Abstract
Lupus nephritis (LN), a serious complication of systemic lupus erythematosus, is characterized by the deposition of IgG immune complexes. The generation of these autoantibodies depends on T follicular helper (Tfh) cells within secondary lymphoid organs. However, the potential contribution of Tfh cells residing within the kidney has remained unexplored. Here, our analysis of a single-cell kidney dataset from LN patients, alongside studies in humanized chimeras and kidney organoids, identifies the accumulation of renal Tfh cells. Mechanistically, self-DNA-stimulated LN-associated mesangial cells (MC) promote Tfh differentiation by inducing CNBP-mediated MPC1 deficiency, leading to increased lactate production. In turn, elevated lactate levels enhance PCAF-catalyzed BCL6 lactylation and subsequent K6- and K29-linked ubiquitination at Lys430, preventing proteasomal degradation of BCL6. Stabilization of BCL6 ultimately reinforces Tfh differentiation, amplifying renal autoimmune responses. Importantly, targeted depletion of Tfh cells mitigates disease progression in humanized chimeras. Thus, our findings reveal a tissue program of Tfh differentiation within the autoimmune kidney microenvironment, identifying a potential therapeutic target for the management of LN.
Similar content being viewed by others
Introduction
Systemic lupus erythematosus (SLE) is a systemic autoimmune disease characterized by multi-organ involvement, including cutaneous, articular, and renal manifestations1. A hallmark of SLE pathogenesis is the overproduction of IgG anti-double-stranded DNA (anti-dsDNA) antibodies and formation of DNA-containing immune complexes (DNA-IC), which are major drivers of tissue injury2. Their deposition in the kidneys leads to lupus nephritis (LN), one of the most severe complications of SLE3,4. Renal lesions in LN display distinct structural and microenvironmental features that shape local immune responses, underscoring the need for comprehensive analysis of the renal immune microenvironment to elucidate LN pathogenesis5,6.
Germinal centers (GC) are the primary sites of B cell expansion and affinity maturation within secondary lymphoid organs7. In SLE models such as Sle1 mice, spontaneous GC formation drives autoantibody production8,9. Similar ectopic structures, termed tertiary lymphoid structures (TLS), have been observed in multiple organs of SLE patients, including the kidney10,11. By fostering local T-B cell interactions and antibody production12, renal TLS may critically contribute to LN. Specifically, T follicular helper (Tfh) cells are key CD4⁺ T cell subsets that support B cell maturation, antibody production, and GC formation13,14. Characterized by CXCR5, ICOS, PD-1, IL-21 secretion, and regulated by BCL6, Tfh cells drive high-affinity B cell selection and plasma cell differentiation15,16. In SLE, self-DNA presented by antigen-presenting cells promotes Tfh differentiation, fueling IgG autoantibody production17. While the role of Tfh cells in systemic autoimmunity is established, Tfh differentiation within the kidneys remains largely unexplored.
Tfh differentiation is strongly shaped by stromal cell interactions within the tissue microenvironment18. In the glomerulus, mesangial cells (MC) maintain renal immune homeostasis and represent the primary site of DNA-IC deposition19. DNA-ICs induce MCs damage and endow them with immunomodulatory functions, including NF-κB-mediated secretion of IL-6, IL-1β, and TNF, which promote macrophage and T cell infiltration in LN20,21. In LN patients, MCs show elevated CD40 expression correlating with glomerular T cell accumulation, while upregulated ICAM-1 and VCAM-1 in murine models enhance T cell binding to MHC-II⁺ cells and aggravate renal injury22. Nevertheless, the mechanisms by which MCs regulate T cell differentiation in LN remain unclear.
Cellular metabolism not only fuels biosynthesis but also provides metabolites that serve as substrates for protein post-translational modifications (PTM), thereby modulating protein function23. The transcription factor BCL6, essential for Tfh differentiation, is regulated by acetylation as P300-mediated acetylation disrupts its interaction with histone deacetylases and the transcription activity24,25. In CD4⁺ T cells, mimicking acetylation with the BCL6 K379Q mutation diminishes Tfh differentiation, as the mutant retains DNA binding but fails to recruit MTA325,26. Beyond acetylation, other PTM-based mechanisms governing BCL6 activity remain largely unknown.
Here, we identify a marked accumulation of Tfh cells in the kidneys of LN patients and pinpoint MC as an active regulator of their differentiation. In LN, self-DNA activates CNBP in MCs, suppressing MPC1 and enhancing glycolysis-driven lactate release. Lactate induces PCAF-mediated BCL6 lactylation at K688, triggering CUL5-dependent K6- and K29-linked ubiquitination that stabilizes BCL6 in T cells, promoting Tfh differentiation. Targeting this lactate-BCL6 pathway suppresses Tfh responses and mitigates disease in humanized LN chimeras, offering both mechanistic insight and therapeutic potential.
Results
MCs drive aberrant Tfh cell differentiation in human LN
To assess Tfh infiltration in SLE kidneys, we analyzed the single-cell renal transcriptome dataset (SDY997) from ImmPort27. CD4⁺ T cells were classified into Tfh subsets based on CXCR5, BCL6, PDCD1, ICOS, and CD200 expression (Supplementary Fig. 1a). SLE kidneys displayed a marked increase in Tfh cells, along with elevated Th1, Th17, and Treg subsets, indicating pronounced immune imbalance (Fig. 1a–b). To assess the role of renal Tfh cells in SLE progression, we analyzed their correlation with the SELENA-Systemic Lupus Erythematosus Disease Activity Index (SLEDAI) Total Score in patients from the dataset27 and observed a positive association, indicating a significant contribution of renal Tfh cells to human SLE pathogenesis (Fig. 1c). We also evaluated their relationship with clinical parameters, including glomerular filtration rate, proteinuria, serum creatinine, anti-dsDNA antibodies, and complement levels, revealing that renal Tfh cells correlate with kidney injury (Supplementary Fig. 1b).
a, b Single-cell analysis of kidney samples from healthy controls and SLE patients showing T cell subset proportions (n = 7 (HC) or 11 (SLE) independent biological samples). c Correlation between renal Tfh frequency and SELENA-SLEDAI Total Score (n = 8 independent biological samples). d–f PBMCs from healthy doners or SLE patients were adoptively transferred into NSG for 4 weeks to develop humanized chimeras. d BCL6⁺ CD4⁺ T cell proportions (n = 8 independent biological samples). e CXCR5hi PD-1hi CD4⁺ T cell proportions (n = 8 independent biological samples). f Correlation between renal Tfh frequency and urine protein (n = 16 independent biological samples). g–m Humanized LN chimeras were treated with AAV2-shNC/shBCL6 (n = 9 independent biological samples). g Schematic representation (Created in BioRender. Wen, Z. (https://BioRender.com/dir2po9). h Renal Tfh proportions. i Serum human IgG anti-dsDNA. j Renal IgG. White arrows (IgG). Scale bar: 100 μm. k HE staining. Black circle (Glomerulus). Scale bar: 100 μm. l Urine protein. m, n Kidney organoids were exposed to healthy or SLE plasma for 24 h with OKT-3 (1 μg/ml), then co-cultured with purified healthy CD4⁺ T cells for 4 days (n = 9 independent biological samples). m Schematic representation (Created in BioRender. Wen, Z. (https://BioRender.com/dir2po9). n The frequency of Tfh cells. o-r MCs exposed to healthy or SLE plasma for 24 h, followed by incubation with OKT-3 (1 μg/ml). Subsequently, purified CD4+ T cells were co-cultured with MCs at a ratio of 5:1 for 4 days. o The frequency of Tfh cells (n = 12 independent biological samples). p IL-21 expression following PMA (50 ng/ml)/Brefeldin A (5 μg/ml)/Ionomycin (500 ng/ml) stimulation (n = 7 independent biological samples) in CD4+ T cells. q BCL6 mRNA expression analysis (n = 8 independent biological samples). r Immunoblot analysis of BCL6 protein expression (n = 12 independent biological samples). The data are represented as the mean ± SEM. Normality and lognormality are assessed using the Shapiro-Wilk test. Two-tailed unpaired t test (b, e), two-tailed Mann Whitney test (d), two-tailed paired t test (h, i, n–q), two-tailed Wilcoxon matched-pairs signed rank test (l, r), a simple linear regression analysis (c, f). Source data are provided as a Source Data file.
We generated humanized chimeras by injecting peripheral blood mononuclear cells (PBMC) from SLE patients or healthy donors into NSG mice (Supplementary Table 1)28,29. Four weeks later, LN chimeras exhibited elevated circulating IgG anti-dsDNA, pronounced renal IgG deposition, glomerular cell proliferation, and increased urine protein levels (Supplementary Fig. 2a–d). Using BCL6, CXCR5, and PD-1 to define Tfh cells, flow cytometry revealed a marked increase in Tfh cells in LN chimeric kidneys (Fig. 1d–e). Further, we found a positive correlation between renal Tfh cell frequency and urine protein level, linking Tfh accumulation to kidney injury (Fig.1f). To assess renal Tfh contribution to LN progression, we injected AAV2-shRNA-BCL6 to knock down BCL6 in human cells within the kidneys of humanized LN chimeras (Fig. 1g). Three weeks later, sorted CD4⁺ T cells confirmed effective BCL6 suppression (Supplementary Fig. 2e–g), leading to reduced renal Tfh infiltration (Fig. 1h) without affecting splenic Tfh differentiation (Supplementary Fig. 2h). Reduced renal Tfh cells were accompanied by lower circulating IgG anti-dsDNA, diminished renal IgG deposition, improved histopathology, and decreased proteinuria (Fig. 1i–l). While these findings may not demonstrate that renal Tfh directly cause tissue damage, they firmly establish a role for these cells in LN pathogenesis.
We generated human kidney organoids to investigate Tfh differentiation in LN kidneys30 (Supplementary Fig. 3a-b). An in vitro organoid-T cell co-culture system was established using plasma-conditioned organoids to mimic in vivo conditions (Fig. 1m, Supplementary Table 2). Analysis of Tfh differentiation revealed a pronounced upregulation of key markers, including CXCR5, PD-1, and BCL6 (Fig. 1n, Supplementary Fig. 3c), confirming aberrant renal Tfh cell differentiation in LN.
MCs are crucial to kidney tissue, serving as non-professional antigen-presenting cells31. To recapitulate in vivo conditions, human MCs were pretreated with SLE plasma to generate LN-associated MCs and co-cultured with healthy CD4⁺ T cells (Supplementary Fig. 4a–b). After 4 days, CD4⁺ T cell proliferation and activation were comparable between healthy and SLE groups (Supplementary Fig. 4c–d). LN-associated MCs markedly enhanced Tfh marker expression and IL-21 production (Fig. 1o, p), without affecting Th1, Th2, or Th17 subsets (Supplementary Fig. 5a–b). In contrast, human renal glomerular endothelial cells (HRGEC) and podocytes had no significant effects on Tfh differentiation (Supplementary Fig. 5c–d). Furthermore, LN-associated MCs increased BCL6 protein, but not mRNA, in CD4⁺ T cells (Fig. 1q–r). Together, MCs promote aberrant renal Tfh differentiation in LN.
MCs promote Tfh cell differentiation in a lactate-dependent manner
LN chimera kidneys exhibited markedly elevated lactate levels compared with healthy controls (Fig. 2a). To investigate MCs metabolic alterations, GSEA of differentially expressed genes revealed upregulated glycolysis with unchanged TCA cycle activity (Fig. 2b), and increased expression of glucose metabolism genes confirmed enhanced glycolysis in LN-associated MCs (Fig. 2c). Consistently, LN-associated MCs showed elevated ECAR, glycolysis, glycolytic capacity, and glycolytic reserve, accompanied by reduced OCR (Fig. 2d–f, and Supplementary Fig. 6a). Glucose uptake and pyruvate content were comparable between groups (Supplementary Fig. 6b–c). In contrast, both intracellular and extracellular lactate levels were increased in LN-associated MCs, whereas lactate dehydrogenase (LDH) activity remained unchanged (Fig. 2g, and Supplementary Fig. 6d).
a Renal lactate levels in humanized chimeras (n = 20 independent biological samples). b Glucose metabolism pathways in MCs from single-cell data (adjusted p value via “clusterProfiler” GSEA analysis). c-g MCs were stimulated with healthy or SLE plasma (n = 4 (c), 3 (f), 12 (g, left) or 6 (g, right) independent biological samples). h–j Healthy CD4⁺ T cells were co-cultured with LN-associated MCs pre-treated with GSK2837808A (60 μM) (n = 10 (h) or 8 (i) independent biological samples). k, l Healthy CD4⁺ T cells were co-cultured with LN-associated MCs transfected with shLDHA or shNC (n = 10 independent biological samples). m Heatmap of differentially expressed glucose metabolism genes in CD4+ T cells co-cultured with MCs (n = 4 independent biological samples). n Intracellular lactate content in CD4+ T cells co-cultured with MCs (n = 6 independent biological samples). o Healthy CD4⁺ T cells were co-cultured with D-Glucose-¹³C6-labeled MCs for 2 days, and ¹³C-labeled lactate in CD4⁺ T cells was measured by mass spectrometry (n = 5 independent biological samples). p–r Healthy CD4+ T cells were co-cultured with LN-associated MCs transfected with shMCT4 or shNC (n = 6 independent biological samples). s–u Healthy CD4⁺ T cells were transduced with shMCT1 or shNC and co-cultured with LN-associated MCs (n = 6 independent biological samples). v Mice were intraperitoneally injected with 4-Hydroxytamoxifen (100 mg/kg), immunized with immunogenic self-DNA (50 μg/mouse), and detected for the renal Tfh cells, circulating IgG anti-dsDNA and urine protein after 8 weeks (n = 7 independent biological samples). w–y Anti-CD3/28 bead-activated healthy CD4+ T cells were stimulated with L-lactic acid (L-lac, 10 mM) or sodium L-lactate (LacNa, 40 mM) for 4 days (n = 7 independent biological samples). The data are represented as the mean ± SEM. Normality and lognormality are assessed using the Shapiro-Wilk test. Two-tailed unpaired t test (e, f, c, v), two-tailed Mann-Whitney test (a, g, o), two-tailed paired t test (h, i, m, o–q, s, t), paired RM one-way ANOVA (k, n, w–y). Source data are provided as a Source Data file.
To determine whether glycolytic alterations in MCs contribute to the aberrant differentiation of Tfh cells, we pretreated MCs with the LDHA inhibitor GSK2837808A to impair lactate production (Supplementary Fig. 6e). Blocking lactate production in MCs attenuated Tfh differentiation and decreased BCL6 expression without affecting mRNA levels (Fig. 2h–j, and Supplementary Fig. 6f-g). Similarly, LDHA knockdown in MCs suppressed Tfh differentiation and decreased BCL6 protein in CD4⁺ T cells (Fig. 2k, l, and Supplementary Fig. 6h-i).
CD4⁺ T cells co-cultured with LN-associated MCs showed no changes in glycolysis or TCA cycle gene expression (Fig. 2m), yet intracellular lactate levels increased (Fig. 2n). Meanwhile, blocking lactate production in MCs restored T cell lactate to baseline (Fig. 2n), indicating a possible lactate transfer from MCs to T cells. To trace lactate transfer, MCs were preloaded with D-Glucose-¹³C₆ and co-cultured with CD4⁺ T cells. LN-associated MCs transferred significantly more ¹³C-lactate to T cells than controls (Fig. 2o), directly demonstrating an increased lactate transfer. MCT4 knockdown in MCs reduced lactate levels in co-cultured CD4⁺ T cells, decreasing Tfh differentiation and BCL6 protein (Fig. 2p–r, and Supplementary Fig. 7a, b). In contrast, we observed that HRGEC and podocytes expressed low MCT4 and produced minimal lactate, likely causing their inability to induce Tfh differentiation (Supplementary Fig. 7c-d). Further, MCT1, the main lactate importer, knockdown in T cells lowered intracellular lactate, Tfh differentiation, and BCL6 protein upon co-culture with MCs (Fig. 2s–u, and Supplementary Fig. 7e-f). Together, these results demonstrate that enhanced glycolysis in MCs resulted in lactate transfer into CD4⁺ T cells, driving Tfh differentiation in LN.
LN-associated MCs showed elevated LDHA and reduced MPC1 (Supplementary Fig. 8a), limiting mitochondrial pyruvate uptake, suppressing OXPHOS, and shifting metabolism toward glycolysis and lactate production32. Inhibiting MPC1 with UK5099 or siRNA increased MC lactate, which, in co-cultured CD4⁺ T cells, elevated intracellular lactate and Tfh differentiation (Supplementary Fig. 8b–m). Conversely, MPC1 overexpression in LN-associated MCs reduced LDHA and lactate, leading to decreased Tfh differentiation (Supplementary Fig. 8i–n). These results show that MPC1 downregulation in MCs drives glycolysis-mediated lactate transfer, promoting Tfh differentiation.
To confirm the essential role of MC-derived lactate in Tfh differentiation within LN under physiological conditions with intact immune functions, tamoxifen-inducible PDGFRα promoter-driven LDHA (Pdgfra-CreERT2 Ldhafl/fl) cKO mice were intraperitoneally injected with 4-Hydroxytamoxifen and immunized with immunogenic self-DNA to establish SLE models33. These cKO mice exhibited a reduced frequency of Tfh cells in renal tissues, accompanied by lower levels of IgG anti-dsDNA and decreased urine protein (Fig. 2v, and Supplementary Fig. 9a-b). In support, we found that both L-lactic acid (L-lac) and Sodium L-Lactate (LacNa) significantly promoted Tfh differentiation, upregulating BCL6 expression without affecting mRNA levels in CD4+ T cells (Fig. 2w–y, and Supplementary Fig. 10a). Moreover, adding exogenous lactate to pre-induced Tfh cells further increased differentiation34,35, suggesting that lactate-driven Tfh polarization may act independently of classical induction signals (Supplementary Fig. 10b-c).
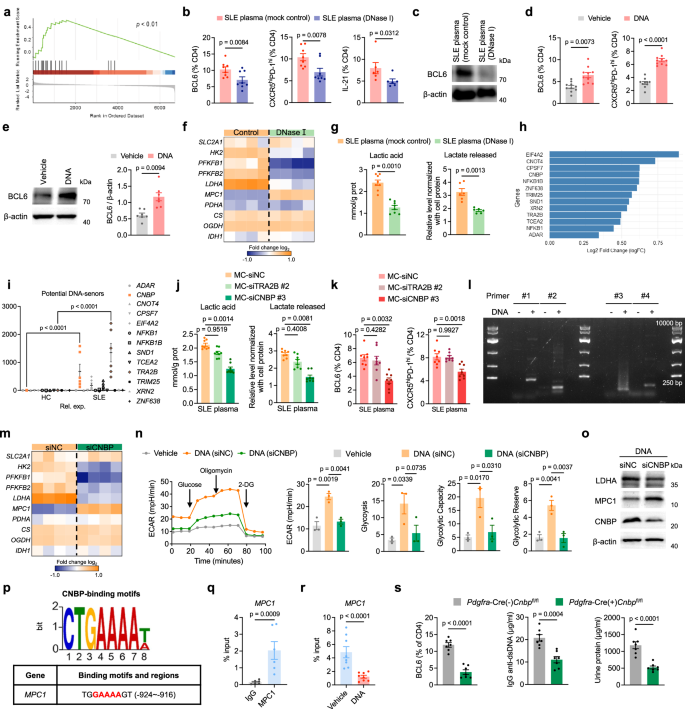
DNA sensing by CNBP enhances the lactate production of MCs
DNA-ICs accumulate mainly in the glomerular mesangium, imparting unique immune functions to MCs21,36. To test whether ICs drive MC-mediated Tfh differentiation, we isolated ICs from SLE plasma and found that they effectively mimic SLE plasma (Supplementary Fig. 11a–d). Of interest, GSEA of MCs from LN kidneys revealed upregulated DNA-sensing pathways (Fig. 3a). Stimulating MCs with DNase I-treated SLE plasma reduced Tfh differentiation and BCL6 protein (Fig. 3b, c, and Supplementary Fig. 11e–f). To further validate this, we transfected MCs with self-DNA, and found that this similarly promoted Tfh differentiation (Fig. 3d–e, Supplementary Fig. 11g–h).
a DNA-sensing pathway in MCs from single-cell data (adjusted p value via “clusterProfiler” GSEA analysis). b, c MCs were conditioned with DNase I-pretreated SLE plasma, and used for the MC-T co-culture (n = 8 (b, left and middle) or 6 (b, right) independent biological samples). d, e Healthy CD4⁺ T cells were co-cultured with MCs transfected with self-DNA (n = 10 (d) or 7 (e) independent biological samples). f, g MCs were conditioned with SLE plasma that was pretreated with or without DNase I (n = 4 (f), 8 (g, left) or 6 (g, right) independent biological samples). h Upregulated DNA-sensors in MCs from single-cell data. i qPCR analysis of the potential DNA-sensors in MCs (n = 6 independent biological samples). j, k MCs transfected with siTRA2B, siCNBP, or siNC were stimulated with SLE plasma and co-cultured with CD4⁺ T cells (n = 8 independent biological samples). j Lactate levels in MCs. k Tfh frequency. l Agarose gel electrophoresis showing the binding of CNBP to self-DNA. A representative image is shown. m-o MCs were transfected with siCNBP, or siNC and stimulated with SLE plasma (n = 4 (m) or 3 (n) independent biological samples). p CNBP-binding motifs in the promoter regions of MPC1. q CNBP occupancy of MPC1 promoter using ChIP assay (n = 6 independent biological samples). r MCs were transfected with self-DNA, and CNBP occupancy of MPC1 promoter was detected (n = 8 independent biological samples). s Mice were intraperitoneally injected with 4-Hydroxytamoxifen, immunized with immunogenic self-DNA (n = 7 independent biological samples). The data are represented as the mean ± SEM. Normality and lognormality are assessed using the Shapiro-Wilk test. Two-tailed unpaired t test (s), two-tailed paired t test (b, d–g, m), two-tailed Wilcoxon matched-pairs signed rank test (q, r), unpaired RM one-way ANOVA (i), paired RM one-way ANOVA (j, k, n). Source data are provided as a Source Data file.
To test whether self-DNA drives glycolysis in MCs, we conditioned MCs with DNase I-pretreated SLE plasma. DNA removal normalized glycolysis and reduced intra- and extracellular lactate (Fig. 3f–g). GSEA of LN MCs highlighted DNA-sensing candidates, with TRA2B and CNBP showing the strongest upregulation in LN-associated MCs (Fig. 3h–i). CNBP depletion, not TRA2B, lowered lactate in MCs and impaired Tfh differentiation in co-cultured CD4⁺ T cells (Fig. 3j–k, and Supplementary Fig. 12a–c). To confirm CNBP binding to self-DNA, MCs were transfected with self-DNA, and CNBP was immunoprecipitated, followed by DNA extraction and amplification. Agarose gel electrophoresis showed robust CNBP-DNA interaction (Fig. 3l). CNBP knockdown in MCs decreased glycolytic gene expression (Fig. 3m) and ECAR, while partially restoring OCR (Fig. 3n, and Supplementary Fig. 12d), pinpointing that CNBP drives glycolytic hyperactivation in LN-associated MCs.
Given the MPC1 deficiency in LN-associated MCs, we examined CNBP’s role in regulating MPC1 expression. CNBP deletion restored both MPC1 mRNA and protein levels (Fig. 3m, o). ChIP assays showed reduced CNBP binding to the MPC1 promoter upon DNA stimulation (Fig. 3p–r). These results indicate that DNA sensing impairs CNBP-MPC1 promoter interaction, leading to decreased MPC1 transcription and driving aberrant glycolysis in MCs. To assess CNBP’s role in MC-driven Tfh differentiation, Pdgfra-CreERT2 Cnbpfl/fl mice were treated with 4-hydroxytamoxifen and immunized with self-DNA. These cKO mice showed reduced renal Tfh cells, lower IgG anti-dsDNA, and decreased urine protein (Fig. 3s, and Supplementary Fig. 12e).
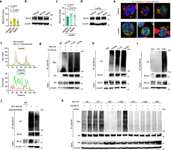
Lactate prevents BCL6 proteolytic degradation by modulating its ubiquitination pattern
Protein degradation is primarily mediated by the ubiquitin-proteasome and lysosomal pathways, with proteasome dysfunction or altered ubiquitin linkage critically influencing protein stability37,38. To investigate how lactate upregulates BCL6 in CD4⁺ T cells, we examined these pathways. Proteasome inhibition with MG132 increased BCL6 levels, whereas lysosomal inhibition with Bafilomycin A1 (BafA1) had no effect (Fig. 4a, b, Supplementary Fig. 13a). In the presence of exogenous lactate, blocking either pathway did not further alter BCL6 (Fig. 4c, d, and Supplementary Fig. 13a). Likewise, MG132 elevated BCL6 in pre-induced Tfh cells, but lactate addition had no further effect (Supplementary Fig. 13b, c), indicating that lactate stabilizes BCL6 via the proteasome pathway.
a, b Anti-CD3/28 bead-activated healthy CD4⁺ T cells were cultured for 4 days, with MG132 (10 μM) and BafA1 (100 nM) added 5 h prior to collection (n = 8 independent biological samples). c, d Anti-CD3/28 bead-activated healthy CD4⁺ T cells were stimulated with LacNa for 4 days, with MG132 and BafA1 added 5 h prior to collection (n = 6 independent biological samples). e, f Colocalization of BCL6 with the proteasome in CD4+ T cells stimulated with or without LacNa. BCL6 (Green), 20 s α1-7 subunits (Red), and DAPI (Blue). Scale bar: 20 μm. g BCL6 ubiquitination was detected in HEK293T cells. h BCL6 ubiquitination was detected in CD4+ T cells. i Healthy CD4+ T cells were co-cultured with MCs for 4 days, and BCL6 ubiquitination was detected. j Healthy CD4⁺ T cells were co-cultured with GSK2837808A pretreated-MCs for 4 days and BCL6 ubiquitination were detected. k HEK293T cells were transfected with HA-BCL6 and K6, K11, K27, K29, K33, K48, or K63 Myc-Ub plasmids. After stimulation with LacNa for 24 h, HA-BCL6 was immunoprecipitated to detect ubiquitination. The data are represented as the mean ± SEM. Normality and lognormality are assessed using the Shapiro-Wilk test. Paired RM one-way ANOVA (c), Kruskal-Wallis test (a). Source data are provided as a Source Data file.
To assess whether lactate affects proteasome subunit expression and BCL6 degradation, we measured mRNA and protein levels of proteasome components. Lactate had minimal impact on proteasome expression (Supplementary Fig. 13d, e). Immunofluorescence revealed co-localization of BCL6 with the proteasome 20S subunit, which was markedly reduced by lactate, concomitant with increased BCL6 protein levels (Fig. 4e, f). These findings indicate that BCL6 degradation in CD4⁺ T cells depends on the ubiquitin-proteasome pathway, and lactate stabilizes BCL6 by preventing its proteasomal localization. Next, we investigated the effect of lactate on the ubiquitination of BCL6 protein and found that lactate increased BCL6 ubiquitination (Fig. 4g, h). Additionally, LN-associated MCs also enhanced BCL6 ubiquitination in co-cultured CD4+ T cells (Fig. 4i). This effect was reversed by inhibiting lactate production, which led to a decrease in BCL6 protein levels (Fig. 4j). Thus, deubiquitylation does not seem significantly involved in the BCL6 accumulation in T cells. While ubiquitin forms chains through various lysine residues (K6, K11, K27, K29, K33, K48, K63)38,39, we observed that under basal conditions, BCL6 was primarily K11-polyubiquitinated (Fig. 4k); however, lactate markedly enhanced K6- and K29-linked polyubiquitination, implicating these modifications in BCL6 accumulation (Fig. 4k).
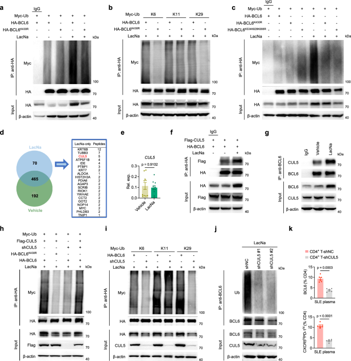
K6- and K29-linked ubiquitination at Lysine 430 mitigates BCL6 degradation
We performed mass spectrometry (MS) analysis and identified Gly-Gly adducts on four lysines in BCL640. In the control group, four conserved loci (K430, K534, K628, and K688) were detected, whereas only K430 was observed with exogenous lactate (Supplementary Fig. 14a–c). We replaced lysine 430 with arginine (K430R) and expressed both wild-type BCL6 (BCL6WT) and the K430R mutant (BCL6K430R) in HEK293T cells in the presence of lactate. The K430R mutation markedly reduced overall BCL6 ubiquitination and specifically impaired K6- and K29-linked polyubiquitination (Fig. 5a, b), indicating that lactate promotes K6- and K29-linked ubiquitination at Lys430. We expressed BCL6WT, BCL6K430R, and the 3KR mutant (BCL6K534K628K688R) in HEK293T cells. Ubiquitination assays showed that both BCL6K430R and BCL6K534K628K688R exhibited significantly reduced ubiquitination compared with BCL6WT in the presence of lactate (Fig. 5c), suggesting that Lys534, Lys628, and Lys688 also contribute to lactate-induced BCL6 ubiquitination.
a HEK293T cells were transfected with HA-BCL6, HA-BCL6K430R and Myc-Ub plasmids. After stimulation with LacNa for 24 h, HA-BCL6 was immunoprecipitated to detect ubiquitination. b HEK293T cells were transfected with HA-BCL6, HA-BCL6K430R and K6-, K11- or K29-linked Myc-Ub plasmids. After stimulation with LacNa for 24 h, HA-BCL6 was immunoprecipitated to detect ubiquitination. c HEK293T cells were transfected with HA-BCL6, HA-BCL6K430R, HA-BCL6K534K628K688R and Myc-Ub plasmids. After stimulation with LacNa for 24 h, HA-BCL6 was immunoprecipitated to detect ubiquitination. d BCL6 binding proteins were detected by mass spectrometry to screen for E3 ligase candidates. e qPCR analysis of CUL5 in CD4+ T cells stimulated with LacNa for 4 days (n = 10 independent biological samples). f Stimulated with LacNa, CUL5 expression and the interaction of CUL5 with BCL6 were detected in HEK293T cells. g Stimulated with LacNa, CUL5 expression and the interaction of CUL5 to BCL6 were detected in CD4+ T cells. h HEK293T cells were transfected with HA-BCL6, HA-BCL6K430R, Flag-CUL5, shCUL5 and Myc-Ub plasmids. After stimulation with LacNa, HA-BCL6 was immunoprecipitated to detect ubiquitination. i HEK293T cells were transfected with HA-BCL6, shCUL5 and K6-, K11- or K29-linked Myc-Ub plasmids. After stimulation with LacNa, HA-BCL6 was immunoprecipitated to detect ubiquitination. j Anti-CD3/28-activated healthy CD4⁺ T cells were transduced with shCUL5 or shNC, stimulated with LacNa, and analyzed for BCL6 ubiquitination. k Healthy CD4⁺ T cells transduced with shCUL5 or shNC were co-cultured with LN-associated MCs and analyzed for Tfh frequency (n = 6 independent biological samples). The data are represented as the mean ± SEM. Normality and lognormality are assessed using the Shapiro-Wilk test. Two-tailed paired t test (k), two-tailed Wilcoxon matched-pairs signed rank test (e). Source data are provided as a Source Data file.
MS of BCL6-interacting proteins in lactate-treated cells identified E3 ligase candidates, highlighting CUL5 based on peptide count and confidence (Fig. 5d). Lactate did not affect CUL5 mRNA levels (Fig. 5e) but enhanced CUL5-BCL6 interaction without altering CUL5 protein expression (Fig.5f, g, and Supplementary Fig. 14d). To confirm CUL5’s role in BCL6 ubiquitination, we co-expressed CUL5 with BCL6WT or BCL6K430R in HEK293T cells. Ubiquitination assays showed that BCL6K430R had significantly reduced ubiquitination compared to the WT group (Fig. 5h). CUL5 depletion decreased BCL6 ubiquitination and protein levels, whereas CUL5 overexpression restored them (Fig. 5h). And, we observed that CUL5 knockdown significantly impaired K6- and K29-linked polyubiquitination of BCL6 protein (Fig. 5i). In CD4⁺ T cells, CUL5 knockdown similarly reduced BCL6 ubiquitination and protein levels, resulting in defective Tfh differentiation (Fig. 5j, k, and Supplementary Fig. 14e).
PCAF-catalyzed lactylation at Lys688 directs the remodeling of BCL6 ubiquitination
Lactylation is a PTM in which a lactyl group is added to lysine residues (Kla), modulating protein function and cellular processes41. We examined BCL6 lactylation to understand how lactate promotes Tfh differentiation. Exogenous lactate increased BCL6 lactylation accompanied by upregulated protein levels in HEK293T and CD4⁺ T cells, both primarily nuclear (Supplementary Fig. 15a–d). Co-culture with LN-associated MCs elevated BCL6 lactylation, which decreased when MC lactate production was blocked (Fig. 6a–e).
a Healthy CD4+ T cells were co-cultured with MCs for 4 days and BCL6 lactylation was detected. b Healthy CD4⁺ T cells were co-cultured with GSK2837808A pretreated-MCs for 4 days. c Healthy CD4⁺ T cells were co-cultured with LN-associated MCs transfected with shLDHA or shNC for 4 days. d Healthy CD4⁺ T cells were co-cultured with UK5099 (20 μM) pretreated-MCs for 4 days. e MCs were transfected with siMPC1, siNC or MPC1-overexpression plasmids (after SLE plasma stimulation). Healthy CD4⁺ T cells were co-cultured with MCs for 4 days. f HEK293T cells were transfected with HA-BCL6, HA-BCL6K379R, HA-BCL6K688R and HA-BCL6K379K688R plasmids. After stimulation with LacNa, HA-BCL6 was immunoprecipitated for detecting lactylation. g HEK293T cells were transfected with HA-BCL6, HA-BCL6K688R, HA-BCL6K534K628R, HA-BCL6K534K628K688R and Myc-Ub plasmids. After stimulation with LacNa, HA-BCL6 was immunoprecipitated to detect ubiquitination and lactylation. h HEK293T cells were transfected with HA-BCL6, HA-BCL6K688R, and Myc-Ub plasmids. After stimulation with LacNa, HA-BCL6 was immunoprecipitated to detect ubiquitination. i HEK293T cells were transfected with HA-BCL6, Flag-GCN5, Flag-PCAF, Flag-CBP, Flag-P300 and Myc-TIP60 plasmids. HA-BCL6 was immunoprecipitated for detecting lactylation. j Anti-CD3/28-activitated healthy CD4+ T cells were stimulated with LacNa, PCAF expression and the interaction of PCAF with BCL6 was detected. k HEK293T cells were transfected with HA-BCL6, HA-BCL6K688R, Flag-PCAF, shPCAF and Myc-Ub plasmids. After stimulation with LacNa, HA-BCL6 was immunoprecipitated to detect ubiquitination and lactylation. l Anti-CD3/28-activated healthy CD4⁺ T cells were transduced with shPCAF or shNC, stimulated with LacNa. m Healthy CD4⁺ T cells transduced with shPCAF or shNC were co-cultured with LN-associated MCs (n = 6 independent biological samples). n Mice were immunized with immunogenic self-DNA (n = 7 independent biological samples). The data are represented as the mean ± SEM. Normality and lognormality are assessed using the Shapiro-Wilk test. Two-tailed unpaired t test (n), two-tailed paired t test (m). Source data are provided as a Source Data file.
To elucidate the mechanisms of BCL6 lactylation, MS identified two sites: K379 in controls and both K379 and K688 upon lactate stimulation (Supplementary Fig. 15e–g). To assess their contributions, K379 and K688 were individually mutated to arginine (K379R, K688R) or simultaneously (K379K688R). We expressed BCL6WT, BCL6K379R, BCL6K688R, and BCL6K379K688R in HEK293T cells, with or without lactate. Mutations, particularly K688R, markedly reduced BCL6 lactylation and downregulated BCL6 expression in the presence of lactate (Fig. 6f).
In the absence of lactate, Lys688 serves as a BCL6 ubiquitination site, but upon lactate exposure, it undergoes lactylation. We hypothesized that K688 lactylation regulates BCL6 ubiquitination. To test this, BCL6WT, BCL6K688R, BCL6K534628R, and BCL6K534628688R were expressed in HEK293T cells with lactate. The K688R mutation reduced BCL6 lactylation, ubiquitination, and protein levels, whereas K534R/K628R mutations did not affect ubiquitination (Fig. 6g). Notably, K688R markedly decreased K6- and K29-linked polyubiquitination (Fig. 6h), indicating that lactylation at K688 mediates K6- and K29-linked ubiquitination at K430, thereby inhibiting BCL6 degradation.
To identify the acetyltransferase mediating BCL6 lactylation, GCN5, PCAF, CBP, P300, and TIP60 were overexpressed in HEK293T cells, and BCL6 lactylation was assessed. PCAF overexpression markedly increased BCL6 lactylation and protein levels, indicating its catalytic role (Fig. 6i). Lactate enhanced the PCAF-BCL6 interaction without altering PCAF expression, thereby promoting BCL6 lactylation (Fig. 6j, and Supplementary Fig. 15h, i). Co-expression of PCAF with BCL6WT or BCL6K688R showed that K688R mutation significantly reduced lactylation and ubiquitination (Fig. 6k). PCAF depletion decreased BCL6 lactylation, ubiquitination, and protein levels, whereas PCAF overexpression restored them (Fig. 6k). In CD4⁺ T cells, shRNA-mediated PCAF knockdown similarly reduced BCL6 lactylation and ubiquitination, downregulated BCL6, and impaired Tfh differentiation (Fig. 6l-m, Supplementary Fig. 15j).
Cd4-Cre Kat2bfl/fl mice immunized with self-DNA showed reduced renal Tfh cells, lower IgG anti-dsDNA, and decreased proteinuria (Fig. 6n, and Supplementary Fig. 16a), confirming that PCAF-mediated BCL6 lactylation stabilizes BCL6 and drives Tfh differentiation. To validate the mechanism in vivo, we analyzed kidney-infiltrating CD4⁺ T cells from humanized LN chimeras and the cKO mice. In LN chimeras, these T cells showed elevated BCL6 protein, ubiquitination, and lactylation (Supplementary Fig. 16b). Silencing PCAF in SLE CD4⁺ T cells before engraftment reduced BCL6 levels and modifications (Supplementary Fig. 16c). Likewise, Cd4-Cre Kat2bfl/fl mice immunized with self-DNA exhibited decreased BCL6 expression and reduced BCL6 ubiquitination/lactylation in renal CD4⁺ T cells (Supplementary Fig. 16d).
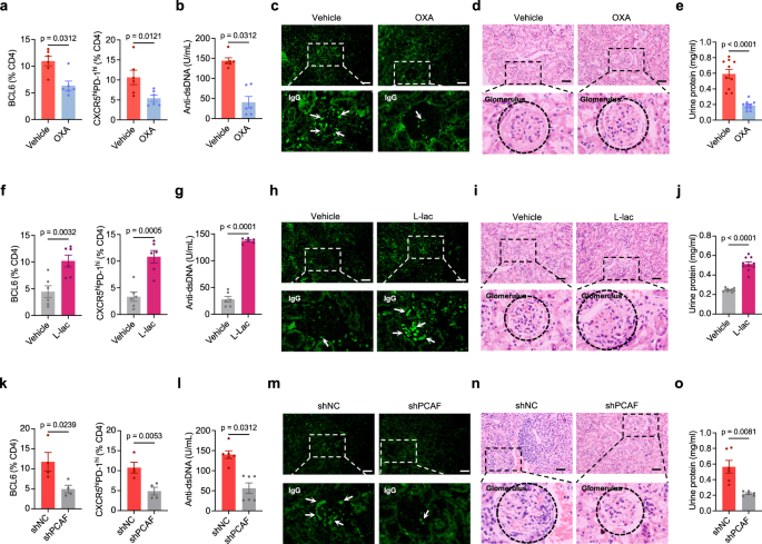
Targeting BCL6 lactylation eliminates Tfh cells and alleviates LN development in humanized disease chimeras
To assess the impact of lactate on the progression of LN, we treated humanized LN chimeras with the LDHA inhibitor sodium oxamate (OXA), which markedly reduced renal Tfh infiltration, serum IgG anti-dsDNA, and kidney IgG deposition (Fig. 7a–c, and Supplementary Fig. 17a–b). Compared to kidneys, splenic Tfh cells showed a modest reduction (Supplementary Fig. 17c). OXA also improved renal histology, and lowered proteinuria (Fig. 7d, e). These results indicate that inhibiting lactate production mitigates LN severity.
a–e PBMCs from SLE patients were adoptively transferred into NSG to develop humanized LN chimeras, followed by treatment with or without sodium oxamate (OXA, 500 mg/kg) every 3 days until 28 days (n = 6 (a, b) or 9 (e) independent biological samples). a The proportion of Tfh cells in the kidneys. b Serum human IgG anti-dsDNA. c Renal deposition of human IgG. White arrows (IgG). Scale bar: 100 μm. d HE staining. Black circle (Glomerulus). Scale bar: 100 μm. e Urine protein. f-j PBMCs from healthy donors were cultured with or without L-lac (10 mM) for 2 days. Stimulated PBMCs were injected into NSG mice to develop humanized chimeras (n = 6 (f, g) or 8 (j) independent biological samples). f The proportion of Tfh cells in the kidneys. g Serum human IgG anti-dsDNA. h Renal deposition of human IgG. White arrows (IgG). Scale bar: 100 μm. i HE staining. Black circle (Glomerulus). Scale bar: 100 μm. j Urine protein. k–o CD4+ T cells isolated from PBMCs of SLE patients were activated with anti-CD3/28 beads and transduced with shPCAF or shNC. After 24 h, PCAF-kd CD4+ T cells mixed with other PBMC components were adoptively transferred into NSG to develop humanized LN chimeras (n = 4 independent biological samples). k The proportion of Tfh cells in the kidneys. l Serum human IgG anti-dsDNA. m Renal deposition of human IgG. White arrows (IgG). Scale bar: 100 μm. n HE staining. Black circle (Glomerulus). Scale bar: 100 μm. o Urine protein. The data are represented as the mean ± SEM. Normality and lognormality are assessed using the Shapiro-Wilk test. Two-tailed paired t test (a, e, f, g, j, k, o), two-tailed Wilcoxon matched-pairs signed rank test (b, l). Source data are provided as a Source Data file.
We treated healthy CD4⁺ T cells with L-lactate before co-engrafting them with PBMCs into NSG mice to generate humanized chimeras. Four weeks later, lactate-treated mice showed increased renal Tfh cells, elevated serum IgG anti-dsDNA, pronounced kidney IgG deposition, worsened renal pathology, and higher proteinuria (Fig. 7f–j, and Supplementary Fig. 17d). Meanwhile, splenic Tfh cells were slightly increased in the chimeras (Supplementary Fig. 17e). These findings confirm that lactate enhances Tfh differentiation and LN severity.
We knocked down PCAF in SLE CD4⁺ T cells before engrafting them into NSG mice. PCAF-deficient T cells failed to drive renal Tfh differentiation, IgG deposition and kidney pathology were markedly reduced (Fig. 7k–o, Supplementary Fig. 17f), while splenic Tfh cells remained largely unchanged (Supplementary Fig. 17g). These results indicate that targeting BCL6 lactylation in CD4⁺ T cells effectively limits LN progression and represents a potential therapeutic strategy.
Discussion
T cell-mediated assistance to B cells is a crucial component of adaptive immunity and the establishment of immunological memory, with Tfh serving as the specialized facilitators of this process. A definitive causal role for Tfh in disease progression has been established in murine models of autoantibody-mediated autoimmunity, such as SLE42. Moreover, elevated frequencies of activated circulating Tfh (cTfh) have been observed in the blood of SLE patients43,44. The signature cytokine of Tfh, IL-21, has been implicated in the pathogenesis of SLE across various animal models, aligning with the critical role of Tfh in the disease development45. Low-dose IL-2 is currently under consideration as a therapeutic approach for SLE, based on its potent inhibitory effect on Tfh46. In addition to low-dose IL-2, CAR-T therapy also achieves profound B cell depletion and immune reset, leading to disease remission47.
In SLE, the accumulation of autoantibody-immune complexes drives LN, a severe manifestation of the disease. Although TLSs capable of in situ IgG production have been observed in LN kidneys10, the triggers and molecular mechanisms underlying the differentiation of their key component, Tfh cells, remain elusive. Using renal tissues from SLE patients and humanized LN chimeras, we observed increased renal Tfh cells, whose abundance correlated with disease severity. MCs exhibited enhanced glycolysis and lactate secretion upon self-DNA sensing via CNBP. Elevated lactate induced BCL6 lactylation in CD4⁺ T cells, catalyzed by PCAF, which altered BCL6 ubiquitination and inhibited its degradation. The resulting BCL6 upregulation promoted Tfh differentiation. These findings delineate a CNBP-MPC1-lactate-BCL6 axis driving renal Tfh differentiation and highlight potential therapeutic targets for LN.
MCs are critical for glomerular homeostasis and modulate the kidney’s response to injury48, influencing immune regulation, inflammation, and tissue repair48. In LN, DNA-IC is extensively deposited in the mesangium, disrupting its immunological functions49. Using an LN-associated MC-T cell co-culture system, we show that self-DNA from SLE patients induces a glycolysis-enhanced mesangial niche, which promotes Tfh differentiation. Impaired tolerance to self-DNA is a hallmark of SLE, with pathogenic DNA recognized by sensors such as cGAS-STING, TLR9, AIM2, DDX41, and IFI1650,51. However, DNA sensing is heterogeneous across cell types. Through GSEA of DNA-associated signaling pathways in single-cell LN kidney data, we identify CNBP as a candidate DNA sensor. Our results indicate that CNBP regulates MC metabolism and drives Tfh differentiation, providing new insights into LN pathogenesis.
Lactate, the end product of glycolysis, has attracted considerable attention for its role in PTM41,52. Our study demonstrates that LN-associated MCs drive Tfh cell differentiation via lactate secretion. The transcription factor BCL6 is essential for Tfh differentiation, and its sustained ectopic expression markedly promotes this process. Notably, lactylation emerges as the key PTM of BCL6, controlling its expression and Tfh differentiation. Specifically, reduced lactylation at Lys688 impairs BCL6 expression, thereby hindering Tfh differentiation. Inhibition of lactate production or blockade of BCL6 lactylation substantially ameliorates SLE manifestations in humanized chimeras, highlighting the translational potential of targeting this pathway. Lactate has been identified as a master regulator of TLS organization in Sjögren’s disease (SjD), where it alters Th cell profiles and consequently enhances IL-21 production. Additionally, SLC5A12 expression levels in SjD correlate with key TLS drivers53. The recurrent involvement of lactate-mediated pathways in TLS assembly in two separate autoimmune contexts validates its position as a key metabolic regulator and an attractive therapeutic candidate. Nonetheless, these findings do not preclude contributions from other metabolic pathways that may interact with lactate to influence immune cell function and lupus pathogenesis. Other potential cell sources of lactate in the tissue remain unidentified, which represents a limitation of this study.
To maintain cellular homeostasis, cells employ sophisticated quality control mechanisms to adapt to environmental changes and prevent sustained damage37. Central to this process is the ubiquitin-proteasome system, which uses ubiquitin as a degradation signal through complex, reversible enzymatic reactions54. Ubiquitin molecules can form chains through seven internal lysines (K6, K11, K27, K29, K33, K48, K63) or the amino-terminal methionine38, with different linkages directing distinct protein fates. K48- and K11/K48-linked chains typically target proteins for proteasomal degradation55,56, whereas K63-linked chains often protect proteins and facilitate signaling57. E3 ligases such as Pellino1 and Trim37 promote K63- and K27/29-linked polyubiquitination of BCL6, respectively, preventing its degradation and enhancing Tfh differentiation58,59. In this study, we found that lactylation promotes K6- and K29-linked ubiquitination of BCL6, inhibiting its degradation via CUL5, providing new insights into BCL6 protein homeostasis in CD4⁺ T cells.
In summary, using clinically relevant approaches-including single-cell analyses of LN patient tissues, humanized disease models, and co-culture systems-we demonstrate that self-DNA triggers CNBP-dependent responses in MCs, upregulating glycolysis and lactate production. Lactate uptake by CD4⁺ T cells induces BCL6 lactylation at Lys688, which promotes K6- and K29-linked ubiquitination and prevents BCL6 degradation (Supplementary Fig. 18). This cascade enhances CD4⁺ T cell differentiation into Tfh within the kidney. These findings uncover a mechanism by which MCs program T cell differentiation in LN and provide important insights for developing targeted therapeutic strategies in human SLE.
Methods
Patients and healthy individuals
A total of 109 individuals diagnosed with SLE and 166 age-matched healthy controls were recruited for this study. The clinical characteristics of SLE patients were summarized in Supplementary Table 1.
Informed consent was acquired from all participants, and the experimental procedures were conducted in accordance with the principles outlined in the Helsinki Declaration. The study received approval from the Institutional Review Board of Soochow University.
Cells and reagents
Human renal mesangial cells (ScienCell, 4200) and HEK293T cells (ATCC, CRL-3216) were cultured in RPMI 1640 medium (Corning)/high glucose DMEM (Gibco) supplemented with 10% FBS (Sigma), along with penicillin/streptomycin (NCM Biotech) at 37 °C and 5% CO2.
Cell isolation and culture procedures were conducted according to established protocols60. PBMCs obtained from both SLE patients and healthy donors were isolated using gradient centrifugation with Lymphocyte Separation Medium (Sigma). The purification of CD4+ T cells from PBMCs was achieved using a CD4+ T Cell Isolation Kit (STEMCELL Technologies). Subsequently, these cells were cultured in RPMI 1640 medium (Corning) supplemented with 10% FBS (Sigma) along with penicillin/streptomycin (NCM Biotech) at 37 °C and 5% CO2.
MC-T co-culture system was developed based on the method described in the aforementioned literature61. MCs were initially stimulated with 10% plasma for 24 hours. After removing plasma, MCs underwent pre-incubation with OKT-3 (Biolegend, 830301, 1 μg/ml) dissolved in PBS for 2 hours at 37 °C and 5% CO2. Then, supernatant OKT-3 was removed, and MCs were co-cultured with purified CD4+ T cells at a ratio of 1:5 for 4 Days. Other reagents used include: GSK3827808A (MedChemExpress, HY-100681, 60 μM), UK5099 (TargetMol, T4441, 20 μM), MG132(TargetMol, T2154, 10 μM), Bafilomycin A1 (TargetMol, T6740, 100 nM), L-lactic acid (Sigma, L1750, 10 mM), sodium L-lactate (Sigma, 71718, 40 mM).
CNBP, TRA2B, and MPC1 siRNA were obtained from Beijing Tsingke Biotech. MCs were transfected with specific siRNAs (100 nM) using Hieff Trans Universal Transfection Reagent (Yeasen Biotechnology, 40808ES). shRNA mediated knockout plasmids including LDHA, MCT1, MCT4, PCAF, CUL5 and plasmids of HA-BCL6, Flag-PCAF and Flag-CUL5 were obtained from Anzhenbio, China. Myc-Ub and Myc-K6-, K11-, K27-, K29-, K33, K48-, and K63-linked plasmids were kindly provided by Dr. Hui Zheng from Soochow University. Lentiviral particles were produced in HEK293T cells by transient co-transfection of transfer vector constructs, pVSVg, and psPA×2 and concentrated by ultracentrifugation. CD4+ T cells were transfected with relevant lentiviral particles62. Adeno-associated virus 2 (AAV2) containing shBCL6 was purchased from Anzhenbio, China.
Mice and humanized LN chimeras
Eight to twelve-week-old NSG mice were purchased from BIOCYTOGEN (110586). Age- and sex-matched NSG mice were randomly divided into two groups to receive intravenous injections of 2×10⁷ PBMCs from either SLE patients or healthy donors for the establishment of humanized chimeras28,29. Mice were euthanized using excessive 1% pentobarbital sodium anesthesia on day 28. Serum, urine, spleen, and kidney tissues were collected for subsequent analyses.
To specifically target and modulate renal Tfh cells, humanized LN chimeras were first established by injection of 2×10⁷ PBMCs from SLE patients. Age- and sex-matched humanized LN chimeras were randomly divided into two groups. On day 7 post-modeling, the chimeras were administered AAV2-shBCL6 or AAV2-shNC via the tail vein, respectively. Subsequent analyses were conducted 21 days after the initial assessment.
To evaluate the therapeutic effect of lactate blockade, age- and sex-matched humanized LN chimeras were randomly divided into two groups. The treatment group received the LDHA inhibitor sodium oxamate (MedChemExpress, HY-W013032A, 500 mg/kg), while the control group received an equivalent volume of vehicle.
To evaluate the effect of lactate on humanized chimeras, age- and sex-matched NSG mice were randomly divided into two groups. CD4+ T cells were isolated from healthy donor PBMCs and stimulated in vitro with 10 mM L-lactic acid (Sigma, L1750) or vehicle for 24 hours. These pre-stimulated CD4+ T cells were then mixed with the remaining PBMCs and adoptively transferred into NSG mice to establish the humanized chimeras.
To evaluate the role of PCAF in humanized LN chimeras, age- and sex-matched NSG mice were randomly divided into two groups. CD4+ T cells isolated from SLE patient PBMCs were transduced with lentiviral particles carrying either shPCAF or shNC. These genetically modified CD4+ T cells were then reconstituted with the remaining PBMCs and adoptively transferred into NSG mice to generate the humanized chimeras.
Cd4-Cre (C001287), Pdgfra-CreERT2 (C001489), Cnbp-Flox (NM-CKO-232490), Ldha-Flox (S-CKO-03369), and Kat2b-Flox (S-CKO-04178) mice were from Cyagen and Shanghai Model Organisms Center, Inc. CD4 conditional knock-out (Cd4-CreKat2bfl/fl) mice were generated by crossing Cd4-Cre mice with Kat2b-Flox mice. PDGFRα conditional knock-out (Pdgfra-CreLdhafl/fl, Pdgfra-CreCnbpfl/fl) mice were generated by crossing Pdgfra-CreERT2 mice with Ldha-Flox mice or Cnbp-Flox mice. Age- and sex-matched mice (Pdgfra-CreLdhafl/fl, Pdgfra-CreCnbpfl/fl) were randomly divided into two groups: Cre(+) mice were generated by intraperitoneal injection of 4-hydroxytamoxifen (MedChemExpress, HY-16950, 100 mg/kg), with control (Cre(-)) mice receiving an equivalent volume of vehicle.
Mice were housed in a pathogen-free environment under a 12-hour (h) light/12-h dark cycle at ~18-23 °C with 40-60% air humidity. Eight to twelve-week-old mice of both sexes were used for the experiments. Mice were bred in separate cages according to their experimental group. All experiments were conducted in adherence to the ARRIVE guidelines and were approved by the Institutional Review Board of Soochow University.
Preparation of self-DNA
Self-DNA was extracted after inducing apoptosis in PBMCs with rotenone (MedChemExpress, HY-B1756, 30 μM) for 6 days63. Apoptotic DNA was extracted using the phenol-isoamyl alcohol method, involving cell lysis, sequential organic extraction to remove proteins and lipids, and ethanol precipitation to obtain purified DNA. MCs were transfected with self-DNA (2 μg/mL) derived from PBMCs using PEI for 24 h.
Wild-type mice were euthanized using excessive 1% pentobarbital sodium anesthesia. Spleens were aseptically removed and mechanically dissociated into single-cell suspensions. Red blood cells were removed by incubation with a lysis buffer at room temperature for 5 minutes. To induce apoptosis, the cell suspension was treated with rotenone (MedChemExpress, HY-B1756, 30 μM) for 6 days. Apoptotic DNA was extracted using the phenol-isoamyl alcohol method, which included cell lysis, sequential organic extraction to remove proteins and lipids, and ethanol precipitation. The self-DNA was used to immunize mouse models.
DNA-immunized mouse model
Age- and sex-matched Pdgfra-Cre(-)Ldhafl/fl, Pdgfra-Cre(+)Ldhafl/fl, Pdgfra-Cre(-)Cnbpfl/fl, Pdgfra-Cre(+)Cnbpfl/fl, Kat2bfl/fl, Cd4-CreKat2bfl/fl mice were randomly divided into several groups and immunized by subcutaneous injection with 0.2 mL of self-DNA (50 μg/mouse) plus complete Freund’s adjuvant (CFA, Sigma, F5881) on week 0, followed by injections with 0.2 mL of self-DNA (50 μg/mouse) plus incomplete Freund’s adjuvant (IFA, Sigma, F5506) on week 2 and week 433,64. Mice were euthanized using excessive 1% pentobarbital sodium anesthesia on day 28.
Kidney organoids
Induced pluripotent stem (iPS) cells were cultured and differentiated using the STEMdiff Kidney Organoid Kit (STEMCELL Technologies, 05160)30. iPSCs were cultured on 6-well plates pre-coated with 0.5 mg/mL Matrigel (Corning, 354277) in mTeSR (STEMCELL Technologies, 85857, 85850) supplemented with 10 μM Y-27632 (STEMCELL Technologies, 72307). For induction, 7,000 iPSCs were seeded in 96-well Matrigel-coated plates and maintained at 37 °C with 5% CO₂. Medium was sequentially replaced with mTeSR, Stage 1 medium (Basal:SG = 200:1), and Stage 2 medium (Basal:DM = 50:1), refreshed every 2 days from Day 4 to Day 18. Organoid identity was confirmed by immunostaining for CD31, PODXL, and ITGA8.
The kidney organoids were conditioned with 10% plasma derived from LN patients for 24 hours and subsequently incubated with OKT-3. After a 2-hour incubation, the LN-associated kidney organoids were co-cultured with 1×105 CD4+ T cells isolated from healthy donors for a duration of 4 days. The clinical characteristics of SLE patients used in kidney organoid-T co-culture system were summarized in Supplementary Table 2.
Urine protein analyses
Urine protein was quantified with the Bradford Protein Assay Kit (Beyotime Biotechnology, P0006). Absorbance was measured at 595 nm using a microplate reader (Biotek, Synergy H4).
IgG anti-dsDNA analyses
IgG anti-dsDNA levels were measured with Human anti-dsDNA IgG ELISA Kit (CUSABIO, CSB-E04911h) and Mouse anti-dsDNA IgG ELISA Kit (Chondrex, 3031). Absorbance was measured using a microplate reader (Biotek, Synergy H4).
Hematoxylin-eosin (HE) staining
Following paraffin embedding, tissue samples were cut into 5-µm sections. The section processing procedure included deparaffinization in xylene; rehydration in a descending gradient of ethanol; staining with hematoxylin and eosin; and final dehydration in an ascending ethanol series, followed by xylene clearance. The processed sections were examined under a microscope to observe kidney morphology.
Kidney single-cell data analysis
Acquisition of scRNA-seq: The scRNA-seq data set (SDY997) from kidney with LN was downloaded from the ImmPort database (https://www.immport.org/home). After quality control, a total of 2882 single cells and 23372 genes were retained for downstream analysis. Clustering of kidney cells was done using Seurat (v4.2.0) in a stepwise manner. We initially performed low-resolution clustering, analyzing all cells together, then labeled each of the clusters as CD4+ T cells, NK cells, myeloid cells, B cells, MCs, dividing cells. The clusters of CD4+ T cells were then analyzed separately, to identify Tfh cells. In each case, clustering was done following principal component analysis, based on context-specific variable genes that were identified independently for each set of analyzed cells.
Two-dimensional visualization using t-SNE diagram was conducted based on these annotations. Visualization of gene expression: GraphPad software was used to extract expression levels of target genes in patient-derived CD4+ T cells. The R package Seurat (v4.2.0) was used to extract Tfh cells of the patient, and the SELENA-SLEDAI Total Score of the corresponding patient was found. The Person correlation coefficient was calculated.
In vitro human Tfh cell differentiation
For human Tfh cell differentiation, naïve CD4+ T cells were isolated from PBMCs by negative selection using the human Naïve CD4+ T Cell Isolation Kit (STEMCELL Technologies, 19555), and then the cells were cultured under the Tfh cell-polarized conditions as previously described35. Briefly, naïve CD4+ T cells were stimulated with anti-CD3/CD28 (BioLegend, 422604) beads plus TGF-β (Novoprotein, GMP-CA59, 5 ng/mL), IL-6 (PeproTech, 200-06, 20 ng/mL), IL-12 (PeproTech, 200-12H, 10 ng/mL), and IL-21 (PeproTech, 200-21, 20 ng/mL) for 5 days to induce Tfh cells. The medium was refreshed on day 2.
DNA-IC isolation
DNA-ICs were isolated from SPP or HP using PurKine antibody-purified kit (protein A/G) (Abbkine, KTP2070)65.
13C metabolic flux analysis
MCs were cultured in medium containing D-Glucose-13C6 (MedChemExpress, HY-B0389A), followed by replacement with standard medium before co-culture with CD4⁺ T cells. CD4⁺ T cells were then isolated by antibody-magnetic bead sorting, counted, and subjected to 13C metabolic flux analysis, with data normalized to cell number. Briefly, CD4+ T cells were washed with PBS, pelleted, and extracted with -80 °C 80% methanol. Extracts were centrifuged, supernatants collected, dried under nitrogen, and stored at -80 °C. Metabolites were analyzed by UPLC-MS (Waters ACQUITY HSS T3, Agilent ESI ± mode), and data processed in EI-MAVEN. 13C labeling was corrected for natural abundance using AccuCor package.
CD4⁺ T cells co-cultured with unlabeled MCs served as the blank control (Blank), those co-cultured with 13C-labeled MCs stimulated by plasma from healthy donors served as the healthy control (HC), and those co-cultured with 13C-labeled MCs stimulated by plasma from SLE patients served as the experimental group (SLE), with five biological replicates in each group.
Flow cytometry
For cell surface staining, cells were fixed using 4% paraformaldehyde and stained with antibodies as follows: APC/Cyanine7 anti-Human CD4 (1:200, BioLegend, 300517), PE-anti-Human CD3 (1:200, BioLegend, 980008), PerCP-Cyanine5.5 anti-Human-CD45 (1:200, BioLegend, 304026), PerCP-Cyanine5.5 anti-Human-CXCR5 (1:200, BioLegend, 145516), FITC anti-Human-PD-1 (1:200, BioLegend, 379205), PE anti-Human-CD69 (1:200, BioLegend, 310906), APC anti-mouse CD45.2 Antibody (1:200, BioLegend, 109814), APC/Cyanine7 anti-mouse CD3 Antibody (1:200, BioLegend, 100222), PE anti-mouse CD4 Antibody (1:200, BioLegend, 100408). For intracellular staining, cells were fixed with Fix Buffer I (BD Biosciences, 557870) and permeabilized with Perm Buffer III (BD Biosciences, 558050), and stained as follows: FITC anti-human/mouse Bcl-6 Antibody (1:200, BioLegend, 358514), APC anti-Human-T-bet (1:200, BioLegend, 984806), PE anti-Human-GATA3 (1:200, BioLegend, 653804), APC anti-Human-RORγt (1:200, eBioscience, 17-6988-82), PE anti-Human-IL-21 (1:200, BioLegend, 513004), PE/Cyanine7 anti-Human IFN-γ (1:200, BioLegend, 502528), APC anti-Human-IL-4 (1:200, BioLegend, 500714), APC anti-Human IL-17A (1:200, BioLegend, 512334). Cell staining was conducted under 4 °C for 45 min. Flow cytometry was performed on a canto II flow cytometer (BD Biosciences), and the data were analyzed using FlowJo 10 software (Tree Star Inc.). All the antibodies used for flow cytometry are listed in Supplementary Table 3.
Immunoblotting and immunoprecipitation
Cell protein extraction was conducted by RIPA and the protein concentration was assessed using a protein assay kit (Thermo Fisher Scientific). Samples were separated on SDS polyacrylamide gels with varying concentrations tailored to the molecular weight of the target protein. Primary anti-human antibodies were used as follows: BCL6 Monoclonal antibody (1:1000, Proteintech, 66340-1-Ig), MPC1 Rabbit pAb (1:1000, Abclonal, A20195), LDHA (C4B5) Rabbit mAb (1:2000, Cell Signaling Technology, 3582), anti-CNBP (H-7) antibody (1:750, Santa Cruz biotechnology, sc-515387), anti-Tra-2β (D-4) antibody (1:750, Santa Cruz biotechnology, sc-166769), KAT2B/PCAF Rabbit mAb (1:1000, Abclonal, A22719), anti-CUL-5 (F-6) antibody (1:750, Santa Cruz biotechnology, sc-373822), anti-MCT1 (T-19) Antibody (1:750, Santa Cruz biotechnology, sc-14917), anti-MCT4 (G-7) Antibody (1:750, Santa Cruz biotechnology, sc-376465), anti-Ubiquitin (P4G7) antibody (1:750, Santa Cruz biotechnology, sc-53509), Anti-L-Lactyl Lysine Rabbit pAb (1:1000, PTM BIO, PTM-1401RM), Mouse anti HA-Tag mAb (1:2000, Abclonal, AE008), DDDDK-Tag Rabbit mAb (1:2000, Abclonal, AE063), Mouse anti Myc-Tag mAb (1:2000, Abclonal, AE010), anti-Proteasome 20S alpha 1-7 antibody (1:2000, Abcam, ab22674), anti-20S Proteasome β1 (MCP421) antibody (1:750, Santa Cruz biotechnology, sc-58409), anti-20S Proteasome β2 (D-8) antibody (1:750, Santa Cruz biotechnology, sc-515066), anti-20S Proteasome β5 (A-10) antibody (1:750, Santa Cruz biotechnology, sc-393931), anti-Lamin B1 (A-11) antibody (1:750, Santa Cruz biotechnology, sc-377000), GAPDH Monoclonal antibody (1:100000, Proteintech, 60004-1-Ig), anti-human β-actin (1:2000, Santa Cruz Biotechnology, sc-8432). Following primary antibody probing, the membrane underwent incubation with an HRP-conjugated secondary antibody (Abclonal, AS014, AS003). Signal intensity was determined with enhanced chemiluminescence reagents. Endogenous β-actin served as internal control. All the antibodies used for Immunoblotting and immunoprecipitation are listed in Supplementary Table 3.
Immunofluorescence
For immunofluorescence analysis, fixed and permeabilized kidney tissues and kidney organoids were subjected to incubation with primary antibodies as follows: BCL6 Monoclonal antibody (1:200, Proteintech, 66340-1-Ig), anti-Proteasome 20S alpha 1-7 antibody (1:200, Abcam, ab22674) and Alexa Fluor 488 anti-human IgG (1:100, Abcam, ab307524), PODXL Monoclonal Antibody (1:500, Invitrogen, 39-3800), CD31 Monoclonal antibody (1:200, Proteintech, 66065-2-Ig), Integrin α8/ITGA8 Antibody (F-11) (1:100, Santa Cruz biotechnology, sc-365798). The primary antibodies were incubated overnight at 4 °C. Secondary antibodies (DyLight 649 Goat Anti-Rabbit IgG(H + L), DyLight 488 Goat Anti-Rabbit IgG(H + L), DyLight 488 Goat Anti-Mouse IgG(H + L)) (Invitrogen) were utilized at a 1:1000 dilution and incubated at 37 °C for 30 minutes. Cell nuclei were counterstained with DAPI (1:20000, Thermo Scientific, 62249) for 10 minutes at room temperature. Images were visualized with confocal microscopy (Nikon A1). All the antibodies used for flow cytometry are listed in Supplementary Table 3.
Real-time PCR
Total RNA extraction was extracted using Trizol (Takara Bio) and subjected to reverse transcription into cDNA using a reverse transcription Kit (Vazyme Biotech). Quantitative PCR analyses were conducted utilizing SYBR Green qPCR Master Mix (Bimake). The primers used in the study are outlined in Supplementary Table 4, and gene expression levels were normalized to 18S ribosomal RNA.
CNBP-self-DNA binding assay
MCs were transfected with self-DNA for 24 hours, followed by immunoprecipitation of CNBP (anti-CNBP (H-7) antibody, 1:100, Santa Cruz biotechnology, sc-515387). Concanavalin (MedChemExpress, HY-P2149, 10 μg/mL) was utilized to cleave proteins bound to CNBP-agarose beads, and DNA fractions were subsequently extracted. The isolated DNA was then amplified and visualized through agarose gel electrophoresis.
ChIP
ChIP assays were conducted using the SimpleChIP (R) Plus Kit (Magnetic Bead) (Cell Signaling Technology, 9005S). In brief, co-cultured CD4+ T cell lysates were subjected to incubation with Protein G beads and immunoprecipitated with anti-CNBP (H-7) antibody (1:100, Santa Cruz biotechnology, sc-515387) overnight at 4 °C. The promoter region of MPC1 was subsequently amplified by Quantitative PCR using specific primers listed in Supplementary Table 5.
Mass spectrometry
For MS of BCL6 modification sites and interaction proteins, after pretreatment with or without 40 mM LacNa for 24 h, HEK293T cells transfected with Flag-BCL6 were collected and subjected to immunoaffinity purification with anti-Flag magnetic beads (Selleck, B26102). The samples were separated by SDS-PAGE. SDS-PAGE gels were minimally stained with Coomassie brilliant blue, cut into six molecular weight ranges based on heavy chain IgG bands, and digested with trypsin. Immunocomplexes were identified on Thermo Scientific Orbitrap Fusion Lumos coupled with an Easy-nLC 1200 system.
MS/MS data were then searched against the human protein RefSeq database in BioWorks or the Proteome Discoverer Suites using either SeQuest (for LTQ data) or Mascot (Orbitrap data) software. The spectra were searched against the reviewed Human Universal Protein Resource (UniProt) sequence database. Methionine oxidations and acetylation of protein N termini were specified as variable modifications and carbamidomethylation as a fixed modification. Label-free protein quantification was switched on and was based on spectral counting. At least two quantified labelled peptide pairs or triplets were required for a quantifiable protein.
Seahorse assay
2 × 104 MCs were seeded on a 24-well Seahorse XF Mini Analyzers plate (Agilent Technologies). For glycolysis stress test profiling, the assay medium was Seahorse XF Base Medium containing 2 mM glutamine. Glycolysis, monitored as the extracellular acidification rate (ECAR), was measured after the addition of 10 mM D(+)Glucose, 1 μM Oligomycin and 50 mM 2-DG (Agilent Technologies). For mitochondrial stress test profiling, the assay medium was Seahorse XF Base Medium containing 1 mM Sodium pyruvate, 2 mM Glutamine and 10 mM Glucose (Agilent Technologies). Mitochondrial function, monitored as the Oxygen Consumption Rate (OCR), was measured after the addition of 1.5 μM Oligomycin, 0.5 μM FCCP and 0.5 μM Rotenone/antimycin A (ROT/AA) (Agilent Technologies). The analyses were performed using the Seahorse XF Flex analyzer (Agilent Technologies).
Lactate concentration assay
Intracellular and extracellular lactate concentrations were quantified with a lactic acid content (LA) test kit (Nanjing Jiancheng Biology, A019-2-1).
Pyruvate concentration assay
Pyruvate concentration was quantified with a pyruvate test kit (dinitrophenylhydrazine colorimetry) (Shanghai Yuanye Biotechnology, R21659).
Lactate dehydrogenase activity assay
Lactate Dehydrogenase (L-LDH) Activity Assay Kit (Micromethod) (Sangon Biotech, D799208).
Statistical analysis and reproducibility
The data are presented as the mean ± SEM. All statistical analyses were conducted using PRISM 9.0 (GraphPad Software Inc.). Normality and lognormality are assessed using the Shapiro-Wilk test. Comparisons were assessed by two-tailed unpaired t test, two-tailed Wilcoxon matched-pairs signed rank test, two-tailed Mann Whitney test, two-tailed paired t test, two-tailed Wilcoxon matched-pairs signed rank test, unpaired RM one-way ANOVA, paired RM one-way ANOVA, two-way ANOVA, a simple linear regression analysis. Statistical methods are indicated in the figure legends for each panel. p < 0.05 was considered significant. For blots and microscopy image studies, three times, each experiment was repeated independently, and representative images were shown. In western studies, the samples were derived from the same experiment, and blots were processed in parallel.
Reporting summary
Further information on research design is available in the Nature Portfolio Reporting Summary linked to this article.
Data availability
The mass spectrometry proteomics data have been deposited in the ProteomeXchange Consortium via the PRIDE partner repository under the dataset identifier PXD062920. All data are included in the Supplementary Information or available from the authors, as are unique reagents used in this Article. The raw numbers for charts and graphs are available in the Source Data file whenever possible. Source data are provided with this paper.
References
Hoi, A., Igel, T., Mok, C. C. & Arnaud, L. Systemic lupus erythematosus. Lancet (Lond., Engl.) 403, 2326–2338 (2024).
Tsokos, G. C., Lo, M. S., Costa Reis, P. & Sullivan, K. E. New insights into the immunopathogenesis of systemic lupus erythematosus. Nat. Rev. Rheumatol. 12, 716–730 (2016).
Anders, H. J. et al. Lupus nephritis. Nat. Rev. Dis. Prim. 6, 7 (2020).
Lech, M. & Anders, H. J. The pathogenesis of lupus nephritis. J. Am. Soc. Nephrology: JASN 24, 1357–1366 (2013).
Mohan, C., Zhang, T. & Putterman, C. Pathogenic cellular and molecular mediators in lupus nephritis. Nat. Rev. Nephrol. 19, 491–508 (2023).
Christo, S. N. et al. Discrete tissue microenvironments instruct diversity in resident memory T cell function and plasticity. Nat. Immunol. 22, 1140–1151 (2021).
Victora, G. D. & Nussenzweig, M. C. Germinal Centers. Annu. Rev. Immunol. 40, 413–442 (2022).
Quach T. D. et al. Context-dependent induction of autoimmunity by TNF signaling deficiency. JCI insight 7, e149094 (2022).
Vuyyuru, R., Mohan, C., Manser, T. & Rahman, Z. S. The lupus susceptibility locus Sle1 breaches peripheral B cell tolerance at the antibody-forming cell and germinal center checkpoints. J. Immunol. (Baltim., Md: 1950) 183, 5716–5727 (2009).
Chang, A. et al. In situ B cell-mediated immune responses and tubulointerstitial inflammation in human lupus nephritis. J. Immunol. (Baltim., Md: 1950) 186, 1849–1860 (2011).
Jamaly, S., Rakaee, M., Abdi, R., Tsokos, G. C. & Fenton, K. A. Interplay of immune and kidney resident cells in the formation of tertiary lymphoid structures in lupus nephritis. Autoimmun. Rev. 20, 102980 (2021).
Sato, Y., Silina, K., van den Broek, M., Hirahara, K. & Yanagita, M. The roles of tertiary lymphoid structures in chronic diseases. Nat. Rev. Nephrol. 19, 525–537 (2023).
Crotty, S. et al. Follicular helper CD4 T cells (TFH). Annu. Rev. Immunol. 29, 621–663 (2011).
Schaerli, P. et al. CXC chemokine receptor 5 expression defines follicular homing T cells with B cell helper function. J. Exp. Med. 192, 1553–1562 (2000).
Xu, H. et al. Follicular T-helper cell recruitment governed by bystander B cells and ICOS-driven motility. Nature 496, 523–527 (2013).
Zander, R. et al. Tfh-cell-derived interleukin 21 sustains effector CD8(+) T cell responses during chronic viral infection. Immunity 55, 475–493.e475 (2022).
Tchen, J. et al. PD-L1- and IL-4-expressing basophils promote pathogenic accumulation of T follicular helper cells in lupus. Nat. Commun. 15, 3389 (2024).
Yin, X., Chen, S. & Eisenbarth, S. C. Dendritic cell regulation of T helper cells. Annu. Rev. Immunol. 39, 759–790 (2021).
Couser, W. G. Mediation of immune glomerular injury. J. Am. Soc. Nephrology: JASN 1, 13–29 (1990).
Chung, J. J. et al. Single-cell transcriptome profiling of the kidney glomerulus identifies key cell types and reactions to injury. J. Am. Soc. Nephrology: JASN 31, 2341–2354 (2020).
Liu, M. et al. Mesangial cell: a hub in lupus nephritis. Front Immunol. 13, 1063497 (2022).
Ramanujam, M. et al. Phoenix from the flames: rediscovering the role of the CD40-CD40L pathway in systemic lupus erythematosus and lupus nephritis. Autoimmun. Rev. 19, 102668 (2020).
Vu, L. D., Gevaert, K. & De Smet, I. Protein language: post-translational modifications talking to each other. Trends Plant Sci. 23, 1068–1080 (2018).
Bereshchenko, O. R., Gu, W. & Dalla-Favera, R. Acetylation inactivates the transcriptional repressor BCL6. Nat. Genet. 32, 606–613 (2002).
Cerchietti, L. C. et al. BCL6 repression of EP300 in human diffuse large B cell lymphoma cells provides a basis for rational combinatorial therapy. J. Clin. Investig. 120, 4569–4582 (2010).
Nance, J. P. et al. Bcl6 middle domain repressor function is required for T follicular helper cell differentiation and utilizes the corepressor MTA3. Proc. Natl. Acad. Sci. USA 112, 13324–13329 (2015).
Arazi, A. et al. The immune cell landscape in kidneys of patients with lupus nephritis. Nat. Immunol. 20, 902–914 (2019).
Ito, R., Takahashi, T., Katano, I. & Ito, M. Current advances in humanized mouse models. Cell. Mol. Immunol. 9, 208–214 (2012).
Mihaylova, N. et al. Suppression of autoreactive T and B lymphocytes by anti-annexin A1 antibody in a humanized NSG murine model of systemic lupus erythematosus. Clin. Exp. Immunol. 199, 278–293 (2020).
Takasato, M. et al. Kidney organoids from human iPS cells contain multiple lineages and model human nephrogenesis. Nature 526, 564–568 (2015).
Zhao, Y., Li, Q., Ouyang, Q., Wu, L. & Chen, X. Activated mesangial cells acquire the function of antigen presentation. Cell. Immunol. 361, 104279 (2021).
Bricker, D. K. et al. A mitochondrial pyruvate carrier required for pyruvate uptake in yeast, Drosophila, and humans. Science 337, 96–100 (2012).
Wen, Z., Xu, L., Xu, W. & Xiong, S. Retinoic acid receptor-related orphan nuclear receptor γt licenses the differentiation and function of a unique subset of follicular helper t cells in response to immunogenic self-DNA in systemic lupus erythematosus. Arthritis Rheumatol. 73, 1489–1500 (2021).
Wang, Z. et al. E4BP4-mediated inhibition of T follicular helper cell differentiation is compromised in autoimmune diseases. J. Clin. Investig. 130, 3717–3733 (2020).
Gao X. et al. Iron-dependent epigenetic modulation promotes pathogenic T cell differentiation in lupus. J. Clin. Invest. 132, e152345 (2022).
Clynes, R., Dumitru, C. & Ravetch, J. V. Uncoupling of immune complex formation and kidney damage in autoimmune glomerulonephritis. Science 279, 1052–1054 (1998).
Pohl, C. & Dikic, I. Cellular quality control by the ubiquitin-proteasome system and autophagy. Science 366, 818–822 (2019).
Swatek, K. N. & Komander, D. Ubiquitin modifications. Cell Res. 26, 399–422 (2016).
Kaiho-Soma, A. et al. TRIP12 promotes small-molecule-induced degradation through K29/K48-branched ubiquitin chains. Mol. cell 81, 1411–1424.e1417 (2021).
Udeshi, N. D., Mertins, P., Svinkina, T. & Carr, S. A. Large-scale identification of ubiquitination sites by mass spectrometry. Nat. Protoc. 8, 1950–1960 (2013).
Zhang, D. et al. Metabolic regulation of gene expression by histone lactylation. Nature 574, 575–580 (2019).
Lee, S. K. et al. Interferon-γ excess leads to pathogenic accumulation of follicular helper T cells and germinal centers. Immunity 37, 880–892 (2012).
Jin, X. et al. Aberrant expansion of follicular helper T cell subsets in patients with systemic lupus erythematosus. Front Immunol. 13, 928359 (2022).
Szabó K. et al. Altered circulating follicular T helper cell subsets and follicular T regulatory cells are indicators of a derailed B cell response in lupus, which could be modified by targeting IL-21R. Intl. J. Of Mol. Sci. 23, 12209 (2022).
Kim, Y. J. et al. The transcription factor Mef2d regulates B:T synapse-dependent GC-T(FH) differentiation and IL-21-mediated humoral immunity. Sci. Immunol. 8, eadf2248 (2023).
He, J. et al. Low-dose interleukin-2 treatment selectively modulates CD4(+) T cell subsets in patients with systemic lupus erythematosus. Nat. Med. 22, 991–993 (2016).
Schett, G., Nagy, G., Krönke, G. & Mielenz, D. B-cell depletion in autoimmune diseases. Ann. Rheum. Dis. 83, 1409–1420 (2024).
Avraham, S., Korin, B., Chung, J. J., Oxburgh, L. & Shaw, A. S. The Mesangial cell - the glomerular stromal cell. Nat. Rev. Nephrol. 17, 855–864 (2021).
Bhargava, R., Li, H. & Tsokos, G. C. Pathogenesis of lupus nephritis: the contribution of immune and kidney resident cells. Curr. Opin. Rheumatol. 35, 107–116 (2023).
Chen, Q., Sun, L. & Chen, Z. J. Regulation and function of the cGAS-STING pathway of cytosolic DNA sensing. Nat. Immunol. 17, 1142–1149 (2016).
Suptela, A. J. & Marriott, I. Cytosolic DNA sensors and glial responses to endogenous DNA. Front Immunol. 14, 1130172 (2023).
Chen, A. N. et al. Lactylation, a novel metabolic reprogramming code: current status and prospects. Front Immunol. 12, 688910 (2021).
Certo, M. et al. Lactate signalling leads to aggregation of immune-inflammatory hotspots and SLC5A12 blockade promotes their resolution. Nat. Metab. 7, 1663–1680 (2025).
Sun-Wang, J. L., Yarritu-Gallego, A., Ivanova, S. & Zorzano, A. The ubiquitin-proteasome system and autophagy: self-digestion for metabolic health. Trends Endocrinol. Metab.: TEM 32, 594–608 (2021).
Niu, K. et al. USP33 deubiquitinates PRKN/parkin and antagonizes its role in mitophagy. Autophagy 16, 724–734 (2020).
Akizuki, Y. et al. cIAP1-based degraders induce degradation via branched ubiquitin architectures. Nat. Chem. Biol. 19, 311–322 (2023).
Liu, F. et al. MAVS-loaded unanchored Lys63-linked polyubiquitin chains activate the RIG-I-MAVS signaling cascade. Cell. Mol. Immunol. 20, 1186–1202 (2023).
Park, H. Y. et al. Pellino 1 promotes lymphomagenesis by deregulating BCL6 polyubiquitination. J. Clin. Investig. 124, 4976–4988 (2014).
Gu, W. et al. The TRIM37 variants in Mulibrey nanism patients paralyze follicular helper T cell differentiation. Cell Discov. 9, 82 (2023).
Wen, Z. et al. N-myristoyltransferase deficiency impairs activation of kinase AMPK and promotes synovial tissue inflammation. Nat. Immunol. 20, 313–325 (2019).
Wen Z. et al. The microvascular niche instructs T cells in large vessel vasculitis via the VEGF-Jagged1-Notch pathway. Sci. Transl. Med. 9, eaal3322 (2017).
Nagree, M. S. et al. Autologous, lentivirus-modified, T-rapa cell “micropharmacies” for lysosomal storage disorders. EMBO Mol. Med. 14, e14297 (2022).
Ji, H. et al. ENPP1 governs the metabolic regulation of effector T cells in autoimmunity by detecting cytosolic mitochondrial DNA. Cell Rep. 44, 115851 (2025).
Wen, Z. K. et al. DNA hypomethylation is crucial for apoptotic DNA to induce systemic lupus erythematosus-like autoimmune disease in SLE-non-susceptible mice. Rheumatol. (Oxf.) 46, 1796–1803 (2007).
Liu E., et al. Lactate programs PBX1 lactylation and mesangial proliferation in lupus nephritis. JCI insight 10, e190838 (2025).
Acknowledgements
This work was supported by the National Natural Science Foundation of China (82271841, 82071826, 824B2047), Major Project of Natural Science Research in Jiangsu Higher Education Institutions (22KJA310005), Jiangsu Provincial Health Innovation Team, MOE Key Laboratory of Geriatric Diseases and Immunology in Soochow University (KJS2509), China Postdoctoral Science Foundation, and Priority Academic Program Development of Jiangsu Higher Education Institutions (PAPD).
Author information
Authors and Affiliations
Contributions
Z.W. designed and supervised the study. M.L., H.J., J.L., M.Z., L.L., X.Z., and H.W. performed the experiments and analyzed the data. T.L. and L.X. collected samples and participated in data analyses. Q.C. provided experimental materials and participated in data interpretation. Z.W. and M.L. wrote the manuscript with the input of all authors.
Corresponding author
Ethics declarations
Competing interests
The authors declare no competing interests.
Peer review
Peer review information
Nature Communications thanks Christopher Sjöwall, and the other anonymous, reviewer(s) for their contribution to the peer review of this work. A peer review file is available.
Additional information
Publisher’s note Springer Nature remains neutral with regard to jurisdictional claims in published maps and institutional affiliations.
Source data
Rights and permissions
Open Access This article is licensed under a Creative Commons Attribution-NonCommercial-NoDerivatives 4.0 International License, which permits any non-commercial use, sharing, distribution and reproduction in any medium or format, as long as you give appropriate credit to the original author(s) and the source, provide a link to the Creative Commons licence, and indicate if you modified the licensed material. You do not have permission under this licence to share adapted material derived from this article or parts of it. The images or other third party material in this article are included in the article’s Creative Commons licence, unless indicated otherwise in a credit line to the material. If material is not included in the article’s Creative Commons licence and your intended use is not permitted by statutory regulation or exceeds the permitted use, you will need to obtain permission directly from the copyright holder. To view a copy of this licence, visit http://creativecommons.org/licenses/by-nc-nd/4.0/.
About this article
Cite this article
Liu, M., Ji, H., Lei, J. et al. Lactate bridges mesangial cells to the differentiation of follicular helper T cells in lupus nephritis. Nat Commun 17, 663 (2026). https://doi.org/10.1038/s41467-025-67416-x
Received:
Accepted:
Published:
Version of record:
DOI: https://doi.org/10.1038/s41467-025-67416-x









