike the other mutationally activated cancer drivers such as Bcr-Abl and EGFR that have been successfully targeted for the development of highly effective therapies2,3, mutant RAS-associated cancers largely remain intractable due to the poor druggability of RAS protein structure, and the RAS protein affinity toward GTP which is too high to allow inhibition with small molecule GTP antagonists4. Moreover, strategies indirectly targeting RAS via its downstream effector pathways were also almost unsuccessful due to compensatory mechanisms5.
Most cancer-associated RAS genes (98%) are characterized as having a missense gain-of-function mutation at one of three hotspots6, causing persistent activation of RAS protein independent of extracellular stimuli. Among the 3 RAS genes (HRAS, KRAS, and NRAS), mutations in KRAS are observed in 85% of all RAS-mutant cancers6. In particular, more than 90% of pancreatic ductal adenocarcinoma (PDAC) carries KRAS mutation, and more than 90% of the KRAS amino acid substitution in PDAC occurs at the G12 position with a preference to D, V, or R residue5. It is notable that the different amino acid substitutions at any one hotspot of RAS mutation can have differential oncogenic potencies as well as distinct functional consequences6,7. Recently, mutation-specific inhibitors targeting the G12C-mutant KRAS have been developed7,8, and gained regulatory approval for KRAS-mutant NSCLC (non-small cell lung cancer) patients9,10. However, their use in PDAC treatment could be limited since G12C mutation is rare in PDAC (1% of all KRAS mutations), unlike lung adenocarcinoma where it is the major KRAS mutation (43%)11. Moreover, they also face an acquired resistance like other targeted therapies due to compensatory upstream signaling pathways that promote the GTP-bound state of G12C KRAS, which does not bind to these inhibitors11,12. Therefore, the discovery of innovative strategies remains among the top priorities to overcome the poor targetability of KRAS.
N-Myc downstream-regulated genes (NDRGs) are a family of proteins implicated in cell proliferation, differentiation, development, and stress responses13. They are also intimately associated with human tumorigenesis in a number of tissue types13. NDRGs belong to the α/β-hydrolase fold superfamily but a number of studies reported nonenzymatic functions for different NDRG members, which are dependent on protein-protein interactions (PPIs)14,15,16,17. Among the 4 members of the NDRG family, only NDRG3 is uniquely associated with pro-tumorigenic functions whereas the other members largely mediate tumor suppressive functions13. NDRG3 is frequently upregulated in cancers showing aggressive tumor behaviors and/or poor prognosis18,19,20,21,22,23,24 and was shown to promote angiogenesis and tumor growth through Raf-ERK axis25. Interestingly, NDRG3 has been repeatedly identified as a potential RAS (KRAS, HRAS, NRAS)-binding protein according to the recent studies for proximal Ras-interacting proteome (https://thebiogrid.org/)26,27,28, suggesting a possible role for NDRG3 in KRAS-dependent biologic processes.
In this work, we show that KRAS directly interacts with NDRG3 in the cell and that the oncogenic signaling and function of KRAS are positively and critically regulated by NDRG3 as the latter mediates the deubiquitination and stabilization of KRAS protein. We also provide experimental evidence for the therapeutic potential of targeting KRAS-NDRG3 interaction in KRAS-driven cancers.
Results
KRAS-driven cancer growth and signaling are critically dependent on NDRG3
We began our study by examining the KRAS-driven cell growth and signaling for possible roles of NDRG3, using a panel of pancreatic and lung cancer cell lines expressing different genotypes of KRAS (Supplementary Table 1). Upon RNAi-mediated depletion of NDRG3 expression, cells expressing mutationally activated KRAS (KRAS-Mutant) exhibited much higher growth inhibition rates than those expressing wild-type KRAS (KRAS-WT) (Fig. 1a, Supplementary Fig. 1a–c). Assays for anchorage-independent cell growth or foci formation also confirmed the differential inhibition of cell growth by NDRG3 depletion between the KRAS-Mutant and KRAS-WT groups (Fig. 1b, Supplementary Fig. 1d, e). Consistently, phosphorylation of both AKT and ERK1/2, the representative KRAS downstream signalings, was effectively suppressed by NDRG3 depletion in KRAS-Mutant group cells but was hardly affected in KRAS-WT group cells (Fig. 1c and Supplementary Fig. 1f). Notably, the extent of growth inhibition by NDRG3 depletion was not correlated with the intrinsic growth rate of parental cells regardless of KRAS genotypes (Supplementary Fig. 1g), suggesting that NDRG3-regulated cell growth might specifically relate to KRAS-driven processes rather than the general cell growth per se. The differential effects of NDRG3 depletion dependent on the KRAS genotype were reproducibly observed in the tumorous growth of KRAS-WT and -Mutant cells in nude mice (Fig. 1d and Supplementary Fig. 1h). These data strongly suggest that KRAS-driven cell growth and signaling might be closely regulated in the context of NDRG3 in KRAS-Mutant cells. We then further examined the genomic context of KRAS-driven cell growth associated with NDRG3 through RNA-Seq-based transcriptomic analyses of pancreatic cancer cell lines (2 KRAS-Mutant vs a KRAS-WT; Supplementary Fig. 2a). Differentially expressed genes (DEGs; ≥|1.5| fold change between parental and NDRG3-depleted cells) were subject to the upstream regulator analysis using Ingenuity Pathway Analysis (IPA) software in order to identify common upstream pathways showing significant changes in the NDRG3-dependent genomic activity in both KRAS-Mutant cell lines (p < 0.05). The heatmap for these pathways was dominantly represented by RAS-related signaling pathways (Fig. 1e left and Supplementary Table 2), exhibiting much larger genomic activity changes (activation Z-score) in KRAS-Mutant cells than in KRAS-WT BxPC-3 cells (Fig. 1e right). Moreover, correlation analysis between the Z-score and the cell growth inhibition rate caused by NDRG3 ablation identified most of the RAS-related pathways among those showing the highest relevance to NDRG3-dependent cell growth (Fig. 1f, Supplementary Fig. 2b and Supplementary Table 2). Consistently, in an experiment with BxPC-3 cells expressing KRAS-WT, we verified that NDRG3 depletion highly suppressed the ERK1/2 and AKT phosphorylation induced by ectopic expression of KRASG12D (Fig. 1g), further corroborating that KRAS-driven cell signaling and growth are intimately associated with NDRG3 function.
a Cell growth inhibition by shRNA-mediated depletion of NDRG3 expression in pancreatic and lung cancer cell lines expressing wild-type (KRAS-WT) or mutant (KRAS-Mutant) KRAS. b Quantification of the inhibition of anchorage-independent cell growth by shRNA-mediated depletion of NDRG3 expression in KRAS-WT or KRAS-Mutant pancreatic and lung cancer cell lines. (n = 4 biological replicates/cell line). c Differential inhibition of AKT and ERK1/2 activities by NDRG3 depletion in KRAS-WT and KRAS-Mutant cells. (n = 3 biological replicates/cell line). d Effects of NDRG3 depletion on the tumorous growth of KRAS-WT or KRAS-Mutant cells in nude mice (n = 5 mice/cell line). e A heatmap showing the genomic activity (Z-score) of upstream regulators for NDRG3-dependent DEGs in different pancreatic cancer cell lines. Ras-related signaling pathways are denoted in red, while the pathways not significantly enriched in IPA are shown in dark gray (left). A differential genomic activity profile of RAS-related signaling pathways between KRAS-WT and KRAS-Mutant cells is shown (right, n = 7 NDRG3-dependent RAS-related pathways). The genomic activity of an upstream pathway was estimated by IPA analysis of NDRG3-dependent DEGs (≥|1.5| fold change) for each pathway as identified from RNA-Seq. f Upstream regulatory pathways whose NDRG3-dependent genomic activity is highly correlated with cell growth inhibition caused by NDRG3 depletion. g Analysis of NDRG3-dependent changes in AKT and ERK1/2 activities induced by ectopic expression of KRASG12D in BxPC-3 cells. h NDRG3 dependence of the tumorous growth of KRASG12D-expressing BxPC-3 cells in nude mice (n = 8 mice/group). i Histogram of Ki-67-positive cells and p-ERK1/2-positive areas in KRASG12D-expressing BxPC-3 tumor tissues (n = 12 areas/group). Data are presented as median (center), with the box plots extending from the 25th to 75th percentiles and the whiskers (the minimum and maximum values) (a), median and quartile (b), or mean ± SEM (c, d, h) or ±SD (e, i). Statistical analysis was done with two-sided Student’s t-Test (a–d), one-way ANOVA (e, I), or two-way ANOVA (h), followed by Dunnett’s multiple comparison test. Source data are provided as a Source Data file.
Next, we tested the role of NDRG3 in KRAS-driven tumor growth in vivo by subcutaneously xenografting BxPC-3 cells stably overexpressing KRASG12D into nude mice. Compared to the cells with parental BxPC-3 background, those with NDRG3-depleted background developed into much smaller tumors (Fig. 1h, Supplementary Fig. 2c, d). In addition, immunohistochemical examination of resected tumors indicated that KRASG12D-induced ERK1/2 phosphorylation and Ki-67 expression were significantly reduced (≥3.0 folds) in NDRG3-depleted tumor tissues (Fig. 1i and Supplementary Fig. 2e). Collectively, these results indicate that NDRG3 plays an essential role in the regulation of KRAS-driven cancer cell growth and signaling in vitro and in vivo.
KRAS expression is upregulated by NDRG3 via the suppression of ubiquitination and proteasomal degradation of KRAS protein
We wondered how KRAS and NDRG3 could functionally associate with each other in KRAS-Mutant cells. We first examined whether the role of NDRG3 in KRAS-driven cell growth and signaling has any pathologic relevance in KRAS-associated human cancers. Analysis of public cancer genome databases indicated that NDRG3 mRNA expression was highly elevated in PDAC, in association with a poor disease-free survival, suggesting that NDRG3 may have significant clinical implications in PDAC (Supplementary Fig. 3a). Assessment of protein expression by tissue array analysis indicated that KRAS and NDRG3 protein levels are highly correlated with each other in pancreatic cancer patient tissues, more highly than in normal pancreatic tissues (Fig. 2a and Supplementary Fig. 3b). Moreover, western blot analysis for a panel of 5 different PDAC cell lines also revealed a positive correlationship between the expression levels of KRAS and NDRG3 proteins (Fig. 2b and Supplementary Fig. 3c). Interestingly, KRAS protein expression was highly downregulated in NDRG3-depleted KRASG12D tumor xenografts without changes in its mRNA level (see Supplementary Fig. 2d). Altogether, these observations strongly suggest a possible role for NDRG3 in the regulation of KRAS protein expression. We, therefore, set out to examine the effects of NDRG3 on KRAS protein expression. shRNA-mediated knock-down experiments indicated that KRAS protein level was indeed significantly reduced (2.5 folds) by depletion of NDRG3 expression in Capan-1 cells (Fig. 2c). CRISPR/Cas9-mediated experiments using the #2 guide RNA showing the highest KO activity for NDRG3 demonstrated that KRAS protein expression was almost blocked upon disruption of NDRG3 gene in multiple cell types (Fig. 2d and Supplementary Fig. 3d). The reduction in KRAS protein level and downstream signaling activities caused by NDRG3 depletion was effectively restored by reconstitution of NDRG3 expression in MIA PaCa-2 and NCI-H358 cells, confirming the specificity of the regulation of KRAS protein expression by NDRG3 (Fig. 2e). In these cells NDRG3 reconstitution effectively rescued their growth in culture and in vivo (Supplementary Fig. 3e, f), corroborating the functional relevance of the restored KRAS expression. On the other hand, in an ectopic overexpression experiment, exogenous or endogenous KRAS protein expression was increasingly upregulated in HEK293T and NCI-H358 cells, respectively, in proportion to increasing expression of NDRG3 (Fig. 2f and Supplementary Fig. 3g). However, KRAS mRNA level remained relatively constant regardless of the increase in NDRG3 expression (Supplementary Fig. 3h), confirming the role of NDRG3 in KRAS protein expression.
a Correlation analysis between the expression levels of KRAS and NDRG3 proteins in human pancreatic cancer patient tissues. Representative immunohistochemical images are shown (left). Scale bars, 200 μm and 100 μm in 40X and 200X images, respectively. H-scores of each immunohistochemical image were quantitatively measured using IHC profiler of ImageJ program, and average values of two different tissue sections of one human sample were subject to the correlation analysis (right; n = 39). Linear regression line of best fit with 95% confidence intervals is shown. b Correlation between the basal expression levels of KRAS and NDRG3 proteins in different pancreatic cancer cell lines. (n = 3 biological replicates/cell line). c KRAS expression changes in Capan-1 cells after depletion of NDRG3 expression with shRNAs targeting the CDS or 3’-UTR of the NDRG3 gene. d KRAS expression changes after CRISPR/Cas9-mediated disruption of NDRG3 gene in different cancer cell lines. e KRAS expression and downstream signaling activities in NDRG3-depleted and -reconstituted cells. f Expression of ectopically provided KRASG12D in HEK293T cells where a fixed amount of FLAG-KRASG12D was co-expressed with an increasing amount of NDRG3. g Kinetics of endogenous KRAS protein degradation dependent on NDRG3 expression status. KRAS protein levels were time-dependently analyzed by western blotting in MIA PaCa-2 cells after cycloheximide (CHX) treatment. (n = 3 biological replicates). h Recovery of KRAS protein level by MG-132 treatment in NDRG3-depleted cells. i Ubiquitin binding to ectopic Flag-KRASG12D protein dependent on NDRG3 expression status. j Kras protein expression in pancreatic tissues of mice with β-cell-specific knock-out (Ndrg3f/f) of Ndrg3 gene. Created with BioRender.com released under a Creative Commons Attribution-NonCommercial-NoDerivs 4.0 International license (https://creativecommons.org/licenses/by-nc-nd/4.0/deed.en) Data are presented as mean ± SEM (b, g). Statistical analysis was done with a two-sided Pearson correlation coefficient test (a, b) or two-sided Student’s t-Test (g). Source data are provided as a Source Data file.
We then investigated the cellular mechanism underlying the above observations by monitoring the NDRG3-dependent kinetics of KRAS protein turnover after blocking the protein synthesis with cycloheximide in KRAS-Mutant cells. The half-life of KRAS protein was increased in NDRG3-overexpressing cells compared to control but decreased in NDRG3-depleted cells (Fig. 2g and Supplementary Fig. 3i), suggesting that regulation of KRAS protein turnover by NDRG3 is achieved at the level of proteolysis rather than de-novo synthesis. The KRAS protein level downregulated by NDRG3 depletion was effectively recovered by treatment with a proteasome inhibitor, MG-132 in different KRAS-Mutant PDAC cell lines (Fig. 2h). Consistently, ubiquitin binding to KRAS was suppressed by ectopic overexpression of NDRG3 but highly enhanced by NDRG3 depletion in HEK293T cells (Fig. 2i). We also observed that ubiquitination of endogenous KRAS protein that was upregulated by a stable depletion of NDRG3 in PDAC cells was effectively downregulated by reconstitution of NDRG3 expression (Supplementary Fig. 3j). These results indicate that KRAS protein expression is upregulated by NDRG3 as the latter augments KRAS stability through the inhibition of ubiquitination-dependent proteasomal degradation. Finally, we examined whether the regulation of KRAS protein expression by NDRG3 is also relevant in vivo using a mouse model with a pancreas-specific KO of the Ndrg3 gene (Fig. 2j and Supplementary Fig. 3k). Kras protein levels were highly diminished in pancreatic tissues of these mice compared to wild-type controls without significant changes in mRNA expression, indicating a strong requirement for Ndrg3 for the expression of Kras protein in vivo (Fig. 2j and Supplementary Fig. 3l). Collectively, these results indicate that KRAS expression is regulated at the protein level in NDRG3-dependent manner.
NDRG3 is required for KRASG12D-induced pancreatic tumorigenesis in mouse
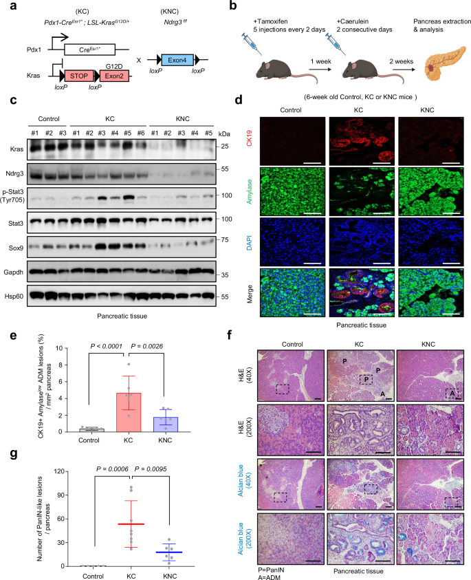
Based on evidences strongly supporting the role of NDRG3 in KRAS protein expression and the growth of KRAS-Mutant cells, we examined its role in KRAS-driven pancreatic tumorigenesis in vivo. We first generated conditional mouse models of PDAC development, where the Cre-recombinase system could be activated in a tamoxifen-dependent manner to induce KrasG12D knock-in only (KC mice) or KrasG12D knock-in combined with Ndrg3 KO (KNC mice) specifically in pancreatic islet cells. (Fig. 3a). Six-week-old mice were injected with tamoxifen and left for a week to induce Cre-LoxP-mediated gene recombination, administered an acute pancreatitis-inducing agent, caerulein, and after 2 more weeks, subject to pathologic examinations to analyze PDAC precursor formation and relevant pathologic features (Fig. 3b). Kras protein expression was highly reduced in pancreatic tissues of KNC mice compared to KC mice (Fig. 3c). Acinar-to-ductal metaplasia (ADM) is an initiating step of PDAC development, when acinar cells begin to express ductal cell markers (CK19) or transcription factors controlling duct development (Sox9), while reducing the expression of acinar markers (amylase, Mist-1)29,30,31,32. In our animal experiments, Sox9 expression was upregulated in pancreatic tissues of KC mice, along with the up-regulation of Stat3 activity which is known as a critical component of PDAC precursor formation (Fig. 3c)33. CK19 expression was also increased in the KC pancreas, while amylase expression was decreased (Fig. 3d, e). These signals were consistent with the acinar-to-ductal reprogramming behavior but were effectively abolished in the pancreatic tissues of KNC mice (Fig. 3c–e). ADM progresses to the formation of the most common precursor of PDAC, pancreatic intraepithelial neoplasia (PanIN), and eventually to PDAC in mouse KrasG12D models29. In the histopathologic images of pancreatic tissues, KC mice exhibited a multitude of PanIN-like lesions containing disrupted forms of acinar cells and large duct-like structures, which were strongly stained with Alcian blue used to identify mucinous lesions (Fig. 3f)34,35,36. However, the pancreatic tissues of KNC mice were recovered closer to the normal phenotype in both H&E and Alcian blue stainings (Fig. 3f). Quantitative measurement based on Alcian blue staining also showed that PanIN-like lesions were significantly reduced (3 folds) in KNC mice compared to KC mice (Fig. 3g). Taken together, these results indicate that NDRG3 plays an essential role in the regulation of KRAS protein expression in vivo, and is thereby critically involved in KRASG12D-induced pancreatic cancer development from the early stage of pathogenesis.
a Schematic representation of gene targeting constructs used to generate pancreas-specific conditional KrasG12D knock-in or/and Ndrg3 knock-out mouse models of PDAC development. b Scheme of experimental schedule for the tamoxifen-dependent activation of Cre-recombinase system followed by caerulein-mediated acute pancreatitis induction. Created with BioRender.com released under a Creative Commons Attribution-NonCommercial-NoDerivs 4.0 International license (https://creativecommons.org/licenses/by-nc-nd/4.0/deed.en). c Expression of Kras, Ndrg3 and PanIN markers in pancreatic tissues of mice with pancreas-specific KrasG12D knock-in (KC mice) or/and Ndrg3 knock-out (KNC mice). d Immunofluorescence staining to assess acinar-ductal metaplasia (ADM) lesions in pancreatic tissues of KC and KNC mice. Scale bars, 100 μm. e Quantitative assessment of ADM lesions in pancreatic tissues of KC and KNC mice based on measurement of CK19-positive and amylase-low area (n = 6 mice/group). f H&E and Alcian blue staining of pancreatic tissues from KC and KNC mice. Representative optical microscopic images are shown. Scale bars, 200 μm and 100 μm in 40X and 200X images, respectively. g Quantitative assessment of PanIN-like ductal lesions in pancreatic tissues of KC and KNC mice (n = 5, 8, and 6 for control, KC, and KNC mice, respectively). Data are presented as mean ± SD (e, g). Statistical analysis was done with one-way ANOVA followed by Dunnett’s multiple comparison test (e, g). Source data are provided as a Source Data file.
NDRG3 regulates KRAS protein expression via a direct physical interaction involving its C-terminal domain
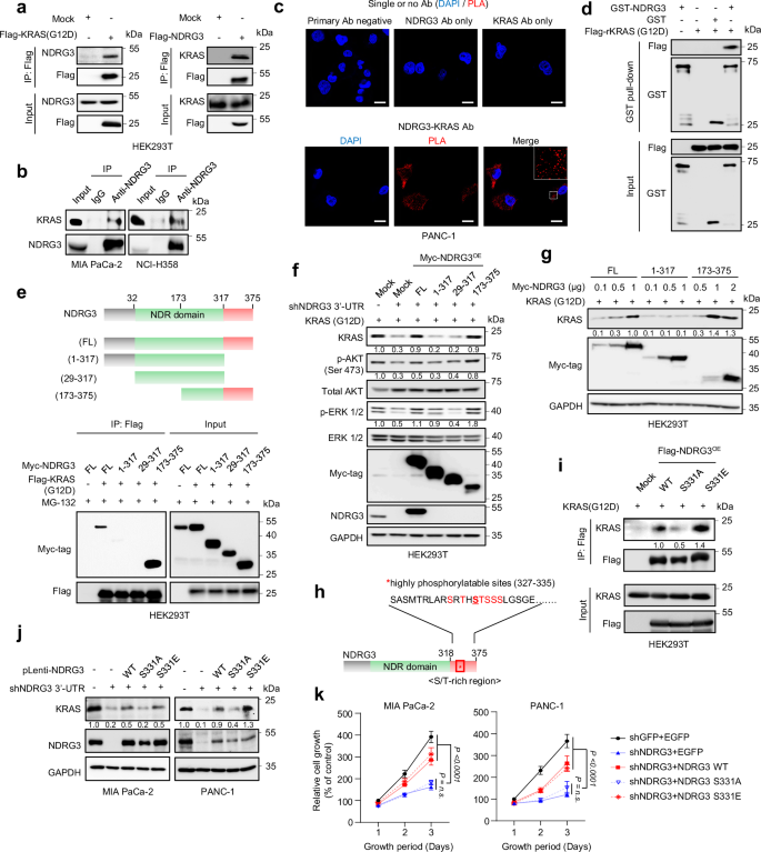
To understand how NDRG3 up-regulates the KRAS protein stability in more detail, we first examined whether the 2 proteins physically interact with each other in the cell. Interestingly, a web-based search for NDRG3-interacting proteins indicated that several large-scale interactome studies, where proximity-dependent biotin labeling assays coupled to mass spectrometry were carried out to identify proximal Ras-interacting proteome, listed NDRG3 as a candidate RAS-binding protein (Supplementary Fig. 4a) (https://thebiogrid.org/)26,27,28. Our immunoprecipitation assays indicated that KRASG12D specifically immunoprecipitated NDRG3 protein, both endogenous and exogenous (Fig. 4a left and Supplementary Fig. 4b left). Conversely, NDRG3 also immunoprecipitated endogenous or exogenous KRAS protein (Fig. 4a right and Supplementary Fig. 4b right). Moreover, immunoprecipitation with an anti-NDRG3 antibody demonstrated the interaction between endogenous KRAS and NDRG3 proteins in pancreatic and lung cancer cells (Fig. 4b). The endogenous KRAS-NDRG3 interaction was further confirmed by the proximity ligation assay (PLA), an antibody-based molecular imaging assay for protein-protein interaction, in PANC-1 cells. Positive PLA signals were observed only when the antibodies for KRAS and NDRG3 were simultaneously present (Fig. 4c). Finally, we verified through GST- and FLAG-based pull-down assays that the 2 proteins directly interact with each other in vitro (Fig. 4d and Supplementary Fig. 4c). These results collectively indicate that KRAS directly interacts with NDRG3 in the cell.
a Physical interaction between Flag-tagged KRASG12D and endogenous NDRG3 (left), and between Flag-tagged NDRG3 and endogenous KRAS (right). b Physical interaction between endogenous KRAS and NDRG3 proteins. c PLA analysis to confirm the interaction between KRAS and NDRG3 in PANC-1 cells. Inset is an enlargement of the dotted region. Scale bar = 20 μm. d In vitro GST pull-down assay showing a direct physical interaction between Flag-KRASG12D and GST-NDRG3 recombinant proteins. e Co-immunoprecipitation analysis to map the NDRG3 subdomains interacting with KRAS protein. The positions of the NDR domain and Myc-tagged NDRG3 fragments are schematically represented. FL, full-length. f Rescue effect of KRASG12D protein expression and downstream signalings by reconstitution with subdomains of NDRG3. g Dose-response test for the up-regulation of KRASG12D protein expression by N- or C-terminal domain of NDRG3. h Amino acid sequence of frequently phosphorylated sites in the S/T-rich region of C-terminal NDRG3. Frequently phosphorylated S/T residues are denoted in red, with the most frequently modified Ser331 residue underlined. i Co-immunoprecipitation assay analyzing the interaction between KRAS and NDRG3 using wild-type, phospho-dead (S331A) or phosphomimetic (S331E) form of NDRG3. j Rescue of endogenous KRAS protein expression by reconstitution of NDRG3 expression with wild-type, S331A, or S331E form of NDRG3 in NDRG3-depleted PDAC cell lines. k Effects of the reconstitution of NDRG3 expression with different S331 variants of NDRG3 on the proliferation of NDRG3-depleted PDAC cells (n = 3 biological replicates/cell line). Data are presented as mean ± SD (k). Statistical analysis was done with two-way ANOVA (k) followed by Dunnett’s multiple comparison test. n.s. = not significant. Source data are provided as a Source Data file.
Next, to identify the specific domains of NDRG3 critical for binding KRAS, we constructed a set of eukaryotic expression vectors encoding different combinations of central NDR domain and/or flanking N- or C-terminal domain of NDRG3 (Fig. 4e). Co-expression of these NDRG3 fragments with ectopic KRASG12D protein in HEK293T cells and subsequent immunoprecipitation assays revealed that KRASG12D bound with the 173-375 amino acid (aa) form of NDRG3 but not with the 1-317 or 29-317 aa form, indicating that KRAS binds to the C-terminal domain of NDRG3 in the cell (Fig. 4e). GST pull-down assay confirmed that KRASG12D binds with C-terminal, especially the far C-terminal domain of NDRG3 (Supplementary Fig. 4d). In a reconstitution assay testing the functionality of NDRG3 subdomains in HEK293T cells, the 173-375 aa form effectively restored KRAS protein expression as well as KRAS downstream signaling, while the other derivatives of NDRG3 did not (Fig. 4f). The 173-375 aa form upregulated KRAS protein level in a dose-dependent manner when overexpressed in intact HEK293T cells (Fig. 4g). These results indicate that the C-terminal domain of NDRG3 plays a critical role in both binding with KRAS protein and inducing its accumulation in the cell. Interestingly, a vast number of phosphoproteomic studies indicated that the C-terminal region of NDRG3 has a stretch of serine/threonine-rich sequences that could be phosphorylated by different growth-related stimuli (PhosphoSitePlus database; https://www.phosphosite.org) (Fig. 4h (S/T-rich region; 318-375 aa)). In particular, Ser331 was the most frequently phosphorylated residue of NDRG3 in these studies (Fig. 4h). We also confirmed this observation through the IP-Mass-based proteomic analysis of phosphorylated NDRG3 peptides using MIA PaCa-2 cells overexpressing Flag-NDRG3 (Supplementary Fig. 4e). We then tested whether this modification could affect the interaction between KRAS and NDRG3 through an immunoprecipitation assay using wild-type, phospho-dead (serine to alanine; S331A) and phosphomimetic (serine to glutamate; S331E) forms of NDRG3. Interaction between KRAS and NDRG3 was highly attenuated with the phospho-dead form of NDRG3 compared to that with the wild-type or phosphomimetic form of NDRG3 as demonstrated by co-immunoprecipitation assays in HEK293T (for exogenous KRASG12D) and MIA PaCa-2 (for endogenous KRASG12C) cells (Fig. 4i and Supplementary Fig. 4f) and GST pull-down assay in vitro (Supplementary Fig. 4g). Consistently, the phospho-dead form of NDRG3 failed to rescue the KRAS protein level that was decreased in NDRG3-depleted cells whereas either wild-type or phosphomimetic form of NDRG3 successfully rescued KRAS expression in these cells (Fig. 4j and Supplementary Fig. 4h). In parallel, analysis of cell growth via MTT and soft agar assays in PDAC cells showed that the growth reduction observed in NDRG3-depleted cells was rescued by reconstitution with wild-type NDRG3 or NDRG3(S331E) but not with NDRG3(S331A) (Fig. 4k and Supplementary Fig. 4i). These results indicate that the S/T-rich region of C-terminal NDRG3 plays an essential role in KRAS-NDRG3 interaction and accumulation of KRAS protein in the cell.
KRAS protein is deubiquitinated and stabilized by USP9X (Ubiquitin Specific Peptidase 9 X-Linked) via the scaffolding function of NDRG3
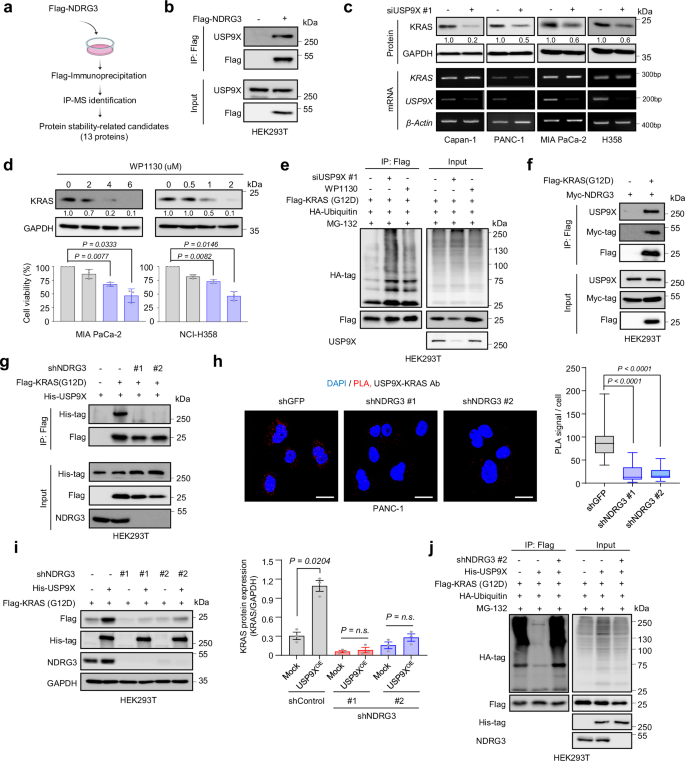
Given the essential role of NDRG3 in KRAS protein expression and KRAS-driven tumorigenesis, we explored the molecular mechanism underlying these observations. NDRGs belong to α/β hydrolase superfamily but, due to the mutations in putative catalytic signature residues, are presumed to carry out nonenzymatic functions by interacting with other proteins14,15,16,17. We thus hypothesized that like other NDRG family members, NDRG3 might also function as a scaffold protein, possibly recruiting anti-proteolytic activities for KRAS protein37,38,39,40,41,42. We carried out an immunoprecipitation experiment using HEK293T cells overexpressing Flag-NDRG3 as the bait followed by mass spectrometric analysis and identified candidate NDRG3-interacting proteins implicated in protein stability regulation (Fig. 5a and Supplementary Table 3). Among top-ranked candidates, we paid attention to USP9X (Ubiquitin Specific Peptidase 9 X-Linked; also known as FAF-X), a highly conserved deubiquitinating enzyme implicated in animal development and stemness as well as in human tumorigenesis43,44,45. Analysis of PPI by an immunoprecipitation assay clearly indicated that NDRG3 interacted with USP9X in HEK293T cells, either endogenous or exogenous (Fig. 5b and Supplementary Fig. 5a, b). In addition, depletion of USP9X expression with different siRNAs decreased the endogenous KRAS protein expression in HEK293T cells to the extent comparable to NDRG3 depletion (Supplementary Fig. 5c). This response was consistently observed in multiple cell types but KRAS mRNA levels remained unchanged (Fig. 5c), suggesting that USP9X can post-translationally up-regulate KRAS expression and that NDRG3-USP9X interaction might play an important role in this response. WP1130, a small molecule inhibitor of the deubiquitinase activity of USP9X, also decreased KRAS protein level in a dose-dependent manner in KRAS-Mutant cells, along with a proportional suppression of their growth (Fig. 5d). shRNA-mediated depletion of USP9X expression also decreased the growth of PDAC cells (Supplementary Fig. 5d). In parallel, both shRNA-mediated genetic depletion of USP9X and inhibition of USP9X activity with WP1130 significantly suppressed (≥2.6 folds) the tumorous growth of MIA PaCa-2 cells in nude mice (Supplementary Fig. 5e, f). Consistently, either depletion of USP9X expression or inhibition of its activity in HEK293T cells resulted in enhanced ubiquitination of ectopically expressed KRAS protein (Fig. 5e). Conversely, USP9X overexpression in HEK293T cells dose-dependently upregulated the ectopically expressed KRAS protein level (Supplementary Fig. 5g). However, catalytically inactive mutants of USP9X failed to deubiquitinate KRAS protein to cause its accumulation in the cell (Supplementary Fig. 5h, i). These results indicate that USP9X can up-regulate KRAS protein expression via its deubiquitinase activity, possibly involving interaction with NDRG3.
a Study scheme for searching NDRG3-binding proteins related to protein stability regulation. Created with BioRender.com released under a Creative Commons Attribution-NonCommercial-NoDerivs 4.0 International license (https://creativecommons.org/licenses/by-nc-nd/4.0/deed.en). b Physical interaction between NDRG3 and endogenous USP9X in HEK293T cells overexpressing Flag-NDRG3. c Protein and mRNA expression of KRAS after siRNA-mediated depletion of USP9X expression in KRAS-Mutant cells. d Effects of a deubiquitinase inhibitor, WP1130 on KRAS protein expression (top) in and cell viability (bottom) of pancreatic and lung cancer cell lines (n = 3 biological replicates). e Ubiquitination of KRASG12D protein after siRNA-mediated depletion or pharmacologic inhibition of USP9X. f Physical interaction between KRAS and endogenous USP9X in HEK293T cells overexpressing Flag- KRASG12D. g NDRG3 dependence of the KRAS-USP9X interaction in HEK293T cells. h PLA analysis to confirm the dependence of the interaction between USP9X and KRAS on NDRG3 (left). Quantitated PLA signal (right, n = 15 nuclei/group). Scale bar = 20 μm. i Requirement for NDRG3 in USP9X-mediated up-regulation of KRASG12D protein expression. Representative western blot result showing the NDRG3 dependence of KRASG12D protein up-regulation by USP9X (top). Values in western blots were quantitatively measured and shown as a histogram (bottom) (n = 3 biological replicates). j Requirement for NDRG3 in USP9X-mediated KRAS deubiquitination. Data are presented as mean ± SD (d), ±SEM (I), or median (center), with the box plots extending from the 25th to 75th percentiles and the whiskers (the minimum and maximum values) (h). Statistical analysis was done with a one-way ANOVA test followed by Dunnett’s multiple comparison test (d, h) or parametric unpaired two-sided Student’s t-Test (i). n.s. = not significant. Source data are provided as a Source Data file.
Since both KRAS and USP9X interacted with NDRG3, we examined whether KRAS and USP9X also interact with each other and whether the USP9X-mediated KRAS protein regulation is dependent on NDRG3. Immunoprecipitation assay indicated that KRAS interacts with USP9X in HEK293T cells (Fig. 5f). Results of PLA also confirmed that KRAS and NDRG3 proteins endogenously interact with USP9X in PANC-1 cells (Supplementary Fig. 6a). Thus the PPI data and functional data seem to collectively indicate that the 3 proteins interact with one another in the cell, possibly forming a multiprotein complex together. Considering the presumed scaffolding function of NDRG3, we then examined whether the KRAS-USP9X interaction is dependent on NDRG3. NDRG3 depletion disrupted the interaction between KRAS and USP9X proteins ectopically expressed in HEK293T cells (Fig. 5g). The number of PLA puncta representing the endogenous KRAS-USP9X interaction in PANC-1 cells was also significantly decreased (≥4.2 folds) by NDRG3 depletion (Fig. 5h). Consistently, up-regulation of ectopic KRAS expression in HEK293T cells by USP9X overexpression was abrogated upon NDRG3 depletion (Fig. 5i). Also, the KRASG12D ubiquitination level that was highly reduced by USP9X overexpression returned to the normal level upon NDRG3 depletion (Fig. 5j and Supplementary Fig. 6b). In addition, recovery of KRAS expression by NDRG3 reconstitution in NDRG3-depleted HEK293T cells was blocked by USP9X depletion (Supplementary Fig. 6c), and the KRASG12D ubiquitination level downregulated by NDRG3 reconstitution was re-elevated upon concomitant depletion of USP9X expression or inhibition of its deubiquitinase activity (Supplementary Fig. 6d). These results indicate that KRAS protein up-regulation requires both NDRG3 and USP9X, and NDRG3 functions as a scaffolding protein recruiting the latter to mediate the catalytic interaction between KRAS and USP9X, which are the presumed substrate and enzyme, respectively, in our hypothesis.
Targeting the NDRG3/USP9X-mediated process of KRAS regulation to suppress KRAS-driven cell growth
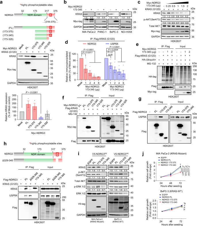
Since the C-terminal domain of NDRG3 was found essential for binding with and stabilization of KRAS, we hypothesized that subdomains of C-terminal NDRG3 protein might act in a dominant-negative manner to disrupt the KRAS-NDRG3 interaction and possibly target the KRAS regulation mediated by NDRG3/USP9X. Our GST pull-down assay indicated that a GST fusion protein for the S/T-rich region (318-375 aa form) directly bound with KRAS protein, while the one for the rest of NDRG3 protein (1-317 aa form) failed to do so (Supplementary Fig. 7a). We thus focused on the S/T-rich region, and examined derivatives of C-terminal NDRG3 fragment having different deletions in the S/T-rich region for their effects on ectopically provided KRAS protein expression in HEK293T cells (Fig. 6a). The 173-345 aa form, missing the 2nd half of the S/T-rich region yet retaining the highly phosphorylatable sites (327-335aa), significantly suppressed KRAS expression (4.0 folds) in contrast to the 173-325 aa form which lacks the majority of S/T-rich region (Fig. 6a). The presumed dominant-negative effect of 173-345 aa form on KRAS expression was reproducibly observed in different PDAC cell lines and a KRAS-Mutant lung cancer cell (Fig. 6b). Moreover, it dose-dependently suppressed the ectopic KRASG12D protein expression in HEK293T cells and the downstream AKT activity (Fig. 6c). In line with this observation, overexpression of the 173-345 aa form in HEK293T cells disrupted the interaction between KRAS and NDRG3 in a dose-dependent manner (Fig. 6d-left and Supplementary Fig. 7b). The antagonistic effect of 173-345 aa form on the endogenous KRAS-NDRG3 interaction was further confirmed by the PLA-based molecular imaging analysis in PANC-1 cells (Supplementary Fig. 7c). Consequently, the KRAS-USP9X interaction was also suppressed dose-dependently (Fig. 6d-right). Consistently, ubiquitination of KRAS protein was augmented by the overexpression of 173-345 aa form in HEK293T cells (Fig. 6e). Mechanistically, the 173-345 aa form carrying the highly phosphorylatable sites was co-immunoprecipitated with KRAS whereas the 173-325 aa and 1-328 aa forms were not (Fig. 6f and Supplementary Fig. 7d), suggesting that KRAS may bind to the 326-345 aa region of NDRG3. On the other hand, 173-345 aa form did not interact with USP9X unlike the C-terminally extended 173-375 or 251-375 aa form (Fig. 6g and Supplementary Fig. 7e), indicating that USP9X may interact with the very far C-terminal region of NDRG3. Additional binding analyses using an NDRG3 variant internally deleted for 329-345 aa region (Δ329-345) verified that KRAS interacts with the 329-345 aa region of NDRG3, while USP9X binds to the 346-375 aa region (Fig. 6h). These results collectively indicate that the 173-345 aa form of NDRG3 can exert a dominant-negative effect on the NDRG3/USP9X-mediated KRAS stabilization process by competing with intact NDRG3 protein for KRAS binding, thereby interfering with the deubiquitination of KRAS by USP9X. We then further evaluated the therapeutic potential of 173-345 aa form in KRAS-driven cancers. Lentivirus-mediated overexpression of 173-345 aa form suppressed KRAS protein expression in KRAS-Mutant pancreatic and lung cancer cells, concomitant with the suppression of AKT and ERK activities (Fig. 6i and Supplementary Fig. 7f). Consistently, its overexpression inhibited the growth of these cells (Fig. 6j and Supplementary Fig. 7g). It also suppressed KRAS protein expression in KRAS-WT cells (Fig. 6i and Supplementary Fig. 7f). However, it exerted only minimal effects on KRAS downstream signaling and cell growth in KRAS-WT cells (Fig. 6i, j and Supplementary Fig. 7f, g). These results strongly suggest that KRAS-NDRG3-USP9X interaction can be therapeutically exploited for KRAS-driven cancers and that the interaction between KRAS and C-terminal S/T-rich domain of NDRG3 could be the mechanistic target for developing specific therapies (Fig. 7).
a Evaluation of C-terminal subdomains of NDRG3 protein for their effects on KRASG12D protein expression. Positions of Myc-tagged NDRG3 fragments are schematically represented (top). KRAS expression levels in western blots (middle) were quantitatively measured (bottom) (n = 3 biological replicates). b Dominant-negative effect of the 173-345 aa form of NDRG3 on endogenous KRAS protein expression in KRAS-Mutant cells. c Dose-dependent suppression of KRASG12D protein expression by NDRG3 173-345 aa form. d Dominant-negative effects of NDRG3 173-345 aa form on KRAS-NDRG3 and KRAS-USP9X interactions. Immunoprecipitated NDRG3 and USP9X proteins were quantitatively assessed (n = 4 biological replicates). e Enhancement of KRASG12D ubiquitination by NDRG3 173-345 aa form. f Interaction between KRASG12D and C-terminal fragments of NDRG3. g Interaction between C-terminal subdomains of NDRG3 and USP9X. h Verification of the specific domain of NDRG3 for interaction with KRAS or USP9X. i Effects of lentivirally expressed full-length or C-terminal fragments of NDRG3 on endogenous KRAS protein expression and downstream signaling in KRAS-Mutant and KRAS-WT pancreatic cancer cells. j Effect of lentivirally expressed full-length or C-terminal fragments of NDRG3 on the growth of KRAS-Mutant and KRAS-WT pancreatic cancer cells (n = 3 biological replicates). Data are represented as mean ± SEM (a, d, j). Statistical analysis was done with a one-way ANOVA test (a) or two-way ANOVA (d, j) followed by Dunnett’s multiple comparison test. n.s. = not significant. Source data are provided as a Source Data file.
Created with BioRender.com released under a Creative Commons Attribution-NonCommercial-NoDerivs 4.0 International license (https://creativecommons.org/licenses/by-nc-nd/4.0/deed.en).
Discussion
Exploring the pathobiology of KRAS-driven cancers to establish a novel therapeutic strategy has been a high-priority subject in cancer research. In this study, we found that KRAS-driven cancer cell growth is closely dependent on the up-regulation of KRAS protein expression by a post-translational mechanism, where a scaffolding protein, NDRG3, assembles a multiprotein complex containing KRAS and a deubiquitinase, USP9X to induce the deubiquitination of KRAS protein. We also showed that this system plays a critical role in KRAS-driven pancreatic tumor development in mouse from the early stage of pathogenesis, and, importantly, that KRAS-NDRG3-USP9X interaction can be targeted to effectively inhibit KRAS-induced cancer cell growth.
Post-translational modification of KRAS has been actively investigated for anti-KRAS drug discovery5,46,47. In particular, KRAS protein degradation systems such as β-TrCP and LZTR1 have drawn attention as the broadly applicable targeting point for different RAS isoforms and genotypes48,49,50,51,52. However, targeting these pro-ubiquitination regulators could be technically demanding, requiring strategies to activate them. Notably, the NDRG3/USP9X-mediated deubiquitination system represents an example by which KRAS protein expression is upregulated, which is more likely amenable to the development of inhibitors for KRAS-driven cancers. It also appears to be a critical regulatory component in KRAS protein expression since the KRAS protein level was highly disrupted in NDRG3-null cells and tissues. Thus, together with the pro-ubiquitination pathways, it may play crucial roles in chronically regulating KRAS function in the cell. Such characteristics of the NDRG3/USP9X system, combined with its phenotypic aspects as uncovered in this study, would make targeting the KRAS-NDRG3 interaction a very attractive therapeutic strategy for KRAS-driven cancers.
Our phenotypic data showed that NDRG3 depletion highly suppressed the growth of KRAS-Mutant cells as well as the KrasG12D-mediated tumorigenesis, indicating that blocking NDRG3 function can have a high therapeutic efficacy on KRAS-addicted cancers. In addition, KRAS-Mutant cells exhibited much higher dependence on NDRG3 for cell growth than KRAS-WT cells, suggesting that targeting the NDRG3/USP9X system can have a high selectivity towards KRAS-Mutant cancer cells. Moreover, this strategy is likely to have a broad applicability for KRAS-driven cancers including those in early stages of disease progression, as suggested by the significant reduction in early-stage metaplastic changes (ADM and PanIN formation) in mice with pancreas-specific KO of Ndrg3.
USP9X is a highly conserved, substrate-specific deubiquitinating enzyme strongly associated with human tumorigenesis, frequently showing dysregulated expression, mutations, or copy number variations in diverse cancers43,44,45. USP9X has a double-sided nature in tumor development. In particular, some articles including the study of Perez-Mancera et al.53 described its role as a tumor suppressor in PDAC but others reported on the oncogenic aspects of USP9X action54,55, making the role of USP9X in PDAC controversial. The double-sidedness of USP9X action is also supported by the findings from comprehensive loss-of-function screen databases such as the Cancer Dependency Map (DepMap)56, where the sgRNAs against USP9X are found to be both positively and negatively enriched in PDAC cell lines. USP9X expression was found to be elevated in the PDAC patient group (TCGA dataset; GEPIA), and thereby significantly associated with poor prognosis of PDAC patients (NCBI GEO datasets; KM plotter (https://pancreas.kmplot.com/)). Thus, USP9X may function oncogenically when the scaffolding function of NDRG3 is activated in pancreatic cells. However, USP9X may also suppress tumor development in the pancreas if certain tumor suppressive contexts are provided, i.e., activation of a scaffold protein that can link USP9X with a tumor suppressor whose deubiquitination leads to its stabilization and activation in pancreatic cells.
The double-sidedness of USP9X action seems to make it difficult to develop specific, targeted clinical inhibitors despite its good druggability as an enzyme. Therefore, scaffolding proteins that determine the biologic context of USP9X action can bear important implications in developing targeted inhibitors. Members of the NDRG family lack functional catalytic triad due to amino acid substitutions, and thus are considered enzymatically nonfunctional14,15,16,17 but, interestingly, are often shown to function as PPI-dependent scaffolding proteins instead37,38,39,40,41,42. According to our study, NDRG3 seems to provide an oncogenic context to the biologic activity of USP9X in PDAC by acting as a scaffold protein linking USP9X with KRAS. This NDRG3-dependent tumor-promoting activity of USP9X in KRAS-driven pancreatic tumorigenesis might be specifically inhibited by targeting the KRAS-NDRG3-USP9X axis.
NDRG3 protein was predicted to assume flexible structures at the N- and C-terminal regions, unlike the central NDR domain with an ordered structure consisting of α-helices and β-sheets (https://xtalpred.godziklab.org/XtalPred-cgi/xtal.pl)57. Therefore, the C-terminal region of NDRG3, the S/T-rich domain in particular, might have highly dynamic structural properties so that it could interact with diverse proteins when post-translationally modified in response to different stimuli. Indeed, we confirmed in our study that one of the most frequently phosphorylated residues in the S/T-rich region of NDRG3, i.e., Ser331, plays an essential role in KRAS-NDRG3 interaction and KRAS protein accumulation. Our PPI data also indicated that NDRG3 binds with USP9X at its very far C-terminal region. Moreover, in pursuing the possibility of directly targeting KRAS-NDRG3-USP9X axis, we found that disruption of KRAS-NDRG3 interaction by a truncated C-terminal NDRG3 fragment (aa 173-345), which can bind KRAS but is defective in USP9X binding, dominant-negatively suppressed KRAS protein expression and the growth of KRAS-Mutant cells (Fig. 6). This was coincident with the disruption of KRAS deubiquitination by the truncated NDRG3 fragment. Therefore, binding of KRAS to the C-terminal region of NDRG3 seems to have good potential as a direct targeting point for the development of specific anti-KRAS measures. It becomes then important in future studies to finely elucidate the structural mechanism of the interaction between KRAS and C-terminal NDRG3, and devise ways to molecularly control it.
In conclusion, we showed that KRAS protein is deubiquitinated by USP9X via the scaffolding function of NDRG3, promoting KRAS protein accumulation and KRAS-driven tumorigenesis. We also showed that the KRAS-NDRG3-USP9X axis can be directly targeted to suppress KRAS-induced tumorigenic responses. Our study provides a mechanistic insight into the KRAS-driven tumorigenesis and a scientific basis for developing anti-KRAS measures targeting the KRAS-NDRG3 interaction. Further studies to elucidate fine mechanisms underlying the PPIs along the KRAS-NDRG3-USP9X axis and the scaffolding function of NDRG3 would provide practical clues essential for the development of effective therapies for KRAS-addicted cancers.
Methods
Cell lines
Human lung cancer cell lines (NCI-H520, NCI-H1975, PANC-1, HCC827, A549, NCI-H2009), human pancreatic cancer cell lines (BxPC-3, MIA PaCa-2, AsPC-1) and HEK293T cell line were purchased from American Type Culture Collection (ATCC). The remaining two human lung cancer cell lines, NCI-H358 and NCI-H23, and one human pancreatic cancer cell line, Capan-1, were obtained from Korean Cell Line Bank. MIA-PaCa-2, PANC-1, and HEK293T were maintained in Dulbecco’s modified Eagle’s medium (DMEM, GIBCO BRL). The other cell lines were maintained in Roswell Park Memorial Institute 1640 medium (RPMI, GIBCO BRL). All media except the one for Capan-1 (20%) were supplemented with 10% fetal bovine serum (GIBCO BRL) and 100 U/ml penicillin (GIBCO BRL). Cell lines were cultured at 37 °C in a humidified incubator with 5% CO2.
Mouse models
All animals used in this study were housed in specific pathogen-free animal care facilities. All experiments related to mice were authorized by the Animal Research Ethics Committee of the Korea Research Institute of Bioscience and Biotechnology (KRIBB-AEC-20091) and carried out following the Guide for the Care and Use of Laboratory Animals published by the US National Institutes of Health (NIH Publication No. 85-23, revised 1996). The Ndrg3f/+ mice with loxP sites flanking the exon 4 of Ndrg3 gene were purchased from the Knockout Mouse Project (KOMP) Repository and developed following the manufacturer’s instructions. Briefly, Ndrg3f/+ chimera mice were backcrossed with C57BL/6 mice for more than 5 generations and subsequently mated with a transgenic mouse harboring Flp recombinase. Homozygous Ndrg3f/f mice were established by crossing with heterozygous Ndrg3f/+ mice harboring Flp recombinase and then backcrossed for at least 5 generations. To generate mice with a pancreatic β-cell-specific knock-out of Ndrg3, a transgenic mouse harboring Pdx1-Cre recombinase was mated with Ndrg3f/f mice. Homozygous Pdx1-Cre; Ndrg3f/f was generated via sequential mating with Ndrg3f/f mice. For inducible KrasG12D knock-in and/or Ndrg3 knock-out mouse models, transgenic mice harboring tamoxifen-inducible Cre-recombinase (STOCK Tg (pdx1-cre/Esr1*) #Dam/J) and KrasG12D knock-in allele ((B6.129S4-Krastm4Tyj)/J) were purchased from Jackson Laboratory. Heterozygous mice were used to generate homozygous mice, and mice with Pdx1-CreEsr1*; LSL-KrasG12D/+; Ndrg3+/+ or Pdx1-CreEsr1*; LSL-KrasG12D/+; Ndrg3f/f were finally obtained. Both male and female mice were used in the experiments with the acute pancreatitis and pancreatic tumorigenesis models.
Reagents
WP1130 (Selleckchem) was used as a specific inhibitor of the enzyme activity of USP9X, and MG-132 (Calbiochem) was used for the inhibition of the proteasomal degradation pathway.
Production of stable cell lines
To establish stable overexpression cell lines, EGFP, NDRG3 (NM_032013) cDNA, and KRAS (NM_004985) cDNA mutated from glycine to aspartate at position 12 were cloned into pLenti6/V5-DEST plasmid (Invitrogen). cDNA expression vectors were transfected into cells using Lipofectamine® 2000 reagent (Invitrogen). Lentiviral particles were generated following the protocol of ViraPower™ Lentiviral Expression Systems (Invitrogen). The lentiviral supernatant was concentrated 10 folds using Amicon® Ultra 15 mL Centrifugal Filters (Millipore) for effective infection, and the transduced cells were selected with Zeocin (100 μg/ml, Gibco). For stable knock-down of NDRG3 by targeting the CDS ****or 3’-UTR region and of GFP, lentiviral particles containing specific shRNA expression vector (pLKO.1; Addgene) were produced by transfecting the shRNA expression plasmid and lentiviral packaging mix into HEK293T cells. For viral transduction, each target cell line was incubated with the lentiviral supernatant containing 6 μg/ml polybrene (Sigma-Aldrich) and selected with puromycin (1 μg/ml, Sigma-Aldrich). Stable cell lines depleted of NDRG3 expression by CRISPR/Cas9 knock-out system were also produced in the same way. Sequences of sgRNAs used in the study are listed in Table S4.
Transient cDNA overexpression and gene silencing
For transient overexpression, cDNAs encoding NDRG3 (NM_032013), USP9X (NM_001039590) or KRAS (NM_004985) gene mutated in glycine at position 12 to aspartate were cloned into pcDNA3.1(-) Myc.his, pcDNA3.1(-) 6x-his or p3XFlag-CMV-7.1 plasmid. All cDNA expression vectors were transfected into cells using Lipofectamine® 2000 reagent (Invitrogen). Transient gene silencing was achieved by transfecting with 20~40 nM siRNA, using Lipofectamine® RNAiMAX reagent (Invitrogen). Transfected cells were incubated for more than 48 h before harvesting. Information for siRNAs is listed in Table S4.
RNA isolation, reverse transcription and qRT-PCR
Total RNAs of cell lines and mouse tissues were extracted using TRIzol reagent (Invitrogen) or RNeasy Mini kit (Qiagen) according to the manufacturer’s protocol. RNA concentration was determined by NanoDrop One spectrophotometer (Thermo Scientific). For cDNA synthesis by reverse transcription, 3~5 μg of total RNA was reacted with dNTP, reaction buffer, oligo dT, and RevertAid Reverse Transcriptase (Thermo Scientific) in a final volume of 30 μl DEPC-treated water. The complete mix was incubated at 42 °C for 60 min, and then the reverse transcriptase was inactivated at 90 °C for 5 min. The polymerase chain reaction was carried out using the synthesized cDNA and AccuPower PCR Master Mix (Bioneer, Korea), and the PCR products were run on a 2% agarose gel and visualized by Molecular Imager® Gel Doc™ XR+ System (Bio-Rad). For quantitative real-time polymerase chain reaction (qRT-PCR), synthesized cDNA was reacted with Power SYBRTM Green PCR Master Mix (Applied Biosystems), and the PCR products were visualized using CFX Connect Real-Time PCR Detection System (Bio-Rad). A list of primers used for qRT-PCR and their sequences are shown in Table S4.
RNA-sequencing analysis
For RNA sequencing, total RNA was extracted from three paired control and NDRG3-depleted pancreatic cancer cell lines, BxPC-3, MIA PaCa-2, and Capan-1. The sequencing library was constructed using TruSeq Stranded mRNA LT Sample Prep Kit (Illumina), and the read type was paired-end. After calculating FPKM from raw count data, differentially expressed genes (DEGs) were obtained by comparing normalized FPKM scores between control and NDRG3-depleted cells. Potential upstream regulators for the genes regulated by NDRG3 in each cell line were predicted from DEGs (≥|1.5| fold change) of each cell line using the upstream regulator analysis (URA) of Ingenuity Pathway Analysis program (IPA, Qiagen), considering Z-score of activation and p-value. The sequencing data were deposited to NCBI’s Gene Expression Omnibus (GEO) with the accession number GSE189171.
Cell proliferation measurement
Pancreatic and lung cancer cell lines were infected with virus particles carrying a shRNA expression vector for NDRG3 or lentiviral vectors encoding KRAS(G12D) or NDRG3 for overexpression. After puromycin selection for 48 h, the viability of cancer cells was measured following the method specified below. For the Thiazolyl Blue Tetrazolium Bromide (MTT) assay, cells were seeded in a 96-well plate at a density of 1~3 × 103 cells/well. After incubation for 72 h, MTT reagent (10 mg/mL, Sigma-Aldrich) was added to all wells and incubated for 2 h. The formed formazan was dissolved in 100 μl of dimethyl sulfoxide (DMSO, Sigma-Aldrich) per well, and the absorbance value was read in a spectrophotometer at 590 nm. For measurement of cell proliferation by live-cell imaging, cells were seeded in a 96-well plate at a density of 4 × 103 cells/well. After 12 h plates were placed into the IncuCyte® Live-Cell analysis system (Sartorious) and scanned at four fields every 2 h for the measurement of cell density. After 96 h passed, raw values and standard deviations were calculated by the software of IncuCyte® Live-Cell analysis system.
Anchorage-independent cell growth and foci formation assays
For soft agar assay, a 6-well plate was embedded with a final 0.6% concentration of bottom agar. Then, cells were mixed with a final 0.4% concentration of top agar at a density of 0.5~1 × 104 cells/well and seeded onto the bottom agar. After the top agar hardened, cells were cultured for more than 2 weeks with a fresh media change every 3 days. The colonies were visualized using an optical microscope (IX71/DP70, Olympus) and quantified by the ImageJ program. For the foci formation assay, cells were seeded in a 6-well plate at a density of 1 × 103 cells/well, and cultured for more than 10 days with a fresh media change every 3 days. The formed foci were visualized after crystal-violet staining.
In-vivo tumorigenesis
All procedures involving mouse xenograft were performed in accordance with the guidelines approved by the Animal Research Ethics Committee of the Korea Research Institute of Bioscience and Biotechnology (KRIBB-AEC-19062, KRIBB-AEC-24095). As a measure of animal welfare, euthanasia was recommended as a humane endpoint of the experiment when the tumor volume exceeded 10% of the mouse's body weight. To estimate the knock-down effects of NDRG3 on mutant KRAS-driven tumorigenesis in vivo, BxPC-3 cells (4 × 106 cells/100 μl) were stably transfected with a cDNA vector encoding EGFP or KRASG12D for overexpression, or with an shRNA targeting GFP or NDRG3 for knock-down. For xenograft assay, the stable cell lines were injected into the flanks of 6-week-old female BALB/c-nu mice. Tumor volumes were measured with calipers on the indicated day, starting 7 days after the injection. Tumor volumes were calculated by using length (a) and width (b) measurements ([a × b2] × 0.5). In the case of the xenograft experiment in Fig. 1h, the tumor growth in (KRAS(G12D)OE+shNDRG3) group was very slow (the average tumor size at the final measurement was less than 170 mm3), and, therefore, the experimental endpoint had to be extended until the tumor growth reached a sufficient size to allow adequate analysis of mRNA/protein expression and histochemical examinations. For this reason, when the experiment for the positive control group (KRAS(G12D)OE+shGFP) was concomitantly terminated, some of the tumors grew to a size exceeding 10% (3000 mm3) of the body weight (approximately 30 g at 10 weeks of age). The tumor sizes of all other xenografts were less than 1000 mm3 when the experiments were terminated. After mice were sacrificed, tumor tissues were separated from mice and pictured, and the resected tissues were fixed in 10% neutral buffered formalin or stored in a liquid nitrogen tank. The above experimental protocol was also applied to the xenograft experiments for the comparison between KRAS-WT and KRAS-Mutant cell lines and the effects of NDRG3 reconstitution, USP9X depletion, and WP1130 treatment on tumor development.
Immunoblot analysis
For western blot analysis, cells were harvested, washed twice with cold phosphate-buffered saline (PBS), and lysed for 30 min on ice with RIPA lysis buffer (150 mM NaCl, 100 mM KCl, 20 mM HEPES (pH 7.0), 10 mM EDTA, 1% Triton X-100, and protease/phosphatase inhibitor cocktail (Roche)). Total protein extracted from cell lysate was measured by Bradford protein assay protocol, separated by SDS-PAGE gel electrophoresis, and electro-transferred to NC membrane (Pall). After blocking with 5% skim milk in TBST, membranes were incubated overnight with primary antibody (1:500~10,000 dilution), followed by 1 h incubation with HRP-linked secondary antibody (1:3000~5000 dilution). Finally, immunoreactive proteins were detected by SuperSignal™ West Pico Plus (Thermo Scientific) and visualized using the Chemiluminescence system (ImageQuant™ LAS 4000, FujiFlim). Antibodies used for western blotting are listed in Table S5.
Immunoprecipitation (IP)
Co-immunoprecipitation (Co-IP) was performed according to standard protocols using ANTI-FLAG M2® affinity gel (Sigma-Aldrich) or Pierce™ Anti-c-Myc Agarose (Thermo Scientific). Briefly, transfected cells were harvested and lysed with RIPA lysis buffer, and then the lysates were immunoprecipitated with suitable pre-washed beads for overnight incubation at 4 °C. Next, the beads were washed 3 times with RIPA lysis buffer, and the bound proteins were rapidly detached from the beads by adding SDS-sample buffer and heating at 100 °C for 5 min. Detached proteins were verified by western blotting. For immunoprecipitation of endogenous NDRG3 protein, cell lysates were incubated with anti-NDRG3 antibody (Ab frontier) by overnight incubation at 4 °C, and subsequently immunoprecipitated with pre-washed Protein A/G PLUS-agarose (Santa Cruz) bead for 4 h. Detaching protocol is the same as what is described above.
Sample preparation for mass spectrometric analysis
To search for the candidate NDRG3-binding proteins, Flag-vector or Flag-NDRG3 was transfected into HEK293T cells. Transfected cells were harvested and lysed with RIPA lysis buffer, and then the lysate was immunoprecipitated with pre-washed FLAG M2® affinity gel (Sigma-Aldrich) through the overnight incubation at 4 °C. Next, the beads were washed 3 times with RIPA lysis buffer, and the bound proteins were rapidly detached from the beads by adding 1× SDS elution buffer and heating at 100 °C for 5 min. IP eluted proteins were digested using Strap micro (PROTIFI, product no. C02-micro-80) following the manufacturer’s protocol v4.7. 1 μg trypsin/lysC (Promega, part no. V5073) was added to each sample and the reaction was incubated overnight at 37 °C. The peptides were dried using speedvac. In the case of IP-Mass-based analysis of phosphorylated NDRG3 proteins, Flag-NDRG3 was transfected into MIA PaCa-2 cells. After 48 h of incubation, cells were starved for 12 h, and then treated with serum or EGF for 4 h. The samples for mass analysis were prepared by IP-based method as described above. Samples were then digested with trypsin in ABC buffer at 37 °C for 18 h, and the resulting peptides were eluted by adding ABC buffer. The collected eluates were dried with a centrifugal vacuum concentrator (Labconco). Peptides were purified using Sep-Pak C18 Cartridge (Waters) and dried again in a centrifugal vacuum concentrator. One eluted sample per each experimental condition was used for IP-based Mass spectrometry analysis.
LC-MS/MS analysis
RSLCnano u3000 / Orbitrap Exploris 240 (Thermo) system was used for analysis. Each sample was dissolved in 0.1% FA/ 2% Acetonitrile and peptides from 1ug protein amount were loaded onto the trap column. The column temperature was set to 60 °C. The mobile phases were 0.1% formic acid in water (buffer A) and 0.1% formic acid in acetonitrile (buffer B). The following gradient was used at a flow rate of 300 nl/min: 2% B to 20% B in 100 min, 20% B to 32% B in 20 min. The survey scan settings are as follows: Resolution = 90,000, AGC 300%, mass range 350–1200 Th. The selected precursor was fragmented by HCD and analyzed by orbitrap. Other parameters for MS/MS scan are as follows: Top15 double play, Resolution = 30,000, max IT = 200 ms, AGC standard, Threshold 1E5, normalized collision energy = 30%, isolation width = 2, dynamic exclusion parameter exclude after n times = 1, exclusion duration time = 20 s, mass tolerance low/high = 10 ppm. Raw data from LC-MS/MS were analyzed with maxquant v2.4.0.0 and perseus v2.0.6.0 software. Maxquant parameters were as follows: database = uniprot Homo sapiens, enzyme = trypsin/P, variable modification = Oxidation (M), Acetyl (protein N-term), fixed modification = carbamidomethyl (C), and match between runs.
LC-MS/MS analysis for phosphor-peptide identification
Samples were resuspended in 0.1% formic acid and analyzed using an Agilent 1100 Series high-performance liquid chromatography (HPLC) pump (Agilent Technologies) coupled to Finnigan LTQ linear ion trap mass spectrometer (Thermo Fisher Scientific). MS survey scan across 450–2000 m/z was acquired in data-dependent mode and positive ion mode with a spray voltage of 2.1 kV. The top 10 most abundant ions in each MS scan were selected for the MS/MS scan with a normalized collision energy of 35%. Dynamic exclusion was set as 30 s to avoid analyzing the same abundant precursor ion. Raw files were searched against the UniProtKB/Swiss-Prot human database (release 2017_11) containing 150,510 sequences with SEQUEST HT algorithm in Proteome Discoverer Software (ver. 2.2; Thermo Fisher Scientific). For protein identification, precursor and fragment mass tolerance were set to 3.0 Da and 1.0 Da, respectively. Full-tryptic peptides were searched with a maximum of two missed cleavages. Fixed modifications included carbamidomethyl cysteine (+57 Da), and variable modifications included oxidation of methionine (+16 Da) and phosphorylation of serine, threonine, and tyrosine (+80 Da). False discovery rate (FDR) was determined using the target-decoy strategy coupled to Percolator (q-value < 0.01), and only peptide spectral match meeting the FDR less than 1% was accepted.
Ubiquitination assays
For ubiquitination assay, expression vectors for HA-tagged ubiquitin and FLAG-tagged KRASG12D were co-transfected into NDRG3- or USP9X-overexpressing or -depleted cell lines, and then the cells were treated with MG-132 (20 μM, Calbiochem) for 8 h before harvesting to block the proteasomal pathway. Harvested cell pellets were incubated with RIPA lysis buffer containing 1% SDS at 100 °C for 10 min to remove non-covalently interacting proteins except for ubiquitin. The lysates were diluted with RIPA lysis buffer to 0.1% SDS before immunoprecipitation. Polyubiquitinated forms of KRASG12D were detected by western blot analysis. Measurement of USP9X-mediated KRASG12D deubiquitination was also performed according to the method described above.
Recombinant protein production and GST pull-down assay
Recombinant GST-NDRG3 proteins were obtained from E. coli strain BL21 transformed with recombinant plasmids of pGEX-4T-2 encoding full-length or deleted mutant cDNAs of human NDRG3 gene. After IPTG (1 mM, Sigma-Aldrich) induction, transformed E. coli were incubated overnight at 16 °C. The culture supernatant was removed by centrifugation, and then the bacterial cell pellets were lysed with EDTA buffer containing lysozyme (10 mg/ml) and protease inhibitor. The induced GST fusion proteins were purified according to the manufacturer’s instructions using the GST Fusion Protein Purification Kit (Genscript). MYC/DDK-tagged KRAS recombinant protein was purchased from OriGene. For GST pull-down assay the two recombinant proteins were incubated with pre-washed GST-Bind Agarose Resin (ELPIS Biotech) for 1 h at 4 °C, washed 3 times with RIPA lysis buffer, and then detached from the resin by adding the SDS-sample buffer and heating at 100 °C for 5 min. Detached proteins were verified by western blotting.
Mouse genotyping
Mice were genotyped by PCR analysis of the genomic DNAs extracted from the tail using a set of primers targeting the floxed allele. This reaction amplifies a wild-type product of 284 bp and a second PCR product of 360 bp corresponding to the floxed allele. Activation of the floxed allele by the Cre recombinase was confirmed by PCR analysis on genomic DNAs purified from pancreatic tissues using a set of primers. This reaction amplifies a wild-type product of 1331 bp and a second PCR product of 573 bp corresponding to the activated allele. The PCR products were run on a 2% agarose gel, and visualized by Molecular Imager® Gel Doc™ XR+ System (Bio-Rad).
Cre-recombinase activation and induction of acute pancreatitis
For the induction of pancreas-specific KRASG12D knock-in or Ndrg3 knock-out by the activation of tamoxifen-inducible Cre-recombinase, mice (6-week old) with appropriate genotype were intraperitoneally injected with tamoxifen (4 mg, Sigma-Aldrich) dissolved in corn oil (Sigma-Aldrich) at intervals 1, 3, 5, 7, 9 days. Caerulein-induced acute pancreatitis models were developed as previously described, with a modification58. Briefly, powdered caerulein (Sigma-Aldrich) was dissolved in phosphate-buffered saline (PBS) and administered into mice by 6 intraperitoneal injections at 1 h intervals on 2 consecutive days at a dose of 50 μg/kg body weight per injection. Two weeks after the first caerulein injection, mice were sacrificed, and then the pancreas was harvested to analyze the histological morphology and expression of markers.
H&E and Alcian blue staining
All mice used in this study were sacrificed following institutional guidelines. In xenograft and genetically engineered mouse models, isolated tumors or pancreatic tissues were fixed for more than 2 days with 10% neutral buffered formalin. Fixed tissues were embedded in paraffin, and 3~4 μm sections of tissues were attached to silylated glass slides (Muto Pure Chemicals). H&E staining was performed according to the standard protocol. Alcian Blue (pH 2.5) staining kit (Vector Laboratories) was used for the demonstration of acidic mucins in paraffin sections of fixed pancreatic tissues. Stained tissue slides were observed by using an optical microscope (IX71/DP70, Olympus).
Immunofluorescence and immunohistochemistry
For the immunofluorescence (IF) assay, antigens were unmasked by heating the slides with 1X Tris-EDTA buffer solution (Labcore) at 100 °C for 30 min in a water bath. After cooling and washing, the slides were incubated with goat-blocking serum or 3% bovine serum albumin (BSA) for 1 h and then applied with primary antibodies overnight in a 4 °C chamber. After washing, the slides were applied with Alexa 488- or 594-coupled isotype-specific secondary antibodies, and mounted by Fluoroshield Mounting Medium (Abcam) with cover glass. Nuclei were labeled with DAPI (1 μg/ml, Thermo Scientific), and the slides were observed by using the confocal microscope (LSM 800, Zeiss). Acquired images were processed by ZEN 2.1 software (Zeiss). In conducting immunohistochemistry (IHC) analysis, the tissue slides applied with primary antibodies were washed and applied with a biotinylated secondary antibody for 1 h. The signal was amplified with a VECTORSTAIN ABC kit (Vector Laboratories) and finally stained by using an ImmPACTTM NovaREDTM kit (Vector Laboratories). For the IHC analysis of human tissue microarray (TMA) slides, duplicated cores that consist of a total of 10 cases of normal pancreas tissue and 40 cases of pancreatic cancer tissue (28 males and 22 females at the ages of 23–80 years) were immunostained with an antibody for KRAS or NDRG3 and analyzed (PA 1001c, US biomax). One case of pancreatic cancer with incomplete core shapes was excluded from the analysis. H-scores were calculated by using the IHC profiler plugin of ImageJ program, according to the histochemical scoring (H-score) assessment method. Specifically, the value of staining intensity (i) and the percentage of stained cells at each intensity level (Pi) of each core was quantitated by IHC profiler. i values are indicated as 0 (negative), 1 (weak), 2 (moderate), or 3 (strong), and Pi values vary from 0% to 100%. The final H-score is derived from the sum of i multiplied by Pi, therefore, the score ranges from 0 to 300. Immunostained tissue slides were observed by using an optical microscope (IX71/DP70, Olympus). All antibodies used for IHC and IF are listed in Table S5.
Proximity ligation assay (PLA)
For PLA, Duolink® In Situ Red Starter Kit Mouse/Rabbit (Sigma-Aldrich) was used. First, 5 × 103 PANC-1 cells were seeded in μ-slide 8 well (ibidi). After 24 h, cells were permeabilized using 0.1% Triton X-100 solution, followed by fixation with 4% paraformaldehyde for 10 min. Next, cells were incubated in Duolink® Blocking Solution for 1 h at 37 °C, and the slide was incubated overnight with the primary antibody. The next day, slides were washed, and PLUS and MINUS PLA probes were administrated for 1 h at 37 °C. PLA was completed through the ligation and amplification process using Duolink® Fluorescent Detection Reagent. The nucleus was stained by Duolink® In Situ Mounting Medium with DAPI, and the PLA signal was analyzed under the confocal microscope (LSM 800, Zeiss) at a 400× magnification. Acquired images were processed by ZEN 2.1 software (Zeiss).
Quantification of images
The percentage of ADM lesions in mouse pancreatic tissues, the values in anchorage-independent cell growth and foci formation assays, IHC scores of TMA slides, and the band intensities of western blotting were quantitated using the ImageJ program. In western blot assays, the total form of phosphorylated proteins, housekeeping gene GAPDH, and immunoprecipitated Flag-KRASG12D protein were used as the control for the normalization of measured values. The number of PanIN-like lesions was counted by using an optical microscope. PLA signal was quantitated by counting the red dots in one nucleus using the ImageJ program.
Statistics and reproducibility
Statistical analyses for Fig. 1a–c, and Supplementary Fig. 1a–c were carried out using Excel (Microsoft), while all other statistical analyses were executed using GraphPad Prism Software (v. 10). Statistical significance of the difference between experimental samples was obtained by parametric paired or unpaired two-sided Student’s t-Test, ordinary or repeated measures one-way ANOVA, or two-way ANOVA, followed by Dunnett’s multiple comparison test or Šidák’s multiple comparison test. Variation of each experimental result was indicated by mean ± SD or mean ± SEM. All representative experiments, including Figs. 1g, 2c–f, h–j, 3c, d, 4a–g, I, j, 5b–g, j, 6b, c, e–i, and those of Supplementary Figures, were performed with a sample size greater than or equal to three independent replicates. Mice, tumor samples, and cultures of cell lines were randomly allocated to the experiments. No data were excluded from our analyses.
Reporting summary
Further information on research design is available in the Nature Portfolio Reporting Summary linked to this article.
Data availability
The raw and processed RNA-seq data described in this study have been deposited in NCBI’s Gene Expression Omnibus (GEO) database under the accession number GSE189171. The raw data for the mass spectrometry proteomics data have been deposited to the ProteomeXchange Consortium via the PRIDE59 partner repository with the dataset identifiers PXD051954, and PXD052379. Interactome information of human NDRG3 protein can be found at BioGRID4.4 (https://thebiogrid.org/). Phosphorylation sites of NDRG3 protein are listed at PhosphoSitePlus® (https://www.phosphosite.org). Putative crystal structure of NDRG3 protein is predicted by XtalPred-RF site (https://xtalpred.godziklab.org/XtalPred-cgi/xtal.pl). The remaining data are available within the Article, Supplementary Information or Source Data file. Source data are provided with this paper.
References
Sung, H. et al. Global Cancer Statistics 2020: GLOBOCAN estimates of incidence and mortality worldwide for 36 cancers in 185 countries. CA Cancer J. Clin. 71, 209–249 (2021).
Sawyers, C. Targeted cancer therapy. Nature 432, 294–297 (2004).
Zhong, L. et al. Small molecules in targeted cancer therapy: advances, challenges, and future perspectives. Signal. Transduct. Target. Ther. 6, 201 (2021).
Cox, A. D., Fesik, S. W., Kimmelman, A. C., Luo, J. & Der, C. J. Drugging the undruggable RAS: mission possible? Nat. Rev. Drug Discov. 13, 828–851 (2014).
Waters, A. M. & Der, C. J. KRAS: the critical driver and therapeutic target for pancreatic cancer. Cold Spring Harb. Perspect. Med. 8, a031435 (2018).
Hobbs, G. A., Der, C. J. & Rossman, K. L. RAS isoforms and mutations in cancer at a glance. J. Cell Sci. 129, 1287–1292 (2016).
Ihle, N. T. et al. Effect of KRAS oncogene substitutions on protein behavior: implications for signaling and clinical outcome. J. Natl Cancer Inst. 104, 228–239 (2012).
Ostrem, J. M., Peters, U., Sos, M. L., Wells, J. A. & Shokat, K. M. K-Ras(G12C) inhibitors allosterically control GTP affinity and effector interactions. Nature 503, 548–551 (2013).
Nakajima, E. C. et al. FDA approval summary: sotorasib for KRAS G12C-mutated metastatic NSCLC. Clin. Cancer Res. 28, 1482–1486 (2022).
Dhillon, S. Adagrasib: first approval. Drugs 83, 275–285 (2023).
Xue, J. Y. et al. Rapid non-uniform adaptation to conformation-specific KRAS(G12C) inhibition. Nature 577, 421–425 (2020).
Hata, A. N. & Shaw, A. T. Resistance looms for KRAS(G12C) inhibitors. Nat. Med. 26, 169–170 (2020).
Melotte, V. et al. The N-myc downstream regulated gene (NDRG) family: diverse functions, multiple applications. FASEB J. 24, 4153–4166 (2010).
Bhaduri, A., Krishnaswamy, L., Ullal, G. R., Panicker, M. M. & Sowdhamini, R. Fold prediction and comparative modeling of Bdm1: a probable alpha/beta hydrolase associated with hot water epilepsy. J. Mol. Model. 9, 3–8 (2003).
Shaw, E., McCue, L. A., Lawrence, C. E. & Dordick, J. S. Identification of a novel class in the alpha/beta hydrolase fold superfamily: the N-myc differentiation-related. Proteins 47, 163–168 (2002).
Marchot, P. & Chatonnet, A. Enzymatic activity and protein interactions in alpha/beta hydrolase fold proteins: moonlighting versus promiscuity. Protein Pept. Lett. 19, 132–143 (2012).
De Jaco, A., Comoletti, D., Dubi, N., Camp, S. & Taylor, P. Processing of cholinesterase-like alpha/beta-hydrolase fold proteins: alterations associated with congenital disorders. Protein Pept. Lett. 19, 173–179 (2012).
Wang, W. et al. NDRG3 is an androgen regulated and prostate enriched gene that promotes in vitro and in vivo prostate cancer cell growth. Int J. Cancer 124, 521–530 (2009).
Ma, J. et al. High expression of NDRG3 associates with positive lymph node metastasis and unfavourable overall survival in laryngeal squamous cell carcinoma. Pathology 48, 691–696 (2016).
Luo, X. et al. High expression of NDRG3 associates with unfavorable overall survival in non-small cell lung cancer. Cancer Biomark. 21, 461–469 (2018).
Li, T. et al. NDRG3 facilitates colorectal cancer metastasis through activating Src phosphorylation. Onco Targets Ther. 11, 2843–2852 (2018).
Jing, J. S. et al. NDRG3 overexpression is associated with a poor prognosis in patients with hepatocellular carcinoma. Biosci. Rep. 38, BSR20180907 (2018).
Shi, J., Zheng, H. & Yuan, L. High NDRG3 expression facilitates HCC metastasis by promoting nuclear translocation of beta-catenin. BMB Rep. 52, 451–456 (2019).
Kim, M. C., Park, M. H., Kang, S. H. & Bae, Y. K. NDRG3 protein expression is associated with aggressive biologic phenotype and unfavorable outcome in patients with invasive breast cancer. Int. J. Clin. Exp. Pathol. 12, 3886–3893 (2019).
Lee, D. C. et al. A lactate-induced response to hypoxia. Cell 161, 595–609 (2015).
Adhikari, H. & Counter, C. M. Interrogating the protein interactomes of RAS isoforms identifies PIP5K1A as a KRAS-specific vulnerability. Nat. Commun. 9, 3646 (2018).
Kovalski, J. R. et al. The functional proximal proteome of oncogenic ras includes mTORC2. Mol. Cell 73, 830–844.e812 (2019).
Go, C. D. et al. A proximity-dependent biotinylation map of a human cell. Nature 595, 120–124 (2021).
Storz, P. Acinar cell plasticity and development of pancreatic ductal adenocarcinoma. Nat. Rev. Gastroenterol. Hepatol. 14, 296–304 (2017).
Strobel, O. et al. In vivo lineage tracing defines the role of acinar-to-ductal transdifferentiation in inflammatory ductal metaplasia. Gastroenterology 133, 1999–2009 (2007).
Zhu, L., Shi, G., Schmidt, C. M., Hruban, R. H. & Konieczny, S. F. Acinar cells contribute to the molecular heterogeneity of pancreatic intraepithelial neoplasia. Am. J. Pathol. 171, 263–273 (2007).
Shi, G. et al. Maintenance of acinar cell organization is critical to preventing Kras-induced acinar-ductal metaplasia. Oncogene 32, 1950–1958 (2013).
Fukuda, A. et al. Stat3 and MMP7 contribute to pancreatic ductal adenocarcinoma initiation and progression. Cancer Cell 19, 441–455 (2011).
Hruban, R. H. et al. An illustrated consensus on the classification of pancreatic intraepithelial neoplasia and intraductal papillary mucinous neoplasms. Am. J. Surg. Pathol. 28, 977–987 (2004).
Distler, M., Aust, D., Weitz, J., Pilarsky, C. & Grutzmann, R. Precursor lesions for sporadic pancreatic cancer: PanIN, IPMN, and MCN. Biomed. Res. Int. 2014, 474905 (2014).
Kaur, S., Kumar, S., Momi, N., Sasson, A. R. & Batra, S. K. Mucins in pancreatic cancer and its microenvironment. Nat. Rev. Gastroenterol. Hepatol. 10, 607–620 (2013).
Sugiki, T., Taketomi, Y., Kikuchi-Yanoshita, R., Murakami, M. & Kudo, I. Association of N-myc downregulated gene 1 with heat-shock cognate protein 70 in mast cells. Biol. Pharm. Bull. 27, 628–633 (2004).
Hunter, M. et al. NDRG1 interacts with APO A-I and A-II and is a functional candidate for the HDL-C QTL on 8q24. Biochem. Biophys. Res. Commun. 332, 982–992 (2005).
Ambrosini, G., Seelman, S. L. & Schwartz, G. K. Differentiation-related gene-1 decreases Bim stability by proteasome-mediated degradation. Cancer Res. 69, 6115–6121 (2009).
Kachhap, S. K. et al. The N-Myc down regulated Gene1 (NDRG1) Is a Rab4a effector involved in vesicular recycling of E-cadherin. PLoS ONE 2, e844 (2007).
Kim, G., Lim, S. & Kim, K. D. N-myc downstream-regulated gene 2 (NDRG2) function as a positive regulator of apoptosis: a new insight into NDRG2 as a tumor suppressor. Cells 10, 2649 (2021).
Morishita, K., Nakahata, S. & Ichikawa, T. Pathophysiological significance of N-myc downstream-regulated gene 2 in cancer development through protein phosphatase 2A phosphorylation regulation. Cancer Sci. 112, 22–30 (2021).
Murtaza, M., Jolly, L. A., Gecz, J. & Wood, S. A. La FAM fatale: USP9X in development and disease. Cell Mol. Life Sci. 72, 2075–2089 (2015).
Schwickart, M. et al. Deubiquitinase USP9X stabilizes MCL1 and promotes tumour cell survival. Nature 463, 103–107 (2010).
Khan, O. M. et al. The deubiquitinase USP9X regulates FBW7 stability and suppresses colorectal cancer. J. Clin. Invest 128, 1326–1337 (2018).
Ahearn, I., Zhou, M. & Philips, M. R. Posttranslational modifications of RAS proteins. Cold Spring Harb. Perspect. Med. 8, a031484 (2018).
Wang, W. H. et al. Post-translational modification of KRAS: potential targets for cancer therapy. Acta Pharm. Sin. 42, 1201–1211 (2021).
Abe, T. et al. LZTR1 facilitates polyubiquitination and degradation of RAS-GTPases. Cell Death Differ. 27, 1023–1035 (2020).
Bigenzahn, J. W. et al. LZTR1 is a regulator of RAS ubiquitination and signaling. Science 362, 1171–1177 (2018).
Shukla, S. et al. KRAS protein stability is regulated through SMURF2: UBCH5 complex-mediated beta-TrCP1 degradation. Neoplasia 16, 115–128 (2014).
Jeong, W. J. et al. Ras stabilization through aberrant activation of Wnt/beta-catenin signaling promotes intestinal tumorigenesis. Sci. Signal 5, ra30 (2012).
Jeong, W. J. et al. WDR76 is a RAS binding protein that functions as a tumor suppressor via RAS degradation. Nat. Commun. 10, 295 (2019).
Perez-Mancera, P. A. et al. The deubiquitinase USP9X suppresses pancreatic ductal adenocarcinoma. Nature 486, 266–270 (2012).
Pal, A. et al. Usp9x promotes survival in human pancreatic cancer and its inhibition suppresses pancreatic ductal adenocarcinoma in vivo tumor growth. Neoplasia 20, 152–164 (2018).
Perurena, N. et al. USP9X mediates an acute adaptive response to MAPK suppression in pancreatic cancer but creates multiple actionable therapeutic vulnerabilities. Cell Rep. Med. 4, 101007 (2023).
Tsherniak, A. et al. Defining a cancer dependency map. Cell 170, 564–576 e516 (2017).
Kim K. R. et al. Structural and biophysical analyses of human N-Myc downstream-regulated gene 3 (NDRG3) protein. Biomolecules 10, 90 (2020).
Carriere, C., Young, A. L., Gunn, J. R., Longnecker, D. S. & Korc, M. Acute pancreatitis markedly accelerates pancreatic cancer progression in mice expressing oncogenic Kras. Biochem. Biophys. Res. Commun. 382, 561–565 (2009).
Perez-Riverol, Y. et al. The PRIDE database resources in 2022: a hub for mass spectrometry-based proteomics evidences. Nucleic Acids Res. 50, D543–D552 (2022).
Acknowledgements
We thank Drs. Seungwoo Hwang and Jin Ok Yang of Korean Bioinformation Center (KOBIC) for their help with IPA analysis. This work was supported by the National Research Foundation of Korea (NRF) funded by the Ministry of Science and ICT (NRF-2022R1A2C3009475 (Y.I.Y.), NRF-2022R111A2070098 (D.C.L.), NRF-2020R1A2C2009257 (K.C.P.), NRF-2016M3A9E4947789 (Y.I.Y.)), by the Korea Drug Development Fund jointly funded by the Ministry of Science and ICT, the Ministry of Trade, Industry, and Energy, and the Ministry of Health and Welfare (RS-2022-DD128974 (D.C.L.)), and by KRIBB Research Initiative Program (KGM5192423 (K.C.P.)).
Author information
Authors and Affiliations
Contributions
Conceptualization, H.K., K.C.P., D.C.L., and Y.I.Y.; Experimental performance and analysis, H.K., H.A.S., M.H.K., D.J.K., S.P., S.H.M., S.-H.P., Y.-M.Y., Y.H., and B.-K.K.; Methodology, Z.-Y.P., C.H.L, Y.-S.K., and S.J.C.; Writing original draft preparation, H.K.; Review and editing papers, K.C.P., D.C.L., and Y.I.Y.; Funding acquisition, K.C.P., D.C.L. and Y.I.Y. All authors reviewed the manuscript.
Corresponding authors
Ethics declarations
Competing interests
The authors declare no competing interests.
Peer review
Peer review information
Nature Communications thanks Zaklina Kovacevic and the other anonymous reviewer(s) for their contribution to the peer review of this work. A peer review file is available.
Additional information
Publisher’s note Springer Nature remains neutral with regard to jurisdictional claims in published maps and institutional affiliations.
Supplementary information
Source data
Rights and permissions
Open Access This article is licensed under a Creative Commons Attribution-NonCommercial-NoDerivatives 4.0 International License, which permits any non-commercial use, sharing, distribution and reproduction in any medium or format, as long as you give appropriate credit to the original author(s) and the source, provide a link to the Creative Commons licence, and indicate if you modified the licensed material. You do not have permission under this licence to share adapted material derived from this article or parts of it. The images or other third party material in this article are included in the article’s Creative Commons licence, unless indicated otherwise in a credit line to the material. If material is not included in the article’s Creative Commons licence and your intended use is not permitted by statutory regulation or exceeds the permitted use, you will need to obtain permission directly from the copyright holder. To view a copy of this licence, visit http://creativecommons.org/licenses/by-nc-nd/4.0/.
About this article
Cite this article
Koo, H., Park, K.C., Sohn, H.A. et al. Anti-proteolytic regulation of KRAS by USP9X/NDRG3 in KRAS-driven cancer development. Nat Commun 16, 628 (2025). https://doi.org/10.1038/s41467-024-54476-8
Received:
Accepted:
Published:
Version of record:
DOI: https://doi.org/10.1038/s41467-024-54476-8









